Next Article in Journal
Spinal Muscular Atrophy Treatment in Patients Identified by Newborn Screening—A Systematic Review
Next Article in Special Issue
Unravelling the Genetic Basis of Moisture Deficit Stress Tolerance in Wheat for Seedling Vigour-Related Traits and Root Traits Using Genome-Wide Association Study
Previous Article in Journal
miRNAs: Potential as Biomarkers and Therapeutic Targets for Cancer
Previous Article in Special Issue
Genetic Diversity and Population Structure in Türkiye Bread Wheat Genotypes Revealed by Simple Sequence Repeats (SSR) Markers
 
 
Font Type:
Arial Georgia Verdana
Font Size:
Aa Aa Aa
Line Spacing:
Column Width:
Background:
Article

Expression Profiling of the Slow Rusting Resistance Genes Lr34/Yr18 and Lr67/Yr46 in Common Wheat (Triticum aestivum L.) and Associated miRNAs Patterns

by
Julia Spychała
1,
Agnieszka Tomkowiak
1,*,
Aleksandra Noweiska
1,
Roksana Bobrowska
1,
Jan Bocianowski
2,
Michał Książkiewicz
3,
Aleksandra Sobiech
1 and
Michał Tomasz Kwiatek
1
1
Department of Genetics and Plant Breeding, Poznań University of Life Sciences, 11 Dojazd Str., 60-632 Poznań, Poland
2
Department of Mathematical and Statistical Methods, Poznań University of Life Sciences, 28 Wojska Polskiego St., 60-637 Poznań, Poland
3
Institute of Plant Genetics, Polish Academy of Sciences, Strzeszyńska 34, 60-479 Poznań, Poland
*
Author to whom correspondence should be addressed.
Genes 2023, 14(7), 1376; https://doi.org/10.3390/genes14071376
Submission received: 13 June 2023 / Revised: 26 June 2023 / Accepted: 27 June 2023 / Published: 29 June 2023
(This article belongs to the Special Issue Genetic and Genomic Approaches for Breeding in Wheat)

Abstract

The main efforts in common wheat (Triticum aestivum L.) breeding focus on yield, grain quality, and resistance to biotic and abiotic stresses. One of the major threats affecting global wheat cultivation and causing significant crop production losses are rust diseases, including leaf rust caused by a biotrophic fungus Puccinia triticina Eriks. Genetically determined resistance to leaf rust has been characterized in young plants (seedling resistance) as well as in plants at the adult plant stage. At the seedling stage, resistance is controlled vertically by major R genes, conferring a race-specific response that is highly effective but usually short-lived due to the rapid evolution of potentially virulent fungi. In mature plants, horizontal adult plant resistance (APR) was described, which provides long-term protection against multiple races of pathogens. A better understanding of molecular mechanisms underlying the function of APR genes would enable the development of new strategies for resistance breeding in wheat. Therefore, in the present study we focused on early transcriptomic responses of two major wheat APR genes, Lr34 and Lr67, and three complementary miRNAs, tae-miR9653b, tae-miR9773 and tae-miR9677b, to inoculation with P. triticina. Plant material consisted of five wheat reference varieties, Artigas, NP846, Glenlea, Lerma Rojo and TX89D6435, containing the Lr34/Yr18 and Lr67/Yr46 resistance genes. Biotic stress was induced by inoculation with fungal spores under controlled conditions in a phytotron. Plant material consisted of leaf tissue sampled before inoculation as well as 6, 12, 24 and 48 h postinoculation (hpi). The APR gene expression was quantified using real-time PCR with two reference genes, whereas miRNA was quantified using droplet digital PCR. This paper describes the resistance response of APR genes to inoculation with races of leaf rust-causing fungi that occur in central Europe. The study revealed high variability of expression profiles between varieties and time-points, with the prevalence of downregulation for APR genes and upregulation for miRNAs during the development of an early defense response. Nevertheless, despite the downregulation initially observed, the expression of Lr34 and Lr67 genes in studied cultivars was significantly higher than in a control line carrying wild (susceptible) alleles.

1. Introduction

Leaf (brown) rust represents one of the world’s greatest threats to wheat production. The disease is caused by the pathogenic fungus Puccinia triticina Eriks. The appearance of the disease is observed globally, particularly in regions where common wheat is grown intensively, including Europe, Australia, China and North America [1,2]. The P. triticina fungus is a representative of the order Pucciniales (formerly Uredinales). All representatives of the order Pucciniales are absolute parasitic pathogens of vascular plants with a rather complicated life cycle. In addition to common wheat, the pathogen is capable of infecting other cereals, i.e., rye (Secale cereale), barley (Hordeum vulgare L.) and triticale (×Triticosecale). Globally, under optimal conditions, the disease can cause a significant yield decrease of up to 40% [3,4]. Infection occurs with the aid of wind, which carries the spores to the host plants. Optimal conditions for the development of infection are between 15 and 20 °C, although disease emergence is also possible in a wider temperature range of 2 to 35 °C. A factor particularly conducive to infection is high humidity. Under favorable environmental conditions, urediniospores emerge 7–10 days after infection [5,6,7].
The selection of varieties with favorable traits, such as high yield potential and desirable nutritional quality, requires also improved resistance to pathogenic fungi. The understanding of molecular mechanisms underlying plant–pathogen interactions will enable the development of new strategies for resistance breeding in wheat. Genetically determined resistance to leaf rust has been characterized both in young plants (seedling resistance) and in plants at the mature stage. At the seedling stage, resistance is controlled vertically by R major genes, which are frequently broken by coevolving fungal pathogens. In mature rust-resistant plants, horizontal adult plant resistance (APR) is observed, which is characterized by better durability. The occurrence of non-race-specific resistance is often manifested as a slow rust effect, which is associated with slower infection development, a longer latency period and the formation of fewer uredinia. APR provides partial but durable resistance to the pathogen [8]. However, most Lr genes confer race-specific resistance, consistent with the “gene-for-gene” concept [9]. In total, approximately 80 leaf rust resistance genes have been identified and characterized in bread wheat, durum wheat species and diploid wheat [10]. The distribution of resistance genes in the wheat genome is very dispersed, as Lr genes were found on 20 of the 21 chromosome pairs present in a hexaploidy wheat. A collection of different enzymatic markers and PCR-based molecular and microsatellite markers have been used to identify these genes [1]. Although many rust resistance genes have been identified, the main problem is short-term effectiveness due to the rapid occurrence of new pathotypes capable of breaking resistance. To date, at least four effective genes have been identified: Lr34/Yr18/Pm38, Lr46/Yr29/Pm39, Sr2/Lr27/Yr30 and Lr67/Yr46/Pm46, which conferred partial but durable long-term resistance. This type of resistance determines the slow rusting effect and contributes to reducing the rate of disease development. The advantage of using varieties carrying this type of genes in resistance breeding is the pleiotropic effect of their expression, which contributes to an increase in the level of resistance due to intergene interaction and immunization against other wheat diseases such as yellow rust (Puccinia striiformis Westend.) and powdery mildew caused by Blumeria graminis (DC.) Speer [11]. At present, only APR genes such as Lr34, Lr46 and Lr67 are significantly exploited in resistance breeding, because they confer consistent and long-lasting resistance to diverse fungal pathotypes found under different climatic and environmental conditions. Recent scientific reports indicate that rust resistance, which results from a combination of genes conferring race-specific resistance and genes that are nonspecific to a particular race of the pathogen, is the more durable and most preferred resistance in cultivated wheat varieties [2,5].
The Lr34 gene was first described in 1977 in Canada in wheat line PI58548 [12]. Later studies showed that it is also present in many other wheat varieties. Further analysis of the Lr34 gene revealed its location in the genome, so that it was shown to be located on wheat chromosome 7DS. The Lr34 gene was first identified in the “Frontana” variety [13]. The Lr34/Yr18/Pm38 gene complex confers partial resistance to leaf rust, yellow rust and powdery mildew, respectively. In addition, the locus is associated with tolerance to stem rust (Puccinia graminis Pers.) and barley yellow dwarf virus (Bdv1) [8,14]. The Lr34 is the most well-studied APR-type gene and is also being used as a model to study the molecular basis of the persistent resistance phenomenon [6,15]. The Lr34 gene is effective at the adult plant stage and, under favorable conditions, at the flag leaf stage. Lr34 gene expression was higher at lower temperatures of 13–17 °C than at 25–30 °C [16,17]. Unfortunately, resistance conditioned by gene Lr34 is less effective at high temperatures.
The length of the Lr34 gene is 11,805 base pairs (bp). The Lr34 gene encodes the membrane protein ABC transporter, consisting of 1401 amino acids (24 exons). The gene has been cloned and two allelic variants have been distinguished in it: susceptible (Lr34sus) and resistant (Lr34res) [18,19]. These alleles differ in by 3-nucleotide indel resulting in a deletion of phenylalanine (Phe) at position 546 (exon 11) and a single nucleotide polymorphism (SNP) resulting in a tyrosine (Tyr) to histidine (His) substitution at position 634 (exon 12) in the Lr34Res protein [20,21]. Moreover, additional A/T SNP polymorphisms were discovered in intron 4 and a 1-nucleotide indel in exon 10 that causes a frameshift [18].
The Lr67 gene was identified in the common wheat cultivar “PI 250413” and transferred to the cultivar “Thatcher” to produce the line “RL6077”. The Lr67 gene also shows pleiotropic effects on stem rust and yellow rust, but with a lower effect on leaf rust resistance than Lr34. The Lr67/Yr46/Pm46 gene complex has been mapped to chromosome arm 4DL. The Lr67 gene encodes a hexose transporter in two allelic variants, with resistant—the LR67res protein differing from the susceptible form LR67sus by two amino acids, leucine (Leu) and arginine (Arg). Both allelic variants have identical promoter regions. The Lr67 gene has homeologous genes on common wheat chromosomes 4A and 4B [8,22].
Interestingly, both Lr34 and Lr67 genes also induce premature aging of mature leaf tips (leaf tip necrosis) suggesting mechanistic commonality. Consistent with this hypothesis is the lack of additivity of these two resistance genes for adult plants. However, the products of these two genes are different. Lr34 encodes an ABC transporter protein that is suggested to transport abscisic acid while Lr67 encodes a hexose transporter protein no longer capable of sugar transport. The manner in which these two genes provide resistance has not yet been fully established; however, a remarkable feature of Lr34 is its durability having been used in agriculture for many decades without being overcome [8].
Modern breeding technologies and biotechnology strategies are valuable tools to create climate-resilient crops. In addition, to understand plant responses against various abiotic and biotic stresses, research efforts have been undertaken to reveal the genetic basis underlying resistance/tolerance mechanisms [2,23]. Race-specific disease resistance is based on rapid recognition of invading pathogens and effective activation of plant–host defense mechanisms. At the onset of disease, the hypersensitive response (HR) limits the spread of the pathogen and activates defense mechanisms in the uninfected part of the plant. Considerable progress has been made in understanding the signaling process involved in several plant pathogen interactions. However, there is little research on the interaction of fungal pathogens infecting wheat during the early stages of nonrace-specific APR defense response. Upon infection, expression of resistance genes can be also regulated by endogenous small noncoding miRNAs [7]. Plant miRNAs are small molecules of approximately 21 nucleotides that complementary bind to target mRNAs and repress gene expression by targeting the mRNA for degradation or by inhibiting translation. Plant studies have revealed the key role of miRNAs in various regulatory pathways involving almost all biological processes, including auxin signaling, meristem formation, leaf formation, lateral root formation, reproduction, and defense responses to biotic and abiotic stresses [24,25].
The significant role of slow rusting resistance genes Lr34/Yr18 and Lr67/Yr46 in global common wheat breeding contrasts with the relatively limited knowledge of the early stages of APR defense response deployment. Therefore, in the present study, we focused on transcriptomic profiling of these genes and candidate complementary miRNAs in a timeline spanning the first 48 h postinoculation. Five reference wheat varieties (Artigas, NP846, Glenlea, Lerma Rojo and TX89D6435) carrying resistant alleles of studied genes were analyzed. The expression of Lr34/Yr18 and Lr67/Yr46 genes was quantified using real-time PCR, whereas the level of miRNA was evaluated using droplet digital PCR (ddPCR).

2. Materials and Methods

2.1. Plant Material and Leaf Rust Inoculation in Controlled Conditions

Reference common wheat varieties carrying the resistant alleles of Lr34 and Lr67 genes were obtained from the National Small Grains Collection of the National Plant Germplasm System (NPGS) of the United States Department of Agriculture—Agricultural Research Service (USDA-ARS), located at the Agriculture Research Station in Aberdeen, Idaho (USA). Four resistant spring varieties: NP846 (PI 322263), Glenlea (CItr 17272), Artigas (PI 192535), Lerma Rojo (Cltr 13651) and one winter variety TX89D6435 (PI 584759) were selected. The negative control in the experiment was the Artigas* (PI 73046) variety, which has no Lr resistance genes. Molecular analysis of the reference varieties using flanking markers confirmed the presence of resistant alleles of Lr34 and Lr67 genes. The spores of the fungus were collected from infected field experiments located in different parts of Poland, in localities where branches of Polish breeding companies are located: Smolice 52.1000° N 19.0500° E, Strzelce 53.0167° N 16.9667° E, Kobierzyce 50.9667° N 16.9167° E, Nagradowice 52.4167° N 16.9667° E. The inoculation experiment was established under controlled conditions in a phytotron. At the beginning of the experiment the temperature in the phytotron chamber was set at 18 °C and 16 °C during the day and night, respectively. Photoperiod 18 h, humidity in the range of 70–90%. The emission spectrum of a light source with a photon flux of 572 μE. After one month, the temperature was raised to 20 °C during the day and 17 °C at night. Biotic stress was induced at the adult plant stage (60 days from sowing) by spraying whole plants with a spore suspension at a concentration of approx. 5 × 105 spores/mL (with Tween 20 reagent). The infectious material was a mixture of P. triticina isolates from different regions of Poland. The mixture was prepared immediately before inoculation. Leaf tissue fragments for molecular analyses were taken immediately before inoculation (0 h) and 6, 12, 24 and 48 h postinoculation (hpi). Three biological replicates per time period and genotype were sampled.

2.2. RNA Isolation and Synthesis of cDNA

Isolation of RNA from wheat leaves was carried out using the Maxwell® RSC Plant RNA isolation Kit, according to the protocol provided by the manufacturer. RNA concentration was measured using a NanoDrop 2000 spectrophotometer (Thermo Fisher Scientific, Waltham, MA, USA). Synthesis of single-stranded cDNA was carried out using 1 µg of isolated RNA and iScript cDNA Synthesis Kit (Bio-Rad, Hercules, CA, USA). The temperature profile of the cDNA synthesis reaction was as follows: priming for 5 min at 25 °C, reverse transcription for 60 min at 46 °C, inactivation of reverse transcriptase for 1 min at 95 °C, cooling to 4 °C and storage at −20 °C.

2.3. Primer Design and Development of Standard Curves for Lr34 and Lr67 Genes

Primers for quantitative PCR were designed based on gene sequences (LOC123169079 for Lr34, MK425206 for Lr67) from the NCBI (https://www.ncbi.nlm.nih.gov/, accessed on 14 August 2019) and Ensembl Plants (https://plants.ensembl.org/Triticum_aestivum/Info/Index, accessed on 7 April 2021) databases using the Primer3Plus tool (https://www.bioinformatics.nl/cgi-bin/primer3plus/primer3plus.cgi, accessed on 1 January 2006). For both Lr34 and Lr67 genes three very similar duplicates were identified in common wheat genome (LOC123169079, LOC123087958, LOC123152986 and LOC123092952, LOC123098224, LOC123085159, respectively); therefore, universal primers were designed, amplifying studied genes together with other similar homologs (Table 1). For each primer pair (i.e., each gene), a PCR with gradient of annealing temperature in the range of 50–58 °C was performed to select optimal annealing temperature common for both analyzed genes. The matrix for this PCR was composed as an equalized mixture of cDNAs, derived from 12, 24 and 48 hpi RNA samples, to increase the likelihood of remarkable expression levels of resistance genes. GoTaq® G2 Flexi DNA Polymerase (Promega, Madison, WI, USA) was used. The composition of the reaction mixture was as follows: PCR buffer—4 µL, dNTP (10 µM)—1.6 µL, nuclease-free water—10.1 µL, MgCl2 (25 mM)—1.6 µL, primers (10 µM)—0.5 µL each, polymerase (5 u/μL)—0.2 µL, cDNA mixture—1.5 µL. PCR profile was as follows: initial denaturation for 2 min at 94 °C, followed by 35 cycles including denaturation for 1 min at 95 °C, annealing of primers for 30 s in temperature gradient of 50–58 °C, extension for 30 s at 72 °C, final extension for 5 min at 72 °C and cooling to 4 °C. PCR products were separated by electrophoresis (10 V/cm) in a 2% agarose gel in Tris EDTA buffer pH 8.0 (Sigma-Aldrich, St. Louis, MO, USA) with SYBR Safe DNA staining (Invitrogen, Carlsbad, CA, USA) and visualized on UV-transilluminator (Uvitec, Thermo Fisher Scientific, Waltham, MA, USA). As a result of these analyses, optimal annealing temperature for quantitative PCR was selected (53.5 °C). Once the reaction conditions were established, five PCR runs in a volume of 20 µL each were performed to obtain a volume of 100 µL of the target amplicons. The amplification temperature profile was as follows: initial denaturation for 2 min at 94 °C, followed by 35 cycles, denaturation for 1 min at 95 °C, annealing of primers for 30 s at 53.5 °C, extension for 30 s at 72 °C and final extension for 5 min at 72 °C. Amplicon purification was carried out using QIAquick PCR Purification Kit (Qiagen, Hilden, Germany), according to the protocol provided by the manufacturer. Concentration of purified PCR products was measured using a NanoDrop 2000 spectrophotometer (Thermo Fisher Scientific). In order to make standard curves, a series of dilutions was prepared for each analyzed gene. Standard curves were developed following previously reported protocol [26].

2.4. Selection of Reference Genes for Quantitative PCR

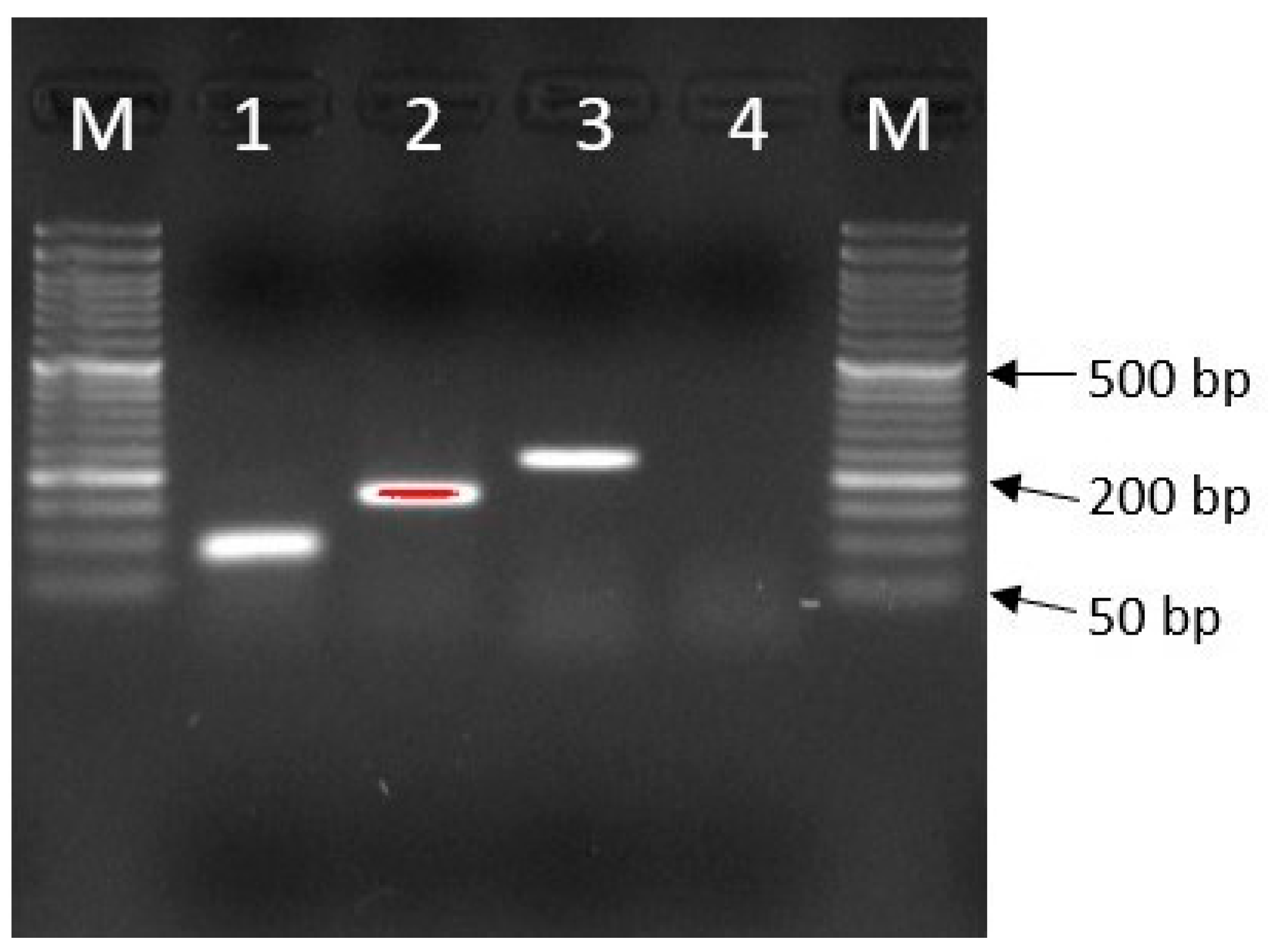
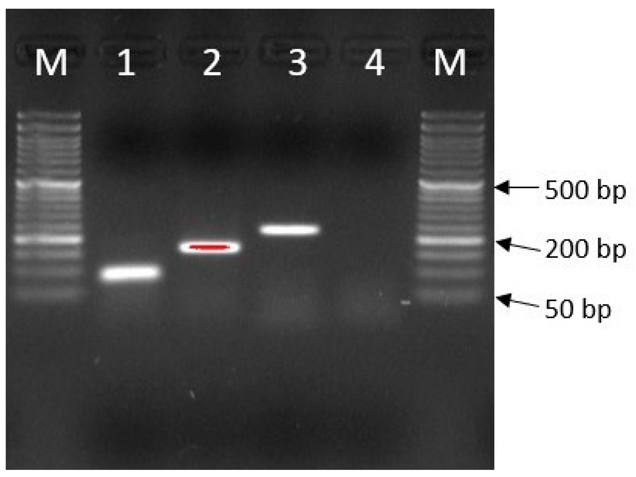
Results of quantitative PCR are usually referred to the reference genes that are expected to have stable expression profile in a specific experimental setup. Based on the literature data, four common wheat genes were selected (Table 2) as candidate references: TUBβ (β-Tubulin, U76897), ARF (ADP-ribosylation factor, AB050957), RLI (Rnase L inhibitor-like protein, AK331207.1) and EF2–1 (Elongation factor, XM_009218808) [27,28]. They were tested by performing PCR amplification on cDNA pooled array (samples collected at 12, 24 and 48 hpi), followed by electrophoresis (10 V/cm) in a 2% agarose gel (Figure 1, Table 2). At this stage, nonspecific products were obtained for the RLI gene after real-time PCR reactions, which was the cause of discarding the reference gene. The occurrence of nonspecific products was observed by analyzing melting curves. For the remaining candidate reference genes, a standard curve was developed using the same approach as for Lr34 and Lr67 genes (except for primer annealing temperature: 60 °C instead of 53.5 °C). After analysis of standard curves, two genes with the highest efficiency values and R2 > 0.98, TUBβ and ARF, were selected as references for quantitative PCR (Table 2).

2.5. Quantitative (Real-Time) PCR

Expression analysis using real-time PCR was performed in 96-well plates (Eppendorf, Hamburg, Germany) using iTaq Universal SYBR Green Supermix and CFX Connect Real-Time PCR Detection System (Bio-Rad). The composition of the qPCR reaction mixture was as follows: Supermix—5 µL, “forward” and “reverse” primers (10 µM)—0.5 µL each, nuclease-free water—3 µL and cDNA template—1 µL. In accordance with current MIQE recommendations for the validity of real-time PCR analyses, for every genotype/time points three biological replicates were used, and three technical replicates were prepared for each [29]. The qPCR reactions were performed with NTC (no template control), representing the reaction mixture itself, and with inter-run calibration sample (ARF), both were applied in three technical replicates. The following temperature profile was used for quantitative PCR: initial denaturation for 3 min at 95 °C; then, 40 cycles: denaturation for 10 s at 95 °C and annealing of primers for 30 s at 53.5 °C (Lr34 and Lr67 genes) or 60 °C (TUBβ and ARF) with fluorescence measurement. High resolution DNA melting was performed after PCR to control the specificity of amplification: melting temperature range 65–90 °C; every 5 s the temperature was increased by 0.5 °C and fluorescence measurement was taken. Calculations of ∆∆Cq included both reference genes using CFX Maestro (Bio-Rad).

2.6. Expression Analysis of miRNAs Using Droplet Digital PCR

In this study, the expression of three miRNAs (tae-miR9653b, tae-miR9773, tae-miR9677b) related to the Lr34 was analyzed. Available databases for common wheat and literature data did not show miRNA molecules complementary to the Lr67 gene. The coding sequence of the Lr34 gene (TraesCS7D02G080300.1) was downloaded from the Ensembl.
Plants database for common wheat (https://plants.ensembl.org/Triticum_aestivum/Info/Index, accessed on 7 April 2021) was analyzed in the psRNAtarget database (http://plantgrn.noble.org/psRNATarget/, accessed on 1 January 2017). The “Submit Target Candidates” option was selected, which allowed analysis of the selected sequence and searching for related miRNAs. The sequences of the three miRNAs analyzed were found in the miRBase database (https://www.mirbase.org/, accessed on 5 June 2009) and, using the Integrated DNA Technologies (IDT) website (https://eu.idtdna.com/pages, accessed on 15 June 2012), stem-loop primers were designed for miRNA reverse transcription and ddPCR reactions according to the protocol [30,31]. The primer sequences intended for both reactions are shown in the listing (Table 3 and Table 4). The species Triticum aestivum was selected and the names of the selected miRNAs were searched. A mature sequence was required to design primers for complementary miRNAs, so the “Mature sequence” function was selected. The mirVana™ miRNA Isolation Kit with phenol (Thermo Fisher Scientific) was used to extract the RNA fraction containing miRNA, whereas the concentration and quality of isolates were measured spectrophotometrically using NanoDrop 2000 (Thermo Fisher Scientific). The concentration and quality of the isolated RNA was checked using a spectrophotometer (DeNovix, Wilmington, DE, USA) at 260 nm. A fixed amount of isolated RNA (1 µg sRNA and 1.5 µg total RNA) was reverse transcribed using SuperScript IV Reverse Transcriptase (Thermo Fisher Scientific), stem-loop primers and the following protocol: incubate for 30 min at 16 °C; 60 cycles at 30 °C for 30 s, 42 °C for 30 s and 50 °C for 1 s; and incubation at 85 °C for 5 min. To quantify the number of miRNA molecules in plant samples, a ddPCR mixture composed of 10 µL of ddPCR Super Mix Eva Green (Bio-Rad), primers (to reach final concentration of each primer 200 nM), template (reverse transcribed, elongated miRNA) and RNase-free H2O was used. A 20 µL reaction mixture was used to generate droplets in an 8-well cartridge placed in a QX100 droplet generator (Bio-Rad Laboratories, Inc., Hercules, CA, USA). The droplets were carefully transferred to a 96-well ddPCR plate and heat-sealed with foil (Bio-Rad). Then, cDNA was amplified in a T100 PCR thermal cycler (Bio-Rad) under the following cycling conditions: 5 min denaturation at 95 °C, followed by 40 cycles with a three-step thermal profile of 30 s denaturation at 95 °C, 30 s annealing at 58 °C and 45 s extension at 72 °C. Subsequently, the products were kept at 72 °C for 2 min for the final extension. After amplification, the products were cooled to 4 °C for 5 min, then heated to 90 °C for 5 min and finally cooled again to 12 °C. The droplets were quantified in a QX100 droplet reader (Bio-Rad). Data acquisition and analysis were performed using QuantaSoft software (Bio-Rad). Positive droplets containing amplification products were distinguished from negative droplets by setting the fluorescence amplitude threshold to the lowest value in the positive droplet cluster.

2.7. Preparation of Lr34 and Lr67 Amplicons for Sanger Sequencing

Sanger sequencing was performed to confirm that the desired amplicons were obtained for the Lr34 and Lr67 genes and to characterize the differences between the resistant genotypes and the susceptible genotype (Artigas* variety). For the Lr34 and Lr67 genes, 5 PCR reactions were performed for the corresponding primer pairs. The composition of the reaction mixture was as follows: nuclease-free H2O—10.1 µL; buffer—4 µL; dNTP (10 µM)—1.6 µL; MgCl2 (25 mM)—1.6 µL; primer F (10 µM)—0.5 µL; primer R (10 µM)—0.5 µL; polymerase (5 u/μL)—0.2 µL; and template—1.5 µL. GoTaq® G2 Flexi DNA Polymerase reagents from Promega were used to prepare the PCR reaction. The following amplification temperature profile was used: initial denaturation for 2 min at 94 °C; followed by 35 cycles: denaturation for 1 min at 95 °C, primer annealing for 30 s at 60 °C, extension for 30 s at 72 °C; final extension for 5 min at 72 °C and cooling to 4 °C. Purification of the amplicons was performed using QIAquick PCR Purification Kit (Qiagen), according to the protocol provided by the manufacturer. After purification, the samples were resuspended in Elution Buffer in a volume of 30 µL. Sanger sequencing was performed by Genomed (Warsaw, Poland). Obtained results were processed using Geneious software.

2.8. Statistical Analysis

The Kolmogorov–Smirnov test was used to test the null hypothesis that a set of normalized expression data for a particular gene and line comes from a normal distribution. This test was passed for all gene × genotype combinations except Lr34 in TX89D6435 and tae-miR9773 in NP846 (p-values 0.028 and 0.023, respectively). To assess the equality of variances, Brown–Forsythe variant of Levene’s test was calculated (passed for all tested time point × gene × genotype combinations). For comparison of means, a two-tailed t-Student was performed. The following comparisons were performed for Lr34 and Lr67 genes and studied miRNAs: (i) expression in each examined time point after inoculation vs. expression before inoculation and (ii) expression in each examined time point vs. expression in a correlated time point in Artigas line carrying susceptible allele. To test stability of reference genes, the following comparisons were performed: cycle threshold (cT) value in each time point after inoculation vs. cT value before inoculation (Supplementary Table S3). This test revealed significant increase in reference cT values in some comparisons, mostly at the beginning of experiment or in the middle time points, that could eventually result in increase in calculated expression of studied genes. However, in all those cases, expression of studied genes was not significantly increased; therefore, observed transient instability of reference genes did not contribute to false positives. For visualization of gene expression results, cluster analysis (UPGMA method) with the Euclidean distances was performed.

3. Results

3.1. Expression of Gene Lr34 and Lr67 Genes in Analyzed Varieties at Different Time Points

The response of the Lr34 gene to inoculation with P. triticina was analyzed in four spring (NP846, Glenlea, Artigas, Lerma Rojo) and one winter (TX89D6435) common wheat varieties at five time points (0, 6, 12, 24 and 48 hpi). All varieties except Glenlea revealed a decrease in Lr34 expression levels immediately after inoculation (6 hpi) (Figure 2). The Glenlea variety also responded in the same way but with a slight delay (12 hpi). Meanwhile, at that time point Artigas and NP486 responded with a further decrease in Lr34 expression. After 24 h, an increase in Lr34 expression occurred in all varieties except for TX89D6435, reaching in Glenlea and Lerma Rojo levels similar to that before inoculation. Studied cultivars significantly differed in Lr34 expression at 48 hpi: in Glenlea and Artigas it reached the maximum values, whereas in the other cultivars it reached the minimum (TX89D6435 and NP846) or very close to the minimum (Lerma Rojo). Observed differences in expression profiles did not follow differences in plant phenology (spring vs. winter). It should be noted that despite significant repression after inoculation, Lr34 expression did not drop below the level observed in the Artigas* variety (having a susceptibility allele) in all tested time point × genotype combinations except for 6 hpi Lerma Rojo. It appears that the Lr34 gene is expressed at a relatively high level regardless of inoculation, while after inoculation there is a rapid decrease in expression (realized within 6–12 h). In two lines, this decrease was transient. In Glenlea, Lerma Rojo and NP846, the decrease in expression was statistically significant (p-value 0.013–0.048). The lack of statistical support for Artigas and TX89D6435 results from a high variance between biological replicates.
The Lr67 gene, as compared to the Lr34, showed a partially different expression pattern also shown by the analysis of variance (Figure 3). In the case of the Artigas, NP846 and TX89D6435 varieties, the expression of the Lr67 gene decreased immediately after inoculation (6 and 12 hpi) and began to increase after 24 h. In the case of the Lerma Rojo variety, Lr67 gene expression decreased after inoculation and fluctuated thereafter, while in the Glenlea variety, Lr67 expression first increased (6 hpi) and then decreased reaching a minimum at 24 hpi, followed by another increase at 48 hpi. The Lr67 gene in Artigas and Glenlea varieties revealed a similar response to stress like the Lr34 gene, surpassing in at least one time point after inoculation the level observed in control plants. In the Artigas* line, carrying a susceptible Lr67 allele, changes in expression levels relative to the first term were not statistically significant. This would imply that only the functional copy of the gene is regulated. Both tested genes are transporters, and as such may have a remarkable effect on the phenotype in terms of the level of accumulation and secretion of the compounds they transport. Interestingly, both genes showed a similar response to inoculation; the correlation between them was 0.675 and that value is statistically significant (p-value = 0.0003). On the other hand, considering the difference in expression levels relative to the first term in each line (response to inoculation), those differences were statistically significant for both genes and for the Glenlea, Lerma Rojo, NP846 and TX89D6435 lines, but only for selected time points and only in the direction of a decrease in expression (Supplementary Table S1).

3.2. Sanger Sequencing Results

During quantitative PCR analysis of Lr34 gene expression on the template, differences in melting temperatures (Tm) were observed between resistant and susceptible varieties (Artigas*), suggesting putative differences in the sequence of the obtained amplicons. Similar observations were made for the Lr67 gene. Sanger sequencing was performed to verify if there is any polymorphism. The sequence of the Lr34 gene was confirmed to be complementary to the region 141,646–141,853 bp on reverse-complement reference Lr34 locus sequence FJ436983.1, spanning exons 7 and 8, 967 bp upstream of the TTC insertion that differentiate resistant and susceptible accessions. The resulting product was identical to the reference sequence with several heterozygous nucleotide positions. The alternative nucleotides present at heterozygous positions which correspond to homologs localized in chromosomes 4A and 7A. For the Lr67 gene, a PCR product was aligned to the region localized at 1350–1467 bp on reference Lr67 locus sequence MK425206.1 in 3rd exon, 191 bp downstream of the 1159T/G (Leu387/Val) substitution distinguishing between resistant and susceptible accessions. One heterozygous nucleotide was identified (25C/G), corresponding to homologs present in 4A and 4B chromosomes. Sequences of both PCR products were provided in Supplementary Table S2.

3.3. Expression Profiles of miRNAs Associated with the Lr34 Gene

Analysis of miRNA molecules using ddPCR revealed a potential downregulatory link between tae-miR9653b and Lr34 gene expression in Artigas and Glenlea cultivars (Table 5). In the Artigas variety, an increase of tae-miR9653b copy number immediately after inoculation (6 hpi) was observed, putatively corresponding to a decrease in Lr34 gene expression. Systematic decline of tae-miR9653b copy number that occurred in further time points correlates with an increase in Lr34 gene expression observed in that variety. A similar scenario was also revealed in Glenlea. These results indicate that tae-miR9653b may control the degradation of Lr34 gene transcripts in these two cultivars. Interestingly, the Artigas cultivar revealed the induction of all three studied mRNAs in response to inoculation; however, these changes were only statistically significant in all time points for tae-miR9653b. The comparative data are shown as a heatmap plot for tae-miR9653b expression (Figure 4).

4. Discussion

Recent insight into the scientific progress in deciphering of molecular mechanisms underlying wheat resistance to leaf rust led to the conclusion that further search for diverse and durable resistance to leaf rust should harness advanced tools and techniques [2]. Understanding the molecular basis of defense response will allow the development of new strategies for rust resistance in wheat. Even in the presented study, the well-established Lr34 and Lr67 genes showed differences in expression profiles between cultivars, despite the presence of the same resistant alleles. It may indicate that there is some variability between studied lines in regulatory pathways acting upstream of these genes. In one of the most recent papers [32], researchers conducted an expression analysis using qRT-PCR after running the Lr67 transgene into barley to analyze the resistance response of seedlings and adult plants to infection by the leaf rust pathogen. Seedling resistance to the barley-specific diseases P. hordei and Blumeria graminis f. sp. hordei was seen in stable transgenic Lr67res barley lines at 24 h postinoculation (hpi), Lr67res was two to three times more induced in the Lr67res lines following the inoculation of barley plants with Puccinia hordei. At 72 hpi, Lr67res expression returned to basal levels, and controls did not exhibit induction. Moreover, higher expression of pathogenesis-related (PR) genes and early senescence were both seen in barley plants harboring Lr67res.
Genetic expression regulation is one of the factors that determine a plant’s susceptibility or resistance. Nevertheless, it should be noted that such proteins such as ABC transporters may be regulated by multiple signaling pathways and response in different way to different pathogens, including transient downregulation [33]. In our experiments, we revealed that the resistance response of Lr34 gene in Glenlea and Artigas cultivars to inoculation with P. triticina resembled expected scenario for an active antifungal component, i.e., increase of expression after colonization of plant tissue by the fungus. In the work of Bolton et al. (2008), Lr34 gene expression was analyzed in response to P. triticina infection of wheat., and according to the authors, the Lr34 gene slows disease development, but does not stop pathogen growth [34]. Its resistance phenotype resembles basal plant immunity resulting from recognition of a generic fungal elicitor or pathogen-associated molecular patterns (PAMPs). Leaf tissue was collected at two time points: 3 and 7 days (days postinoculation). The above test was conducted on lines containing Lr34res, which showed the induction of several PR genes (pathogenesis-related). TcLr34 leaves taken at 3 dpi were examined and found significant upregulation of PR-1, PR-2 and PR-3 after infection. This response at the metabolic level of the plant did not persist for 7 dpi; this may explain why the Lr34 gene is characterized by slowing down the pathogen rather than inhibiting disease development. Researchers’ studies indicate that Lr34-induced resistance imposes a high energy demand, which leads to the induction of multiple metabolic reactions to support cellular energy requirements. An abscisic acid (ABA) has been proposed as a candidate molecule that contributes to Lr34res-mediated disease resistance [35]. Indeed, the expression of Lr34 in transgenic barley provides resistance to leaf rust and leads to the accumulation of ABA at the leaf tip and the development of leaf tip necrosis [36,37]. Therefore, upregulation of the Lr34 gene after infection should be expected as a defense response mechanism.
Recent work [38] has described the interactions of these two APR genes with other Lr resistance genes. The researchers compared the effects of Lr34 and Lr67 alone, as well as in combination with Lr13, Lr16 or Lr32. The Lr67 and Lr34 genes significantly reduced the level of severity of rust disease, Lr34 showed a significant interaction with Lr13 unlike Lr67. Both genes interacted with Lr16, and Lr67 had a significant interaction with Lr32. This analysis demonstrates a similar effect of the Lr67 gene, as observed for Lr34, to interact with other resistance genes to achieve better levels of resistance than single resistance genes. The researchers suggest that although Lr67 is not widely used in agriculture, it may play an important role in disease resistance in future wheat varieties.
In the present study, the expression of candidate miRNA molecules (tae-miR9653b, tae-miR9773 and tae-miR9677b) that could be hypothetically associated with the Lr34 resistance gene when the plant response to leaf rust disease was analyzed. One of these genes, tae-miR9653b, revealed an expression profile supporting the hypothesis of Lr34 miRNA dependent decay. Moreover, we conducted preliminary studies with analysis of complementary miRNAs to the Lr34 and Lr46 gene [39,40]. Previous studies have already reported that the miRNAs analyzed in this study may be involved in the immune response to both biotic and abiotic stresses. According to studies, tae-miR9773 plays an important role in the biotic stress response in wheat [41]. Kumar et al. (2017) in their work analyzed ten miRNA molecules responsive to leaf rust disease using wheat varieties with the Lr24 resistance gene (resistant) and varieties lacking the Lr24 resistance gene (susceptible) [42]. The researchers used stem-loop RT-qPCR to identify and analyze their expression. The researchers reported that the results of their analysis showed differential expression patterns of each miRNA, which may indicate their differential role at different time points after pathogen infection. The maximum expression of two miRNAs, TamiR119 and TamiR256, occurred at 48 hpi while four, TamiR148, TamiR181, TamiR383 and TamiR441, showed a maximum expression at 12 hpi. In contrast, three more miRNA molecules (TamiR218, TamiR337 and TamiR358) showed a maximum expression at 168 hpi, which may indicate their late immune response to leaf rust. As the researchers have pointed out, a significant correlation was observed for all the analyzed miRNA molecules, whose pathogen-induced expression levels were higher in susceptible plants compared to resistant plants, which may indicate an important role for the Lr24 gene [32]. Li et al. (2017) examined various miRNAs after exposing wheat to phenanthrene, including miR9653b, whose expression was downregulated [41]. In a study on drought stress in common wheat [43], authors considered the role of miRNA molecules on the drought response. The only miRNA suppressed by drought in the drought-tolerant variety was miR9653 (including miR9653a and miR9653b members). In contrast, in the more sensitive wheat variety, the abundance of miR9653b was increased by stress, while the number of miR9653a was unchanged. Unfortunately, there is still limited knowledge about the role of miR9653b in plant pathogen stress responses albeit it was shown that it is positively responsive to Fusarium graminearum infection in common wheat lines carrying the 2DL FHB resistance locus [44].

5. Conclusions

The presented study showed that the expression of Lr34 and Lr67 genes varied at selected time points. After the inoculation, there was a decrease in the level of gene expression in most lines, and then an increase to the level before was observed. The immune system responded most effectively in the Glenlea and Artigas varieties, as 48 h after infection the expression levels of both genes exceeded their baseline expression levels. Based on this study, in the case of the Lr34 gene, the activation of the immune system in all analyzed varieties was recorded 24 h after inoculation. On the other hand, the Lr67 gene showed differential expressions within varieties, as shown by the analysis of variance. Finally, the Artigas and Glenlea varieties responded most strongly to stress, as the expression level of the Lr67 gene 48 h postinoculation, like that of the Lr34 gene, exceeded the preinoculation baseline. The results indicate that Lr34 gene expression may be blocked by tae-miR9653b complementary to its sequence in Artigas and Glenlea cultivars. For these two varieties, the expression level of Lr34 was negatively correlated with the microRNA level of tae-miR9653b, which hypothetically may indicate downregulation. Similar relationships were observed for NP846 and TX89D6435 varieties at almost all time points. These relationships also coincided at some time points for Glenlea (12 hpi and 24 hpi) and Lerma Rojo (24 hpi and 48 hpi) cultivars.

Supplementary Materials

The following supporting information can be downloaded at: https://www.mdpi.com/article/10.3390/genes14071376/s1, Table S1: Changes in expression levels postinoculation (i.e., relative to the first term) for the Lr34 and Lr67 genes; Table S2: PCR product sequences for Lr34 and Lr67 genes; Table S3: Change in expression levels after inoculation (i.e., relative to the first term) for reference genes TUBβ and ARF.

Author Contributions

Conceptualization, A.T. and M.T.K.; data curation, J.S.; formal analysis, J.S. and A.T.; investigation, J.S. and A.T.; methodology, J.S. and A.T.; supervision, A.T.; visualization, J.B.; writing—original draft, J.S. and M.K.; writing—review and editing, A.T., J.S., A.N., R.B. and A.S. All authors have read and agreed to the published version of the manuscript.

Funding

This research is financed by the framework of Ministry of Agriculture and Rural Development (Poland) program: “Biological Progress in Plant Production” in years 2021–2027, task No. 5: “A molecular analysis of an adult plant slow rusting genes conferring resistance to rusts caused by Puccinia sp.” (DHR.hm.802.11.2022); Project leader: M.T. Kwiatek. This publication was financed by the framework of the Ministry of Science and Higher Education program as “Regional Initiative Excellence” in years 2019–2023, project No. 005/RID/2018/19, financing amount 12,000,000,00 PLN.

Institutional Review Board Statement

Not applicable.

Informed Consent Statement

Not applicable.

Data Availability Statement

The datasets generated during and/or analyzed during the current study are available from the corresponding author on reasonable request.

Conflicts of Interest

The authors declare no conflict of interest.

References

  1. Aktar-Uz-Zaman, M.; Tuhina-Khatun, M.; Hanafi, M.M.; Sahebi, M. Genetic Analysis of Rust Resistance Genes in Global Wheat Cultivars: An Overview. Biotechnol. Biotechnol. Equip. 2017, 31, 431–445. [Google Scholar] [CrossRef]
  2. Prasad, P.; Savadi, S.; Bhardwaj, S.C.; Gupta, P.K. The Progress of Leaf Rust Research in Wheat. Fungal Biol. 2020, 124, 537–550. [Google Scholar] [CrossRef] [PubMed]
  3. Chai, Y.; Pardey, P.G.; Hurley, T.M.; Senay, S.D.; Beddow, J.M. A Probabilistic Bio-Economic Assessment of the Global Consequences of Wheat Leaf Rust. Phytopathology 2020, 110, 1886–1896. [Google Scholar] [CrossRef] [PubMed]
  4. Yahya, M.; Saeed, N.A.; Nadeem, S.; Hamed, M.; Saleem, K. Effect of Leaf Rust Disease on Photosynthetic Rate, Chlorophyll Contents and Grain Yield of Wheat. Arch. Phytopathol. Plant Prot. 2020, 53, 425–439. [Google Scholar] [CrossRef]
  5. Dinh, H.X.; Singh, D.; Periyannan, S.; Park, R.F.; Pourkheirandish, M. Molecular Genetics of Leaf Rust Resistance in Wheat and Barley. Theor. Appl. Genet. 2020, 133, 2035–2050. [Google Scholar] [CrossRef]
  6. Ellis, J.G.; Lagudah, E.S.; Spielmeyer, W.; Dodds, P.N. The Past, Present and Future of Breeding Rust Resistant Wheat. Front. Plant Sci. 2014, 5, 641. [Google Scholar] [CrossRef]
  7. Gupta, O.P.; Permar, V.; Koundal, V.; Singh, U.D.; Praveen, S. MicroRNA Regulated Defense Responses in Triticum Aestivum L. during Puccinia Graminis f.Sp. Tritici Infection. Mol. Biol. Rep. 2012, 39, 817–824. [Google Scholar] [CrossRef]
  8. Reynolds, M.P.; Braun, H.-J. Wheat Improvement. In Wheat Improvement; Reynolds, M.P., Braun, H.-J., Eds.; Springer International Publishing: Cham, Switzerland, 2022; pp. 3–15. ISBN 978-3-030-90672-6. [Google Scholar]
  9. Flor, H.H. Current Status of the Gene-For-Gene Concept. Annu. Rev. Phytopathol. 1971, 9, 275–296. [Google Scholar] [CrossRef]
  10. McIntosh, R.A.; Dubcovsky, J.; Rogers, W.J.; Morris, C.; Xia, X.C. Catalogue of Gene Symbols for Wheat: 2017 SUPPLEMENT. Available online: https://shigen.nig.ac.jp/wheat/komugi/genes/macgene/supplement2017.pdf (accessed on 30 March 2022).
  11. Herrera-Foessel, S.A.; Singh, R.P.; Lillemo, M.; Huerta-Espino, J.; Bhavani, S.; Singh, S.; Lan, C.; Calvo-Salazar, V.; Lagudah, E.S. Lr67/Yr46 Confers Adult Plant Resistance to Stem Rust and Powdery Mildew in Wheat. Theor. Appl. Genet. 2014, 127, 781–789. [Google Scholar] [CrossRef]
  12. Dyck, P.L. Genetics of Leaf Rust Reaction in Three Introductions of Common Wheat. Can. J. Genet. Cytol. 1977, 19, 711–716. [Google Scholar] [CrossRef]
  13. Dyck, P.L. The Association of a Gene for Leaf Rust Resistance with the Chromosome 7D Suppressor of Stem Rust Resistance in Common Wheat. Genome 1987, 29, 467–469. [Google Scholar] [CrossRef]
  14. Lagudah, E.S.; Krattinger, S.G.; Herrera-Foessel, S.; Singh, R.P.; Huerta-Espino, J.; Spielmeyer, W.; Brown-Guedira, G.; Selter, L.L.; Keller, B. Gene-Specific Markers for the Wheat Gene Lr34/Yr18/Pm38 Which Confers Resistance to Multiple Fungal Pathogens. Theor. Appl. Genet. 2009, 119, 889–898. [Google Scholar] [CrossRef]
  15. Kumar, U.; Kumar, S.; Singh, R.P.; Joshi, A.K.; Röder, M.S.; Chhuneja, P.; Mavi, G.S. Association of Lr34 Gene Complex with Spot Blotch Disease Resistance at Molecular Level in Wheat (T. aestivum L.). Indian J. Genet. Plant Breed. 2018, 78, 302–308. [Google Scholar] [CrossRef]
  16. Risk, J.M.; Selter, L.L.; Krattinger, S.G.; Viccars, L.A.; Richardson, T.M.; Buesing, G.; Herren, G.; Lagudah, E.S.; Keller, B. Functional Variability of the Lr34 Durable Resistance Gene in Transgenic Wheat. Plant Biotechnol. J. 2012, 10, 477–487. [Google Scholar] [CrossRef]
  17. McCallum, B.D.; Cloutier, S.; Hiebert, C.; Jordan, M. Leaf Tip Necrosis and Seedling Leaf Rust Resistance Conditioned by Lr34 in Wheat Grown at Low Temperatures. Can. J. Plant Pathol. 2021, 43, S211–S217. [Google Scholar] [CrossRef]
  18. Dakouri, A.; McCallum, B.D.; Cloutier, S. Haplotype Diversity and Evolutionary History of the Lr34 Locus of Wheat. Mol. Breed. 2014, 33, 639–655. [Google Scholar] [CrossRef]
  19. Krattinger, S.G.; Lagudah, E.S.; Spielmeyer, W.; Singh, R.P.; Huerta-Espino, J.; McFadden, H.; Bossolini, E.; Selter, L.L.; Keller, B. A Putative ABC Transporter Confers Durable Resistance to Multiple Fungal Pathogens in Wheat. Science 2009, 323, 1360–1363. [Google Scholar] [CrossRef] [PubMed]
  20. Rajagopalan, N.; Lu, Y.; Burton, I.W.; Monteil-Rivera, F.; Halasz, A.; Reimer, E.; Tweidt, R.; Brûlé-Babel, A.; Kutcher, H.R.; You, F.M.; et al. A Phenylpropanoid Diglyceride Associates with the Leaf Rust Resistance Lr34res Gene in Wheat. Phytochemistry 2020, 178, 112456. [Google Scholar] [CrossRef]
  21. Kaur, S.; Pennington, T.; Conley, E.J.; Green, A.; Kolmer, J.; Anderson, J.; Gupta, R.; Gill, U. High-Resolution Melting-Based Marker Development for Wheat Leaf Rust Resistance Gene Lr34. Phytopathology 2023, 113, 508–515. [Google Scholar] [CrossRef] [PubMed]
  22. Moore, J.W.; Herrera-Foessel, S.; Lan, C.; Schnippenkoetter, W.; Ayliffe, M.; Huerta-Espino, J.; Lillemo, M.; Viccars, L.; Milne, R.; Periyannan, S.; et al. A Recently Evolved Hexose Transporter Variant Confers Resistance to Multiple Pathogens in Wheat. Nat. Genet. 2015, 47, 1494–1498. [Google Scholar] [CrossRef] [PubMed]
  23. Raza, A.; Razzaq, A.; Mehmood, S.; Zou, X.; Zhang, X.; Lv, Y.; Xu, J. Impact of Climate Change on Crops Adaptation and Strategies to Tackle Its Outcome: A Review. Plants 2019, 8, 34. [Google Scholar] [CrossRef] [PubMed]
  24. Kumar, R.R.; Pathak, H.; Sharma, S.K.; Kala, Y.K.; Nirjal, M.K.; Singh, G.P.; Goswami, S.; Rai, R.D. Novel and Conserved Heat-Responsive MicroRNAs in Wheat (Triticum aestivum L.). Funct. Integr. Genom. 2015, 15, 323–348. [Google Scholar] [CrossRef] [PubMed]
  25. Ramachandran, S.R.; Mueth, N.A.; Zheng, P.; Hulbert, S.H. Analysis of MiRNAs in Two Wheat Cultivars Infected with Puccinia Striiformis f. Sp. Tritici. Front. Plant Sci. 2020, 10, 1574. [Google Scholar] [CrossRef] [PubMed]
  26. Rychel-Bielska, S.; Plewiński, P.; Kozak, B.; Galek, R.; Ksia̧żkiewicz, M. Photoperiod and Vernalization Control of Flowering-Related Genes: A Case Study of the Narrow-Leafed Lupin (Lupinus angustifolius L.). Front. Plant Sci. 2020, 11, 572135. [Google Scholar] [CrossRef]
  27. Scholtz, J.J.; Visser, B. Reference Gene Selection for qPCR Gene Expression Analysis of Rust-Infected Wheat. Physiol. Mol. Plant Pathol. 2013, 81, 22–25. [Google Scholar] [CrossRef]
  28. Xie, L.; Quan, X.; Zhang, J.; Yang, Y.; Sun, R.; Xia, M.; Xue, B.; Wu, C.; Han, X.; Xue, Y.; et al. Selection of Reference Genes for Real-Time Quantitative PCR Normalization in the Process of Gaeumannomyces graminis Var. Tritici Infecting Wheat. Plant Pathol. J. 2019, 35, 11–18. [Google Scholar] [CrossRef]
  29. Bustin, S.A.; Benes, V.; Garson, J.A.; Hellemans, J.; Huggett, J.; Kubista, M.; Mueller, R.; Nolan, T.; Pfaffl, M.W.; Shipley, G.L.; et al. The MIQE Guidelines: Minimum Information for Publication of Quantitative Real-Time PCR Experiments. Clin. Chem. 2009, 55, 611–622. [Google Scholar] [CrossRef]
  30. Forero, D.A.; González-Giraldo, Y.; Castro-Vega, L.J.; Barreto, G.E. qPCR-Based Methods for Expression Analysis of MiRNAs. BioTechniques 2019, 67, 192–199. [Google Scholar] [CrossRef]
  31. Kramer, M.F. Stem-Loop RT-qPCR for MiRNAs. Curr. Protoc. Mol. Biol. 2011, 9, 1–10. [Google Scholar] [CrossRef]
  32. Milne, R.J.; Dibley, K.E.; Schnippenkoetter, W.; Mascher, M.; Lui, A.C.W.; Wang, L.; Lo, C.; Ashton, A.R.; Ryan, P.R.; Lagudah, E.S. The Wheat Lr67 Gene from the Sugar Transport Protein 13 Family Confers Multipathogen Resistance in Barley. Plant Physiol. 2019, 179, 1285–1297. [Google Scholar] [CrossRef]
  33. Campbell, E.J.; Schenk, P.M.; Kazan, K.; Penninckx, I.A.M.A.; Anderson, J.P.; Maclean, D.J.; Cammue, B.P.A.; Ebert, P.R.; Manners, J.M. Pathogen-Responsive Expression of a Putative ATP-Binding Cassette Transporter Gene Conferring Resistance to the Diterpenoid Sclareol Is Regulated by Multiple Defense Signaling Pathways in Arabidopsis. Plant Physiol. 2003, 133, 1272–1284. [Google Scholar] [CrossRef]
  34. Bolton, M.D.; Kolmer, J.A.; Xu, W.W.; Garvin, D.F. Lr34 -Mediated Leaf Rust Resistance in Wheat: Transcript Profiling Reveals a High Energetic Demand Supported by Transient Recruitment of Multiple Metabolic Pathways. Mol. Plant-Microbe Interact. 2008, 21, 1515–1527. [Google Scholar] [CrossRef] [PubMed]
  35. Krattinger, S.G.; Kang, J.; Bräunlich, S.; Boni, R.; Chauhan, H.; Selter, L.L.; Robinson, M.D.; Schmid, M.W.; Wiederhold, E.; Hensel, G.; et al. Abscisic Acid Is a Substrate of the ABC Transporter Encoded by the Durable Wheat Disease Resistance Gene Lr34. New Phytol. 2019, 223, 853–866. [Google Scholar] [CrossRef] [PubMed]
  36. Bräunlich, S.; Koller, T.; Glauser, G.; Krattinger, S.G.; Keller, B. Expression of the Wheat Disease Resistance Gene Lr34 in Transgenic Barley Leads to Accumulation of Abscisic Acid at the Leaf Tip. Plant Physiol. Biochem. 2021, 166, 950–957. [Google Scholar] [CrossRef]
  37. Risk, J.M.; Selter, L.L.; Chauhan, H.; Krattinger, S.G.; Kumlehn, J.; Hensel, G.; Viccars, L.A.; Richardson, T.M.; Buesing, G.; Troller, A.; et al. The Wheat Lr34 Gene Provides Resistance against Multiple Fungal Pathogens in Barley. Plant Biotechnol. J. 2013, 11, 847–854. [Google Scholar] [CrossRef]
  38. McCallum, B.D.; Hiebert, C.W. Interactions Between Lr67 or Lr34 and Other Leaf Rust Resistance Genes in Wheat (Triticum aestivum). Front. Plant Sci. 2022, 13, 871970. [Google Scholar] [CrossRef] [PubMed]
  39. Tomkowiak, A.; Jędrzejewski, T.; Spychała, J.; Kuczyński, J.; Kwiatek, M.T.; Tyczewska, A.; Skowrońska, R.; Twardowski, T. Analysis of MiRNA Expression Associated with the Lr46 Gene Responsible for APR Resistance in Wheat (Triticum aestivum L.). J. Appl. Genet. 2020, 61, 503–511. [Google Scholar] [CrossRef]
  40. Tomkowiak, A.; Bobrowska, R.; Kwiatek, M.; Spychała, J.; Kuczyński, J.; Tyczewska, A.; Kowalczewski, P.; Weigt, D.; Kosiada, T. Analysis of MiRNA Expression Associated with Gene Lr34 Responsible for Resistance Mechanisms to Wheat Leaf Rust. Pak. J. Bot. 2023, 55, 379–385. [Google Scholar] [CrossRef]
  41. Li, J.; Yue, L.; Shen, Y.; Sheng, Y.; Zhan, X.; Xu, G.; Xing, B. Phenanthrene-Responsive MicroRNAs and Their Targets in Wheat Roots. Chemosphere 2017, 186, 588–598. [Google Scholar] [CrossRef]
  42. Kumar, D.; Dutta, S.; Singh, D.; Prabhu, K.V.; Kumar, M.; Mukhopadhyay, K. Uncovering Leaf Rust Responsive MiRNAs in Wheat (Triticum aestivum L.) Using High-Throughput Sequencing and Prediction of Their Targets through Degradome Analysis. Planta 2017, 245, 161–182. [Google Scholar] [CrossRef]
  43. Bakhshi, B.; Fard, E.M.; Gharechahi, J.; Safarzadeh, M.; Nikpay, N.; Fotovat, R.; Azimi, M.R.; Salekdeh, G.H. The Contrasting MicroRNA Content of a Drought Tolerant and a Drought Susceptible Wheat Cultivar. J. Plant Physiol. 2017, 216, 35–43. [Google Scholar] [CrossRef] [PubMed]
  44. Biselli, C.; Bagnaresi, P.; Faccioli, P.; Hu, X.; Balcerzak, M.; Mattera, M.G.; Yan, Z.; Ouellet, T.; Cattivelli, L.; Valè, G. Comparative Transcriptome Profiles of Near-Isogenic Hexaploid Wheat Lines Differing for Effective Alleles at the 2DL FHB Resistance QTL. Front. Plant Sci. 2018, 9, 37. [Google Scholar] [CrossRef] [PubMed]
Figure 1. Agarose gel electrophoregram showing amplification results for reference genes; 1—TUBβ, 2—ARF, 3—RLI, 4—EF2-1, M—size marker; 50 bp DNA Ladder (NIPPON Genetics EUROPE GmbH).
Figure 1. Agarose gel electrophoregram showing amplification results for reference genes; 1—TUBβ, 2—ARF, 3—RLI, 4—EF2-1, M—size marker; 50 bp DNA Ladder (NIPPON Genetics EUROPE GmbH).
Genes 14 01376 g001
Figure 2. The heatmap diagram shows the expression profiles of the Lr34 gene obtained using quantitative real-time PCR analysis. The assay included reference varieties of common wheat (Glenlea, Artigas, Artigas*, TX89D6435, NP846 and Lerma Rojo) at four time points (6, 12, 24 and 48 hpi). Red indicates lower relative expression and yellow indicates higher expression.
Figure 2. The heatmap diagram shows the expression profiles of the Lr34 gene obtained using quantitative real-time PCR analysis. The assay included reference varieties of common wheat (Glenlea, Artigas, Artigas*, TX89D6435, NP846 and Lerma Rojo) at four time points (6, 12, 24 and 48 hpi). Red indicates lower relative expression and yellow indicates higher expression.
Genes 14 01376 g002
Figure 3. The heatmap diagram shows the expression profiles of the Lr67 gene obtained using quantitative real-time PCR analysis. The assay included reference varieties of common wheat (TX89D6435, NP846, Lerma Rojo, Artigas*, Glenlea and Artigas) at four time points (6, 12, 24 and 48 hpi). Red indicates lower relative expression and yellow indicates higher gene expression.
Figure 3. The heatmap diagram shows the expression profiles of the Lr67 gene obtained using quantitative real-time PCR analysis. The assay included reference varieties of common wheat (TX89D6435, NP846, Lerma Rojo, Artigas*, Glenlea and Artigas) at four time points (6, 12, 24 and 48 hpi). Red indicates lower relative expression and yellow indicates higher gene expression.
Genes 14 01376 g003
Figure 4. The heatmap shows the expression profiles of tae-miR9653b molecules. The red color indicates downregulation, and yellow indicates upregulation. The assay included reference varieties of common wheat (TX89D6435, NP846, Glenlea, Lerma Rojo and Artigas) at four time points (6, 12, 24 and 48 hpi).
Figure 4. The heatmap shows the expression profiles of tae-miR9653b molecules. The red color indicates downregulation, and yellow indicates upregulation. The assay included reference varieties of common wheat (TX89D6435, NP846, Glenlea, Lerma Rojo and Artigas) at four time points (6, 12, 24 and 48 hpi).
Genes 14 01376 g004
Table 1. Name and sequence of designed primers based on Lr34 and Lr67 sequences gene.
Table 1. Name and sequence of designed primers based on Lr34 and Lr67 sequences gene.
No.Gene NamePrimer Sequence (5′-3′)Product Size (bp)Amplification Efficiency (E%)R2Tm (°C)
1.Lr34F GGTAGTAGCAGTTGAAGCR CTCTTCTCATTGCATCCC110109.40.99481.0
2.Lr67F CGCCATCTTCATCTTCTTCR CTGCTTCCACACCTTGTC1181001.00085.0
Table 2. Primer sequences for selected reference genes.
Table 2. Primer sequences for selected reference genes.
Gene NameGene Function/ProductPrimer Sequence (5′-3′)qPCR Efficiency (%)R2Tm (°C)Size Product (bp)
TUBββ-TubulinF CAAGGAGGTGGACGAGCAGATGR GACTTGACGTTGTTGGGGATCCA101.10.99882.084
ARFADP-ribosylation factorF GCTCTCCAACAACATTGCCAACR GCTTCTGCCTGTCACATACGC93.50.99982.0165
RLIRNase L inhibitor-like proteinF CGATTCAGAGCAGCGTATTGTTGR AGTTGGTCGGGTCTCTTCTAAATG---242
EF2-1Elongation factorF CATCAAGCGCATGTCTTCCGR GGTCGACCGTGTTCTTCCAT100.40.99780.590
Table 3. Stem-loop primer sequences designed for miRNA reverse transcription reactions and universal primers.
Table 3. Stem-loop primer sequences designed for miRNA reverse transcription reactions and universal primers.
GeneNo.Primer NameStem-Loop Primers Sequence (5′-3′)
Lr341.RT miR9653bGTCGTATCCAGTGCAGGGTCCGAGGTATTCGCACTGGATACGACAGCCTC
2.RT miR9773GTCGTATCCAGTGCAGGGTCCGAGGTATCCGCACTGGATACGACTTCACA
3.RT miR9677bGTCGTATCCAGTGCAGGGTCCGAGGTATCCGCACTGGATACGACGGCCAC
Reference gene4.Scrabled short RNA (SCR)AUAGGCCAUAAGGAGUCUCGGUACGUCUUGUAUG
5.SCR-Forward RTATAGGCCATAAGGAGTCTCGGTACGTCT
Table 4. Primers designed for ddPCR reactions to analyze miRNAs expression.
Table 4. Primers designed for ddPCR reactions to analyze miRNAs expression.
GeneNo.Primer NamePrimers Sequence (5′-3′)
Lr341.miR9653b FACGCAGTGGCCAAGGTCTCTT
2.miR9773 FGGCGCGGTTTGTTTTTATGTTATTT
3.miR9677b FACTCATCAGGGCGGGGAACAG
4.Universal RCCAGTGCAGGGTCCGAGGTA
Table 5. Copy number of tae-miR9653b corresponding to its expression level in the analyzed varieties; tested before inoculation and after 6, 12, 24 and 48 hpi in biological and technical replicates (average value for all replicates).
Table 5. Copy number of tae-miR9653b corresponding to its expression level in the analyzed varieties; tested before inoculation and after 6, 12, 24 and 48 hpi in biological and technical replicates (average value for all replicates).
Common Wheat Varietiestae-miR9653b Concentration (Number of Copies/µL)
0 hpi6 hpi12 hpi24 hpi48 hpi
Artigas37514741067998900
Glenlea5767371117845886
Lerma Rojo1226806852632926
NP8467128217384101182
TX89D643512782117147519112292
Disclaimer/Publisher’s Note: The statements, opinions and data contained in all publications are solely those of the individual author(s) and contributor(s) and not of MDPI and/or the editor(s). MDPI and/or the editor(s) disclaim responsibility for any injury to people or property resulting from any ideas, methods, instructions or products referred to in the content.

Share and Cite

MDPI and ACS Style

Spychała, J.; Tomkowiak, A.; Noweiska, A.; Bobrowska, R.; Bocianowski, J.; Książkiewicz, M.; Sobiech, A.; Kwiatek, M.T. Expression Profiling of the Slow Rusting Resistance Genes Lr34/Yr18 and Lr67/Yr46 in Common Wheat (Triticum aestivum L.) and Associated miRNAs Patterns. Genes 2023, 14, 1376. https://doi.org/10.3390/genes14071376

AMA Style

Spychała J, Tomkowiak A, Noweiska A, Bobrowska R, Bocianowski J, Książkiewicz M, Sobiech A, Kwiatek MT. Expression Profiling of the Slow Rusting Resistance Genes Lr34/Yr18 and Lr67/Yr46 in Common Wheat (Triticum aestivum L.) and Associated miRNAs Patterns. Genes. 2023; 14(7):1376. https://doi.org/10.3390/genes14071376

Chicago/Turabian Style

Spychała, Julia, Agnieszka Tomkowiak, Aleksandra Noweiska, Roksana Bobrowska, Jan Bocianowski, Michał Książkiewicz, Aleksandra Sobiech, and Michał Tomasz Kwiatek. 2023. "Expression Profiling of the Slow Rusting Resistance Genes Lr34/Yr18 and Lr67/Yr46 in Common Wheat (Triticum aestivum L.) and Associated miRNAs Patterns" Genes 14, no. 7: 1376. https://doi.org/10.3390/genes14071376

APA Style

Spychała, J., Tomkowiak, A., Noweiska, A., Bobrowska, R., Bocianowski, J., Książkiewicz, M., Sobiech, A., & Kwiatek, M. T. (2023). Expression Profiling of the Slow Rusting Resistance Genes Lr34/Yr18 and Lr67/Yr46 in Common Wheat (Triticum aestivum L.) and Associated miRNAs Patterns. Genes, 14(7), 1376. https://doi.org/10.3390/genes14071376

Note that from the first issue of 2016, this journal uses article numbers instead of page numbers. See further details here.

Article Metrics

Back to TopTop