Molecular Characterization and Functional Effect on Canine Peripheral Blood Mononuclear Cells of an Uncharacterized Major Egg Antigen EGR-01664 from Echinococcus granulosus
Abstract
1. Introduction
2. Material and Methods
2.1. Parasites and Experimental Animals
2.2. Recombinant Plasmids, Sera, Cells, and Related Reagents
2.3. Bioinformatics Analysis of EGR-01664
2.4. Construction of Phylogenetic Tree
2.5. Design and Synthesis of Primers
2.6. PCR Amplification of the Target Gene
2.7. Construction and Verification of Cloning Plasmid pMD19-T-EGR-01664
2.8. Construction and Verification of Expression Plasmid pET32a-EGR-01664
2.9. Expression, Purification, and Renaturation of rEGR-01664 Protein
2.10. Identification of the Purified Protein by Western Blot
2.11. Preparation of Polyclonal Antibody Against Recombinant Protein and Determination of Antibody Titer
2.12. Immunofluorescence Localization of Recombinant Proteins
2.13. Transcription Level Analysis of EGR-01664 Gene at Different Developmental Stages of Worms
2.14. Isolation and In Vitro Culture of Canine PBMCs
2.15. The Effect of EGR-01664 Gene on the Proliferation of Canine PBMCs
2.16. Nitric Oxide (NO) Production Assay
2.17. Detection of Cytokines Level
2.18. Statistical Data Analysis
3. Results and Analysis
3.1. Bioinformatic Analysis of EGR-01664
3.2. Phylogenetic Tree of EGR-01664 Gene
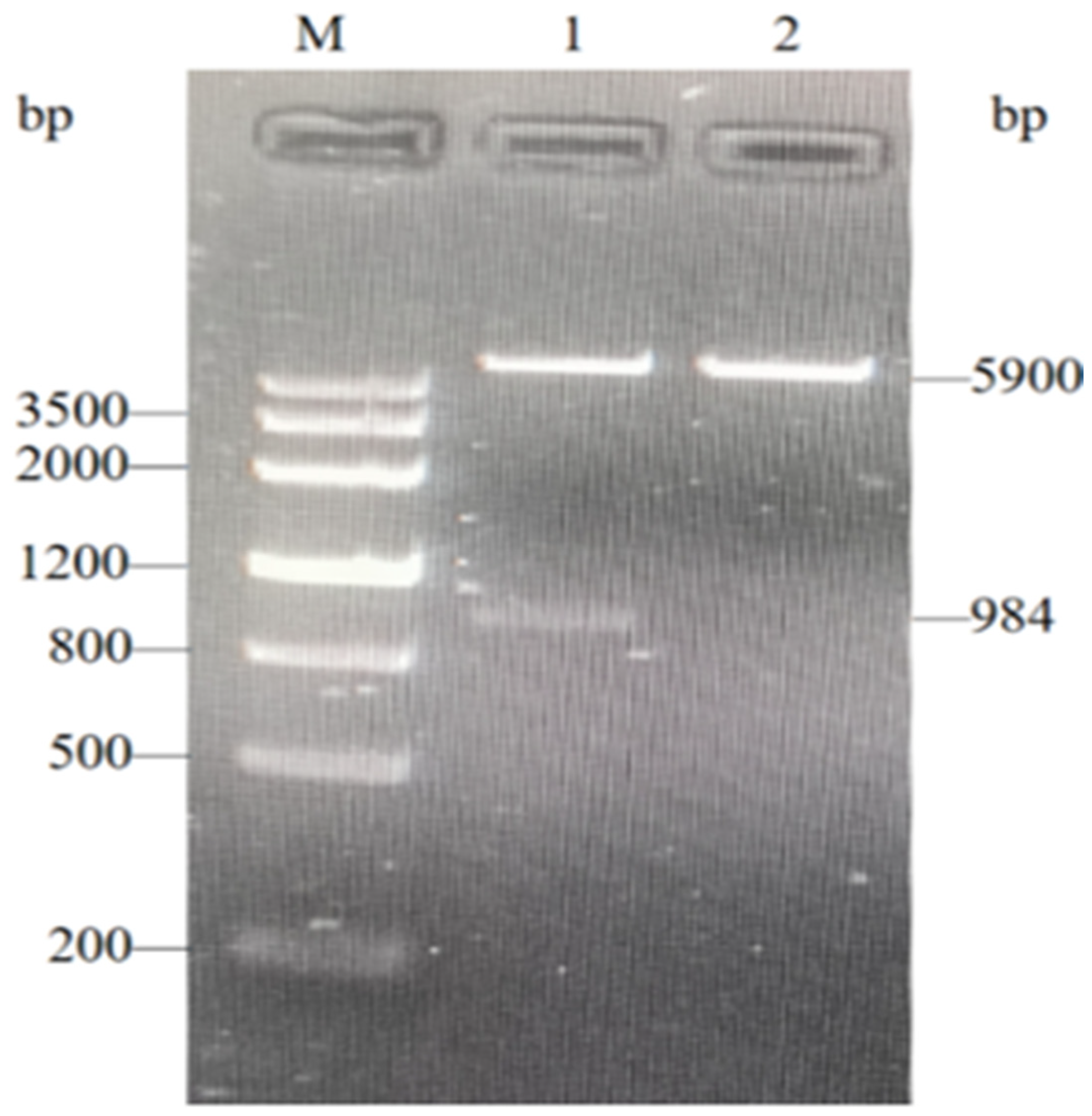
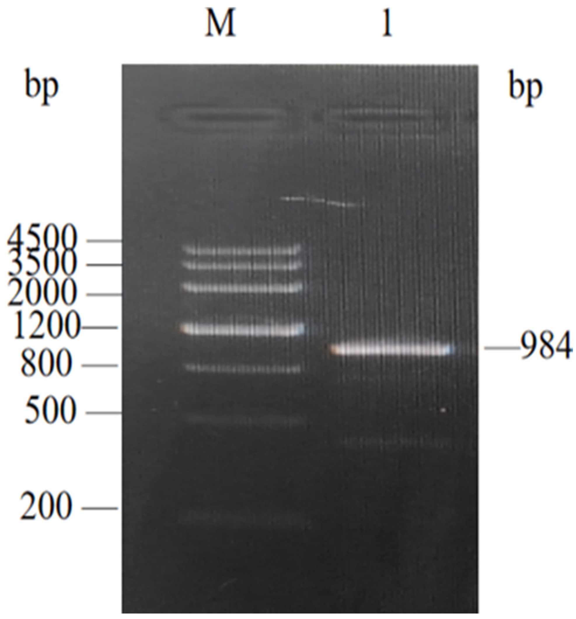
3.3. PCR Amplification of EGR-01664 Gene
3.4. Identification of Recombinant Plasmid pET32a-EGR-01664
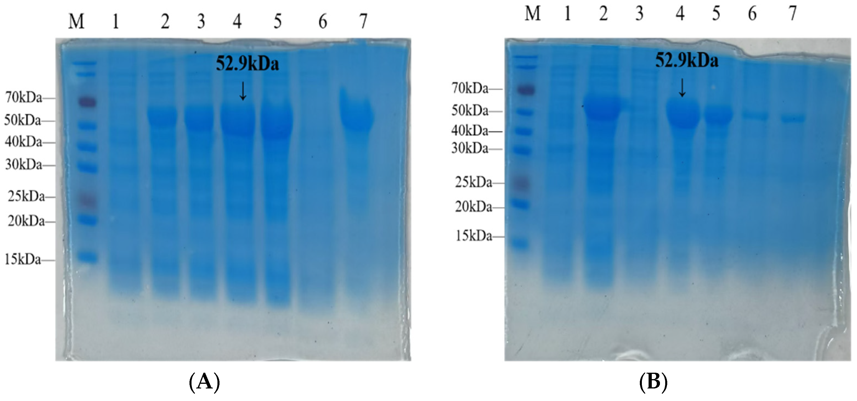
3.5. Expression, Purification, and Identification of Recombinant Protein EGR-01664
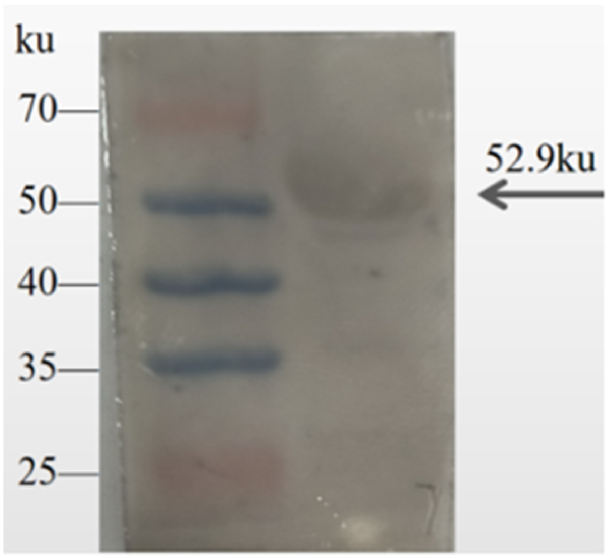
3.6. Western Blot Detection of Recombinant Protein
3.7. Titer Determination of rEGR-01664 Polyclonal Antibody
3.8. Localization of rEGR-01664 Protein Antigen in Protoscoleces and Adults
3.9. The Differential Expression of EGR-01664 Gene in Different Developmental Stages of Insects
3.10. rEGR-01664 Promotes the Proliferation of Canine PBMCs
3.11. rEGR-01664 Inhibited the Ability of Canine PBMCs to Produce Nitric Oxide
3.12. Analysis of Cytokine Production by rEGR-01664
3.13. Descriptive Results of the Study
4. Discussion
4.1. Research Background and the Potential Significance of EGR-01664
4.2. Bioinformatics Characteristics of EGR-01664
4.3. Expression and Immunogenicity Verification of EGR-01664 Protein
4.4. Immunomodulatory Effects of rEGR-01664 on Canine PBMCs
4.5. Regulatory Effects of rEGR-01664 on Cell Apoptosis and Pyroptosis
4.6. From Host Transmission to Human Disease: EGR-01664 as a Key Virulence Factor in E. granulosus Infection
5. Conclusions
Author Contributions
Funding
Institutional Review Board Statement
Informed Consent Statement
Data Availability Statement
Conflicts of Interest
References
- Yang, Z.; Liu, K.; Wen, B.; Fu, T.; Qin, X.; Li, R.; Lu, M.; Wang, Y.; Zhang, W.; Shao, Z.; et al. Changes in the global epidemiological characteristics of cystic echinococcosis over the past 30 years and projections for the next decade: Findings from the Global Burden of Disease Study 2019. J. Glob. Health 2024, 14, 04056. [Google Scholar] [CrossRef]
- Van De, N.; Le Van, D. The first report of two cases of cystic echinococcosis in the lung by Echinococcus ortleppi infection, in Vietnam. Res. Rep. Trop. Med. 2017, 8, 45–51. [Google Scholar] [CrossRef][Green Version]
- Xu, X.; Qian, X.; Gao, C.; Pang, Y.; Zhou, H.; Zhu, L.; Wang, Z.; Pang, M.; Wu, D.; Yu, W.; et al. Advances in the pharmacological treatment of hepatic alveolar echinococcosis: From laboratory to clinic. Front. Microbiol. 2022, 13, 953846. [Google Scholar] [CrossRef]
- Deplazes, P.; Rinaldi, L.; Alvarez Rojas, C.A.; Torgerson, P.R.; Harandi, M.F.; Romig, T.; Antolova, D.; Schurer, J.M.; Lahmar, S.; Cringoli, G.; et al. Global Distribution of Alveolar and Cystic Echinococcosis. Adv. Parasitol. 2017, 95, 315–493. [Google Scholar]
- Zhu, G.Q.; Yan, H.B.; Li, L.; Jia, W.Z. Research progress on hydatid disease vaccines. Chin. J. Zoonoses 2019, 35, 59–65. [Google Scholar]
- Zhou, X.H.; Wu, J.Y.; Huang, X.Q.; Kunnon, S.P.; Zhu, X.Q.; Chen, X.G. Identification and characterization of Schistosoma japonicum Sjp40, a potential antigen candidate for the early diagnosis of schistosomiasis. Diagn. Microbiol. Infect. Dis. 2010, 67, 337–345. [Google Scholar] [CrossRef]
- Rostami-Rad, S.; Jafari, R.; Yousofi Darani, H. Th1/Th2-type cytokine profile in C57 black mice inoculated with live Echinococcus granulosus protoscolices. J. Infect. Public Health 2018, 11, 834–839. [Google Scholar] [CrossRef]
- Biosa, G.; Bonelli, P.; Pisanu, S.; Ghisaura, S.; Santucciu, C.; Peruzzu, A.; Garippa, G.; Uzzau, S.; Masala, G.; Pagnozzi, D. Proteomic characterization of Echinococcus granulosus sensu stricto, Taenia hydatigena and Taenia multiceps metacestode cyst fluids. Acta Trop. 2022, 226, 106253. [Google Scholar] [CrossRef]
- Li, Q.; Zhang, J.; Fan, B.; Wang, F. Bioinformatics analysis of the molecular characteristics of the main egg antigen proteins of Echinococcus. Chin. Trop. Med. 2022, 22, 611–616. [Google Scholar]
- Wang, J.; Gottstein, B. Immunoregulation in larval Echinococcus multilocularis infection. Parasite Immunol. 2016, 38, 182–192. [Google Scholar] [CrossRef]
- Cao, S.; Gong, W.; Zhang, X.; Xu, M.; Wang, Y.; Xu, Y.; Cao, J.; Shen, Y.; Chen, J. Arginase promotes immune evasion of Echinococcus granulosus in mice. Parasites Vectors 2020, 13, 49. [Google Scholar] [CrossRef]
- Amri, M.; Mezioug, D.; Touil-Boukoffa, C. Involvement of IL-10 and IL-4 in evasion strategies of Echinococcus granulosus to host immune response. Eur. Cytokine Netw. 2009, 20, 63–68. [Google Scholar] [CrossRef]
- Shao, S.; Sun, X.; Chen, Y.; Zhan, B.; Zhu, X. Complement Evasion: An Effective Strategy That Parasites Utilize to Survive in the Host. Front. Microbiol. 2019, 10, 532. [Google Scholar] [CrossRef]
- Folle, A.M.; Lagos Magallanes, S.; Fló, M.; Alvez-Rosado, R.; Carrión, F.; Vallejo, C.; Watson, D.; Julve, J.; González-Sapienza, G.; Pristch, O.; et al. Modulatory actions of Echinococcus granulosus antigen B on macrophage inflammatory activation. Front. Cell. Infect. Microbiol. 2024, 14, 1362765. [Google Scholar] [CrossRef]
- Mamuti, W.; Sako, Y.; Nakao, M.; Xiao, N.; Nakaya, K.; Ishikawa, Y.; Yamasaki, H.; Lightowlers, M.W.; Ito, A. Recent advances in characterization of Echinococcus antigen B. Parasitol. Int. 2006, 55, S57–S62. [Google Scholar] [CrossRef]
- Siracusano, A.; Riganò, R.; Ortona, E.; Profumo, E.; Margutti, P.; Buttari, B.; Delunardo, F.; Teggi, A. Immunomodulatory mechanisms during Echinococcus granulosus infection. Exp. Parasitol. 2008, 119, 483–489. [Google Scholar] [CrossRef] [PubMed]
- Du, X. Molecular Identification of Echinococcus Granulosus Ubiquitin-Conjugating Enzymes E2D2 and E2N and Their Effects on the Formation of Host Liver Fibrosis; Sichuan Agricultural University: Yaan, China, 2022. [Google Scholar]
- Wang, Y.; Guo, A.; Zou, Y.; Mu, W.; Zhang, S.; Shi, Z.; Liu, Z.; Cai, X.; Zhu, X.Q.; Wang, S. Interaction between tissue-dwelling helminth and the gut microbiota drives mucosal immunoregulation. NPJ Biofilms Microbiomes 2023, 9, 43. [Google Scholar] [CrossRef] [PubMed]
- Wang, Z.; Pu, N.; Zhao, W.; Chen, X.; Zhang, Y.; Sun, Y.; Bo, X. RNA sequencing reveals dynamic expression of genes related to innate immune responses in canine small intestinal epithelial cells induced by Echinococcus granulosus protoscoleces. Front. Vet. Sci. 2024, 11, 1503995. [Google Scholar] [CrossRef]
- Urban, B.C.; Ferguson, D.J.; Pain, A.; Willcox, N.; Plebanski, M.; Austyn, J.M.; Roberts, D.J. Plasmodium falciparum-infected erythrocytes modulate the maturation of dendritic cells. Nature 1999, 400, 73–77. [Google Scholar] [CrossRef]
- Wei, X.L.; Xu, Q.; Rexiti, F.L.; Zhu, M.; Lin, R.Y.; Wen, H. Dynamic changes of DC and T cell subsets in mice during Echinococcus multilocularis infection. Cent. -Eur. J. Immunol. 2014, 39, 19–24. [Google Scholar] [CrossRef]
- Wang, J.; Müller, S.; Lin, R.; Siffert, M.; Vuitton, D.A.; Wen, H.; Gottstein, B. Depletion of FoxP3+ Tregs improves control of larval Echinococcus multilocularis infection by promoting co-stimulation and Th1/17 immunity. Immun. Inflamm. Dis. 2017, 5, 435–447. [Google Scholar] [CrossRef]
- Xian, J.; Wang, N.; Zhao, P.; Zhang, Y.; Meng, J.; Ma, X.; Wang, Z.; Bo, X. Molecular Characterization and Expression Analysis of the Gene Encoding 3-Hydroxyacyl-CoA Dehydrogenase (EGR-03347) from Echinococcus Granulosus and the Evaluation of the Immune Protection of the Definitive Hosts (dogs). Parasites Vectors 2021, 14, 489. [Google Scholar] [CrossRef]
- Shao, G.; Zhu, X.; Hua, R.; Lu, Z.; Chen, Y.; Yang, A.; Yang, G. Cocktail vaccine induces immunoprotection and modulates the fecal microbiota in dogs against Echinococcus granulosus infection. NPJ Vaccines 2025, 10, 214. [Google Scholar] [CrossRef]
- Wen, H.; Vuitton, L.; Tuxun, T.; Li, J.; Vuitton, D.A.; Zhang, W.; McManus, D.P. Echinococcosis: Advances in the 21st Century. Clin. Microbiol. Rev. 2019, 32, e00075-18. [Google Scholar] [CrossRef]
- Jiang, J.; Li, J.; Zhang, Y.; Zhou, C.; Guo, C.; Zhou, Z.; Ming, Y. The Protective Effect of the Soluble Egg Antigen of Schistosoma japonicum in A Mouse Skin Transplantation Model. Front. Immunol. 2022, 13, 884006. [Google Scholar] [CrossRef]
- Abouel-Nour, M.F.; Lotfy, M.; Attallah, A.M.; Doughty, B.L. Schistosoma mansoni major egg antigen Smp40: Molecular modeling and potential immunoreactivity for anti-pathology vaccine development. Mem. Do Inst. Oswaldo Cruz 2006, 101, 365–372. [Google Scholar] [CrossRef] [PubMed]
- Zhang, J.M.; Li, R.; Chen, X.Q.; He, X.D.; Wang, Z.R.; Zheng, Y.D.; Guo, X.L. Preparation and preliminary application of recombinant major egg antigen protein of Echinococcus multilocularis in immunodiagnosis. Chin. Vet. Sci. 2021, 51, 588–593. [Google Scholar]
- La Mendola, D.; Magrì, A.; Campagna, T.; Campitiello, M.A.; Raiola, L.; Isernia, C.; Hansson, O.; Bonomo, R.P.; Rizzarelli, E. A doppel alpha-helix peptide fragment mimics the copper (II) interactions with the whole protein. Chemistry 2010, 16, 6212–6223. [Google Scholar] [CrossRef]
- Marcos, E.; Chidyausiku, T.M.; McShan, A.C.; Evangelidis, T.; Nerli, S.; Carter, L.; Nivón, L.G.; Davis, A.; Oberdorfer, G.; Tripsianes, K.; et al. De novo design of a non-local β-sheet protein with high stability and accuracy. Nat. Struct. Mol. Biol. 2018, 25, 1028–1034. [Google Scholar] [CrossRef]
- Lin, W.; Liang, W.C.; Nguy, T.; Maia, M.; Tyagi, T.; Chiu, C.; Hoi, K.H.; Chen, Y.; Wu, Y. Rapid identification of anti-idiotypic mAbs with high affinity and diverse epitopes by rabbit single B-cell sorting-culture and cloning technology. PLoS ONE 2020, 15, e0244158. [Google Scholar] [CrossRef]
- Wu, L.Y.; Wang, Y.J.; Wen, Y.L.; Yan, R.F.; Xu, L.X.; Song, X.K.; Li, X.R. Cloning, expression and functional analysis of NADH: Ubiquinone oxidoreductase domain-containing protein gene from Haemonchus contortus. Acta Vet. Zootech. Sin. 2017, 48, 722–730. [Google Scholar]
- Wang, B.; Zhang, D.M.; Pan, W.Q. Detection of lymphocyte proliferation stimulated by plasmodium HGXPRT protein using CCK-8 assay. China Trop. Med. 2006, 6, 949–957. [Google Scholar]
- Wu, X.; Sun, L.; Zhang, L.; Liu, Z.Q.; Luo, Q.; Zhang, L.X. Effects of Toxoplasma gondii on proliferation and apoptosis of four types of tumor cells. Chin. J. Parasitol. Parasit. Dis. 2012, 30, 157–159. [Google Scholar]
- Yang, X.; Chen, T.; Yu, X. The research progress of inducible nitric oxide synthase and parasitic infection. Chin. J. Pathog. Biol. 2016, 11, 855–857. [Google Scholar]
- Bogdan, C. Nitric oxide synthase in innate and adaptive immunity: An update. Trends Immunol. 2015, 36, 161–178. [Google Scholar] [CrossRef]
- Ehsan, M.; Gao, W.; Gadahi, J.A.; Lu, M.; Liu, X.; Wang, Y.; Yan, R.; Xu, L.; Song, X.; Li, X. Arginine kinase from Haemonchus contortus decreased the proliferation and increased the apoptosis of goat PBMCs in vitro. Parasites Vectors 2017, 10, 311. [Google Scholar] [CrossRef]
- Raphael, I.; Nalawade, S.; Eagar, T.N.; Forsthuber, T.G. T cell subsets and their signature cytokines in autoimmune and inflammatory diseases. Cytokine 2015, 74, 5–17. [Google Scholar] [CrossRef]
- Buckner, J.H. Mechanisms of impaired regulation by CD4 (+) CD25 (+) FOXP3 (+) regulatory T cells in human autoimmune diseases. Nat. Rev. Immunol. 2010, 10, 849–859. [Google Scholar] [CrossRef]
- Shevach, E.M. CD4+ CD25+ suppressor T cells: More questions than answers. Nat. Rev. Immunol. 2002, 2, 389–400. [Google Scholar] [CrossRef]
- Frank, D.; Vince, J.E. Pyroptosis versus necroptosis: Similarities, differences, and crosstalk. Cell Death Differ. 2019, 26, 99–114. [Google Scholar] [CrossRef]
- Chen, Y.; Hua, R.; Shao, G.; Zhu, X.; Hou, W.; Li, S.; Yang, A.; Yang, G. Effects of annexin B18 from Echinococcus granulosus sensu lato on mouse macrophages. Exp. Parasitol. 2024, 260, 108723. [Google Scholar] [CrossRef]
- He, X.; Shao, G.; Du, X.; Hua, R.; Song, H.; Chen, Y.; Zhu, X.; Yang, G. Molecular characterization and functional implications on mouse peripheral blood mononuclear cells of annexin proteins from Echinococcus granulosus sensu lato. Parasites Vectors 2023, 16, 350. [Google Scholar] [CrossRef]
- Kachler, K.; Holzinger, C.; Trufa, D.I.; Sirbu, H.; Finotto, S. The role of Foxp3 and Tbet co-expressing Treg cells in lung carcinoma. Oncoimmunology 2018, 7, e1456612. [Google Scholar] [CrossRef]
- Salim, T.; Sershen, C.L.; May, E. Investigating the Role of TNF-α and IFN-γ Activation on the Dynamics of iNOS Gene Expression in LPS Stimulated Macrophages. PLoS ONE 2016, 11, e0153289. [Google Scholar] [CrossRef]
- Zhao, S.; Zhang, Y.; Lu, X.; Ding, H.; Han, B.; Song, X.; Miao, H.; Cui, X.; Wei, S.; Liu, W.; et al. CDC20 regulates the cell proliferation and radiosensitivity of P53 mutant HCC cells through the Bcl-2/Bax pathway. Int. J. Biol. Sci. 2021, 17, 3608–3621. [Google Scholar] [CrossRef]
- Hao, Q.; Chen, J.; Lu, H.; Zhou, X. The ARTS of p53-dependent mitochondrial apoptosis. J. Mol. Cell Biol. 2023, 14, 74. [Google Scholar] [CrossRef] [PubMed]
- Chao, R.; Hu, X.Y.; Zhu, S.D.; Deng, W.; Wang, L. Effects of matrine combined with chemotherapeutic drugs on proliferation and invasiveness of human acute myeloid leukemia HL-60 cells. World J. Tradit. Chin. Med. 2019, 14, 2910–2913. [Google Scholar]
- Liu, Z.; Wang, C.; Yang, J.; Chen, Y.; Zhou, B.; Abbott, D.W.; Xiao, T.S. Caspase-1 Engages Full-Length Gasdermin D through Two Distinct Interfaces That Mediate Caspase Recruitment and Substrate Cleavage. Immunity 2020, 53, 106–114.e5. [Google Scholar] [CrossRef] [PubMed]
- Aglietti, R.A.; Estevez, A.; Gupta, A.; Ramirez, M.G.; Liu, P.S.; Kayagaki, N.; Ciferri, C.; Dixit, V.M.; Dueber, E.C. GsdmD p30 elicited by caspase-11 during pyroptosis forms pores in membranes. Proc. Natl. Acad. Sci. USA 2016, 113, 7858–7863. [Google Scholar] [CrossRef]
- Devant, P.; Dong, Y.; Mintseris, J.; Ma, W.; Gygi, S.P.; Wu, H.; Kagan, J.C. Structural insights into cytokine cleavage by inflammatory caspase-4. Nature 2023, 624, 451–459. [Google Scholar] [CrossRef]
- Wei, C.; Jiang, W.; Wang, R.; Zhong, H.; He, H.; Gao, X.; Zhong, S.; Yu, F.; Guo, Q.; Zhang, L.; et al. Brain endothelial GSDMD activation mediates inflammatory BBB breakdown. Nature 2024, 629, 893–900. [Google Scholar] [CrossRef]
- Yin, G.; Qi, X.; Li, Y.; Xu, L.; Zhou, S.; Chen, X.; Zhu, J.; Su, C. The mechanism of mouse macrophage apoptosis induced by Schistosoma japonicum soluble egg antigen. Chin. J. Schistosomiasis Control 2022, 34, 259–268. [Google Scholar]



Marked as the EGR-01664 protein sequence in this study.
Marked as the EGR-01664 protein sequence in this study.









| Gene | Primer Sequences (5′ → 3′) | Tm/°C | Product Length/bp | Applications |
|---|---|---|---|---|
| EGR-01664 | GGAATTCGTCGCTGGAAAAGGCTACA CCAAGCTTTGACAATGCAGAACCCTCC | 60.0 | 984 | Cloning |
| qEGR-01664 | AGAGGAGCCCAAGAATCCCT TGATCCAACTGGCACGTCAA | 60.0 | 78 | Real-time PCR |
| β-actin | AGTTCCTATGGTGTGCCTGC TCCCTCTTGGTCCGTGATCT | 60.0 | 102 | Real-time PCR |
| TGF-β1 | TGCAAGTAGACATTAACGGGTTC GAAGGGTCGGTTCATGCCA | 60.0 | 77 | Real-time PCR |
| IL-10 | CGCATTTAGTAAGCTCCAGG TGCCATCCTGGGTGTTTTGT | 60.0 | 140 | Real-time PCR |
| IL-17A | TTGGAATCTGCACCGCAATG TGGATGGGGACGGAGTTCAT | 60.0 | 129 | Real-time PCR |
| IFN-γ | CCAGATGTATCGGACGGTGG TGTTTTGTCACTCTCCTCTCTCC | 60.0 | 72 | Real-time PCR |
| GSDMD | GGCCTCCACACAGGTTTTCT ACTGAAGCGAGTCGTATGCC | 60.0 | 72 | Real-time PCR |
| Bcl-2 | GACTGAGTACCTGAACCGGC AGTTCCACAAAGGCATCCCAG | 60.0 | 72 | Real-time PCR |
| Bax | GCCCTTTTGCTTCAGGGTTTC CGATGCGCTTGAGACATTCG | 60.0 | 130 | Real-time PCR |
| GASP4 | CAGGCCTGCAGAGGTGAAAA GGCATCACTCTGGAGCATCA | 60.0 | 105 | Real-time PCR |
| IL-18 | TGAACGACCAAGTCCTCTTCG TGCCAGACCTCTAGTGAGGC | 60.0 | 140 | Real-time PCR |
| IL-1β | CCTGGAAATGTGAAGTGCTGC TTGCAACTGGATGCCCTCAT | 60.0 | 72 | Real-time PCR |
| Gene | Amino Acid (aa) | Molecular Weight (kDa) | PI | Instability Index | Signal Peptide | Transmembrane Area | B-Cell Antigenic Epitope (Score > 0.85) |
|---|---|---|---|---|---|---|---|
| EGR-01664 | 343 | 38.09 | 6.88 | 58.41 | — | — | 8 |
Disclaimer/Publisher’s Note: The statements, opinions and data contained in all publications are solely those of the individual author(s) and contributor(s) and not of MDPI and/or the editor(s). MDPI and/or the editor(s) disclaim responsibility for any injury to people or property resulting from any ideas, methods, instructions or products referred to in the content. |
© 2025 by the authors. Licensee MDPI, Basel, Switzerland. This article is an open access article distributed under the terms and conditions of the Creative Commons Attribution (CC BY) license (https://creativecommons.org/licenses/by/4.0/).
Share and Cite
Huang, J.; Bo, X.; Chen, X.; Zhao, J.; Zhao, J.; Wei, L.; Zhang, Y.; Sun, Y.; Wang, Z. Molecular Characterization and Functional Effect on Canine Peripheral Blood Mononuclear Cells of an Uncharacterized Major Egg Antigen EGR-01664 from Echinococcus granulosus. Genes 2025, 16, 1384. https://doi.org/10.3390/genes16111384
Huang J, Bo X, Chen X, Zhao J, Zhao J, Wei L, Zhang Y, Sun Y, Wang Z. Molecular Characterization and Functional Effect on Canine Peripheral Blood Mononuclear Cells of an Uncharacterized Major Egg Antigen EGR-01664 from Echinococcus granulosus. Genes. 2025; 16(11):1384. https://doi.org/10.3390/genes16111384
Chicago/Turabian StyleHuang, Juncheng, Xinwen Bo, Xuke Chen, Jiaxin Zhao, Jianan Zhao, Linying Wei, Yanyan Zhang, Yan Sun, and Zhengrong Wang. 2025. "Molecular Characterization and Functional Effect on Canine Peripheral Blood Mononuclear Cells of an Uncharacterized Major Egg Antigen EGR-01664 from Echinococcus granulosus" Genes 16, no. 11: 1384. https://doi.org/10.3390/genes16111384
APA StyleHuang, J., Bo, X., Chen, X., Zhao, J., Zhao, J., Wei, L., Zhang, Y., Sun, Y., & Wang, Z. (2025). Molecular Characterization and Functional Effect on Canine Peripheral Blood Mononuclear Cells of an Uncharacterized Major Egg Antigen EGR-01664 from Echinococcus granulosus. Genes, 16(11), 1384. https://doi.org/10.3390/genes16111384
