Abstract
Background: Insulin-like growth factor 2 is a growth-promoting factor that plays an important role in the growth and development of mammals. A nucleotide substitution in intron 3 of IGF2—which disrupts the ZBED6-binding site—affects muscle mass, organ size, and fat deposition in pigs. The ZBED6-binding site is also conserved in cattle. Methods: In the present study, we introduced mutations in the ZBED6-binding site in intron3 of IGF2 in bovine fetal fibroblasts using the CRISPR/Cas9 system, and investigated the effect of disruption of ZBED6 binding on IGF2 expression. Results: Eleven biallelic-mutant single-cell clones were established, three of which contained no foreign DNA residues. Single-cell clones 93 and 135 were used to produce cloned embryos. Dual-luciferase reporter assay in C2C12 cells demonstrated that the mutation in the ZBED6-binding site increases the promoter 3 activity of bovine IGF2. A total of 49 mutant cloned embryos were transplanted into surrogate cows. Unfortunately, all cloned embryos died before birth. IGF2 was found to be hypomethylated in the only fetus born (stillborn), which may have been due to the incomplete reprogramming. Conclusions: We efficiently constructed IGF2-edited cell lines and cloned embryos, which provided a theoretical basis and experimental materials for beef cattle breeding.
1. Introduction
Insulin-like growth factor 2 (IGF2) is an important growth-promoting factor, which is mainly produced by the liver, and binds to target cell surface receptors to promote cell migration, proliferation, and differentiation [1]. IGF2 plays a central role in embryonic development and muscle cell proliferation in livestock. IGF2 expression is regulated by multiple promoters in mammals; for example, both human IGF2 (P1–P4) and murine Igf2 have four promoters [2], and murine Igf2 includes three promoters (P1–P3) and an upstream promoter (P0) [3,4]. During human embryonic development, IGF2 expression is mainly driven by the P2–P4 promoters, whereas after birth, IGF2 expression gradually decreases. In adult tissues, IGF2 expression is mainly regulated by the P1 promoter [5,6].
The role of IGF2 in muscle growth regulation was first identified in pigs. A quantitative trait locus (QTL) associated with muscle growth, backfat thickness, and heart size was identified in a wild boar × Large White intercross, and the QTL was subsequently found to be located in an IGF2 non-coding region (IGF2-intron3-3072) [7,8,9]. A G-to-A mutation in the QTL has been reported to result in a threefold increase in IGF2 expression in muscles, a 3–4% increase in pig meat production, and a 20% reduction in backfat thickness [9]. IGF2 expression is not different in fetal muscles, and the difference occurs mainly during piglets’ growth after birth. Zinc finger BED-type containing 6 (ZBED6) is a newly discovered transcription factor regulating muscle growth, and is conserved among placental mammals [10,11]. The G-to-A mutation or ZBED6-binding site deletion of IGF2 disrupts the binding of the transcriptional repressor ZBED6, thereby increasing the expression of IGF2 [12,13]. Both Zbed6-knockout mice and ZBED6-binding-site-mutant mice showed enlargement of muscles and internal organs, similar to the findings in pigs with corresponding mutations [14,15]. Furthermore, the muscle enlargement in mice was significantly greater than that in pigs (15–20% vs. 3–4%, respectively), probably because of the long-term selection of pigs for muscle growth [15]. Several studies have investigated the effects of mutations in the ZBED6-binding site in pigs created using CRISPR/Cas9 technology [16,17]. In one study, mutant pigs showed a significant increase in muscle mass, especially in the buttocks, shoulders, and legs. The body weight of 175-day-old and 338-day-old mutant pigs was 18% and 32% higher, respectively, than that of wild-type pigs [16]. In another study, Chinese Bama pigs with a ZBED6-binding-site mutation were obtained via microinjection using the CRISPR/Cas9 system. There was no difference in the birth weight of the mutant Bama pigs and wild-type pigs. However, the growth of knockout pigs was significantly faster than that of wild-type pigs, leading to significant differences in body size [17]. The above findings indicate that ZBED6–IGF2 regulation plays an important role in regulating the growth of muscle and internal organs in placental mammals. Moreover, the sequence around the ZBED6-binding site in the IGF2 gene shows high homology in placental mammals; thus, the mechanism of ZBED6–IGF2 regulation of muscle growth is very conservative [18].
CRISPR/Cas9 technology, employing the Cas9 protein guided by sgRNA for gene editing, has been widely used for disease-resistance breeding and trait improvement in livestock [19,20,21,22]. The present study aimed to establish a ZBED6-binding site double-mutant bovine fibroblast cell line using CRISPR/Cas9 technology, and to explore the effect of ZBED6-binding-site deletion on IGF2 promoter activity. Furthermore, mutant embryos were produced by somatic cell nuclear transfer (SCNT) to investigate the effect of ZBED6-binding-site deletion on the development of cloned embryos. Our study could provide novel resources and new methods for beef cattle breeding.
2. Materials and Methods
2.1. sgRNA Design and Verification
Five pairs of sgRNA were designed based on the ZBED6-binding site in intron 3 of the bovine IGF2 gene using the CRISPR design tool (Zhang lab). The sequence of sgRNAs is displayed in Table S1. Annealed sgRNA was cloned into the pX458 vector (Addgene, Watertown, DC, USA) using BbsI. Bovine fetal fibroblasts (1 × 106; derived from Angus cattle) were transfected with 3 µg of pX458-sgRNA according to the manufacturer’s instructions (Lonza, Basel, Switzerland). After 48–72 h, genomic DNA was extracted, and the target locus mutation was verified by T7 endonuclease I digestion and Sanger sequencing.
2.2. T7 Endonuclease I (T7E1) Digestion
T7E1 can recognize and cleave imperfectly matched DNA. Primers were designed on the basis of sequences upstream and downstream of sgRNA target sites. Approximately 400 ng of PCR products, 1 µL of 10 × Taq DNA polymerase buffer (Takara, Dalian, China), and ddH2O, in a final volume of 10 µL, were used to conduct denaturation and slow annealing. Next, 1.5 µL of T7E1 reaction buffer (NEB, Ipswich, MA, USA), 3 µL of ddH2O, and 0.5 µL of T7E1 (NEB, Ipswich, MA, USA) were added to the annealed product at a final volume of 15 µL, and the reaction mixture was incubated for 1 h at 37 °C. The digestion products were detected by electrophoresis using an 8% polyacrylamide gel or 2.5% agarose gel. The intensity of the digested and undigested bands was analyzed using ImageJ software to calculate the mutation efficiency of the five sgRNAs.
2.3. TA Cloning
PCR products of sgRNA target sites were ligated to the PMD-19T vector (Takara, Dalian, China) and incubated for 2–4 h at 16 °C. The digestion products were transfected into DH5a-competent cells (TransGen, Beijing, China). Bacterial colonies were chosen for PCR. Bacterial colonies containing correctly inserted DNA fragments were sent for sequencing. The sequencing results were aligned with the wild-type sequence using the alignment tool of DNAMAN software to analyze mutation types and calculate mutation efficiency.
2.4. Dual-Luciferase Reporter Assay
The predicted P3 promoter of bovine IGF2 was amplified from bovine fetal fibroblasts and cloned into a HindIII-digested pGL3 basic vector (Promega, Madison, WI, USA) to obtain the pGL3-P3 vector. Fragments of 578 bp containing the mutation site were amplified from bovine fetal fibroblast cell lines containing a homozygous mutation and cloned into KpnI/NheI-digested pGL3-P3 vector with KpnI/NheI to obtain the pGL3-P3-93 vector. C2C12 cells (5 × 105) were transfected with 2 µg of pGL3-P3-93 and 200 ng of pRL-TK. After 36–48 h, cells were collected to detect the luciferase activity according to the protocol of the Dual-Luciferase Assay System (Promega, Madison, WI, USA).
2.5. Single-Cell Clone Culture and Identification
Bovine fetal fibroblasts (1 × 106) were transfected with the vector pX458-sgRNA1 (6 µg), as it showed the highest mutation efficiency. After 24 h, we used flow-cytometry-based cell sorting to obtain cells with GFP expression from the pX458-sgRNA1 vector. Then, the cells were seeded into 10 cm dishes with 150–200 cells per dish. Single-cell clones were selected for expansion and propagation. Until the cells reached >90% confluency, a fraction of the cells was used for genome extraction. PCR was conducted using primers targeting the sequences around the sgRNA target sites. The PCR products were sequenced to verify the target site mutations. Homozygous mutant cell clones were used for SCNT to acquire cloned embryos.
2.6. Somatic Cell Nuclear Transfer
Mature oocytes were enucleated by micromanipulation using a pipette with an inner diameter of 20 µm. Donor cells were injected into the perivitelline space of the enucleated oocytes. Reconstructed embryos were placed into the incubator for 1 h. Then, the reconstructed embryos were activated to fuse using an electrofusion instrument with a pulse (2.2 kV/cm, 20 µs). The reconstructed embryos were incubated in a culture medium supplemented with ionomycin for 5 min, and then washed three times with PBS. The reconstructed embryos were transferred to a culture medium supplemented with 6-dimethylaminopurine (6-DMAP) for 6–8 h. Finally, the successfully fused embryos were selected and placed in mineral-oil-covered medium droplets with 15–20 embryos per droplet, and observed under a stereomicroscope.
2.7. Bisulfite Genomic Sequencing
Genomic DNA was extracted from bovine ears following the protocol of the TIANamp Genomic DNA Kit (TIANGEN, Beijing, China). Approximately 100–500 ng of genomic DNA was subjected to bisulfite treatment using the MethylDetector Bisulfite Modification Kit (Active Motif, Carlsbad, CA, USA) according to the manufacturer’s protocol. The treated DNA was amplified using bisulfite sequencing primers. The PCR products were ligated to the pMD19-T vector. At least 10 bacterial colonies were sequenced. The sequencing results were analyzed using a quantification tool (QUMA; http://quma.cdb.riken.jp/ accessed on 7 March 2022).
3. Results
3.1. Identification of the ZBED6-Binding Site in Bovine IGF2 Intron 3 by Homologous Alignment
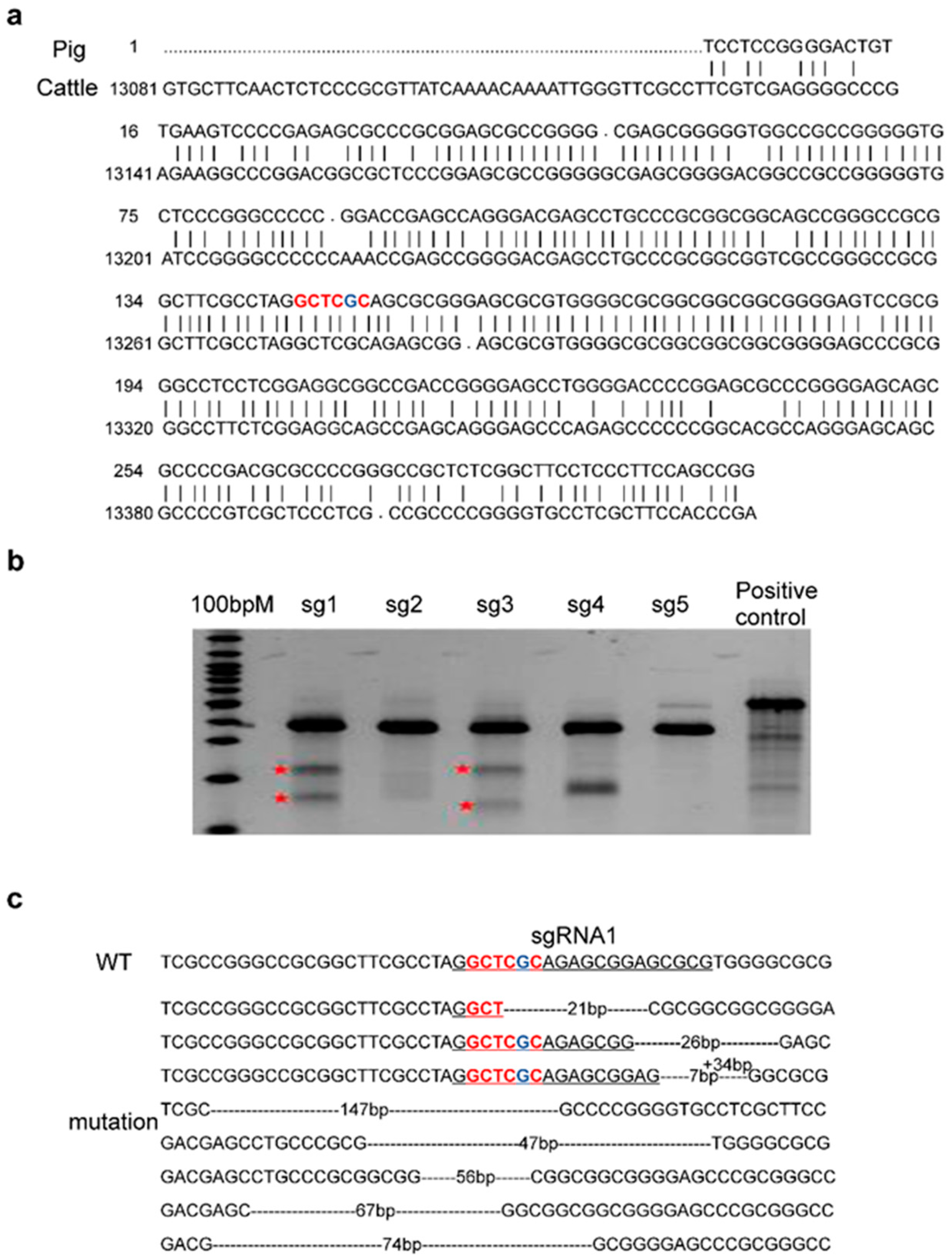
Because there are few studies on the bovine IGF2 gene, we first identified the ZBED6-binding site in the IGF2 intron by homologous alignment. The 300 bp sequence around the ZBED6-binding site (5′-GCTCGC-3′) in intron 3 of porcine IGF2 was aligned with the bovine IGF2 gene (Accession number: NC_037356.1), and a homologous sequence in bovine IGF2 intron 3 with 84% homology with the porcine sequence was identified. The homologous sequence includes the ZBED6-binding site, and the important QTL is located at the bovine IGF2 intron 3 nucleotide 3104 (Figure 1a).
Figure 1.
Prediction of the ZBED6-binding site in bovine IGF2, and determination of sgRNA mutation efficiency: (a) Identification of the ZBED6-binding site in bovine IGF2 intron 3 using homologous alignment. The upper bases of each line are the porcine IGF2 sequence; the lower bases of each line are the bovine IGF2 sequence. (b) Determination of the mutation efficiency of five pairs of sgRNA by T7 endonuclease 1 digestion. The red asterisk marks the fragments digested by T7 endonuclease 1. (c) Determination of the mutation efficiency of sgRNA1 using TA cloning. Bases in red represent the ZBED6-binding site, the base in blue represents the key base of the ZBED6-binding site, underlined bases indicate sgRNA, and dashed lines represent base deletion.
3.2. Design of IGF2 sgRNAs and Mutation Efficiency Verification
Five pairs of sgRNA were designed based on the ZBED6-binding site in the IGF2 intron 3. Bovine fetal fibroblasts were transfected with the sequenced pX458-sgRNA plasmids. The PCR product amplified from the genomic DNA of bovine fetal fibroblasts was digested with T7E1 to evaluate the mutation efficiency. Among the five pairs of sgRNA, sgRNA1 had the highest mutation efficiency, at approximately 27% (Figure 1b). The mutation efficiency of sgRNA1 was further analyzed using TA clone sequencing of its PCR product; 8 of the 32 bacterial colonies showed insertion, deletion, and replacement mutations, with an efficiency of 25% (Figure 1c), which was consistent with the results obtained from T7E1 digestion. SgRNA1 was used for subsequent experiments.
3.3. Construction of IGF2 Mutant Cell Lines with no Foreign DNA Residues
Bovine fetal fibroblasts were transfected with the pX458-sgRNA1 plasmid, and 159 single-cell clones were obtained via flow-cytometry-based cell sorting and dilution culture. PCR and sequencing were performed to detect sgRNA1 target site mutations. Of the 159 single-cell clones, 141 were successfully sequenced. We analyzed the sequencing results and found that 89 single-cell clones showed monoallelic or biallelic mutations. Eleven (23, 36, 45, 51, 89, 93, 105, 129, 135, 143, and 148) single-cell clones were shown to have biallelic deletion of the ZBED6-binding site, as verified by TA cloning and sequencing (Figure 2a). Five clones had one type of mutation, four clones had two types of mutation, and two clones had three types of mutation. The homozygous mutation efficiency was approximately 7.8%. In order to detect the presence of foreign DNA residues, we performed PCR on the Cas9 and green fluorescent protein (GFP) genes of the pX458-sgRNA plasmid, and found that three single-cell clones (93, 105, and 148) had no foreign DNA residues (Figure 2b).
Figure 2.
Identification of mutation types and detection of foreign DNA residues in homozygous mutant single-cell clones: (a) Identification of mutation types in homozygous mutant single-cell clones via TA clone sequencing. Bases in red represent the ZBED6-binding site, the base in blue represents the key base of the ZBED6-binding site, underlined bases indicate sgRNA, and dashed lines represent base deletion. (b) Detection of foreign DNA residues in homozygous mutant single-cell clones using PCR. The upper image shows the fragments amplified from homozygous mutant single-cell clones using primers designed based on the GFP gene; the lower image shows the fragments amplified from homozygous mutant single-cell clones using primers designed based on the Cas9 gene.
3.4. ZBED6-Binding-Site Mutation Can Increase the Expression of IGF2
To investigate whether ZBED6-binding site deletion can increase IGF2 expression, we performed a dual-luciferase reporter assay in C2C12 murine myoblast cells. First, bovine IGF2 P3 promoter was predicted by homologous alignment. The porcine IGF2 P3 promoter was aligned with the bovine IGF2 gene (Accession number NC_037356.1). A homologous sequence (with homology of 90%) was found in bovine IGF2, which was identified as the bovine IGF2 P3 promoter (Figure 3a). Then, we examined the effect of ZBED6-binding-site deletion on P3 promoter activity in C2C12 cells using a dual-luciferase assay. The P3 promoter fragment was ligated into a HindIII-digested pGL3 basic vector to construct the pGL3-P3 plasmid. Fragments (578 bp) flanking the ZBED6-binding site amplified from the wild-type bovine genome and the genome of the single-cell 93 clone were ligated into KpnI- and NheI-digested pGL3-P3 vectors to construct pGL3-P3-WT and pGL3-P3-93, respectively (Figure 3b). C2C12 cells were co-transfected with the control plasmid pRL-TK and the pGL3 basic, pGL3-P3, pGL3-P3-WT, or pGL3-P3-93 plasmids. Cells were harvested after 24–48 h to determine luciferase expression. The expression level of luciferase in cells transfected with the pGL3-P3-93 plasmid containing a ZBED6-binding-site deletion was significantly higher (p ≤ 0.05, approximately 1.8 times) than that in cells containing the pGL3-P3-WT plasmid (Figure 3c).
Figure 3.
Analysis of the effect of ZBED6-binding site knockout on IGF2 P3 activity in murine C2C12 cells, by dual-luciferase reporter assay: (a) Identification of the bovine IGF2 P3 promoter using homologous alignment. The upper bases of each line are the porcine IGF2 P3 sequence; the lower bases of each line are the bovine IGF2 sequence. (b) Design of the four experimental plasmids. The orange rectangle refers to the 578 bp fragment containing the ZBED6-binding site, the blue rectangle refers to the IGF2 P3 promoter, and the green rectangle refers to the luciferase gene. (c) Relative luciferase expression in cells transfected with different plasmids. Data are presented as the mean ± SD (n = 3); * indicates p ≤ 0.05.
3.5. Production of IGF2-Mutant Embryos by Somatic Cell Nuclear Transfer
The single-cell clones 93 and 135 were used to produce cloned embryos by SCNT (Table 1). In order to evaluate the homogeneity of single-cell clones, 7 embryos cloned using single-cell clone 93 and 10 embryos cloned using single-cell clone 135 were sequenced by TA cloning. For cloned embryos, the main mutation types were 41 bp deletion and 22 bp deletion, which corresponded with that in single-cell clones 93 and 135, respectively. Some embryos showed different types of mutations, which may have been due to the limited number of bacterial colonies sequenced for single-cell clones. All embryos showed ZBED6-binding-site deletion, and no wild type was detected (Figure 4a, Figure S1). Therefore, embryos cloned using the single-cell clones 93 and 135 can be used for embryo transfer to produce cloned cattle with ZBED6-binding-site mutation. In addition, Cas-OFFinder software was used to evaluate the off-target effects induced by the CRISPR/Cas9 system, and four potential off-target sites (OT1–OT4) were detected (Table S2). Sequences around off-target sites were amplified by PCR from genomic DNA of single-cell clones 93 and 135. The results of Sanger sequencing showed that no off-target editing occurred in single-cell clones used for producing cloned embryos, indicating the accuracy of the CRISPR/Cas9 system (Figure S2).
Table 1.
In vitro development of NT embryos derived from single-cell clones 93 and 135.
Figure 4.
Mutation types in 93 cloned bovine embryos: Identification of mutation types using TA clone sequencing (a) in embryos cloned using the single-cell clone 93, and (b) in a stillborn fetus. Bases in red represent the ZBED6-binding site, the base in blue represents the key base of the ZBED6-binding site, underlined bases indicate sgRNA, and dashed lines represent base deletion.
3.6. IGF2 Methylation in IGF2-Mutant Cloned Embryos
In total, 17 embryos cloned using single-cell clone 93 were transplanted into the uteri of 17 recipient cows; moreover, 32 embryos cloned using single-cell clone 135 were transplanted into 32 recipient cows (Table 2). Unfortunately, the transplantation of most of the cloned embryos resulted in miscarriage, whereas one embryo resulted in stillbirth; an ear sample was taken from the stillborn fetus for PCR and sequencing, which identified it as a 93-cloned embryo (Figure 4b). All 15 TA clones of the stillborn fetus showed a 41 bp deletion. Methylation analysis showed that the IGF2 differentially methylated region (DMR) of the 93-cloned embryo was hypomethylated compared with living cloned cattle and wild-type cattle (Figure 5). We speculate that aberrant methylation of the IGF2 DMR may be one of the reasons for the death of cloned cattle. In addition, the results of the off-target effect detection of cloned cattle showed that there was no mutation at the potential off-target sites (Figure S2).
Table 2.
In vivo development of NT embryos derived from single-cell clones 93 and 135.
Figure 5.
IGF2 methylation status in stillborn cloned cattle: Methylation levels of IGF2 DMR in wild-type cattle, stillborn cloned cattle, and live cloned cattle. WT represents wild-type cattle; 93# represents stillborn cloned cattle; Live 1 and Live 2 represent live cloned cattle. Each circle represents CpG dinucleotides. The methylation level (%) was based on the percentage of methylated CpGs in all examined CpGs; open circles represent no methylation and filled circles represent methylation.
4. Discussion
ZBED6 is an important transcription factor that regulates IGF2 expression by binding a conserved motif (GCTCG) [11,23]. Knockout of the ZBED6-binding site can enhance IGF2 expression at the cellular level and increase the proliferative ability of muscle cells. The ZBED6-binding site in IGF2 intron 3 is ideal for gene editing because deleting the ZBED6-binding site does not destroy the coding region of IGF2, and does not affect the characteristics of the IGF2 protein. Knockout experiments in pigs and mice have shown that knocking out the ZBED6-binding site can increase IGF2 expression, thereby significantly increasing the growth rate of mice and pigs [7,16,17]. ZBED6-binding-site knockout has higher biosafety than MSTN knockout, and the ZBED6-binding site is an economically valuable region in terms of gene editing. Our study also supports the suppression of IGF2 expression by ZBED6 binding in cattle [24]. Results from the dual-luciferase reporter assay showed that mutation of the bovine ZBED6-binding site significantly upregulated luciferase expression under the bovine IGF2 P3 promoter, indicating that ZBED6-binding-site deletion can enhance IGF2 P3 promoter activity, and that the conserved inhibitory effect of ZBED6 on IGF2 expression also exists in cattle.
In our study, single-cell clones were acquired via flow-cytometry-based cell sorting on the basis of the presence of GFP, and no drug resistance pressure was used during the selection and culturing processes. Most of the sgRNA vectors were lost during cell proliferation. We also used PCR to identify the residual state of foreign vectors, and acquired single-cell clones without foreign gene residues, which made our new breeding materials more biologically safe. Of the 141 successfully sequenced single-cell clones, 89 were mutant clones, of which 78 and 11 showed monoallelic and biallelic mutations, respectively. Thus, flow-cytometry-based cell sorting is a very effective screening method. The mutation patterns observed in the homozygous cell clones were diverse, including one, two, and three types of mutations. In addition to the main mutations (the 41 bp deletion and 22 bp deletion), the seven embryos cloned using single-cell clone 93 contained many other mutation patterns, which may have been due to the low sequencing depth of TA clone sequencing, meaning that a small proportion of the mutation patterns in the single-cell clones could not be identified. The multiple mutation patterns in the single-cell clones and cloned embryos indicated that sgRNA vectors may persist for more than one cell cycle in bovine fetal fibroblasts.
For the SCNT, apart from single-cell clone 93—which showed no foreign gene residues—we also selected single-cell clone 135, with the smallest deletion. However, all 49 cloned embryos died after transplantation. The sole stillbirth showed hypomethylation in the IGF2 DMR, which may have been due to the incomplete reprogramming of the cloned embryos. Improper reprogramming of epigenetic modifications during SCNT can cause embryonic defects. These reprogramming errors include imprinted genes, histone modifications, and X-chromosome inactivation [25]. The survival rate of cloned bovine embryos is about 5–10% [26]. The majority of cloned embryos died because of the cloning technology. Nevertheless, we cannot rule out the possibility that the deaths were caused by high IGF2 expression. The IGF2 gene is a paternally imprinted gene that is associated with fetal growth [27]. Abnormal methylation of the IGF2 DMR and ectopic IGF2 expression in cloned embryos can cause symptoms such as large offspring and placental defects [28,29,30]. Although ZBED6-binding-site knockout in mice and pigs did not eliminate the imprinting effect of IGF2, the inhibitory effect of ZBED6 on IGF2 needs to be further studied in cattle. In addition, in order to avoid the embryonic defects caused by SCNT, we intend to use pronuclear injection with the CRISPR/Cas9 system in embryos fertilized in vitro to explore the effects of eliminating the inhibitory effect of ZBED6 on IGF2 on bovine development.
5. Conclusions
We successfully constructed ZBED6-binding-site-knockout cell lines and cloned embryos, with no foreign gene residues. Furthermore, the results of dual-luciferase reporter assay in C2C12 cells showed that knocking out the ZBED6-binding site can increase the activity of the bovine IGF2 promoter, indicating that ZBED6–IGF2 regulation is conserved in cattle. However, due to the high failure rate inherent to somatic cell cloning, we did not obtain live IGF2-edited cattle. In the future, more research is needed to investigate the regulation of IGF2 and obtain high-yield beef cattle by editing IGF2.
Supplementary Materials
The following supporting information can be downloaded at: https://www.mdpi.com/article/10.3390/genes13071132/s1, Table S1: List of primers used in this study. Table S2: Potential off-target sites. Figure S1: Mutation types in 135 cloned bovine embryos. Figure S2: Detection of the mutation at potential off-target sites by Sanger sequencing.
Author Contributions
H.Z. (Huabin Zhu) and Y.D. designed the research; H.Z. (Huiying Zou), D.Y., S.Y., F.D., J.L., L.L., X.L., S.Z., Y.P., H.H., W.D. and X.Z. performed the experiments and analyzed the data; H.Z. (Huiying Zou), D.Y. and S.Y. wrote the manuscript; H.Z. (Huabin Zhu) and Y.D. reviewed and edited the manuscript. All authors have read and agreed to the published version of the manuscript.
Funding
This research was funded by the Central Public-interest Scientific Institution Basal Research Fund, grant number 2020-YWF-YB-03; the National Transgenic Breeding Project of China, grant number 2018ZX08007001; and the Agricultural Science and Technology Innovation Program, grant number ASTIP-IAS07.
Institutional Review Board Statement
Not applicable.
Informed Consent Statement
Not applicable.
Data Availability Statement
Not applicable.
Conflicts of Interest
The authors declare no conflict of interest.
References
- Rinderknecht, E.; Humbel, R.E. Amino-terminal sequences of two polypeptides from human serum with nonsuppressible insulin-like and cell-growth-promoting activities: Evidence for structural homology with insulin B chain. Proc. Natl. Acad. Sci. USA 1976, 73, 4379–4381. [Google Scholar] [CrossRef] [PubMed] [Green Version]
- van Dijk, M.A.; van Schaik, F.M.; Bootsma, H.J.; Holthuizen, P.; Sussenbach, J.S. Initial characterization of the four promoters of the human insulin-like growth factor II gene. Mol. Cell. Endocrinol. 1991, 81, 81–94. [Google Scholar] [CrossRef]
- Constancia, M.; Hemberger, M.; Hughes, J.; Dean, W.; Ferguson-Smith, A.; Fundele, R.; Stewart, F.; Kelsey, G.; Fowden, A.; Sibley, C.; et al. Placental-specific IGF-II is a major modulator of placental and fetal growth. Nature 2002, 417, 945–948. [Google Scholar] [CrossRef] [PubMed]
- Moore, T.; Constancia, M.; Zubair, M.; Bailleul, B.; Feil, R.; Sasaki, H.; Reik, W. Multiple imprinted sense and antisense transcripts, differential methylation and tandem repeats in a putative imprinting control region upstream of mouse Igf2. Proc. Natl. Acad. Sci. USA 1997, 94, 12509–12514. [Google Scholar] [CrossRef] [Green Version]
- Ohlsson, R.; Hedborg, F.; Holmgren, L.; Walsh, C.; Ekstrom, T.J. Overlapping patterns of IGF2 and H19 expression during human development: Biallelic IGF2 expression correlates with a lack of H19 expression. Development 1994, 120, 361–368. [Google Scholar] [CrossRef]
- Ekstrom, T.J.; Cui, H.; Li, X.; Ohlsson, R. Promoter-specific IGF2 imprinting status and its plasticity during human liver development. Development 1995, 121, 309–316. [Google Scholar] [CrossRef]
- Andersson-Eklund, L.; Marklund, L.; Lundstrom, K.; Haley, C.S.; Andersson, K.; Hansson, I.; Moller, M.; Andersson, L. Mapping quantitative trait loci for carcass and meat quality traits in a wild boar x Large White intercross. J. Anim. Sci. 1998, 76, 694–700. [Google Scholar] [CrossRef] [Green Version]
- Jeon, J.T.; Carlborg, O.; Tornsten, A.; Giuffra, E.; Amarger, V.; Chardon, P.; Andersson-Eklund, L.; Andersson, K.; Hansson, I.; Lundstrom, K.; et al. A paternally expressed QTL affecting skeletal and cardiac muscle mass in pigs maps to the IGF2 locus. Nat. Genet. 1999, 21, 157–158. [Google Scholar] [CrossRef]
- Van Laere, A.S.; Nguyen, M.; Braunschweig, M.; Nezer, C.; Collette, C.; Moreau, L.; Archibald, A.L.; Haley, C.S.; Buys, N.; Tally, M.; et al. A regulatory mutation in IGF2 causes a major QTL effect on muscle growth in the pig. Nature 2003, 425, 832–836. [Google Scholar] [CrossRef]
- Markljung, E.; Jiang, L.; Jaffe, J.D.; Mikkelsen, T.S.; Wallerman, O.; Larhammar, M.; Zhang, X.; Wang, L.; Saenz-Vash, V.; Gnirke, A.; et al. ZBED6, a novel transcription factor derived from a domesticated DNA transposon regulates IGF2 expression and muscle growth. PLoS Biol. 2009, 7, e1000256. [Google Scholar] [CrossRef]
- Jiang, L.; Wallerman, O.; Younis, S.; Rubin, C.J.; Gilbert, E.R.; Sundstrom, E.; Ghazal, A.; Zhang, X.; Wang, L.; Mikkelsen, T.S.; et al. ZBED6 modulates the transcription of myogenic genes in mouse myoblast cells. PLoS ONE 2014, 9, e94187. [Google Scholar] [CrossRef] [PubMed] [Green Version]
- Younis, S.; Naboulsi, R.; Wang, X.; Cao, X.; Larsson, M.; Sargsyan, E.; Bergsten, P.; Welsh, N.; Andersson, L. The importance of the ZBED6-IGF2 axis for metabolic regulation in mouse myoblast cells. FASEB J. 2020, 34, 10250–10266. [Google Scholar] [CrossRef] [PubMed]
- Zhao, H.; Mu, M.; Liu, S.; Tang, X.; Yi, X.; Li, Q.; Wang, S.; Sun, X. Liver Expression of IGF2 and Related Proteins in ZBED6 Gene-Edited Pig by RNA-Seq. Animals 2020, 10, 2184. [Google Scholar] [CrossRef] [PubMed]
- Wang, D.; Pan, D.; Xie, B.; Wang, S.; Xing, X.; Liu, X.; Ma, Y.; Andersson, L.; Wu, J.; Jiang, L. Porcine ZBED6 regulates growth of skeletal muscle and internal organs via multiple targets. PLoS Genet. 2021, 17, e1009862. [Google Scholar] [CrossRef]
- Younis, S.; Schonke, M.; Massart, J.; Hjortebjerg, R.; Sundstrom, E.; Gustafson, U.; Bjornholm, M.; Krook, A.; Frystyk, J.; Zierath, J.R.; et al. The ZBED6-IGF2 axis has a major effect on growth of skeletal muscle and internal organs in placental mammals. Proc. Natl. Acad. Sci. USA 2018, 115, E2048–E2057. [Google Scholar] [CrossRef] [Green Version]
- Liu, X.; Liu, H.; Wang, M.; Li, R.; Zeng, J.; Mo, D.; Cong, P.; Liu, X.; Chen, Y.; He, Z. Disruption of the ZBED6 binding site in intron 3 of IGF2 by CRISPR/Cas9 leads to enhanced muscle development in Liang Guang Small Spotted pigs. Transgenic Res. 2019, 28, 141–150. [Google Scholar] [CrossRef]
- Xiang, G.; Ren, J.; Hai, T.; Fu, R.; Yu, D.; Wang, J.; Li, W.; Wang, H.; Zhou, Q. Editing porcine IGF2 regulatory element improved meat production in Chinese Bama pigs. Cell. Mol. Life Sci. 2018, 75, 4619–4628. [Google Scholar] [CrossRef]
- Andersson, L.; Andersson, G.; Hjalm, G.; Jiang, L.; Lindblad-Toh, K.; Lindroth, A.M.; Markljung, E.; Nystrom, A.M.; Rubin, C.J.; Sundstrom, E. ZBED6: The birth of a new transcription factor in the common ancestor of placental mammals. Transcription 2010, 1, 144–148. [Google Scholar] [CrossRef] [Green Version]
- Gao, Y.; Wu, H.; Wang, Y.; Liu, X.; Chen, L.; Li, Q.; Cui, C.; Liu, X.; Zhang, J.; Zhang, Y. Single Cas9 nickase induced generation of NRAMP1 knockin cattle with reduced off-target effects. Genome Biol. 2017, 18, 13. [Google Scholar] [CrossRef] [Green Version]
- Burkard, C.; Opriessnig, T.; Mileham, A.J.; Stadejek, T.; Ait-Ali, T.; Lillico, S.G.; Whitelaw, C.B.A.; Archibald, A.L. Pigs Lacking the Scavenger Receptor Cysteine-Rich Domain 5 of CD163 Are Resistant to Porcine Reproductive and Respiratory Syndrome Virus 1 Infection. J. Virol. 2018, 92, e00415-18. [Google Scholar] [CrossRef] [Green Version]
- He, Z.; Zhang, T.; Jiang, L.; Zhou, M.; Wu, D.; Mei, J.; Cheng, Y. Use of CRISPR/Cas9 technology efficiently targetted goat myostatin through zygotes microinjection resulting in double-muscled phenotype in goats. Biosci. Rep. 2018, 38, BSR20180742. [Google Scholar] [CrossRef] [PubMed] [Green Version]
- Wang, X.; Niu, Y.; Zhou, J.; Zhu, H.; Ma, B.; Yu, H.; Yan, H.; Hua, J.; Huang, X.; Qu, L.; et al. CRISPR/Cas9-mediated MSTN disruption and heritable mutagenesis in goats causes increased body mass. Anim. Genet. 2018, 49, 43–51. [Google Scholar] [CrossRef] [PubMed]
- Naboulsi, R.; Larsson, M.; Andersson, L.; Younis, S. ZBED6 regulates Igf2 expression partially through its regulation of miR483 expression. Sci. Rep. 2021, 11, 19484. [Google Scholar] [CrossRef] [PubMed]
- Huang, Y.Z.; Zhang, L.Z.; Lai, X.S.; Li, M.X.; Sun, Y.J.; Li, C.J.; Lan, X.Y.; Lei, C.Z.; Zhang, C.L.; Zhao, X.; et al. Transcription factor ZBED6 mediates IGF2 gene expression by regulating promoter activity and DNA methylation in myoblasts. Sci. Rep. 2014, 4, 4570. [Google Scholar] [CrossRef] [Green Version]
- Matoba, S.; Zhang, Y. Somatic Cell Nuclear Transfer Reprogramming: Mechanisms and Applications. Cell Stem. Cell 2018, 23, 471–485. [Google Scholar] [CrossRef] [PubMed] [Green Version]
- Yang, X.; Smith, S.L.; Tian, X.C.; Lewin, H.A.; Renard, J.P.; Wakayama, T. Nuclear reprogramming of cloned embryos and its implications for therapeutic cloning. Nat. Genet. 2007, 39, 295–302. [Google Scholar] [CrossRef]
- DeChiara, T.M.; Robertson, E.J.; Efstratiadis, A. Parental imprinting of the mouse insulin-like growth factor II gene. Cell 1991, 64, 849–859. [Google Scholar] [CrossRef]
- Li, S.; Li, Y.; Yu, S.; Du, W.; Zhang, L.; Dai, Y.; Liu, Y.; Li, N. Expression of insulin-like growth factors systems in cloned cattle dead within hours after birth. Mol. Reprod. Dev. 2007, 74, 397–402. [Google Scholar] [CrossRef]
- Shen, C.J.; Lin, C.C.; Shen, P.C.; Cheng, W.T.; Chen, H.L.; Chang, T.C.; Liu, S.S.; Chen, C.M. Imprinted genes and satellite loci are differentially methylated in bovine somatic cell nuclear transfer clones. Cell. Reprogramm. 2013, 15, 413–424. [Google Scholar] [CrossRef] [Green Version]
- Yang, L.; Chavatte-Palmer, P.; Kubota, C.; O’Neill, M.; Hoagland, T.; Renard, J.P.; Taneja, M.; Yang, X.; Tian, X.C. Expression of imprinted genes is aberrant in deceased newborn cloned calves and relatively normal in surviving adult clones. Mol. Reprod. Dev. 2005, 71, 431–438. [Google Scholar] [CrossRef] [Green Version]
Publisher’s Note: MDPI stays neutral with regard to jurisdictional claims in published maps and institutional affiliations. |
© 2022 by the authors. Licensee MDPI, Basel, Switzerland. This article is an open access article distributed under the terms and conditions of the Creative Commons Attribution (CC BY) license (https://creativecommons.org/licenses/by/4.0/).




