Effect of IGF1 on Myogenic Proliferation and Differentiation of Bovine Skeletal Muscle Satellite Cells Through PI3K/AKT Signaling Pathway
Abstract
1. Introduction
2. Materials and Methods
2.1. Ethics Statement
2.2. Test Materials
2.3. Reagents and Media
2.4. In Vitro Culture and Myogenic Differentiation of bSMSCs
2.5. Construction of the IGF1 Gene siRNA
2.6. Lentiviral Packaging and Titer Determination
2.7. Cell Transfection
2.8. Real-Time Fluorescence Quantitative PCR, qRT–PCR
2.9. Western Blot
2.10. Statistical Analysis
3. Results
3.1. Myogenic Differentiation and Immunofluorescence Identification of bSMSCs
3.2. Analysis of IGF1 Gene Expression During Myogenic Differentiation
3.3. siRNA Screening of the IGF1 Gene
3.4. Determination of the Effect of Lentivirus Infection on IGF1 Gene Overexpression
3.5. Effects of the IGF1 Gene on the Expression of the Proliferation Marker Gene Pax7 in bSMSCs
3.6. The IGF1 Gene Positively Regulates the Myogenic Differentiation of bSMSCs
3.7. Effects of IGF1 Gene Overexpression and Interference on the Expression of Marker Genes Involved in the Myogenic Differentiation of bSMSCs
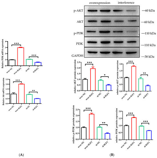
3.8. Effects of IGF1 Gene Overexpression and Interference on the PI3K/AKT Signaling Pathway
4. Discussion
5. Conclusions
Author Contributions
Funding
Institutional Review Board Statement
Informed Consent Statement
Data Availability Statement
Acknowledgments
Conflicts of Interest
References
- Ben-Arye, T.; Levenberg, S. Tissue engineering for clean meat production. Front. Sustain. Food Syst. 2019, 3, 46. [Google Scholar] [CrossRef]
- Bogliotti, Y.S.; Wu, J.; Vilarino, M.; Okamura, D.; Soto, D.A.; Zhong, C.; Sakurai, M.; Sampaio, R.V.; Suzuki, K.; Izpisua Belmonte, J.C.; et al. Efficient derivation of stable primed pluripotent embryonic stem cells from bovine blastocysts. Proc. Natl. Acad. Sci. USA 2018, 115, 2090–2095. [Google Scholar] [CrossRef] [PubMed]
- Beier, J.P.; Bitto, F.F.; Lange, C.; Klumpp, D.; Arkudas, A.; Bleiziffer, O.; Boos, A.M.; Horch, R.E.; Kneser, U. Myogenic differentiation of mesenchymal stem cells co-cultured with primary myoblasts. Cell Biol. Int. 2011, 35, 397–406. [Google Scholar] [CrossRef]
- Stanton, M.M.; Tzatzalos, E.; Donne, M.; Kolundzic, N.; Helgason, I.; Ilic, D. Prospects for the use of induced pluripotent stem cells in animal conservation and environmental protection. Stem Cells Transl. Med. 2019, 8, 7–13. [Google Scholar] [CrossRef] [PubMed]
- Yan, J.; Yang, Y.; Fan, X.; Liang, G.; Wang, Z.; Li, J.; Wang, L.; Chen, Y.; Adetula, A.A.; Tang, Y.; et al. circRNAome profiling reveals circFgfr2 regulates myogenesis and muscle regeneration via a feedback loop. J. Cachexia Sarcopenia Muscle 2022, 13, 696–712. [Google Scholar] [CrossRef] [PubMed]
- Henrot, P.; Blervaque, L.; Dupin, I.; Zysman, M.; Esteves, P.; Gouzi, F.; Hayot, M.; Pomiès, P.; Berger, P. Cellular interplay in skeletal muscle regeneration and wasting: Insights from animal models. J. Cachexia Sarcopeni Muscle 2023, 14, 745–757. [Google Scholar] [CrossRef]
- Yu, H.; Xing, J.; Zhang, R. Research progress of skeletal muscle satellite cells and effects of RNAi on meat quality. Meat Ind. 2020, 11, 46–52. (In Chinese) [Google Scholar]
- Yan, S.; Jing, S.; Chi, S.; Yan, H.; Chun, Z.; Hui, L. Isolation, culture and identification of duck skeletal muscle satellite cells. Jiangsu Agric. Sci. 2012, 40, 26–28. (In Chinese) [Google Scholar]
- Relaix, F.; Zammit, P.S. Satellite cells are essential for skeletal uscle regeneration: The cell on the edge returns centre stage. Development 2012, 139, 2845–2856. [Google Scholar] [CrossRef]
- Li, X.; Yu, Y.; Zhang, L.; Ma, H.; Luo, X.; Wei, T.; Xiao, C.; Zhang, Q.; Cao, Y.; Zhao, Z. Isolation, Culture, Identification and myogenic differentiation of sheep skeletal muscle satellite cells. China Anim. Husb. Vet. Med. 2021, 48, 1204–1210. (In Chinese) [Google Scholar]
- Verhees, K.J.; Pansters, N.A.; Baarsma, H.A.; Remels, A.H.; Haegens, A.; de Theije, C.C.; Schols, A.M.; Gosens, R.; Langen, R.C. Pharmacological inhibition of GSK-3 in a guinea pig model of LPS-induced pulmonary inflammation: II. Effects on skeletal muscle atrophy. Respir. Res. 2013, 14, 117. [Google Scholar] [CrossRef] [PubMed]
- McPherron, A.C.; Lawler, A.M.; Lee, S.J. Regulation of skeletal muscle mass in mice by a new TGF-p superfamily member. Nature 1997, 387, 83–90. [Google Scholar] [CrossRef] [PubMed]
- Taylor, W.E.; Bhasin, S.; Artaza, J.; Byhower, F.; Azam, M.; Willard, D.H., Jr.; Kull, F.C., Jr.; Gonzalez-Cadavid, N. Myostatin inhibits cell proliferation and protein synthesis in C2C12 muscle cells. Am. J. Physiol. Endocrinol. Metab. 2001, 280, E221–E228. [Google Scholar] [CrossRef] [PubMed]
- Morissette, M.R.; Cook, S.A.; Buranasombati, C.; Rosenberg, M.A.; Rosenzweig, A. Myostatin inhibits IGF-I-induced myotube hypertrophy through Akt. Am. J. Physiol. Cell Physiol. 2009, 297, C1124–C1132. [Google Scholar] [CrossRef]
- Stout, A.J.; Mirliani, A.B.; Rittenberg, M.L.; Shub, M.; White, E.C.; Yuen, J.S.K.; Kaplan, D.L. Simple and effective serum-free medium for sustained expansion of bovine satellite cells for cell cultured meat. Commun. Biol. 2022, 5, 466. [Google Scholar] [CrossRef]
- Derya, O.; Kathleen, L.; Cemile, B.; Anisha, J.; Krishi, P.; Yong, M. Optimized adipogenic differentiation and delivery of bovine umbilical cord stem cells for cultivated meat. Gels 2024, 10, 488. [Google Scholar] [CrossRef]
- Wang, Y.; Song, C.; Yin, G.; Meng, Y.; Zhang, F. Alleviation of behavioral deficits, amyloid-β deposition, and mitochondrial structure damage associated with mitophagy upregulation in AD animal models via AAV9-IGF-1 treatment. Brain Res. 2024, 1827, 148743. [Google Scholar] [CrossRef]
- Song, Y.H.; Song, J.L.; Delafontaine, P.; Godard, M.P. The therapeutic potential of IGF-I in skeletal muscle repair. Trends Endocrinol. Metab. 2013, 24, 310–319. [Google Scholar] [CrossRef]
- Xu, Q.; Wu, Z. The insulin-like growth factor-phosphatidylinositol 3-kinase-Akt signaling pathway regulates myogenin expression in normal myogenic cells but not in rhabdomyosarcoma-derived RD cells. J. Biol. Chem. 2000, 275, 36750–36757. [Google Scholar] [CrossRef]
- Fu, S.; Yin, L.; Lin, X.; Lu, J.; Wang, X. Effects of cyclic mechanical stretch on the proliferation of L6 myoblasts and its mechanisms: PI3K/Akt and MAPK signal pathways regulated by IGF-1 receptor. Int. J. Mol. Sci. 2018, 19, 1649. [Google Scholar] [CrossRef]
- Sandri, M.; Barberi, L.; Bijlsma, A.Y.; Blaauw, B.; Dyar, K.A.; Milan, G.; Mammucari, C.; Meskers, C.G.; Pallafacchina, G.; Paoli, A. Signalling pathways regulating muscle mass in ageing skeletal muscle: The role of the IGF1-Akt-mTOR-FoxO pathway. Biogerontology 2013, 14, 303–323. [Google Scholar] [CrossRef] [PubMed]
- Liu, M.; Zhang, S. Amphioxus IGF-like peptide induces mouse muscle cell development via binding to IGF receptors and activating MAPK and PI3K/Akt signaling pathways. Mol. Cell. Endocrinol. 2011, 343, 45–54. [Google Scholar] [CrossRef] [PubMed]
- Peng, X.D.; Xu, P.Z.; Chen, M.L.; Hahn-Windgassen, A.; Skeen, J.; Jacobs, J.; Sundararajan, D.; Chen, W.S.; Crawford, S.E.; Coleman, K.G.; et al. Dwarfism, impaired skin development, skeletal muscle atrophy delayed bone development, and impeded adipogenesis in mice lacking Akt1 and Akt2. Genes Dev. 2003, 17, 1352–1365. [Google Scholar] [CrossRef] [PubMed]
- Stadhouders, L.E.M.; Smith, J.A.B.; Gabriel, B.M.; Verbrugge, S.A.J.; Hammersen, T.D.; Kolijn, D.; Vogel, I.S.P.; Mohamed, A.D.; de Wit, G.M.J.; Offringa, C.; et al. Myotube growth is associated with cancer-like metabolic reprogramming and is limited by phosphoglycerate dehydrogenase. Exp. Cell Res. 2023, 433, 113820. [Google Scholar] [CrossRef]
- Skrivergaard, S.; Rasmussen, M.K.; Therkildsen, M.; Young, J.F. Bovine satellite cells isolated after 2 and 5 days of tissue storage maintain the proliferative and myogenic capacity needed for cultured meat production. Int. J. Mol. Sci. 2021, 22, 8376. [Google Scholar] [CrossRef]
- Kim, B.; Min, Y.; Jeong, Y.; Ramani, S.; Lim, H.; Jo, Y.; Kim, W.; Choi, Y.; Park, S. Comparison of growth performance and related gene expression of muscle and fat from LYD and Woori black pigs. J. Anim. Sci. Technol. 2023, 65, 160–174. [Google Scholar] [CrossRef]
- Wardle, F.C. Master control: Transcriptional regulation of mammalian Myod. J. Muscle Res. Cell Motil. 2019, 40, 211–226. [Google Scholar] [CrossRef]
- Zammit, P.S.; Relaix, F.; Nagata, Y.; Ruiz, A.P.; Collins, C.A.; Partridge, T.A.; Beauchamp, J.R. Pax7 and myogenic progression in skeletal muscle satellite cells. J. Cell Sci. 2006, 119, 1824–1832. [Google Scholar] [CrossRef]
- Schmidt, M.; Schuler, S.C.; Huttner, S.S.; von Eyss, B.; von Maltzahn, J. Adult stem cells at work: Regenerating skeletal muscle. Cell. Mol. Life Sci. 2019, 76, 2559–2570. [Google Scholar] [CrossRef]
- Paula, N.M.; Arianna, N.C.; Amelia, J.K.; Sonu, P.; Michelle, S.P.; Jose, R.P. Post-translational modifications of vertebrate striated muscle myosin heavy chains. Cytoskeleton 2024, 8, 1–11. [Google Scholar] [CrossRef]








| siRNA | Primer Sequences (5′-3′) |
|---|---|
| Negative control | F: ATCCTCCTCGCATCTCTTCTATC |
| R: TGAAATAAAAGCCCCTGTCTCC | |
| IGF1-BOS-18 | F: CCUCCUCGCAUCUCUUCUATT |
| R: UAGAAGAGAUGCGAGGAGGTT | |
| IGF1-BOS-122 | F: CAGUUCGUGUGCGGAGACATT |
| R: UGUCUCCGCACACGAACUGTT | |
| IGF1-BOS-240 | F: UGAGGAGGCUGGAGAUGUATT |
| R: UACAUCUCCAGCCUCCUCATT |
| Genes | Primer Sequence/(5′-3′) | Product Length/bp | Annealing Temperature/°C |
|---|---|---|---|
| MyHC | F: AAGCTGATGCCTTGGCTGAT | 219 | 60 |
| R: TCTCTGTGGCGTGTTTCTCC | |||
| MyoG | F: CAGTACATAGAGCGCCTGCA | 235 | 60 |
| R: TCCACTGTGATGCTGTCCAC | |||
| IGF1 | F: GCTTTTGTGATTTCTTGAAGCAG | 355 | 60 |
| R: TTCTTCAAATGTACTTCCTTCTGAG | |||
| Pax7 | F: ACGAAGCGGACAAGAAGGAG | 211 | 60 |
| R: TCGGGTGTAGATGTCTGGGT | |||
| PI3K | F: CTATCCTGTGCCGGCTACTG | 265 | 60 |
| R: CCATGCCGGCGTAAAATCAG | |||
| Akt | F: CATGCAGCACCGATTCTTCG | 201 | 60 |
| R: CGAGTAGGAGAACTGGGGGA | |||
| GAPDH | F: GTCGGAGTGAACGGATTCGG | 238 | 60 |
| R: CCAGCATCACCCCACTTGAT |
Disclaimer/Publisher’s Note: The statements, opinions and data contained in all publications are solely those of the individual author(s) and contributor(s) and not of MDPI and/or the editor(s). MDPI and/or the editor(s) disclaim responsibility for any injury to people or property resulting from any ideas, methods, instructions or products referred to in the content. |
© 2024 by the authors. Licensee MDPI, Basel, Switzerland. This article is an open access article distributed under the terms and conditions of the Creative Commons Attribution (CC BY) license (https://creativecommons.org/licenses/by/4.0/).
Share and Cite
Li, X.; Cao, Y.; Liu, Y.; Fang, W.; Xiao, C.; Cao, Y.; Zhao, Y. Effect of IGF1 on Myogenic Proliferation and Differentiation of Bovine Skeletal Muscle Satellite Cells Through PI3K/AKT Signaling Pathway. Genes 2024, 15, 1494. https://doi.org/10.3390/genes15121494
Li X, Cao Y, Liu Y, Fang W, Xiao C, Cao Y, Zhao Y. Effect of IGF1 on Myogenic Proliferation and Differentiation of Bovine Skeletal Muscle Satellite Cells Through PI3K/AKT Signaling Pathway. Genes. 2024; 15(12):1494. https://doi.org/10.3390/genes15121494
Chicago/Turabian StyleLi, Xin, Yang Cao, Yu Liu, Wenwen Fang, Cheng Xiao, Yang Cao, and Yumin Zhao. 2024. "Effect of IGF1 on Myogenic Proliferation and Differentiation of Bovine Skeletal Muscle Satellite Cells Through PI3K/AKT Signaling Pathway" Genes 15, no. 12: 1494. https://doi.org/10.3390/genes15121494
APA StyleLi, X., Cao, Y., Liu, Y., Fang, W., Xiao, C., Cao, Y., & Zhao, Y. (2024). Effect of IGF1 on Myogenic Proliferation and Differentiation of Bovine Skeletal Muscle Satellite Cells Through PI3K/AKT Signaling Pathway. Genes, 15(12), 1494. https://doi.org/10.3390/genes15121494

