Expression and Analysis of TBX3 Gene in the Skin from Three Locations on Dun Mongolian Bider Horse
Abstract
1. Introduction
2. Materials and Methods
2.1. Sample Collection
2.2. Paraffin Embedding and Sectioning
2.3. Hematoxylin and Eosin (HE) Staining
2.4. RNA Extraction, Quality Testing, and cDNA Synthesis
2.5. Real-Time Fluorescence Quantitative PCR (RT-qPCR) for TBX3
2.6. Extraction of Total Protein
2.7. Western Blot Analysis
2.8. Immunohistochemical Staining
3. Results
3.1. HE Staining Results
3.2. RT-qPCR Results
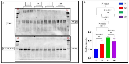
3.3. Western Blot Results
3.4. Protein Localization Results
4. Discussion
5. Conclusions
Supplementary Materials
Author Contributions
Funding
Institutional Review Board Statement
Informed Consent Statement
Data Availability Statement
Acknowledgments
Conflicts of Interest
References
- Linderholm, A.; Larson, G. The role of humans in facilitating and sustaining coat colour variation in domestic animals. Semin. Cell Dev. Biol. 2013, 24, 587–593. [Google Scholar] [CrossRef] [PubMed]
- Cieslak, M.; Reissmann, M.; Hofreiter, M.; Ludwig, A. Colours of domestication. Biol. Rev. Camb. Philos. Soc. 2011, 86, 885–899. [Google Scholar] [CrossRef] [PubMed]
- Librado, P.; Khan, N.; Fages, A.; Kusliy, M.A.; Suchan, T.; Tonasso-Calviere, L.; Schiavinato, S.; Alioglu, D.; Fromentier, A.; Perdereau, A.; et al. The origins and spread of domestic horses from the Western Eurasian steppes. Nature 2021, 598, 634–640. [Google Scholar] [CrossRef] [PubMed]
- Ludwig, A.; Pruvost, M.; Reissmann, M.; Benecke, N.; Brockmann, G.A.; Castanos, P.; Cieslak, M.; Lippold, S.; Llorente, L.; Malaspinas, A.S.; et al. Coat color variation at the beginning of horse domestication. Science 2009, 324, 485. [Google Scholar] [CrossRef] [PubMed]
- Raudsepp, T.; Finno, C.J.; Bellone, R.R.; Petersen, J.L. Ten years of the horse reference genome: Insights into equine biology, domestication and population dynamics in the post-genome era. Anim. Genet. 2019, 50, 569–597. [Google Scholar] [CrossRef] [PubMed]
- Imsland, F.; McGowan, K.; Rubin, C.J.; Henegar, C.; Sundstrom, E.; Berglund, J.; Schwochow, D.; Gustafson, U.; Imsland, P.; Lindblad-Toh, K.; et al. Regulatory mutations in TBX3 disrupt asymmetric hair pigmentation that underlies Dun camouflage color in horses. Nat. Genet. 2016, 48, 152–158. [Google Scholar] [CrossRef] [PubMed]
- Masuda, M.; Tsunoda, J.; Nomura, H.; Kimura, N.; Altangerel, G.; Namkhai, B.; Dolj, U.; Yokohama, M. New Primitive Marking (Bider) in Mongolian Native Horse and Equus przewalskii. J. Equine Sci. 2007, 18, 145–151. [Google Scholar] [CrossRef][Green Version]
- Cieslak, J.; Brooks, S.A.; Wodas, L.; Mantaj, W.; Borowska, A.; Sliwowska, J.H.; Ziarniak, K.; Mackowski, M. Genetic Background of the Polish Primitive Horse (Konik) Coat Color Variation-New Insight into Dun Dilution Phenotypic Effect. J. Hered. 2021, 112, 436–442. [Google Scholar] [CrossRef] [PubMed]
- Stachurska, A.M. Inheritance of primitive markings in horses. J. Anim. Breed. Genet. 1999, 116, 29–38. [Google Scholar] [CrossRef]
- Lusis, J.A. Striping patterns in domestic horses. Genetica 1942, 23, 31–62. [Google Scholar] [CrossRef]
- Ali, S.A.; Naaz, I. Biochemical aspects of mammalian melanocytes and the emerging role of melanocyte stem cells in dermatological therapies. Int. J. Health Sci. 2018, 12, 69–76. [Google Scholar]
- Moreiras, H.; Seabra, M.C.; Barral, D.C. Melanin Transfer in the Epidermis: The Pursuit of Skin Pigmentation Control Mechanisms. Int. J. Mol. Sci. 2021, 22, 4466. [Google Scholar] [CrossRef] [PubMed]





Disclaimer/Publisher’s Note: The statements, opinions and data contained in all publications are solely those of the individual author(s) and contributor(s) and not of MDPI and/or the editor(s). MDPI and/or the editor(s) disclaim responsibility for any injury to people or property resulting from any ideas, methods, instructions or products referred to in the content. |
© 2024 by the authors. Licensee MDPI, Basel, Switzerland. This article is an open access article distributed under the terms and conditions of the Creative Commons Attribution (CC BY) license (https://creativecommons.org/licenses/by/4.0/).
Share and Cite
An, T.; Dugarjaviin, M.; Han, H. Expression and Analysis of TBX3 Gene in the Skin from Three Locations on Dun Mongolian Bider Horse. Genes 2024, 15, 1589. https://doi.org/10.3390/genes15121589
An T, Dugarjaviin M, Han H. Expression and Analysis of TBX3 Gene in the Skin from Three Locations on Dun Mongolian Bider Horse. Genes. 2024; 15(12):1589. https://doi.org/10.3390/genes15121589
Chicago/Turabian StyleAn, Tana, Manglai Dugarjaviin, and Haige Han. 2024. "Expression and Analysis of TBX3 Gene in the Skin from Three Locations on Dun Mongolian Bider Horse" Genes 15, no. 12: 1589. https://doi.org/10.3390/genes15121589
APA StyleAn, T., Dugarjaviin, M., & Han, H. (2024). Expression and Analysis of TBX3 Gene in the Skin from Three Locations on Dun Mongolian Bider Horse. Genes, 15(12), 1589. https://doi.org/10.3390/genes15121589

