SGCD Missense Variant in a Lagotto Romagnolo Dog with Autosomal Recessively Inherited Limb-Girdle Muscular Dystrophy
Abstract
:1. Introduction
2. Materials and Methods
2.1. Clinical History
2.2. Necropsy and Histology
2.3. Immunohistochemistry
2.4. Western Blot Analysis
2.5. Whole-Genome Sequencing (WGS)
2.6. Variant Calling
2.7. Genotyping Assays
2.7.1. PCR and Sanger Sequencing
2.7.2. Custom SNP Assay
3. Results
3.1. Clinical Description
3.2. Premortem Histology
3.3. Necropsy Examination
3.4. Postmortem Histology
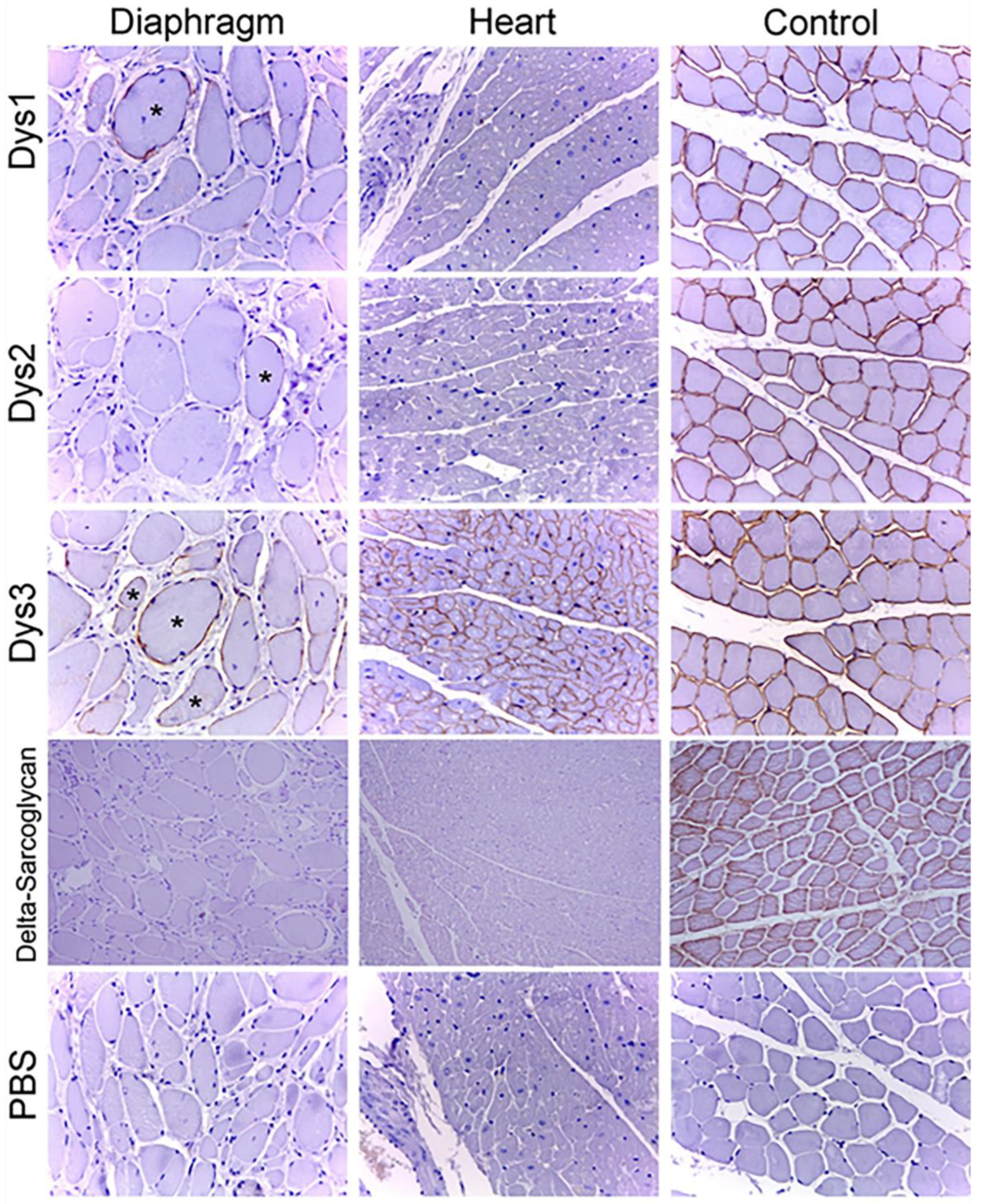
3.5. Immunohistochemical Results
3.6. Western Blot Analysis
3.7. Identification of a Candidate Causal Genetic Variant
4. Discussion
5. Conclusions
Supplementary Materials
Author Contributions
Funding
Institutional Review Board Statement
Data Availability Statement
Acknowledgments
Conflicts of Interest
References
- Marín-García, J. Chapter 12—Cardiomyopathies: A Comparative Analysis of Phenotypes and Genotypes. In Post-Genomic Cardiology; Academic Press: Cambridge, MA, USA, 2014; pp. 363–426. [Google Scholar]
- Vainzof, M.; Souza, L.S.; Gurgel-Giannetti, J.; Zatz, M. Sarcoglycanopathies: An Update. Neuromuscul. Disord. 2021, 31, 1021–1027. [Google Scholar] [CrossRef] [PubMed]
- Mickelson, J.R.; Minor, K.M.; Guo, L.T.; Friedenberg, S.G.; Cullen, J.N.; Ciavarella, A.; Hambrook, L.E.; Brenner, K.M.; Helmond, S.E.; Marks, S.L.; et al. Sarcoglycan A Mutation in Miniature Dachshund Dogs Causes Limb-Girdle Muscular Dystrophy 2D. Skelet. Muscle 2021, 11, 2. [Google Scholar] [CrossRef] [PubMed]
- Pozsgai, E.; Griffin, D.; Potter, R.; Sahenk, Z.; Lehman, K.; Rodino-Klapac, L.R.; Mendell, J.R. Unmet Needs and Evolving Treatment for Limb Girdle Muscular Dystrophies. Neurodegener. Dis. Manag. 2021, 11, 411–429. [Google Scholar] [CrossRef] [PubMed]
- Cox, M.L.; Evans, J.M.; Davis, A.G.; Guo, L.T.; Levy, J.R.; Starr-Moss, A.N.; Salmela, E.; Hytönen, M.K.; Lohi, H.; Campbell, K.P.; et al. Exome Sequencing Reveals Independent SGCD Deletions Causing Limb Girdle Muscular Dystrophy in Boston Terriers. Skelet. Muscle 2017, 7, 15. [Google Scholar] [CrossRef] [PubMed]
- Kirschner, J.; Lochmüller, H. Sarcoglycanopathies. In Handbook of Clinical Neurology; Elsevier: Amsterdam, The Netherlands, 2011; Volume 101. [Google Scholar]
- Kaur, B.; Kaur, J.; Kashyap, N.; Arora, J.S.; Mukhopadhyay, C.S. A Comprehensive Review of Genomic Perspectives of Canine diseases as a Model to Study Human Disorders. Can. J. Vet. Res. 2023, 87, 3–8. [Google Scholar] [PubMed]
- Schatzberg, S.J.; Shelton, G.D. Newly Identified Neuromuscular Disorders. Vet. Clin. N. Am.—Small Anim. Pract. 2004, 34, 1497–1524. [Google Scholar] [CrossRef] [PubMed]
- Deitz, K.; Morrison, J.A.; Kline, K.; Guo, L.T.; Shelton, G.D. Sarcoglycan-Deficient Muscular Dystrophy in a Boston Terrier. J. Vet. Intern. Med. 2008, 22, 476–480. [Google Scholar] [CrossRef]
- Brunetti, B.; Muscatello, L.V.; Letko, A.; Papa, V.; Cenacchi, G.; Grillini, M.; Murgiano, L.; Jagannathan, V.; Drögemüller, C. X-Linked Duchenne-Type Muscular Dystrophy in Jack Russell Terrier Associated with a Partial Deletion of the Canine DMD Gene. Genes 2020, 11, 1175. [Google Scholar] [CrossRef]
- Jagannathan, V.; Drögemüller, C.; Leeb, T.; Aguirre, G.; André, C.; Bannasch, D.; Becker, D.; Davis, B.; Ekenstedt, K.; Faller, K.; et al. A Comprehensive Biomedical Variant Catalogue Based on Whole Genome Sequences of 582 Dogs and Eight Wolves. Anim. Genet. 2019, 50, 695–704. [Google Scholar] [CrossRef] [PubMed]
- McKenna, A.; Hanna, M.; Banks, E.; Sivachenko, A.; Cibulskis, K.; Kernytsky, A.; Garimella, K.; Altshuler, D.; Gabriel, S.; Daly, M.; et al. The Genome Analysis Toolkit: A MapReduce Framework for Analyzing next-Generation DNA Sequencing Data. Genome Res. 2010, 20, 1297–1303. [Google Scholar] [CrossRef] [PubMed]
- Cingolani, P. Variant Annotation and Functional Prediction: SnpEff. Methods Mol Biol 2022, 2493, 289–314. [Google Scholar] [CrossRef] [PubMed]
- Bendl, J.; Stourac, J.; Salanda, O.; Pavelka, A.; Wieben, E.D.; Zendulka, J.; Brezovsky, J.; Damborsky, J. PredictSNP: Robust and Accurate Consensus Classifier for Prediction of Disease-Related Mutations. PLoS Comput. Biol. 2014, 10, e1003440. [Google Scholar] [CrossRef] [PubMed]
- Thorvaldsdóttir, H.; Robinson, J.T.; Mesirov, J.P. Integrative Genomics Viewer (IGV): High-Performance Genomics Data Visualization and Exploration. Brief. Bioinform. 2013, 14, 178–192. [Google Scholar] [CrossRef]
- Biscarini, F.; Cozzi, P.; Gaspa, G.; Marras, G. detectRUNS: An R Package to Detect Runs of Homozygosity and Heterozygosity in Diploid Genomes. CRAN (the Comprehensive R Archive Network). Available online: https://CRAN.R-project.org/package=detectRUNS (accessed on 15 March 2023).
- Meyermans, R.; Gorssen, W.; Buys, N.; Janssens, S. How to Study Runs of Homozygosity Using Plink? A Guide for Analyzing Medium Density Snp Data in Livestock and Pet Species. BMC Genom. 2020, 21, 94. [Google Scholar] [CrossRef]
- Vainzof, M.; Passos-Bueno, M.R.; Canovas, M.; Moreira, E.S.; Pavanello, R.C.M.; Marie, S.K.; Anderson, L.V.B.; Bonnemann, C.G.; Mcnally, E.M.; Nigro, V.; et al. The Sarcoglycan Complex in the Six Autosomal Recessive Limb-Girdle Muscular Dystrophies; Oxford University Press: Oxford, UK, 1993; Volume 5. [Google Scholar]
- Gumerson, J.D.; Michele, D.E. The Dystrophin-Glycoprotein Complex in the Prevention of Muscle Damage. J. Biomed. Biotechnol. 2011, 2011, 210797. [Google Scholar] [CrossRef]
- Alonso-Pérez, J.; González-Quereda, L.; Bruno, C.; Panicucci, C.; Alavi, A.; Nafissi, S.; Nilipour, Y.; Zanoteli, E.; Isihi, L.M.D.A.; Melegh, B.; et al. Clinical and Genetic Spectrum of a Large Cohort of Patients with δ-Sarcoglycan Muscular Dystrophy. Brain 2022, 145, 596–606. [Google Scholar] [CrossRef]
- Tsubata, S.; Bowles, K.R.; Vatta, M.; Zintz, C.; Titus, J.; Muhonen, L.; Bowles, N.E.; Towbin, J.A. Mutations in the Human δ-Sarcoglycan Gene in Familial and Sporadic Dilated Cardiomyopathy. J. Clin. Investig. 2000, 106, 655–662. [Google Scholar] [CrossRef] [PubMed]





| Ref/Ref | Ref/Alt | Alt/Alt | |
|---|---|---|---|
| Muscular dystrophy-affected dog | 1 | ||
| Unrelated Lagotto Romagnolo dogs from Italy a | 293 | ||
| Other Lagotto Romagnolo dogs a | 448 | ||
| Sequenced Lagotto Romagnolo genomes b | 29 | ||
| Sequenced dog genomes from various other breeds | 931 |
Disclaimer/Publisher’s Note: The statements, opinions and data contained in all publications are solely those of the individual author(s) and contributor(s) and not of MDPI and/or the editor(s). MDPI and/or the editor(s) disclaim responsibility for any injury to people or property resulting from any ideas, methods, instructions or products referred to in the content. |
© 2023 by the authors. Licensee MDPI, Basel, Switzerland. This article is an open access article distributed under the terms and conditions of the Creative Commons Attribution (CC BY) license (https://creativecommons.org/licenses/by/4.0/).
Share and Cite
Brunetti, B.; Bacci, B.; Abbate, J.M.; Tura, G.; Paciello, O.; Vaccaro, E.; Prisco, F.; Gandini, G.; Okonji, S.; Paola, A.d.; et al. SGCD Missense Variant in a Lagotto Romagnolo Dog with Autosomal Recessively Inherited Limb-Girdle Muscular Dystrophy. Genes 2023, 14, 1641. https://doi.org/10.3390/genes14081641
Brunetti B, Bacci B, Abbate JM, Tura G, Paciello O, Vaccaro E, Prisco F, Gandini G, Okonji S, Paola Ad, et al. SGCD Missense Variant in a Lagotto Romagnolo Dog with Autosomal Recessively Inherited Limb-Girdle Muscular Dystrophy. Genes. 2023; 14(8):1641. https://doi.org/10.3390/genes14081641
Chicago/Turabian StyleBrunetti, Barbara, Barbara Bacci, Jessica Maria Abbate, Giorgia Tura, Orlando Paciello, Emanuela Vaccaro, Francesco Prisco, Gualtiero Gandini, Samuel Okonji, Andrea di Paola, and et al. 2023. "SGCD Missense Variant in a Lagotto Romagnolo Dog with Autosomal Recessively Inherited Limb-Girdle Muscular Dystrophy" Genes 14, no. 8: 1641. https://doi.org/10.3390/genes14081641
APA StyleBrunetti, B., Bacci, B., Abbate, J. M., Tura, G., Paciello, O., Vaccaro, E., Prisco, F., Gandini, G., Okonji, S., Paola, A. d., Letko, A., Drögemüller, C., Jagannathan, V., Turba, M. E., Ogundipe, T. G., Lorenzini, L., Rosati, M., Psalla, D., Leeb, T., & Drögemüller, M. (2023). SGCD Missense Variant in a Lagotto Romagnolo Dog with Autosomal Recessively Inherited Limb-Girdle Muscular Dystrophy. Genes, 14(8), 1641. https://doi.org/10.3390/genes14081641

