Genotyping of Coxiella burnetii from Cattle by Multispacer Sequence Typing and Multiple Locus Variable Number of Tandem Repeat Analysis in the Republic of Korea
Abstract
1. Introduction
2. Materials and Methods
2.1. Samples
2.2. DNA Extraction and Detection of C. burnetii
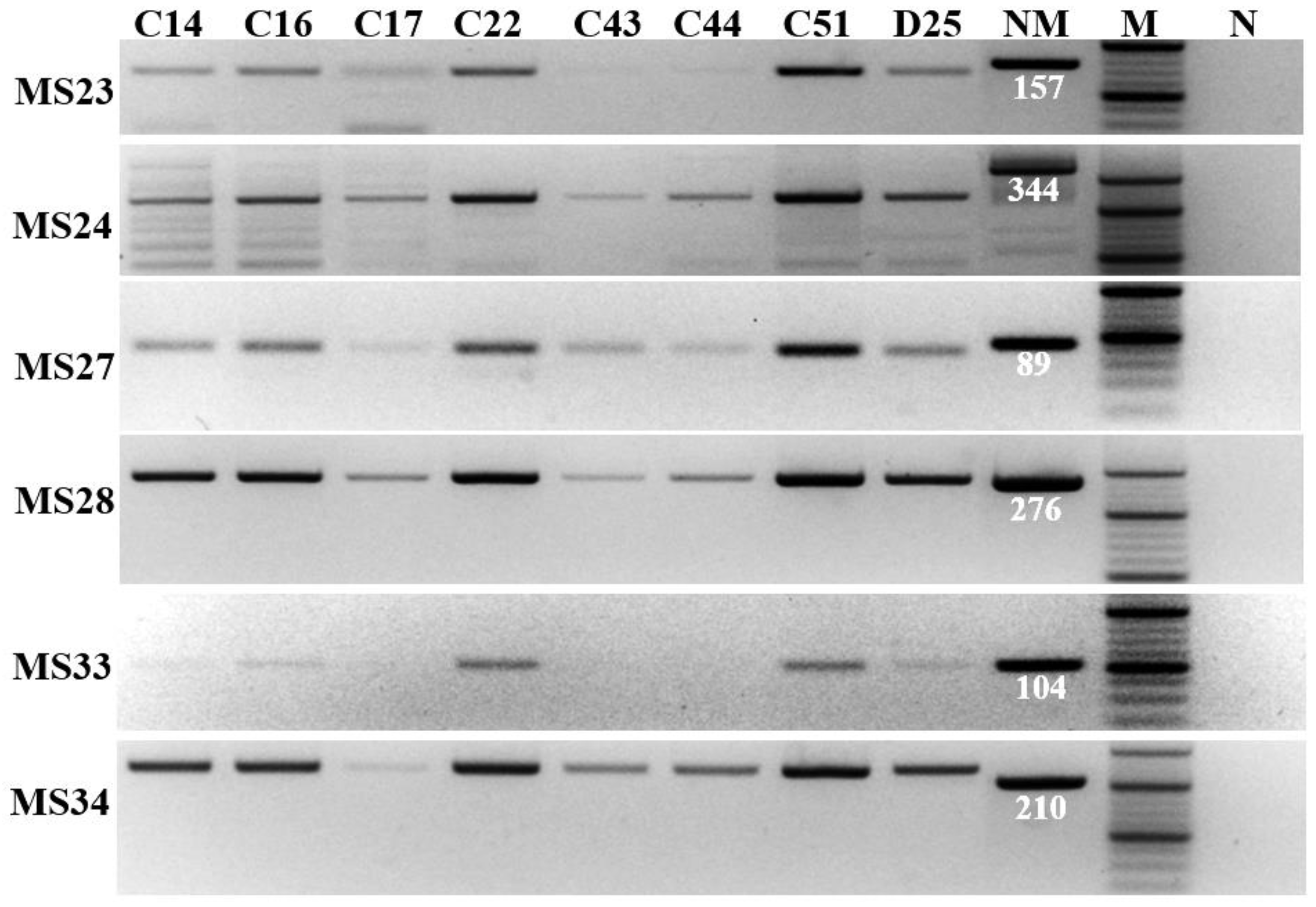
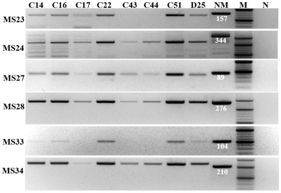
2.3. Multiple Locus Variable Number Tandem Repeat Analysis (MLVA)
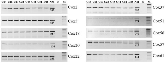
2.4. Multispacer Sequence Typing (MST)
3. Results
4. Discussion
5. Conclusions
Author Contributions
Funding
Institutional Review Board Statement
Informed Consent Statement
Data Availability Statement
Acknowledgments
Conflicts of Interest
References
- Shaw, E.I.; Voth, D.E. Coxiella burnetii: A Pathogenic Intracellular Acidophile. Microbiology 2019, 165, 1–3. [Google Scholar] [CrossRef] [PubMed]
- Colville, J.; Berryhill, D.L. Q fever. In Handbook of Zoonoses: Identification and Prevention; Colville, J., Berryhill, D.L., Eds.; Mosby Elsevier: St. Louis, MO, USA, 2007. [Google Scholar]
- Bronner, M.B.; Haagsma, J.A.; Dontje, M.L.; Barmentloo, L.; Kouwenberg, R.; Olde Loohuis, A.; de Groot, A.; Erasmus, V.; Polinder, S. Long-term impact of a Q-fever outbreak: An evaluation of health symptoms, health-related quality of life, participation and health care satisfaction after ten years. J. Psychosom. Res. 2020, 139, 110258. [Google Scholar] [CrossRef] [PubMed]
- Agerholm, J. Coxiella burnetii associated reproductive disorders in domestic animals-a critical review. Acta Vet. Scand. 2013, 55, 13. [Google Scholar] [CrossRef] [PubMed]
- Maurin, M.; Raoult, D. Q fever. Clin. Microbiol. Rev. 1999, 12, 518–553. [Google Scholar] [CrossRef]
- Tissot-Dupont, H.; Raoult, D. Q Fever. Infect. Dis. Clin. N. Am. 2008, 22, 505–514. [Google Scholar] [CrossRef] [PubMed]
- Astobiza, I.; Tilburg, J.J.; Piñero, A.; Hurtado, A.; García-Pérez, A.L.; Nabuurs-Franssen, M.H.; Klaassen, C.H. Genotyping of Coxiella burnetii from domestic ruminants in northern Spain. BMC Vet. Res. 2012, 8, 241. [Google Scholar] [CrossRef]
- Di Domenico, M.; Curini, V.; Di Lollo, V.; Massimini, M.; Di Gialleonardo, L.; Franco, A.; Caprioli, A.; Battisti, A.; Cammà, C. Genetic diversity of Coxiella burnetii in domestic ruminants in central Italy. BMC Vet. Res. 2018, 14, 171. [Google Scholar] [CrossRef]
- Jager, C.; Willems, H.; Thiele, D.; Baljer, G. Molecular characterization of Coxiella burnetii isolates. Epidemiol. Infect. 1998, 120, 157–164. [Google Scholar] [CrossRef]
- Nguyen, S.V.; Hirai, K. Differentiation of Coxiella burnetii isolates by sequence determination and PCR-restriction fragment length polymorphism analysis of isocitrate dehydrogenase gene. FEMS Microbiol. Lett. 1999, 180, 249–254. [Google Scholar] [CrossRef]
- Hendrix, L.R.; Samuel, J.E.; Mallavia, L.P. Differentiation of Coxiella burnetii isolates by analysis of restriction-endonuclease-digested DNA separated by SDS-PAGE. J. Gen. Microbiol. 1991, 137, 269–276. [Google Scholar] [CrossRef]
- Sekeyova, Z.; Roux, V.; Raoult, D. Intraspecies diversity of Coxiella burnetii as revealed by com1 and mucZ sequence comparison. FEMS Microbiol. Lett. 1999, 180, 61–67. [Google Scholar] [CrossRef]
- Massung, R.F.; Cutler, S.J.; Frangoulidis, D. Molecular typing of Coxiella burnetii (Q fever). Adv. Exp. Med. Biol. 2012, 984, 381–396. [Google Scholar]
- Glazunova, O.; Roux, V.; Freylikman, O.; Sekeyova, Z.; Fournous, G.; Tyczka, J.; Tokarevich, N.; Kovacava, E.; Marrie, T.J.; Raoult, D. Coxiella burnetii genotyping. Emerg. Infect. Dis. 2005, 11, 1211–1217. [Google Scholar] [CrossRef] [PubMed]
- Arricau-Bouvery, N.; Hauck, Y.; Bejaoui, A.; Frangoulidis, D.; Bodier, C.C.; Souriau, A.; Meyer, H.; Neubauer, H.; Rodolakis, A.; Vergnaud, G. Molecular characterization of Coxiella burnetii isolates by infrequent restriction site-PCR and MLVA typing. BMC Microbiol. 2006, 6, 38. [Google Scholar] [CrossRef]
- Svraka, S.; Toman, R.; Skultety, L.; Slaba, K.; Homan, W.L. Establishment of a genotyping scheme for Coxiella burnetii. FEMS Microbiol. Lett. 2006, 254, 268–274. [Google Scholar] [CrossRef] [PubMed]
- Hornstra, H.M.; Priestley, R.A.; Georgia, S.M.; Kachur, S.; Birdsell, D.N.; Hilsabeck, R.; Gates, L.T.; Samuel, J.E.; Heinzen, R.A.; Kersh, G.J.; et al. Rapid typing of Coxiella burnetii. PLoS ONE 2011, 6, e26201. [Google Scholar] [CrossRef] [PubMed]
- van Belkum, A. Tracing isolates of bacterial species by multilocus variable number of tandem repeat analysis (MLVA). FEMS Immunol. Med. Microbiol. 2007, 49, 22–27. [Google Scholar] [CrossRef]
- Seo, M.G.; Ouh, I.O.; Lee, S.H.; Kim, J.W.; Rhee, M.H.; Kwon, O.D.; Kim, T.H.; Kwak, D. Prevalence of Coxiella burnetii in cattle at South Korean national breeding stock farms. PLoS ONE 2017, 12, e0177478. [Google Scholar] [CrossRef]
- Truong, A.-T.; Yun, B.R.; Lim, J.; Min, S.; Yoo, M.S.; Yoon, S.S.; Yun, Y.M.; Kim, J.T.; Cho, Y.S. Real-time PCR biochip for on-site detection of Coxiella burnetii in ticks. Parasit. Vectors 2021, 14, 239. [Google Scholar] [CrossRef]
- Lee, S.H.; Lee, J.H.; Park, S.; Lee, H.K.; Do Hwang, S.; Jeong, H.W.; Heo, J.Y.; Lee, Y.S. Isolation of Coxiella burnetii in patients with nonspecific febrile illness in South Korea. BMC Infect. Dis. 2020, 20, 421. [Google Scholar] [CrossRef]
- Klee, S.R.; Tyczka, J.; Ellerbrok, H.; Franz, T.; Linke, S.; Baljer, G.; Appel, B. Highly sensitive real-time PCR for specific detection and quantification of Coxiella burnetii. BMC Microbiol. 2006, 6, 2. [Google Scholar] [CrossRef] [PubMed]
- Larkin, M.A.; Blackshields, G.; Brown, N.P.; Chenna, R.; McGettigan, P.A.; McWilliam, H.; Valentin, F.; Wallace, I.M.; Wilm, A.; Lopez, R.; et al. Clustal W and Clustal X version 2.0. Bioinformatics 2007, 23, 2947–2948. [Google Scholar] [CrossRef] [PubMed]
- Kumar, S.; Stecher, G.; Tamura, K. MEGA7: Molecular evolutionary genetics analysis Version 7.0 for bigger datasets. Mol. Biol. Evol. 2016, 33, 1870–1874. [Google Scholar] [CrossRef] [PubMed]
- Szymańska-Czerwińska, M.; Jodełko, A.; Zaręba-Marchewka, K.; Niemczuk, K. Shedding and genetic diversity of Coxiella burnetii in Polish dairy cattle. PLoS ONE 2019, 14, e0210244. [Google Scholar] [CrossRef]
- Eldin, C.; Mélenotte, C.; Mediannikov, O.; Ghigo, E.; Million, M.; Edouard, S.; Mege, J.L.; Maurin, M.; Raoult, D. From Q fever to Coxiella burnetii infection: A paradigm change. Clin. Microbiol. Rev. 2017, 30, 115–190. [Google Scholar] [CrossRef]
- Lee, S.H.; Heo, J.Y.; Lee, H.K.; Lee, Y.S.; Jeong, H.W.; Hwang, S.D. Clinical and Genetic Features of Coxiella burnetii in a Patient with an Acute Febrile Illness in Korea. J. Korean Med. Sci. 2017, 32, 1038–1041. [Google Scholar] [CrossRef] [PubMed]





| Locus | Primer | Sequence (5′–3′) | Amplicon Size (bp) | Reference |
|---|---|---|---|---|
| Ms23 | Ms33-F | GGACAAAAATCAATAGCCCGTA | 157 | [8,15] |
| Ms33-R | GAAAACAGAGTTGTGTGGCTTC | |||
| Ms24 | Ms24-F | ATGAAGAAAGGATGGAGGGACT | 344 | |
| Ms24-R | GATAGCCTGGACAGAGGACAGT | |||
| Ms27 | Ms27-F | TCTTTATTTCAGGCCGGAGT | 89 | |
| Ms27-R | GAACGACTCATTGAACACACG | |||
| Ms28 | Ms28-F | TAGCAAAGAAATGTGAGGATCG | 276 | |
| Ms28-R | ATTGAGCGAGAGAATCCGAATA | |||
| Ms33 | Ms33-F | TCGCGTAGCGACACAACC | 104 | |
| Ms33-R | GTAGCCCGTATGACGCGAAC | |||
| Ms34 | Ms34-F | TGACTATCAGCGACTCGAAGAA | 210 | |
| Ms34-R | TCGTGCGTTAGTGTGCTTATCT |
| Spacer Name | Primer | Sequence (5′–3′) | Amplicon Size (bp) | Reference |
|---|---|---|---|---|
| Cox2 | Cox20766 | CAACCCTGAATACCCAAGGA | 397 | [14] |
| Cox21004 | GAAGCTTCTGATAGGCGGGA | |||
| Cox5 | Cox77554 | CAGGAGCAAGCTTGAATGCG | 395 | |
| Cox77808 | TGGTATGACAACCCGTCATG | |||
| Cox18 | Cox283060 | CGCAGACGAATTAGCCAATC | 557 | |
| Cox283490 | TTCGATGATCCGATGGCCTT | |||
| Cox20 | Cox365301 | GATATTTATCAGCGTCAAAGCAA | 631 | |
| Cox365803 | TCTATTATTGCAATGCAAGTGG | |||
| Cox22 | Cox378718 | GGGAATAAGAGAGTTAGCTCA | 383 | |
| Cox378965 | CGCAAATTTCGGCACAGACC | |||
| Cox37 | Cox657471 | GGCTTGTCTGGTGTAACTGT | 463 | |
| Cox657794 | ATTCCGGGACCTTCGTTAAC | |||
| Cox51 | Cox824598 | TAACGCCCGAGAGCTCAGAA | 674 | |
| Cox825124 | GCGAGAACCGAATTGCTATC | |||
| Cox56 | Cox886418 | CCAAGCTCTCTGTGCCCAAT | 479 | |
| Cox886784 | ATGCGCCAGAAACGCATAGG | |||
| Cox57 | Cox892828 | TGGAAATGGAAGGCGGATTC | 617 | |
| Cox893316 | GGTTGGAAGGCGTAAGCCTTT | |||
| Cox61 | Cox956825 | GAAGATAGAGCGGCAAGGAT | 611 | |
| Cox957249 | GGGATTTCAACTTCCGATAGA |
Publisher’s Note: MDPI stays neutral with regard to jurisdictional claims in published maps and institutional affiliations. |
© 2022 by the authors. Licensee MDPI, Basel, Switzerland. This article is an open access article distributed under the terms and conditions of the Creative Commons Attribution (CC BY) license (https://creativecommons.org/licenses/by/4.0/).
Share and Cite
Truong, A.-T.; Youn, S.Y.; Yoo, M.-S.; Lim, J.-Y.; Yoon, S.-S.; Cho, Y.S. Genotyping of Coxiella burnetii from Cattle by Multispacer Sequence Typing and Multiple Locus Variable Number of Tandem Repeat Analysis in the Republic of Korea. Genes 2022, 13, 1927. https://doi.org/10.3390/genes13111927
Truong A-T, Youn SY, Yoo M-S, Lim J-Y, Yoon S-S, Cho YS. Genotyping of Coxiella burnetii from Cattle by Multispacer Sequence Typing and Multiple Locus Variable Number of Tandem Repeat Analysis in the Republic of Korea. Genes. 2022; 13(11):1927. https://doi.org/10.3390/genes13111927
Chicago/Turabian StyleTruong, A-Tai, So Youn Youn, Mi-Sun Yoo, Ji-Yeon Lim, Soon-Seek Yoon, and Yun Sang Cho. 2022. "Genotyping of Coxiella burnetii from Cattle by Multispacer Sequence Typing and Multiple Locus Variable Number of Tandem Repeat Analysis in the Republic of Korea" Genes 13, no. 11: 1927. https://doi.org/10.3390/genes13111927
APA StyleTruong, A.-T., Youn, S. Y., Yoo, M.-S., Lim, J.-Y., Yoon, S.-S., & Cho, Y. S. (2022). Genotyping of Coxiella burnetii from Cattle by Multispacer Sequence Typing and Multiple Locus Variable Number of Tandem Repeat Analysis in the Republic of Korea. Genes, 13(11), 1927. https://doi.org/10.3390/genes13111927

