Initiation of Meiotic Recombination in Mammals
Abstract
:1. Introduction
2. Initiation of Meiotic Recombination by DSB in Mammals

3. Proteins Required for Initiation
3.1. SPO11: A Universal Catalytic Inducer of Meiotic DSBs



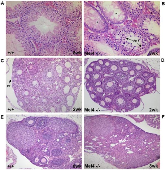
3.2. MEI4 and REC114: Two Proteins That Are Evolutionary Conserved from Yeast to Mouse

3.3. MEI1: A Protein of Unknown Function
3.4. WDR61 (Ski8) and MRE11/RAD50/NBS1 Are Involved in DSB Formation in S. cerevisiae, but Possibly not in Mammals
4. Sites Where Initiation Occurs
4.1. The Anatomy of a Hotspot
4.2. General Hotspot Properties


4.3. Sequence Motifs at Hotspots
4.4. Chromatin Structure at Hotspots

4.5. The Role of Prdm9 in Hotspot Specification

4.6. What Fraction of Hotspots Depends on Prdm9?
4.7. From PRDM9 Binding to DSB Formation: The Model
4.8. Evolutionary Conservation of the Mechanism of Hotspot Specification

4.9. Evolution of Initiation Sites in Mammals
5. Conclusions
Acknowledgements
References
- Petronczki, M.; Siomos, M.F.; Nasmyth, K. Un Menage a Quatre. The Molecular Biology of Chromosome Segregation in Meiosis. Cell 2003, 112, 423–440. [Google Scholar] [CrossRef]
- Hassold, T.; Hall, H.; Hunt, P. The origin of human aneuploidy: Where we have been, where we are going. Hum. Mol. Genet. 2007, 16, R203–R208. [Google Scholar] [CrossRef]
- Cromie, G.; Smith, G.R. Meiotic Recombination in Schizosaccharomyces pombe: A Paradigm for Genetic and Molecular Analysis. Genome Dyn. Stab. 2008, 3, 195. [Google Scholar] [CrossRef]
- Hunter, N. Meiotic recombination. In Molecular Genetics of Recombination; Aguilera, A., Rothstein, R., Eds.; Springer-Verlag: Berlin Heidelberg, Germany, 2007; pp. 381–442. [Google Scholar]
- Handel, M.A.; Schimenti, J.C. Genetics of mammalian meiosis: regulation, dynamics and impact on fertility. Nat. Rev. Genet. 2010, 11, 124–136. [Google Scholar]
- Bergerat, A.; de Massy, B.; Gadelle, D.; Varoutas, P.C.; Nicolas, A.; Forterre, P. An atypical topoisomerase II from Archaea with implications for meiotic recombination [see comments]. Nature 1997, 386, 414–417. [Google Scholar] [CrossRef]
- Keeney, S.; Giroux, C.N.; Kleckner, N. Meiosis-specific DNA double-strand breaks are catalyzed by Spo11, a member of a widely conserved protein family. Cell 1997, 88, 375–384. [Google Scholar]
- Neale, M.J.; Pan, J.; Keeney, S. Endonucleolytic processing of covalent protein-linked DNA double-strand breaks. Nature 2005, 436, 1053–1057. [Google Scholar] [CrossRef]
- Bishop, D.K.; Park, D.; Xu, L.; Kleckner, N. DMC1: A meiosis-specific yeast homolog of E. coli recA required for recombination, synaptonemal complex formation, and cell cycle progression. Cell 1992, 69, 439–456. [Google Scholar] [CrossRef]
- Shinohara, A.; Ogawa, H.; Ogawa, T. Rad51 protein involved in repair and recombination in S. cerevisiae is a RecA-like protein. Cell 1992, 69, 457–470. [Google Scholar] [CrossRef]
- Baudat, F.; de Massy, B. Regulating double-stranded DNA break repair towards crossover or non-crossover during mammalian meiosis. Chromosome Res. 2007, 15, 565–577. [Google Scholar] [CrossRef]
- Lynn, A.; Soucek, R.; Borner, G.V. ZMM proteins during meiosis: Crossover artists at work. Chromosome Res. 2007, 15, 591–605. [Google Scholar] [CrossRef]
- Bowles, J.; Koopman, P. Retinoic acid, meiosis and germ cell fate in mammals. Development 2007, 134, 3401–3411. [Google Scholar]
- Lichten, M. Meiotic recombination: Breaking the genome to save it. Curr. Biol. 2001, 11, R253–R256. [Google Scholar] [CrossRef] [Green Version]
- Sun, H.; Treco, D.; Schultes, N.P.; Szostak, J.W. Double-strand breaks at an initiation site for meiotic gene conversion. Nature 1989, 338, 87–90. [Google Scholar] [CrossRef]
- Buhler, C.; Borde, V.; Lichten, M. Mapping Meiotic Single-Strand DNA Reveals a New Landscape of DNA Double-Strand Breaks in Saccharomyces cerevisiae. PLoS Biol. 2007, 5, e324. [Google Scholar] [CrossRef]
- Cromie, G.A.; Hyppa, R.W.; Cam, H.P.; Farah, J.A.; Grewal, S.I.; Smith, G.R. A Discrete Class of Intergenic DNA Dictates Meiotic DNA Break Hotspots in Fission Yeast. PLoS Genet. 2007, 3, e141. [Google Scholar] [CrossRef]
- Gerton, J.L.; DeRisi, J.; Shroff, R.; Lichten, M.; Brown, P.O.; Petes, T.D. Inaugural article: Global mapping of meiotic recombination hotspots and coldspots in the yeast Saccharomyces cerevisiae. Proc. Natl. Acad. Sci. USA 2000, 97, 11383–11390. [Google Scholar] [CrossRef]
- Qin, J.; Richardson, L.L.; Jasin, M.; Handel, M.A.; Arnheim, N. Mouse Strains with an Active H2-Ea Meiotic Recombination Hot Spot Exhibit Increased Levels of H2-Ea-Specific DNA Breaks in Testicular Germ Cells. Mol. Cell Biol. 2004, 24, 1655–1666. [Google Scholar] [CrossRef]
- Zenvirth, D.; Richler, C.; Bardhan, A.; Baudat, F.; Barzilai, A.; Wahrman, J.; Simchen, G. Mammalian meiosis involves DNA double-strand breaks with 3' overhangs. Chromosoma 2003, 111, 369–376. [Google Scholar] [CrossRef]
- Fernandez-Capetillo, O.; Lee, A.; Nussenzweig, M.; Nussenzweig, A. H2AX: the histone guardian of the genome. DNA Repair 2004, 3, 959–967. [Google Scholar] [CrossRef]
- Mahadevaiah, S.K.; Turner, J.M.; Baudat, F.; Rogakou, E.P.; de Boer, P.; Blanco-Rodriguez, J.; Jasin, M.; Keeney, S.; Bonner, W.M.; Burgoyne, P.S. Recombinational DNA double-strand breaks in mice precede synapsis. Nat. Genet. 2001, 27, 271–276. [Google Scholar] [CrossRef]
- Malik, S.B.; Ramesh, M.A.; Hulstrand, A.M.; Logsdon, J.M., Jr. Protist homologs of the meiotic Spo11 gene and topoisomerase VI reveal an evolutionary history of gene duplication and lineage-specific loss. Mol. Biol. Evol. 2007, 24, 2827–2841. [Google Scholar]
- Forterre, P.; Gribaldo, S.; Gadelle, D.; Serre, M.C. Origin and evolution of DNA topoisomerases. Biochimie 2007, 89, 427–446. [Google Scholar]
- Corbett, K.D.; Benedetti, P.; Berger, J.M. Holoenzyme assembly and ATP-mediated conformational dynamics of topoisomerase VI. Nat. Struct. Mol. Biol. 2007, 14, 611–619. [Google Scholar]
- Corbett, K.D.; Berger, J.M. Structure of the topoisomerase VI-B subunit: implications for type II topoisomerase mechanism and evolution. EMBO J. 2003, 22, 151–163. [Google Scholar] [CrossRef]
- Graille, M.; Cladiere, L.; Durand, D.; Lecointe, F.; Gadelle, D.; Quevillon-Cheruel, S.; Vachette, P.; Forterre, P.; van Tilbeurgh, H. Crystal Structure of an Intact Type II DNA Topoisomerase: Insights into DNA Transfer Mechanisms. Structure 2008, 16, 360–370. [Google Scholar]
- Nichols, M.D.; DeAngelis, K.; Keck, J.L.; Berger, J.M. Structure and function of an archaeal topoisomerase VI subunit with homology to the meiotic recombination factor Spo11. EMBO J. 1999, 18, 6177–6188. [Google Scholar] [CrossRef]
- Keeney, S. Spo11 and the formation of DNA double-strand breaks in meiosis. In Genome Dynamics and Stability; Springer-Verlag: Berlin Heidelberg, Germany, 2008; Volume 2, pp. 81–124. [Google Scholar]
- Keeney, S.; Baudat, F.; Angeles, M.; Zhou, Z.H.; Copeland, N.G.; Jenkins, N.A.; Manova, K.; Jasin, M. A mouse homolog of the Saccharomyces cerevisiae meiotic recombination DNA transesterase Spo11p. Genomics 1999, 61, 170–182. [Google Scholar] [CrossRef]
- Metzler-Guillemain, C.; de Massy, B. Identification and characterization of an SPO11 homolog in the mouse. Chromosoma 2000, 109, 133–138. [Google Scholar] [CrossRef]
- Romanienko, P.J.; CameriniOtero, R.D. Cloning, characterization, and localization of mouse and human SPO11. Genomics 1999, 61, 156–169. [Google Scholar] [CrossRef]
- Shannon, M.; Richardson, L.; Christian, A.; Handel, M.A.; Thelen, M.P. Differential gene expression of mammalian SPO11/TOP6A homologs during meiosis. FEBS Lett. 1999, 462, 329–334. [Google Scholar] [CrossRef]
- Klein, U.; Esposito, G.; Baudat, F.; Keeney, S.; Jasin, M. Mice deficient for the type II topoisomerase-like DNA transesterase Spo11 show normal immunoglobulin somatic hypermutation and class switching. Eur. J. Immunol. 2002, 32, 316–321. [Google Scholar]
- Simpson, A.J.; Caballero, O.L.; Jungbluth, A.; Chen, Y.T.; Old, L.J. Cancer/testis antigens, gametogenesis and cancer. Nat. Rev. Cancer 2005, 5, 615–625. [Google Scholar] [CrossRef]
- Romanienko, P.J.; Camerini-Otero, R.D. The mouse spo11 gene is required for meiotic chromosome synapsis. Mol. Cell 2000, 6, 975–987. [Google Scholar]
- Kumar, R.; de Massy, B.; Institute of Human Genetics, Montpellier, France. Unpublished work.
- Bellani, M.A.; Boateng, K.A.; McLeod, D.; Camerini-Otero, R.D. The expression profile of the major mouse SPO11 isoforms indicates that SPO11beta introduces double strand breaks and suggests that SPO11alpha has an additional role in prophase in both spermatocytes and oocytes. Mol. Cell Biol. 2010, 30, 4391–4403. [Google Scholar] [CrossRef]
- Baudat, F.; Manova, K.; Yuen, J.P.; Jasin, M.; Keeney, S. Chromosome synapsis defects and sexually dimorphic meiotic progression in mice lacking spo11. Mol. Cell 2000, 6, 989–998. [Google Scholar] [CrossRef]
- Barchi, M.; Mahadevaiah, S.; Di Giacomo, M.; Baudat, F.; de Rooij, D.G.; Burgoyne, P.S.; Jasin, M.; Keeney, S. Surveillance of different recombination defects in mouse spermatocytes yields distinct responses despite elimination at an identical developmental stage. Mol. Cell Biol. 2005, 25, 7203–7215. [Google Scholar] [CrossRef]
- Di Giacomo, M.; Barchi, M.; Baudat, F.; Edelmann, W.; Keeney, S.; Jasin, M. Distinct DNA-damage-dependent and -independent responses drive the loss of oocytes in recombination-defective mouse mutants. Proc. Natl. Acad. Sci. USA 2005, 102, 737–742. [Google Scholar] [CrossRef]
- Chicheportiche, A.; Bernardino-Sgherri, J.; de Massy, B.; Dutrillaux, B. Characterization of Spo11-dependent and independent phospho-H2AX foci during meiotic prophase I in the male mouse. J. Cell Sci. 2007, 120, 1733–1742. [Google Scholar]
- Burgoyne, P.S.; Mahadevaiah, S.K.; Turner, J.M. The consequences of asynapsis for mammalian meiosis. Nat. Rev. Genet. 2009, 10, 207–216. [Google Scholar]
- Guillon, H.; Baudat, F.; Grey, C.; Liskay, R.M.; de Massy, B. Crossover and Noncrossover Pathways in Mouse Meiosis. Mol. Cell 2005, 20, 563–573. [Google Scholar] [CrossRef]
- Drabent, B.; Bode, C.; Bramlage, B.; Doenecke, D. Expression of the mouse testicular histone gene H1t during spermatogenesis. Histochem. Cell Biol. 1996, 106, 247–251. [Google Scholar]
- Calenda, A.; Allenet, B.; Escalier, D.; Bach, J.F.; Garchon, H.J. The meiosis-specific Xmr gene product is homologous to the lymphocyte Xlr protein and is a component of the XY body. EMBO J. 1994, 13, 100–109. [Google Scholar]
- Liebe, B.; Petukhova, G.; Barchi, M.; Bellani, M.; Braselmann, H.; Nakano, T.; Pandita, T.K.; Jasin, M.; Fornace, A.; Meistrich, M.L.; Baarends, W.M.; Schimenti, J.; de Lange, T.; Keeney, S.; Camerini-Otero, R.D.; Scherthan, H. Mutations that affect meiosis in male mice influence the dynamics of the mid-preleptotene and bouquet stages. Exp. Cell Res. 2006, 312, 3768–3781. [Google Scholar] [CrossRef]
- de Massy, B.; te Riele, H.; Institute of Human Genetics, Montpellier, France and The Netherlands Cancer Institute, Amsterdam, Netherlands. Unpublished work.
- Bellani, M.A.; Romanienko, P.J.; Cairatti, D.A.; Camerini-Otero, R.D. SPO11 is required for sex-body formation, and Spo11 heterozygosity rescues the prophase arrest of Atm−/− spermatocytes. J. Cell Sci. 2005, 118, 3233–3245. [Google Scholar] [CrossRef]
- Barchi, M.; Roig, I.; Di Giacomo, M.; de Rooij, D.G.; Keeney, S.; Jasin, M. ATM promotes the obligate XY crossover and both crossover control and chromosome axis integrity on autosomes. PLoS Genet. 2008, 4, e1000076. [Google Scholar]
- Malone, R.E.; Bullard, S.; Hermiston, M.; Rieger, R.; Cool, M.; Galbraith, A. Isolation of mutants defective in early steps of meiotic recombination in the yeast Saccharomyces cerevisiae. Genetics 1991, 128, 79–88. [Google Scholar]
- Menees, T.M.; Roeder, S.G. MEI4, a yeast gene required for meiotic recombination. Genetics 1989, 123, 675–682. [Google Scholar]
- Li, J.; Hooker, G.W.; Roeder, G.S. Saccharomyces cerevisiae Mer2, Mei4 and Rec114 form a complex required for meiotic double-strand break formation. Genetics 2006, 173, 1969–1981. [Google Scholar] [CrossRef]
- Maleki, S.; Neale, M.J.; Arora, C.; Henderson, K.A.; Keeney, S. Interactions between Mei4, Rec114, and other proteins required for meiotic DNA double-strand break formation in Saccharomyces cerevisiae. Chromosoma 2007, 116, 471–486. [Google Scholar]
- Molnar, M.; Parisi, S.; Kakihara, Y.; Nojima, H.; Yamamoto, A.; Hiraoka, Y.; Bozsik, A.; Sipiczki, M.; Kohli, J. Characterization of rec7, an early meiotic recombination gene in Schizosaccharomyces pombe. Genetics 2001, 157, 519–532. [Google Scholar]
- Kumar, R.; Bourbon, H.M.; de Massy, B. Functional conservation of Mei4 for meiotic DNA double-strand break formation from yeasts to mice. Genes Dev. 2010, 24, 1266–1280. [Google Scholar] [CrossRef]
- Kumar, R.; Institute of Human Genetics, Montpellier, France. Unpublished work. 2010.
- Cartwright, P.; Muller, H.; Wagener, C.; Holm, K.; Helin, K. E2F-6: A novel member of the E2F family is an inhibitor of E2F-dependent transcription. Oncogene 1998, 17, 611–623. [Google Scholar]
- Kehoe, S.M.; Oka, M.; Hankowski, K.E.; Reichert, N.; Garcia, S.; McCarrey, J.R.; Gaubatz, S.; Terada, N. A Conserved E2F6-Binding Element in Murine Meiosis-Specific Gene Promoters. Biol. Reprod. 2008, 79, 921–930. [Google Scholar] [CrossRef]
- Moens, P.B.; Kolas, N.K.; Tarsounas, M.; Marcon, E.; Cohen, P.E.; Spyropoulos, B. The time course and chromosomal localization of recombination-related proteins at meiosis in the mouse are compatible with models that can resolve the early DNA-DNA interactions without reciprocal recombination. J. Cell Sci. 2002, 115, 1611–1622. [Google Scholar]
- Munroe, R.J.; Bergstrom, R.A.; Zheng, Q.Y.; Libby, B.; Smith, R.; John, S.W.; Schimenti, K.J.; Browning, V.L.; Schimenti, J.C. Mouse mutants from chemically mutagenized embryonic stem cells. Nat. Genet. 2000, 24, 318–321. [Google Scholar] [CrossRef]
- Libby, B.J.; de La Fuente, R.; O'Brien, M.J.; Wigglesworth, K.; Cobb, J.; Inselman, A.; Eaker, S.; Handel, M.A.; Eppig, J.J.; Schimenti, J.C. The Mouse Meiotic Mutation mei1 Disrupts Chromosome Synapsis with Sexually Dimorphic Consequences for Meiotic Progression. Dev. Biol. 2002, 242, 174–187. [Google Scholar] [CrossRef]
- Libby, B.J.; Reinholdt, L.G.; Schimenti, J.C. Positional cloning and characterization of Mei1, a vertebrate-specific gene required for normal meiotic chromosome synapsis in mice. Proc. Natl. Acad. Sci. USA 2003, 100, 15706–15711. [Google Scholar] [CrossRef]
- Sato, H.; Miyamoto, T.; Yogev, L.; Namiki, M.; Koh, E.; Hayashi, H.; Sasaki, Y.; Ishikawa, M.; Lamb, D.J.; Matsumoto, N.; Birk, O.S.; Niikawa, N.; Sengoku, K. Polymorphic alleles of the human MEI1 gene are associated with human azoospermia by meiotic arrest. J. Hum. Genet. 2006, 51, 533–540. [Google Scholar] [Green Version]
- de Muyt, A.; Vezon, D.; Gendrot, G.; Gallois, J.L.; Stevens, R.; Grelon, M. AtPRD1 is required for meiotic double strand break formation in Arabidopsis thaliana. EMBO J. 2007, 26, 4126–4137. [Google Scholar] [Green Version]
- Arora, C.; Kee, K.; Maleki, S.; Keeney, S. Antiviral protein ski8 is a direct partner of spo11 in meiotic DNA break formation, independent of its cytoplasmic role in RNA metabolism. Mol. Cell 2004, 13, 549–559. [Google Scholar] [CrossRef]
- Tesse, S.; Storlazzi, A.; Kleckner, N.; Gargano, S.; Zickler, D. Localization and roles of Ski8p protein in Sordaria meiosis and delineation of three mechanistically distinct steps of meiotic homolog juxtaposition. Proc. Natl. Acad. Sci. USA 2003, 100, 12865–12870. [Google Scholar] [CrossRef]
- Evans, D.H.; Li, Y.F.; Fox, M.E.; Smith, G.R. A WD repeat protein, rec14, essential for meiotic recombination in Schizosaccharomyces pombe. Genetics 1997, 146, 1253–1264. [Google Scholar]
- Jolivet, S.; Vezon, D.; Froger, N.; Mercier, R. Non conservation of the meiotic function of the Ski8/Rec103 homolog in Arabidopsis. Genes Cells 2006, 11, 615–622. [Google Scholar] [CrossRef]
- Goedecke, W.; Eijpe, M.; Offenberg, H.H.; van Aalderen, M.; Heyting, C. Mre11 and Ku70 interact in somatic cells, but are differentially expressed in early meiosis. Nat. Genet. 1999, 23, 194–198. [Google Scholar] [CrossRef]
- Vissinga, C.S.; Yeo, T.C.; Warren, S.; Brawley, J.V.; Phillips, J.; Cerosaletti, K.; Concannon, P. Nuclear export of NBN is required for normal cellular responses to radiation. Mol. Cell Biol. 2009, 29, 1000–1006. [Google Scholar] [CrossRef]
- Eijpe, M.; Offenberg, H.; Goedecke, W.; Heyting, C. Localisation of RAD50 and MRE11 in spermatocyte nuclei of mouse and rat. Chromosoma 2000, 109, 123–132. [Google Scholar] [CrossRef]
- Stracker, T.H.; Theunissen, J.W.; Morales, M.; Petrini, J.H. The Mre11 complex and the metabolism of chromosome breaks: the importance of communicating and holding things together. DNA Repair 2004, 3, 845–854. [Google Scholar] [CrossRef]
- Borde, V. The multiple roles of the Mre11 complex for meiotic recombination. Chromosome Res. 2007, 15, 551–563. [Google Scholar] [CrossRef]
- Cherry, S.M.; Adelman, C.A.; Theunissen, J.W.; Hassold, T.J.; Hunt, P.A.; Petrini, J.H. The mre11 complex influences DNA repair, synapsis, and crossing over in murine meiosis. Curr. Biol. 2007, 17, 373–378. [Google Scholar] [CrossRef]
- Arnheim, N.; Calabrese, P.; Tiemann-Boege, I. Mammalian meiotic recombination hot spots. Annu Rev. Genet. 2007, 41, 369–399. [Google Scholar] [CrossRef]
- Buard, J.; de Massy, B. Playing hide and seek with mammalian meiotic crossover hotspots. Trends Genet. 2007, 23, 301–309. [Google Scholar] [CrossRef]
- Paigen, K.; Petkov, P. Mammalian recombination hot spots: properties, control and evolution. Nat. Rev. Genet. 2010, 11, 221–233. [Google Scholar] [CrossRef]
- Holloway, K.; Lawson, V.E.; Jeffreys, A.J. Allelic recombination and de novo deletions in sperm in the human {beta}-globin gene region. Hum. Mol. Genet. 2006, 15, 1099–1111. [Google Scholar] [CrossRef]
- Jeffreys, A.J.; May, C.A. Intense and highly localized gene conversion activity in human meiotic crossover hot spots. Nat. Genet. 2004, 36, 151–156. [Google Scholar] [CrossRef]
- Jeffreys, A.J.; Neumann, R. Factors influencing recombination frequency and distribution in a human meiotic crossover hotspot. Hum. Mol. Genet. 2005, 14, 2277–2287. [Google Scholar] [CrossRef]
- Baudat, F.; de Massy, B. cis- and trans-Acting Elements Regulate the Mouse Psmb9 Meiotic Recombination Hotspot. PLoS Genet. 2007, 3, e100. [Google Scholar] [CrossRef]
- Guillon, H.; de Massy, B. An initiation site for meiotic crossing-over and gene conversion in the mouse. Nat. Genet. 2002, 32, 296–299. [Google Scholar] [CrossRef]
- Paigen, K.; Szatkiewicz, J.P.; Sawyer, K.; Leahy, N.; Parvanov, E.D.; Ng, S.H.; Graber, J.H.; Broman, K.W.; Petkov, P.M. The recombinational anatomy of a mouse chromosome. PLoS Genet. 2008, 4, e1000119. [Google Scholar] [CrossRef]
- Jeffreys, A.J.; Neumann, R. Reciprocal crossover asymmetry and meiotic drive in a human recombination hot spot. Nat. Genet. 2002, 31, 267–271. [Google Scholar] [CrossRef]
- Neumann, R.; Jeffreys, A.J. Polymorphism in the activity of human crossover hotspots independent of local DNA sequence variation. Hum. Mol. Genet. 2006, 15, 1401–1411. [Google Scholar] [CrossRef]
- Bois, P.R. A Highly Polymorphic Meiotic Recombination Mouse Hotspot Exhibits Incomplete Repair. Mol. Cell Biol. 2007, 27, 7053–7062. [Google Scholar] [CrossRef]
- Wu, Z.K.; Getun, I.V.; Bois, P.R. Anatomy of mouse recombination hot spots. Nucleic Acids Res. 2010, 38, 2346–2354. [Google Scholar]
- Yauk, C.L.; Bois, P.R.; Jeffreys, A.J. High-resolution sperm typing of meiotic recombination in the mouse MHC E(beta) gene. EMBO J. 2003, 22, 1389–1397. [Google Scholar] [CrossRef]
- Cole, F.; Keeney, S.; Jasin, M. Comprehensive, fine-scale dissection of homologous recombination outcomes at a hot spot in mouse meiosis. Mol. Cell 2010, 39, 700–710. [Google Scholar] [CrossRef]
- Baudat, F.; Institute of Human Genetics, Montpellier, France. Personal communication, 2010.
- Coop, G.; Przeworski, M. An evolutionary view of human recombination. Nat. Rev. Genet. 2007, 8, 23–34. [Google Scholar] [CrossRef]
- McVean, G.A.; Myers, S.R.; Hunt, S.; Deloukas, P.; Bentley, D.R.; Donnelly, P. The fine-scale structure of recombination rate variation in the human genome. Science 2004, 304, 581–584. [Google Scholar] [CrossRef]
- Myers, S.; Bottolo, L.; Freeman, C.; McVean, G.; Donnelly, P. A fine-scale map of recombination rates and hotspots across the human genome. Science 2005, 310, 321–324. [Google Scholar] [CrossRef]
- Myers, S.; Freeman, C.; Auton, A.; Donnelly, P.; McVean, G. A common sequence motif associated with recombination hot spots and genome instability in humans. Nat. Genet. 2008, 40, 1124–1129. [Google Scholar] [CrossRef]
- Frazer, K.A.; Ballinger, D.G.; Cox, D.R.; Hinds, D.A.; Stuve, L.L.; Gibbs, R.A.; Belmont, J.W.; Boudreau, A.; Hardenbol, P.; Leal, S.M.; et al. A second generation human haplotype map of over 3.1 million SNPs. Nature 2007, 449, 851–861. [Google Scholar] [CrossRef]
- Coop, G.; Wen, X.; Ober, C.; Pritchard, J.K.; Przeworski, M. High-Resolution Mapping of Crossovers Reveals Extensive Variation in Fine-Scale Recombination Patterns Among Humans. Science 2008, 319, 1395–1398. [Google Scholar] [CrossRef]
- Myers, S.; Spencer, C.C.; Auton, A.; Bottolo, L.; Freeman, C.; Donnelly, P.; McVean, G. The distribution and causes of meiotic recombination in the human genome. Biochem. Soc. Trans. 2006, 34, 526–530. [Google Scholar] [CrossRef]
- Buard, J.; Barthes, P.; Grey, C.; de Massy, B. Distinct histone modifications define initiation and repair of meiotic recombination in the mouse. EMBO J. 2009, 28, 2616–2624. [Google Scholar] [CrossRef]
- Parvanov, E.D.; Ng, S.H.; Petkov, P.M.; Paigen, K. Trans-regulation of mouse meiotic recombination hotspots by Rcr1. PLoS Biol. 2009, 7, e36. [Google Scholar] [CrossRef]
- Shiroishi, T.; Sagai, T.; Hanzawa, N.; Gotoh, H.; Moriwaki, K. Genetic control of sex-dependent meiotic recombination in the major histocompatibility complex of the mouse. EMBO J. 1991, 10, 681–686. [Google Scholar]
- Barthès, P.; Institute of Human Genetics, Montpellier, France. Personal communication, 2010.
- Mizuno, K.; Koide, T.; Sagai, T.; Moriwaki, K.; Shiroishi, T. Molecular analysis of a recombinational hotspot adjacent to Lmp2 gene in the mouse MHC: fine location and chromatin structure. Mamm. Genome 1996, 7, 490–496. [Google Scholar] [CrossRef]
- Getun, I.V.; Wu, Z.K.; Khalil, A.M.; Bois, P.R. Nucleosome occupancy landscape and dynamics at mouse recombination hotspots. EMBO Rep. 2010, 11, 555–560. [Google Scholar] [CrossRef]
- Baudat, F.; Buard, J.; Grey, C.; Fledel-Alon, A.; Ober, C.; Przeworski, M.; Coop, G.; de Massy, B. PRDM9 is a major determinant of meiotic recombination hotspots in humans and mice. Science 2010, 327, 836–840. [Google Scholar] [CrossRef]
- Tiemann-Boege, I.; Calabrese, P.; Cochran, D.M.; Sokol, R.; Arnheim, N. High-Resolution Recombination Patterns in a Region of Human Chromosome 21 Measured by Sperm Typing. PLoS Genet. 2006, 2, e70. [Google Scholar] [CrossRef]
- Cullen, M.; Perfetto, S.P.; Klitz, W.; Nelson, G.; Carrington, M. High-Resolution Patterns of Meiotic Recombination across the Human Major Histocompatibility Complex. Am. J. Hum. Genet. 2002, 71, 759–776. [Google Scholar] [CrossRef]
- Grey, C.; Baudat, F.; de Massy, B. Genome-Wide Control of the Distribution of Meiotic Recombination. PLoS Biol. 2009, 7, e35. [Google Scholar] [CrossRef]
- Hayashi, K.; Yoshida, K.; Matsui, Y. A histone H3 methyltransferase controls epigenetic events required for meiotic prophase. Nature 2005, 438, 374–378. [Google Scholar] [CrossRef]
- Myers, S.; Bowden, R.; Tumian, A.; Bontrop, R.E.; Freeman, C.; MacFie, T.S.; McVean, G.; Donnelly, P. Drive against hotspot motifs in primates implicates the PRDM9 gene in meiotic recombination. Science 2010, 327, 876–879. [Google Scholar] [CrossRef]
- Parvanov, E.D.; Petkov, P.M.; Paigen, K. Prdm9 controls activation of mammalian recombination hotspots. Science 2010, 327, 835. [Google Scholar] [CrossRef]
- Fu, F.; Sander, J.D.; Maeder, M.; Thibodeau-Beganny, S.; Joung, J.K.; Dobbs, D.; Miller, L.; Voytas, D.F. Zinc Finger Database (ZiFDB): A repository for information on C2H2 zinc fingers and engineered zinc-finger arrays. Nucleic Acids Res. 2009, 37, D279–D283. [Google Scholar] [CrossRef]
- Berg, I.L.; Neumann, R.; Lam, K.W.; Sarbajna, S.; Odenthal-Hesse, L.; May, C.A.; Jeffreys, A.J. PRDM9 variation strongly influences recombination hot-spot activity and meiotic instability in humans. Nat. Genet. 2010, 42, 859–863. [Google Scholar] [CrossRef]
- Segal, D.J.; Beerly, R.R.; Blancafort, P.; Dreier, B.; Effertz, K.; Huber, A.; Koksch, B.; Lund, C.V.; Magnenat, L.; Valente, D.; et al. Evaluation of a modular strategy for the construction of novel polydactyl zinc finger DNA-binding proteins. Biochemistry 2003, 42, 2137–2148. [Google Scholar] [CrossRef]
- Urnov, F.D.; Rebar, E.J.; Holmes, M.C.; Zhang, H.S.; Gregory, P.D. Genome editing with engineered zinc finger nucleases. Nat. Rev. Genet. 2010, 11, 636–646. [Google Scholar] [CrossRef]
- Ramirez, C.L.; Foley, J.E.; Wright, D.A.; Muller-Lerch, F.; Rahman, S.H.; Cornu, T.I.; Winfrey, R.J.; Sander, J.D.; Fu, F.L.; Townsend, J.A.; et al. Unexpected failure rates for modular assembly of engineered zinc fingers. Nat. Methods 2008, 5, 374–375. [Google Scholar] [CrossRef]
- Hayashi, K.; Matsui, Y. Meisetz, a novel histone tri-methyltransferase, regulates meiosis-specific epigenesis. Cell Cycle 2006, 5, 615–620. [Google Scholar] [CrossRef]
- Ruthenburg, A.J.; Allis, C.D.; Wysocka, J. Methylation of lysine 4 on histone H3: Intricacy of writing and reading a single epigenetic mark. Mol. Cell 2007, 25, 15–30. [Google Scholar] [CrossRef]
- Lichten, M. Meiotic chromatin: the substrate for recombination initiation. In Genome Dynamics and Stability; Springer-Verlag: Berlin Heidelberg, Germany, 2008; Volume 3. [Google Scholar]
- Baudat, F.; Nicolas, A. Clustering of meiotic double-strand breaks on yeast chromosome III. Proc. Natl. Acad. Sci. USA 1997, 94, 5213–5218. [Google Scholar] [CrossRef]
- Borde, V.; Robine, N.; Lin, W.; Bonfils, S.; Geli, V.; Nicolas, A. Histone H3 lysine 4 trimethylation marks meiotic recombination initiation sites. EMBO J. 2009, 28, 99–111. [Google Scholar] [CrossRef]
- Sollier, J.; Lin, W.; Soustelle, C.; Suhre, K.; Nicolas, A.; Geli, V.; de La Roche Saint-Andre, C. Set1 is required for meiotic S-phase onset, double-strand break formation and middle gene expression. EMBO J. 2004, 23, 1957–1967. [Google Scholar] [CrossRef]
- Yamada, Y.; Ohta, K.; University of Tokyo, Tokyo, Japan. Personal communication, 2010.
- Hirota, K.; Mizuno, K.; Shibata, T.; Ohta, K. Distinct chromatin modulators regulate the formation of accessible and repressive chromatin at the fission yeast recombination hotspot ade6-M26. Mol. Biol. Cell 2008, 19, 1162–1173. [Google Scholar]
- Hirota, K.; Steiner, W.W.; Shibata, T.; Ohta, K. Multiple modes of chromatin configuration at natural meiotic recombination hot spots in fission yeast. Eukaryot. Cell 2007, 6, 2072–2080. [Google Scholar] [CrossRef] [Green Version]
- Yamada, T.; Mizuno, K.I.; Hirota, K.; Kon, N.; Wahls, W.P.; Hartsuiker, E.; Murofushi, H.; Shibata, T.; Ohta, K. Roles of histone acetylation and chromatin remodeling factor in a meiotic recombination hotspot. EMBO J. 2004, 23, 1792–1803. [Google Scholar] [CrossRef]
- Steiner, W.W.; Steiner, E.M.; Girvin, A.R.; Plewik, L.E. Novel Nucleotide Sequence Motifs That Produce Hotspots of Meiotic Recombination in Schizosaccharomyces pombe. Genetics 2009, 182, 459–469. [Google Scholar] [CrossRef]
- Wahls, W.P.; Davidson, M.K. Discrete DNA sites regulate global distribution of meiotic recombination. Trends Genet. 2010, 26, 202–208. [Google Scholar] [CrossRef]
- Ptak, S.E.; Hinds, D.A.; Koehler, K.; Nickel, B.; Patil, N.; Ballinger, D.G.; Przeworski, M.; Frazer, K.A.; Paabo, S. Fine-scale recombination patterns differ between chimpanzees and humans. Nat. Genet. 2005, 37, 429–434. [Google Scholar] [CrossRef]
- Winckler, W.; Myers, S.R.; Richter, D.J.; Onofrio, R.C.; McDonald, G.J.; Bontrop, R.E.; McVean, G.A.; Gabriel, S.B.; Reich, D.; Donnelly, P.; Altshuler, D. Comparison of fine-scale recombination rates in humans and chimpanzees. Science 2005, 308, 107–111. [Google Scholar] [CrossRef]
- Oliver, P.L.; Goodstadt, L.; Bayes, J.J.; Birtle, Z.; Roach, K.C.; Phadnis, N.; Beatson, S.A.; Lunter, G.; Malik, H.S.; Ponting, C.P. Accelerated Evolution of the Prdm9 Speciation Gene across Diverse Metazoan Taxa. PLoS Genet. 2009, 5, e1000753. [Google Scholar] [CrossRef]
- Thomas, J.H.; Emerson, R.O.; Shendure, J. Extraordinary molecular evolution in the PRDM9 fertility gene. PLoS ONE 2009, 4, e8505. [Google Scholar]
- Mets, D.G.; Meyer, B.J. Condensins regulate meiotic DNA break distribution, thus crossover frequency, by controlling chromosome structure. Cell 2009, 139, 73–86. [Google Scholar] [CrossRef]
- Mehrotra, S.; McKim, K.S. Temporal analysis of meiotic DNA double-strand break formation and repair in Drosophila females. PLoS Genet. 2006, 2, e200. [Google Scholar] [CrossRef]
- Sasaki, M.; Lange, J.; Keeney, S. Genome destabilization by homologous recombination in the germ line. Nat. Rev. Mol. Cell Biol. 2010, 11, 182–195. [Google Scholar]
- Stankiewicz, P.; Lupski, J.R. Structural variation in the human genome and its role in disease. Annu Rev. Med. 2010, 61, 437–455. [Google Scholar] [CrossRef]
- Turner, D.J.; Miretti, M.; Rajan, D.; Fiegler, H.; Carter, N.P.; Blayney, M.L.; Beck, S.; Hurles, M.E. Germline rates of de novo meiotic deletions and duplications causing several genomic disorders. Nat. Genet. 2008, 40, 90–95. [Google Scholar] [CrossRef]
© 2010 by the authors; licensee MDPI, Basel, Switzerland. This article is an open access article distributed under the terms and conditions of the Creative Commons Attribution license (http://creativecommons.org/licenses/by/3.0/).
Share and Cite
Kumar, R.; De Massy, B. Initiation of Meiotic Recombination in Mammals. Genes 2010, 1, 521-549. https://doi.org/10.3390/genes1030521
Kumar R, De Massy B. Initiation of Meiotic Recombination in Mammals. Genes. 2010; 1(3):521-549. https://doi.org/10.3390/genes1030521
Chicago/Turabian StyleKumar, Rajeev, and Bernard De Massy. 2010. "Initiation of Meiotic Recombination in Mammals" Genes 1, no. 3: 521-549. https://doi.org/10.3390/genes1030521
APA StyleKumar, R., & De Massy, B. (2010). Initiation of Meiotic Recombination in Mammals. Genes, 1(3), 521-549. https://doi.org/10.3390/genes1030521
