In Silico Identification of the Laccase-Encoding Gene in the Transcriptome of the Amazon River Prawn Macrobrachium amazonicum (Heller, 1862)
Abstract
1. Introduction
2. Materials and Methods
3. Results
3.1. Identification of Ma-Lac
3.2. Alignments and Cladogram
3.3. Conformation of the Ma-Lac Protein
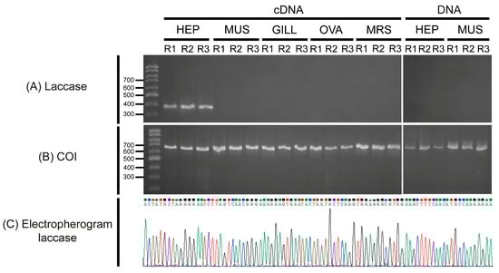
3.4. Expression of Ma-Lac
4. Discussion
5. Conclusions
Supplementary Materials
Author Contributions
Funding
Institutional Review Board Statement
Informed Consent Statement
Data Availability Statement
Conflicts of Interest
References
- Anger, K. Neotropical Macrobrachium (Caridea: Palaemonidae): On the Biology, Origin, and Radiation of Freshwater-Invading Shrimp. J. Crustac. Biol. 2013, 33, 151–183. [Google Scholar] [CrossRef]
- Maciel, C.R.; Valenti, W.C. Biology, Fisheries, and Aquaculture of the Amazon River Prawn Macrobrachium amazonicum: A Review. Nauplius 2009, 17, 61–79. [Google Scholar]
- Santos, L.V.R.; Coelho Filho, P.A. An Update of the Amazon Prawn (Macrobrachium amazonicum) Distribution in the Low Course of the São Francisco River (Northeast Brazil). Neotrop. Biol. Conserv. 2021, 16, 105–114. [Google Scholar] [CrossRef]
- Marques, M.H.C.; Costa, I.; Zacardi, D.M.; dos Santos, M.A.S.; Brabo, M.F.; Maciel, C.R. Perfil Do Consumidor de Camarão-Da-Amazônia no estado do pará: Socioeconômica, Frequência de Consumo e Preferências. Res. Soc. Dev. 2020, 9, e525997316. [Google Scholar] [CrossRef]
- Marques, M.H.C.; Costa, I.; de Macêdo, P.C.; dos Reis Teixeira, T.D.S.; Junior, K.S.C.; Xavier, C.E.C.; Costa, J.W.P.; Costa, I.; Martins, C.M.; dos Santos, M.A.S.; et al. Comercialização de Camarão-Da-Amazônia no estado do pará: Produtos Ofertados e Percepção Dos Varejistas. REVISTA FOCO 2024, 17, e4677. [Google Scholar] [CrossRef]
- Odinetz-Collart, O. Ecologia e Potencial Pesqueiro Do Camarão-Canela, Macrobrachium amazonicum, Na Bacia Amazônica. Científicas Para. Estratégias Preserv. Desenvolv. Da Amaz. 1993, 2, 147–166. [Google Scholar]
- Magalhães, C. Desenvolvimento Larval Obtido Em Laboratório de Palaemonídeos da Região Amazônica. Amazoniana 1985, 9, 247–274. [Google Scholar]
- Bentes, B.; Martinelli-Lemos, J.M.; Paes, E.T.; Fernandes, S.C.P.; Paula, J.D.; Isaac, V. Experimental Study on the Efficiency of Different Types of Traps and Baits for Harvesting Macrobrachium amazonicum (Heller, 1862). Acta Sci. Biol. Sci. 2014, 36, 383–391. [Google Scholar] [CrossRef]
- Odinetz-Collart, O. Aspectos Ecológicos Do Camarão Macrobrachium amazonicum (Heller, 1862) No Baixo Tocatins (Pa-Brasil). Mem. Soc. Cienc. Nat. Salle 1988, 48, 341–353. [Google Scholar]
- Da Cruz, B.R.F.; Nogueira, C.S.; Bueno, A.A.P.; Jacobucci, G.B. Natural Diet of the Freshwater Prawn Macrobrachium amazonicum (Heller, 1862) in the Rio Grande, Southeastern Brazil. Stud. Neotrop. Fauna Environ. 2023, 1–10. [Google Scholar] [CrossRef]
- Mulati, A.L.L. Dieta Natural de Macrobrachium amazonicum (Heller, 1862) (Crustacea, Decapoda) No Oeste de Minas Gerais, Brasil. Master’s Thesis, Universidade Federal de Lavras, Lavras, Brazil, 2017. [Google Scholar]
- Heldt, A.; Suita, S.; Dutra, F.M.; Pereira, A.L.; Ballester, E. Stable Isotopes as a Method for Analysis of the Contribution of Different Dietary Sources in the Production of Macrobrachium amazonicum. Lat. Am. J. Aquat. Res. 2019, 47, 282–291. [Google Scholar] [CrossRef]
- Dammannagoda, L.K.; Pavasovic, A.; Prentis, P.J.; Hurwood, D.A.; Mather, P.B. Expression and Characterization of Digestive Enzyme Genes from Hepatopancreatic Transcripts from Redclaw Crayfish (Cherax quadricarinatus). Aquac. Nutr. 2015, 21, 868–880. [Google Scholar] [CrossRef]
- Guo, H.; Tang, D.; Shi, X.; Wu, Q.; Liu, R.; Tang, B.; Wang, Z. Comparative Transcriptome Analysis Reveals the Expression and Characterization of Digestive Enzyme Genes in the Hepatopancreas of the Chinese Mitten Crab. Fish. Sci. 2019, 85, 979–989. [Google Scholar] [CrossRef]
- Wang, Z.; Tang, D.; Guo, H.; Shen, C.; Wu, L.; Luo, Y. Evolution of Digestive Enzyme Genes Associated with Dietary Diversity of Crabs. Genetica 2020, 148, 87–99. [Google Scholar] [CrossRef]
- Rocha, C.P.; Maciel, C.M.T.; Valenti, W.C.; Moraes-Valenti, P.; Sampaio, I.; Maciel, C.R. Prospection of Putative Genes for Digestive Enzymes Based on Functional Genome of the Hepatopancreas of Amazon River Prawn. Acta Sci. 2022, 44, e53894. [Google Scholar] [CrossRef]
- Queiroz, L.D.; de Moura, L.B.; de Lima, G.M.; Maciel, C.M.T.; Campelo, D.A.V.; Maciel, C.R. Amazon River Prawn Is Able to Express Endogenous Endo-β-1,4-Glucanase and Using Cellulose as Energy Source. Aquac. Rep. 2023, 33, 101845. [Google Scholar] [CrossRef]
- Wyman, C.E.; Decker, S.R.; Himmel, M.E.; Brady, J.W.; Skopec, C.E.; Viikari, L. Hydrolysis of Cellulose and Hemicellulose. In Polysaccharides: Structural Diversity and Functional Versatility; Taylor Francis Group: New York, NY, USA, 2005; Volume 1, pp. 1023–1062. [Google Scholar]
- Cragg, S.M.; Beckham, G.T.; Bruce, N.C.; Bugg, T.D.H.; Distel, D.L.; Dupree, P.; Etxabe, A.G.; Goodell, B.S.; Jellison, J.; McGeehan, J.E.; et al. Lignocellulose Degradation Mechanisms across the Tree of Life. Curr. Opin. Chem. Biol. 2015, 29, 108–119. [Google Scholar] [CrossRef]
- Kumar, A.; Chandra, R. Ligninolytic Enzymes and Its Mechanisms for Degradation of Lignocellulosic Waste in Environment. Heliyon 2020, 6, e03170. [Google Scholar] [CrossRef]
- Silva, J.P.; Ticona, A.R.P.; Hamann, P.R.V.; Quirino, B.F.; Noronha, E.F. Deconstruction of Lignin: From Enzymes to Microorganisms. Molecules 2021, 26, 2299. [Google Scholar] [CrossRef]
- Hatakka, A. Lignin-Modifying Enzymes Fungi: Production and Role from Selected White-Rot in Lignin Degradation. FEMS Microbiol. Rev. 1994, 13, 125–135. [Google Scholar] [CrossRef]
- Longe, L.F.; Couvreur, J.; Leriche Grandchamp, M.; Garnier, G.; Allais, F.; Saito, K. Importance of Mediators for Lignin Degradation by Fungal Laccase. ACS Sustain. Chem. Eng. 2018, 6, 10097–10107. [Google Scholar] [CrossRef]
- Sigoillot, J.C.; Berrin, J.G.; Bey, M.; Lesage-Meessen, L.; Levasseur, A.; Lomascolo, A.; Record, E.; Uzan-Boukhris, E. Fungal Strategies for Lignin Degradation. In Advances in Botanical Research; Academic Press Inc.: Cambridge, MA, USA, 2012; Volume 61, pp. 263–308. [Google Scholar]
- Arregui, L.; Ayala, M.; Gómez-Gil, X.; Gutiérrez-Soto, G.; Hernández-Luna, C.E.; Herrera De Los Santos, M.; Levin, L.; Rojo-Domínguez, A.; Romero-Martínez, D.; Saparrat, M.C.N.; et al. Laccases: Structure, Function, and Potential Application in Water Bioremediation. Microb. Cell Fact. 2019, 18, 200. [Google Scholar] [CrossRef] [PubMed]
- Jones, S.M.; Solomon, E.I. Electron Transfer and Reaction Mechanism of Laccases. Cell. Mol. Life Sci. 2015, 72, 869–883. [Google Scholar] [CrossRef]
- Shi, L.; Chan, S.; Li, C.; Zhang, S. Identification and Characterization of a Laccase from Litopenaeus vannamei Involved in Anti-Bacterial Host Defense. Fish Shellfish Immunol. 2017, 66, 1–10. [Google Scholar] [CrossRef] [PubMed]
- Chen, Y.H.; Song, F.; Miao, Y.T.; He, H.H.; Lian, Y.Y.; Li, X.C.; Li, M. A Novel Laccase Gene from Litopenaeus vannamei Is Involved in the Immune Responses to Pathogen Infection and Oxidative Stress. Dev. Comp. Immunol. 2020, 105, 103582. [Google Scholar] [CrossRef]
- Miyake, K.; Baba, Y. De Novo Transcriptome Assembly of the Midgut Glands of Herbivorous Land Crabs, Chiromantes Haematocheir, and Identification of Laccase Genes Involved in Lignin Degradation. J. Comp. Physiol. B 2022, 192, 247–261. [Google Scholar] [CrossRef]
- Andrews, S. FastQC: A Quality Control Tool for High Throughput Sequence Data. Babraham Bioinform. 2010. Available online: http://www.bioinformatics.babraham.ac.uk/projects/fastqc/ (accessed on 20 November 2023).
- Bolger, A.M.; Lohse, M.; Usadel, B. Trimmomatic: A Flexible Trimmer for Illumina Sequence Data. Bioinformatics 2014, 30, 2114–2120. [Google Scholar] [CrossRef]
- Grabherr, M.G.; Haas, B.J.; Yassour, M.; Levin, J.Z.; Thompson, D.A.; Amit, I.; Adiconis, X.; Fan, L.; Raychowdhury, R.; Zeng, Q.; et al. Full-Length Transcriptome Assembly from RNA-Seq Data without a Reference Genome. Nat. Biotechnol. 2011, 29, 644–652. [Google Scholar] [CrossRef]
- Maciel, C.M.T. Transcriptomas Do Macrobrachium amazonicum Desenvolvidos no Sequenciador Ion Torrent; UFPA: Belem, Brazil, 2015. [Google Scholar]
- Hall, T.A. BioEdit: A User-Friendly Biological Sequence Alignment Editor and Analysis Program for Windows 95/98/NT. Nucleic Acids Symp. Ser. 1999, 41, 95–98. [Google Scholar]
- Thompson, J.D.; Higgins, D.G.; Gibson, T.J. CLUSTAL W: Improving the Sensitivity of Progressive Multiple Sequence Alignment through Sequence Weighting, Position-Specific Gap Penalties and Weight Matrix Choice. Nucleic Acids Res. 1994, 22, 4673–4680. [Google Scholar] [CrossRef]
- Letunic, I.; Khedkar, S.; Bork, P. SMART: Recent Updates, New Developments and Status in 2020. Nucleic Acids Res. 2021, 49, D458–D460. [Google Scholar] [CrossRef] [PubMed]
- Jones, P.; Binns, D.; Chang, H.Y.; Fraser, M.; Li, W.; McAnulla, C.; McWilliam, H.; Maslen, J.; Mitchell, A.; Nuka, G.; et al. InterProScan 5: Genome-Scale Protein Function Classification. Bioinformatics 2014, 30, 1236–1240. [Google Scholar] [CrossRef]
- Gasteiger, E.; Hoogland, C.; Gattiker, A.; Duvaud, S.; Wilkins, M.R.; Appel, R.D.; Bairoch, A. Protein Identification and Analysis Tools on the ExPASy Server. In The Proteomics Protocols Handbook; Humana Press: Totowa, NJ, USA, 2005; pp. 571–607. [Google Scholar]
- Duckert, P.; Brunak, S.; Blom, N. Prediction of Proprotein Convertase Cleavage Sites. Protein Eng. Des. Sel. 2004, 17, 107–112. [Google Scholar] [CrossRef]
- Madeira, F.; Park, Y.M.; Lee, J.; Buso, N.; Gur, T.; Madhusoodanan, N.; Basutkar, P.; Tivey, A.R.N.; Potter, S.C.; Finn, R.D.; et al. The EMBL-EBI Search and Sequence Analysis Tools APIs in 2019. Nucleic Acids Res. 2019, 47, W636–W641. [Google Scholar] [CrossRef] [PubMed]
- Robert, X.; Gouet, P. Deciphering Key Features in Protein Structures with the New ENDscript Server. Nucleic Acids Res. 2014, 42, W320–W324. [Google Scholar] [CrossRef]
- Nguyen, L.T.; Schmidt, H.A.; Von Haeseler, A.; Minh, B.Q. IQ-TREE: A Fast and Effective Stochastic Algorithm for Estimating Maximum-Likelihood Phylogenies. Mol. Biol. Evol. 2015, 32, 268–274. [Google Scholar] [CrossRef] [PubMed]
- Eastwood, D. Evolution of Plant Cell Wall Degrading Machinery Underlies the Functional Diversity of Forest Fungi. Science 2011, 333, 762–765. [Google Scholar] [CrossRef]
- Floudas, D.; Binder, M.; Riley, R.; Barry, K.; Blanchette, R.A.; Henrissat, B.; Martínez, A.T.; Otillar, R.; Spatafora, J.W.; Yadav, J.S.; et al. The Paleozoic Origin of Enzymatic Lignin Decomposition Reconstructed from 31 Fungal Genomes. Science 2012, 336, 1715–1719. [Google Scholar] [CrossRef]
- Koutaniemi, S.; Malmberg, H.A.; Simola, L.K.; Teeri, T.H.; Kärkönen, A. Norway Spruce (Picea abies) Laccases: Characterization of a Laccase in a Lignin-forming Tissue Culture. J. Integr. Plant Biol. 2015, 57, 341–348. [Google Scholar] [CrossRef]
- Roach, M.J.; Johnson, D.L.; Bohlmann, J.; van Vuuren, H.J.J.; Jones, S.J.M.; Pretorius, I.S.; Schmidt, S.A.; Borneman, A.R. Population Sequencing Reveals Clonal Diversity and Ancestral Inbreeding in the Grapevine Cultivar Chardonnay. PLoS Genet. 2018, 14, e1007807. [Google Scholar] [CrossRef] [PubMed]
- Grossmann, J.G.; Ingledew, W.J.; Harvey, I.; Strange, R.W.; Hasnain, S.S. X-Ray Absorption Studies and Homology Modeling Define the Structural Features That Specify the Nature of the Copper Site in Rusticyanin. Biochemistry 1995, 34, 8406–8414. [Google Scholar] [CrossRef] [PubMed]
- Page, C.C.; Moser, C.C.; Chen, X.; Dutton, P.L. Natural Engineering Principles of Electron Tunnelling in Biological Oxidation–Reduction. Nature 1999, 402, 47–52. [Google Scholar] [CrossRef] [PubMed]
- Waterhouse, A.; Bertoni, M.; Bienert, S.; Studer, G.; Tauriello, G.; Gumienny, R.; Heer, F.T.; De Beer, T.A.P.; Rempfer, C.; Bordoli, L.; et al. SWISS-MODEL: Homology Modelling of Protein Structures and Complexes. Nucleic Acids Res. 2018, 46, W296–W303. [Google Scholar] [CrossRef]
- Janson, G.; Zhang, C.; Prado, M.G.; Paiardini, A. PyMod 2.0: Improvements in Protein Sequence-Structure Analysis and Homology Modeling within PyMOL. Bioinformatics 2017, 33, 444–446. [Google Scholar] [CrossRef] [PubMed]
- Palumbi, S.R.; Benzie, J. Large Mitochondrial DNA Differences between Morphologically Similar Penaeid Shrimp. Mol. Mar. Biol. Biotechnol. 1991, 1, 27–34. [Google Scholar]
- Paithankar, K.R.; Prasad, K.S.N. Precipitation of DNA by Polyethylene Glycol and Ethanol. Nucleic Acids Res. 1991, 19, 1346. [Google Scholar] [CrossRef]
- Dittmer, N.T.; Kanost, M.R. Insect Multicopper Oxidases: Diversity, Properties, and Physiological Roles. Insect Biochem. Mol. Biol. 2010, 40, 179–188. [Google Scholar] [CrossRef]
- Janusz, G.; Kucharzyk, K.H.; Pawlik, A.; Staszczak, M.; Paszczynski, A.J. Fungal Laccase, Manganese Peroxidase and Lignin Peroxidase: Gene Expression and Regulation. Enzyme Microb. Technol. 2013, 52, 1–12. [Google Scholar] [CrossRef]
- Tobimatsu, Y.; Schuetz, M. Lignin Polymerization: How Do Plants Manage Chemistry so Well? Curr. Opin. Biotechnol. 2019, 56, 75–81. [Google Scholar] [CrossRef]
- Zhao, Q.; Nakashima, J.; Chen, F.; Yin, Y.; Fu, C.; Yun, J.; Shao, H.; Wang, X.; Wang, Z.-Y.; Dixon, R.A. Laccase Is Necessary and Nonredundant with Peroxidase for Lignin Polymerization during Vascular Development in Arabidopsis. Plant Cell 2013, 25, 3976–3987. [Google Scholar] [CrossRef] [PubMed]
- Janusz, G.; Pawlik, A.; Świderska-Burek, U.; Polak, J.; Sulej, J.; Jarosz-Wilkołazka, A.; Paszczyński, A. Laccase Properties, Physiological Functions, and Evolution. Int. J. Mol. Sci. 2020, 21, 966. [Google Scholar] [CrossRef]
- Skálová, T.; Dohnálek, J.; Østergaard, L.H.; Østergaard, P.R.; Kolenko, P.; Dušková, J.; Štěpánková, A.; Hašek, J. The Structure of the Small Laccase from Streptomyces coelicolor Reveals a Link between Laccases and Nitrite Reductases. J. Mol. Biol. 2009, 385, 1165–1178. [Google Scholar] [CrossRef] [PubMed]
- Komori, H.; Higuchi, Y. Structural Insights into the O2 Reduction Mechanism of Multicopper Oxidase. J. Biochem. 2015, 158, 293–298. [Google Scholar] [CrossRef] [PubMed]
- Matera, I.; Gullotto, A.; Tilli, S.; Ferraroni, M.; Scozzafava, A.; Briganti, F. Crystal Structure of the Blue Multicopper Oxidase from the White-Rot Fungus Trametes trogii Complexed with p-Toluate. Inorganica Chim. Acta 2008, 361, 4129–4137. [Google Scholar] [CrossRef]
- Chandra, R.; Chowdhary, P. Properties of Bacterial Laccases and Their Application in Bioremediation of Industrial Wastes. Environ. Sci. Process. Impacts 2015, 17, 326–342. [Google Scholar] [CrossRef]
- Hakulinen, N.; Kiiskinen, L.L.; Kruus, K.; Saloheimo, M.; Paanen, A.; Koivula, A.; Rouvinen, J. Crystal Structure of a Laccase from Melanocarpus albomyces with an Intact Trinuclear Copper Site. Nat. Struct. Biol. 2002, 9, 601–605. [Google Scholar] [CrossRef]
- Asano, T.; Seto, Y.; Hashimoto, K.; Kurushima, H. Mini-Review an Insect-Specific System for Terrestrialization: Laccase-Mediated Cuticle Formation. Insect Biochem. Mol. Biol. 2019, 108, 61–70. [Google Scholar] [CrossRef]
- Yaropolov, A.I.; Skorobogat’Ko, O.V.; Vartanov, S.S.; Varfolomeyev, S.D. Laccase: Properties, Catalytic Mechanism, and Applicability. Appl. Biochem. Biotechnol. 1994, 49, 257–280. [Google Scholar] [CrossRef]
- Kumar, S.V.S.; Phale, P.S.; Durani, S.; Wangikar, P.P. Combined Sequence and Structure Analysis of the Fungal Laccase Family. Biotechnol. Bioeng. 2003, 83, 386–394. [Google Scholar] [CrossRef]
- Reiss, R.; Ihssen, J.; Richter, M.; Eichhorn, E.; Schilling, B.; Thöny-Meyer, L. Laccase versus Laccase-Like Multi-Copper Oxidase: A Comparative Study of Similar Enzymes with Diverse Substrate Spectra. PLoS ONE 2013, 8, e65633. [Google Scholar] [CrossRef] [PubMed]
- Luna-Acosta, A.; Saulnier, D.; Pommier, M.; Haffner, P.; de Decker, S.; Renault, T.; Thomas-Guyon, H. First Evidence of a Potential Antibacterial Activity Involving a Laccase-Type Enzyme of the Phenoloxidase System in Pacific Oyster Crassostrea Gigas Haemocytes. Fish Shellfish Immunol. 2011, 31, 795–800. [Google Scholar] [CrossRef]
- Alcalde, M. Laccases: Biological Functions, Molecular Structure and Industrial Applications. In Industrial Enzymes: Structure, Function and Applications; Springer: Berlin/Heidelberg, Germany, 2007; pp. 461–476. [Google Scholar]
- Piontek, K.; Antorini, M.; Choinowski, T. Crystal Structure of a Laccase from the Fungus Trametes versicolor at 1.90—A Resolution Containing a Full Complement of Coppers. J. Biol. Chem. 2002, 277, 37663–37669. [Google Scholar] [CrossRef] [PubMed]
- Glazunova, O.A.; Trushkin, N.A.; Moiseenko, K.V.; Filimonov, I.S.; Fedorova, T.V. Catalytic Efficiency of Basidiomycete Laccases: Redox Potential versus Substrate-Binding Pocket Structure. Catalysts 2018, 8, 152. [Google Scholar] [CrossRef]
- Shleev, S.; Christenson, A.; Serezhenkov, V.; Burbaev, D.; Yaropolov, A.; Gorton, L.; Ruzgas, T.; Bach, A.N. Electrochemical Redox Transformations of T1 and T2 Copper Sites in Native Trametes Hirsuta Laccase at Gold Electrode. Biochem. J. 2005, 385, 745–754. [Google Scholar] [CrossRef]
- Hattori, M.; Tsuchihara, K.; Noda, H.; Konishi, H.; Tamura, Y.; Shinoda, T.; Nakamura, M.; Hasegawa, T. Molecular Characterization and Expression of Laccase Genes in the Salivary Glands of the Green Rice Leafhopper, Nephotettix cincticeps (Hemiptera: Cicadellidae). Insect Biochem. Mol. Biol. 2010, 40, 331–338. [Google Scholar] [CrossRef] [PubMed]
- Freitas, I.S.; Nunes, C.A.; Sales, A.L.B. Nutrição e Alimentação de Camarões Do Gênero Macrobrachium (Bate, 1868) (CRUSTACEA: DECAPODA: PALAEMONIDAE). Rev. Sertão Sustentável 2022, 4, 17–28. [Google Scholar]
- Goncalves, R.; Gesto, M.; Rodríguez, C.; Reis, D.B.; Pérez, J.A.; Lund, I. Ontogenetic Changes in Digestive Enzyme Activity and Biochemical Indices of Larval and Postlarval European Lobster (Homarus gammarus, L). Mar. Biol. 2022, 169. [Google Scholar] [CrossRef]
- Rojo-Arreola, L.; García-Carreño, F.; Romero, R.; Dominguez, L.D. Proteolytic Profile of Larval Developmental Stages of Penaeus vannamei: An Activity and mRNA Expression Approach. PLoS ONE 2020, 15, e0239413. [Google Scholar] [CrossRef]
- Pan, C.; Zhou, Y.; Mo, J. The Clone of Laccase Gene and Its Potential Function in Cuticular Penetration Resistance of Culex pipiens Pallens to Fenvalerate. Pestic. Biochem. Physiol. 2009, 93, 105–111. [Google Scholar] [CrossRef]
- Besser, K.; Malyon, G.P.; Eborall, W.S.; Paro da Cunha, G.; Filgueiras, J.G.; Dowle, A.; Cruz Garcia, L.; Page, S.J.; Dupree, R.; Kern, M.; et al. Hemocyanin Facilitates Lignocellulose Digestion by Wood-Boring Marine Crustaceans. Nat. Commun. 2018, 9, 5125. [Google Scholar] [CrossRef] [PubMed]
- King, A.J.; Cragg, S.M.; Li, Y.; Dymond, J.; Guille, M.J.; Bowles, D.J.; Bruce, N.C.; Graham, I.A.; McQueen-Mason, S.J. Molecular Insight into Lignocellulose Digestion by a Marine Isopod in the Absence of Gut Microbes. Proc. Natl. Acad. Sci. USA 2010, 107, 5345–5350. [Google Scholar] [CrossRef] [PubMed]
- Coates, C.J.; Costa-Paiva, E.M. Multifunctional Roles of Hemocyanins. In Vertebrate and Invertebrate Respiratory Proteins, Lipoproteins and Other Body Fluid Proteins; Springer: Berlin/Heidelberg, Germany, 2020; Volume 94, pp. 233–250. [Google Scholar]
- Angst, P.; Dexter, E.; Stillman, J.H. Genome assemblies of two species of porcelain crab, Petrolisthes cinctipes and Petrolisthes manimaculis (Anomura: Porcellanidae). G3 Genes Genomes Genet. 2024, 14, jkad281. [Google Scholar] [CrossRef] [PubMed]






| Species | Taxon | Nt | Aa | % Aa | Access NCBI | Reference |
|---|---|---|---|---|---|---|
| Macrobrachium amazonicum * | Metazoa: Crustacea | 2570 | 609 | - | PQ319832.1 | Present study |
| M. amazonicum | Metazoa: Crustacea | 2207 | 609 | 99.7 | PQ498382.1 | Present study |
| M. amazonicum | Metazoa: Crustacea | 2607 | 609 | 99.7 | PQ498383.1 | Present study |
| M. amazonicum | Metazoa: Crustacea | 2530 | 609 | 99.7 | PQ498384.1 | Present study |
| Macrobrachium nipponense | Metazoa: Crustacea | 2225 | 605 | 86.3 | XP_064108161.1 | Unpublished |
| Macrobrachium rosenbergii | Metazoa: Crustacea | 2409 | 609 | 85.5 | AJG06864.1 | Unpublished |
| Penaeus japonicus | Metazoa: Crustacea | 2311 | 610 | 64.1 | XP_042889082.1 | Unpublished |
| Penaeus vannamei ** | Metazoa: Crustacea | 2326 | 610 | 64.3 | QLP89093.1 | Chen et al. [28] |
| Penaeus monodon | Metazoa: Crustacea | 2490 | 610 | 62.7 | XP_037783279.1 | Unpublished |
| Chiromantes haematocheir ** | Metazoa: Crustacea | 2465 | 613 | 62.2 | BCO16709.1 | Miyake et al. [29] |
| Portunus trituberculatus | Metazoa: Crustacea | 92,768 | 849 | 61.9 | MPC11944.1 | Unpublished |
| Homarus americanus | Metazoa: Crustacea | 2408 | 609 | 58.2 | XP_042217468.1 | Unpublished |
| Callinectes sapidus | Metazoa: Crustacea | 1969 | 566 | 63.1 | ALS03818.1 | Unpublished |
| Daphnia pulicaria | Metazoa: Crustacea | 3474 | 707 | 46.2 | XP_046632502.1 | Unpublished |
| Daphnia pulex | Metazoa: Crustacea | 3419 | 707 | 45.9 | XP_046453699.1 | Unpublished |
| Daphnia magna | Metazoa: Crustacea | 1,051,620 | 717 | 44.3 | KZS15188.1 | Unpublished |
| Solenopsis invicta | Metazoa: Hexapoda | 4851 | 724 | 47.1 | XP_025992935.1 | Unpublished |
| Formica exsecta | Metazoa: Hexapoda | 2595 | 773 | 47.2 | XP_029665984.1 | Unpublished |
| Apis cerana | Metazoa: Hexapoda | 2883 | 726 | 46.8 | XP_016917075.1 | Unpublished |
| Harpegnathos saltator | Metazoa: Hexapoda | 292,706 | 846 | 47 | EFN87217.1 | Unpublished |
| Rigidoporus microporus [white] | Fungi: Basidiomycota | 2201 | 518 | 29.1 | AAO38869.1 | Unpublished |
| Meripilus giganteus [white] | Fungi: Basidiomycota | 2214 | 516 | 29 | CBV46340.1 | Unpublished |
| Serpula lacrymans [brown] | Fungi: Basidiomycota | 1566 | 521 | 29.6 | XP_007321217.1 | Eastwood et al. [43] |
| Gloeophyllum trabeum [brown] | Fungi: Basidiomycota | 1629 | 542 | 28.7 | XP_007867384.1 | Floudas et al. [44] |
| Picea abies | Viridiplantae: Embryophyta | 1955 | 570 | 27.9 | AFV52380.1 | Koutaniemi et al. [45] |
| Vitis vinifera | Viridiplantae: Embryophyta | 565,974 | 597 | 27.6 | RVW56841.1 | Roach et al. [46] |
| Cunninghamia lanceolata | Viridiplantae: Embryophyta | 3345 | 570 | 28.9 | QBC40966.1 | Unpublished |
| Bacillus sp. | Bacteria: Bacilli | 1539 | 512 | 22.9 | ASO96841.1 | Unpublished |
| Streptococcus sp. | Bacteria: Bacilli | 1443 | 480 | 25.1 | WP_044685747.1 | Grossmann et al. [47] |
| Lactobacillales sp. | Bacteria: Bacilli | 1530 | 509 | 31.4 | WP_134658255.1 | Page et al. [48] |
Disclaimer/Publisher’s Note: The statements, opinions and data contained in all publications are solely those of the individual author(s) and contributor(s) and not of MDPI and/or the editor(s). MDPI and/or the editor(s) disclaim responsibility for any injury to people or property resulting from any ideas, methods, instructions or products referred to in the content. |
© 2024 by the authors. Licensee MDPI, Basel, Switzerland. This article is an open access article distributed under the terms and conditions of the Creative Commons Attribution (CC BY) license (https://creativecommons.org/licenses/by/4.0/).
Share and Cite
Lima, G.M.d.; Abrunhosa, F.A.; Maciel, B.R.; Lutz, Í.; Sousa, J.d.S.A.d.L.; Maciel, C.M.T.; Maciel, C.R. In Silico Identification of the Laccase-Encoding Gene in the Transcriptome of the Amazon River Prawn Macrobrachium amazonicum (Heller, 1862). Genes 2024, 15, 1416. https://doi.org/10.3390/genes15111416
Lima GMd, Abrunhosa FA, Maciel BR, Lutz Í, Sousa JdSAdL, Maciel CMT, Maciel CR. In Silico Identification of the Laccase-Encoding Gene in the Transcriptome of the Amazon River Prawn Macrobrachium amazonicum (Heller, 1862). Genes. 2024; 15(11):1416. https://doi.org/10.3390/genes15111416
Chicago/Turabian StyleLima, Gabriel Monteiro de, Fernando Araújo Abrunhosa, Bruna Ramalho Maciel, Ítalo Lutz, Janieli do Socorro Amorim da Luz Sousa, Carlos Murilo Tenório Maciel, and Cristiana Ramalho Maciel. 2024. "In Silico Identification of the Laccase-Encoding Gene in the Transcriptome of the Amazon River Prawn Macrobrachium amazonicum (Heller, 1862)" Genes 15, no. 11: 1416. https://doi.org/10.3390/genes15111416
APA StyleLima, G. M. d., Abrunhosa, F. A., Maciel, B. R., Lutz, Í., Sousa, J. d. S. A. d. L., Maciel, C. M. T., & Maciel, C. R. (2024). In Silico Identification of the Laccase-Encoding Gene in the Transcriptome of the Amazon River Prawn Macrobrachium amazonicum (Heller, 1862). Genes, 15(11), 1416. https://doi.org/10.3390/genes15111416

