LRP5, SLC6A3, and SOX10 Expression in Conventional Ameloblastoma
Abstract
1. Introduction
2. Materials and Methods
2.1. Microarray Data Information
2.2. Differentially Expressed Gene (DEG) Selection and Enrichment Analysis
2.3. Protein–Protein Interaction (PPI) and Selection of Hub Genes
2.4. Validation of Hub Genes by RT-qPCR
2.5. Immunohistochemistry Assay for Expression Validation
2.6. Bioinformatic Screening of Candidate Inhibitory Drug
3. Results
3.1. Clinical Features
3.2. DEG and Enrichment Analysis
3.3. PPI Construction and Hub Genes Selection
3.4. RT-qPCR Validation of Hub Genes in Independent Samples
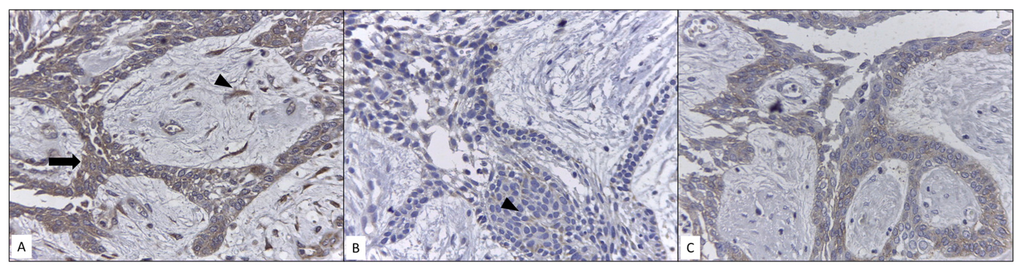
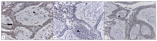
3.5. Immunoexpression Analysis
3.6. Bioinformatic Inhibitory Drug Selection
4. Discussion
5. Conclusions
Supplementary Materials
Author Contributions
Funding
Institutional Review Board Statement
Informed Consent Statement
Data Availability Statement
Acknowledgments
Conflicts of Interest
References
- Gomes, C.C.; Duarte, A.P.; Diniz, M.G.; Gomez, R.S. Review article: Current concepts of ameloblastoma pathogenesis. J. Oral Pathol. Med. 2010, 39, 585–591. [Google Scholar] [CrossRef] [PubMed]
- Effiom, O.A.; Ogundana, O.M.; Akinshipo, A.O.; Akintoye, S.O. Ameloblastoma: Current etiopathological concepts and management. Oral Dis. 2018, 24, 307–316. [Google Scholar] [CrossRef] [PubMed]
- McClary, A.C.; West, R.B.; McClary, A.C.; Pollack, J.R.; Fischbein, N.J.; Holsinger, C.F.; Sunwoo, J.; Colevas, A.D.; Sirjani, D. Ameloblastoma: A clinical review and trends in management. Eur. Arch. Oto-Rhino-Laryngol. 2016, 273, 1649–1661. [Google Scholar] [CrossRef] [PubMed]
- Laborde, A.; Nicot, R.; Wojcik, T.; Ferri, J.; Raoul, G. Ameloblastoma of the jaws: Management and recurrence rate. Eur. Ann. Otorhinolaryngol. Head Neck Dis. 2017, 134, 7–11. [Google Scholar] [CrossRef]
- Hendra, F.N.; Van Cann, E.M.; Helder, M.N.; Ruslin, M.; De Visscher, J.G.; Forouzanfar, T.; De Vet, H.C. Global incidence and profile of ameloblastoma: A systematic review and meta-analysis. Oral Dis. 2020, 26, 12–21. [Google Scholar] [CrossRef]
- Fuchigami, T.; Ono, Y.; Kishida, S.; Nakamura, N. Molecular biological findings of ameloblastoma. Jpn. Dent. Sci. Rev. 2021, 57, 27–32. [Google Scholar] [CrossRef]
- BrBrown, N.A.; Betz, B.L. Ameloblastoma: A Review of Recent Molecular Pathogenetic Discoveries. Biomark. Cancer 2015, 7 (Suppl. 2), 19–24. [Google Scholar] [CrossRef]
- Tao, Z.; Shi, A.; Li, R.; Wang, Y.; Wang, X.; Zhao, J. Microarray bioinformatics in cancer—A review. J. BUON 2017, 22, 838–843. [Google Scholar]
- Fathi, H.; AlSalman, H.; Gumaei, A.; Manhrawy, I.I.M.; Hussien, A.G.; El-Kafrawy, P. An Efficient Cancer Classification Model Using Microarray and High-Dimensional Data. Comput. Intell. Neurosci. 2021, 2021, 7231126. [Google Scholar] [CrossRef]
- SciELO Data, Journal of Applied Oral Science [Internet]. H10KA_07_38_greater_2_Up. Available online: https://data.scielo.org/file.xhtml?persistentId=doi:10.48331/scielodata.Z2S8X9/ZWJGGP&version=1.0 (accessed on 9 February 2023).
- ShinyGO: Gene Ontology Enrichment [Internet], Analysis Bioinformatics Research Group. Available online: http://bioinformatics.sdstate.edu/go75/ (accessed on 9 February 2023).
- STRING. 2022. Available online: https://string-db.org/ (accessed on 9 February 2023).
- KM Plotter [Internet]. Available online: http://kmplot.com/analysis (accessed on 9 February 2023).
- Jacinto-Alemán, L.F.; Portilla-Robertson, J.; Leyva-Huerta, E.R.; Ramírez-Jarquín, J.O.; Villanueva-Sánchez, F.G. Microarray and bioinformatic analysis of conventional ameloblastoma: An observational analysis. J. Appl. Oral Sci. 2022, 30, e20220308. [Google Scholar] [CrossRef]
- Livak, K.J.; Schmittgen, T.D. Analysis of relative gene expression data using real-time quantitative PCR and the 2−ΔΔCT Method. Methods 2001, 25, 402–408. [Google Scholar] [CrossRef]
- Matos, L.L.; Stabenow, E.; Tavares, M.R.; Ferraz, A.R.; Capelozzi, V.L.; Pinhal, M.A. Immunohistochemistry quantification by a digital computer-assisted method compared to semiquantitative analysis. Clinics 2006, 61, 417–424. [Google Scholar] [CrossRef][Green Version]
- Drug Gene Budger. [Internet]. Available online: https://maayanlab.cloud/DGB/ (accessed on 9 February 2023).
- DrugBank Online. [Internet]. Available online: https://go.drugbank.com/ (accessed on 9 February 2023).
- Heikinheimo, K.; Jee, K.; Niini, T.; Aalto, Y.; Happonen, R.-P.; Leivo, I.; Knuutila, S. Gene Expression Profiling of Ameloblastoma and Human Tooth Germ by Means of a cDNA Microarray. J. Dent. Res. 2002, 81, 525–530. [Google Scholar] [CrossRef]
- Hu, S.; Parker, J.; Divaris, K.; Padilla, R.; Murrah, V.; Wright, J.T. Ameloblastoma Phenotypes Reflected in Distinct Transcriptome Profiles. Sci. Rep. 2016, 6, 30867. [Google Scholar] [CrossRef]
- DeVilliers, P.; Suggs, C.; Simmons, D.; Murrah, V.; Wright, J.T. Microgenomics of Ameloblastoma. J. Dent. Res. 2011, 90, 463–469. [Google Scholar] [CrossRef]
- Kim, J.Y.; Kim, J.; Bazarsad, S.; Cha, I.-H.; Cho, S.-W.; Kim, J. Bcl-2 is a prognostic marker and its silencing inhibits recurrence in ameloblastomas. Oral Dis. 2019, 25, 1158–1168. [Google Scholar] [CrossRef]
- Yin, H.; Qin, C.; Zhao, Y.; Du, Y.; Sheng, Z.; Wang, Q.; Song, Q.; Chen, L.; Liu, C.; Xu, T. SOX10 is over-expressed in bladder cancer and contributes to the malignant bladder cancer cell behaviors. Clin. Transl. Oncol. 2017, 19, 1035–1044. [Google Scholar] [CrossRef]
- Zhou, D.; Bai, F.; Zhang, X.; Hu, M.; Zhao, G.; Zhao, Z.; Liu, R. SOX10 is a novel oncogene in hepatocellular carcinoma through Wnt/β-catenin/TCF4 cascade. Tumor Biol. 2014, 35, 9935–9940. [Google Scholar] [CrossRef]
- Babichenko, I.I.; Tsimbalist, N.S.; Rybal’skaya, V.F.; Sherstnev, A.A.; Syomkin, V.A. Rol’ Wnt/β-kateninsignal’nogo puti v formirovanii ameloblastomy [The role of Wnt/β-catenin signaling pathway in ameloblastoma formation]. Stomatologiya 2018, 97, 22–24. [Google Scholar] [CrossRef]
- Santos, H.B.D.P.; Medeiros, H.C.D.M.; Mafra, R.P.; Miguel, M.C.D.C.; Galvão, H.C.; de Souza, L.B. Regulation of Wnt/β-catenin pathway may be related to Regγ in benign epithelial odontogenic lesions. Oral Surgery Oral Med. Oral Pathol. Oral Radiol. 2019, 128, 43–51. [Google Scholar] [CrossRef]
- Nie, X.; Wang, H.; Wei, X.; Li, L.; Xue, T.; Fan, L.; Ma, H.; Xia, Y.; Wang, Y.-D.; Chen, W.-D. LRP5 Promotes Gastric Cancer via Activating Canonical Wnt/β-Catenin and Glycolysis Pathways. Am. J. Pathol. 2022, 192, 503–517. [Google Scholar] [CrossRef] [PubMed]
- Rabbani, S.A.; Arakelian, A.; Farookhi, R. LRP 5 knockdown: Effect on prostate cancer invasion growth and skeletal metastasis in vitro and in vivo. Cancer Med. 2013, 2, 625–635. [Google Scholar] [CrossRef] [PubMed]
- Chen, J.; Wo, D.; Ma, E.; Yan, H.; Peng, J.; Zhu, W.; Fang, Y.; Ren, D.-N. Deletion of low-density lipoprotein-related receptor 5 inhibits liver Cancer cell proliferation via destabilizing Nucleoporin 37. Cell Commun. Signal. 2019, 17, 1–8. [Google Scholar] [CrossRef] [PubMed]
- Liu, S.; Cui, M.; Zang, J.; Wang, J.; Shi, X.; Qian, F.; Xu, S.; Jing, R. SLC6A3 as a potential circulating biomarker for gastric cancer detection and progression monitoring. Pathol.-Res. Pr. 2021, 221, 153446. [Google Scholar] [CrossRef] [PubMed]
- Yin, X.; Chen, H.; Chen, S.; Zhang, S. Screening and Validation of a Carvacrol-Targeting Viability-Regulating Protein, SLC6A3, in Liver Hepatocellular Carcinoma. Dis. Markers 2022, 2022, 3736104. [Google Scholar] [CrossRef] [PubMed]
- Hansson, J.; Lindgren, D.; Nilsson, H.; Johansson, E.; Johansson, M.; Gustavsson, L.; Axelson, H. Overexpression of Functional SLC6A3 in Clear Cell Renal Cell Carcinoma. Clin. Cancer Res. 2017, 23, 2105–2115. [Google Scholar] [CrossRef]
- Schrödter, S.; Braun, M.; Syring, I.; Klümper, N.; Deng, M.; Schmidt, D.; Perner, S.; Müller, S.C.; Ellinger, J. Identification of the dopamine transporter SLC6A3 as a biomarker for patients with renal cell carcinoma. Mol. Cancer 2016, 15, 1–10. [Google Scholar] [CrossRef]
- Hoang, B.H.; Kubo, T.; Healey, J.H.; Sowers, R.; Mazza, B.; Yang, R.; Huvos, A.G.; Meyers, P.A.; Gorlick, R. Expression of LDL receptor-related protein 5 (LRP5) as a novel marker for disease progression in high-grade osteosarcoma. Int. J. Cancer 2004, 109, 106–111. [Google Scholar] [CrossRef]
- Cimino-Mathews, A. Novel uses of immunohistochemistry in breast pathology: Interpretation and pitfalls. Mod. Pathol. 2020, 34 (Suppl. 1), 62–77. [Google Scholar] [CrossRef]
- Ko, Y.C.K.; Varma, S.; Zhu, C.F.; Zhu, S.X.; Vennam, S.; Poh, C.F.; Jordan, R.C.; Kong, C.; Pollack, J.R.; West, R.B. Gene Expression Profiling of Head and Neck Tumors Identifies FOXP1 and SOX10 Expression as Useful for Distinguishing Ameloblastoma From Basaloid Salivary Gland Tumors. Am. J. Surg. Pathol. 2020, 44, 665–672. [Google Scholar] [CrossRef]
- Xia, X.; Chen, J.; Zhang, L.; Du, Q.; Sun, J.; Chang, Z. Molecular cloning and mRNA expression pattern of Sox10 in Paramisgurnus dabryanus. Mol. Biol. Rep. 2013, 40, 3123–3134. [Google Scholar] [CrossRef]
- Chantravekin, Y.; Koontongkaew, S. Effects of ameloblastoma-associated fibroblasts on the proliferation and invasion of tumor cells. J. Cancer Res. Ther. 2014, 10, 1082–1087. [Google Scholar] [CrossRef]
- Fuchigami, T.; Koyama, H.; Kishida, M.; Nishizawa, Y.; Iijima, M.; Kibe, T.; Ueda, M.; Kiyono, T.; Maniwa, Y.; Nakamura, N.; et al. Fibroblasts promote the collective invasion of ameloblastoma tumor cells in a 3D coculture model. FEBS Open Bio 2017, 7, 2000–2007. [Google Scholar] [CrossRef]
- Nie, X.; Liu, H.; Ye, W.; Wei, X.; Fan, L.; Ma, H.; Li, L.; Xue, W.; Qi, W.; Wang, Y.; et al. LRP5 promotes cancer stem cell traits and chemoresistance in colorectal cancer. J. Cell. Mol. Med. 2022, 26, 1095–1112. [Google Scholar] [CrossRef]
- Ghai, S. Ameloblastoma: An Updated Narrative Review of an Enigmatic Tumor. Cureus 2022, 14, e27734. [Google Scholar] [CrossRef]
- Yoithapprabhunath, T.R.; Srichinthu, K.K.; Gupta, D.; Singh, D.; Pasupuleti, S.; Nirmal, R.M. Effectiveness of molecular-targeted chemotherapy in ameloblastomas: A systematic review. Indian J. Dent. Res. 2022, 33, 323–331. [Google Scholar] [CrossRef]
- You, Z.; Liu, S.; Du, J.; Wu, Y.; Zhang, S. Advancements in MAPK signaling pathways and MAPK -targeted therapies for ameloblastoma: A review. J. Oral Pathol. Med. 2019, 48, 201–205. [Google Scholar] [CrossRef]
- Clinical Evaluation of the 3 Allergens: Methyldibromoglutharonitrile, Parthenolide and Goldnatriumthiosulphate. Available online: https://clinicaltrials.gov/ct2/show/NCT00133341 (accessed on 9 February 2023).
- Sztiller-Sikorska, M.; Czyz, M. Parthenolide as Cooperating Agent for Anti-Cancer Treatment of Various Malignancies. Pharmaceuticals 2020, 13, 194. [Google Scholar] [CrossRef]
- Yu, H.J.; Jung, J.Y.; Jeong, J.H.; Cho, S.D.; Lee, J.S. Induction of apoptosis by parthenolide in human oral cancer cell lines and tumor xenografts. Oral Oncol. 2015, 51, 602–609. [Google Scholar] [CrossRef]
- Baskaran, N.; Selvam, G.S.; Yuvaraj, S.; Abhishek, A. Parthenolide attenuates 7,12-dimethylbenz[a]anthracene induced hamster buccal pouch carcinogenesis. Mol. Cell. Biochem. 2018, 440, 11–22. [Google Scholar] [CrossRef]
- Wawruszak, A.; Borkiewicz, L.; Okon, E.; Kukula-Koch, W.; Afshan, S.; Halasa, M. Vorinostat (SAHA) and Breast Cancer: An Overview. Cancers 2021, 13, 4700. [Google Scholar] [CrossRef] [PubMed]
- Patra, S.; Praharaj, P.P.; Klionsky, D.J.; Bhutia, S.K. Vorinostat in autophagic cell death: A critical insight into autophagy-mediated, -associated and -dependent cell death for cancer prevention. Drug Discov. Today 2022, 27, 269–279. [Google Scholar] [CrossRef] [PubMed]
- Yun, B.R.; Lee, M.J.; Kim, J.H.; Kim, I.H.; Yu, G.R.; Kim, D.G. Enhancement of parthenolide-induced apoptosis by a PKC-alpha inhibition through heme oxygenase-1 blockage in cholangiocarcinoma cells. Exp. Mol. Med. 2010, 42, 787–797. [Google Scholar] [CrossRef]
- Chao, M.W.; Lai, M.J.; Liou, J.P.; Chang, Y.L.; Wang, J.C.; Pan, S.L.; Teng, C.M. The synergic effect of vincristine and vorinostat in leukemia in vitro and in vivo. J. Hematol. Oncol. 2015, 8, 82. [Google Scholar] [CrossRef] [PubMed]





| Genes with MCODE index > 0.4 | DVL2, LRP5, CDH1, POU5F1, PBX3, CDC20, SLC6A3, EFNA3, FGFR1, SOX10, EFNA4 |
| Genes with MCODE index < 0.4 | SOX8, TOP2B, TESK1, DUSP3, NR4A3, NR4A1, PLD2, PLXNC1, PAK1, MTA2, FEZ1, PTPRO, DRD3, PSTPIP2, DAB2, NBL1, TLX3, FPR2, XCR1, ITGBL1, ADGRG1, S1PR2, GREM1, DAB2, FPR2, PLXNC1 |
| Target Gene | Drug Name | LINCS sig_id | Cell Line | Time | Dose | p-Value | q-Value | Fold Change | Specificity |
|---|---|---|---|---|---|---|---|---|---|
| lrp5 | parthenolide | CPC006_A375_24H:BRD-K98548675-001-02-6:10 | A375 | 24 h | 10.0 µM | 1.1156 × 10−11 | 1.5111 × 10−10 | −1.42111 | 0.00017446 |
| slc6a3 | parthenolide | CPC013_VCAP_24H:BRD-K28120222-001-05-0:10 | VCAP | 24 h | 10.0 µM | 0.00019181 | 0.00097252 | −1.0578 | 0.00016545 |
| sox10 | parthenolide | CPC006_A375_24H:BRD-K98548675-001-02-6:10 | A375 | 24 h | 10.0 µM | 1.3492 × 10−9 | 1.1894 × 10−8 | −1.69409 | 0.00017446 |
| lrp5 | vorinostat | CPC016_NPC_24H:BRD-K81418486:10 | NPC | 24 h | 10.0 µM | 2.4155 × 10−14 | 4.2882 × 10−12 | −2.26067 | 0.00019996 |
| slc6a3 | vorinostat | HDAC002_MCF7_24H:BRD-K81418486-001-10-3:0.0195312 | MCF7 | 24 h | 0.0195312 µM | 4.3444 × 10−6 | 5.8744 × 10−5 | −1.57292 | 0.00016504 |
| sox10 | vorinostat | CPC006_A375_24H:BRD-K81418486:10 | A375 | 24 h | 10.0 µM | 3.4397 × 10−14 | 4.6197 × 10−13 | −2.12695 | 0.00014943 |
| Search Criteria | Phase | Status | Purpose | Clinical Trial.Gov Identifier |
|---|---|---|---|---|
| Oral cancer | 2 | Completed | Treatment | NCT01175980 |
| Oral cancer | 1 | Terminated | Treatment | NCT01249443 |
| Head and Neck cancer | 2 | Active, not recruiting | Treatment | NCT04357873 |
| Head and Neck cancer | 1, 2 | Active, not recruiting | Treatment | Not available |
| Head and Neck cancer | Not available | Completed | Basic Science | NCT00735826 |
Disclaimer/Publisher’s Note: The statements, opinions and data contained in all publications are solely those of the individual author(s) and contributor(s) and not of MDPI and/or the editor(s). MDPI and/or the editor(s) disclaim responsibility for any injury to people or property resulting from any ideas, methods, instructions or products referred to in the content. |
© 2023 by the authors. Licensee MDPI, Basel, Switzerland. This article is an open access article distributed under the terms and conditions of the Creative Commons Attribution (CC BY) license (https://creativecommons.org/licenses/by/4.0/).
Share and Cite
Correa-Arzate, L.; Portilla-Robertson, J.; Ramírez-Jarquín, J.O.; Jacinto-Alemán, L.F.; Mejía-Velázquez, C.P.; Villanueva-Sánchez, F.G.; Rodríguez-Vázquez, M. LRP5, SLC6A3, and SOX10 Expression in Conventional Ameloblastoma. Genes 2023, 14, 1524. https://doi.org/10.3390/genes14081524
Correa-Arzate L, Portilla-Robertson J, Ramírez-Jarquín JO, Jacinto-Alemán LF, Mejía-Velázquez CP, Villanueva-Sánchez FG, Rodríguez-Vázquez M. LRP5, SLC6A3, and SOX10 Expression in Conventional Ameloblastoma. Genes. 2023; 14(8):1524. https://doi.org/10.3390/genes14081524
Chicago/Turabian StyleCorrea-Arzate, Lorena, Javier Portilla-Robertson, Josué Orlando Ramírez-Jarquín, Luis Fernando Jacinto-Alemán, Claudia Patricia Mejía-Velázquez, Francisco Germán Villanueva-Sánchez, and Mariana Rodríguez-Vázquez. 2023. "LRP5, SLC6A3, and SOX10 Expression in Conventional Ameloblastoma" Genes 14, no. 8: 1524. https://doi.org/10.3390/genes14081524
APA StyleCorrea-Arzate, L., Portilla-Robertson, J., Ramírez-Jarquín, J. O., Jacinto-Alemán, L. F., Mejía-Velázquez, C. P., Villanueva-Sánchez, F. G., & Rodríguez-Vázquez, M. (2023). LRP5, SLC6A3, and SOX10 Expression in Conventional Ameloblastoma. Genes, 14(8), 1524. https://doi.org/10.3390/genes14081524

