Toll-like Receptor Expression in Pelodiscus sinensis Reveals Differential Responses after Aeromonas hydrophila Infection
Abstract
1. Introduction
2. Materials and Methods
2.1. Animals
2.1.1. Bacterial Infection Experiment
2.1.2. RNA Extraction and cDNA Synthesis
2.1.3. Gene Cloning of TLR2, TLR3 and TLR5
2.1.4. Bioinformation Analysis of TLR2, TLR3, and TLR5
2.1.5. Quantitative PCR (qPCR) Analysis
2.1.6. Recombinant Protein Expression and Purification
2.1.7. Microbial Binding Assay
2.1.8. Western Blotting
2.1.9. Statistical Analysis
3. Results
3.1. Cloning and Sequence Analysis of TLR2, TLR3, and TLR5
3.2. Tissue Expression of TLR2, TLR3 and TLR5
3.3. Expression Profiles of TLR2, TLR3 and TLR5 Challenged by A. hydrophila
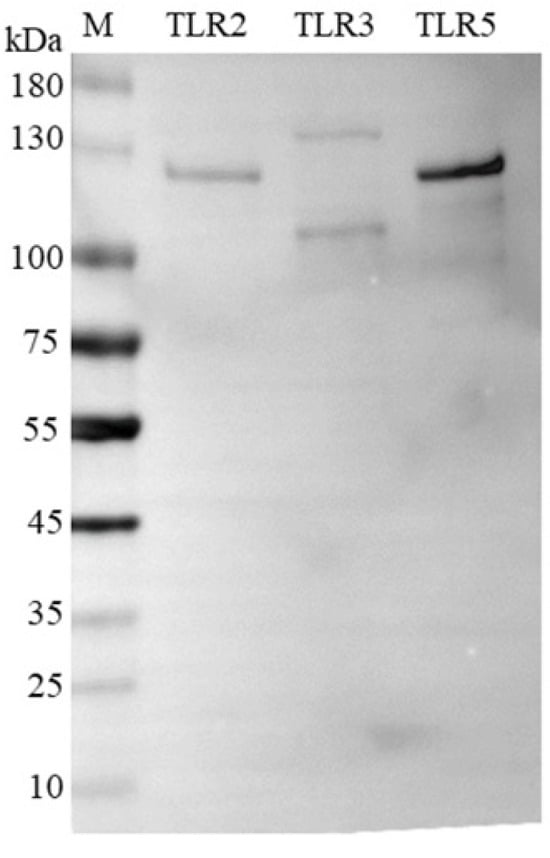
3.4. Prokaryotic Expression of TLR2, TLR3 and TLR5-LRR
3.5. Binding Activities of TLR2, TLR3, and TLR5-LRR to Bacteria
4. Discussion
Supplementary Materials
Author Contributions
Funding
Institutional Review Board Statement
Informed Consent Statement
Data Availability Statement
Conflicts of Interest
References
- Janeway, C.A.; Medzhitov, R. Innate Immune Recognition. Annu. Rev. Immunol. 2002, 20, 197–216. [Google Scholar] [CrossRef] [PubMed]
- Suresh, R.; Mosser, D.M. Pattern recognition receptors in innate immunity, host defense, and immunopathology. Adv. Physiol. Educ. 2013, 37, 284–291. [Google Scholar] [CrossRef] [PubMed]
- Boltaña, S.; Roher, N.; Goetz, F.W.; MacKenzie, S.A. PAMPs, PRRs and the genomics of gram negative bacterial recognition in fish. Dev. Comp. Immunol. 2011, 35, 1195–1203. [Google Scholar] [CrossRef] [PubMed]
- Akira, S.; Uematsu, S.; Takeuchi, O. Pathogen Recognition and Innate Immunity. Cell 2006, 124, 783–801. [Google Scholar] [CrossRef] [PubMed]
- Akira, S.; Takeda, K. Toll-like receptor signalling. Nat. Rev. Immunol. 2004, 4, 499–511. [Google Scholar] [CrossRef] [PubMed]
- Kawai, T.; Akira, S. TLR signaling. Cell Death Differ. 2006, 13, 816–825. [Google Scholar] [CrossRef]
- O’Neill, L.A.J.; Bowie, A.G. The family of five: TIR-domain-containing adaptors in Toll-like receptor signalling. Nat. Rev. Immunol. 2007, 7, 353–364. [Google Scholar] [CrossRef]
- Takeuchi, O.; Akira, S. Pattern Recognition Receptors and Inflammation. Cell 2010, 140, 805–820. [Google Scholar] [CrossRef]
- Habib, Y.J.; Zhang, Z. The involvement of crustaceans toll-like receptors in pathogen recognition. Fish Shellfish Immunol. 2020, 102, 169–176. [Google Scholar] [CrossRef]
- Palti, Y. Toll-like receptors in bony fish: From genomics to function. Dev. Comp. Immunol. 2011, 35, 1263–1272. [Google Scholar] [CrossRef]
- Zhou, Z.; Lin, Z.; Pang, X.; Shan, P.; Wang, J. MicroRNA regulation of Toll-like receptor signaling pathways in teleost fish. Fish Shellfish Immunol. 2018, 75, 32–40. [Google Scholar] [CrossRef] [PubMed]
- Kirschning, C.J.; Schumann, R.R. TLR2: Cellular sensor for microbial and endogenous molecular patterns. Curr. Top. Microbiol. Immunol. 2002, 270, 121–144. [Google Scholar] [CrossRef] [PubMed]
- De Oliviera Nascimento, L.; Massari, P.; Wetzler, L.M. The Role of TLR2 in Infection and Immunity. Front. Immunol. 2012, 3, 79. [Google Scholar] [CrossRef] [PubMed]
- Wetzler, L.M. The role of Toll-like receptor 2 in microbial disease and immunity. Vaccine 2003, 21 (Suppl. S2), S55–S60. [Google Scholar] [CrossRef] [PubMed]
- Matsumoto, M.; Seya, T. TLR3: Interferon induction by double-stranded RNA including poly(I:C). Adv. Drug Deliv. Rev. 2008, 60, 805–812. [Google Scholar] [CrossRef]
- Miao, E.A.; Andersen-Nissen, E.; Warren, S.E.; Aderem, A. TLR5 and Ipaf: Dual sensors of bacterial flagellin in the innate immune system. Semin. Immunopathol. 2007, 29, 275–288. [Google Scholar] [CrossRef]
- Liu, T.; Han, Y.; Chen, S.; Zhao, H. Genome-wide identification of Toll-like receptors in the Chinese soft-shelled turtle Pelodiscus sinensis and expression analysis responding to Aeromonas hydrophila infection. Fish Shellfish Immunol. 2019, 87, 478–489. [Google Scholar] [CrossRef]
- Lv, Z.; Hu, Y.; Tan, J.; Wang, X.; Liu, X.; Zeng, C. Comparative Transcriptome Analysis Reveals the Molecular Immunopathogenesis of Chinese Soft-Shelled Turtle (Trionyx sinensis) Infected with Aeromonas hydrophila. Biology 2021, 10, 1218. [Google Scholar] [CrossRef]
- Zhang, J.; Wang, F.; Jiang, Y.-L.; Hou, G.-J.; Cheng, Y.-S.; Chen, H.-L.; Li, X. Modern greenhouse culture of juvenile soft-shelled turtle, Pelodiscus sinensis. Aquac. Int. 2017, 25, 1607–1624. [Google Scholar] [CrossRef]
- Livak, K.J.; Schmittgen, T.D. Analysis of Relative Gene Expression Data Using Real-Time Quantitative PCR and the 2−ΔΔCT Method. Methods 2001, 25, 402–408. [Google Scholar] [CrossRef]
- Lai, R.; Liu, H.; Jakovlić, I.; Zhan, F.; Wei, J.; Yang, P.; Wang, W. Molecular cloning and expression of toll-like receptor 4 (tlr4) in the blunt snout bream (Megalobrama amblycephala). Dev. Comp. Immunol. 2016, 59, 63–76. [Google Scholar] [CrossRef] [PubMed]
- Leulier, F.; Lemaitre, B. Toll-like receptors—Taking an evolutionary approach. Nat. Rev. Genet. 2008, 9, 165–178. [Google Scholar] [CrossRef] [PubMed]
- Matsushima, N.; Tachi, N.; Kuroki, Y.; Enkhbayar, P.; Osaki, M.; Kamiya, M.; Kretsinger, R.H. Structural analysis of leucine-rich-repeat variants in proteins associated with human diseases. Cell. Mol. Life Sci. CMLS 2005, 62, 2771–2791. [Google Scholar] [CrossRef] [PubMed]
- Bell, J.K.; Mullen, G.E.D.; Leifer, C.A.; Mazzoni, A.; Davies, D.R.; Segal, D.M. Leucine-rich repeats and pathogen recognition in Toll-like receptors. Trends Immunol. 2003, 24, 528–533. [Google Scholar] [CrossRef] [PubMed]
- Ofir, G.; Herbst, E.; Baroz, M.; Cohen, D.; Millman, A.; Doron, S.; Tal, N.; Malheiro, D.B.A.; Malitsky, S.; Amitai, G.; et al. Antiviral activity of bacterial TIR domains via immune signalling molecules. Nature 2021, 600, 116–120. [Google Scholar] [CrossRef]
- Toshchakov, V.Y.; Neuwald, A.F. A survey of TIR domain sequence and structure divergence. Immunogenetics 2020, 72, 181–203. [Google Scholar] [CrossRef]
- Ota, F.; Monika, A.; Roman, J. Suppression of TLR Signaling by Targeting TIR domain-Containing Proteins. Curr. Protein Pept. Sci. 2012, 13, 776–788. [Google Scholar] [CrossRef]
- Slack, J.L.; Schooley, K.; Bonnert, T.P.; Mitcham, J.L.; Qwarnstrom, E.E.; Sims, J.E.; Dower, S.K. Identification of Two Major Sites in the Type I Interleukin-1 Receptor Cytoplasmic Region Responsible for Coupling to Pro-inflammatory Signaling Pathways*. J. Biol. Chem. 2000, 275, 4670–4678. [Google Scholar] [CrossRef]
- Ao, J.; Mu, Y.; Wang, K.; Sun, M.; Wang, X.; Chen, X. Identification and characterization of a novel Toll-like receptor 2 homologue in the large yellow croaker Larimichthys crocea. Fish Shellfish Immunol. 2016, 48, 221–227. [Google Scholar] [CrossRef]
- Huang, X.-N.; Wang, Z.-Y.; Yao, C.-L. Characterization of Toll-like receptor 3 gene in large yellow croaker, Pseudosciaena crocea. Fish Shellfish Immunol. 2011, 31, 98–106. [Google Scholar] [CrossRef]
- Ishii, A.; Kawasaki, M.; Matsumoto, M.; Tochinai, S.; Seya, T. Phylogenetic and expression analysis of amphibian Xenopus Toll-like receptors. Immunogenetics 2007, 59, 281–293. [Google Scholar] [CrossRef] [PubMed]
- Zhao, Z.; Liu, S.; Wu, C.; Wang, Q.; Zhang, Y.; Wang, B.; Wang, L.; Sun, R.; Guo, M.; Ji, W. Bioinformatics characteristics and expression analysis of TLR3 and its adaptor protein TRIF in largemouth bass (Micropterus salmoides) upon Flavobacterium columnare infection. Gene 2023, 872, 147450. [Google Scholar] [CrossRef] [PubMed]
- Tsujita, T.; Tsukada, H.; Nakao, M.; Oshiumi, H.; Matsumoto, M.; Seya, T. Sensing bacterial flagellin by membrane and soluble orthologs of Toll-like receptor 5 in rainbow trout (Onchorhynchus mikiss). J. Biol. Chem. 2004, 279, 48588–48597. [Google Scholar] [CrossRef] [PubMed]
- Chung, T.H.; Yi, S.W.; Kim, B.S.; Kim, W.I.; Shin, G.-W. Identification and antibiotic resistance profiling of bacterial isolates from septicaemic soft-shelled turtles (Pelodiscus sinensis). Vet. Med. 2017, 62, 169–177. [Google Scholar] [CrossRef]
- Zhou, X.; Guo, Q.; Dai, H. Identification of differentially expressed immune-relevant genes in Chinese soft-shelled turtle (Trionyx sinensis) infected with Aeromonas hydrophila. Vet. Immunol. Immunopathol. 2008, 125, 82–91. [Google Scholar] [CrossRef]
- Zhou, X.; Wang, L.; Feng, H.; Guo, Q.; Dai, H. Acute phase response in Chinese soft-shelled turtle (Trionyx sinensis) with Aeromonas hydrophila infection. Dev. Comp. Immunol. 2010, 35, 441–451. [Google Scholar] [CrossRef]
- Luo, K.; Di, J.; Han, P.; Zhang, S.; Xia, L.; Tian, G.; Zhang, W.; Dun, D.; Xu, Q.; Wei, Q. Transcriptome analysis of the critically endangered Dabry’s sturgeon (Acipenser dabryanus) head kidney response to Aeromonas hydrophila. Fish Shellfish Immunol. 2018, 83, 249–261. [Google Scholar] [CrossRef]
- Meijer, A.; Krens, S.F.; Rodriguez, I.; He, S.; Bitter, W.; Snaar-Jagalska, B.E.; Spaink, H. Expression analysis of the Toll-like receptor and TIR domain adaptor families of zebrafish. Mol. Immunol. 2004, 40, 773–783. [Google Scholar] [CrossRef]
- Blasius, A.; Beutler, B. Intracellular Toll-like Receptors. Immunity 2010, 32, 305–315. [Google Scholar] [CrossRef]
- Komai-Koma, M.; Jones, L.; Ogg, G.S.; Xu, D.; Liew, F.Y. TLR2 is expressed on activated T cells as a costimulatory receptor. Proc. Natl. Acad. Sci. USA 2004, 101, 3029–3034. [Google Scholar] [CrossRef]
- Bell, J.K.; Botos, I.; Hall, P.R.; Askins, J.; Shiloach, J.; Davies, D.R.; Segal, D.M. The molecular structure of the TLR3 extracellular domain. J. Endotoxin Res. 2006, 12, 375–378. [Google Scholar] [CrossRef] [PubMed]
- Letran, S.E.; Lee, S.-J.; Atif, S.M.; Uematsu, S.; Akira, S.; McSorley, S.J. TLR5 functions as an endocytic receptor to enhance flagellin-specific adaptive immunity. Eur. J. Immunol. 2011, 41, 29–38. [Google Scholar] [CrossRef] [PubMed]
- Hannig, G.; Makrides, S.C. Strategies for optimizing heterologous protein expression in Escherichia coli. Trends Biotechnol. 1998, 16, 54–60. [Google Scholar] [CrossRef] [PubMed]
- Rosano, G.; Ceccarelli, E. Recombinant protein expression in Escherichia coli: Advances and challenges. Front. Microbiol. 2014, 5, 172. [Google Scholar] [CrossRef] [PubMed]
- Zhang, Z.-X.; Nong, F.-T.; Wang, Y.-Z.; Yan, C.-X.; Gu, Y.; Song, P.; Sun, X.-M. Strategies for efficient production of recombinant proteins in Escherichia coli: Alleviating the host burden and enhancing protein activity. Microb. Cell. Fact. 2022, 21, 191. [Google Scholar] [CrossRef]
- Baneyx, F. Recombinant protein expression in Escherichia coli. Curr. Opin. Biotechnol. 1999, 10, 411–421. [Google Scholar] [CrossRef]
- Mayer, M.; Buchner, J. Refolding of Inclusion Body Proteins; Humana Press: Totowa, NJ, USA, 2004. [Google Scholar]
- Saini, P.; Wani, S.; Kumar, R.; Chhabra, R.; Chimni, S.; Sareen, D. Trigger Factor Assisted Folding of the Recombinant Epoxide Hydrolases Identified from C. pelagibacter and S. nassauensis. Protein Expr. Purif. 2014, 104, 71–84. [Google Scholar] [CrossRef]
- Hu, X.; Guangsen, F.; Liao, H.; Zhilei, F.; Ma, C.; Ni, H.; Li, X. Optimized soluble expression of a novel endoglucanase from Burkholderia pyrrocinia in Escherichia coli. 3 Biotech 2020, 10, 387. [Google Scholar] [CrossRef]
- Uenobe, M.; Kohchi, C.; Yoshioka, N.; Yuasa, A.; Inagawa, H.; Morii, K.; Nishizawa, T.; Takahashi, Y.; Soma, G. Cloning and characterization of a TNF-like protein of Plecoglossus altivelis (ayu fish). Mol. Immunol. 2007, 44, 1115–1122. [Google Scholar] [CrossRef]
- Odeyemi, O.A. Incidence and prevalence of Vibrio parahaemolyticus in seafood: A systematic review and meta-analysis. Springerplus 2016, 5, 464. [Google Scholar] [CrossRef]
- Liu, R.; Qi, Y.; Feng, H.; Niu, Y.; Zhang, F.; Yang, G.; Shan, S. Fish-specific Toll-like receptor 14 (TLR14) from Asian swamp eel (Monopterus albus) is involved in immune response to bacterial infection. Fish Shellfish Immunol. 2022, 124, 313–323. [Google Scholar] [CrossRef] [PubMed]
- Zhu, K.C.; Wu, M.; Zhang, D.C.; Guo, H.Y.; Zhang, N.; Guo, L.; Liu, B.S.; Jiang, S.G. Toll-Like Receptor 5 of Golden Pompano Trachinotus ovatus (Linnaeus 1758): Characterization, Promoter Activity and Functional Analysis. Int. J. Mol. Sci. 2020, 21, 5916. [Google Scholar] [CrossRef] [PubMed]
- Wu, M.; Zhu, K.C.; Guo, H.Y.; Guo, L.; Liu, B.; Jiang, S.G.; Zhang, D.C. Characterization, expression and function analysis of the TLR3 gene in golden pompano (Trachinotus ovatus). Dev. Comp. Immunol. 2021, 117, 103977. [Google Scholar] [CrossRef]








| Primer Name | Primer Sequence (5′–3′) | Usage |
|---|---|---|
| PsTLR2-F | ATGAGATCAATAGGAAGCACTGGC | TLR2 cloning |
| PsTLR2-R | CTAGGATTTTAATGCTATTTTCAAATTAAA | TLR2 cloning |
| PsTLR3-F | ATGAGAGCTACCCTTTCCAGTTGG | TLR3 cloning |
| PsTLR3-R | TCAATGTATTTTGCTGCTAGATTTAAG | TLR3 cloning |
| PsTLR5-F | ATGTACTTCCCACAGTTTCTGCAG | TLR5 cloning |
| PsTLR5-R | CTACGAGATTGTCCTTATCGTTTGC | TLR5 cloning |
| PsTLR2-qF | TTCAGGCACTCAGATAACCACG | Real-time PCR |
| PsTLR2-qR | TTCTGCTGATTCTTAGGGACACC | Real-time PCR |
| PsTLR3-qF | GCACCACTTTGATAATGCTCCTC | Real-time PCR |
| PsTLR3-qR | CCCACTTCCTGTCCCTTCTTG | Real-time PCR |
| PsTLR5-qF | GATCCTGAGCATCACAATGTTACATCATC | Real-time PCR |
| PsTLR5-qR | GGCTACAACCATTATACCTGGCGATT | Real-time PCR |
| β-actin-qF | AGACCCGACAGACTACCTCA | Real-time PCR |
| β-actin-qR | CACCTGACCATCAGGCAACT | Real-time PCR |
| PsTLR2-LRRs-F | ggtatcgaaggtaggCATATGCCTTCAGGACTAACAACTGATGTCA | Plasmid construction |
| PsTLR2-LRRs-R | ctatctagactgcagGTCGACGTGACATTCAAACAGTGAAGCCG | Plasmid construction |
| PsTLR3-LRRs-F | ggtatcgaaggtaggCATATGACCTGCTCCTGGCTCTGTGTAA | Plasmid construction |
| PsTLR3-LRRs-R | ctatctagactgcagGTCGACTTTGCAGGGTGAAATGTCAAAA | Plasmid construction |
| PsTLR5-LRRs-F | ggtatcgaaggtaggCATATGCCAAACCTTCAAACCTTAGATTTAGG | Plasmid construction |
| PsTLR5-LRRs-R | ctatctagactgcagGTCGACATTACACCCATCAAGTGCCACTG | Plasmid construction |
Disclaimer/Publisher’s Note: The statements, opinions and data contained in all publications are solely those of the individual author(s) and contributor(s) and not of MDPI and/or the editor(s). MDPI and/or the editor(s) disclaim responsibility for any injury to people or property resulting from any ideas, methods, instructions or products referred to in the content. |
© 2024 by the authors. Licensee MDPI, Basel, Switzerland. This article is an open access article distributed under the terms and conditions of the Creative Commons Attribution (CC BY) license (https://creativecommons.org/licenses/by/4.0/).
Share and Cite
Tian, Y.; Zhang, H.; Ge, L.; Wang, Z.; Wang, P.; Xiong, S.; Wang, X.; Hu, Y. Toll-like Receptor Expression in Pelodiscus sinensis Reveals Differential Responses after Aeromonas hydrophila Infection. Genes 2024, 15, 1230. https://doi.org/10.3390/genes15091230
Tian Y, Zhang H, Ge L, Wang Z, Wang P, Xiong S, Wang X, Hu Y. Toll-like Receptor Expression in Pelodiscus sinensis Reveals Differential Responses after Aeromonas hydrophila Infection. Genes. 2024; 15(9):1230. https://doi.org/10.3390/genes15091230
Chicago/Turabian StyleTian, Yu, Hui Zhang, Lingrui Ge, Zi’ao Wang, Pei Wang, Shuting Xiong, Xiaoqing Wang, and Yazhou Hu. 2024. "Toll-like Receptor Expression in Pelodiscus sinensis Reveals Differential Responses after Aeromonas hydrophila Infection" Genes 15, no. 9: 1230. https://doi.org/10.3390/genes15091230
APA StyleTian, Y., Zhang, H., Ge, L., Wang, Z., Wang, P., Xiong, S., Wang, X., & Hu, Y. (2024). Toll-like Receptor Expression in Pelodiscus sinensis Reveals Differential Responses after Aeromonas hydrophila Infection. Genes, 15(9), 1230. https://doi.org/10.3390/genes15091230

