Histological and Microscopic Analysis of Fats in Heart, Liver Tissue, and Blood Parameters in Experimental Mice
Abstract
1. Introduction
2. Materials and Methods
2.1. Preparation of Animals for Experiments
- C-ND: Control mice on a normal diet.
- HFD-DG: Mice on a normal diet with 10% (w/w) desi ghee (dairy-derived natural fats).
- HFD-O: Mice on normal diet with 10% (w/w) vegetable/plant-based oil.
- HFD-BG: Mice on a normal diet with 10% (w/w) banaspati ghee (hydrogenated vegetable oil).
2.2. Biochemical Analysis
2.3. Histological Analysis
2.4. Microscopic Analysis
2.5. Statistical Analysis
3. Results
3.1. Types of Dietary Fat and Weight Gain in Mice
3.2. Effect of Different Dietary Fats on Blood Biochemical Parameters
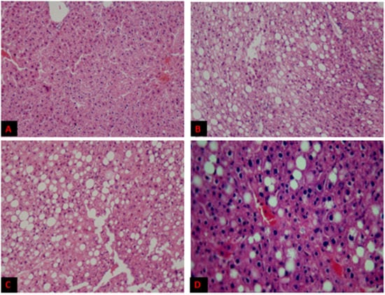
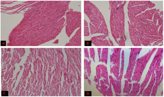
3.3. Histological Analysis
3.4. Transmission Electron Microscopy
4. Discussion
5. Conclusions
Author Contributions
Funding
Institutional Review Board Statement
Informed Consent Statement
Data Availability Statement
Acknowledgments
Conflicts of Interest
References
- Zampelas, A.; Magriplis, E. Dietary patterns and risk of cardiovascular diseases: A review of the evidence. Proc. Nutr. Soc. 2020, 79, 68–75. [Google Scholar] [CrossRef] [PubMed]
- Shen, Z.T.; Zheng, S.; Gounis, M.J.; Sigalov, A.B. Diagnostic Magnetic Resonance Imaging of Atherosclerosis in Apolipoprotein E Knockout Mouse Model Using Macrophage-Targeted Gadolinium-Containing Synthetic Lipopeptide Nanoparticles. PLoS ONE 2015, 10, e0143453. [Google Scholar] [CrossRef] [PubMed]
- Gupta, M.; Brister, S.; Verma, S. Is South Asian ethnicity an independent cardiovascular risk factor? Can. J. Cardiol. 2006, 22, 193–197. [Google Scholar] [CrossRef] [PubMed]
- World Health Organization. Global Diffusion of eHealth: Making Universal Health Coverage Achievable: Report of the Third Global Survey on eHealth; World Health Organization: Geneva, Switzerland, 2017. [Google Scholar]
- Jafar, T.H.; Jafary, F.H.; Jessani, S.; Chaturvedi, N. Heart disease epidemic in Pakistan: Women and men at equal risk. Am. Heart J. 2005, 150, 221–226. [Google Scholar] [CrossRef]
- Balarajan, R. Ethnic differences in mortality from ischaemic heart disease and cerebrovascular disease in England and Wales. Br. Med. J. 1991, 302, 560–564. [Google Scholar] [CrossRef]
- Koliaki, C.; Liatis, S.; Kokkinos, A. Obesity and cardiovascular disease: Revisiting an old relationship. Metabolism 2019, 92, 98–107. [Google Scholar] [CrossRef]
- Manson, J.E.; Willett, W.C.; Stampfer, M.J.; Colditz, G.A.; Hunter, D.J.; Hankinson, S.E.; Hennekens, C.H.; Speizer, F.E. Body weight and mortality among women. N. Engl. J. Med. 1995, 333, 677–685. [Google Scholar] [CrossRef]
- Julibert, A.; Bibiloni, M.d.M.; Bouzas, C.; Martínez-González, M.Á.; Salas-Salvadó, J.; Corella, D.; Zomeño, M.D.; Romaguera, D.; Vioque, J.; Alonso-Gómez, Á.M. Total and subtypes of dietary fat intake and its association with components of the metabolic syndrome in a mediterranean population at high cardiovascular risk. Nutrients 2019, 11, 1493. [Google Scholar] [CrossRef]
- Aguilar, E.C.; Navia-Pelaez, J.M.; Fernandes-Braga, W.; Soares, F.L.P.; Dos Santos, L.C.; Leonel, A.J.; Capettini, L.d.S.A.; de Oliveira, R.P.; de Faria, A.M.C.; Lemos, V.S. Gluten exacerbates atherosclerotic plaque formation in ApoE–/–mice with diet-induced obesity. Nutrition 2020, 10, 75–76. [Google Scholar] [CrossRef]
- Kapourchali, F.R.; Surendiran, G.; Chen, L.; Uitz, E.; Bahadori, B.; Moghadasian, M.H. Animal models of atherosclerosis. WJCC 2014, 2, 126–132. [Google Scholar] [CrossRef]
- Frostegård, J. Immunity, atherosclerosis and cardiovascular disease. BMC Med. 2013, 11, 117–121. [Google Scholar] [CrossRef]
- Onal, G.; Kutlu, O.; Gozuacik, D.; Dokmeci Emre, S. Lipid Droplets in Health and Disease. Lipids Health Dis. 2017, 16, 128. [Google Scholar] [CrossRef]
- Adams, L.A.; Anstee, Q.M.; Tilg, H.; Targher, G. Non-alcoholic fatty liver disease and its relationship with cardiovascular disease and other extrahepatic diseases. Gut 2017, 66, 1138–1153. [Google Scholar] [CrossRef]
- Preusch, M.R.; Rusnak, J.; Staudacher, K.; Mogler, C.; Uhlmann, L.; Sievers, P.; Bea, F.; Katus, H.A.; Blessing, E.; Staudacher, I. Ticagrelor promotes atherosclerotic plaque stability in a mouse model of advanced atherosclerosis. Drug Des. Dev. Ther. 2016, 10, 2691–2699. [Google Scholar] [CrossRef]
- Meletta, R.; Steier, L.; Borel, N.; Mu, L.; Keller, C.; Chiotellis, A.; Russo, E.; Halin, C.; Ametamey, S.M.; Schibli, R. CD80 is upregulated in a mouse model with shear stress-induced atherosclerosis and allows for evaluating CD80-targeting PET tracers. Mol. Img. Bio. 2017, 19, 90–99. [Google Scholar] [CrossRef]
- Sharma, H.; Zhang, X.; Dwivedi, C. The effect of ghee (clarified butter) on serum lipid levels and microsomal lipid peroxidation. Ayu 2010, 31, 134–145. [Google Scholar] [CrossRef]
- Zhang, Y.; Zhuang, P.; Wu, F.; He, W.; Mao, L.; Jia, W.; Zhang, Y.; Chen, X.; Jiao, J. Cooking oil/fat consumption and deaths from cardiometabolic diseases and other causes: Prospective analysis of 521,120 individuals. BMC Med. 2021, 19, 92–99. [Google Scholar] [CrossRef]
- Lima, R.d.S.; Block, J.M. Coconut oil: What do we really know about it so far? Food Qual. Saf. 2019, 3, 61–72. [Google Scholar] [CrossRef]
- Kabagambe, E.K.; Baylin, A.; Ascherio, A.; Campos, H. The type of oil used for cooking is associated with the risk of nonfatal acute myocardial infarction in Costa Rica. J. Nutr. 2005, 135, 2674–2679. [Google Scholar] [CrossRef][Green Version]
- Ng, C.-Y.; Leong, X.-F.; Masbah, N.; Adam, S.K.; Kamisah, Y.; Jaarin, K. Heated vegetable oils and cardiovascular disease risk factors. Vascl. Pharma. 2014, 61, 1–9. [Google Scholar] [CrossRef]
- Chaturvedi, P.; Moseki, P.; Mazunga, K. Effects of used sunflower oil and ghee (clarified butter) on lipid profile and anti-oxidants in S.D. rats. UBRISA 2016, 3, 78–79. [Google Scholar]
- Tahir, M.; Asif, A.; Anwaar, A.; Abdul, W.; Saeed, K.A.; Haseeb, B.H.; Asif, R. Physico-chemical and sensory evaluation of different vanaspati ghee available in Pakistan. Innov. Rom. Food Biotechnol. 2013, 12, 61–68. [Google Scholar]
- Kandhro, A.A.; Sherazi, S.; Mahesar, S.; Talpur, M.Y.; Bhutto, A.A.; Abro, K. GC-MS evaluation of fatty acid profile and lipid bioactive of partially hydrogenated cooking oil consumed in Pakistan. PJSIR 2010, 53, 316–322. [Google Scholar]
- Meena, M. Consumption pattern and fatty acid composition of ghee. Food Sci. Res. J. 2013, 4, 116–120. [Google Scholar]
- Lee, J.Y.; Sohn, K.H.; Rhee, S.H.; Hwang, D. Saturated fatty acids, but not unsaturated fatty acids, induce the expression of cyclooxygenase-2 mediated through Toll-like receptor 4. JBC 2001, 276, 16683–16689. [Google Scholar] [CrossRef]
- Ali, H.; Nawaz, H.; Saleem, M.; Nurjis, F.; Ahmed, M. Qualitative analysis of desi ghee, edible oils, and spreads using Raman spectroscopy. J. Raman Spectrosc. 2016, 47, 706–711. [Google Scholar] [CrossRef]
- Chinnadurai, K.; Kanwal, H.K.; Tyagi, A.K.; Stanton, C.; Ross, P. High conjugated linoleic acid enriched ghee (clarified butter) increases the anti-oxidant and anti-atherogenic potency in female Wistar rats. Lipids Health Dis. 2013, 12, 1–9. [Google Scholar] [CrossRef]
- Moradinazar, M.; Sahargahi, B.; Najafi, F.; Darbandi, M.; Moludi, J.; Hamzeh, B.; Pasdar, Y.; Shokouhizadeh, R.; Shakiba, E. The effect of the oil consumption pattern on atherogenic index of plasma: Evidence from a cohort study in west of Iran. Eur. PMC 2021, 24, 55–66. [Google Scholar]
- Sindhuja, S.; Prakruthi, M.; Manasa, R.; Shivananjappa, M. Health benefits of ghee (clarified butter)—A review from ayurvedic perspective. JN MHS 2020, 3, 64–72. [Google Scholar]
- Kumar, A.; Tripathi, S.; Hans, N.; Pattnaik, H.; Naik, S.N. Ghee: Its properties, importance and health benefits. J. Lipid Res. 2018, 6, 6–14. [Google Scholar]
- Yusuf, S.; Ounpuu, S. Tackling the growing epidemic of cardiovascular disease in South Asia. J. Am. Coll. Cardiol. 2001, 38, 688–689. [Google Scholar] [CrossRef]
- Bukhari, D.A.; Faheem, M.; Arshad, S.; Lone, K.P. Effect of High Dietary Consumption of Locally Available Ghee on Renal Function in Mice. Pakistan J. Zool. 2020, 52, 901. [Google Scholar] [CrossRef]
- Bornfeldt, K.E.; Tabas, I. Insulin resistance, hyperglycemia, and atherosclerosis. Cell Metab. 2011, 14, 575–585. [Google Scholar] [CrossRef]
- Hotamisligil, G.S. Inflammation and metabolic disorders. Nature 2006, 444, 860–867. [Google Scholar] [CrossRef]
- Kiss, L.Z.; Bagyura, Z.; Csobay-Novák, C.; Lux, Á.; Polgár, L.; Jermendy, Á.; Soós, P.; Szelid, Z.; Maurovich-Horvat, P.; Becker, D. Serum uric acid is independently associated with coronary calcification in an asymptomatic population. J. Cardiovasc. Transl. Res. 2019, 12, 204–210. [Google Scholar] [CrossRef]
- Gabriela, A.T.; Lorena, C.; Vasile, N.; Olimpia, P.I.; Claudia, L.C.; Dan, T.R.; Para, I.; Popovici, I.; Cheregi, C. Risk factors of subclinical atherosclerosis in obesity and overweight. JPMA 2020, 70, 840–844. [Google Scholar]
- Islam, M.; Islam, M.; Das, S.; Hossain, M. Effects of Butter on Blood Biochemistry and Histotexure of Heart in the Development of Obesity in Swiss Albino Mice. Bangl. J. Vet. Med. 2014, 12, 203–209. [Google Scholar] [CrossRef]
- Khaw, K.-T.; Sharp, S.J.; Finikarides, L.; Afzal, I.; Lentjes, M.; Luben, R.; Forouhi, N.G. Randomised trial of coconut oil, olive oil or butter on blood lipids and other cardiovascular risk factors in healthy men and women. BMJ 2018, 8, 42–55. [Google Scholar] [CrossRef]
- Minehira, K.; Gual, P. Role of lipid droplet proteins in the development of NAFLD and hepatic insulin resistance. In Non-Alcoholic Fatty Liver Disease; Valenzuela Baez, R., Ed.; IntechOpen: London, UK, 2018; pp. 55–77. [Google Scholar]
- Tana, C.; Ballestri, S.; Ricci, F.; Di Vincenzo, A.; Ticinesi, A.; Gallina, S.; Giamberardino, M.A.; Cipollone, F.; Sutton, R.; Vettor, R. Cardiovascular risk in non-alcoholic fatty liver disease: Mechanisms and therapeutic implications. Int. J. Environ. Res. Public Health 2019, 16, 3104. [Google Scholar] [CrossRef]
- Targher, G.; Day, C.P.; Bonora, E. Risk of cardiovascular disease in patients with nonalcoholic fatty liver disease. N. Engl. J. Med. 2010, 363, 1341–1350. [Google Scholar] [CrossRef]
- Kuwabara, M.; Kuwabara, R.; Hisatome, I.; Niwa, K.; Roncal-Jimenez, C.A.; Bjornstad, P.; Andres-Hernando, A.; Sato, Y.; Jensen, T.; Garcia, G. “Metabolically Healthy” obesity and hyperuricemia increase risk for hypertension and diabetes: 5-year Japanese Cohort Study. Obesity 2017, 25, 1997–2008. [Google Scholar] [CrossRef] [PubMed]
- Perseghin, G.; Lattuada, G.; De Cobelli, F.; Esposito, A.; Belloni, E.; Ntali, G.; Ragogna, F.; Canu, T.; Scifo, P.; Del Maschio, A. Increased mediastinal fat and impaired left ventricular energy metabolism in young men with newly found fatty liver. Hepatology 2008, 47, 51–58. [Google Scholar] [CrossRef]
- Bonapace, S.; Perseghin, G.; Molon, G.; Canali, G.; Bertolini, L.; Zoppini, G.; Barbieri, E.; Targher, G. Nonalcoholic fatty liver disease is associated with left ventricular diastolic dysfunction in patients with type 2 diabetes. Diabetes Care 2012, 35, 389–395. [Google Scholar] [CrossRef] [PubMed]
- Engel, S.; Tholstrup, T. Butter increased total and LDL cholesterol compared with olive oil but resulted in higher HDL cholesterol compared with a habitual diet. Am. J. Clin. Nutr. 2015, 102, 309–315. [Google Scholar] [CrossRef] [PubMed]




| Biochemical Parameters | Mouse Groups | |||
|---|---|---|---|---|
| C-ND | HFD-O | HFD-DG | HFD-BG | |
| Glucose (mg/dL) | 137 ± 3 | 178 ± 5 (↑30%) | 185 ± 3 (↑35%) | 189 ± 3 (↑38%) |
| Cholesterol (mg/dL) | 214 ± 7 | 259 ± 5 (↑21%) | 222 ± 3 (↑4%) | 262 ± 2 (↑22%) |
| Triglycerides (mg/dL) | 298 ± 7 | 315 ± 2 (↑6%) | 308 ± 6 (↑3%) | 296 ± 5 (↓1%) |
| HDL-C (mg/dL) | 40 ± 1 | 34 ± 4 (↓15%) | 37 ± 1 (↓8%) | 34 ± 3 (↓15%) |
| LDL-C (mg/dL) | 83 ± 3 | 86 ± 5 (↑4%) | 86 ± 7 (↑4%) | 92 ± 3 (↑11%) |
| ALT (U/L) | 30 ± 19 | 32 ± 15 (↑7%) | 59 ± 28 (97↑%) | 72 ± 33 (140↑%) |
| AST (U/L) | 366 ± 174 | 254 ± 183 (↓31%) | 140 ± 77 (↓62%) | 416 ± 206 (↑14%) |
| Uric Acid (mg/dL) | 4.1 ± 1 | 5.8 ± 3 (↑41%) | 6.4 ± 2 (↑56%) | 7.6 ± 3 (↑85%) |
| Creatinine (mg/dL) | 0.2 ± 0.05 | 0.3 ± 0 (↑50%) | 0.17 ± 0.09 (↓15%) | 0.2 ± 0.1 (0%) |
| Total protein (mg/dL) | 6 ± 0.81 | 6 ± 0 (0%) | 6 ± 0 (0%) | 6.3 ± 0.49 (↑5%) |
| Albumin (g/dL) | 3.25 ± 0.5 | 3 ± 0 (↓8%) | 3 ± 0 (↓8%) | 3 ± 0.27 (↓8%) |
Disclaimer/Publisher’s Note: The statements, opinions and data contained in all publications are solely those of the individual author(s) and contributor(s) and not of MDPI and/or the editor(s). MDPI and/or the editor(s) disclaim responsibility for any injury to people or property resulting from any ideas, methods, instructions or products referred to in the content. |
© 2023 by the authors. Licensee MDPI, Basel, Switzerland. This article is an open access article distributed under the terms and conditions of the Creative Commons Attribution (CC BY) license (https://creativecommons.org/licenses/by/4.0/).
Share and Cite
Basheer, S.; Malik, I.R.; Awan, F.R.; Sughra, K.; Roshan, S.; Khalil, A.; Iqbal, M.J.; Parveen, Z. Histological and Microscopic Analysis of Fats in Heart, Liver Tissue, and Blood Parameters in Experimental Mice. Genes 2023, 14, 515. https://doi.org/10.3390/genes14020515
Basheer S, Malik IR, Awan FR, Sughra K, Roshan S, Khalil A, Iqbal MJ, Parveen Z. Histological and Microscopic Analysis of Fats in Heart, Liver Tissue, and Blood Parameters in Experimental Mice. Genes. 2023; 14(2):515. https://doi.org/10.3390/genes14020515
Chicago/Turabian StyleBasheer, Sehrish, Imran Riaz Malik, Fazli Rabbi Awan, Kalsoom Sughra, Sadia Roshan, Adila Khalil, Muhammad Javed Iqbal, and Zahida Parveen. 2023. "Histological and Microscopic Analysis of Fats in Heart, Liver Tissue, and Blood Parameters in Experimental Mice" Genes 14, no. 2: 515. https://doi.org/10.3390/genes14020515
APA StyleBasheer, S., Malik, I. R., Awan, F. R., Sughra, K., Roshan, S., Khalil, A., Iqbal, M. J., & Parveen, Z. (2023). Histological and Microscopic Analysis of Fats in Heart, Liver Tissue, and Blood Parameters in Experimental Mice. Genes, 14(2), 515. https://doi.org/10.3390/genes14020515

