Spitz Melanocytic Tumors: A Fascinating 75-Year Journey
Abstract
1. Introduction and Historical Perspective
2. The Clinicopathologic Spectrum of Spitz Lesions
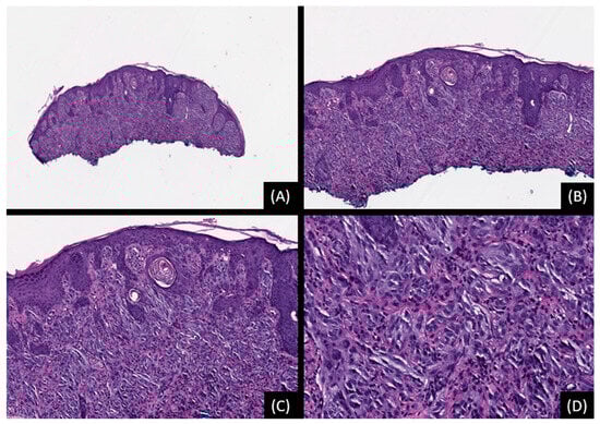
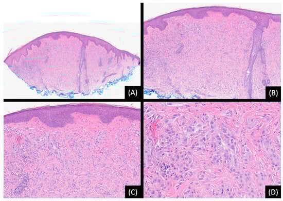
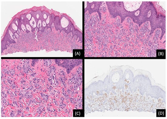
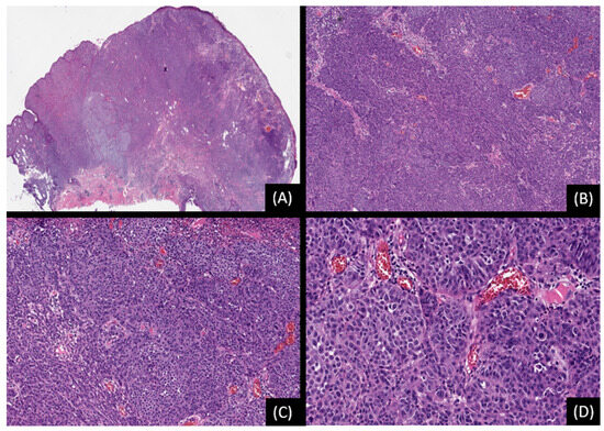
2.1. Spitz Nevus
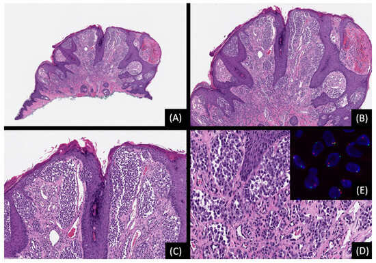
2.2. Spitz Melanocytoma (Atypical Spitz Tumor)
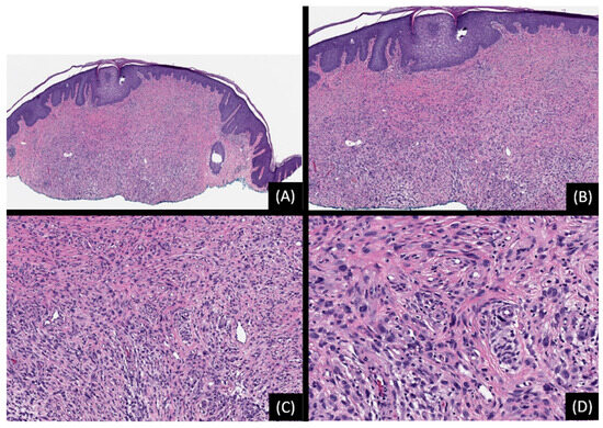
2.3. Spitz Melanoma
2.4. BRAF-Mutated and Morphologically Spitzoid (BAMS) Nevi and Tumors
3. Molecular Pathology of Spitz Lesions
3.1. Early Findings including HRAS Alterations
3.2. Oncogenic Fusions
3.3. Other Molecular Alterations
Immunohistochemistry as a Surrogate of Molecular Testing
4. Concluding Remarks
Funding
Conflicts of Interest
References
- Spitz, S. Melanomas of childhood. Am. J. Pathol. 1948, 24, 591–609. [Google Scholar] [PubMed]
- Manchi, M.; Canzonieri, V. Atypical melanocytic lesions: A historical overview. Pol. J. Pathol. 2019, 70, 26–32. [Google Scholar] [CrossRef] [PubMed]
- Allen, A.C.; Spitz, S. Malignant melanoma: A clinicopathological analysis of the criteria for diagnosis and prognosis. Cancer 1953, 6, 1–45. [Google Scholar] [CrossRef]
- Shapiro, P.E. Who was Sophie Spitz? The woman behind the eponym. Am. J. Dermatopathol. 1992, 14, 442–446. [Google Scholar] [CrossRef]
- Heymann, W.R. Sophie’s Choice: Assessing Atypical Spitz Tumors in the Molecular Era. SKINmed 2020, 18, 27–28. [Google Scholar]
- Kernen, J.A.; Ackerman, L.V. Spindle cell nevi and epithelioid cell nevi (so-called juvenile melanomas) in children and adults: A clinicopathological study of 27 cases. Cancer 1960, 13, 612–625. [Google Scholar] [CrossRef] [PubMed]
- McGovern, V.J.; Caldwell, R.A.; Duncan, C.A.; Finlay-Jones, L.R.; Hardy, E.G.; Hicks, J.D.; Little, J.H.; Quinn, R.L. Moles and malignant melanoma: Terminology and classification. Med. J. Aust. 1967, 1, 123–125. [Google Scholar] [CrossRef]
- Cheng, T.W.; Ahern, M.C.; Giubellino, A. The Spectrum of Spitz Melanocytic Lesions: From Morphologic Diagnosis to Molecular Classification. Front. Oncol. 2022, 12, 889223. [Google Scholar] [CrossRef]
- Kamino, H.; Misheloff, E.; Ackerman, A.B.; Flotte, T.J.; Greco, M.A. Eosinophilic globules in Spitz’s nevi: New findings and a diagnostic sign. Am. J. Dermatopathol. 1979, 1, 323–324. [Google Scholar] [CrossRef]
- Huarte, P.S. Nevus atypico de Soitz (melanoma juvenile) studio clinicopatologico de nueve casos. Actas Dermosefilogr. 1969, 61, 205–224. [Google Scholar]
- Barnhill, R.L.; Flotte, T.J.; Fleischli, M.; Perez-Atayde, A. Cutaneous melanoma and atypical Spitz tumors in childhood. Cancer 1995, 76, 1833–1845. [Google Scholar] [CrossRef] [PubMed]
- Berlingeri-Ramos, A.C.; Morales-Burgos, A.; Sánchez, J.L.; Nogales, E.M. Spitz nevus in a Hispanic population: A clinicopathological study of 130 cases. Am. J. Dermatopathol. 2010, 32, 267–275. [Google Scholar] [CrossRef]
- Luo, S.; Sepehr, A.; Tsao, H. Spitz nevi and other Spitzoid lesions part I. Background and diagnoses. J. Am. Acad. Dermatol. 2011, 65, 1073–1084. [Google Scholar] [CrossRef]
- Dal Pozzo, V.; Benelli, C.; Restano, L.; Gianotti, R.; Cesana, B.M. Clinical review of 247 case records of Spitz nevus (epithelioid cell and/or spindle cell nevus). Dermatology 1997, 194, 20–25. [Google Scholar] [CrossRef] [PubMed]
- Herreid, P.A.; Shapiro, P.E. Age distribution of Spitz nevus vs malignant melanoma. Arch. Dermatol. 1996, 132, 352–353. [Google Scholar] [CrossRef]
- Sainz-Gaspar, L.; Sánchez-Bernal, J.; Noguera-Morel, L.; Hernández-Martín, A.; Colmenero, I.; Torrelo, A. Spitz Nevus and Other Spitzoid Tumors in Children—Part 1: Clinical, Histopathologic, and Immunohistochemical Features. Actas Dermosifiliogr. (Engl. Ed.) 2020, 111, 7–19. [Google Scholar] [CrossRef]
- Requena, C.; Requena, L.; Kutzner, H.; Sánchez Yus, E. Spitz nevus: A clinicopathological study of 349 cases. Am. J. Dermatopathol. 2009, 31, 107–116. [Google Scholar] [CrossRef] [PubMed]
- Dal Pozzo, C.A.; Cappellesso, R. The Morpho-Molecular Landscape of Spitz Neoplasms. Int. J. Mol. Sci. 2022, 23, 4211. [Google Scholar] [CrossRef]
- Massi, D.; De Giorgi, V.; Mandalà, M. The complex management of atypical Spitz tumours. Pathology 2016, 48, 132–141. [Google Scholar] [CrossRef]
- Elder, D.E.; Massi, D.; Scolyer, R.A.; Willemze, R. WHO Classification of Skin Tumours: WHO Classification of Tumours; World Health Organization: Geneva, Switzerland, 2018; Volume 11. [Google Scholar]
- Yeh, I.; Busam, K.J. Spitz melanocytic tumours —A review. Histopathology 2022, 80, 122–134. [Google Scholar] [CrossRef]
- Sepehr, A.; Chao, E.; Trefrey, B.; Blackford, A.; Duncan, L.M.; Flotte, T.J.; Sober, A.; Mihm, M.C., Jr.; Tsao, H. Long-term outcome of Spitz-type melanocytic tumors. Arch. Dermatol. 2011, 147, 1173–1179. [Google Scholar] [CrossRef]
- Ferrara, G.; Misciali, C.; Brenn, T.; Cerroni, L.; Kazakov, D.W.; Perasole, A.; Russo, R.; Ricci, R.; Crisman, G.; Fanti, P.A.; et al. The impact of molecular morphology techniques on the expert diagnosis in melanocytic skin neoplasms. Int. J. Surg. Pathol. 2013, 21, 483–492. [Google Scholar] [CrossRef]
- Sabater Marco, V.; Escutia Muñoz, B.; Morera Faet, A.; Mata Roig, M.; Botella Estrada, R. Pseudogranulomatous Spitz nevus: A variant of Spitz nevus with heavy inflammatory infiltrate mimicking a granulomatous dermatitis. J. Cutan. Pathol. 2013, 40, 330–335. [Google Scholar] [CrossRef]
- Roth, A.; Boutko, A.; Lampley, N., 3rd; Dhillon, S.; Hagstrom, M.; Olivares, S.; Dittman, D.; Jennings, L.; Santana Dos Santos, L.; Busam, K.; et al. Next-generation Sequencing as a Potential Diagnostic Adjunct in Distinguishing Between Desmoplastic Melanocytic Neoplasms. Am. J. Surg. Pathol. 2023, 47, 318–325. [Google Scholar] [CrossRef]
- Benton, S.; Zhao, J.; Zhang, B.; Bahrami, A.; Barnhill, R.L.; Busam, K.; Cerroni, L.; Cook, M.G.; de la Fouchardière, A.; Elder, D.E.; et al. Impact of Next-generation Sequencing on Interobserver Agreement and Diagnosis of Spitzoid Neoplasms. Am. J. Surg. Pathol. 2021, 45, 1597–1605. [Google Scholar] [CrossRef]
- Zhao, J.; Benton, S.; Zhang, B.; Olivares, S.; Asadbeigi, S.; Busam, K.; Gerami, P. Benign and Intermediate-grade Melanocytic Tumors With BRAF Mutations and Spitzoid Morphology: A Subset of Melanocytic Neoplasms Distinct From Melanoma. Am. J. Surg. Pathol. 2022, 46, 476–485. [Google Scholar] [CrossRef]
- Elder, D.E.; Bastian, B.C.; Cree, I.A.; Massi, D.; Scolyer, R.A. The 2018 World Health Organization Classification of Cutaneous, Mucosal, and Uveal Melanoma: Detailed Analysis of 9 Distinct Subtypes Defined by Their Evolutionary Pathway. Arch. Pathol. Lab. Med. 2020, 144, 500–522. [Google Scholar] [CrossRef]
- Ichii-Nakato, N.; Takata, M.; Takayanagi, S.; Takashima, S.; Lin, J.; Murata, H.; Fujimoto, A.; Hatta, N.; Saida, T. High frequency of BRAFV600E mutation in acquired nevi and small congenital nevi, but low frequency of mutation in medium-sized congenital nevi. J. Invest. Dermatol. 2006, 126, 2111–2118. [Google Scholar] [CrossRef] [PubMed]
- Van Raamsdonk, C.D.; Griewank, K.G.; Crosby, M.B.; Garrido, M.C.; Vemula, S.; Wiesner, T.; Obenauf, A.C.; Wackernagel, W.; Green, G.; Bouvier, N.; et al. Mutations in GNA11 in uveal melanoma. N. Engl. J. Med. 2010, 363, 2191–2199. [Google Scholar] [CrossRef] [PubMed]
- Blokx, W.A.; van Dijk, M.C.; Ruiter, D.J. Molecular cytogenetics of cutaneous melanocytic lesions—Diagnostic, prognostic and therapeutic aspects. Histopathology 2010, 56, 121–132. [Google Scholar] [CrossRef] [PubMed]
- Church, A.J.; Moustafa, D.; Pinches, R.S.; Hawryluk, E.B.; Schmidt, B.A.R. Genomic comparison of malignant melanoma and atypical Spitz tumor in the pediatric population. Pediatr. Dermatol. 2022, 39, 409–419. [Google Scholar] [CrossRef]
- Bastian, B.C.; Wesselmann, U.; Pinkel, D.; Leboit, P.E. Molecular cytogenetic analysis of Spitz nevi shows clear differences to melanoma. J. Investig. Dermatol. 1999, 113, 1065–1069. [Google Scholar] [CrossRef]
- Bastian, B.C.; LeBoit, P.E.; Pinkel, D. Mutations and copy number increase of HRAS in Spitz nevi with distinctive histopathological features. Am. J. Pathol. 2000, 157, 967–972. [Google Scholar] [CrossRef] [PubMed]
- van Engen-van Grunsven, A.C.; van Dijk, M.C.; Ruiter, D.J.; Klaasen, A.; Mooi, W.J.; Blokx, W.A. HRAS-mutated Spitz tumors: A subtype of Spitz tumors with distinct features. Am. J. Surg. Pathol. 2010, 34, 1436–1441. [Google Scholar] [CrossRef] [PubMed]
- Lezcano, C.M.; Yeh, I.; Eslamdoost, N.; Fang, Y.; LeBoit, P.E.; McCalmont, T.H.; Moy, A.P.; Zhang, Y.; Busam, K.J. Expanding the Spectrum of Microscopic and Cytogenetic Findings Associated With Spitz Tumors with 11p Gains. Am. J. Surg. Pathol. 2021, 45, 277–285. [Google Scholar] [CrossRef] [PubMed]
- Harvell, J.D.; Kohler, S.; Zhu, S.; Hernandez-Boussard, T.; Pollack, J.R.; van de Rijn, M. High-resolution array-based comparative genomic hybridization for distinguishing paraffin-embedded Spitz nevi and melanomas. Diagn. Mol. Pathol. 2004, 13, 22–25. [Google Scholar] [CrossRef] [PubMed]
- McAfee, J.L.; Scarborough, R.; Jia, X.S.; Azzato, E.M.; Astbury, C.; Ronen, S.; Andea, A.A.; Billings, S.D.; Ko, J.S. Combined utility of p16 and BRAF V600E in the evaluation of spitzoid tumors: Superiority to PRAME and correlation with FISH. J. Cutan. Pathol. 2023, 50, 155–168. [Google Scholar] [CrossRef] [PubMed]
- Cho-Vega, J.H. A diagnostic algorithm for atypical spitzoid tumors: Guidelines for immunohistochemical and molecular assessment. Mod. Pathol. 2016, 29, 656–670. [Google Scholar] [CrossRef] [PubMed]
- Tetzlaff, M.T.; Farah, M. Without Missing a Beat: Absence of Cilia Informs the Diagnosis of Histopathologically Challenging Spitzoid Melanocytic Neoplasms. J. Investig. Dermatol. 2020, 140, 1320–1323. [Google Scholar] [CrossRef]
- Sarin, K.Y.; Sun, B.K.; Bangs, C.D.; Cherry, A.; Swetter, S.M.; Kim, J.; Khavari, P.A. Activating HRAS mutation in agminated Spitz nevi arising in a nevus spilus. JAMA Dermatol. 2013, 149, 1077–1081. [Google Scholar] [CrossRef]
- Fumero-Velázquez, M.; Hagstrom, M.; Dhillon, S.; Olivares, S.; Jennings, L.J.; Dittman, D.; Sukhanova, M.; Arva, N.C.; Goldstein, S.D.; Theos, A.; et al. Agminated presentation of fusion-driven melanocytic neoplasms. J. Cutan. Pathol. 2023, 50, 913–921. [Google Scholar] [CrossRef] [PubMed]
- Raghavan, S.S.; Kapler, E.S.; Dinges, M.M.; Bastian, B.C.; Yeh, I. Eruptive Spitz nevus, a striking example of benign metastasis. Sci. Rep. 2020, 10, 16216. [Google Scholar] [CrossRef] [PubMed]
- Robertson, S.J.; Orme, L.; Teixeira, R.; Shamassi, M.; Newell, F.; Patch, A.M.; Yeh, I.; Gard, G.; Wilmott, J.; Jackett, L.; et al. Evaluation of Crizotinib Treatment in a Patient With Unresectable GOPC-ROS1 Fusion Agminated Spitz Nevi. JAMA Dermatol. 2021, 157, 836–841. [Google Scholar] [CrossRef] [PubMed]
- Wiesner, T.; He, J.; Yelensky, R.; Esteve-Puig, R.; Botton, T.; Yeh, I.; Lipson, D.; Otto, G.; Brennan, K.; Murali, R.; et al. Kinase fusions are frequent in Spitz tumours and spitzoid melanomas. Nat. Commun. 2014, 5, 3116. [Google Scholar] [CrossRef]
- Hagstrom, M.; Dhillon, S.; Fumero-Velázquez, M.; Olivares, S.; Gerami, P. A reappraisal of the epidemiology of Spitz neoplasms in the molecular era: A retrospective cohort study. J. Am. Acad. Dermatol. 2023, 89, 1185–1191. [Google Scholar] [CrossRef]
- Delsupehe, L.; Steelandt, T.; Lemahieu, J.; Volders, P.J.; Geerdens, E.; Berden, S.; Daniels, A.; Froyen, G.; Maes, B. Novel gene fusion discovery in Spitz tumours and its relevance in diagnostics. Virchows Arch. 2023. [Google Scholar] [CrossRef]
- Kiuru, M.; Jungbluth, A.; Kutzner, H.; Wiesner, T.; Busam, K.J. Spitz Tumors: Comparison of Histological Features in Relationship to Immunohistochemical Staining for ALK and NTRK1. Int. J. Surg. Pathol. 2016, 24, 200–206. [Google Scholar] [CrossRef]
- Amin, S.M.; Haugh, A.M.; Lee, C.Y.; Zhang, B.; Bubley, J.A.; Merkel, E.A.; Verzì, A.E.; Gerami, P. A Comparison of Morphologic and Molecular Features of BRAF, ALK, and NTRK1 Fusion Spitzoid Neoplasms. Am. J. Surg. Pathol. 2017, 41, 491–498. [Google Scholar] [CrossRef]
- Kervarrec, T.; Pissaloux, D.; Tirode, F.; Samimi, M.; Jacquemus, J.; Castillo, C.; de la Fouchardière, A. Morphologic features in a series of 352 Spitz melanocytic proliferations help predict their oncogenic drivers. Virchows Arch. 2022, 480, 369–382. [Google Scholar] [CrossRef]
- Dimonitsas, E.; Liakea, A.; Sakellariou, S.; Thymara, I.; Giannopoulos, A.; Stratigos, A.; Soura, E.; Saetta, A.; Korkolopoulou, P. An update on molecular alterations in melanocytic tumors with emphasis on Spitzoid lesions. Ann. Transl. Med. 2018, 6, 249. [Google Scholar] [CrossRef] [PubMed]
- Wiesner, T.; Kutzner, H.; Cerroni, L.; Mihm, M.C., Jr.; Busam, K.J.; Murali, R. Genomic aberrations in spitzoid melanocytic tumours and their implications for diagnosis, prognosis and therapy. Pathology 2016, 48, 113–131. [Google Scholar] [CrossRef] [PubMed]
- Frederico, I.K.S.; Mesbah Ardakani, N.; Ryan, A.L.; Cowley, M.J.; Wood, B.A. Spitz Melanoma of Childhood With A Novel Promoter Hijacking Anaplastic Lymphoma Kinase (C2orf42-ALK) Rearrangement. Am. J. Dermatopathol. 2021, 43, 972–975. [Google Scholar] [CrossRef] [PubMed]
- Fujimoto, M.; Togashi, Y.; Matsuzaki, I.; Baba, S.; Takeuchi, K.; Inaba, Y.; Jinnin, M.; Murata, S.I. A case report of atypical Spitz tumor harboring a novel MLPH-ALK gene fusion with discordant ALK immunohistochemistry results. Hum. Pathol. 2018, 80, 99–103. [Google Scholar] [CrossRef] [PubMed]
- Uruga, H.; Mino-Kenudson, M. ALK (D5F3) CDx: An immunohistochemistry assay to identify ALK-positive NSCLC patients. Pharmgenom. Pers. Med. 2018, 11, 147–155. [Google Scholar] [CrossRef] [PubMed]
- Takeuchi, K.; Choi, Y.L.; Togashi, Y.; Soda, M.; Hatano, S.; Inamura, K.; Takada, S.; Ueno, T.; Yamashita, Y.; Satoh, Y.; et al. KIF5B-ALK, a novel fusion oncokinase identified by an immunohistochemistry-based diagnostic system for ALK-positive lung cancer. Clin. Cancer Res. 2009, 15, 3143–3149. [Google Scholar] [CrossRef] [PubMed]
- Cappellesso, R.; Nozzoli, F.; Zito Marino, F.; Simi, S.; Castiglione, F.; De Giorgi, V.; Cota, C.; Senetta, R.; Scognamiglio, G.; Anniciello, A.M.; et al. NTRK Gene Fusion Detection in Atypical Spitz Tumors. Int. J. Mol. Sci. 2021, 22, 12332. [Google Scholar] [CrossRef] [PubMed]
- Yeh, I.; Busam, K.J.; McCalmont, T.H.; LeBoit, P.E.; Pissaloux, D.; Alberti, L.; de la Fouchardière, A.; Bastian, B.C. Filigree-like Rete Ridges, Lobulated Nests, Rosette-like Structures, and Exaggerated Maturation Characterize Spitz Tumors With NTRK1 Fusion. Am. J. Surg. Pathol. 2019, 43, 737–746. [Google Scholar] [CrossRef] [PubMed]
- Lezcano, C.; Shoushtari, A.N.; Ariyan, C.; Hollmann, T.J.; Busam, K.J. Primary and Metastatic Melanoma With NTRK Fusions. Am. J. Surg. Pathol. 2018, 42, 1052–1058. [Google Scholar] [CrossRef]
- Yeh, I.; Tee, M.K.; Botton, T.; Shain, A.H.; Sparatta, A.J.; Gagnon, A.; Vemula, S.S.; Garrido, M.C.; Nakamaru, K.; Isoyama, T.; et al. NTRK3 kinase fusions in Spitz tumours. J. Pathol. 2016, 240, 282–290. [Google Scholar] [CrossRef]
- Goto, K.; Pissaloux, D.; Tirode, F.; de la Fouchardière, A. Spitz nevus with a novel TFG-NTRK2 fusion: The first case report of NTRK2-rearranged Spitz/Reed nevus. J. Cutan. Pathol. 2021, 48, 1193–1196. [Google Scholar] [CrossRef]
- Kim, D.; Khan, A.U.; Compres, E.V.; Zhang, B.; Sunshine, J.C.; Quan, V.L.; Gerami, P. BRAF fusion Spitz neoplasms; clinical morphological, and genomic findings in six cases. J. Cutan. Pathol. 2020, 47, 1132–1142. [Google Scholar] [CrossRef]
- Newman, S.; Fan, L.; Pribnow, A.; Silkov, A.; Rice, S.V.; Lee, S.; Shao, Y.; Shaner, B.; Mulder, H.; Nakitandwe, J.; et al. Clinical genome sequencing uncovers potentially targetable truncations and fusions of MAP3K8 in spitzoid and other melanomas. Nat. Med. 2019, 25, 597–602. [Google Scholar] [CrossRef]
- Yeh, I.; Botton, T.; Talevich, E.; Shain, A.H.; Sparatta, A.J.; de la Fouchardiere, A.; Mully, T.W.; North, J.P.; Garrido, M.C.; Gagnon, A.; et al. Activating MET kinase rearrangements in melanoma and Spitz tumours. Nat. Commun. 2015, 6, 7174. [Google Scholar] [CrossRef]
- Sunshine, J.C.; Kim, D.; Zhang, B.; Compres, E.V.; Khan, A.U.; Busam, K.J.; Gerami, P. Melanocytic Neoplasms With MAP2K1 in Frame Deletions and Spitz Morphology. Am. J. Dermatopathol. 2020, 42, 923–931. [Google Scholar] [CrossRef]
- Kerckhoffs, K.G.P.; Aallali, T.; Ambarus, C.A.; Sigurdsson, V.; Jansen, A.M.L.; Blokx, W.A.M. Expanding spectrum of "spitzoid" lesions: A small series of 4 cases with MAP2K1 mutations. Virchows Arch. 2021, 479, 195–202. [Google Scholar] [CrossRef]
- Fumero-Velázquez, M.; Hagstrom, M.; Dhillon, S.; Geraminejad, T.; Olivares, S.; Donati, M.; Nosek, D.; Waldenbäck, P.; Kazakov, D.; Sheffield, B.S.; et al. Clinical, Morphologic, and Molecular Features of Benign and Intermediate-grade Melanocytic Tumors With Activating Mutations in MAP2K1. Am. J. Surg. Pathol. 2023, 47, 1438–1448. [Google Scholar] [CrossRef] [PubMed]
- Shen, L.; Cooper, C.; Bajaj, S.; Liu, P.; Pestova, E.; Guitart, J.; Gerami, P. Atypical spitz tumors with 6q23 deletions: A clinical, histological, and molecular study. Am. J. Dermatopathol. 2013, 35, 804–812. [Google Scholar] [CrossRef] [PubMed]
- Gerami, P.; Cooper, C.; Bajaj, S.; Wagner, A.; Fullen, D.; Busam, K.; Scolyer, R.A.; Xu, X.; Elder, D.E.; Abraham, R.M.; et al. Outcomes of atypical spitz tumors with chromosomal copy number aberrations and conventional melanomas in children. Am. J. Surg. Pathol. 2013, 37, 1387–1394. [Google Scholar] [CrossRef] [PubMed]
- Massi, D.; Tomasini, C.; Senetta, R.; Paglierani, M.; Salvianti, F.; Errico, M.E.; Donofrio, V.; Collini, P.; Tragni, G.; Sementa, A.R.; et al. Atypical Spitz tumors in patients younger than 18 years. J. Am. Acad. Dermatol. 2015, 72, 37–46. [Google Scholar] [CrossRef] [PubMed]
- Lee, C.Y.; Sholl, L.M.; Zhang, B.; Merkel, E.A.; Amin, S.M.; Guitart, J.; Gerami, P. Atypical Spitzoid Neoplasms in Childhood: A Molecular and Outcome Study. Am. J. Dermatopathol. 2017, 39, 181–186. [Google Scholar] [CrossRef] [PubMed]
- Lee, S.; Barnhill, R.L.; Dummer, R.; Dalton, J.; Wu, J.; Pappo, A.; Bahrami, A. TERT Promoter Mutations Are Predictive of Aggressive Clinical Behavior in Patients with Spitzoid Melanocytic Neoplasms. Sci. Rep. 2015, 5, 11200. [Google Scholar] [CrossRef]
- Goldstein, A.M.; Qin, R.; Chu, E.Y.; Elder, D.E.; Massi, D.; Adams, D.J.; Harms, P.W.; Robles-Espinoza, C.D.; Newton-Bishop, J.A.; Bishop, D.T.; et al. Association of germline variants in telomere maintenance genes (POT1, TERF2IP, ACD, and TERT) with spitzoid morphology in familial melanoma: A multi-center case series. JAAD Int. 2023, 11, 43–51. [Google Scholar] [CrossRef]
- Hillen, L.M.; Geybels, M.S.; Spassova, I.; Becker, J.C.; Gambichler, T.; Garmyn, M.; Zur Hausen, A.; van den Oord, J.; Winnepenninckx, V. A digital mRNA expression signature to classify challenging Spitzoid melanocytic neoplasms. FEBS Open Bio 2020, 10, 1326–1341. [Google Scholar] [CrossRef]
- Hillen, L.M.; Geybels, M.S.; Rennspiess, D.; Spassova, I.; Ritter, C.; Becker, J.C.; Garmyn, M.; Zur Hausen, A.; Van den Oord, J.; Winnepenninckx, V. Molecular profiling of Spitz nevi identified by digital RNA counting. Melanoma Res. 2018, 28, 510–520. [Google Scholar] [CrossRef]
- Latchana, N.; Regan, K.; Howard, J.H.; Aldrink, J.H.; Ranalli, M.A.; Peters, S.B.; Zhang, X.; Gru, A.; Payne, P.R.O.; Suarez-Kelly, L.P.; et al. Global microRNA profiling for diagnostic appraisal of melanocytic Spitz tumors. J. Surg. Res. 2016, 205, 350–358. [Google Scholar] [CrossRef] [PubMed][Green Version]
- Di Cicco, E.; Moran, C.; Visser, W.E.; Nappi, A.; Schoenmakers, E.; Todd, P.; Lyons, G.; Dattani, M.; Ambrosio, R.; Parisi, S.; et al. Germ Line Mutations in the Thyroid Hormone Receptor Alpha Gene Predispose to Cutaneous Tags and Melanocytic Nevi. Thyroid 2021, 31, 1114–1126. [Google Scholar] [CrossRef] [PubMed]
- Sondak, V.K.; Messina, J.L. What’s new in pediatric melanoma and Spitz tumors? Pretty much everything. Cancer 2021, 127, 3720–3723. [Google Scholar] [CrossRef] [PubMed]
- Parra, O.; Lefferts, J.A.; Tafe, L.J.; Gru, A.A.; Linos, K. Cross-reactivity of NRASQ61R antibody in a subset of Spitz nevi with 11p gain: A potential confounding factor in the era of pathway-based diagnostic approach. Hum. Pathol. 2021, 112, 35–47. [Google Scholar] [CrossRef] [PubMed]
- Redon, S.; Guibourg, B.; Talagas, M.; Marcorelles, P.; Uguen, A. A Diagnostic Algorithm Combining Immunohistochemistry and Molecular Cytogenetics to Diagnose Challenging Melanocytic Tumors. Appl. Immunohistochem. Mol. Morphol. 2018, 26, 714–720. [Google Scholar] [CrossRef] [PubMed]
- Garola, R.; Singh, V. Utility of p16-Ki-67-HMB45 score in sorting benign from malignant Spitz tumors. Pathol. Res. Pract. 2019, 215, 152550. [Google Scholar] [CrossRef] [PubMed]
- Botti, G.; Marra, L.; Anniciello, A.; Scognamiglio, G.; Gigantino, V.; Cantile, M. Immune-phenotypical markers for the differential diagnosis of melanocytic lesions. Int. J. Clin. Exp. Pathol. 2015, 8, 9742–9751. [Google Scholar] [PubMed]
- Hemminger, J.A.; Toland, A.E.; Scharschmidt, T.J.; Mayerson, J.L.; Guttridge, D.C.; Iwenofu, O.H. Expression of cancer-testis antigens MAGEA1, MAGEA3, ACRBP, PRAME, SSX2, and CTAG2 in myxoid and round cell liposarcoma. Mod. Pathol. 2014, 27, 1238–1245. [Google Scholar] [CrossRef] [PubMed]
- Jansen, B.; Hansen, D.; Moy, R.; Hanhan, M.; Yao, Z. Gene Expression Analysis Differentiates Melanomas from Spitz Nevi. J. Drugs Dermatol. 2018, 17, 574–576. [Google Scholar] [PubMed]
- Chen, Y.P.; Zhang, W.W.; Qiu, Y.T.; Ke, L.F.; Chen, H.; Chen, G. PRAME is a useful marker for the differential diagnosis of melanocytic tumours and histological mimics. Histopathology 2023, 82, 285–295. [Google Scholar] [CrossRef]
- Pappo, A.S.; McPherson, V.; Pan, H.; Wang, F.; Wang, L.; Wright, T.; Hussong, M.; Hawkins, D.; Kaste, S.C.; Davidoff, A.M.; et al. A prospective, comprehensive registry that integrates the molecular analysis of pediatric and adolescent melanocytic lesions. Cancer 2021, 127, 3825–3831. [Google Scholar] [CrossRef]
- Mosquera-Zamudio, A.; Launet, L.; Del Amor, R.; Moscardó, A.; Colomer, A.; Naranjo, V.; Monteagudo, C. A Spitzoid Tumor dataset with clinical metadata and Whole Slide Images for Deep Learning models. Sci. Data 2023, 10, 704. [Google Scholar] [CrossRef]
- Quan, V.L.; Zhang, B.; Zhang, Y.; Mohan, L.S.; Shi, K.; Wagner, A.; Kruse, L.; Taxter, T.; Beaubier, N.; White, K.; et al. Integrating Next-Generation Sequencing with Morphology Improves Prognostic and Biologic Classification of Spitz Neoplasms. J. Investig. Dermatol. 2020, 140, 1599–1608. [Google Scholar] [CrossRef] [PubMed]








Disclaimer/Publisher’s Note: The statements, opinions and data contained in all publications are solely those of the individual author(s) and contributor(s) and not of MDPI and/or the editor(s). MDPI and/or the editor(s) disclaim responsibility for any injury to people or property resulting from any ideas, methods, instructions or products referred to in the content. |
© 2024 by the authors. Licensee MDPI, Basel, Switzerland. This article is an open access article distributed under the terms and conditions of the Creative Commons Attribution (CC BY) license (https://creativecommons.org/licenses/by/4.0/).
Share and Cite
Chatzopoulos, K.; Syrnioti, A.; Linos, K. Spitz Melanocytic Tumors: A Fascinating 75-Year Journey. Genes 2024, 15, 195. https://doi.org/10.3390/genes15020195
Chatzopoulos K, Syrnioti A, Linos K. Spitz Melanocytic Tumors: A Fascinating 75-Year Journey. Genes. 2024; 15(2):195. https://doi.org/10.3390/genes15020195
Chicago/Turabian StyleChatzopoulos, Kyriakos, Antonia Syrnioti, and Konstantinos Linos. 2024. "Spitz Melanocytic Tumors: A Fascinating 75-Year Journey" Genes 15, no. 2: 195. https://doi.org/10.3390/genes15020195
APA StyleChatzopoulos, K., Syrnioti, A., & Linos, K. (2024). Spitz Melanocytic Tumors: A Fascinating 75-Year Journey. Genes, 15(2), 195. https://doi.org/10.3390/genes15020195

