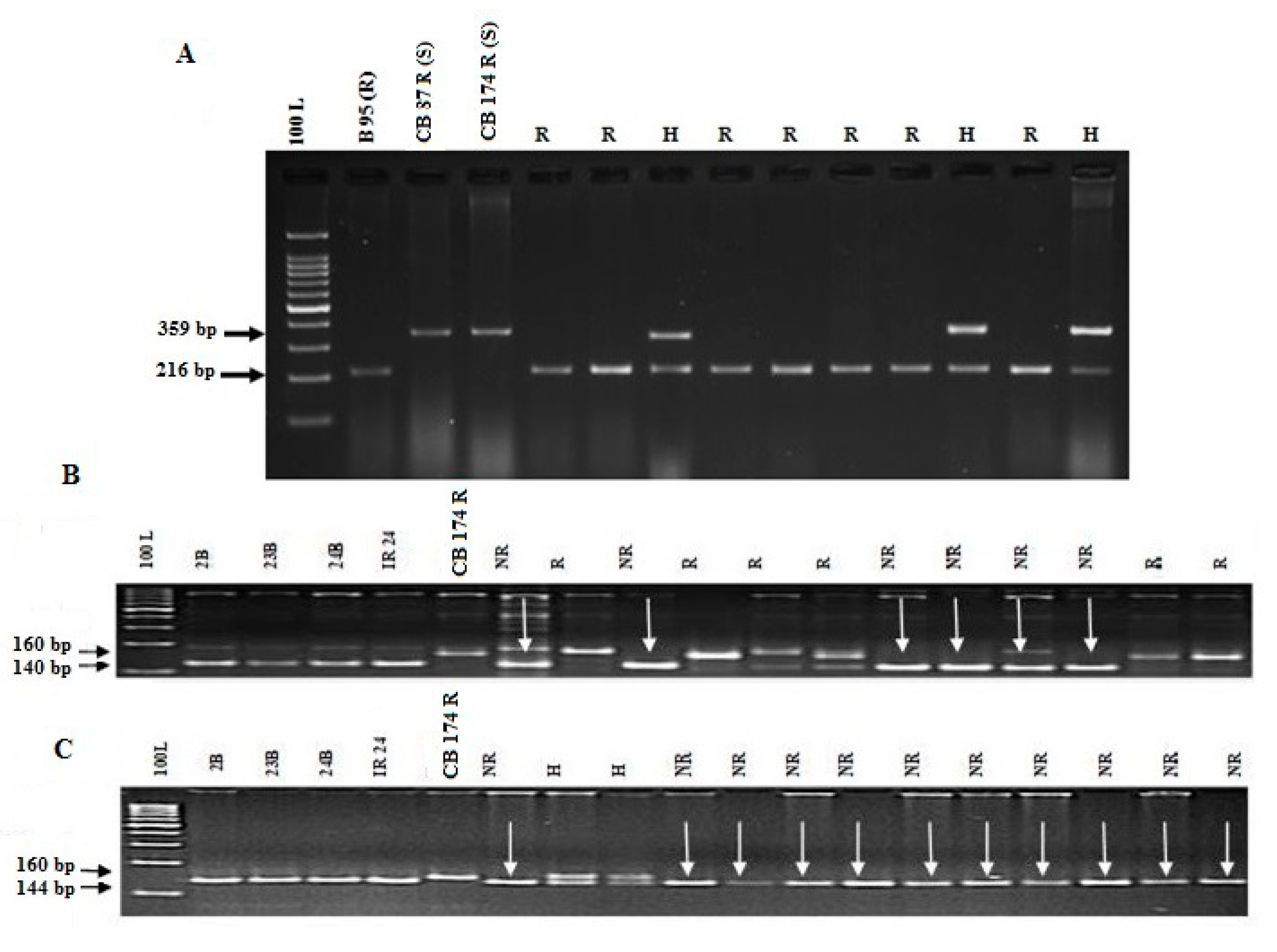
Improvement of Stable Restorer Lines for Blast Resistance through Functional Marker in Rice (Oryza sativa L.)
- Supplementary File 1:
PDF-Document (PDF, 155 KiB)
Ramalingam, J.; Palanisamy, S.; Alagarasan, G.; Renganathan, V.G.; Ramanathan, A.; Saraswathi, R. Improvement of Stable Restorer Lines for Blast Resistance through Functional Marker in Rice (Oryza sativa L.). Genes 2020, 11, 1266. https://doi.org/10.3390/genes11111266
Ramalingam J, Palanisamy S, Alagarasan G, Renganathan VG, Ramanathan A, Saraswathi R. Improvement of Stable Restorer Lines for Blast Resistance through Functional Marker in Rice (Oryza sativa L.). Genes. 2020; 11(11):1266. https://doi.org/10.3390/genes11111266
Chicago/Turabian StyleRamalingam, Jegadeesan, Savitha Palanisamy, Ganesh Alagarasan, Vellaichamy G. Renganathan, Ayyasamy Ramanathan, and Ramasamy Saraswathi. 2020. "Improvement of Stable Restorer Lines for Blast Resistance through Functional Marker in Rice (Oryza sativa L.)" Genes 11, no. 11: 1266. https://doi.org/10.3390/genes11111266

