Next Article in Journal
Eye and Hair Color Prediction of Ancient and Second World War Skeletal Remains Using a Forensic PCR-MPS Approach
Next Article in Special Issue
TBX3 and EFNA4 Variant in a Family with Ulnar-Mammary Syndrome and Sagittal Craniosynostosis
Previous Article in Journal
An Integrative Genomic Prediction Approach for Predicting Buffalo Milk Traits by Incorporating Related Cattle QTLs
Previous Article in Special Issue
Next-Generation Sequencing Identifies Novel PMPCA Variants in Patients with Late-Onset Dominant Optic Atrophy
 
 
Font Type:
Arial Georgia Verdana
Font Size:
Aa Aa Aa
Line Spacing:
Column Width:
Background:
Article

Unusual Presentation in WAGR Syndrome: Expanding the Phenotypic and Genotypic Spectrum of the Diseases

1
State Key Laboratory of Ophthalmology, Guangdong Provincial Key Laboratory of Ophthalmology and Visual Science, Guangdong Provincial Clinical Research Centre for Ocular Diseases, Zhongshan Ophthalmic Centre, Sun Yat-sen University, Guangzhou 510060, China
2
Aegicare, 3803 Building 11A, Shenzhen Bay Ecological Technology Park, Nanshan District, Shenzhen 518063, China
*
Author to whom correspondence should be addressed.
These authors contributed equally to this work.
These authors contributed equally to this work.
Genes 2022, 13(8), 1431; https://doi.org/10.3390/genes13081431
Submission received: 8 July 2022 / Revised: 1 August 2022 / Accepted: 8 August 2022 / Published: 12 August 2022
(This article belongs to the Collection Genotype-Phenotype Study in Disease)

Abstract

:
The deletion of chromosome 11p13 involving the WT1 and PAX6 genes has been shown to cause WAGR syndrome (OMIM #194072), a rare genetic disorder that features Wilms’ tumor, aniridia, genitourinary anomalies, as well as mental retardation. In this study, we expand the genotypic and phenotypic spectrum of WAGR syndrome by reporting on six patients from six unrelated families with different de novo deletions located on chromosome 11p13. Very rare phenotypes of lens automated absorption and lens thinning were detected in four of the six patients. We assessed the involvement of the ARL14EP gene in patients with and without severe lens abnormalities and found that its deletion may worsen the lens abnormalities in these patients.

1. Introduction

WAGR syndrome (OMIM #194072) is a rare genetic disorder with a birth prevalence of 1/500,000 [1]. Its hallmark characteristics include an increased risk for Wilms tumor, total or partial aniridia, genitourinary anomalies (ranging from sexual ambiguity to ectopia testis), and mental retardation (variable degrees of intellectual disability). Other findings may include obesity (WAGRO, OMIM #612469), glaucoma, cataracts, kidney failure, congenital diaphragmatic hernia, and autism [2,3,4]. The inheritance pattern of WAGR syndrome is autosomal dominant; moreover, the preferentially paternal origin of the 11p13 chromosome deletion is observed in the families’ genotypes [5].
The deletion of chromosome 11p13 involving the WT1 and the PAX6 genes has been shown to cause WAGR syndrome [6]. The increased risks for Wilms tumor and genitourinary anomalies in WAGR patients are attributed to the deletion of WT1. Aniridia and associated ocular defects are triggered by a PAX6 haploinsufficiency that encodes a transcriptional regulator required for the eye development [6]. Furthermore, brain-derived neurotrophic factor (BDNF, OMIM #113505) has been proven to be associated with intellectual disability, autism, and childhood-onset obesity in subjects with WAGR [4,7]. Theoretically, the severity of the phenotype depends on the size of the deletion. A deletion map of the WAGR region, ranging from 11p14 to 11p11 [1,8], can be found in earlier studies [1,9]. However, the relationship between the clinical phenotypes and genotypes of WAGR is not fully understood. Patients with a similar deletion region may present with different phenotypes and vice versa [9].
Herein, we present the cases of six patients affected by typical and atypical WAGR syndrome from six unrelated families, which reveal rare phenotypes of keratolenticular adhesion, lens thinning, and partial lens material absorption. To the best of our knowledge, there is no previous report of an association between abnormal lens thinning and partial lens material absorption with WAGR syndrome. Our findings demonstrate a new phenotype, thus expanding the genotype spectrum of this severe disorder.

2. Materials and Methods

2.1. Patients

This study is part of a series of ongoing studies at the Childhood Cataract Program of the Chinese Ministry of Health (CCPMOH) [10]. The inclusion criteria were a confirmation of congenital cataracts (CCs) and the completion of whole exome sequencing (WES). A total of 269 CCs patients from the Home for Cataract Children of the Zhongshan Ophthalmic Center seen between March 2016 and January 2021, and their available family members, were included. The study was approved by the Institutional Review Board of the Zhongshan Ophthalmic Center adhering to the tenets of the Declaration of Helsinki. Written informed consent was obtained from the legal guardian of each child.

2.2. Clinical Assessments

Clinical data were collected based on a thorough ocular examination and medical history review. Facial photographs were taken with a digital camera. Anterior segment photographs were taken using slit-lamp photography (BX900; HAAG-STREIT AG, Bern, Switzerland). Ultrasound biomicroscopy (UBM) (SW-3200L; Tianjin Suowei Electronic Technology Co., Ltd., Tianjin, China), fundus photography (VISUCAM 224, Carl Zeiss Meditec AG, Jena, Germany), B-scan ultrasound (Aviso, Quantel Médical, Clermont-Ferrand, France), and optical coherence tomography (OCT) (CIRRUS HD-OCT 5000, Carl Zeiss Meditec AG, Jena, Germany) were performed to screen the anterior and posterior segment disorders. Detailed clinical data, including basic information, family history, and other medical history, were recorded in case report forms.

2.3. Exome Sequencing and Bioinformatic Analysis

Genomic DNA was extracted from peripheral blood samples of patients using QIAamp DNA Mini Kit (Qiagen, Hilden, Germany). WES was performed in all of the probands using the Agilent v6 targeted sequence capture library process method with the Hiseq 2500 platform (Illumina Inc., San Diego, CA, USA) as described previously [11]. A copy number variation (CNV) kit was applied to our data [12]. During CNV calling, two event-segmentation algorithms (circular binary segmentation and the hidden Markov model for germline (hmm-germline)) were chosen for better recognition of both larger and smaller CNV events. Two types of segmentation outcomes were merged and labeled for subsequent analysis. An in-house tool utilizing both copy numbers and B-allele frequencies aligned against chromosome coordinates was designed for CNV event visualization. The threshold parameter for copy number reversion from the log2 ratio was altered to “−1.6, −0.8, 0.5, 1,” which was tested, giving better results than the default value. The B-allele frequencies were computed using the samtools mpileup tool. The AnnotSV program and corresponding annotation databases were locally installed to annotate detected CNV events on each sample for clinical interpretation [13].
In CNV calling, a stable and reliable CNV reference is critical. Here, an iterative approach was used to train the reference for CNV identification. First, a set of 60 samples over the same sequencing protocol was enrolled to create an initial reference. Then, CNV calling was run over this reference for each training sample. Any samples with any events over 1 Mbp were excluded from the training set. New samples were added to retain 60 samples in the training set for each iteration. The iteration ended once more than 30 samples were left after exclusion. Then, the final reference was built on that sample set.

2.4. Statistical Methods

The probands with a thinning lens or an absorbed cloudy lens were allocated into the severe lens abnormality group. To analyze the genotype–phenotype correlations of the putative effects of the candidate deleted genes on the risk for severe lens abnormality, a two-sided Fisher’s exact test was performed for categorical variables using IBM SPSS Statistics 25 (IBM Corporation, Armonk, NY, USA). A probability value of less than 0.05 indicated a rejection of the null hypothesis, such that the severe lens abnormality was significantly more frequently observed in probands with a particular gene deletion [1].

3. Results

In total, six different-sized de novo deletions located at 11p13 from six probands were identified from our exon sequencing data of 269 probands (Figure 1). All six patients showed aniridia and cataracts. Four of the six patients presented with Wilms tumor before the age of 2 years. Detailed ocular manifestations of the patients were collected (Table 1). Then, we attempted to build the phenotype–genotype correlations to explore the possible functions of the affected candidate genes.

3.1. Case 1

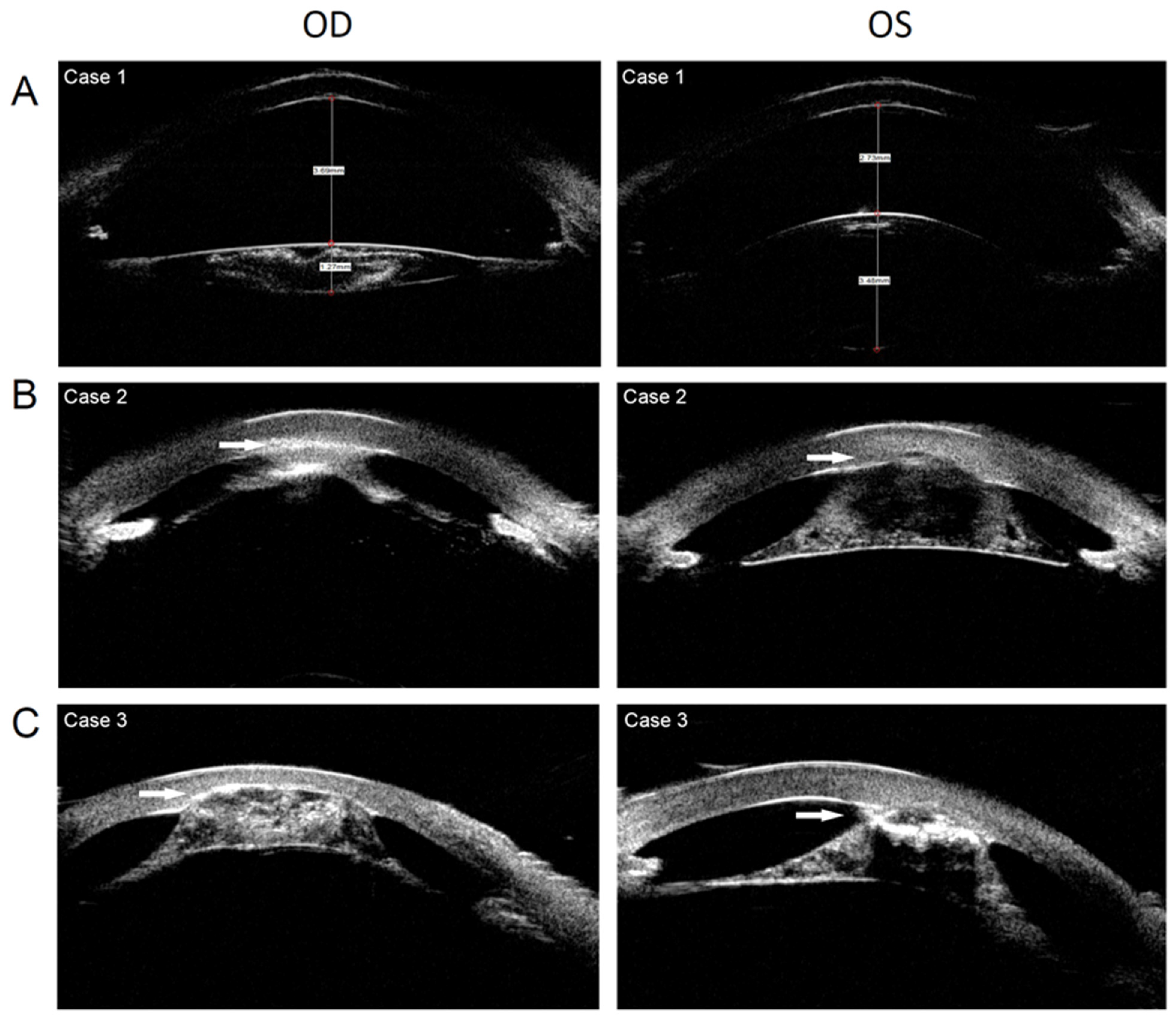
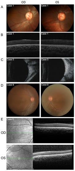
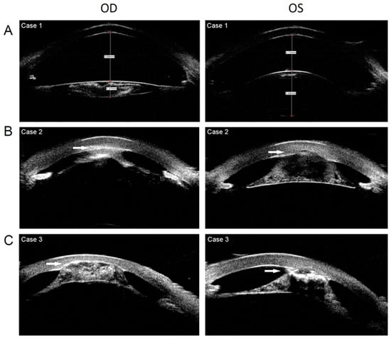
An 11-month-old girl presented with whitish pupils, and nystagmus was noticed by her parents at birth. A further examination found a thin lens with nuclear opacity of the right eye, normal thickness, posterior cortical cataract of the left eye (Figure 2A and Figure 3A), a cup-to-disc (C/D) ratio of 0.6, aniridia, and macular hypoplasia in both eyes (Figure 4A,B). The intraocular pressure (IOP) was 15.3 mmHg in the right eye and 16.2 mmHg in the left eye, as measured using a Tono-Pen (Reichert, Inc., Depew, NY, USA). The axial lens (AL) was 22.24 mm in the right eye and 22.98 mm in the left eye. She underwent uneventful bilateral nephron-sparing surgery due to Wilms tumor. Developmental delay was also diagnosed. CNV analysis based on WES found a deletion of Chr11:19372477–35827981. WAGR syndrome was confirmed. Ocular surgery was not prescribed. Twice-a-year follow-up was scheduled. At the 1-year follow-up, the middle of the nuclear opacity of the right eye had been spontaneously absorbed (Figure 2B). The IOPs of both eyes were normal, and the tumor did not recur or metastasize.

3.2. Case 2

A 23-month-old girl presented with bilateral whitish cornea, and nystagmus was noticed by her parents at birth. A slit-lamp examination showed keratolenticular adhesion (the anterior surface of the thin lens adherent to the posterior surface of the cornea), corneal neovascularization, aniridia, and a thin lens with nuclear and bubble-like opacities in both eyes (Figure 2C and Figure 3B). An OCT examination revealed macular hypoplasia in both eyes. The AL was 16.63 and 17.07 mm in the right and left eyes, respectively, indicating nanophthalmos. The IOP was 16 mmHg in the right eye and 35 mmHg in the left eye, as measured using a Tono-Pen. The IOP was controlled using ocular IOP-lowering medications. The girl underwent uneventful right kidney resection due to Wilms tumor. An atrial septal defect and developmental delay were also diagnosed. A CNV analysis based on WES found the deletion of Chr11:26210680–35006316. WAGR syndrome was confirmed. Ocular surgery was not prescribed. Twice-a-year follow-up was scheduled. At the 1-year follow-up, the ocular disease had not deteriorated further, and the tumor did not recur or metastasize.

3.3. Case 3

An 18-month-old boy presented with bilateral whitish cornea, and nystagmus was noticed by his parents at birth. Slit-lamp examination showed keratolenticular adhesion, corneal neovascularization, aniridia, and a thin lens with nuclear and bubble-like opacities. The anterior surface of the lens was adherent to the posterior surface of the cornea (Figure 2D and Figure 3C). An OCT examination indicated macular hypoplasia. The IOP was 18 mmHg in the right eye and 17 mmHg in the left eye, as measured using a Tono-Pen. Wilms tumor and developmental delay were diagnosed when the boy was 15 months old. He underwent uneventful left kidney resection and postoperative radiotherapy. A CNV analysis based on WES found a Chr11:30032154–36680772 deletion. WAGR syndrome was confirmed. Ocular surgery was not prescribed. Twice-a-year follow-up was scheduled. During the 2-year follow-up, the IOP of the child was normal, the ocular disease did not deteriorate, and the tumor did not recur or metastasize.

3.4. Case 4

A 16-month-old girl presented with a whitish cornea, which was noticed by her parents at birth. A further examination found keratolenticular adhesion, corneal neovascularization, aniridia, cortical cataract, and macular hypoplasia in both eyes (Figure 2E). Visual acuity UBM, OCT, fundus photography, and AL measurements were unavailable due to noncooperation. The IOP was 14.3 mmHg in the right eye and 12 mmHg in the left eye as measured using a Tono-Pen. Developmental delay was diagnosed. No kidney or genitourinary anomality was detected after a careful systemic examination. A CNV analysis based on WES found a deletion of Chr11:30358107–43941673. WAGR syndrome was confirmed. Ocular surgery was not prescribed. Twice-a-year follow-up was scheduled. At the 1-year follow-up, the IOP of the child was normal, the ocular disease had not deteriorated, and no kidney tumor was detected.

3.5. Case 5

A 3-month-old girl presented with whitish pupils, which were noticed by her parents at birth. A further examination revealed nuclear cataracts and aniridia in both eyes (Figure 2F). The IOP was 12.2 mmHg in the right eye and 14.6 mmHg in the left eye, as measured using a Tono-Pen. The AL was 15.83 mm in the right eye and 13.98 mm in the left eye, indicating nanophthalmos. She underwent uneventful right kidney resection due to Wilms tumor, followed by cataract extraction surgery. The first month after cataract surgery, an increased IOP was detected in both eyes (right eye, 21.6 mmHg; left eye, 25.8 mmHg). IOP-lowering medication was prescribed. However, the parents did not give the child the medicine as directed and did not show up for the follow-up visits as required. Six months later, the girl showed an enlarged C/D ratio (0.5) (Figure 4C). A secondary glaucoma was diagnosed. A CNV analysis based on WES found a Chr11:30431595–36680772 deletion, thus confirming WAGR syndrome.

3.6. Case 6

A 10-year-old boy presented with nystagmus and bilateral subcapsular cataract (Figure 2G). A further examination found aniridia and macular hypoplasia (Figure 4D,E). The best-corrected visual acuity was 0.1 and 0.15, IOP was 13.3 and 14.2 mmHg, AL was 15.55 and 15.42 mm in the right and left eyes, respectively. Except for hypospadias, no other abnormality was detected after careful systemic examinations. A CNV analysis based on WES found a deletion of Chr11:31784908–33773171. WAGR syndrome was confirmed. Ocular surgery was not prescribed. Twice-a-year follow-up was scheduled.

3.7. Statistical Analysis

The ARL14EP gene was deleted in all four probands (case 1, case 2, case 3, and case 4) with severe lens abnormalities and was intact in the two probands without severe lens abnormality. Therefore, the influence of the ARL14EP gene was tested. No statistically significant correlation was observed (p = 0.067).

4. Discussion

We identified six novel heterozygous deletions of the chromosome 11p13 region in 6 of 269 independent probands with CCs and made a definitive diagnosis of WAGR syndrome. The six cases presented are of rare phenotypes, including thinning of the lens, partial lens absorption, and keratolenticular adhesion with corneal neovascularization. The genotype–phenotype correlations of these cases were analyzed.
WAGR syndrome is an ideal model for providing direct evidence of specific gene function in humans, as it is a disease with naturally occurring chromosomal deletion of different sizes. We identified different heterozygous deletions affecting the PAX6 and WT1 genes on chromosome 11p13 in all six probands with WAGR syndrome. All of the probands presented with aniridia and cataracts. Four of the six probands indicated Wilms tumor. Three of the six probands were associated with glaucoma before or after cataract surgery. Three of the six probands presented with thin lens and keratolenticular adhesion with corneal neovascularization. Interestingly, the cloudy lens of one proband was partially absorbed during the follow-up when the patient was 2 years old. The phenotypes of lens automated absorption and lens thinning were classified into severe lens abnormality groups. The ARL14EP gene was deleted in all four probands with severe lens abnormalities and was intact in both of the two probands without severe lens abnormality. We postulate that the damage of the ARL14EP gene leads to an increased risk for severe lens abnormalities in patients with 11p13 deletions. According to our observations, simultaneous loss of the PAX6 and ARL14EP genes by a single deletion in patients with WAGR syndrome may effectively act as a double hit that worsens the lens damage caused by the deletion of PAX6. In the genotype–phenotype correlation analysis, only a boundary correlation between ARL14EP haploinsufficiency and the presence of severe lens abnormalities were observed (p = 0.067). A methodologically sound and sufficiently sized trial is needed to further analyze the correlation.
ARL14EP (OMIM: 612295; ADP-ribosylation factor-like GTPase 14 effector protein), located on chromosome 11p13, is a gene involved in WAGR syndrome. It encodes a small nuclear protein (35 kDa) that interacts with ADP-ribosylation factor-like 14 (ARL14). ARL14EP has proven to be critical for transcallosal connectivity [14]. The haploinsufficiency of ARL14EP has been linked to callosal hypoplasia. The animal model shows that ARL14EP knockdown leads to transcallosal projection disruption. It has also been suggested that ARL14EP interacts with histone H3 lysine 9 methyltransferase MET-2 (SETDB), which initiates and regulates the timing of heterochromatin formation [15]. However, no study has explored the association between ARL14EP and ocular abnormalities.
The phenotype of aniridia in patients with WAGR syndrome is caused by the haploinsufficiency of PAX6 (OMIM: 607108) [16]. PAX6 cis-regulatory element (SIMO) from intron 9 of ELP4, located next to the PAX6 gene, is critical for the continued tissue-specific expression of PAX6. The mutation or deletion of the SIMO element causes the defective maintenance of the expression of the PAX6 gene in the lens and therefore results in aniridia, even when the PAX6 gene is intact [17]. Therefore, the concurrent deletion of the SIMO element and PAX6 gene in WAGR syndrome leads to a more severe ocular phenotype [18]. Among the six patients in our cohort, the SIMO element was affected in all of the cases, with the exception of case 6. The ocular phenotype of case 6 was the mildest among the phenotypes observed; this particular patient (male) presented with subcapsular cataracts, macular hypoplasia, and nystagmus. The genotype–ocular phenotype correlation in our cohort supports the importance of SIMO elements in ocular development.
The increased risk for Wilms tumor in patients with WAGR syndrome is caused by a haploinsufficiency of WT1 (OMIM: 607102); it has been suggested that LMO2 gene haploinsufficiency contributes to a further increase in this risk, based on a genotype–phenotype correlation analysis [1]. In our cohort, there were four patients affected by Wilms tumor with LMO2 deletion, one patient with LMO2 deletion and no Wilms tumor until she was 3 years old, and one patient without LMO2 deletion and Wilms tumor until he was 11 years old. For the cases with LMO2 deletion, a close surveillance of the kidneys is needed.
Despite the fact that adding a CNV analysis in WES may improve the overall diagnostic rate for syndromic pediatric patients, different factors such as capture and library kits, batch effects, DNA quality, and poor coverage regions may affect the efficiency of the WES-based CNV analysis [19]. CNVs larger than 1 mb can be well detected by WES CNV with high sensitivity and specificity [20]. In addition, there was no statistically significant correlation (p = 0.067) between the phenotype of severe lens abnormality and the genotype of ARL14EP haploinsufficiency, due to the limited sample size of WAGR patients. We will continue to collect phenotypic and genotypic data from WAGR patients and perform a methodologically sound functional study on the ARL14EP gene.

5. Conclusions

The present study expands the genotypic and phenotypic spectrum of WAGR syndrome. We identified six different de novo deletions located at 11p13 from six probands in our exon sequencing data of 269 probands with CCs. The associations between ARL14EP haploinsufficiency and rare phenotypes of severe lens abnormalities, lens automated absorption, and lens thinning were analyzed using a genotype–phenotype correlation analysis. Further functional studies are necessary to confirm the associations and unravel the pathogenetic mechanism.

Author Contributions

Conceptualization, W.C., H.L. and Q.W.; formal analysis, Q.W. and X.Z.; funding acquisition, W.C. and Q.W.; investigation, Q.W. and X.Z.; methodology, Q.W. and X.Z. project administration, W.C., H.L., Q.W. and X.Z.; resources, W.C., H.L., Q.W., X.Z., T.Q., D.W., X.L., Y.Z., H.T., L.Z., J.L. and Z.L.; supervision, W.C. and H.L.; validation, Q.W. and X.Z.; writing—original draft, Q.W.; writing—review and editing, W.C., H.L., Q.W., X.Z., T.Q., D.W., X.L., Y.Z., H.T., L.Z., J.L. and Z.L. All authors have read and agreed to the published version of the manuscript.

Funding

This study was supported by the National Key R&D Program of China, grant number 2020YFC2008200, and Guangdong Basic and Applied Basic Research Foundation, grant number 2022A1515012102. The sponsors and funding organizations had no role in the design or conduct of this research.

Institutional Review Board Statement

The study was conducted in accordance with the Declaration of Helsinki, and approved by the Institutional Review Board of the Zhongshan Ophthalmic Center (no. 2020KYPJ007, date of approval: 10 January 2020).

Informed Consent Statement

Written informed consent was obtained from the legal guardian of each child.

Data Availability Statement

The data are available from the corresponding authors upon reasonable request.

Acknowledgments

We are grateful to all the patients and their families for their kind participation in the study.

Conflicts of Interest

The authors declare that the research was conducted in the absence of any commercial or financial relationships that could be construed as a potential conflict of interest.

References

  1. Marakhonov, A.V.; Vasilyeva, T.A.; Voskresenskaya, A.A.; Sukhanova, N.V.; Kadyshev, V.V.; Kutsev, S.I.; Zinchenko, R.A. LMO2 gene deletions significantly worsen the prognosis of Wilms’ tumor development in patients with WAGR syndrome. Hum. Mol. Genet. 2019, 28, 3323–3326. [Google Scholar] [CrossRef]
  2. Turleau, C.; de Grouchy, J.; Dufier, J.L.; Phuc, L.H.; Schmelck, P.H.; Rappaport, R.; Nihoul-Fekete, C.; Diebold, N. Aniridia, male pseudohermaphroditism, gonadoblastoma, mental retardation, and del 11p13. Hum. Genet. 1981, 57, 300–306. [Google Scholar] [CrossRef]
  3. Rodriguez-Lopez, R.; Perez, J.M.; Balsera, A.M.; Rodriguez, G.G.; Moreno, T.H.; Garcia de Caceres, M.; Serrano, M.G.; Freijo, F.C.; Ruiz, J.R.; Angueira, F.B.; et al. The modifier effect of the BDNF gene in the phenotype of the WAGRO syndrome. Gene 2013, 516, 285–290. [Google Scholar] [CrossRef] [PubMed]
  4. Han, J.C.; Liu, Q.R.; Jones, M.; Levinn, R.L.; Menzie, C.M.; Jefferson-George, K.S.; Adler-Wailes, D.C.; Sanford, E.L.; Lacbawan, F.L.; Uhl, G.R.; et al. Brain-derived neurotrophic factor and obesity in the WAGR syndrome. N. Engl. J. Med. 2008, 359, 918–927. [Google Scholar] [CrossRef]
  5. Xu, S.; Han, J.C.; Morales, A.; Menzie, C.M.; Williams, K.; Fan, Y.S. Characterization of 11p14-p12 deletion in WAGR syndrome by array CGH for identifying genes contributing to mental retardation and autism. Cytogenet. Genome Res. 2008, 122, 181–187. [Google Scholar] [CrossRef]
  6. Vasilyeva, T.A.; Marakhonov, A.V.; Minzhenkova, M.E.; Markova, Z.G.; Petrova, N.V.; Sukhanova, N.V.; Koshkin, P.A.; Pyankov, D.V.; Kanivets, I.V.; Korostelev, S.A.; et al. A sporadic case of congenital aniridia caused by pericentric inversion inv(11)(p13q14) associated with a 977?kb deletion in the 11p13 region. BMC Med. Genom. 2020, 13, 130. [Google Scholar] [CrossRef] [PubMed]
  7. Han, J.C.; Thurm, A.; Golden Williams, C.; Joseph, L.A.; Zein, W.M.; Brooks, B.P.; Butman, J.A.; Brady, S.M.; Fuhr, S.R.; Hicks, M.D.; et al. Association of brain-derived neurotrophic factor (BDNF) haploinsufficiency with lower adaptive behaviour and reduced cognitive functioning in WAGR/11p13 deletion syndrome. Cortex 2013, 49, 2700–2710. [Google Scholar] [CrossRef] [PubMed]
  8. Hol, J.A.; Jongmans, M.C.J.; Sudour-Bonnange, H.; Ramírez-Villar, G.L.; Chowdhury, T.; Rechnitzer, C.; Pal, N.; Schleiermacher, G.; Karow, A.; Kuiper, R.P.; et al. Clinical characteristics and outcomes of children with WAGR syndrome and Wilms tumor and/or nephrobla stomatosis: The 30-year SIOP-RTSG experience. Cancer 2021, 127, 628–638. [Google Scholar] [CrossRef]
  9. Fischbach, B.V.; Trout, K.L.; Lewis, J.; Luis, C.A.; Sika, M. WAGR syndrome: A clinical review of 54 cases. Pediatrics 2005, 116, 984–988. [Google Scholar] [CrossRef]
  10. Lin, H.; Long, E.; Chen, W.; Liu, Y. Documenting rare disease data in China. Science 2015, 349, 1064. [Google Scholar] [CrossRef] [PubMed]
  11. Wang, X.; Wang, D.; Wang, Q.; Huang, W.; Dongye, M.; Zhang, X.; Lin, D.; Lin, Z.; Li, J.; Hu, W.; et al. Broadening the Mutation Spectrum in GJA8 and CHMP4B: Novel Missense Variants and the Associated Phenotypes in Six Chinese Han Congenital Cataracts Families. Front. Med. 2021, 8, 713284. [Google Scholar] [CrossRef]
  12. Talevich, E.; Shain, A.H.; Botton, T.; Bastian, B.C. CNVkit: Genome-Wide Copy Number Detection and Visualization from Targeted DNA Sequencing. PLoS Comput. Biol. 2016, 12, e1004873. [Google Scholar] [CrossRef] [PubMed]
  13. Geoffroy, V.; Herenger, Y.; Kress, A.; Stoetzel, C.; Piton, A.; Dollfus, H.; Muller, J. AnnotSV: An integrated tool for structural variations annotation. Bioinformatics 2018, 34, 3572–3574. [Google Scholar] [CrossRef] [PubMed]
  14. Peter, C.J.; Saito, A.; Hasegawa, Y.; Tanaka, Y.; Nagpal, M.; Perez, G.; Alway, E.; Espeso-Gil, S.; Fayyad, T.; Ratner, C.; et al. In vivo epigenetic editing of Sema6a promoter reverses transcallosal dysconnectivity caused by C11orf 46/Arl14ep risk gene. Nat. Commun. 2019, 10, 4112. [Google Scholar] [CrossRef] [PubMed]
  15. Mutlu, B.; Chen, H.M.; Moresco, J.J.; Orelo, B.D.; Yang, B.; Gaspar, J.M.; Keppler-Ross, S.; Yates, J.R.; Hall, D.H.; Maine, E.M.; et al. Regulated nuclear accumulation of a histone methyltransferase times the onset of heterochromatin form ation in C. elegans embryos. Sci. Adv. 2018, 4, eaat6224. [Google Scholar] [CrossRef]
  16. Glaser, T.; Walton, D.S.; Maas, R.L. Genomic structure, evolutionary conservation and aniridia mutations in the human PAX6 gene. Nat. Genet. 1992, 2, 232–239. [Google Scholar] [CrossRef] [PubMed]
  17. Bhatia, S.; Bengani, H.; Fish, M.; Brown, A.; Divizia, M.T.; de Marco, R.; Damante, G.; Grainger, R.; van Heyningen, V.; Kleinjan, D.A. Disruption of autoregulatory feedback by a mutation in a remote, ultraconserved PAX6 enhancer causes aniridia. Am. J. Hum. Genet. 2013, 93, 1126–1134. [Google Scholar] [CrossRef] [PubMed]
  18. Glaser, T.; Jepeal, L.; Edwards, J.G.; Young, S.R.; Favor, J.; Maas, R.L. PAX6 gene dosage effect in a family with congenital cataracts, aniridia, anophthalmia and central nervous system defects. Nat. Genet. 1994, 7, 463–471. [Google Scholar] [CrossRef]
  19. Royer-Bertrand, B.; Cisarova, K.; Niel-Butschi, F.; Mittaz-Crettol, L.; Fodstad, H.; Superti-Furga, A. CNV Detection from Exome Sequencing Data in Routine Diagnostics of Rare Genetic Disorders: Opportunit ies and Limitations. Genes 2021, 12, 1427. [Google Scholar] [CrossRef]
  20. Zhao, L.; Liu, H.; Yuan, X.; Gao, K.; Duan, J. Comparative study of whole exome sequencing-based copy number variation detection tools. BMC Bioinform. 2020, 21, 97. [Google Scholar] [CrossRef] [PubMed]
Figure 1. Chromosome 11p13 deletions from 6 patients with WAGR syndrome identified from whole exome sequencing data.
Figure 1. Chromosome 11p13 deletions from 6 patients with WAGR syndrome identified from whole exome sequencing data.
Genes 13 01431 g001
Figure 2. Anterior segment photographs of 6 patients with WAGR syndrome. (A). Anterior segment of case 1 at her first visit. (B). Anterior segment of case 1 one year later. (C). Anterior segment of case 2 showing keratolenticular adhesion, corneal neovascularization, aniridia, and cataract. (D). Anterior segment of case 3 showing keratolenticular adhesion, corneal neovascularization, aniridia, and the thin lens with cataract. (E). Anterior segment of case 4 showing keratolenticular adhesion, corneal neovascularization, aniridia, and the cataract. (F). Anterior segment of case 5 showing nuclear cataracts and aniridia. (G). Anterior segment of case 6 showing subcapsular cataract and aniridia. (White arrow: keratolenticular adhesion; red arrow: corneal neovascularization.).
Figure 2. Anterior segment photographs of 6 patients with WAGR syndrome. (A). Anterior segment of case 1 at her first visit. (B). Anterior segment of case 1 one year later. (C). Anterior segment of case 2 showing keratolenticular adhesion, corneal neovascularization, aniridia, and cataract. (D). Anterior segment of case 3 showing keratolenticular adhesion, corneal neovascularization, aniridia, and the thin lens with cataract. (E). Anterior segment of case 4 showing keratolenticular adhesion, corneal neovascularization, aniridia, and the cataract. (F). Anterior segment of case 5 showing nuclear cataracts and aniridia. (G). Anterior segment of case 6 showing subcapsular cataract and aniridia. (White arrow: keratolenticular adhesion; red arrow: corneal neovascularization.).
Genes 13 01431 g002
Figure 3. Ultrasound biomicroscopy of 3 patients with WAGR syndrome. (A). Anterior segment of case 1 showing the thin lens of the right eye and aniridia of both eyes. (B). Anterior segment of case 2 showing keratolenticular adhesion, aniridia, and thin lens. (C). Anterior segment of case 3 showing keratolenticular adhesion, aniridia, and thin lens. (White arrow: keratolenticular adhesion).
Figure 3. Ultrasound biomicroscopy of 3 patients with WAGR syndrome. (A). Anterior segment of case 1 showing the thin lens of the right eye and aniridia of both eyes. (B). Anterior segment of case 2 showing keratolenticular adhesion, aniridia, and thin lens. (C). Anterior segment of case 3 showing keratolenticular adhesion, aniridia, and thin lens. (White arrow: keratolenticular adhesion).
Genes 13 01431 g003
Figure 4. Ocular features of the patients with WAGR syndrome. (A). Fundus photograph of case 1 showing increased cup-to-disc ratio in both eyes. (B). OCT images of case 1 showing macular hypoplasia in both eyes. (C). B-scan images of case 5 showing increased cup-to-disc ratio in both eyes. (D). Fundus photograph of case 6 showing macular hypoplasia of both eyes. (E). OCT images of case 6 showing macular hypoplasia in both eyes.
Figure 4. Ocular features of the patients with WAGR syndrome. (A). Fundus photograph of case 1 showing increased cup-to-disc ratio in both eyes. (B). OCT images of case 1 showing macular hypoplasia in both eyes. (C). B-scan images of case 5 showing increased cup-to-disc ratio in both eyes. (D). Fundus photograph of case 6 showing macular hypoplasia of both eyes. (E). OCT images of case 6 showing macular hypoplasia in both eyes.
Genes 13 01431 g004
Table 1. Patient Profiles: Clinical and genetic information of the patients with WAGR syndrome.
Table 1. Patient Profiles: Clinical and genetic information of the patients with WAGR syndrome.
IDEthnicity Age *GenderRegionBCVAIOP (mmHg)AL (mm)CorneaLensIrisFundusWilms TumorOthersDeleted Genes
1Asian11MFemaleChr11:19372477-35827981NA15.3/16.222.24/22.98ClearNuclear opacity and peripheral bubbles of the right eye; posterior cortical cataract of the left eyeAniridiaLarge cup-to-disc ratio, macular hypoplasiaBilateral kidneyNystagmus, thin lens, glaucoma, developmental delay NAV2, DBX1, HTATIP2, PRMT3, SLC6A5, NELL1, ANO5, SLC17A6, FANCF, GAS2, LUZP2, ANO3, MUC15, SLC5A12, FIBIN, BBOX1, CCDC34, LGR4, LIN7C, BDNF-AS, BDNF, HSP90AA2P, KIF18A, MIR610, METTL15, KCNA4, FSHB, ARL14EP, MPPED2, DCDC1, DNAJC24, IMMP1L, ELP4, PAX6, RCN1, WT1, WT1-AS, EIF3M, CCDC73, PRRG4, QSER1, DEPDC7, LINC00294, CSTF3, HIPK3, KIAA1549L, CD59, FBXO3, LMO2, CAPRIN1, NAT10, CAT, ELF5, EHF, APIP, PDHX, CD44, SLC1A2, FJX1, TRIM44
2Asian23MFemaleChr11:26210680-35006316NA16/3516.63/17.07Adherent corneal leukomaThin lens with nuclear opacityAniridiaMacular hypoplasiaRight kidneyNystagmus, the surface of the thin lens touches the corneal endothelium, corneal neovascularization, glaucoma, nanophthalmos, atrial septal defect, developmental delay ANO3, MUC15, SLC5A12, FIBIN, BBOX1, CCDC34, LGR4, LIN7C, BDNF-AS, BDNF, HSP90AA2P, KIF18A, MIR610, METTL15, KCNA4, FSHB, ARL14EP, MPPED2, DCDC1, DNAJC24, IMMP1L, ELP4, PAX6, RCN1, WT1, WT1-AS, EIF3M, CCDC73, PRRG4, QSER1, DEPDC7, LINC00294, CSTF3, HIPK3, KIAA1549L, CD59, FBXO3, LMO2, CAPRIN1, NAT10, CAT, ELF5, EHF, APIP, PDHX
3Asian18MMaleChr11:30032154-36680772NA18/17NAAdherent corneal leukomaThin lens with nuclear opacity and peripheral bubblesAniridiaMacular hypoplasiaLeft kidneyNystagmus, the surface of the thin lens touches the corneal endothelium, corneal neovascularization, developmental delay KCNA4, FSHB, ARL14EP, MPPED2, DCDC1, DNAJC24, IMMP1L, ELP4, PAX6, RCN1, WT1, WT1-AS, EIF3M, CCDC73, PRRG4, QSER1, DEPDC7, LINC00294, CSTF3, HIPK3, KIAA1549L, CD59, FBXO3, LMO2, CAPRIN1, NAT10, CAT, ELF5, EHF, APIP, PDHX, CD44, SLC1A2, FJX1, TRIM44, LDLRAD3, COMMD9, PRR5L, TRAF6, RAG1, RAG2, IFTAP
4Asian16MFemaleChr11:30358107-43941573 NA14.3/12NAAdherent corneal leukomaCortical opacityAniridiaMacular hypoplasiaNNystagmus, the surface of the thin lens touches the corneal endothelium, corneal neovascularization, developmental delay ARL14EP, MPPED2, DCDC1, DNAJC24, IMMP1L, ELP4, PAX6, RCN1, WT1, WT1-AS, EIF3M, CCDC73, PRRG4, QSER1, DEPDC7, LINC00294, CSTF3, HIPK3, KIAA1549L, CD59, FBXO3, LMO2, CAPRIN1, NAT10, CAT, ELF5, EHF, APIP, PDHX, CD44, SLC1A2, FJX1, TRIM44, LDLRAD3, COMMD9, PRR5L, TRAF6, RAG1, RAG2, IFTAP, LRRC4C, API5, TTC17, HSD17B12, ALKBH3
5Asian3MFemaleChr11:30431595-36680772NA12.2/14.615.83/13.98ClearNuclear opacityAniridiaLarge cup-to-disc ratio; macular hypoplasiaBilateral kidneyNystagmus, glaucoma onset after cataract extraction, nanophthalmos, developmental delay MPPED2, DCDC1, DNAJC24, IMMP1L, ELP4, PAX6, RCN1, WT1, WT1-AS, EIF3M, CCDC73, PRRG4, QSER1, DEPDC7, LINC00294, CSTF3, HIPK3, KIAA1549L, CD59, FBXO3, LMO2, CAPRIN1, NAT10, CAT, ELF5, EHF, APIP, PDHX, CD44, SLC1A2, FJX1, TRIM44, LDLRAD3, COMMD9, PRR5L, TRAF6, RAG1, RAG2, IFTAP
6Asian10YMaleChr11:31784958-337731710.1/0.1513.3/14.215.55/15.42ClearSubcapsular opacityAniridiaMacular hypoplasiaNNystagmus, nanophthalmos, hypospadias, obesityELP4, PAX6, RCN1, WT1, WT1-AS, EIF3M, CCDC73, PRRG4, QSER1, DEPDC7, LINC00294, CSTF3, HIPK3, KIAA1549L, CD59, FBXO3
* Age: age at peripheral blood extraction; M: month; Y: year; BCVA: best corrected visual acuity; IOP: intraocular pressure; AL: axial length. NA: not available; N: none.
Publisher’s Note: MDPI stays neutral with regard to jurisdictional claims in published maps and institutional affiliations.

Share and Cite

MDPI and ACS Style

Wang, Q.; Zhang, X.; Qin, T.; Wang, D.; Lin, X.; Zhu, Y.; Tan, H.; Zhao, L.; Li, J.; Lin, Z.; et al. Unusual Presentation in WAGR Syndrome: Expanding the Phenotypic and Genotypic Spectrum of the Diseases. Genes 2022, 13, 1431. https://doi.org/10.3390/genes13081431

AMA Style

Wang Q, Zhang X, Qin T, Wang D, Lin X, Zhu Y, Tan H, Zhao L, Li J, Lin Z, et al. Unusual Presentation in WAGR Syndrome: Expanding the Phenotypic and Genotypic Spectrum of the Diseases. Genes. 2022; 13(8):1431. https://doi.org/10.3390/genes13081431

Chicago/Turabian Style

Wang, Qiwei, Xulin Zhang, Tingfeng Qin, Dongni Wang, Xiaoshan Lin, Yuanyuan Zhu, Haowen Tan, Lanqin Zhao, Jing Li, Zhuoling Lin, and et al. 2022. "Unusual Presentation in WAGR Syndrome: Expanding the Phenotypic and Genotypic Spectrum of the Diseases" Genes 13, no. 8: 1431. https://doi.org/10.3390/genes13081431

APA Style

Wang, Q., Zhang, X., Qin, T., Wang, D., Lin, X., Zhu, Y., Tan, H., Zhao, L., Li, J., Lin, Z., Lin, H., & Chen, W. (2022). Unusual Presentation in WAGR Syndrome: Expanding the Phenotypic and Genotypic Spectrum of the Diseases. Genes, 13(8), 1431. https://doi.org/10.3390/genes13081431

Note that from the first issue of 2016, this journal uses article numbers instead of page numbers. See further details here.

Article Metrics

Back to TopTop