Mn-XRN1 Has an Inhibitory Effect on Ovarian Reproduction in Macrobrachium nipponense
Abstract
1. Introduction
2. Materials and Methods
2.1. Animals
2.2. Bioinformatics Analysis
2.3. RNA Extraction and cDNA Synthesis
2.4. The qPCR Analysis
2.5. In Situ Hybridization (ISH)
2.6. RNA Interference (RNAi)
3. Results
3.1. Sequence Analysis of Mn-XNR1
3.2. Spatial–Temporal Expression Analysis of Mn-XRN1
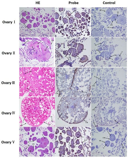
3.3. Localization of Mn-XRN1 in the Ovaries
3.4. Effects of Mn-XRN1 Gene Silencing after RNAi on Ovarian Reproduction
4. Discussion
5. Conclusions
Supplementary Materials
Author Contributions
Funding
Institutional Review Board Statement
Informed Consent Statement
Data Availability Statement
Conflicts of Interest
References
- Jin, S.; Zhang, W.; Xiong, Y.; Fu, H. Recent progress of male sexual differentiation and development in the oriental river prawn (Macrobrachium nipponense): A review. Rev. Aquac. 2023, 15, 305–317. [Google Scholar] [CrossRef]
- Jin, S.; Hu, Y.; Fu, H.; Sun, S.; Jiang, S.; Xiong, Y.; Qiao, H.; Zhang, W.; Gong, Y.; Wu, Y. Analysis of testis metabolome and transcriptome from the oriental river prawn (Macrobrachium nipponense) in response to different temperatures and illumination times. Comp. Biochem. Physiol. Part D Genom. Proteom. 2020, 34, 100662. [Google Scholar] [CrossRef] [PubMed]
- Qiao, H.; Fu, H.; Xiong, Y.; Jiang, S.; Zhang, W.; Sun, S.; Jin, S.; Gong, Y.; Wang, Y.; Shan, D.; et al. Molecular insights into reproduction regulation of female Oriental River prawns Macrobrachium nipponense through comparative transcriptomic analysis. Sci. Rep. 2017, 7, 12161. [Google Scholar] [CrossRef]
- Li, X.; Yang, H.; Gao, X.; Zhang, H.; Chen, N.; Miao, Z.; Liu, X.; Zhang, X. The pathogenicity characterization of non-O1 Vibrio cholerae and its activation on immune system in freshwater shrimp Macrobrachium nipponense. Fish Shellfish. Immunol. 2019, 87, 507–514. [Google Scholar] [CrossRef] [PubMed]
- Li, F.; Qiao, H.; Fu, H.; Sun, S.; Zhang, W.; Jin, S.; Jiang, S.; Gong, Y.; Xiong, Y.; Wu, Y.; et al. Identification and characterization of opsin gene and its role in ovarian maturation in the oriental river prawn Macrobrachium nipponense. Comp. Biochem. Physiol. Part B Biochem. Mol. Biol. 2018, 218, 1–12. [Google Scholar] [CrossRef]
- Stevens, A. 5′-Exoribonuclease 1: Xrn1. In Methods in Enzymology; Elsevier: Amsterdam, The Netherlands, 2001; Volume 342, pp. 251–259. [Google Scholar]
- Grishok, A.; Pasquinelli, A.E.; Conte, D.; Li, N.; Parrish, S.; Ha, I.; Baillie, D.L.; Fire, A.; Ruvkun, G.; Mello, C.C. Genes and mechanisms related to RNA interference regulate expression of the small temporal RNAs that control C. elegans developmental timing. Cell 2001, 106, 23–34. [Google Scholar] [CrossRef]
- Chang, J.H.; Xiang, S.; Xiang, K.; Manley, J.L.; Tong, L. Structural and biochemical studies of the 5′→ 3′ exoribonuclease Xrn1. Nat. Struct. Mol. Biol. 2011, 18, 270–276. [Google Scholar] [CrossRef]
- Coller, J.; Parker, R. Eukaryotic mRNA decapping. Annu. Rev. Biochem. 2004, 73, 861–890. [Google Scholar] [CrossRef]
- Jones, C.I. Post-Transcriptional Gene Regulation by the Exoribonuclease Pacman. Ph.D. Thesis, University of Brighton, Brighton, UK, 2011. [Google Scholar]
- Li, Y.; Kiledjian, M. Regulation of mRNA decapping. Wiley Interdiscip. Rev. RNA 2010, 1, 253–265. [Google Scholar] [CrossRef]
- Valencia-Sanchez, M.A.; Liu, J.; Hannon, G.J.; Parker, R. Control of translation and mRNA degradation by miRNAs and siRNAs. Genes Dev. 2006, 20, 515–524. [Google Scholar] [CrossRef]
- Orban, T.I.; Izaurralde, E. Decay of mRNAs targeted by RISC requires XRN1, the Ski complex, and the exosome. RNA 2005, 11, 459–469. [Google Scholar] [CrossRef] [PubMed]
- Muhlrad, D.; Parker, R. The yeast EDC1 mRNA undergoes deadenylation-independent decapping stimulated by Not2p, Not4p, and Not5p. EMBO J. 2005, 24, 1033–1045. [Google Scholar] [CrossRef] [PubMed]
- Parker, R.; Song, H. The enzymes and control of eukaryotic mRNA turnover. Nat. Struct. Mol. Biol. 2004, 11, 121–127. [Google Scholar] [CrossRef] [PubMed]
- Goldstrohm, A.C.; Wickens, M. Multifunctional deadenylase complexes diversify mRNA control. Nat. Rev. Mol. Cell Biol. 2008, 9, 337–344. [Google Scholar] [CrossRef]
- Souret, F.F.; Kastenmayer, J.P.; Green, P.J. AtXRN4 degrades mRNA in Arabidopsis and its substrates include selected miRNA targets. Mol. Cell 2004, 15, 173–183. [Google Scholar] [CrossRef]
- Newbury, S. Control of mRNA stability in eukaryotes. Biochem. Soc. Trans. 2006, 34, 30–34. [Google Scholar] [CrossRef]
- Zhang, Z.; Simons, A.M.; Prabhu, V.P.; Chen, J. Strand exchange protein 1 (Sep1) from Saccharomyces cerevisiae does not promote branch migration in vitro. J. Biol. Chem. 1998, 273, 4950–4956. [Google Scholar] [CrossRef]
- Grima, D.P.; Sullivan, M.; Zabolotskaya, M.V.; Browne, C.; Seago, J.; Wan, K.C.; Okada, Y.; Newbury, S.F. The 5′–3′ exoribonuclease pacman is required for epithelial sheet sealing in Drosophila and genetically interacts with the phosphatase puckered. Biol. Cell 2008, 100, 687–701. [Google Scholar] [CrossRef]
- Muhlrad, D.; Decker, C.J.; Parker, R. Deadenylation of the unstable mRNA encoded by the yeast MFA2 gene leads to decapping followed by 5′→ 3′digestion of the transcript. Genes Dev. 1994, 8, 855–866. [Google Scholar] [CrossRef]
- Bashirullah, A.; Cooperstock, R.L.; Lipshitz, H.D. Spatial and temporal control of RNA stability. Proc. Natl. Acad. Sci. USA 2001, 98, 7025–7028. [Google Scholar] [CrossRef]
- Decker, C.J.; Parker, R. Mechanisms of mRNA degradation in eukaryotes. Trends Biochem. Sci. 1994, 19, 336–340. [Google Scholar] [CrossRef] [PubMed]
- Lin, M.-D.; Jiao, X.; Grima, D.; Newbury, S.F.; Kiledjian, M.; Chou, T.-B. Drosophila processing bodies in oogenesis. Dev. Biol. 2008, 322, 276–288. [Google Scholar] [CrossRef] [PubMed]
- Zabolotskaya, M.V.; Grima, D.P.; Lin, M.-D.; Chou, T.-B.; Newbury, S.F. The 5′–3′ exoribonuclease Pacman is required for normal male fertility and is dynamically localized in cytoplasmic particles in Drosophila testis cells. Biochem. J. 2008, 416, 327–335. [Google Scholar] [CrossRef]
- Solinger, J.A.; Pascolini, D.; Heyer, W.-D. Active-site mutations in the Xrn1p exoribonuclease of Saccharomyces cerevisiae reveal a specific role in meiosis. Mol. Cell. Biol. 1999, 19, 5930–5942. [Google Scholar] [CrossRef] [PubMed]
- Laurence, N.; Epelman, M.; Markowitz, R.I.; Jaimes, C.; Jaramillo, D.; Chauvin, N.A. Osteoid osteomas: A pain in the night diagnosis. Pediatr. Radiol. 2012, 42, 1490–1501. [Google Scholar] [CrossRef]
- Zhang, K.; Dion, N.; Fuchs, B.; Damron, T.; Gitelis, S.; Irwin, R.; O’Connor, M.; Schwartz, H.; Scully, S.P.; Rock, M.G.; et al. The human homolog of yeast SEP1 is a novel candidate tumor suppressor gene in osteogenic sarcoma. Gene 2002, 298, 121–127. [Google Scholar] [CrossRef]
- Jin, S.; Fu, H.; Jiang, S.; Xiong, Y.; Sun, S.; Qiao, H.; Zhang, W.; Gong, Y.; Wu, Y. Molecular cloning, expression, and in situ hybridization analysis of forkhead box protein L2 during development in Macrobrachium nipponense. J. World Aquac. Soc. 2018, 49, 429–440. [Google Scholar] [CrossRef]
- Hu, Y.; Fu, H.; Qiao, H.; Sun, S.; Zhang, W.; Jin, S.; Jiang, S.; Gong, Y.; Xiong, Y.; Wu, Y. Validation and evaluation of reference genes for quantitative real-time PCR in Macrobrachium Nipponense. Int. J. Mol. Sci. 2018, 19, 2258. [Google Scholar] [CrossRef]
- Jiang, F.; Fu, H.; Qiao, H.; Zhang, W.; Jiang, S.; Xiong, Y.; Sun, S.; Gong, Y.; Jin, S. The RNA interference regularity of transformer-2 gene of oriental river prawn Macrobrachium nipponense. Chin. Agric. Sci. Bull. 2014, 30, 32–37. [Google Scholar]
- Nagarajan, V.K.; Jones, C.I.; Newbury, S.F.; Green, P.J. XRN 5′-3′ exoribonucleases: Structure, mechanisms and functions. Biochim. Biophys. Acta 2013, 1829, 590–603. [Google Scholar] [CrossRef]
- Chang, J.H.; Xiang, S.; Tong, L. Structures of 5′–3′ exoribonucleases. In The Enzymes; Elsevier: Amsterdam, The Netherlands, 2012; Volume 31, pp. 115–129. [Google Scholar]
- Geisler, S.; Coller, J. XRN1: A major 5′ to 3′ exoribonuclease in eukaryotic cells. Enzymes 2012, 31, 97–114. [Google Scholar] [PubMed]
- Jin, S.; Bian, C.; Jiang, S.; Han, K.; Xiong, Y.; Zhang, W.; Shi, C.; Qiao, H.; Gao, Z.; Li, R.; et al. A chromosome-level genome assembly of the oriental river prawn, Macrobrachium nipponense. GigaScience 2021, 10, giaa160. [Google Scholar] [CrossRef] [PubMed]
- Zhang, X.; Kang, X.; Wu, H.; Silver, K.; Zhang, J.; Ma, E.; Zhu, K.Y. Transcriptome-wide survey, gene expression profiling and exogenous chemical-induced transcriptional responses of cytochrome P450 superfamily genes in migratory locust (Locusta migratoria). Insect Biochem. Mol. Biol. 2018, 100, 66–77. [Google Scholar] [CrossRef]
- Zhang, Y.; Fu, H.; Qiao, H.; Jin, S.; Jiang, S.; Xiong, Y.; Gong, Y.; Zhang, X. Molecular cloning and expression analysis of transformer-2 gene during development in Macrobrachium nipponense (de Haan 1849). J. World Aquac. Soc. 2013, 44, 338–349. [Google Scholar] [CrossRef]
- Zhang, Y.; Qiao, H.; Zhang, W.; Sun, S.; Jiang, S.; Gong, Y.; Xiong, Y.; Jin, S.; Fu, H. Molecular cloning and expression analysis of two sex-lethal homolog genes during development in the oriental river prawn, Macrobrachium nipponense. Genet. Mol. Res. 2013, 12, 4698–4711. [Google Scholar] [CrossRef] [PubMed]
- Jin, S.; Zhang, W.; Xiong, Y.; Jiang, S.; Qiao, H.; Gong, Y.; Wu, Y.; Fu, H. Identification of Important Genes Involved in the Sex-Differentiation Mechanism of Oriental River Prawn, Macrobrachium nipponense, During the Gonad Differentiation and Development Period. Front. Genet. 2022, 13, 797796. [Google Scholar] [CrossRef]
- Jones, C.I.; Zabolotskaya, M.V.; Newbury, S.F. The 5′→ 3′ exoribonuclease XRN1/Pacman and its functions in cellular processes and development. Wiley Interdiscip. Rev. RNA 2012, 3, 455–468. [Google Scholar] [CrossRef]
- Kusaba, M. RNA interference in crop plants. Curr. Opin. Biotechnol. 2004, 15, 139–143. [Google Scholar] [CrossRef]
- Jones, H.D. Wheat transformation: Current technology and applications to grain development and composition. J. Cereal Sci. 2005, 41, 137–147. [Google Scholar] [CrossRef]
- Smith, C.A.; Roeszler, K.N.; Ohnesorg, T.; Cummins, D.M.; Farlie, P.G.; Doran, T.J.; Sinclair, A.H. The avian Z-linked gene DMRT1 is required for male sex determination in the chicken. Nature 2009, 461, 267–271. [Google Scholar] [CrossRef]
- Li, F.; Bai, H.; Xiong, Y.; Fu, H.; Jiang, S.; Jiang, F.; Jin, S.; Sun, S.; Qiao, H.; Zhgang, W. Molecular characterization of insulin-like androgenic gland hormone-binding protein gene from the oriental river prawn Macrobrachium nipponense and investigation of its transcriptional relationship with the insulin-like androgenic gland hormone gene. Gen. Comp. Endocrinol. 2015, 216, 152–160. [Google Scholar] [CrossRef] [PubMed]
- Tautz, D.; Pfeifle, C. A non-radioactive in situ hybridization method for the localization of specific RNAs in Drosophila embryos reveals translational control of the segmentation gene hunchback. Chromosoma 1989, 98, 81–85. [Google Scholar] [CrossRef] [PubMed]
- Qiu, G.-F.; Chen, Y.; Cui, Z.; Zhu, X.-L. Localization of germline marker vasa homolog RNA to a single blastomere at early cleavage stages in the oriental river prawn Macrobrachium nipponense: Evidence for germ cell specification by preformation. Gene 2013, 513, 53–62. [Google Scholar] [CrossRef] [PubMed]








| Primer Name | Length (bp) | Primer Sequence (5′–3′) Forward/Reverse | Usage |
|---|---|---|---|
| Mn-XRN1-V1 | 1017 | AAGGAGGCTGTAGATGCTGAAAA AATACTCTCTCTTATGCTGGCGG | For Mn-XRN1 verify |
| Mn-XRN1-V2 | 624 | GTATCCGTGTCTGAGCGAGGTC AAGTGAGGTTCGTGGGAGGTC | For Mn-XRN1 verify |
| Mn-XRN1-V3 | 640 | ATCGGGGAGAAGTCTTACCTACAG CCACTGTTCAAATAGCCCCCT | For Mn-XRN1 verify |
| Mn-XRN1-V4 | 620 | ATATAATTGACGACTGGGTGCTC TGACCACGAACATATCCCG | For Mn-XRN1 verify |
| Mn-XRN1-V5 | 659 | AAGAGTTCCGCCAGCATAAGAGA GCACAACCCCTTCAAGATTTT | For Mn-XRN1 verify |
| Mn-XRN1-V6 | 412 | CTGTTGTCCTCATACCTTTCATTG GGTTTGGTGTCCTGTTCAGTGATG | For Mn-XRN1 verify |
| Mn-XRN1-V7 | 270 | TGCACCGCGAACCAAAGT TTGTCCGCCGAAGGTGG | For Mn-XRN1 verify |
| Mn-XRN1-V8 | 363 | ACACATACCCCATAAGTTCCACA GTTGCGTACACCAGAATTTCAGT | For Mn-XRN1 verify |
| Mn-XRN1-V9 | 338 | GAGGTGCTGGAAGGATACAAGAA TCTCCCAAACTACCATAGCAAGG | For Mn-XRN1 verify |
| Mn-XRN1-V10 | 397 | ACAGTCTTCCTTCTTCCACCTTC TTACAACAGCCTCATCCAGACAA | For Mn-XRN1 verify |
| Mn-XRN1-V11 | 380 | CAGAGCAGAAGGGAGAAAAGGAT ATGAATACCGATTACAGTCCCCG | For Mn-XRN1 verify |
| Mn-XRN1-V12 | 238 | CGGGGACTGTAATCGGTATTCAT TTATTCCACACAGAGGGTCTTGG | For Mn-XRN1 verify |
| Mn-XRN1-V13 | 245 | CCAAGACCCTCTGTGTGGAATAA GACTTGGTAACTGATTGGGGTCT | For Mn-XRN1 verify |
| Mn-XRN1-V14 | 408 | AGACCCCAATCAGTTACCAAGTC CAGGTATTGCTTCAGTGCCAAAA | For Mn-XRN1 verify |
| Mn-XRN1-V15 | 483 | TTTTGGCACTGAAGCAATACCTG TCTGTTACGAATGACCTGAGTGG | For Mn-XRN1 verify |
| Mn-XRN1-V16 | 231 | CCACTCAGGTCATTCGTAACAGA CATGAAGGGCTGACCAAAATTCA | For Mn-XRN1 verify |
| Mn-XRN1-q | 238 | CGGGGACTGTAATCGGTATTCAT TTATTCCACACAGAGGGTCTTGG | For RT-qPCR |
| Mn-XRN1-d | 352 | TAATACGACTCACTATAGGGCACTGAAGCAATACCTGCGA TAATACGACTCACTATAGGGAAGATCGGCACTCAGCTGT | For Mn-XRN1 dsRNA |
| GFP-d | 533 | TAATACGACTCACTATAGGGAGTGGAGAGGGTGAAGG TAATACGACTCAC TAATACGACTCACTATAGGGAGGGCAGATTGTGTGGAC | For GFP dsRNA |
| EIF | 179 | CATGGATGTACCTGTGGTGAAAC CTGTCAGCAGAAGGTCCTCATTA | For RT-qPCR |
| Mn-XRN1 sense Probe | TGGATTGTAATCTGGCTGACTCTTGGTGTA | For Mn-XRN1 ISH analysis | |
| Mn-XRN1 anti-sense Probe | TACACCAAGAGTCAGCCAGATTACAATCCA | For Mn-XRN1 ISH analysis | |
Disclaimer/Publisher’s Note: The statements, opinions and data contained in all publications are solely those of the individual author(s) and contributor(s) and not of MDPI and/or the editor(s). MDPI and/or the editor(s) disclaim responsibility for any injury to people or property resulting from any ideas, methods, instructions or products referred to in the content. |
© 2023 by the authors. Licensee MDPI, Basel, Switzerland. This article is an open access article distributed under the terms and conditions of the Creative Commons Attribution (CC BY) license (https://creativecommons.org/licenses/by/4.0/).
Share and Cite
Chen, T.; Yuan, H.; Qiao, H.; Jiang, S.; Zhang, W.; Xiong, Y.; Fu, H.; Jin, S. Mn-XRN1 Has an Inhibitory Effect on Ovarian Reproduction in Macrobrachium nipponense. Genes 2023, 14, 1454. https://doi.org/10.3390/genes14071454
Chen T, Yuan H, Qiao H, Jiang S, Zhang W, Xiong Y, Fu H, Jin S. Mn-XRN1 Has an Inhibitory Effect on Ovarian Reproduction in Macrobrachium nipponense. Genes. 2023; 14(7):1454. https://doi.org/10.3390/genes14071454
Chicago/Turabian StyleChen, Tianyong, Huwei Yuan, Hui Qiao, Sufei Jiang, Wenyi Zhang, Yiwei Xiong, Hongtuo Fu, and Shubo Jin. 2023. "Mn-XRN1 Has an Inhibitory Effect on Ovarian Reproduction in Macrobrachium nipponense" Genes 14, no. 7: 1454. https://doi.org/10.3390/genes14071454
APA StyleChen, T., Yuan, H., Qiao, H., Jiang, S., Zhang, W., Xiong, Y., Fu, H., & Jin, S. (2023). Mn-XRN1 Has an Inhibitory Effect on Ovarian Reproduction in Macrobrachium nipponense. Genes, 14(7), 1454. https://doi.org/10.3390/genes14071454

