Outlining the Clinical Profile of TCIRG1 14 Variants including 5 Novels with Overview of ARO Phenotype and Ethnic Impact in 20 Egyptian Families
Abstract
1. Introduction
2. Materials and Methods
2.1. Clinical Evaluation
2.2. Molecular Studies
2.3. Prenatal Diagnosis
3. Results
3.1. Phenotypic Results
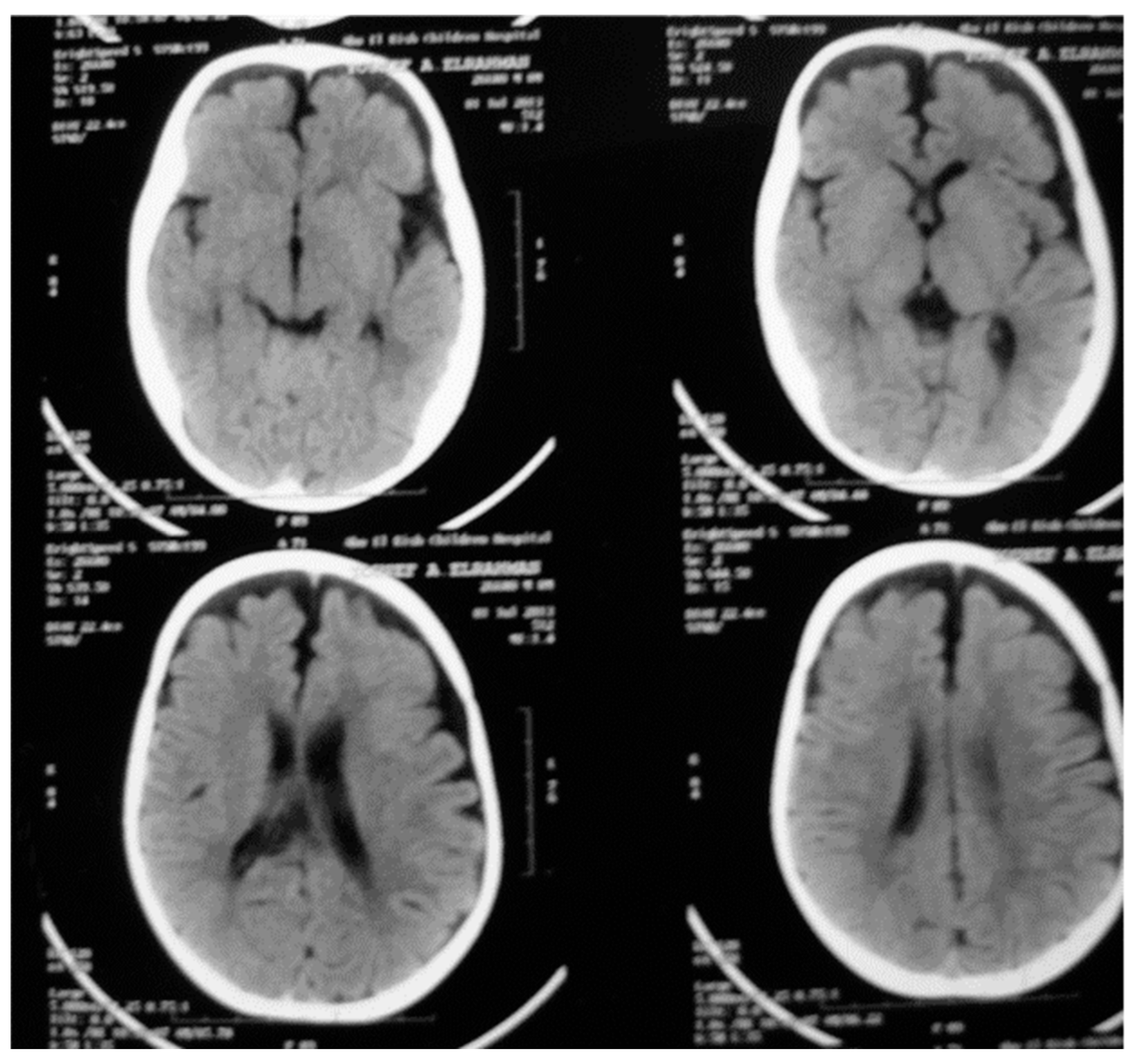
3.2. Radiologic Results
3.3. Molecular Results
3.4. Protein Prediction Results
3.5. Prenatal Diagnosis
4. Discussion
5. Conclusions
Author Contributions
Funding
Institutional Review Board Statement
Informed Consent Statement
Data Availability Statement
Conflicts of Interest
References
- Sabacinski, K.; Booth, M.; Bramer, M. Managing Osteopetrosis in the Complex Polytrauma Orthopedic Patient. Cureus 2022, 14, e21886. [Google Scholar] [CrossRef] [PubMed]
- Palagano, E.; Menale, C.; Sobacchi, C.; Villa, A. Genetics of Osteopetrosis. Curr. Osteoporos. Rep. 2018, 16, 13–25. [Google Scholar] [CrossRef]
- Zengin, A.; Prentice, A.; Ward, K.A. Ethnic differences in bone health. Front. Endocrinol. 2015, 6, 24. [Google Scholar] [CrossRef]
- Kingdom, R.; Wright, C.F. Incomplete Penetrance and Variable Expressivity: From Clinical Studies to Population Cohorts. Front. Genet. 2022, 13, 920390. [Google Scholar] [CrossRef]
- Capo, V.; Penna, S.; Merelli, I.; Barcella, M.; Scala, S.; Basso-Ricci, L.; Draghici, E.; Palagano, E.; Zonari, E.; Desantis, G.; et al. Expanded circulating hematopoietic stem/progenitor cells as novel cell source for the treatment of TCIRG1 osteopetrosis. Haematologica 2021, 106, 74–86. [Google Scholar] [CrossRef] [PubMed]
- Wu, P.; Cai, Z.; Jiang, W.H.; Lu, G.; Wu, P.Q.; Xie, Z.W.; Peng, J.Z.; Chen, C.; Qi, J.Y.; Xu, L.Z.; et al. Two novel mutations in TCIRG1 induced infantile malignant osteopetrosis: A case report. BMC Pediatr. 2021, 21, 1–7. [Google Scholar] [CrossRef]
- Wu, C.C.; Econs, M.J.; DiMeglio, L.A.; Insogna, K.L.; Levine, M.A.; Orchard, P.J.; Miller, W.P.; Petryk, A.; Rush, E.T.; Shoback, D.M.; et al. Diagnosis and Management of Osteopetrosis: Consensus Guidelines From the Osteopetrosis Working Group. J. Clin. Endocrinol. Metab. 2017, 102, 3111–3123. [Google Scholar] [CrossRef]
- Teti, A.; Econs, M.J. Osteopetroses, emphasizing potential approaches to treatment. Bone 2017, 102, 50–59. [Google Scholar] [CrossRef]
- Raote, I.; Ortega-Bellido, M.; Santos, A.J.M.; Foresti, O.; Zhang, C.; Garcia-Parajo, M.F.; Campelo, F.; Malhotra, V. TANGO1 builds a machine for collagen export by recruiting and spatially organizing COPII, tethers and membranes. Elife 2018, 7, 1–21. [Google Scholar] [CrossRef] [PubMed]
- Dunphy, L.; Warfield, A.; Williams, R. Osteomyelitis of the mandible secondary to malignant infantile osteopetrosis in an adult. BMJ Case Rep. 2019, 12, e224452. [Google Scholar] [CrossRef] [PubMed]
- Natsheh, J.; Drozdinsky, G.; Simanovsky, N.; Lamdan, R.; Erlich, O.; Gorelik, N.; Or, R.; Weintraub, M.; Stepensky, P. Improved Outcomes of Hematopoietic Stem Cell Transplantation in Patients with Infantile Malignant Osteopetrosis Using Fludarabine-Based Conditioning. Pediatr. Blood Cancer 2016, 63, 535–540. [Google Scholar] [CrossRef]
- Athanasiadou, E.; Vlachou, C.; Theocharidou, A.; Tilaveridis, I.; Vargiami, E.; Antoniadis, K.; Arapostathis, K. When a pedodontic examination leads to the diagnosis of osteopetrosis: A case report. Spec. Care Dent. 2020, 40, 113–120. [Google Scholar] [CrossRef] [PubMed]
- Sobacchi, C.; Schulz, A.; Coxon, F.P.; Villa, A.; Helfrich, M.H. Osteopetrosis: Genetics, treatment and new insights into osteoclast function. Nat. Rev. Endocrinol. 2013, 9, 522–536. [Google Scholar] [CrossRef]
- Frattini, A.; Orchard, P.J.; Sobacchi, C.; Giliani, S.; Abinun, M.; Mattsson, J.P.; Keeling, D.J.; Andersson, A.K.; Wallbrandt, P.; Zecca, L.; et al. Defects in TCIRG1 subunit of the vacuolar proton pump are responsible for a subset of human autosomal recessive osteopetrosis. Nat. Genet. 2000, 25, 343–346. [Google Scholar] [CrossRef]
- Kornak, U.; Schulz, A.; Friedrich, W.; Uhlhaas, S.; Kremens, B.; Voit, T.; Hasan, C.; Bode, U.; Jentsch, T.J.; Kubisch, C. Mutations in the a3 subunit of the vacuolar H(+)-ATPase cause infantile malignant osteopetrosis. Hum. Mol. Genet. 2000, 9, 2059–2063. [Google Scholar] [CrossRef] [PubMed]
- Matsumoto, N.; Sekiya, M.; Tohyama, K.; Ishiyama-Matsuura, E.; Sun-Wada, G.H.; Wada, Y.; Futai, M.; Nakanishi-Matsui, M. Essential Role of the a3 Isoform of V-ATPase in Secretory Lysosome Trafficking via Rab7 Recruitment. Sci. Rep. 2018, 8, 6701. [Google Scholar] [CrossRef] [PubMed]
- Sly, W.S.; Hewett-Emmett, D.; Whyte, M.P.; Yu, Y.S.; Tashian, R.E. Carbonic anhydrase II deficiency identified as the primary defect in the autosomal recessive syndrome of osteopetrosis with renal tubular acidosis and cerebral calcification. Proc. Natl. Acad. Sci. USA 1983, 80, 2752–2756. [Google Scholar] [CrossRef]
- Cleiren, E.; Bénichou, O.; Van Hul, E.; Gram, J.; Bollerslev, J.; Singer, F.R.; Beaverson, K.; Aledo, A.; Whyte, M.P.; Yoneyama, T.; et al. Albers-Schönberg disease (autosomal dominant osteopetrosis, type II) results from mutations in the ClCN7 chloride channel gene. Hum. Mol. Genet. 2001, 10, 2861–2867. [Google Scholar] [CrossRef]
- Kornak, U.; Kasper, D.; Bösl, M.R.; Kaiser, E.; Schweizer, M.; Schulz, A.; Friedrich, W.; Delling, G.; Jentsch, T.J. Loss of the ClC-7 chloride channel leads to osteopetrosis in mice and man. Cell 2001, 104, 205–215. [Google Scholar] [CrossRef]
- Frattini, A.; Pangrazio, A.; Susani, L.; Sobacchi, C.; Mirolo, M.; Abinun, M.; Andolina, M.; Flanagan, A.; Horwitz, E.M.; Mihci, E.; et al. Chloride channel ClCN7 mutations are responsible for severe recessive, dominant, and intermediate osteopetrosis. J. Bone Miner. Res. 2003, 18, 1740–1747. [Google Scholar] [CrossRef]
- Chalhoub, N.; Benachenhou, N.; Rajapurohitam, V.; Pata, M.; Ferron, M.; Frattini, A.; Villa, A.; Vacher, J. Grey-lethal mutation induces severe malignant autosomal recessive osteopetrosis in mouse and human. Nat. Med. 2003, 9, 399–406. [Google Scholar] [CrossRef] [PubMed]
- Jumper, J.; Evans, R.; Pritzel, A.; Green, T.; Figurnov, M.; Ronneberger, O.; Tunyasuvunakool, K.; Bates, R.; Žídek, A.; Potapenko, A.; et al. Highly accurate protein structure prediction with AlphaFold. Nature 2021, 596, 583–589. [Google Scholar] [CrossRef]
- Chen, Y.; Lu, H.; Zhang, N.; Zhu, Z.; Wang, S.; Li, M. PremPS: Predicting the impact of missense mutations on protein stability. PLoS Comput. Biol. 2020, 16, e1008543. [Google Scholar] [CrossRef]
- Sobacchi, C.; Frattini, A.; Orchard, P.; Porras, O.; Tezcan, I.; Andolina, M.; Babul-Hirji, R.; Baric, I.; Canham, N.; Chitayat, D.; et al. The mutational spectrum of human malignant autosomal recessive osteopetrosis. Hum. Mol. Genet. 2001, 10, 1767–1773. [Google Scholar] [CrossRef]
- Mazzolari, E.; Forino, C.; Razza, A.; Porta, F.; Villa, A.; Notarangelo, L.D. A single-center experience in 20 patients with infantile malignant osteopetrosis. Am. J. Hematol. 2009, 84, 473–479. [Google Scholar] [CrossRef]
- Anderson, J.A.; Hayeems, R.Z.; Shuman, C.; Szego, M.J.; Monfared, N.; Bowdin, S.; Shaul, R.Z.; Meyn, M.S. Predictive genetic testing for adult-onset disorders in minors: A critical analysis of the arguments for and against the 2013 ACMG guidelines. Clin. Genet. 2015, 87, 301–310. [Google Scholar] [CrossRef]
- Palagano, E.; Blair, H.C.; Pangrazio, A.; Tourkova, I.; Strina, D.; Angius, A.; Cuccuru, G.; Oppo, M.; Uva, P.; Van Hul, W.; et al. Buried in the Middle but Guilty: Intronic Mutations in the TCIRG1 Gene Cause Human Autosomal Recessive Osteopetrosis. J. Bone Miner. Res. 2015, 30, 1814–1821. [Google Scholar] [CrossRef] [PubMed]
- Gálvez, E.; Vallespín, E.; Arias-Salgado, E.G.; Sánchez-Valdepeñas, C.; Giménez, Y.; Navarro, S.; Río, P.; Bogliolo, M.; Pujol, R.; Peiró, M.; et al. Next-generation Sequencing in Bone Marrow Failure Syndromes and Isolated Cytopenias: Experience of the Spanish Network on Bone Marrow Failure Syndromes. Hemasphere 2021, 5, e539. [Google Scholar] [CrossRef] [PubMed]
- Hernández-Martínez, C.; Guzmán-Martínez, M.N.; Scheffler-Mendoza, S.; Espinosa-Padilla, S.E.; Sobacchi, C.; Blancas-Galicia, L. Identificación de nuevas mutaciones en TCIRG1 como causa de osteopetrosis maligna infantil en dos pacientes mexicanos [Identification of new mutations in TCIRG1 as a cause of infantile malignant osteopetrosis in two Mexican patients]. Rev. Alerg. Mex. 2018, 65, 108–116. (In Spanish) [Google Scholar]
- Pangrazio, A.; Caldana, M.E.; Iacono, N.L.; Mantero, S.; Vezzoni, P.; Villa, A.; Sobacchi, C. Autosomal recessive osteopetrosis: Report of 41 novel mutations in the TCIRG1 gene and diagnostic implications. Osteoporos. Int. 2012, 23, 2713–2718. [Google Scholar] [CrossRef]
- Wang, M.; Chen, T.; Jin, L.; Qu, L.; Wang, J.; Li, Y.; Cheng, J.; Xu, Z.; Wang, C.; Gao, S. Analysis of TCIRG1 gene mutation in a Chinese family affected with infantile malignant osteopetrosis. Zhonghua Yi Xue Yi Chuan Xue Za Zhi 2017, 34, 377–381. (In Chinese) [Google Scholar] [CrossRef] [PubMed]
- Temtamy, S.A.; Loutfi, A.H. Some genetic and surgical aspects of the cleft lip-cleft palate problem in Egypt. Cleft Palate J. 1970, 7, 578–594. [Google Scholar] [PubMed]
- Ocal, G.; Berberoğlu, M.; Adiyaman, P.; Cetinkaya, E.; Ekim, M.; Aycan, Z.; Evliyaoğlu, O. Osteopetrosis, renal tubular acidosis without urinary concentration abnormality, cerebral calcification and severe mental retardation in three Turkish brothers. J. Pediatr. Endocrinol. Metab. 2001, 14, 1671–1677. [Google Scholar] [CrossRef]
- Bhati, P.; Goyal, P.C. A Rare Case of Osteopetrosis with Unusual Feature as Microcephaly. J. Clin. Diagn. Res. 2017, 11, SJ01–SJ02. [Google Scholar] [CrossRef]
- Shah, A.M.; Boby, K.F.; Karande, S.C.; Lahiri, K.R.; Jain, M.K. Three sibs with mild variety of osteopetrosis. J. Postgrad. Med. 1996, 42, 123–125. [Google Scholar] [PubMed]
- Li, J.; Liu, Y.; Kim, T.H.; Min, R.; Zhang, Z. Gene expression variability within and between human populations and implications toward disease susceptibility. PLoS Comput. Biol. 2010, 6, e1000910. [Google Scholar] [CrossRef]
- Koehne, T.; Marshall, R.P.; Jeschke, A.; Kahl-Nieke, B.; Schinke, T.; Amling, M. Osteopetrosis, osteopetrorickets and hypophosphatemic rickets differentially affect dentin and enamel mineralization. Bone 2013, 53, 25–33. [Google Scholar] [CrossRef]
- Nishi, T.; Forgac, M. The vacuolar (H+)-ATPases--nature’s most versatile proton pumps. Nat. Rev. Mol. Cell Biol. 2002, 3, 94–103. [Google Scholar] [CrossRef] [PubMed]
- Susani, L.; Pangrazio, A.; Sobacchi, C.; Taranta, A.; Mortier, G.; Savarirayan, R.; Villa, A.; Orchard, P.; Vezzoni, P.; Albertini, A.; et al. TCIRG1-dependent recessive osteopetrosis: Mutation analysis, functional identification of the splicing defects, and in vitro rescue by U1 snRNA. Hum. Mutat. 2004, 24, 225–235. [Google Scholar] [CrossRef]
- Cao, W.; Wei, W.; Wu, Q. Ophthalmic phenotype of TCIRG1 gene mutations in Chinese infantile malignant osteopetrosis. BMJ Open Ophthalmol. 2018, 3, e000180. [Google Scholar] [CrossRef]
- Makaryan, V.; Rosenthal, E.A.; Bolyard, A.A.; Kelley, M.L.; Below, J.E.; Bamshad, M.J.; Bofferding, K.M.; Smith, J.D.; Buckingham, K.; Boxer, L.A.; et al. TCIRG1-associated congenital neutropenia. Hum. Mutat. 2014, 35, 824–827. [Google Scholar] [CrossRef] [PubMed]
- Ochotny, N.; Voronov, I.; Owen, C.; Aubin, J.E.; Manolson, M.F. The R740S mutation in the V-ATPase a3 subunit results in osteoclast apoptosis and defective early-stage autophagy. J. Cell. Biochem. 2013, 114, 2823–2833. [Google Scholar] [CrossRef] [PubMed]






| Number of Patients | Percentage | |
|---|---|---|
| Frontal bossing | 16 | 100% |
| Short stature | 13 | 81% |
| Macrocephaly | 13 | 81% |
| Microcephaly | 3 | 19% |
| History of fractures | 15 | 94% |
| Anemia | 12 | 75% |
| Hepato-splenomegaly | 9 | 56% |
| Neurological deficit | 8 | 50% |
| Cardiac effects | 2 | 12.5% |
| Renal effects | 1 | 6% |
| Patient Number | Nucleotide Change | Amino Acid Change | Location | Domain | Mutation Type | Status | References |
|---|---|---|---|---|---|---|---|
| ARO1 | c.117+1G>A c.2324C>G | IVS2+1G>A p.Pro775Arg | Int2 Ex19 | PD | Splice Missense | Heterozygous Heterozygous | [24,25] |
| ARO2 | c.117+4A>T | p.V26_D39del | Int2 | PD | Splice | Homozygous | [15] |
| ARO3 | c.117+4A>T | IVS2+4A>T | Int2 | PD | Splice | Homozygous | [15,26] |
| ARO4 # F. M. | c.166C>T c.166C>T | p.R56W p.R56W | Ex3 Ex3 | CS | Missense Missense | Heterozygous Heterozygous Sib presumably homo | This study |
| ARO5 | c.713+2T>C | IVS7+2T>C | Int7 | - | Splice | Heterozygous Unch. | This study |
| ARO6 | c.883C>T | Glu295 * | Ex9 | CS | Stop codon | Homozygous | [27] |
| ARO7 | c.2206C>T c.2324C>G | p.Arg736Cys p.Pro775Arg | Ex18 Ex19 | TM7 | Missense Missense | Heterozygous Heterozygous | [5,24,25,28] |
| ARO8a * ARO8b * | c.2324C>G c.2324C>G | p.Pro775Arg p.Pro775Arg | Ex19 Ex19 | TM8 | Missense Missense | Homozygous Homozygous | [24,25] |
| ARO9 | c.2324C>G | p.Pro775Arg | Ex19 | TM8 | Missense | Homozygous | [24,25] |
| ARO10 | c.2324C>G | p.Pro775Arg | Ex19 | TM8 | Missense | Homozygous | [24,25] |
| ARO11 # F. M. | c.2324C>G c.2324C>G | p.Pro775Arg p.Pro775Arg | Ex19 Ex19 | TM8 | Missense Missense | Heterozygous Heterozygous Sib presumably homo | [24,25] |
| ARO12 # F. M. | c.2324C>G c.2324C>G | p.Pro775Arg p.Pro775Arg | Ex19 Ex19 | TM8 | Missense Missense | Heterozygous Heterozygous Sib presumably homo | [24,25] |
| ARO13 | c.480dupG | p.Pro161Alafs*66 | Ex5 | DD | Frameshift | Homozygous | [29] |
| ARO14 # F. M. | c.1020+2T-C c.1020+2T-C | IVS9+2T>C IVS9+2T>C | Int9 Int9 | - - | Splice Splice | Heterozygous Heterozygous | [30] |
| ARO15 | c.1021-9G>A | IVS10-9G>A | Int9 | - | Splice | Homozygous | This Study |
| ARO16 | c.1372G>A | p.Gly458Ser | Ex12 | TM3 | missense | Homozygous | [30,31] |
| ARO17 | c.1392_1392delC | p.Phe465Serfs*63 | Ex12 | LL1 | Frameshift | Homozygous | This study |
| ARO18 # F. M. | c.1958T>G c.1958T>G | p.L653R p.L653R | Ex16 Ex16 | TM6 | Missense Missense | Heterozygous Heterozygous Sib presumably homo | This study |
| ARO19 | c.2013+2T>G | IVS16+2T>G | Int16 | - | Splice | Heterozygous Unch. | This study |
| ARO20 | c.2013+2T>G c.2206C>T | IVS16+2T>G p.R736C | Int16 Ex18 | - TM7q | Splice missense | Heterozygous Heterozygous | This study [28] |
| Mutation | PhD-SNP | PROVEAN | SNPs&GO | REVEL | SIFT | PolyPhen-2 | Mutation Taster | MutPred | gnomAD Exome Frequencies |
|---|---|---|---|---|---|---|---|---|---|
| p.(R56W) | Disease (RI = 6) | Deleterious (−5.413) | Pathogenic (0.67) | Damaging (0) | Probably damaging (0.999) | Disease causing | Deleterious (0.591) Altered coiled coil (0.87; 0.0015) Loss of helix (0.28; 0.02) | ƒ = 0.0462 | |
| p.(L653R) | Disease (RI = 6) | Deleterious (−4.891) | Disease (RI = 2) | Pathogenic (0.8259) | Damaging (0.002) | Probably damaging (0.999) | Disease causing | Deleterious (0.581) Altered disordered interface (0.39; 0.0039) Gain of intrinsic disorder (0.35; 0.02) | Variant not found |
Disclaimer/Publisher’s Note: The statements, opinions and data contained in all publications are solely those of the individual author(s) and contributor(s) and not of MDPI and/or the editor(s). MDPI and/or the editor(s) disclaim responsibility for any injury to people or property resulting from any ideas, methods, instructions or products referred to in the content. |
© 2023 by the authors. Licensee MDPI, Basel, Switzerland. This article is an open access article distributed under the terms and conditions of the Creative Commons Attribution (CC BY) license (https://creativecommons.org/licenses/by/4.0/).
Share and Cite
El-Kamah, G.Y.; Mehrez, M.I.; Taher, M.B.; El-Bassyouni, H.T.; Gaber, K.R.; Amr, K.S. Outlining the Clinical Profile of TCIRG1 14 Variants including 5 Novels with Overview of ARO Phenotype and Ethnic Impact in 20 Egyptian Families. Genes 2023, 14, 900. https://doi.org/10.3390/genes14040900
El-Kamah GY, Mehrez MI, Taher MB, El-Bassyouni HT, Gaber KR, Amr KS. Outlining the Clinical Profile of TCIRG1 14 Variants including 5 Novels with Overview of ARO Phenotype and Ethnic Impact in 20 Egyptian Families. Genes. 2023; 14(4):900. https://doi.org/10.3390/genes14040900
Chicago/Turabian StyleEl-Kamah, Ghada Y., Mennat I. Mehrez, Mohamed B. Taher, Hala T. El-Bassyouni, Khaled R. Gaber, and Khalda S. Amr. 2023. "Outlining the Clinical Profile of TCIRG1 14 Variants including 5 Novels with Overview of ARO Phenotype and Ethnic Impact in 20 Egyptian Families" Genes 14, no. 4: 900. https://doi.org/10.3390/genes14040900
APA StyleEl-Kamah, G. Y., Mehrez, M. I., Taher, M. B., El-Bassyouni, H. T., Gaber, K. R., & Amr, K. S. (2023). Outlining the Clinical Profile of TCIRG1 14 Variants including 5 Novels with Overview of ARO Phenotype and Ethnic Impact in 20 Egyptian Families. Genes, 14(4), 900. https://doi.org/10.3390/genes14040900

