CHD7 Disorder—Not CHARGE Syndrome—Presenting as Isolated Cochleovestibular Dysfunction
Abstract
1. Introduction
2. Materials and Methods
3. Cases
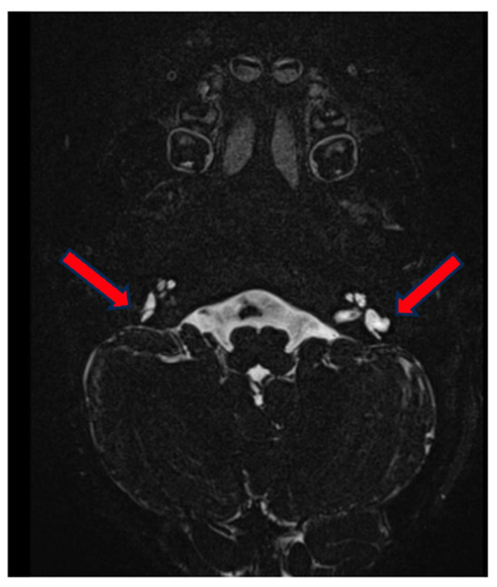
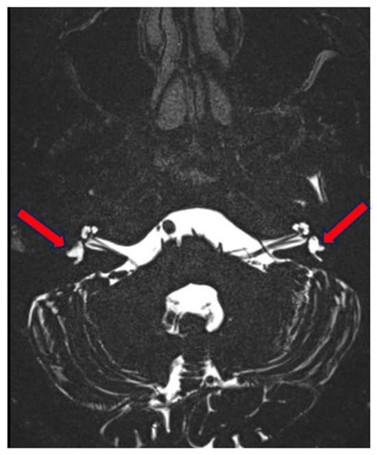
3.1. Case 1
3.2. Case 2
3.3. Case 3
4. Discussion
5. Conclusions
Author Contributions
Funding
Institutional Review Board Statement
Informed Consent Statement
Data Availability Statement
Conflicts of Interest
References
- Pagon, R.A.; Graham, J.M.; Zonana, J.; Yong, S.L. Coloboma, congenital heart disease, and choanal atresia with multiple anomalies: CHARGE association. J. Pediatr. 1981, 99, 223–227. [Google Scholar] [CrossRef]
- Blake, K.D.; Davenport, S.L.; Hall, B.D.; Hefner, M.A.; Pagon, R.A.; Williams, M.S.; Lin, A.E.; Graham, J.M., Jr. CHARGE association: An update and review for the primary pediatrician. Clin. Pediatr. 1998, 37, 159–173. [Google Scholar] [CrossRef] [PubMed]
- Verloes, A. Updated diagnostic criteria for CHARGE syndrome: A proposal. Am. J. Med. Genet. A 2005, 133A, 306–308. [Google Scholar] [CrossRef] [PubMed]
- Vissers, L.E.L.M.; van Ravenswaaij, C.M.A.; Admiraal, R.; Hurst, J.A.; de Vries, B.B.A.; Janssen, I.M.; van der Vliet, W.A.; Huys, E.H.; de Jong, P.J.; Hamel, B.C.; et al. Mutations in a new member of the chromodomain gene family cause CHARGE syndrome. Nat. Genet. 2004, 36, 955–957. [Google Scholar] [CrossRef] [PubMed]
- Jongmans, M.C.J.; Admiraal, R.J.; van der Donk, K.P.; Vissers, L.E.L.M.; Baas, A.F.; Kapusta, L.; van Hagen, J.M.; Donnai, D.; de Ravel, T.J.; Veltman, J.A.; et al. CHARGE syndrome: The phenotypic spectrum of mutations in the CHD7 gene. J. Med. Genet. 2006, 43, 306–314. [Google Scholar] [CrossRef] [PubMed]
- Zentner, G.E.; Layman, W.S.; Martin, D.M.; Scacheri, P.C. Molecular and phenotypic aspects of CHD7 mutation in CHARGE syndrome. Am. J. Med. Genet. A 2010, 152A, 674–686. [Google Scholar] [CrossRef] [PubMed]
- Bergman, J.E.H.; Janssen, N.; Hoefsloot, L.H.; Jongmans, M.C.J.; Hofstra, R.M.W.; van Ravenswaaij-Arts, C.M.A. CHD7 mutations and CHARGE syndrome: The clinical implications of an expanding phenotype. J. Med. Genet. 2011, 48, 334–342. [Google Scholar] [CrossRef]
- Woodage, T.; Basrai, M.A.; Baxevanis, A.D.; Hieter, P.; Collins, F.S. Characterization of the CHD family of proteins. Proc. Natl. Acad. Sci. USA 1997, 94, 11472–11477. [Google Scholar] [CrossRef]
- Basson, M.A.; van Ravenswaaij-Arts, C. Functional Insights into Chromatin Remodelling from Studies on CHARGE Syndrome. Trends Genet. TIG 2015, 31, 600–611. [Google Scholar] [CrossRef]
- Yan, S.; Thienthanasit, R.; Chen, D.; Engelen, E.; Brühl, J.; Crossman, D.K.; Kesterson, R.; Wang, Q.; Bouazoune, K.; Jiao, K. CHD7 regulates cardiovascular development through ATP-dependent and -independent activities. Proc. Natl. Acad. Sci. USA 2020, 117, 28847–28858. [Google Scholar] [CrossRef]
- Jongmans, M.C.J.; Hoefsloot, L.H.; van der Donk, K.P.; Admiraal, R.J.; Magee, A.; van de Laar, I.; Hendriks, Y.; Verheij, J.B.; Walpole, I.; Brunner, H.G.; et al. Familial CHARGE syndrome and the CHD7 gene: A recurrent missense mutation, intrafamilial recurrence and variability. Am. J. Med. Genet. A 2008, 146A, 43–50. [Google Scholar] [CrossRef]
- Hale, C.L.; Niederriter, A.N.; Green, G.E.; Martin, D.M. Atypical phenotypes associated with pathogenic CHD7 variants and a proposal for broadening CHARGE syndrome clinical diagnostic criteria. Am. J. Med. Genet. A 2016, 170A, 344–354. [Google Scholar] [CrossRef]
- van Ravenswaaij-Arts, C.M.; Hefner, M.; Blake, K.; Martin, D.M. CHD7 Disorder. In GeneReviews® [Internet]; Adam, M.P., Feldman, J., Mirzaa, G.M., Pagon, R.A., Wallace, S.E., Bean, L.J.H., Gripp, K.W., Amemiya , A., Eds.; University of Washington: Seattle, WA, USA, 1993; Available online: http://www.ncbi.nlm.nih.gov/books/NBK1117/ (accessed on 28 March 2024).
- Janssen, N.; Bergman, J.E.H.; Swertz, M.A.; Tranebjaerg, L.; Lodahl, M.; Schoots, J.; Hofstra, R.M.; van Ravenswaaij-Arts, C.M.; Hoefsloot, L.H. Mutation update on the CHD7 gene involved in CHARGE syndrome. Hum. Mutat. 2012, 33, 1149–1160. [Google Scholar] [CrossRef]
- Jiang, Y.H.; Yuen, R.K.C.; Jin, X.; Wang, M.; Chen, N.; Wu, X.; Ju, J.; Mei, J.; Shi, Y.; He, M.; et al. Detection of clinically relevant genetic variants in autism spectrum disorder by whole-genome sequencing. Am. J. Hum. Genet. 2013, 93, 249–263. [Google Scholar] [CrossRef]
- O’Roak, B.J.; Vives, L.; Girirajan, S.; Karakoc, E.; Krumm, N.; Coe, B.P.; Levy, R.; Ko, A.; Lee, C.; Smith, J.D.; et al. Sporadic autism exomes reveal a highly interconnected protein network of de novo mutations. Nature 2012, 485, 246–250. [Google Scholar] [CrossRef]
- Balasubramanian, R.; Choi, J.H.; Francescatto, L.; Willer, J.; Horton, E.R.; Asimacopoulos, E.P.; Stankovic, K.M.; Plummer, L.; Buck, C.L.; Quinton, R.; et al. Functionally compromised CHD7 alleles in patients with isolated GnRH deficiency. Proc. Natl. Acad. Sci. USA 2014, 111, 17953–17958. [Google Scholar] [CrossRef]
- Hughes, S.S.; Welsh, H.I.; Safina, N.P.; Bejaoui, K.; Ardinger, H.H. Family history and clefting as major criteria for CHARGE syndrome. Am. J. Med. Genet. A 2014, 164A, 48–53. [Google Scholar] [CrossRef]
- Roux, I.; Fenollar-Ferrer, C.; Lee, H.J.; Chattaraj, P.; Lopez, I.A.; Han, K.; Honda, K.; Brewer, C.C.; Butman, J.A.; Morell, R.J.; et al. CHD7 variants associated with hearing loss and enlargement of the vestibular aqueduct. Hum. Genet. 2023, 142, 1499–1517. [Google Scholar] [CrossRef]
- Corsten-Janssen, N.; Kerstjens-Frederikse, W.S.; du Marchie Sarvaas, G.J.; Baardman, M.E.; Bakker, M.K.; Bergman, J.E.; Hove, H.D.; Heimdal, K.R.; Rustad, C.F.; Hennekam, R.C.; et al. The cardiac phenotype in patients with a CHD7 mutation. Circ. Cardiovasc. Genet. 2013, 6, 248–254. [Google Scholar] [CrossRef] [PubMed]
- Kim, J.H.; Choi, Y.; Hwang, S.; Kim, G.H.; Yoo, H.W.; Choi, J.H. Phenotypic spectrum of patients with mutations in CHD7: Clinical implications of endocrinological findings. Endocr. Connect. 2022, 11, e210522. [Google Scholar] [CrossRef]
- Cappuccio, G.; Ginocchio, V.M.; Maffè, A.; Ungari, S.; Andria, G.; Melis, D. Identification of two novel splice-site mutations in CHD7 gene in two patients with classical and atypical CHARGE syndrome phenotype. Clin. Genet. 2014, 85, 201–202. [Google Scholar] [CrossRef] [PubMed]
- Wu, X.; Chen, L.; Lu, W.; He, S.; Li, X.; Sun, L.; Zhang, L.; Wang, D.; Zhang, R.; Liu, Y.; et al. Discovery of Novel Variants on the CHD7 Gene: A Case Series of CHARGE Syndrome. Front. Genet. 2022, 13, 852429. [Google Scholar] [CrossRef] [PubMed]
- Song, M.H.; Cho, H.J.; Lee, H.K.; Kwon, T.J.; Lee, W.S.; Oh, S.; Bok, J.; Choi, J.Y.; Kim, U.K. CHD7 mutational analysis and clinical considerations for auditory rehabilitation in deaf patients with CHARGE syndrome. PLoS ONE 2011, 6, e24511. [Google Scholar] [CrossRef] [PubMed]
- Narlikar, G.J.; Sundaramoorthy, R.; Owen-Hughes, T. Mechanisms and functions of ATP-dependent chromatin-remodeling enzymes. Cell 2013, 154, 490–503. [Google Scholar] [CrossRef]
- He, D.; Marie, C.; Zhao, C.; Kim, B.; Wang, J.; Deng, Y.; Clavairoly, A.; Frah, M.; Wang, H.; He, X.; et al. Chd7 cooperates with Sox10 and regulates the onset of CNS myelination and remyelination. Nat. Neurosci. 2016, 19, 678–689. [Google Scholar] [CrossRef] [PubMed]
- Kiernan, A.E.; Pelling, A.L.; Leung, K.K.H.; Tang, A.S.P.; Bell, D.M.; Tease, C.; Lovell-Badge, R.; Steel, K.P.; Cheah, K.S. Sox2 is required for sensory organ development in the mammalian inner ear. Nature 2005, 434, 1031–1035. [Google Scholar] [CrossRef]
- Kempfle, J.S.; Turban, J.L.; Edge, A.S.B. Sox2 in the differentiation of cochlear progenitor cells. Sci. Rep. 2016, 6, 23293. [Google Scholar] [CrossRef]
- Barrionuevo, F.; Taketo, M.M.; Scherer, G.; Kispert, A. Sox9 is required for notochord maintenance in mice. Dev. Biol. 2006, 295, 128–140. [Google Scholar] [CrossRef] [PubMed]
- Bajpai, R.; Chen, D.A.; Rada-Iglesias, A.; Zhang, J.; Xiong, Y.; Helms, J.; Chang, C.P.; Zhao, Y.; Swigut, T.; Wysocka, J. CHD7 cooperates with PBAF to control multipotent neural crest formation. Nature 2010, 463, 958–962. [Google Scholar] [CrossRef]
- Li, L.; Wang, R.; Yu, Y.; Zhang, H.; Jiang, Y.; Yang, X.; Liu, R. CHD7 missense variants and clinical characteristics of Chinese males with infertility. Mol. Genet. Genomic Med. 2020, 8, e1372. [Google Scholar] [CrossRef]
- Sperry, E.D.; Hurd, E.A.; Durham, M.A.; Reamer, E.N.; Stein, A.B.; Martin, D.M. The chromatin remodeling protein CHD7, mutated in CHARGE syndrome, is necessary for proper craniofacial and tracheal development. Dev. Dyn. Off. Publ. Am. Assoc. Anat. 2014, 243, 1055–1066. [Google Scholar] [CrossRef] [PubMed]
- Nie, J.; Ueda, Y.; Solivais, A.J.; Hashino, E. CHD7 regulates otic lineage specification and hair cell differentiation in human inner ear organoids. Nat. Commun. 2022, 13, 7053. [Google Scholar] [CrossRef]
- Adams, M.E.; Hurd, E.A.; Beyer, L.A.; Swiderski, D.L.; Raphael, Y.; Martin, D.M. Defects in vestibular sensory epithelia and innervation in mice with loss of Chd7 function: Implications for human CHARGE syndrome. J. Comp. Neurol. 2007, 504, 519–532. [Google Scholar] [CrossRef]







| Verloes’ Diagnostic Criteria (2005) |
|---|
| Major Criteria Coloboma (iris or choroid, with or without microphthalmia) Choanal atresia Hypoplastic semi-circular Canals |
| Minor Criteria Rhombencephalic dysfunction (brainstem dysfunctions, cranial nerve VII to XII Palsies, and neurosensory deafness) Hypothalamo–hypophyseal dysfunction (including GH and gonadotrophin deficiencies) Abnormal middle or external ear Malformation of mediastinal organs (heart, esophagus) Mental retardation |
| Diagnostic Criteria Interpretation Typical CHARGE: 3 major or 2 major and 2 minor criteria Partial/incomplete CHARGE: 2 major and 1 minor criteria Atypical CHARGE: 2 major or 1 major and 3 minor criteria |
Disclaimer/Publisher’s Note: The statements, opinions and data contained in all publications are solely those of the individual author(s) and contributor(s) and not of MDPI and/or the editor(s). MDPI and/or the editor(s) disclaim responsibility for any injury to people or property resulting from any ideas, methods, instructions or products referred to in the content. |
© 2024 by the authors. Licensee MDPI, Basel, Switzerland. This article is an open access article distributed under the terms and conditions of the Creative Commons Attribution (CC BY) license (https://creativecommons.org/licenses/by/4.0/).
Share and Cite
Driesen, J.; Van Hoecke, H.; Maes, L.; Janssens, S.; Acke, F.; De Leenheer, E. CHD7 Disorder—Not CHARGE Syndrome—Presenting as Isolated Cochleovestibular Dysfunction. Genes 2024, 15, 643. https://doi.org/10.3390/genes15050643
Driesen J, Van Hoecke H, Maes L, Janssens S, Acke F, De Leenheer E. CHD7 Disorder—Not CHARGE Syndrome—Presenting as Isolated Cochleovestibular Dysfunction. Genes. 2024; 15(5):643. https://doi.org/10.3390/genes15050643
Chicago/Turabian StyleDriesen, Jef, Helen Van Hoecke, Leen Maes, Sandra Janssens, Frederic Acke, and Els De Leenheer. 2024. "CHD7 Disorder—Not CHARGE Syndrome—Presenting as Isolated Cochleovestibular Dysfunction" Genes 15, no. 5: 643. https://doi.org/10.3390/genes15050643
APA StyleDriesen, J., Van Hoecke, H., Maes, L., Janssens, S., Acke, F., & De Leenheer, E. (2024). CHD7 Disorder—Not CHARGE Syndrome—Presenting as Isolated Cochleovestibular Dysfunction. Genes, 15(5), 643. https://doi.org/10.3390/genes15050643

