Progressive Early-Onset Leukodystrophy Related to Biallelic Variants in the KARS Gene: The First Case Described in Latin America
Abstract
1. Introduction
2. Materials and Methods
3. Results
3.1. Clinical Case
3.1.1. Laboratory Studies
3.1.2. Electrophysiological Studies
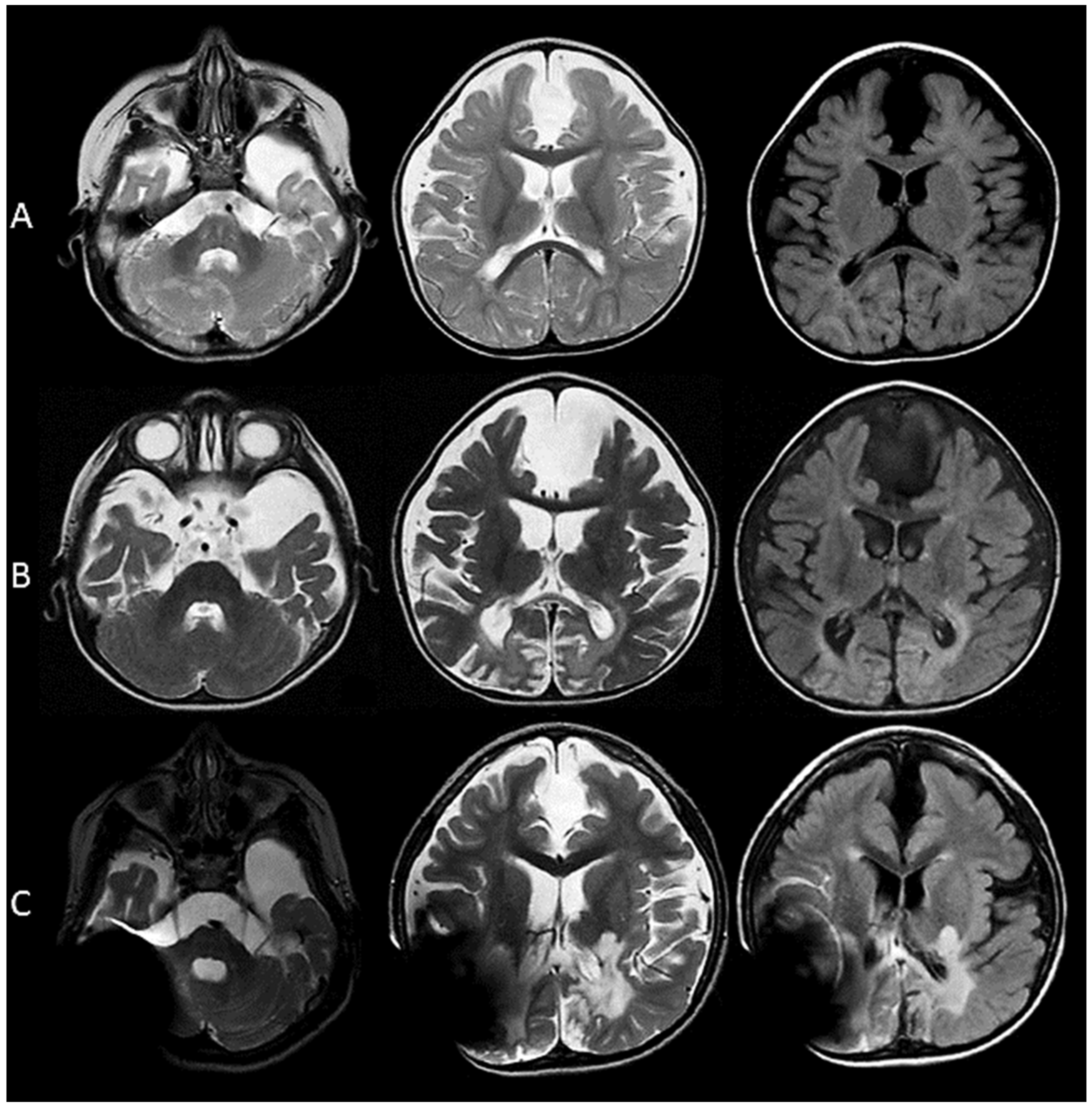
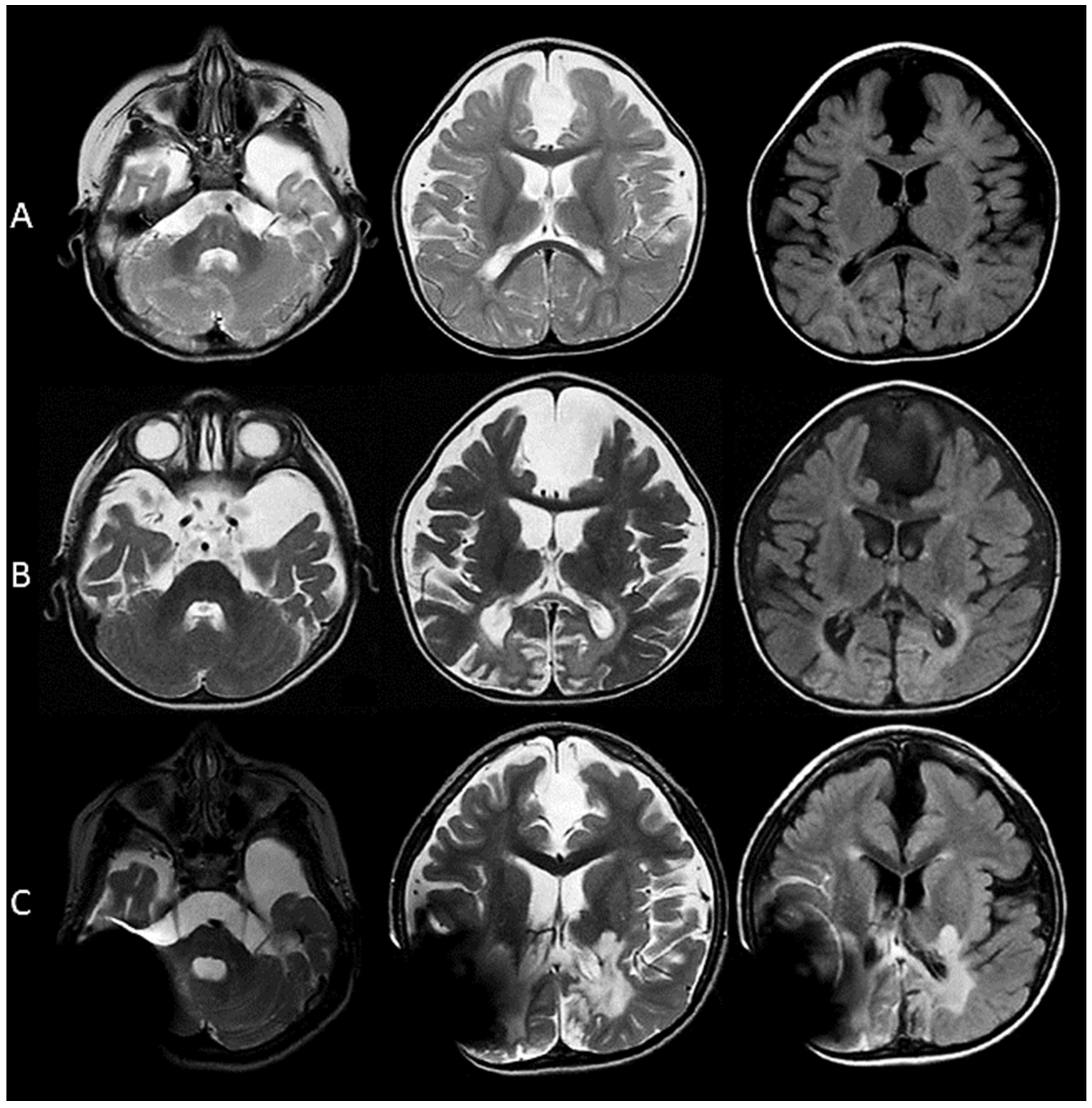
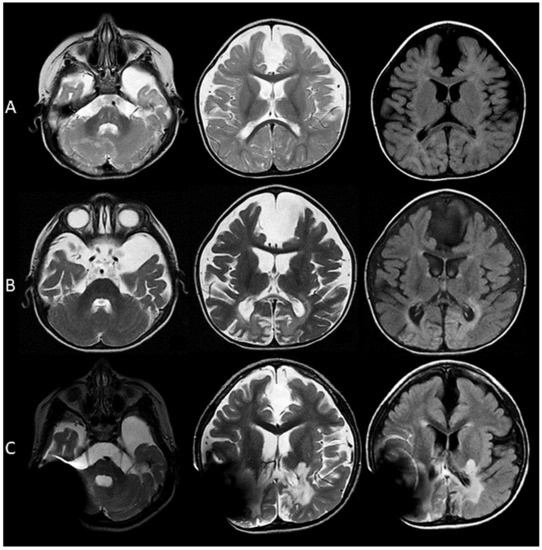
3.1.3. Images
3.1.4. Genetic Studies
- Clinical VAR: National Center for Biotechnology Information. ClinVar; [VCV000694746.2], https://www.ncbi.nlm.nih.gov/clinvar/variation/VCV000694746.2 (accessed 12 February 2020).
- Prediction In Silico: Varsome Clinical. A Clinical-grade Platform for interpretation of NGS Data, https://varsome.com/variant/hg19/NM_001130089.1(KARS)%3AA526V(accessed 10 April 2020).
4. Discussion
5. Conclusions
Author Contributions
Funding
Conflicts of Interest
References
- Mirande, M. The Aminoacyl-tRNA Synthetase Complex. In Sub-Cellular Biochemistry; Springer: Berlin/Heidelberg, Germany, 2017; pp. 505–522. Available online: http://www.ncbi.nlm.nih.gov/pubmed/28271488 (accessed on 12 May 2020).
- McMillan, H.J.; Humphreys, P.; Smith, A.; Schwartzentruber, J.; Chakraborty, P.; Bulman, D.E.; Beaulieu, C.L.; Majewski, J.; Boycott, K.M.; Geraghty, M.T.; et al. Congenital Visual Impairment and Progressive Microcephaly Due to Lysyl–Transfer Ribonucleic Acid (RNA) Synthetase (KARS) Mutations. J. Child Neurol. 2014, 30, 1037–1043. [Google Scholar] [CrossRef] [PubMed]
- Diodato, D.; Ghezzi, D.; Tiranti, V. The Mitochondrial Aminoacyl tRNA Synthetases: Genes and Syndromes. Int. J. Cell Biol. 2014, 2014, 787956. [Google Scholar] [CrossRef]
- Zhou, X.-L.; He, L.-X.; Yu, L.-J.; Wang, Y.; Wang, X.-J.; Wang, E.-D.; Yang, T. Mutations in KARS cause early-onset hearing loss and leukoencephalopathy: Potential pathogenic mechanism. Hum. Mutat. 2017, 38, 1740–1750. Available online: http://www.ncbi.nlm.nih.gov/pubmed/28887846 (accessed on 12 May 2020). [CrossRef] [PubMed]
- Wolf, Y.I.; Aravind, L.; Grishin, N.V.; Koonin, E.V. Evolution of Aminoacyl-tRNA synthetases-analysis of unique domain architectures and phylogenetic trees reveals a complex history of horizontal gene transfer events. Genome Res. 1999, 9, 689–710. [Google Scholar] [PubMed]
- Hausmann, C.D.; Ibba, M. Aminoacyl-tRNA synthetase complexes: Molecular multitasking revealed. FEMS Microbiol. Rev. 2008, 32, 705–721. [Google Scholar] [CrossRef] [PubMed]
- Tolkunova, E.; Park, H.; Xia, J.; King, M.P.; Davidson, E. The Human Lysyl-tRNA Synthetase Gene Encodes Both the Cytoplasmic and Mitochondrial Enzymes by Means of an Unusual Alternative Splicing of the Primary Transcript. J. Biol. Chem. 2000, 275, 35063–35069. Available online: http://www.ncbi.nlm.nih.gov/pubmed/10952987 (accessed on 12 May 2020). [CrossRef]
- Santos-Cortez, R.L.P.; Lee, K.; Azeem, Z.; Antonellis, P.J.; Pollock, L.M.; Khan, S.; Andrade-Elizondo, P.B.; Chiu, I.; Adams, M.D.; Basit, S.; et al. Mutations in KARS, Encoding Lysyl-tRNA Synthetase, Cause Autosomal-Recessive Nonsyndromic Hearing Impairment DFNB89. Am. J. Hum. Genet. 2013, 93, 132–140. [Google Scholar] [CrossRef]
- Verrigni, D.; Diodato, D.; Di Nottia, M.; Torraco, A.; Bellacchio, E.; Rizza, T.; Tozzi, G.; Verardo, M.; Piemonte, F.; Tasca, G.; et al. Novel mutations in KARS cause hypertrophic cardiomyopathy and combined mitochondrial respiratory chain defect. Clin. Genet. 2017, 91, 918–923. [Google Scholar] [CrossRef]
- Szafranski, P.; Von Allmen, G.K.; Graham, B.H.; Wilfong, A.; Kang, S.-H.L.; Ferreira, J.; Upton, S.J.; Moeschler, J.B.; Bi, W.; Rosenfeld, J.; et al. 6q22.1 microdeletion and susceptibility to pediatric epilepsy. Eur. J. Hum. Genet. 2015, 23, 173–179. [Google Scholar] [CrossRef]
- Basit, S.; Lee, K.; Habib, R.; Chen, L.; Santos-Cortez, R.L.P.; Azeem, Z.; Andrade, P.; Ansar, M.; Ahmad, W.; Leal, S.M.; et al. DFNB89, a novel autosomal recessive nonsyndromic hearing impairment locus on chromosome 16q21-q23.2. Hum. Genet. 2011, 129, 379–385. [Google Scholar] [CrossRef][Green Version]
- Ardissone, A.; Tonduti, D.; Legati, A.; Lamantea, E.; Barone, R.; Dorboz, I.; Boespflug-Tanguy, O.; Nebbia, G.; Maggioni, M.; Garavaglia, B.; et al. KARS-related diseases: Progressive leukoencephalopathy with brainstem and spinal cord calcifications as new phenotype and a review of literature. Orphanet J. Rare Dis. 2018, 13, 45. [Google Scholar] [CrossRef] [PubMed]
- Sun, C.; Song, J.; Jiang, Y.; Zhao, C.; Lu, J.; Li, Y.; Wang, Y.; Gao, M.; Xi, J.; Luo, S.; et al. Loss-of-function mutations in Lysyl-tRNA synthetase cause various leukoencephalopathy phenotypes. Neurol. Genet. 2019, 5, e565. [Google Scholar] [CrossRef] [PubMed]
- Scheidecker, S.; Bär, S.; Stoetzel, C.; Geoffroy, V.; Lannes, B.; Rinaldi, B.; Fischer, F.; Becker, H.D.; Pelletier, V.; Pagan, C.; et al. Mutations in KARS cause a severe neurological and neurosensory disease with optic neuropathy. Hum. Mutat. 2019, 40, 1826–1840. [Google Scholar] [CrossRef] [PubMed]
- McLaughlin, H.M.; Sakaguchi, R.; Liu, C.; Igarashi, T.; Pehlivan, D.; Chu, K.; Iyer, R.; Cruz, P.; Cherukuri, P.F.; Hansen, N.F.; et al. Compound heterozygosity for loss-of-function lysyl-tRNA synthetase mutations in a patient with peripheral neuropathy. Am. J. Hum. Genet. 2010, 87, 560–566. [Google Scholar] [CrossRef] [PubMed]
- Murray, C.R.; Abel, S.N.; McClure, M.B.; Foster, J.; Walke, M.I.; Jayakar, P.; Bademci, G.; Tekin, M. Novel Causative Variants in DYRK1A, KARS, and KAT6A Associated with Intellectual Disability and Additional Phenotypic Features. J. Pediatr. Genet. 2017, 6, 77–83. [Google Scholar] [CrossRef]
- Liu, Y.; Kheradmand, F.; Davis, C.F.; Scheurer, M.E.; Wheeler, D.; Tsavachidis, S.; Armstrong, G.; Simpson, C.; Mandal, D.; Kupert, E.; et al. Focused Analysis of Exome Sequencing Data for Rare Germline Mutations in Familial and Sporadic Lung Cancer. J. Thorac. Oncol. 2016, 11, 52–61. [Google Scholar] [CrossRef]
- Farwell, K.D.; Shahmirzadi, L.; El-Khechen, D.; Powis, Z.; Chao, E.C.; Davis, B.T.; Baxter, R.M.; Zeng, W.; Mroske, C.; Parra, M.C.; et al. Enhanced utility of family-centered diagnostic exome sequencing with inheritance model–based analysis: Results from 500 unselected families with undiagnosed genetic conditions. Genet. Med. 2015, 17, 578–586. [Google Scholar] [CrossRef]
- Fuchs, S.A.; Schene, I.F.; Kok, G.; Jansen, J.M.; Nikkels, P.G.J.; van Gassen, K.L.I.; Terheggen-Lagro, S.W.; van der Crabben, S.N.; Hoeks, S.E.; Niers, L.E.; et al. Aminoacyl-tRNA synthetase deficiencies in search of common themes. Genet Med. 2019, 21, 319–330. Available online: http://www.ncbi.nlm.nih.gov/pubmed/29875423 (accessed on 1 June 2020). [CrossRef]
- Itoh, M.; Dai, H.; Horike, S.-I.; Gonzalez, J.; Kitami, Y.; Meguro-Horike, M.; Kuki, I.; Shimakawa, S.; Yoshinaga, H.; Ota, Y.; et al. Biallelic KARS pathogenic variants cause an early-onset progressive leukodystrophy. Brain 2019, 142, 560–573. [Google Scholar] [CrossRef]
- Vanderver, A.; Prust, M.; Tonduti, D.; Mochel, F.; Hussey, H.M.; Helman, G.; Garbern, J.; Eichler, F.; Labauge, P.; Aubourg, P.; et al. Case definition and classification of leukodystrophies and leukoencephalopathies. Mol. Genet. Metab. 2015, 114, 494–500. [Google Scholar] [CrossRef]
- Van der Knaap, M.S.; Bugiani, M.; Mendes, M.I.; Riley, L.G.; Smith, D.E.C.; Rudinger-Thirion, J.; Frugier, M.; Breur, M.; Crawford, J.; van Gaalen, J.; et al. Biallelic variants in LARS2 and KARS cause deafness and (ovario)leukodystrophy. Neurology 2019, 92, 1225. [Google Scholar] [CrossRef] [PubMed]
- Vanderver, A.; Simons, C.; Helman, G.; Ms, J.C.; Wolf, N.I.; Bernard, G.; Pizzino, A.; Schmidt, J.L.; Takanohashi, A.; Miller, D.; et al. Whole exome sequencing in patients with white matter abnormalities. Ann. Neurol. 2016, 79, 1031–1037. [Google Scholar] [CrossRef] [PubMed]
- Helman, G.; Lajoie, B.R.; Crawford, J.; Takanohashi, A.; Walkiewicz, M.; Dolzhenko, E.; Gross, A.M.; Gainullin, V.G.; Bent, S.J.; Jenkinson, E.M.; et al. Genome sequencing in persistently unsolved white matter disorders. Ann. Clin. Transl. Neurol. 2020, 7, 144–152. [Google Scholar] [CrossRef] [PubMed]

| Variation/Location | Clinical Significance | Reference |
|---|---|---|
| NM_001130089.1(KARS1): c.1129G>A (p.Asp377Asn) GRCh37: Chr16:75663371 GRCh38: Chr16:75629473 | Pathogenic | Santos-Cortez et al. [8] Szafranski et al. [10] Basit S et al. [11] |
| NM_005548.2(KARS1): c.1430G>A (p.Arg477His) GRCh37: Chr16:75663434 (First Variant) GRCh38: Chr16:75629536 | Pathogenic | Zhou et al. [4] Ardissone et al. [12] C Sun et al. [13] THIS PAPER (2020) |
| NM_001130089.1(KARS1): c.1438del (p.Leu480fs) GRCh37: Chr16:75664391 GRCh38: Chr16:75630493 | Pathogenic | Clinical testing, NO phenotype correlation: NCBI. ClinVar [VCV000560389.1], https://www.ncbi.nlm.nih.gov/clinvar/variation/VCV000560389.1 (accessed 3 November 2020). |
| NM_001130089.1(KARS1): c.871T>G (p.Phe291Val) GRCh37: Chr16:75669586 GRCh38: Chr16:75635688 | Pathogenic | Scheidecker S et al. [14] |
| NM_001130089.1(KARS1): c.517T>C (p.Tyr173His) GRCh37: Chr16:75670401 GRCh38: Chr16:75636503 | Pathogenic | Santos-Cortez et al. [8] Szafranski et al. [10] |
| NM_005548.2(KARS1): c.430_431dup (p.Tyr145fs) GRCh37: Chr16:75670402-75670403 GRCh38: Chr16:75636504-75636505 | Pathogenic | McLaughin HM et al. [15] |
| NM_005548.2(KARS1): c.314T>A (p.Leu105His) GRCh37: Chr16:75674156 GRCh38: Chr16:75640258 | Pathogenic | McLaughin HM et al. [15] |
| NM_005548.2(KARS1): c.1493C > T (p.Ala498Val) GRCh37: Chr16:75663371 (Second Variant) GRCh38: Chr16:75629473 | Pathogenic | Murray CR et al. [16] THIS PAPER (2020) |
| NM_005548.3(KARS1): c.1258C > T (p.Arg420Cys) GRCh37: Chr16:75665146 GRCh38: Chr16:75631248 | Conflicting Interpretations | Clinical testing, NO phenotype correlation: NCBI. ClinVar; [VCV000226679.7], https://www.ncbi.nlm.nih.gov/clinvar/variation/VCV000226679.7 (accessed 10 November 2020). |
| NM_005548.3(KARS1): c.1178G > A (p.Arg393Gln) GRCh37: Chr16:75665388 GRCh38: Chr16:75631490 | Conflicting Interpretations | Liu et al. [17] |
| NM_001130089.1(KARS1): c.566 + 8G > A GRCh37: Chr16:75670344 GRCh38: Chr16:75636446 | Conflicting Interpretations | Clinical testing, NO phenotype correlation: NCBI. ClinVar; [VCV000320638.3], https://www.ncbi.nlm.nih.gov/clinvar/variation/VCV000320638.3 (accessed 10 November 2020). |
| NM_005548.2(KARS1): c.22G > T (p.Glu8Ter) GRCh37: Chr16:75681516 GRCh38: Chr16:75647618 | Likely Pathogenic | Clinical testing, NO phenotype correlation: NCBI. ClinVar [VCV000225009.1], https://www.ncbi.nlm.nih.gov/clinvar/variation/VCV000225009.1 (accessed 10 November 2020). |
| NM_005548.2(KARS1): c.599C > T (p.Pro200Leu) GRCh37: Chr16:75669880 GRCh38: Chr16:75635982 | Likely pathogenic | KD Farwell et al. [18] |
Publisher’s Note: MDPI stays neutral with regard to jurisdictional claims in published maps and institutional affiliations. |
© 2020 by the authors. Licensee MDPI, Basel, Switzerland. This article is an open access article distributed under the terms and conditions of the Creative Commons Attribution (CC BY) license (http://creativecommons.org/licenses/by/4.0/).
Share and Cite
Vargas, A.; Rojas, J.; Aivasovsky, I.; Vergara, S.; Castellanos, M.; Prieto, C.; Celis, L. Progressive Early-Onset Leukodystrophy Related to Biallelic Variants in the KARS Gene: The First Case Described in Latin America. Genes 2020, 11, 1437. https://doi.org/10.3390/genes11121437
Vargas A, Rojas J, Aivasovsky I, Vergara S, Castellanos M, Prieto C, Celis L. Progressive Early-Onset Leukodystrophy Related to Biallelic Variants in the KARS Gene: The First Case Described in Latin America. Genes. 2020; 11(12):1437. https://doi.org/10.3390/genes11121437
Chicago/Turabian StyleVargas, Adriana, Jorge Rojas, Ivan Aivasovsky, Sergio Vergara, Marianna Castellanos, Carolina Prieto, and Luis Celis. 2020. "Progressive Early-Onset Leukodystrophy Related to Biallelic Variants in the KARS Gene: The First Case Described in Latin America" Genes 11, no. 12: 1437. https://doi.org/10.3390/genes11121437
APA StyleVargas, A., Rojas, J., Aivasovsky, I., Vergara, S., Castellanos, M., Prieto, C., & Celis, L. (2020). Progressive Early-Onset Leukodystrophy Related to Biallelic Variants in the KARS Gene: The First Case Described in Latin America. Genes, 11(12), 1437. https://doi.org/10.3390/genes11121437

