An Update of Phenotypic–Genotypic IMNEPD Cases and a Bioinformatics Analysis of the New PTRH2 Gene Variants
Abstract
1. Introduction
2. Methodology
3. Results
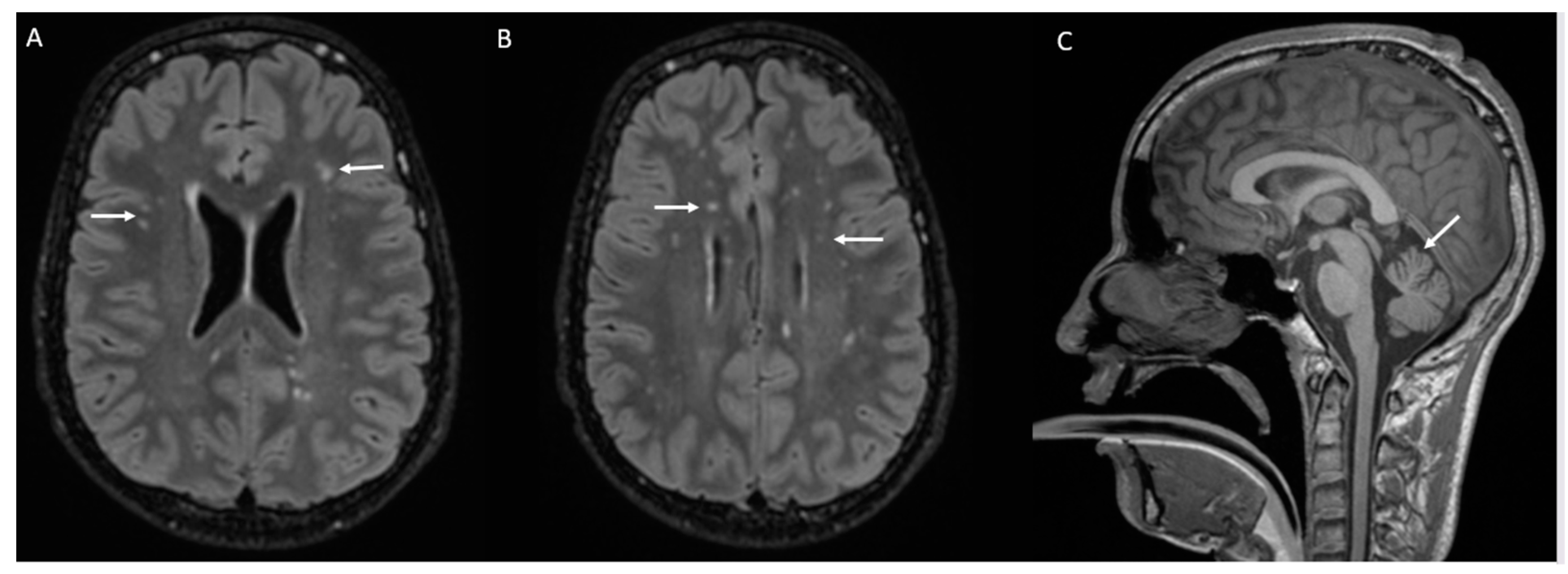
3.1. Case Presentation
3.2. Structural Analysis of the Mutational Effects
3.2.1. Glu124Lysfs*4
3.2.2. Gly39Trpfs*16
3.2.3. Gln85Arg
4. Discussion
Supplementary Materials
Author Contributions
Funding
Institutional Review Board Statement
Informed Consent Statement
Data Availability Statement
Acknowledgments
Conflicts of Interest
References
- Hu, H.; Matter, M.L.; Issa-Jahns, L.; Jijiwa, M.; Kraemer, N.; Musante, L.; de la Vega, M.; Ninnemann, O.; Schindler, D.; Damatova, N.; et al. Mutations in PTRH2 Cause Novel Infantile-Onset Multisystem Disease with Intellectual Disability, Microcephaly, Progressive Ataxia, and Muscle Weakness. Ann. Clin. Transl. Neurol. 2014, 1, 1024–1035. [Google Scholar] [CrossRef] [PubMed]
- Picker-Minh, S.; Mignot, C.; Doummar, D.; Hashem, M.; Faqeih, E.; Josset, P.; Dubern, B.; Alkuraya, F.S.; Kraemer, N.; Kaindl, A.M. Phenotype Variability of Infantile-Onset Multisystem Neurologic, Endocrine, and Pancreatic Disease IMNEPD. Orphanet J. Rare Dis. 2016, 11, 52. [Google Scholar] [CrossRef] [PubMed]
- Sharkia, R.; Shalev, S.A.; Zalan, A.; Marom-David, M.; Watemberg, N.; Urquhart, J.E.; Daly, S.B.; Bhaskar, S.S.; Williams, S.G.; Newman, W.G.; et al. Homozygous Mutation in PTRH2 Gene Causes Progressive Sensorineural Deafness and Peripheral Neuropathy. Am. J. Med. Genet. A 2017, 173, 1051–1055. [Google Scholar] [CrossRef]
- Sharma, S.; Kaushik, S.; Sinha, M.; Kushwaha, G.S.; Singh, A.; Sikarwar, J.; Chaudhary, A.; Gupta, A.; Kaur, P.; Singh, T.P. Structural and Functional Insights into Peptidyl-tRNA Hydrolase. Biochim. Biophys. Acta 2014, 1844, 1279–1288. [Google Scholar] [CrossRef] [PubMed]
- Yao, X.; Jennings, S.; Ireland, S.K.; Pham, T.; Temple, B.; Davis, M.; Chen, R.; Davenport, I.; Biliran, H. The Anoikis Effector Bit1 Displays Tumor Suppressive Function in Lung Cancer Cells. PLoS ONE 2014, 9, e101564. [Google Scholar] [CrossRef]
- Corpuz, A.D.; Ramos, J.W.; Matter, M.L. PTRH2: An Adhesion Regulated Molecular Switch at the Nexus of Life, Death, and Differentiation. Cell Death Discov. 2020, 6, 124. [Google Scholar] [CrossRef]
- Ando, M.; Higuchi, Y.; Takeuchi, M.; Hashiguchi, A.; Takashima, H. The First Case of Infantile-Onset Multisystem Neurologic, Endocrine, and Pancreatic Disease Caused by Novel PTRH2 Mutation in Japan. Neurol. Sci. 2022, 43, 2133–2136. [Google Scholar] [CrossRef]
- Sharkia, R.; Jain, S.; Mahajnah, M.; Habib, C.; Azem, A.; Al-Shareef, W.; Zalan, A. PTRH2 Gene Variants: Recent Review of the Phenotypic Features and Their Bioinformatics Analysis. Genes 2023, 14, 1031. [Google Scholar] [CrossRef]
- Berling, E.; Latour, P.; Loiselet, K.; Guémy, C.; Vidoni, L.; Romero, N.B.; Lacene, E.; Evangelista, T.; Stojkovic, T. Severe Respiratory and Swallowing Disorders in Infantile-Onset Multisystem Neurologic, Endocrine, and Pancreatic Disease Type 1: Two Cases. Neurol. Genet. 2024, 10, e200178. [Google Scholar] [CrossRef]
- Le, C.; Prasad, A.N.; Rupar, C.A.; Debicki, D.; Andrade, A.; Prasad, C. Infantile-Onset Multisystem Neurologic, Endocrine, and Pancreatic Disease: Case and Review. Can. J. Neurol. Sci. 2019, 46, 459–463. [Google Scholar] [CrossRef]
- Parida, P.; Dubbudu, A.; Biswal, S.R.; Sharawat, I.K.; Panda, P.K. Diabetes Mellitus in an Adolescent Girl with Intellectual Disability Caused by Novel Single Base Pair Duplication in the PTRH2 Gene: Expanding the Clinical Spectrum of IMNEPD. Brain Dev. 2021, 43, 314–319. [Google Scholar] [CrossRef] [PubMed]
- Charles Bronson, S.; Suresh, E.; Stephen Abraham Suresh Kumar, S.; Mythili, C.; Shanmugam, A. A Novel Synergistic Association of Variants in PTRH2 and KIF1A Relates to a Syndrome of Hereditary Axonopathy, Outer Hair Cell Dysfunction, Intellectual Disability, Pancreatic Lipomatosis, Diabetes, Cerebellar Atrophy, and Vertebral Artery Hypoplasia. Cureus 2021, 13, e13174. [Google Scholar] [CrossRef] [PubMed]
- Bubshait, D.K. Novel PTRH2 Gene Variant Causing IMNEPD (Infantile-Onset Multisystem Neurologic, Endocrine, and Pancreatic Disease) in 2 Saudi Siblings. Clin. Exp. Pediatr. 2023, 66, 223–225. [Google Scholar] [CrossRef]
- Isa, H.M.; Khalaf, S.D.; Janahi, S.; Naser, M.M.; Al Hamad, N.; Alhaddar, H.; Busehail, M. A Novel PTRH2 Gene Mutation Causing Infantile-Onset Multisystem Neurologic, Endocrine, and Pancreatic Disease in a Bahraini Patient. Oman Med. J. 2024, 39, e599. [Google Scholar] [CrossRef]
- Jumper, J.; Evans, R.; Pritzel, A.; Green, T.; Figurnov, M.; Ronneberger, O.; Tunyasuvunakool, K.; Bates, R.; Žídek, A.; Potapenko, A.; et al. Highly Accurate Protein Structure Prediction with AlphaFold. Nature 2021, 596, 583–589. [Google Scholar] [CrossRef] [PubMed]
- Ashkenazy, H.; Abadi, S.; Martz, E.; Chay, O.; Mayrose, I.; Pupko, T.; Ben-Tal, N. ConSurf 2016: An Improved Methodology to Estimate and Visualize Evolutionary Conservation in Macromolecules. Nucleic Acids Res. 2016, 44, W344–W350. [Google Scholar] [CrossRef]
- Yuan, S.; Chan, H.C.S.; Hu, Z. Using PyMOL as a Platform for Computational Drug Design. WIREs Comput. Mol. Sci. 2017, 7, e1298. [Google Scholar] [CrossRef]
- Dieckhaus, H.; Brocidiacono, M.; Randolph, N.Z.; Kuhlman, B. Transfer Learning to Leverage Larger Datasets for Improved Prediction of Protein Stability Changes. Proc. Natl. Acad. Sci. USA 2024, 121, e2314853121. [Google Scholar] [CrossRef] [PubMed]
- Lu, S.; Wang, J.; Chitsaz, F.; Derbyshire, M.K.; Geer, R.C.; Gonzales, N.R.; Gwadz, M.; Hurwitz, D.I.; Marchler, G.H.; Song, J.S.; et al. CDD/SPARCLE: The Conserved Domain Database in 2020. Nucleic Acids Res. 2020, 48, D265–D268. [Google Scholar] [CrossRef]
- De Pereda, J.M.; Waas, W.F.; Jan, Y.; Ruoslahti, E.; Schimmel, P.; Pascual, J. Crystal Structure of a Human Peptidyl-tRNA Hydrolase Reveals a New Fold and Suggests Basis for a Bifunctional Activity. J. Biol. Chem. 2004, 279, 8111–8115. [Google Scholar] [CrossRef]
- Alazami, A.M.; Patel, N.; Shamseldin, H.E.; Anazi, S.; Al-Dosari, M.S.; Alzahrani, F.; Hijazi, H.; Alshammari, M.; Aldahmesh, M.A.; Salih, M.A.; et al. Accelerating Novel Candidate Gene Discovery in Neurogenetic Disorders via Whole-Exome Sequencing of Prescreened Multiplex Consanguineous Families. Cell Rep. 2015, 10, 148–161. [Google Scholar] [CrossRef] [PubMed]
- Abu Rayyan, A.; Kamal, L.; Casadei, S.; Brownstein, Z.; Zahdeh, F.; Shahin, H.; Canavati, C.; Dweik, D.; Jaraysa, T.; Rabie, G.; et al. Genomic Analysis of Inherited Hearing Loss in the Palestinian Population. Proc. Natl. Acad. Sci. USA 2020, 117, 20070–20076. [Google Scholar] [CrossRef] [PubMed]
- Khamirani, H.J.; Zoghi, S.; Dianatpour, M.; Jankhah, A.; Tabei, S.S.; Mohammadi, S.; Dastgheib, S.A. A Novel PTRH2 Missense Mutation Causing IMNEPD: A Case Report. Hum. Genome Var. 2021, 8, 23. [Google Scholar] [CrossRef] [PubMed]
- Becker, M.; Seneca, S.; Schierloh, U.; Witsch, M.; de Beaufort, C.; Scalais, E. Diabetes in a child with infantile onset multisystem neurological, endocrine and pancreatic disease (IMNEPD). Horm. Res. Paediatr. 2021, 94 (Suppl. S1), 228. Available online: https://researchportal.vub.be/en/publications/diabetes-in-a-child-with-infantile-onset-multisystem-neurological (accessed on 15 October 2023).


| PTRH2 Mutation | Our Study | [1] | |||
|---|---|---|---|---|---|
| c.269_270delCT p.(Ala90Glyfs*13) (A90Gfs*13) | c.269_270delCT p.(Ala90Glyfs*13) (A90Gfs*13) | ||||
| Clinical Features | Patient 1 (M) | Patient 2 (M) | Patient 1 (F) | Patient 2 (M) | |
| Sensorineural deafness | ++ | +++ | +++ | +++ | |
| Neonatal hypotonia | ++ | ++ | + | - | |
| Global developmental delay | ++ | ++ | ++ | ++ | |
| Motor delay | + | + | + | + | |
| Speech and language delay | +++ | ++ | +++ | +++ | |
| Intellectual disability | + | + | + | + | |
| Deformity of the head and face | - | - | + | + | |
| Hand deformity | - | - | + | + | |
| Feet abnormalities: | |||||
| Abnormality of the hallux | - | + | + | - | |
| Talipes equinovalgus (incipient) | - | - | + | - | |
| Achilles tendon contracture | +++ | + | + | - | |
| Mild pes cavus | + | + | - | - | |
| Clubfoot | - | - | - | - | |
| Spasticity | - | - | - | - | |
| Ataxia | + | + | ++ | ++ | |
| Sensory and motor peripheral neuropathy | +++ | ++ | ++ | ++ | |
| Insensitivity to pain Neuropathic pain | - | - | - | - | |
| + | - | - | - | ||
| Vision/eyes impairment: | |||||
| Strabismus | - | + | + | + | |
| Hypermetropia | - | + | NR a | NR | |
| Hypertelorism | - | - | + | + | |
| Behavioral difficulties: | |||||
| Self-mutilative behaviour | + | - | NR | NR | |
| Picky eating | + | - | NR | NR | |
| Sleep disturbances | + | + | NR | NR | |
| Microcephaly | - | - | ++ | ++ | |
| Genitourinary: External genitalia | - | - | NR | Shawl scrotum | |
| Growth delay | height − 2 SD | - | + | + | |
| Distal muscle weakness | + | + | + | + | |
| Exocrine pancreas insufficiency | - | - | + | + | |
| Diabetes mellitus | + | - | + | + | |
| Hypothyroidism | + | + | + | + | |
| Liver fibrosis | - | - | + | + | |
| Brain MRI: | |||||
| Cerebellar atrophy | + | + | + | + | |
| Multiple periventricular FLAIR signals | + | + | - | - | |
| Factors | Relative Frequency (N = 32) |
|---|---|
| Total number of reported families | 18 |
| Number of patients affected by the following: | |
| Missense mutations: | 18 (56.25%) |
| (A) c.254A>C, p.Gln85Pro | 14 (43.75%) |
| (B) c.68T>C, p.Val23Ala | 1 (3.125%) |
| (C) c.280T>A, p.Tyr94Asn | 1 (3.125%) |
| (D) c.254A>G, p.Gln85Arg | 2 (6.25%) |
| Nonsense mutations: | 14 (43.75%) |
| 1. Nonsense nucleotide deletion (c.269_270delCT, p.Ala90Glyfs*13, c.370del, p.Glu124Lysfs*4) | 5 (15.6%) |
| 2. Nonsense point mutation (c.324G>A, p.Trp108*, c.328G>T, p.Glu110*) | 4 (12.5%) |
| 3. Nonsense nucleotide duplication (c.127dupA, p.Ser43Lysfs*11, c.114dup, p.Gly39Trpfs*16) | 5 (15.6%) |
| Motor delay | 30/32 (93.75%) |
| Intellectual disability | 28/32 (87.5%) |
| Hearing impairment | 25/32 (78.12%) |
| Deformity of the head and face | 16/30 a (53.33%) |
| Hand deformity | 18/31 (58.06%) |
| Distal weakness | 23/27 (85.2%) |
| Ataxia | 20/26 (76.92%) |
| Cerebellar atrophy/hypoplasia | 13/23 (56.5%) |
| Neuropathy | 24/27 (88.9%) |
| Liver abnormality | 4/23 (17.39%) |
| Pancreatic abnormality | 9/27 (33.33%) |
| Hypothyroidism | 7/32 (21.88%) |
| Diabetes mellitus | 12/30 (40%) |
Disclaimer/Publisher’s Note: The statements, opinions and data contained in all publications are solely those of the individual author(s) and contributor(s) and not of MDPI and/or the editor(s). MDPI and/or the editor(s) disclaim responsibility for any injury to people or property resulting from any ideas, methods, instructions or products referred to in the content. |
© 2024 by the authors. Licensee MDPI, Basel, Switzerland. This article is an open access article distributed under the terms and conditions of the Creative Commons Attribution (CC BY) license (https://creativecommons.org/licenses/by/4.0/).
Share and Cite
Sharkia, R.; Vuillaume, M.-L.; Jain, S.; Mahajnah, M.; Stoeva, R.; Guichet, A.; Colin, E.; Champ, J.; Derive, N.; Chefdor, A.; et al. An Update of Phenotypic–Genotypic IMNEPD Cases and a Bioinformatics Analysis of the New PTRH2 Gene Variants. Genes 2024, 15, 1508. https://doi.org/10.3390/genes15121508
Sharkia R, Vuillaume M-L, Jain S, Mahajnah M, Stoeva R, Guichet A, Colin E, Champ J, Derive N, Chefdor A, et al. An Update of Phenotypic–Genotypic IMNEPD Cases and a Bioinformatics Analysis of the New PTRH2 Gene Variants. Genes. 2024; 15(12):1508. https://doi.org/10.3390/genes15121508
Chicago/Turabian StyleSharkia, Rajech, Marie-Laure Vuillaume, Sahil Jain, Muhammad Mahajnah, Radka Stoeva, Agnès Guichet, Estelle Colin, Jérome Champ, Nicolas Derive, Arnaud Chefdor, and et al. 2024. "An Update of Phenotypic–Genotypic IMNEPD Cases and a Bioinformatics Analysis of the New PTRH2 Gene Variants" Genes 15, no. 12: 1508. https://doi.org/10.3390/genes15121508
APA StyleSharkia, R., Vuillaume, M.-L., Jain, S., Mahajnah, M., Stoeva, R., Guichet, A., Colin, E., Champ, J., Derive, N., Chefdor, A., & Zalan, A. (2024). An Update of Phenotypic–Genotypic IMNEPD Cases and a Bioinformatics Analysis of the New PTRH2 Gene Variants. Genes, 15(12), 1508. https://doi.org/10.3390/genes15121508

