The New Variation in the Promoter Region of FLOWERING LOCUS T Is Involved in Flowering in Brassica rapa
Abstract
:1. Introduction
2. Materials and Methods
2.1. Plant Materials and Phenotypic Analysis
2.2. Sample Collection and Bulk Construction
2.3. QTL-Seq Analysis and the Prediction of Candidate Genes
2.4. Comparison of Candidate Gene Promoter Activities
2.5. Quantitative Verification
2.6. RNA Extraction, cDNA Synthesis, and qRT-PCR Analysis
3. Results
3.1. Phenotypic Analysis of the Flowering Time Characteristics
3.2. Detection of QTLs
3.3. The Prediction of Candidate Genes
3.4. Sequence Polymorphism Analysis of the BrFT Gene
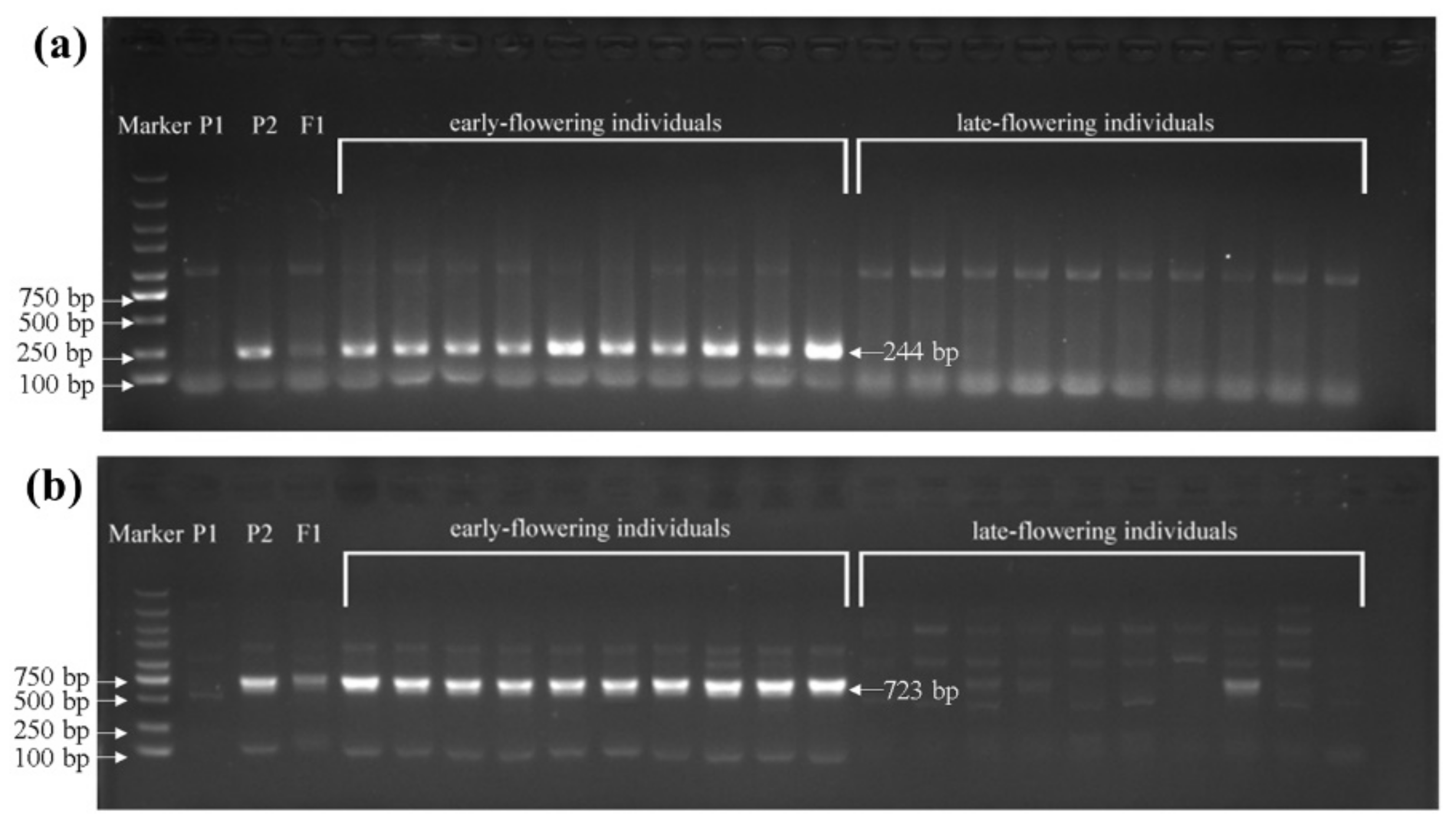
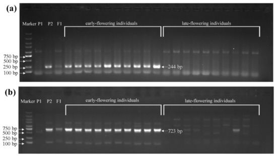
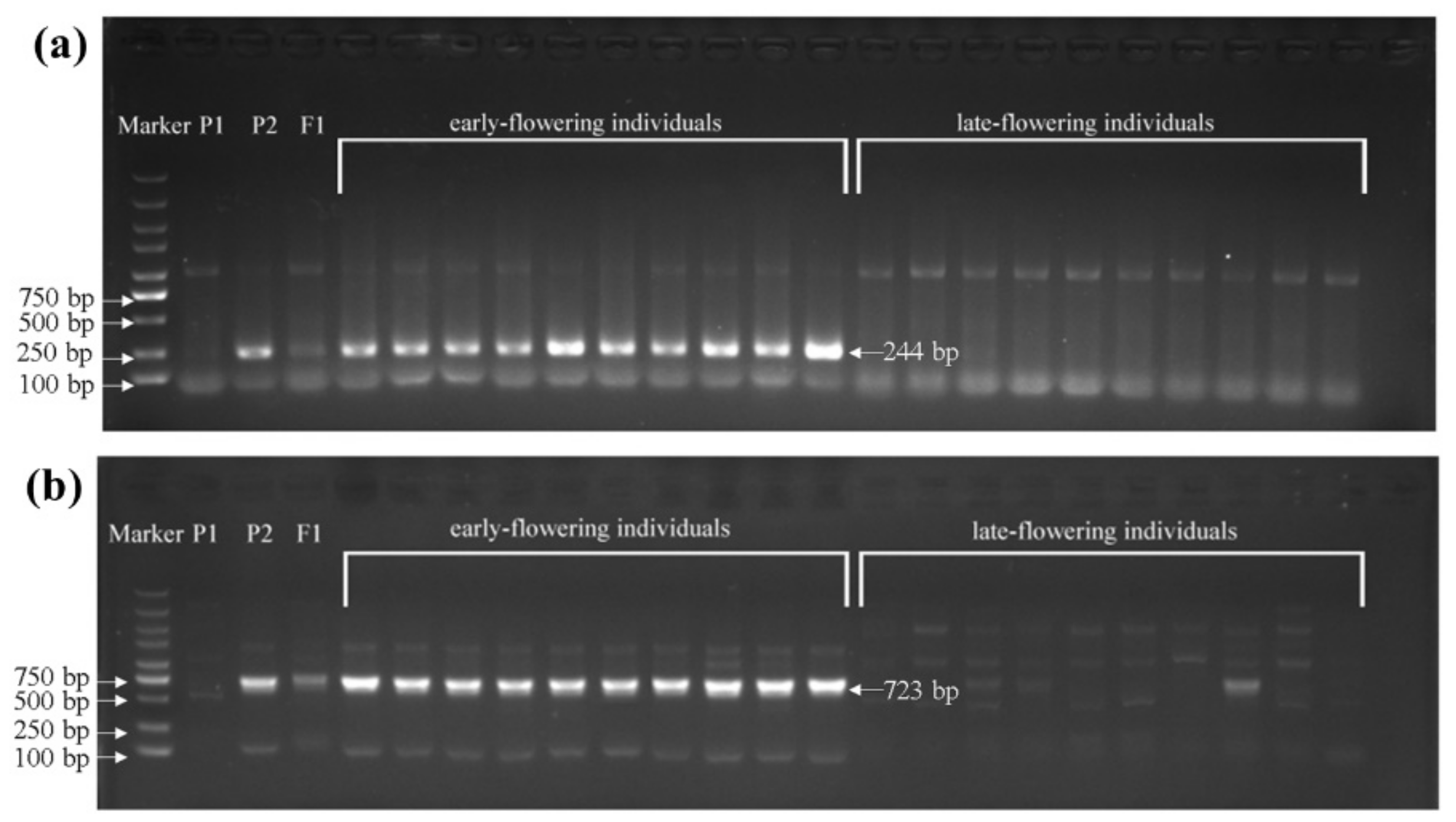
3.5. Verification of the Candidate Gene
4. Discussion
5. Conclusions
Supplementary Materials
Author Contributions
Funding
Institutional Review Board Statement
Informed Consent Statement
Data Availability Statement
Conflicts of Interest
References
- Koornneef, M.; Alonso-Blanco, C.; Peeters, A.J.; Soppe, W. Genetic control of flowering time in Arabidopsis. Annu. Rev. Plant Biol. 1998, 49, 345–370. [Google Scholar] [CrossRef] [PubMed] [Green Version]
- Ren, L.P.; Liu, T.; Cheng, Y.; Sun, J.; Gao, J.J.; Dong, B.; Chen, S.M.; Chen, F.D.; Jiang, J.F. Transcriptomic analysis of differentially expressed genes in the floral transition of the summer flowering chrysanthemum. BMC Genom. 2016, 17, 673. [Google Scholar] [CrossRef] [PubMed] [Green Version]
- Abelenda, J.A.; Cruz-Oro, E.; Franco-Zorrilla, J.M.; Prat, S. Potato StCONSTANS-like1 suppresses storage organ formation by directly activating the FT-like StSP5G repressor. Curr. Biol. 2016, 26, 872–881. [Google Scholar] [CrossRef] [PubMed] [Green Version]
- Amasino, R.M.; Michaels, S.D. The timing of flowering. Plant Physiol. 2010, 154, 516–520. [Google Scholar] [CrossRef] [PubMed]
- Fornara, F.; de Montaigu, A.; Coupland, G. SnapShot: Control of flowering in Arabidopsis. Cell 2010, 141, 550.e1–550.e2. [Google Scholar] [CrossRef] [PubMed] [Green Version]
- Parcy, F. Flowering: A time for integration. Int. J. Dev. Biol. 2005, 49, 585–593. [Google Scholar] [CrossRef] [PubMed] [Green Version]
- Song, X.M.; Duan, W.K.; Huang, Z.N.; Liu, G.F.; Wu, P.; Liu, T.K.; Li, Y.; Hou, X.L. Comprehensive analysis of the flowering genes in Chinese cabbage and examination of evolutionary pattern of CO-like genes in plant kingdom. Sci. Rep. 2015, 5, 14631. [Google Scholar] [CrossRef]
- Nie, S.S.; Li, C.; Wang, Y.; Xu, L.; Muleke, E.M.; Tang, M.J.; Sun, X.C.; Liu, L.W. Transcriptomic analysis identifies differentially expressed genes (DEGs) associated with bolting and flowering in Radish (Raphanus sativus L.). Front. Plant Sci. 2016, 7, 682. [Google Scholar] [CrossRef] [Green Version]
- Song, Y.H.; Ito, S.; Imaizumi, T. Flowering time regulation: Photoperiod- and temperature-sensing in leaves. Trends Plant Sci. 2013, 18, 575–583. [Google Scholar] [CrossRef] [Green Version]
- Kardailsky, I.; Shukla, V.K.; Ahn, J.H.; Dagenais, N.; Christensen, S.K.; Nguyen, J.T.; Chory, J.; Harrison, M.J.; Weigel, D. Activation tagging of the floral inducer FT. Science 1999, 286, 1962–1965. [Google Scholar] [CrossRef] [Green Version]
- Weigel, D.; Ahn, J.H.; Blázquez, M.A.; Borevitz, J.O.; Christensen, S.K.; Fankhauser, C.; Ferrándiz, C.; Kardailsky, I.; Malancharuvil, E.J.; Neff, M.M. Activation tagging in Arabidopsis. Plant Physiol. 2000, 122, 1003–1014. [Google Scholar] [CrossRef] [Green Version]
- Corbesier, l.; Vincent, C.; Jang, S.; Fornara, F.; Fan, Q.; Searle, I.; Giakountis, A.; Farrona, S.; Gissot, l.; Turnbull, C. FT protein movement contributes to long-distance signaling in floral induction of Arabidopsis. Science 2007, 316, 1030–1033. [Google Scholar] [CrossRef] [Green Version]
- Turck, F.; Fornara, F.; Coupland, G. Regulation and identity of florigen: FLOWERING LOCUS T moves center stage. Annu. Rev. Plant Biol. 2008, 59, 573–594. [Google Scholar] [CrossRef] [Green Version]
- Lifschitz, E.; Eviatar, T.; Rozman, A.; Shalit, A.; Goldshmidt, A.; Amsellem, Z.; Alvarez, J.P.; Eshed, Y. The tomato FT ortholog triggers systemic signals that regulate growth and flowering and substitute for diverse environmental stimuli. Proc. Natl. Acad. Sci. USA 2006, 103, 6398–6403. [Google Scholar] [CrossRef] [Green Version]
- Tamaki, S.; Matsuo, S.; Wong, H.L.; Yokoi, S.; Shimamoto, K. Hd3a protein is a mobile flowering signal in rice. Science 2007, 316, 1033–1036. [Google Scholar] [CrossRef]
- Kong, F.; Liu, B.; Xia, Z.; Sato, S.; Kim, B.; Watanabe, S.; Yamada, T.; Tabata, S.; Kanazawa, A.; Harada, K.; et al. Two coordinately regulated homologs of FLOWERING LOCUS T are involved in the control of photoperiodic flowering in soybean. Plant Physiol. 2010, 154, 1220–1231. [Google Scholar] [CrossRef] [Green Version]
- Lee, R.; Baldwin, S.; Kenel, F.; McCallum, J.; Macknight, R. FLOWERING LOCUS T genes control onion bulb formation and flowering. Nat. Commun. 2013, 4, 2884. [Google Scholar] [CrossRef] [Green Version]
- Lu, H.; Lin, T.; Klein, J.; Wang, S.; Qi, J.; Zhou, Q.; Sun, J.; Zhang, Z.; Weng, Y.; Huang, S. QTL-seq identifies an early flowering QTL located near Flowering Locus T in cucumber. Theor. Appl. Genet. 2014, 127, 1491–1499. [Google Scholar] [CrossRef]
- Li, Y.; Liu, G.F.; Ma, L.M.; Liu, T.K.; Zhang, C.W.; Xiao, D.; Zheng, H.K.; Chen, F.; Hou, X.L. A chromosome-level reference genome of non-heading Chinese cabbage [Brassica campestris (syn. Brassica rapa) ssp. chinensis]. Hortic. Res. 2020, 7, 212. [Google Scholar] [CrossRef]
- Liu, T.; Li, Y.; Ren, J.; Zhang, C.; Kong, M.; Song, X.M.; Zhou, J.; Hou, X. Over-expression of BcFLC1 from Non-heading Chinese cabbage enhances cold tolerance in Arabidopsis. Biol. Plantarum. 2013, 57, 262–266. [Google Scholar] [CrossRef]
- Huang, F.Y.; Liu, T.K.; Wang, J.; Hou, X.L. Isolation and functional characterization of a floral repressor, BcFLC2, from Pak-choi (Brassica rapa ssp. chinensis). Planta 2018, 248, 423–435. [Google Scholar] [CrossRef]
- Huang, F.Y.; Liu, T.K.; Tang, J.; Duan, W.K.; Hou, X.L. BcMAF2 activates BcTEM1 and represses flowering in Pak-choi (Brassica rapa ssp. chinensis). Plant Mol. Biol. 2019, 100, 19–32. [Google Scholar] [CrossRef]
- Wu, X.T.; Shao, S.X.; Li, Y.; Zhang, C.W.; Hou, X.L.; Shen, Z.G.; Liu, T.K. Cloning of BrCDF1 gene and protein subcellular localization and identification of its interaction with BrFKF1 in non-heading Chinese cabbage. J. Nanjing Agric. Univ. 2017, 40, 812–819. [Google Scholar]
- Zhang, B.; Liu, T.K.; Huang, F.Y.; Shao, S.X.; Wu, X.T.; Hou, X.L. Subcellular localization and interaction proteins screening of flowering gene BcFT in non-heading Chinese cabbage. J. Nanjing Agric. Univ. 2017, 40, 592–600. [Google Scholar]
- Wang, H.Y.; Ren, H.B.; Li, L.; Liu, T.K.; Cheng, Y.Q.; Hou, X.L. Cloning, subcellular localization and silencing function verification of BcGI gene involved in flowering pathway in non-heading Chinese cabbage. J. Nanjing Agric. Univ. 2019, 42, 648–656. [Google Scholar]
- Murray, M.; Thompson, W.F. Rapid isolation of high molecular weight plant DNA. Nucleic Acids Res. 1980, 8, 4321–4326. [Google Scholar] [CrossRef] [Green Version]
- Li, H.; Durbin, R. Fast and accurate short read alignment with Burrows-Wheeler transform. Bioinformatics 2009, 25, 1754–1760. [Google Scholar] [CrossRef] [Green Version]
- Livak, K.J.; Schmittgen, T.D. Analysis of relative gene expression data using real-time quantitative PCR and the 2 − ∆∆CT method. Methods 2001, 25, 402–408. [Google Scholar] [CrossRef] [PubMed]
- Wang, Z.Z.; Hou, R.X.; Li, X.F.; Zhu, H.F.; Zhu, Y.Y. Effects of vernalizaiton time on budding, bolting and flowering of pakchoi. Acta Agric. Shanghai 2013, 29, 50–53. [Google Scholar]
- Rosental, L.; Still, D.W.; You, Y.; Hayes, R.J.; Simko, I. Mapping and identification of genetic loci affecting earliness of bolting and flowering in lettuce. Theor. Appl. Genet. 2021, 134, 3319–3337. [Google Scholar] [CrossRef] [PubMed]
- Kamran, A.; Iqbal, M.; Navabi, A.; Randhawa, H.; Pozniak, C.; Spaner, D. Earliness per se QTLs and their interaction with the photoperiod insensitive allele Ppd-D1a in the Cutler x AC Barrie spring wheat population. Theor. Appl. Genet. 2013, 126, 1965–1976. [Google Scholar] [CrossRef]
- Liu, Y.T.; Li, C.Y.; Shi, X.X.; Feng, H.; Wang, Y.G. Identification of QTLs with additive, epistatic, and QTL × environment interaction effects for the bolting trait in Brassica rapa L. Euphytica 2016, 210, 427–439. [Google Scholar] [CrossRef]
- Ma, Y.; Chhapekar, S.S.; Rameneni, J.J.; Kim, S.; Gan, T.H.; Choi, S.R.; Lim, Y.P. Identification of QTLs and candidate genes related to flower traits and bolting time in Radish (Raphanus sativus L.). Agronomy 2021, 11, 1623. [Google Scholar] [CrossRef]
- Sheldon, C.C.; Burn, J.E.; Perez, P.P.; Metzger, J.; Edwards, J.A.; Peacock, W.J.; Dennis, E.S. The FLF MADS box gene: A repressor of flowering in Arabidopsis regulated by vernalization and methylation. Plant Cell. 1999, 11, 445–458. [Google Scholar] [CrossRef] [Green Version]
- Sheldon, C.C.; Rouse, D.T.; Finnegan, E.J.; Peacock, W.J.; Dennis, E.S. The molecular basis of vernalization: The central role of FLOWERING LOCUS C (FLC). Proc. Natl. Acad. Sci. USA 2000, 97, 3753–3758. [Google Scholar] [CrossRef]
- Sheldon, C.C.; Hills, M.J.; Lister, C.; Dean, C.; Dennis, E.S.; Peacock, W.J. Resetting of FLOWERING LOCUS C expression after epigenetic repression by vernalization. Proc. Natl. Acad. Sci. USA 2008, 105, 2214–2219. [Google Scholar] [CrossRef] [Green Version]
- Schmitz, R.J.; Amasino, R.M. Vernalization:a model for investigating epigenetics and eukaryotic gene regulation in plants. Biochim. Biophys. Acta 2007, 1769, 269–275. [Google Scholar] [CrossRef]
- Searle, I.; He, Y.; Turck, F.; Vincent, C.; Fornara, F.; Kröber, S.; Amasino, R.A.; Coupland, G. The transcription factor FLC confers a flowering response to vernalization by repressing meristem competence and systemic signaling in Arabidopsis. Genes Dev. 2006, 20, 898–912. [Google Scholar] [CrossRef] [Green Version]
- Deng, W.; Ying, C.; Helliwell, A.; Taylor, J.M.; Peacock, W.J.; Dennis, E.S. FLOWERING LOCUS C (FLC) regulates development pathways throughout the life cycle of Arabidopsis. Proc. Natl. Acad. Sci. USA 2011, 108, 6680–6685. [Google Scholar] [CrossRef] [Green Version]
- Abe, M.; Kobayashi, Y.; Yamamoto, S.; Daimon, Y.; Yamaguchi, A.; Ikeda, Y.; Ichinoki, H.; Notaguchi, M.; Goto, K.; Araki, T. FD, a bZIP protein mediating signals from the floral pathway integrator FT at the shoot apex. Science 2005, 309, 1052–1056. [Google Scholar] [CrossRef]
- Wigge, P.A.; Kim, M.C.; Jaeger, K.E.; Busch, W.; Schmid, M.; Lohmann, J.U.; Weigel, D. Integration of spatial and temporal information during floral induction in Arabidopsis. Science 2005, 309, 1056–1059. [Google Scholar] [CrossRef]
- Turnbull, C. Long-distance regulation of flowering time. J. Exp. Bot. 2011, 62, 4399–4413. [Google Scholar] [CrossRef] [Green Version]
- Maheswaran, M.; Huang, N.; Sreerangasamy, S.; McCouch, S. Mapping quantitative trait loci associated with days to flowering and photoperiod sensitivity in rice (Oryza sativa L.). Mol. Breed. 2000, 6, 145–155. [Google Scholar] [CrossRef]
- Zhao, J.; Kulkarni, V.; Liu, N.; Del Carpio, D.P.; Bucher, J.; Bonnema, G. BrFLC2 (FLOWERING LOCUS C) as a candidate gene for a vernalization response QTL in Brassica rapa. J. Exp. Bot. 2010, 61, 1817–1825. [Google Scholar] [CrossRef] [PubMed] [Green Version]
- Zhang, X.M.; Meng, L.; Liu, B.; Hu, Y.Y.; Cheng, F.; Liang, J.L.; Aarts, M.G.M.; Wang, X.W.; Wu, J. A transposon insertion in FLOWERING LOCUS T is associated with delayed flowering in Brassica rapa. Plant Sci. 2015, 241, 211–220. [Google Scholar] [CrossRef]
- Shu, J.S.; Liu, Y.M.; Zhang, L.L.; Li, Z.S.; Fang, Z.Y.; Yang, L.M.; Zhuang, M.; Zhang, Y.Y.; Lv, H.H. QTL-seq for rapid identification of candidate genes for flowering time in broccoli × cabbage. Theor. Appl. Genet. 2018, 131, 917–928. [Google Scholar] [CrossRef]
- Gao, H.; Jin, M.N.; Zheng, X.M.; Chen, J.; Yuan, D.Y.; Xin, Y.Y.; Wang, M.Q.; Huang, D.Y.; Zhang, Z.; Zhou, K.N.; et al. Days to heading 7, a major quantitative locus determining photoperiod sensitivity and regional adaptation in rice. Proc. Natl. Acad. Sci. USA 2014, 111, 16337–16342. [Google Scholar] [CrossRef] [Green Version]
- Tian, Z.; Jahn, M.; Qin, X.D.; Obel, H.O.; Yang, F.; Li, J.; Chen, J.F. Genetic and transcriptomic analysis reveal the molecular basis of photoperiod-regulated flowering in Xishuangbanna cucumber (Cucumis sativus L. var. xishuangbannesis Qi et Yuan). Genes 2021, 12, 1064. [Google Scholar] [CrossRef]
- Xiao, D.; Zhao, J.J.; Hou, X.L.; Basnet, R.K.; Carpio, D.P.; Zhang, N.W.; Bucher, J.; Lin, K.F.; Cheng Wang, X.W. The Brassica rapa FLC homologue FLC2 is a key regulator of flowering time, identified through transcriptional co-expression networks. J. Exp. Bot. 2013, 64, 4503–4516. [Google Scholar] [CrossRef] [Green Version]
- Kitamoto, N.; Yui, S.; Nishikawa, K.; Takahata, Y.; Yokoi, S. A naturally occurring long insertion in the first intron in the Brassica rapa FLC2 gene causes delayed bolting. Euphytica 2014, 196, 213–223. [Google Scholar] [CrossRef]
- Kim, S.; Kim, J.A.; Kang, H.; Kim, D.H. A premature stop codon in BrFLC2 transcript results in early flowering in oilseed-type Brassica rapa plants. Plant. Mol. Biol. 2022, 108, 241–255. [Google Scholar] [CrossRef] [PubMed]
- Lou, P.; Zhao, J.J.; Kim, J.S.; Shen, S.; Bonnema, G. Quantitative trait loci for flowering time and morphological traits in multiple populations of Brassica rapa. J. Exp. Bot. 2007, 58, 4005–4016. [Google Scholar] [CrossRef] [PubMed] [Green Version]






| Place | Flowering-Time of Parents and F1 (Days) | Flowering-Time of F2 Populations (Days) | |||||
|---|---|---|---|---|---|---|---|
| wym-97 | cx-49 | F1 | Range | Mean ± SD | Kurtosis | Skewness | |
| Hangzhou | 128 ± 0.42 | 65 ± 0.39 | 96 ± 0.51 | 74–120 | 92.7 ± 0.59 | −0.63 | 0.26 |
| Lishui | 120 ± 0.47 | 61 ± 0.36 | 91 ± 0.49 | 70–118 | 91.5 ± 0.63 | −0.2 | 0.43 |
| Sample Name | Clean_Base | Q30 (%) | Mapped (%) | Average Depth | Cov_Ratio_1X (%) |
|---|---|---|---|---|---|
| wym-97 | 83,327,924 | 93.46 | 97.60 | 28.71 | 89.34 |
| cx-49 | 83,659,410 | 93.12 | 97.67 | 29.50 | 90.11 |
| E1-bulk | 233,767,054 | 91.46 | 97.56 | 74.54 | 94.98 |
| L1-bulk | 227,951,542 | 90.91 | 97.38 | 69.76 | 94.91 |
| E2-bulk | 159,912,040 | 90.65 | 97.59 | 61.87 | 95.81 |
| L2-bulk | 164,975,184 | 90.68 | 97.69 | 63.86 | 95.90 |
| Population | QTL | Chr. | Chr. Position (Mb) | Interval (Mb) | Δ(SNP-Index) Range | The Peak Area (Mb) | Δ(SNP-Index) Range of the Top 15% |
|---|---|---|---|---|---|---|---|
| 1-F2 | FT7.1 | A07 | 21.1–25.25 | 4.15 | 0.463–0.530 | 22.90–23.75 | 0.527–0.530 |
| 2-F2 | FT7.2 | A07 | 20.1–26.15 | 6.05 | 0.549–0.671 | 22.65–23.55 | 0.660–0.671 |
| Gene ID | Chr. | Position | Gene Name | Homologous in Arabidopsis | |
|---|---|---|---|---|---|
| BraC07g025350.1 | A07 | 20019254 | 20020489 | GID1A (GA INSENSITIVE DWARF1A) | AT3G05120 |
| BraC07g029460.1 | A07 | 22187954 | 22190945 | Cstf64 (CLEAVAGE STIMULATION FACTOR 64) | AT1G71800 |
| BraC07g030260.1 | A07 | 22638402 | 22640432 | CDF5 (CYCLING DOF FACTOR 5) | AT1G69570 |
| BraC07g030410.1 | A07 | 22738747 | 22742934 | AP1 (APETALA1) | AT1G69120 |
| BraC07g031540.1 | A07 | 23423378 | 23425730 | FT (FLOWERING LOCUS T) | AT1G65480 |
| BraC07g034100.1 | A07 | 24821412 | 24825813 | AP1 (APETALA1) | AT1G69120 |
| BraC07g034480.1 | A07 | 25040930 | 25042186 | CDF5 (CYCLING DOF FACTOR 5) | AT1G69570 |
| BraC07g034690.1 | A07 | 25212811 | 25214341 | UBC1 (UBIQUITIN CONJUGATING ENZYME 1) | AT1G14400 |
Publisher’s Note: MDPI stays neutral with regard to jurisdictional claims in published maps and institutional affiliations. |
© 2022 by the authors. Licensee MDPI, Basel, Switzerland. This article is an open access article distributed under the terms and conditions of the Creative Commons Attribution (CC BY) license (https://creativecommons.org/licenses/by/4.0/).
Share and Cite
Wei, Q.; Hu, T.; Xu, X.; Tian, Z.; Bao, C.; Wang, J.; Pang, H.; Hu, H.; Yan, Y.; Liu, T.; et al. The New Variation in the Promoter Region of FLOWERING LOCUS T Is Involved in Flowering in Brassica rapa. Genes 2022, 13, 1162. https://doi.org/10.3390/genes13071162
Wei Q, Hu T, Xu X, Tian Z, Bao C, Wang J, Pang H, Hu H, Yan Y, Liu T, et al. The New Variation in the Promoter Region of FLOWERING LOCUS T Is Involved in Flowering in Brassica rapa. Genes. 2022; 13(7):1162. https://doi.org/10.3390/genes13071162
Chicago/Turabian StyleWei, Qingzhen, Tianhua Hu, Xinfeng Xu, Zhen Tian, Chonglai Bao, Jinglei Wang, Hongtao Pang, Haijiao Hu, Yaqin Yan, Tongkun Liu, and et al. 2022. "The New Variation in the Promoter Region of FLOWERING LOCUS T Is Involved in Flowering in Brassica rapa" Genes 13, no. 7: 1162. https://doi.org/10.3390/genes13071162
APA StyleWei, Q., Hu, T., Xu, X., Tian, Z., Bao, C., Wang, J., Pang, H., Hu, H., Yan, Y., Liu, T., & Wang, W. (2022). The New Variation in the Promoter Region of FLOWERING LOCUS T Is Involved in Flowering in Brassica rapa. Genes, 13(7), 1162. https://doi.org/10.3390/genes13071162
