Clinical and Genetic Studies of the First Monozygotic Twins with Pfeiffer Syndrome
Abstract
1. Introduction
2. Patient Report
3. Results
3.1. Whole Exome and Sanger Direct Sequencing and Detection of the Parental Origin of the Mutant Allele
3.2. Hearing Assessment
4. Discussion
4.1. FGFR2 Mutations and Pfeiffer Syndrome
4.2. FGFR2 Mutation and Its Parental Origin
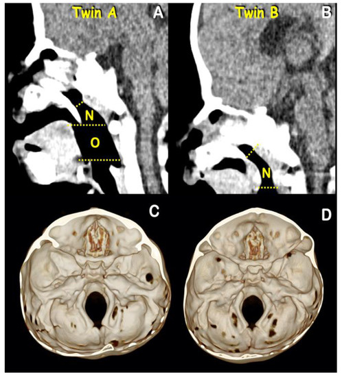
4.3. Malformation of Middle Ear and Hearing Loss
4.4. Dehiscence of Posterior Semicircular Canals
4.5. Increased Intracranial Pressure, Upper Airway Obstruction, and Sleep Apnea
4.6. Discordance in Monozygotic Twins
5. Materials and Methods
5.1. Whole Exome Sequencing, Sanger Sequencing, and Bioinformatic Analysis
5.2. Hearing Assessment
6. Conclusions
Author Contributions
Funding
Institutional Review Board Statement
Informed Consent Statement
Data Availability Statement
Acknowledgments
Conflicts of Interest
References
- Cohen, M.M., Jr. Pfeiffer syndrome update, clinical subtypes, and guidelines for differential diagnosis. Am. J. Med. Genet. 1993, 45, 300–307. [Google Scholar] [CrossRef] [PubMed]
- Schell, U.; Hehr, A.; Feldman, G.J.; Robin, N.H.; Zackai, E.H.; de Die-Smulders, C.; Viskochil, D.H.; Stewart, J.M.; Wolff, G.; Ohashi, H.; et al. Mutations in FGFR1 and FGFR2 cause familial and sporadic Pfeiffer syndrome. Hum. Mol. Genet. 1995, 4, 323–328. [Google Scholar] [CrossRef] [PubMed]
- Passos-Bueno, M.R.; Sertié, A.L.; Zatz, M.; Richieri-Costa, A. Pfeiffer mutation in an Apert patient: How wide is the spectrum of variability due to mutations in the FGFR2 gene? Am. J. Med. Genet. 1997, 71, 243–245. [Google Scholar] [CrossRef]
- Muenke, M.; Schell, U.; Hehr, A.; Robin, N.H.; Losken, H.W.; Schinzel, A.; Pulleyn, L.J.; Rutland, P.; Reardon, W.; Malcolm, S.; et al. A common mutation in the fibroblast growth factor receptor 1 gene in Pfeiffer syndrome. Nat. Genet. 1994, 8, 269–274. [Google Scholar] [CrossRef] [PubMed]
- Kim, S.Y.; Choi, J.W.; Shin, H.J.; Lim, S.Y. Reliable manifestations of increased intracranial pressure in patients with syndromic craniosynostosis. J. Craniomaxillofac. Surg. 2019, 47, 158–164. [Google Scholar] [CrossRef]
- Connolly, J.P.; Gruss, J.; Seto, M.L.; Whelan, M.F.; Ellenbogen, R.; Weiss, A.; Buchman, S.R.; Cunningham, M.L. Progressive postnatal craniosynostosis and increased intracranial pressure. Plast. Reconstr. Surg. 2004, 113, 1313–1323. [Google Scholar] [CrossRef]
- Tuite, G.F.; Chong, W.K.; Evanson, J.; Narita, A.; Taylor, D.; Harkness, W.F.; Jones, B.M.; Hayward, R.D. The effectiveness of papilledema as an indicator of raised intracranial pressure in children with craniosynostosis. Neurosurgery 1996, 38, 272–278. [Google Scholar] [CrossRef]
- Persing, J.; Babler, W.; Winn, H.R.; Jane, J.; Rodeheaver, G. Age as a critical factor in the success of surgical correction of craniosynostosis. J. Neurosurg. 1981, 54, 601–606. [Google Scholar] [CrossRef]
- Kim, S.Y.; Shin, H.J.; Lim, S.Y. Determining the fate of cranial sutures after surgical correction of non-syndromic craniosynostosis. J. Craniomaxillofac. Surg. 2017, 45, 1801–1808. [Google Scholar] [CrossRef]
- Melville, H.; Wang, Y.; Taub, P.J.; Jabs, E.W. Genetic basis of potential therapeutic strategies for craniosynostosis. Am. J. Med. Genet. Part A 2010, 152, 3007–3015. [Google Scholar] [CrossRef]
- Tsukuno, M.; Suzuki, H.; Eto, Y. Pfeiffer syndrome caused by haploinsufficient mutation of FGFR2. J. Craniofac. Genet. Dev. Biol. 1999, 19, 183–188. [Google Scholar] [PubMed]
- Lajeunie, E.; Ma, H.W.; Bonaventure, J.; Munnich, A.; Le Merrer, M.; Renier, D. FGFR2 mutations in Pfeiffer syndrome. Nat. Genet. 1995, 9, 108. [Google Scholar] [CrossRef]
- Kress, W.; Collmann, H.; Büsse, M.; Halliger-Keller, B.; Mueller, C. Clustering of FGFR2 gene mutations inpatients with Pfeiffer and Crouzon syndromes (FGFR2-associated craniosynostoses). Cytogenet. Genome Res. 2000, 91, 134–137. [Google Scholar] [CrossRef] [PubMed]
- Kan, S.H.; Elanko, N.; Johnson, D.; Cornejo-Roldan, L.; Cook, J.; Reich, E.W.; Tomkins, S.; Verloes, A.; Twigg, S.R.; Rannan-Eliya, S.; et al. Genomic screening of fibroblast growth-factor receptor 2 reveals a wide spectrum of mutations in patients with syndromic craniosynostosis. Am. J. Hum. Genet. 2002, 70, 472–486. [Google Scholar] [CrossRef] [PubMed]
- Cornejo-Roldan, L.R.; Roessler, E.; Muenke, M. Analysis of the mutational spectrum of the FGFR2 gene in Pfeiffer syndrome. Hum. Genet. 1999, 104, 425–431. [Google Scholar] [CrossRef]
- Kohan, E.; Longaker, M.T.; Nguyen, J.; Kawamoto, H.; Wexler, A.; Cahan, L.; Katchikian, H.V.; Bradley, J.P. Pfeiffer syndrome twins: Despite improved correction in one twin, growth disturbance results in similar need for subsequent monobloc advancement. J. Craniofac. Surg. 2009, 20, 811–815. [Google Scholar] [CrossRef]
- Biasi, P.R.; Roso, L.R.T.; Manfroi, G.; Espanhol, R.A.; de Lacerda Almeida, T.A.; Brunet, M.P.; de Souza, W.C.; Baldissera, E.F.M.; Rech, B.C.; Posenato, N.; et al. Chiari IV malformation, the lückenschädel and sagittal craniosynostosis association: Case report and literature review. Arq. Bras. De Neurocir. Braz. Neurosurg. 2016, 35, 074–077. [Google Scholar]
- Hajihosseini, M.K.; Wilson, S.; de Moerlooze, L.; Dickson, C. A splicing switch and gain-of-function mutation in FgfR2-IIIc hemizygotes causes Apert/Pfeiffer-syndrome-like phenotypes. Proc. Natl. Acad. Sci. USA 2001, 98, 3855–3860. [Google Scholar] [CrossRef]
- Pirvola, U.; Spencer-Dene, B.; Xing-Qun, L.; Kettunen, P.; Thesleff, I.; Fritzsch, B.; Dickson, C.; Ylikoski, J. FGF/FGFR-2 (IIIb) signaling is essential for inner ear morphogenesis. J. Neurosci. 2000, 20, 6125–6134. [Google Scholar] [CrossRef]
- Reardon, W.; Winter, R.M.; Rutland, P.; Pulleyn, L.J.; Jones, B.M.; Malcolm, S. Mutations in the fibroblast growth factor receptor 2 gene cause Crouzon syndrome. Nat. Genet. 1994, 8, 98–103. [Google Scholar] [CrossRef]
- Oldridge, M.; Lunt, P.W.; Zackai, E.H.; McDonald-McGinn, D.M.; Muenke, M.; Moloney, D.M.; Twigg, S.R.; Heath, J.K.; Howard, T.D.; Hoganson, G.; et al. Genotype-phenotype correlation for nucleotide substitutions in the IgII-IgIII linker of FGFR2. Hum. Mol. Genet. 1997, 6, 137–143. [Google Scholar] [CrossRef] [PubMed]
- OIdridge, M.; Wilkie, A.O.M.; Sianey, S.F.; Poole, M.D.; Pulleyn, L.J.; Rutland, P.; Hockley, A.D.; Wake, M.J.C.; Goldin, J.H.; Winter, R.M.; et al. Mutations in the third immunoglobulin domain of the fibroblast growth factor receptor-2 gene in Crouzon syndrome. Hum. Mol. Genet. 1995, 4, 1077–1082. [Google Scholar] [CrossRef] [PubMed]
- Rutland, P.; Pulleyn, L.J.; Reardon, W.; Baraitser, M.; Hayward, R.; Jones, B.; Malcolm, S.; Winter, R.M.; Oldridge, M.; Slaney, S.F.; et al. Identical mutations in the FGFR2 gene cause both Pfeiffer and Crouzon syndrome phenotypes. Nat. Genet. 1995, 9, 173–176. [Google Scholar] [CrossRef] [PubMed]
- Park, W.J.; Meyers, G.A.; Li, X.; Theda, C.; Day, D.; Oriow, S.J.; Jones, M.C.; Jabs, E.W. Novel FGFR2 mutations in Crouzon and Jackson-Weiss syndromes show allelic heterogeneity and phenotypic variability. Hum. Mol. Genet. 1995, 4, 1229–1233. [Google Scholar] [CrossRef] [PubMed]
- Tartaglia, M.; Di Rocco, C.; Lajeunie, E.; Valeri, S.; Velardi, F.; Battaglia, P.A. Jackson-Weiss syndrome: Identification of two novel FGFR2 missense mutations shared with Crouzon and Pfeiffer craniosynostotic disorders. Hum. Genet. 1997, 101, 47–50. [Google Scholar] [CrossRef]
- Paumard-Hernández, B.; Berges-Soria, J.; Barroso, E.; Rivera-Pedroza, C.I.; Pérez-Carrizosa, V.; Benito-Sanz, S.; López-Messa, E.; Santos, F.; García-Recuero, I.I.; Romance, A.; et al. Expanding the mutation spectrum in 182 Spanish probands with craniosynostosis: Identification and characterization of novel TCF12 variants. Eur. J. Hum. Genet. 2015, 23, 907–914. [Google Scholar] [CrossRef]
- Oldridge, M.; Zackai, E.H.; McDonald-McGinn, D.M.; Iseki, S.; Morriss-Kay, G.M.; Twigg, S.R.; Johnson, D.; Wall, S.A.; Jiang, W.; Theda, C.; et al. De novo alu-element insertions in FGFR2 identify a distinct pathological basis for Apert syndrome. Am. J. Hum. Genet. 1999, 64, 446–461. [Google Scholar] [CrossRef]
- Goriely, A.; Wilkie, A.O. Paternal age effect mutations and selfish spermatogonial selection: Causes and consequences for human disease. Am. J. Hum. Genet. 2012, 90, 175–200. [Google Scholar] [CrossRef]
- Glaser, R.L.; Jiang, W.; Boyadjiev, S.A.; Tran, A.K.; Zachary, A.A.; van Maldergem, L.; Johnson, D.; Walsh, S.; Oldridge, M.; Wall, S.A.; et al. Paternal origin of FGFR2 mutations in sporadic cases of Crouzon syndrome and Pfeiffer syndrome. Am. J. Hum. Genet. 2000, 66, 768–777. [Google Scholar] [CrossRef]
- Vallino-Napoli, L.D. Audiologic and otologic characteristics of Pfeiffer syndrome. Cleft Palate-Craniofac, J. 1996, 33, 524–529. [Google Scholar] [CrossRef]
- Moore, M.H.; Lodge, M.L.; Clark, B.E. The infant skull in Pfeiffer’s syndrome. J. Craniofac. Surg. 1995, 6, 483–486. [Google Scholar] [CrossRef] [PubMed]
- Couloigner, V.; Khalfallah, S.A. Craniosynostosis and ENT. Neurochirgie 2019, 65, 318–321. [Google Scholar] [CrossRef]
- Orchik, D.J.; Schumaier, D.; Shea, J.; Ge, X. Middle ear and inner ear effects on clinical bone-conduction threshold. J. Am. Acad. Audiol. 1995, 6, 256. [Google Scholar] [PubMed]
- Gawron, W.; Pośpiech, L.; Orendorz-Fraczkowska, K. An evaluation of postural stability and the effects of middle-ear drainage on vestibulo-spinal reflexes of children with chronic otitis media with effusion. Int. J. Pediatr. Otorhinolaryngol. 2004, 68, 1175–1179. [Google Scholar] [CrossRef] [PubMed]
- Desai, U.; Rosen, H.; Mulliken, J.B.; Gopen, Q.; Meara, J.G.; Rogers, G.F. Audiologic findings in Pfeiffer syndrome. J. Craniofac. Surg. 2010, 21, 1411–1418. [Google Scholar] [CrossRef] [PubMed]
- Agochukwu, N.B.; Solomon, B.D.; Muenke, M. Hearing loss in syndromic craniosynostoses: Otologic manifestations and clinical findings. Int. J. Pediatr. Otorhinolaryngol. 2014, 78, 2037–2047. [Google Scholar] [CrossRef] [PubMed]
- Krombach, G.A.; DiMartino, E.; Schmitz-Rode, T.; Prescher, A.; Haage, P.; Kinzel, S.; Günther, R.W. Posterior semicircular canal dehiscence: A morphologic cause of vertigo similar to superior semicircular canal dehiscence. Eur. Radiol. 2003, 13, 1444–1450. [Google Scholar] [CrossRef]
- Minor, L.B.; Solomon, D.; Zinreich, J.S.; Zee, D.S. Sound- and/or pressure-induced vertigo due to bone dehiscence of the superior semicircular canal. Arch. Otolaryngol. Head Neck. Surg. 1998, 124, 249–258. [Google Scholar] [CrossRef]
- Inverso, G.; Brustowicz, K.A.; Katz, E.; Padwa, B.L. The prevalence of obstructive sleep apnea in symptomatic patients with syndromic craniosynostosis. Int. J. Oral. Maxillofac. Surg. 2016, 45, 167–169. [Google Scholar] [CrossRef]
- Nguyen, J.Q.; Resnick, C.M.; Chang, Y.H.; Hansen, R.M.; Fulton, A.B.; Moskowitz, A.; Calabrese, C.E.; Dagi, L.R. Impact of obstructive sleep apnea on optic nerve function in patients with craniosynostosis and recurrent intracranial hypertension. Am. J. Ophthalmol. 2019, 207, 356–362. [Google Scholar] [CrossRef]
- Fraga, M.F.; Ballestar, E.; Paz, M.F.; Ropero, S.; Setien, F.; Ballestar, M.L.; Heine-Suñer, D.; Cigudosa, J.C.; Urioste, M.; Benitez, J.; et al. Epigenetic differences arise during the lifetime of monozygotic twins. Proc. Natl. Acad. Sci. USA 2005, 102, 10604–10609. [Google Scholar] [CrossRef] [PubMed]
- Sher, S.; Cole, P.; Kaufman, Y.; Hatef, D.A.; Hollier, L. Craniosynostotic variations in syndromic, identical twins. Ann. Plast. Surg. 2008, 61, 290–293. [Google Scholar] [CrossRef] [PubMed]







Publisher’s Note: MDPI stays neutral with regard to jurisdictional claims in published maps and institutional affiliations. |
© 2022 by the authors. Licensee MDPI, Basel, Switzerland. This article is an open access article distributed under the terms and conditions of the Creative Commons Attribution (CC BY) license (https://creativecommons.org/licenses/by/4.0/).
Share and Cite
Kantaputra, P.N.; Angkurawaranon, S.; Khwanngern, K.; Ngamphiw, C.; Intachai, W.; Adisornkanj, P.; Tongsima, S.; Olsen, B.; Sonsuwan, N.; Katanyuwong, K. Clinical and Genetic Studies of the First Monozygotic Twins with Pfeiffer Syndrome. Genes 2022, 13, 1850. https://doi.org/10.3390/genes13101850
Kantaputra PN, Angkurawaranon S, Khwanngern K, Ngamphiw C, Intachai W, Adisornkanj P, Tongsima S, Olsen B, Sonsuwan N, Katanyuwong K. Clinical and Genetic Studies of the First Monozygotic Twins with Pfeiffer Syndrome. Genes. 2022; 13(10):1850. https://doi.org/10.3390/genes13101850
Chicago/Turabian StyleKantaputra, Piranit N., Salita Angkurawaranon, Krit Khwanngern, Chumpol Ngamphiw, Worrachet Intachai, Ploy Adisornkanj, Sissades Tongsima, Bjorn Olsen, Nuntigar Sonsuwan, and Kamornwan Katanyuwong. 2022. "Clinical and Genetic Studies of the First Monozygotic Twins with Pfeiffer Syndrome" Genes 13, no. 10: 1850. https://doi.org/10.3390/genes13101850
APA StyleKantaputra, P. N., Angkurawaranon, S., Khwanngern, K., Ngamphiw, C., Intachai, W., Adisornkanj, P., Tongsima, S., Olsen, B., Sonsuwan, N., & Katanyuwong, K. (2022). Clinical and Genetic Studies of the First Monozygotic Twins with Pfeiffer Syndrome. Genes, 13(10), 1850. https://doi.org/10.3390/genes13101850

