Molecular and Physiological Effects of 17α-methyltestosterone on Sex Differentiation of Black Rockfish, Sebastes schlegelii
Abstract
1. Introduction
2. Materials and Methods
2.1. Fish Maintenance
2.2. Experimental Design and Steroid Treatment
2.3. Genetic Sex Determination
2.4. Histology
2.5. Sex Steroid Hormone Levels Following MT Exposure
2.6. RNA Extraction and cDNA Library Construction
2.7. Transcriptome Sequencing and Data Analysis
2.8. Primer Synthesis and qRT-PCR Validation
2.9. Growth and qRT-PCR Statistical Analysis
3. Results
3.1. Effects of MT on the Growth of S. schlegelii
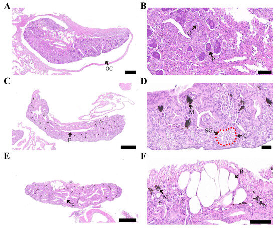
3.2. Effects of MT on Gonad Differentiation and Development of S. schlegelii
3.3. Analysis of Sex Steroid Hormone Levels
3.4. Transcriptome Sequencing Output and Data Quality Control
3.5. Functional Enrichment of DEGs
4. Discussion
5. Conclusions
Supplementary Materials
Author Contributions
Funding
Institutional Review Board Statement
Informed Consent Statement
Data Availability Statement
Acknowledgments
Conflicts of Interest
References
- Bachtrog, D.; Mank, J.E.; Peichel, C.L.; Kirkpatrick, M.; Otto, S.P.; Ashman, T.-L.; Hahn, M.W.; Kitano, J.; Mayrose, I.; Ming, R. Sex determination: Why so many ways of doing it? PLoS Biol. 2014, 12, e1001899. [Google Scholar] [CrossRef]
- Graves, J.A.M. Weird animal genomes and the evolution of vertebrate sex and sex chromosomes. Annu. Rev. Genet. 2008, 42, 565–586. [Google Scholar] [CrossRef] [PubMed]
- Kobayashi, Y.; Nagahama, Y.; Nakamura, M. Diversity and plasticity of sex determination and differentiation in fishes. Sex. Dev. 2012, 7, 115–125. [Google Scholar] [CrossRef]
- Shen, Z.-G.; Wang, H.-P. Molecular players involved in temperature-dependent sex determination and sex differentiation in teleost fish. Genet. Sel. Evol. 2014, 46, 26. [Google Scholar] [CrossRef]
- Devlin, R.H.; Nagahama, Y. Sex determination and sex differentiation in fish: An overview of genetic, physiological, and environmental influences. Aquaculture 2002, 208, 191–364. [Google Scholar]
- Zhu, Q.; Han, C.; Liu, S.; Ouyang, H.; Liu, D.; Zhang, Z.; Huang, J.; Han, L.; Li, S.; Li, G. Development and gene expression analysis of gonad during 17α-methyltestosterone-induced sex reversal in mandarin fish (Siniperca chuatsi). Aquac. Rep. 2022, 23, 101049. [Google Scholar] [CrossRef]
- Arslan, T.; Phelps, R.P. Production of monosex male black crappie, Pomoxis nigromaculatus, populations by multiple androgen immersion. Aquaculture 2004, 234, 561–573. [Google Scholar] [CrossRef]
- Sayed, A.E.-D.; Farrag, M.; Abdelaty, B.; Toutou, M.; Muhammad, O. Histological alterations in some organs of monosex tilapia (Oreochromis niloticus, Linnaeus, 1758) produced using methyltestosterone. Egypt. J. Aquat. Biol. Fish. 2018, 22, 141–151. [Google Scholar] [CrossRef][Green Version]
- Yamazaki, F. Sex control and manipulation in fish. Aquaculture 1983, 33, 329–354. [Google Scholar] [CrossRef]
- Li, M.; Sun, L.; Wang, D. Roles of estrogens in fish sexual plasticity and sex differentiation. Gen. Comp. Endocrinol. 2019, 277, 9–16. [Google Scholar] [CrossRef]
- Yamamoto, T.-O. Estriol-induced XY females of the medaka (Oryzias latipes) and their progenies. Gen. Comp. Endocrinol. 1965, 5, 527–533. [Google Scholar] [CrossRef]
- Beardmore, J.A.; Mair, G.C.; Lewis, R. Monosex male production in finfish as exemplified by tilapia: Applications, problems, and prospects. Aquaculture 2001, 197, 283–301. [Google Scholar] [CrossRef]
- Wheeler, J.R.; Segner, H.; Weltje, L.; Hutchinson, T.H. Interpretation of sexual secondary characteristics (SSCs) in regulatory testing for endocrine activity in fish. Chemosphere 2020, 240, 124943. [Google Scholar] [CrossRef]
- Oh, S.-Y.; Noh, C.H.; Kang, R.-S.; Kim, C.-K.; Cho, S.H.; Jo, J.-Y. Compensatory growth and body composition of juvenile black rockfish Sebastes schlegeli following feed deprivation. Fish. Sci. 2008, 74, 846–852. [Google Scholar] [CrossRef]
- Song, W.; Xie, Y.; Sun, M.; Li, X.; Fitzpatrick, C.K.; Vaux, F.; O’Malley, K.G.; Zhang, Q.; Qi, J.; He, Y. A duplicated amh is the master sex-determining gene for sebastes rockfish in the Northwest Pacific. Open Biol. 2021, 11, 210063. [Google Scholar] [CrossRef] [PubMed]
- Othman, R.; Ron, X.-J.; Yao, H.; O’Bryant, P.; Rapp, D.; Pei, J.-C.; Wu, H.-J.; Wang, H.-P. The effect of methyltestosterone (MT) on sex differentiation and growth in juvenile yellow perch (Perca flavescens). Fish Physiol. Biochem. 2022, 48, 161–171. [Google Scholar] [CrossRef] [PubMed]
- Hoon, L.C.; Kn, Y.I.; Don, L.Y. Effects of sex steroid hormones and high temperature on sex differentiation in black rockfish, Sebastes schlegeli. J. Korean Fish. Soc. 2000, 33, 373–377. [Google Scholar]
- Wang, Q.; Huang, M.; Peng, C.; Wang, X.; Xiao, L.; Wang, D.; Chen, J.; Zhao, H.; Zhang, H.; Li, S. MT-feeding-induced impermanent sex reversal in the orange-spotted grouper during sex differentiation. Int. J. Mol. Sci. 2018, 19, 2828. [Google Scholar] [CrossRef] [PubMed]
- Wang, X.; Zhang, S.; Li, J.; Wen, H.; Lv, L. Studies on histology and gene expression pattern of primitive gonadal differentiation and sex hormone level of black rockfish Sebastes schlegeli (in chinese). J. Ocean. Univ. China 2019, 49, 008–020. [Google Scholar]
- Brown, J.; Pirrung, M.; McCue, L.A. FQC Dashboard: Integrates FastQC results into a web-based, interactive, and extensible FASTQ quality control tool. Bioinformatics 2017, 33, 3137–3139. [Google Scholar] [CrossRef]
- Kim, D.; Paggi, J.M.; Park, C.; Bennett, C.; Salzberg, S.L. Graph-based genome alignment and genotyping with HISAT2 and HISAT-genotype. Nat. Biotechnol. 2019, 37, 907–915. [Google Scholar] [CrossRef] [PubMed]
- Liao, Y.; Smyth, G.K.; Shi, W. featureCounts: An efficient general purpose program for assigning sequence reads to genomic features. Bioinformatics 2014, 30, 923–930. [Google Scholar] [CrossRef] [PubMed]
- Love, M.I.; Huber, W.; Anders, S. Moderated estimation of fold change and dispersion for RNA-seq data with DESeq2. Genome Biol. 2014, 15, 550. [Google Scholar] [CrossRef] [PubMed]
- Yu, G.; Wang, L.-G.; Han, Y.; He, Q.-Y. clusterProfiler: An R package for comparing biological themes among gene clusters. OMICS 2012, 16, 284–287. [Google Scholar] [CrossRef] [PubMed]
- Lalitha, S. Primer premier 5. BSIR 2000, 1, 270–272. [Google Scholar] [CrossRef]
- Kwon, J.Y.; Kim, J. Differential expression of two distinct aromatase genes (cyp19a1a and cyp19a1b) during vitellogenesis and gestation in the viviparous black rockfish Sebastes schlegelii. Anim. Cells Syst. 2013, 17, 88–98. [Google Scholar] [CrossRef]
- Mu, W.J.; Wen, H.S.; Li, J.F.; He, F. Cloning and expression analysis of foxl2 during the reproductive cycle in Korean rockfish, Sebastes schlegeli. Fish Physiol. Biochem. 2013, 39, 1419–1430. [Google Scholar] [CrossRef] [PubMed]
- Swift, M.L. GraphPad prism, data analysis, and scientific graphing. J. Chem. Inf. Comput. Sci. 1997, 37, 411–412. [Google Scholar] [CrossRef]
- Xu, D.; Yang, F.; Chen, R.; Lou, B.; Zhan, W.; Hayashida, T.; Takeuchi, Y. Production of neo-males from gynogenetic yellow drum through 17α-methyltestosterone immersion and subsequent application for the establishment of all-female populations. Aquaculture 2018, 489, 154–161. [Google Scholar] [CrossRef]
- Lone, K.; Ridha, M. Sex reversal and growth of Oreochromis spilurus (Günther) in brackish and sea water by feeding 17α-methyltestosterone. Aquac. Res. 1993, 24, 593–602. [Google Scholar] [CrossRef]
- Hu, P.; Liu, S.; Liu, X.; Liu, H.; Liu, S.; Zhuang, Z. The adverse effects of 17β-estradiol immersion during gonadal differentiation on ovarian development of female Takifugu rubripes. Front. Mar. Sci. 2023, 10, 1131041. [Google Scholar] [CrossRef]
- Hirai, N.; Nanba, A.; Koshio, M.; Kondo, T.; Morita, M.; Tatarazako, N. Feminization of Japanese medaka (Oryzias latipes) exposed to 17β-estradiol: Effect of exposure period on spawning performance in sex-transformed females. Aquat. Toxicol. 2006, 79, 288–295. [Google Scholar] [CrossRef]
- Curzon, A.Y.; Shirak, A.; Ron, M.; Seroussi, E. Master-key regulators of sex determination in fish and other vertebrates—A review. Int. J. Mol. Sci. 2023, 24, 2468. [Google Scholar] [CrossRef]
- Kitano, T.; Takamune, K.; Nagahama, Y.; Abe, S.I. Aromatase inhibitor and 17α-methyltestosterone cause sex-reversal from genetical females to phenotypic males and suppression of P450 aromatase gene expression in Japanese flounder (Paralichthys olivaceus). Mol. Reprod. Dev. 2000, 56, 1–5. [Google Scholar] [CrossRef]
- Huang, J.; Liu, S.; Ouyang, H.; Han, C.; Li, M.; Han, L.; Li, S.; Li, G.; Lin, H.; Zhang, Y. Production of XX neo-male mandarin fish, Siniperca chuatsi, after sexual differentiation by oral administration of 17α-methyltestosterone. Water Biol. Secur. 2023, 2, 100095. [Google Scholar] [CrossRef]
- Kortner, T.M.; Arukwe, A. Effects of 17α-methyltestosterone exposure on steroidogenesis and cyclin-B mRNA expression in previtellogenic oocytes of Atlantic cod (Gadus morhua). Comp. Biochem. Physiol. C 2007, 146, 569–580. [Google Scholar] [CrossRef] [PubMed]
- Borg, B. Androgens in teleost fishes. Comp. Biochem. Physiol. C 1994, 109, 219–245. [Google Scholar] [CrossRef]
- Weltzien, F.-A.; Taranger, G.L.; Karlsen, Ø.; Norberg, B. Spermatogenesis and related plasma androgen levels in Atlantic halibut (Hippoglossus hippoglossus L.). Comp. Biochem. Physiol. A 2002, 132, 567–575. [Google Scholar] [CrossRef]
- Josso, N.; Di Clemente, N.; Gouédard, L. Anti-Müllerian hormone and its receptors. Mol. Cell. Endocrinol. 2001, 179, 25–32. [Google Scholar] [CrossRef]
- Kamiya, T.; Kai, W.; Tasumi, S.; Oka, A.; Matsunaga, T.; Mizuno, N.; Fujita, M.; Suetake, H.; Suzuki, S.; Hosoya, S. A trans-species missense SNP in amhr2 is associated with sex determination in the tiger pufferfish, Takifugu rubripes (fugu). PLoS Genet. 2012, 8, e1002798. [Google Scholar] [CrossRef]
- Myosho, T.; Otake, H.; Masuyama, H.; Matsuda, M.; Kuroki, Y.; Fujiyama, A.; Naruse, K.; Hamaguchi, S.; Sakaizumi, M. Tracing the emergence of a novel sex-determining gene in medaka, Oryzias luzonensis. Genetics 2012, 191, 163–170. [Google Scholar] [CrossRef]
- Dranow, D.B.; Hu, K.; Bird, A.M.; Lawry, S.T.; Adams, M.T.; Sanchez, A.; Amatruda, J.F.; Draper, B.W. bmp15 is an oocyte-produced signal required for maintenance of the adult female sexual phenotype in zebrafish. PLoS Genet. 2016, 12, e1006323. [Google Scholar] [CrossRef] [PubMed]
- Reichwald, K.; Petzold, A.; Koch, P.; Downie, B.R.; Hartmann, N.; Pietsch, S.; Baumgart, M.; Chalopin, D.; Felder, M.; Bens, M. Insights into sex chromosome evolution and aging from the genome of a short-lived fish. Cell 2015, 163, 1527–1538. [Google Scholar] [CrossRef]
- Pfennig, F.; Standke, A.; Gutzeit, H.O. The role of Amh signaling in teleost fish–multiple functions not restricted to the gonads. Gen. Comp. Endocrinol. 2015, 223, 87–107. [Google Scholar] [CrossRef] [PubMed]
- Gárriz, Á.; Del Fresno, P.S.; Miranda, L.A. Exposure to E2 and EE2 environmental concentrations affect different components of the Brain-pituitary-gonadal axis in pejerrey fish (Odontesthes bonariensis). Ecotoxicol. Environ. Saf. 2017, 144, 45–53. [Google Scholar] [CrossRef]
- Lee, S.L.J.; Horsfield, J.A.; Black, M.A.; Rutherford, K.; Fisher, A.; Gemmell, N.J. Histological and transcriptomic effects of 17α-methyltestosterone on zebrafish gonad development. BMC Genom. 2017, 18, 557. [Google Scholar] [CrossRef] [PubMed]
- Rodríguez-Marí, A.; Yan, Y.-L.; BreMiller, R.A.; Wilson, C.; Cañestro, C.; Postlethwait, J.H. Characterization and expression pattern of zebrafish anti-Müllerian hormone (amh) relative to sox9a, sox9b, and cyp19a1a, during gonad development. Gene Expr. Patterns 2005, 5, 655–667. [Google Scholar] [CrossRef]
- Baroiller, J.-F.; Guiguen, Y.; Fostier, A. Endocrine and environmental aspects of sex differentiation in fish. Cell. Mol. Life Sci. 1999, 55, 910–931. [Google Scholar] [CrossRef]
- Di Nardo, G.; Zhang, C.; Marcelli, A.G.; Gilardi, G. Molecular and structural evolution of cytochrome P450 aromatase. Int. J. Mol. Sci. 2021, 22, 631. [Google Scholar] [CrossRef] [PubMed]
- Kishida, M.; Callard, G.V. Distinct cytochrome P450 aromatase isoforms in zebrafish (Danio rerio) brain and ovary are differentially programmed and estrogen regulated during early development. Endocrinology 2001, 142, 740–750. [Google Scholar] [CrossRef]
- Yoshiura, Y.; Senthilkumaran, B.; Watanabe, M.; Oba, Y.; Kobayashi, T.; Nagahama, Y. Synergistic expression of Ad4BP/SF-1 and cytochrome P-450 aromatase (ovarian type) in the ovary of Nile tilapia, Oreochromis niloticus, during vitellogenesis suggests transcriptional interaction. Biol. Reprod. 2003, 68, 1545–1553. [Google Scholar] [CrossRef] [PubMed]
- Wang, D.-S.; Kobayashi, T.; Zhou, L.-Y.; Paul-Prasanth, B.; Ijiri, S.; Sakai, F.; Okubo, K.; Morohashi, K.-I.; Nagahama, Y. foxl2 up-regulates aromatase gene transcription in a female-specific manner by binding to the promoter as well as interacting with ad4 binding protein/steroidogenic factor 1. Mol. Endocrinol. 2007, 21, 712–725. [Google Scholar] [CrossRef] [PubMed]
- Ribas, L.; Robledo, D.; Gómez-Tato, A.; Viñas, A.; Martínez, P.; Piferrer, F. Comprehensive transcriptomic analysis of the process of gonadal sex differentiation in the turbot (Scophthalmus maximus). Mol. Cell. Endocrinol. 2016, 422, 132–149. [Google Scholar] [CrossRef]
- Úbeda-Manzanaro, M.; Rebordinos, L.; Sarasquete, C. Cloning and characterization of vasa gene expression pattern in adults of the Lusitanian toadfish Halobatrachus didactylus. Aquat. Biol. 2014, 21, 37–46. [Google Scholar] [CrossRef][Green Version]
- Li, M.; Hong, N.; Xu, H.; Yi, M.; Li, C.; Gui, J.; Hong, Y. Medaka vasa is required for migration but not survival of primordial germ cells. Mech Dev. 2009, 126, 366–381. [Google Scholar] [CrossRef] [PubMed]
- Qu, L.; Wu, X.; Liu, M.; Zhong, C.; Xu, H.; Li, S.; Lin, H.; Liu, X. Identification and characterization of germ cell genes vasa and dazl in a protogynous hermaphrodite fish, orange-spotted grouper (Epinephelus coioides). Gene Expr. Patterns 2020, 35, 119095. [Google Scholar] [CrossRef] [PubMed]





| Treatment /Genetic Sex | Sample/n | Ovary /Proportion 1 | Normal Testis /Proportion 2 | Abnormal Testis /Proportion 3 |
|---|---|---|---|---|
| control/♀ | 15 | 15/100.0% | / | / |
| control/♂ | 12 | / | 12/100.0% | / |
| low/♀ | 12 | / | 12/100.0% | / |
| medium/♀ | 14 | / | 13/92.9% | 1/7.1% |
| high/♀ | 11 | / | 9/81.8% | 2/18.2% |
Disclaimer/Publisher’s Note: The statements, opinions and data contained in all publications are solely those of the individual author(s) and contributor(s) and not of MDPI and/or the editor(s). MDPI and/or the editor(s) disclaim responsibility for any injury to people or property resulting from any ideas, methods, instructions or products referred to in the content. |
© 2024 by the authors. Licensee MDPI, Basel, Switzerland. This article is an open access article distributed under the terms and conditions of the Creative Commons Attribution (CC BY) license (https://creativecommons.org/licenses/by/4.0/).
Share and Cite
Huang, H.; Liu, Y.; Wang, Q.; Dong, C.; Dong, L.; Zhang, J.; Yang, Y.; Hao, X.; Li, W.; Rosa, I.F.; et al. Molecular and Physiological Effects of 17α-methyltestosterone on Sex Differentiation of Black Rockfish, Sebastes schlegelii. Genes 2024, 15, 605. https://doi.org/10.3390/genes15050605
Huang H, Liu Y, Wang Q, Dong C, Dong L, Zhang J, Yang Y, Hao X, Li W, Rosa IF, et al. Molecular and Physiological Effects of 17α-methyltestosterone on Sex Differentiation of Black Rockfish, Sebastes schlegelii. Genes. 2024; 15(5):605. https://doi.org/10.3390/genes15050605
Chicago/Turabian StyleHuang, Haijun, Yuyan Liu, Qian Wang, Caichao Dong, Le Dong, Jingjing Zhang, Yu Yang, Xiancai Hao, Weijing Li, Ivana F. Rosa, and et al. 2024. "Molecular and Physiological Effects of 17α-methyltestosterone on Sex Differentiation of Black Rockfish, Sebastes schlegelii" Genes 15, no. 5: 605. https://doi.org/10.3390/genes15050605
APA StyleHuang, H., Liu, Y., Wang, Q., Dong, C., Dong, L., Zhang, J., Yang, Y., Hao, X., Li, W., Rosa, I. F., Doretto, L. B., Cao, X., & Shao, C. (2024). Molecular and Physiological Effects of 17α-methyltestosterone on Sex Differentiation of Black Rockfish, Sebastes schlegelii. Genes, 15(5), 605. https://doi.org/10.3390/genes15050605

