The Baron Pasquale Revoltella’s Will in the Forensic Genetics Era
Abstract
1. Introduction
2. Materials and Methods
2.1. Sample Collection and Precautions to Avoid Contaminations
2.2. DNA Extraction and Quantification
2.3. DNA Typing
2.3.1. STR-Y Typing by PCR-CE
2.3.2. Autosomal STR Typing by PCR-CE
2.3.3. iSNP Typing by PCR-MPS
2.3.4. mtDNA Analysis
2.4. Histological Examination
2.5. Data Analysis
3. Results
3.1. DNA Isolation and Quantification
| Donor | Specimen | Sample # | Year | S.A.T. (ng/µL) | L.A.T. (ng/µL) | D.I. | mt (113 bp) | mt (287 bp) | 
|---|---|---|---|---|---|---|---|---|
| Baron | Patella (trabecular) | P1 | 2012 | 0.2861 | 0.1582 | 1.8 | 349,685 | 20,105 | 
| P2 | 2022 | n.p. | n.p. | / | 2060 | <LOD | ||
| D.P.R. | Right femur (trabecular) | RF1 | 2012 | <LOD | <LOD | n-c | n.p. | n.p. | 
| Right femur (compact) | RF2 | 2022 | 0.0074 | 0.0006 | 11.6 | n.p. | n.p. | |
| Left femur (trabecular) | LF1 | 2012 | 0.0042 | <LOD | n-c | n.p. | n.p. | |
| Left femur (compact) | LF2 | 2022 | 0.0111 | 0.0011 | 10.3 | 20,441 | <LOD | 
3.2. DNA Typing
| Sample | Y-Specific STRs | Autosomal STRs | Mitochondrial Control Region | |||
|---|---|---|---|---|---|---|
| CE | MPS | CE | MPS | CE | MPS | |
| P1 | + | + | + | + | + | + | 
| P2 | n.p. | n.p. | n.p. | n.p. | n.p. | + | 
| RF1 | / | / | n.p. | - | n.p. | n.p. | 
| RF2 | / | / | + | + | + | n.p. | 
| LF1 | / | / | n.p. | - | n.p. | n.p. | 
| LF2 | / | / | + | + | n.p. | + | 
3.2.1. Y-STR Typing by PCR-CE
3.2.2. Autosomal STR Typing by PCR-CE
3.2.3. iSNP Typing by PCR-MPS
3.2.4. mtDNA Typing
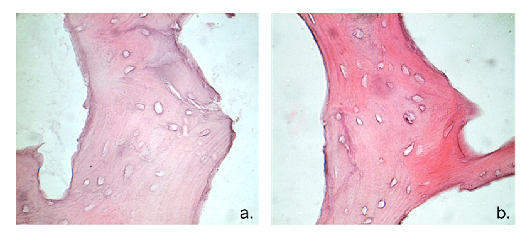
3.3. Histological Examination
4. Discussion
5. Conclusions
Supplementary Materials
Author Contributions
Funding
Institutional Review Board Statement
Informed Consent Statement
Data Availability Statement
Acknowledgments
Conflicts of Interest
Appendix A
Appendix B





References
- Hagelberg, E.; Hofreiter, M.; Keyser, C. Introduction. Ancient DNA: The First Three Decades. Philos. Trans. R. Soc. Lond. B Biol. Sci. 2015, 370, 20130371. [Google Scholar] [CrossRef] [PubMed]
- Orlando, L.; Allaby, R.; Skoglund, P.; Der Sarkissian, C.; Stockhammer, P.W.; Ávila-Arcos, M.C.; Fu, Q.; Krause, J.; Willerslev, E.; Stone, A.C.; et al. Ancient DNA Analysis. Nat. Rev. Methods Primer 2021, 1, 14. [Google Scholar] [CrossRef]
- McCord, B.R.; Gauthier, Q.; Cho, S.; Roig, M.N.; Gibson-Daw, G.C.; Young, B.; Taglia, F.; Zapico, S.C.; Mariot, R.F.; Lee, S.B.; et al. Forensic DNA Analysis. Anal. Chem. 2019, 91, 673–688. [Google Scholar] [CrossRef]
- Finaughty, C.; Heathfield, L.J.; Kemp, V.; Márquez-Grant, N. Forensic DNA Extraction Methods for Human Hard Tissue: A Systematic Literature Review and Meta-Analysis of Technologies and Sample Type. Forensic Sci. Int. Genet. 2023, 63, 102818. [Google Scholar] [CrossRef]
- Butler, J.M. Recent Advances in Forensic Biology and Forensic DNA Typing: INTERPOL Review 2019-2022. Forensic Sci. Int. Synerg. 2023, 6, 100311. [Google Scholar] [CrossRef] [PubMed]
- Butler, J.M.; Coble, M.D.; Vallone, P.M. STRs vs. SNPs: Thoughts on the Future of Forensic DNA Testing. Forensic Sci. Med. Pathol. 2007, 3, 200–205. [Google Scholar] [CrossRef]
- Sobrino, B.; Brión, M.; Carracedo, A. SNPs in Forensic Genetics: A Review on SNP Typing Methodologies. Forensic Sci. Int. 2005, 154, 181–194. [Google Scholar] [CrossRef]
- Alaeddini, R.; Walsh, S.J.; Abbas, A. Forensic Implications of Genetic Analyses from Degraded DNA—A Review. Forensic Sci. Int. Genet. 2010, 4, 148–157. [Google Scholar] [CrossRef]
- Buckleton, J.S.; Krawczak, M.; Weir, B.S. The Interpretation of Lineage Markers in Forensic DNA Testing. Forensic Sci. Int. Genet. 2011, 5, 78–83. [Google Scholar] [CrossRef]
- Børsting, C.; Morling, N. Next Generation Sequencing and Its Applications in Forensic Genetics. Forensic Sci. Int. Genet. 2015, 18, 78–89. [Google Scholar] [CrossRef]
- Bruijns, B.; Tiggelaar, R.; Gardeniers, H. Massively Parallel Sequencing Techniques for Forensics: A Review. Electrophoresis 2018, 39, 2642–2654. [Google Scholar] [CrossRef]
- Ballard, D.; Winkler-Galicki, J.; Wesoły, J. Massive Parallel Sequencing in Forensics: Advantages, Issues, Technicalities, and Prospects. Int. J. Leg. Med. 2020, 134, 1291–1303. [Google Scholar] [CrossRef] [PubMed]
- Hofreiter, M.; Sneberger, J.; Pospisek, M.; Vanek, D. Progress in Forensic Bone DNA Analysis: Lessons Learned from Ancient DNA. Forensic Sci. Int. Genet. 2021, 54, 102538. [Google Scholar] [CrossRef] [PubMed]
- Capelli, C.; Tschentscher, F.; Pascali, V.L. “Ancient” Protocols for the Crime Scene? Similarities and Differences between Forensic Genetics and Ancient DNA Analysis. Forensic Sci. Int. 2003, 131, 59–64. [Google Scholar] [CrossRef]
- Poinar, H.N. The Top 10 List: Criteria of Authenticity for DNA from Ancient and Forensic Samples. Int. Congr. Ser. 2003, 1239, 575–579. [Google Scholar] [CrossRef]
- Pääbo, S.; Poinar, H.; Serre, D.; Jaenicke-Despres, V.; Hebler, J.; Rohland, N.; Kuch, M.; Krause, J.; Vigilant, L.; Hofreiter, M. Genetic Analyses from Ancient DNA. Annu. Rev. Genet. 2004, 38, 645–679. [Google Scholar] [CrossRef] [PubMed]
- Rohland, N.; Hofreiter, M. Ancient DNA Extraction from Bones and Teeth. Nat. Protoc. 2007, 2, 1756–1762. [Google Scholar] [CrossRef] [PubMed]
- Llamas, B.; Valverde, G.; Fehren-Schmitz, L.; Weyrich, L.; Cooper, A.; Haak, W. From the Field to the Laboratory: Controlling DNA Contamination in Human Ancient DNA Research in the High-Throughput Sequencing Era. STAR Sci. Technol. Archaeol. Res. 2017, 3, 1–14. [Google Scholar] [CrossRef]
- Dabney, J.; Meyer, M.; Pääbo, S. Ancient DNA Damage. Cold Spring Harb. Perspect. Biol. 2013, 5, a012567. [Google Scholar] [CrossRef]
- Peyrégne, S.; Prüfer, K. Present-Day DNA Contamination in Ancient DNA Datasets. BioEssays News Rev. Mol. Cell. Dev. Biol. 2020, 42, e2000081. [Google Scholar] [CrossRef]
- Holland, M.M.; Cave, C.A.; Holland, C.A.; Bille, T.W. Development of a Quality, High Throughput DNA Analysis Procedure for Skeletal Samples to Assist with the Identification of Victims from the World Trade Center Attacks. Croat. Med. J. 2003, 44, 264–272. [Google Scholar]
- Andelinović, S.; Sutlović, D.; Erceg Ivkosić, I.; Skaro, V.; Ivkosić, A.; Paić, F.; Rezić, B.; Definis-Gojanović, M.; Primorac, D. Twelve-Year Experience in Identification of Skeletal Remains from Mass Graves. Croat. Med. J. 2005, 46, 530–539. [Google Scholar] [PubMed]
- Lin, C.Y.; Huang, T.Y.; Shih, H.C.; Yuan, C.H.; Chen, L.J.; Tsai, H.S.; Pan, C.H.; Chiang, H.M.; Liu, H.L.; Su, W.C.; et al. The Strategies to DVI Challenges in Typhoon Morakot. Int. J. Legal Med. 2011, 125, 637–641. [Google Scholar] [CrossRef] [PubMed]
- Guidelines for Mass Fatality DNA Identification Operations. Available online: https://www.aabb.org/about-aabb/organization/disaster-response/guidelines-for-mass-fatality-dna-identification-operations (accessed on 28 February 2023).
- Prinz, M.; Carracedo, A.; Mayr, W.R.; Morling, N.; Parsons, T.J.; Sajantila, A.; Scheithauer, R.; Schmitter, H.; Schneider, P.M. International Society for Forensic Genetics DNA Commission of the International Society for Forensic Genetics (ISFG): Recommendations Regarding the Role of Forensic Genetics for Disaster Victim Identification (DVI). Forensic Sci. Int. Genet. 2007, 1, 3–12. [Google Scholar] [CrossRef] [PubMed]
- Parsons, T.J.; Huel, R.M.L.; Bajunović, Z.; Rizvić, A. Large Scale DNA Identification: The ICMP Experience. Forensic Sci. Int. Genet. 2019, 38, 236–244. [Google Scholar] [CrossRef]
- Emmons, A.L.; Davoren, J.; DeBruyn, J.M.; Mundorff, A.Z. Inter and Intra-Individual Variation in Skeletal DNA Preservation in Buried Remains. Forensic Sci. Int. Genet. 2020, 44, 102193. [Google Scholar] [CrossRef]
- Antinick, T.C.; Foran, D.R. Intra- and Inter-Element Variability in Mitochondrial and Nuclear DNA from Fresh and Environmentally Exposed Skeletal Remains. J. Forensic Sci. 2019, 64, 88–97. [Google Scholar] [CrossRef] [PubMed]
- Pinhasi, R.; Fernandes, D.; Sirak, K.; Novak, M.; Connell, S.; Alpaslan-Roodenberg, S.; Gerritsen, F.; Moiseyev, V.; Gromov, A.; Raczky, P.; et al. Optimal Ancient DNA Yields from the Inner Ear Part of the Human Petrous Bone. PLoS ONE 2015, 10, e0129102. [Google Scholar] [CrossRef]
- Pilli, E.; Vai, S.; Caruso, M.G.; D’Errico, G.; Berti, A.; Caramelli, D. Neither Femur nor Tooth: Petrous Bone for Identifying Archaeological Bone Samples via Forensic Approach. Forensic Sci. Int. 2018, 283, 144–149. [Google Scholar] [CrossRef] [PubMed]
- Misner, L.M.; Halvorson, A.C.; Dreier, J.L.; Ubelaker, D.H.; Foran, D.R. The Correlation between Skeletal Weathering and DNA Quality and Quantity. J. Forensic Sci. 2009, 54, 822–828. [Google Scholar] [CrossRef]
- Gonzalez, A.; Cannet, C.; Zvénigorosky, V.; Geraut, A.; Koch, G.; Delabarde, T.; Ludes, B.; Raul, J.-S.; Keyser, C. The Petrous Bone: Ideal Substrate in Legal Medicine? Forensic Sci. Int. Genet. 2020, 47, 102305. [Google Scholar] [CrossRef] [PubMed]
- Gaudio, D.; Fernandes, D.M.; Schmidt, R.; Cheronet, O.; Mazzarelli, D.; Mattia, M.; O’Keeffe, T.; Feeney, R.N.M.; Cattaneo, C.; Pinhasi, R. Genome-Wide DNA from Degraded Petrous Bones and the Assessment of Sex and Probable Geographic Origins of Forensic Cases. Sci. Rep. 2019, 9, 8226. [Google Scholar] [CrossRef]
- Kulstein, G.; Hadrys, T.; Wiegand, P. As Solid as a Rock-Comparison of CE- and MPS-Based Analyses of the Petrosal Bone as a Source of DNA for Forensic Identification of Challenging Cranial Bones. Int. J. Legal Med. 2018, 132, 13–24. [Google Scholar] [CrossRef]
- Sirak, K.A.; Fernandes, D.M.; Cheronet, O.; Novak, M.; Gamarra, B.; Balassa, T.; Bernert, Z.; Cséki, A.; Dani, J.; Gallina, J.Z.; et al. A Minimally-Invasive Method for Sampling Human Petrous Bones from the Cranial Base for Ancient DNA Analysis. BioTechniques 2017, 62, 283–289. [Google Scholar] [CrossRef] [PubMed]
- Zupanič Pajnič, I.; Inkret, J.; Zupanc, T.; Podovšovnik, E. Comparison of Nuclear DNA Yield and STR Typing Success in Second World War Petrous Bones and Metacarpals III. Forensic Sci. Int. Genet. 2021, 55, 102578. [Google Scholar] [CrossRef]
- Benedik Bevc, T.; Božič, L.; Podovšovnik, E.; Zupanc, T.; Zupanič Pajnič, I. Intra-Bone Nuclear DNA Variability and STR Typing Success in Second World War 12th Thoracic Vertebrae. Forensic Sci. Int. Genet. 2021, 55, 102587. [Google Scholar] [CrossRef] [PubMed]
- Bogdanowicz, W.; Allen, M.; Branicki, W.; Lembring, M.; Gajewska, M.; Kupiec, T. Genetic Identification of Putative Remains of the Famous Astronomer Nicolaus Copernicus. Proc. Natl. Acad. Sci. USA 2009, 106, 12279–12282. [Google Scholar] [CrossRef] [PubMed]
- King, T.E.; Fortes, G.G.; Balaresque, P.; Thomas, M.G.; Balding, D.; Maisano Delser, P.; Neumann, R.; Parson, W.; Knapp, M.; Walsh, S.; et al. Identification of the Remains of King Richard III. Nat. Commun. 2014, 5, 5631. [Google Scholar] [CrossRef]
- Haeusler, M.; Haas, C.; Lösch, S.; Moghaddam, N.; Villa, I.M.; Walsh, S.; Kayser, M.; Seiler, R.; Ruehli, F.; Janosa, M.; et al. Multidisciplinary Identification of the Controversial Freedom Fighter Jörg Jenatsch, Assassinated 1639 in Chur, Switzerland. PLoS ONE 2016, 11, e0168014. [Google Scholar] [CrossRef]
- Peltzer, A.; Mittnik, A.; Wang, C.-C.; Begg, T.; Posth, C.; Nieselt, K.; Krause, J. Inferring Genetic Origins and Phenotypic Traits of George Bähr, the Architect of the Dresden Frauenkirche. Sci. Rep. 2018, 8, 2115. [Google Scholar] [CrossRef]
- Baeta, M.; Núñez, C.; Cardoso, S.; Palencia-Madrid, L.; Herrasti, L.; Etxeberria, F.; de Pancorbo, M.M. Digging up the Recent Spanish Memory: Genetic Identification of Human Remains from Mass Graves of the Spanish Civil War and Posterior Dictatorship. Forensic Sci. Int. Genet. 2015, 19, 272–279. [Google Scholar] [CrossRef] [PubMed]
- Zupanič Pajnič, I.; Zupanc, T.; Leskovar, T.; Črešnar, M.; Fattorini, P. Eye and Hair Color Prediction of Ancient and Second World War Skeletal Remains Using a Forensic PCR-MPS Approach. Genes 2022, 13, 1432. [Google Scholar] [CrossRef] [PubMed]
- Draus-Barini, J.; Walsh, S.; Pośpiech, E.; Kupiec, T.; Głąb, H.; Branicki, W.; Kayser, M. Bona Fide Colour: DNA Prediction of Human Eye and Hair Colour from Ancient and Contemporary Skeletal Remains. Investig. Genet. 2013, 4, 3. [Google Scholar] [CrossRef]
- Schmidt, N.; Schücker, K.; Krause, I.; Dörk, T.; Klintschar, M.; Hummel, S. Genome-Wide SNP Typing of Ancient DNA: Determination of Hair and Eye Color of Bronze Age Humans from Their Skeletal Remains. Am. J. Phys. Anthropol. 2020, 172, 99–109. [Google Scholar] [CrossRef] [PubMed]
- Palencia-Madrid, L.; Xavier, C.; de la Puente, M.; Hohoff, C.; Phillips, C.; Kayser, M.; Parson, W. Evaluation of the VISAGE Basic Tool for Appearance and Ancestry Prediction Using PowerSeq Chemistry on the MiSeq FGx System. Genes 2020, 11, 708. [Google Scholar] [CrossRef]
- Pajnič, I.Z. Extraction of DNA from Human Skeletal Material. Methods Mol. Biol. Clifton NJ 2016, 1420, 89–108. [Google Scholar] [CrossRef]
- Sorçaburu Ciglieri, S.; Edalucci, E.; Fattorini, P. DNA Extraction from Blood and Forensic Samples. In Guidelines for Molecular Analysis in Archive Tissues; Stanta, G., Ed.; Springer-Verlag: Heidelberg, Germany, 2011; pp. 45–54. ISBN 978-3-642-17889-4. [Google Scholar]
- Alonso, A.; Martín, P.; Albarrán, C.; García, P.; García, O.; de Simón, L.F.; García-Hirschfeld, J.; Sancho, M.; de La Rúa, C.; Fernández-Piqueras, J. Real-Time PCR Designs to Estimate Nuclear and Mitochondrial DNA Copy Number in Forensic and Ancient DNA Studies. Forensic Sci. Int. 2004, 139, 141–149. [Google Scholar] [CrossRef]
- Turchi, C.; Previderè, C.; Bini, C.; Carnevali, E.; Grignani, P.; Manfredi, A.; Melchionda, F.; Onofri, V.; Pelotti, S.; Robino, C.; et al. Assessment of the Precision ID Identity Panel Kit on Challenging Forensic Samples. Forensic Sci. Int. Genet. 2020, 49, 102400. [Google Scholar] [CrossRef]
- ThermoFisher Scientific. Precision ID SNP Panels with the HID Ion S5TM/HID Ion GeneStudioTM S5 System; Thermo Fisher Scientific: Waltham, MA, USA, 2019; Volume MAN0017767. [Google Scholar]
- Ginther, C.; Issel-Tarver, L.; King, M.C. Identifying Individuals by Sequencing Mitochondrial DNA from Teeth. Nat. Genet. 1992, 2, 135–138. [Google Scholar] [CrossRef]
- Andrews, R.M.; Kubacka, I.; Chinnery, P.F.; Lightowlers, R.N.; Turnbull, D.M.; Howell, N. Reanalysis and Revision of the Cambridge Reference Sequence for Human Mitochondrial DNA. Nat. Genet. 1999, 23, 147. [Google Scholar] [CrossRef]
- Parson, W.; Dür, A. EMPOP--a Forensic MtDNA Database. Forensic Sci. Int. Genet. 2007, 1, 88–92. [Google Scholar] [CrossRef]
- Parson, W.; Gusmão, L.; Hares, D.R.; Irwin, J.A.; Mayr, W.R.; Morling, N.; Pokorak, E.; Prinz, M.; Salas, A.; Schneider, P.M.; et al. DNA Commission of the International Society for Forensic Genetics: Revised and Extended Guidelines for Mitochondrial DNA Typing. Forensic Sci. Int. Genet. 2014, 13, 134–142. [Google Scholar] [CrossRef]
- Thermo Fisher Scientific. Precision ID MtDNA Panels with the HID Ion S5TM/HID Ion GeneStudioTM S5 System, Revision C.0; Thermo Fisher Scientific: Waltham, MA, USA, 2021.
- Hedges, R.E.M.; Millard, A.R.; Pike, A.W.G. Measurements and Relationships of Diagenetic Alteration of Bone from Three Archaeological Sites. J. Archaeol. Sci. 1995, 22, 201–209. [Google Scholar] [CrossRef]
- Bertoglio, B.; Messina, C.; Cappella, A.; Maderna, E.; Mazzarelli, D.; Lucheschi, S.; Sardanelli, F.; Sconfienza, L.M.; Sforza, C.; Cattaneo, C. Bone Tissue Preservation in Seawater Environment: A Preliminary Comparative Analysis of Bones with Different Post-Mortem Histories through Anthropological and Radiological Perspectives. Int. J. Leg. Med. 2021, 135, 2581–2594. [Google Scholar] [CrossRef] [PubMed]
- Taberlet, P.; Griffin, S.; Goossens, B.; Questiau, S.; Manceau, V.; Escaravage, N.; Waits, L.P.; Bouvet, J. Reliable Genotyping of Samples with Very Low DNA Quantities Using PCR. Nucleic Acids Res. 1996, 24, 3189–3194. [Google Scholar] [CrossRef]
- Presciuttini, S.; Cerri, N.; Turrina, S.; Pennato, B.; Alù, M.; Asmundo, A.; Barbaro, A.; Boschi, I.; Buscemi, L.; Caenazzo, L.; et al. Validation of a Large Italian Database of 15 STR Loci. Forensic Sci. Int. 2006, 156, 266–268. [Google Scholar] [CrossRef]
- Milos, A.; Selmanović, A.; Smajlović, L.; Huel, R.L.; Katzmarzyk, C.; Rizvić, A.; Parsons, T.J. Success rates of nuclear short tandem repeat typing from different skeletal elements. Croat. Med. J. 2007, 48, 486–493. [Google Scholar]
- Corrêa, H.; Cortellini, V.; Franceschetti, L.; Verzeletti, A. Large fragment demineralization: An alternative pretreatment for forensic DNA typing of bones. Int. J. Legal. Med. 2021, 135, 1417–1424. [Google Scholar] [CrossRef] [PubMed]
- Xavier, C.; Eduardoff, M.; Bertoglio, B.; Amory, C.; Berger, C.; Casas-Vargas, A.; Pallua, J.; Parson, W. Evaluation of DNA Extraction Methods Developed for Forensic and Ancient DNA Applications Using Bone Samples of Different Age. Genes 2021, 12, 146. [Google Scholar] [CrossRef] [PubMed]
- Bertolini, E.; Grignani, P.; Bertoglio, B.; Marrubini, G.; Mazzarelli, D.; Lucheschi, S.; Bosetti, A.; Fattorini, P.; Cattaneo, C.; Previderé, C. Dead migrants in the Mediterranean: Genetic analysis of bone samples exposed to seawater. Forensic Sci. Int. 2022, 340, 111421. [Google Scholar] [CrossRef] [PubMed]
- Fattorini, P.; Marrubini, G.; Ricci, U.; Gerin, F.; Grignani, P.; Cigliero, S.S.; Xamin, A.; Edalucci, E.; La Marca, G.; Previderé, C. Estimating the Integrity of Aged DNA Samples by CE. Electrophoresis 2009, 30, 3986–3995. [Google Scholar] [CrossRef] [PubMed]
- Chung, W.-J.; Cui, Y.; Chen, C.-S.; Wei, W.H.; Chang, R.-S.; Shu, W.-Y.; Hsu, I.C. Freezing Shortens the Lifetime of DNA Molecules under Tension. J. Biol. Phys. 2017, 43, 511–524. [Google Scholar] [CrossRef] [PubMed]
- Masau Dan, M. Pasquale Revoltella, 1795–1869: Sogno e Consapevolezza del Cosmopolitismo Triestino, Catalogo della Mostra a Cura di (Trieste, Civico Museo Revoltella); Arti Grafiche Friulane: Tavagnacco, Italy, 1996; pp. 11–266. [Google Scholar]
- Cervani, G. Il “Voyage en Egypte” 1861–1862 di Pasquale Revoltella; ALUT: Trieste, Italy, 1962; pp. 70–88, 277–282. [Google Scholar]


| Disclaimer/Publisher’s Note: The statements, opinions and data contained in all publications are solely those of the individual author(s) and contributor(s) and not of MDPI and/or the editor(s). MDPI and/or the editor(s) disclaim responsibility for any injury to people or property resulting from any ideas, methods, instructions or products referred to in the content. | 
© 2023 by the authors. Licensee MDPI, Basel, Switzerland. This article is an open access article distributed under the terms and conditions of the Creative Commons Attribution (CC BY) license (https://creativecommons.org/licenses/by/4.0/).
Share and Cite
Fattorini, P.; Previderè, C.; Bonin, S.; Sorçaburu Ciglieri, S.; Grignani, P.; Pitacco, P.; Concato, M.; Bertoglio, B.; Zupanič Pajnič, I. The Baron Pasquale Revoltella’s Will in the Forensic Genetics Era. Genes 2023, 14, 851. https://doi.org/10.3390/genes14040851
Fattorini P, Previderè C, Bonin S, Sorçaburu Ciglieri S, Grignani P, Pitacco P, Concato M, Bertoglio B, Zupanič Pajnič I. The Baron Pasquale Revoltella’s Will in the Forensic Genetics Era. Genes. 2023; 14(4):851. https://doi.org/10.3390/genes14040851
Chicago/Turabian StyleFattorini, Paolo, Carlo Previderè, Serena Bonin, Solange Sorçaburu Ciglieri, Pierangela Grignani, Paola Pitacco, Monica Concato, Barbara Bertoglio, and Irena Zupanič Pajnič. 2023. "The Baron Pasquale Revoltella’s Will in the Forensic Genetics Era" Genes 14, no. 4: 851. https://doi.org/10.3390/genes14040851
APA StyleFattorini, P., Previderè, C., Bonin, S., Sorçaburu Ciglieri, S., Grignani, P., Pitacco, P., Concato, M., Bertoglio, B., & Zupanič Pajnič, I. (2023). The Baron Pasquale Revoltella’s Will in the Forensic Genetics Era. Genes, 14(4), 851. https://doi.org/10.3390/genes14040851
 
        


 
       