Neutrophil Extracellular Traps in the Pathogenesis of Equine Recurrent Uveitis (ERU)
Abstract
1. Introduction
2. Materials and Methods
2.1. Samples
2.1.1. Study Part I (Munich)
2.1.2. Study Part II (Hannover)
Blood Samples for Neutrophil Isolation
VBF Samples Obtained from Vitrectomy Patients and Healthy Horses
Samples Obtained from Enucleations
2.2. Pico Green Assay
2.3. Nuclease Activity Assay
2.3.1. Quantitative Measurement
2.3.2. Qualitative Measurement
2.4. PMN Isolation
2.5. NET Induction
2.6. Immunofluorescence Staining of NETs
2.7. Immunofluorescence Staining of Paraffin Sections
2.8. Immunofluorescence Microscopy and Analysis of NETs
2.9. ELISA for eCATH
2.10. Electron Microscopy
2.11. Statistical Analysis
3. Results
3.1. More NET Markers in Serum of ERU-Diseased Horses
3.2. NET Detection Ex Vivo
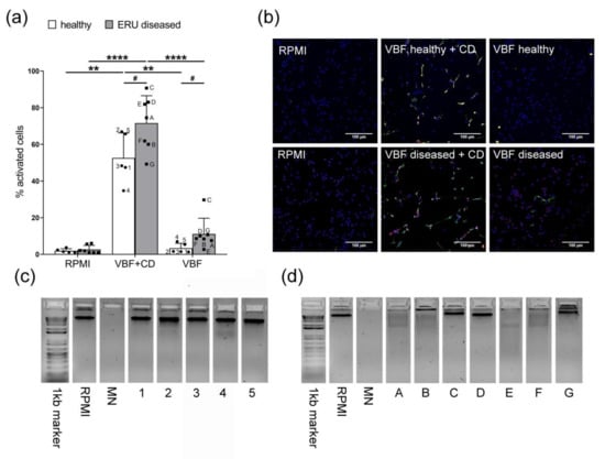
3.3. More Activated Neutrophils in ERU-Diseased Horses Despite Nuclease Activity
3.4. Influence of Equine Cathelicidins
3.4.1. NET Induction with Equine Cathelicidins
3.4.2. More Cathelicidins in VBF of ERU-Diseased Horses
4. Discussion
Author Contributions
Funding
Acknowledgments
Conflicts of Interest
Appendix A
| Number | Diagnosis | Age | Breed | Gender | Leptospira Titer |
|---|---|---|---|---|---|
| 1 | healthy eye | 16 | Westphalian | mare | MAT −, PCR − |
| 2 | healthy eye | 9 | Trakehner | gelding | MAT −, PCR − |
| 3 | healthy eye | 3 | Hanoverian | gelding | MAT −, PCR − |
| 4 | healthy eye | 15–20 | Dutch warmblood | mare | MAT −, PCR − |
| 5 | healthy eye | 23 | Icelandic horse | mare | MAT −, PCR − |
| A | ERU | 9 | Hanoverian | mare | MAT +, PCR + |
| (400 Australis, 100 Bratislava, 3200 Atumnalis, 1600 Grippotyphosa, >3200 Pomona, 3200 Altodouro, 400 Hardjo) | |||||
| B | ERU | 16 | Icelandic horse | mare | MAT +, PCR + |
| (>3200 Grippotyphosa, 800 Icterohaemorrhagiae) | |||||
| C | ERU | 6 | Icelandic horse | mare | MAT +, PCR + |
| (400 Grippotyphosa) | |||||
| D | ERU | 8 | Alt-Oldenburger and Ostfriesen | gelding | MAT +, PCR + |
| (1600 Grippotyphosa) | |||||
| E | ERU | 11 | Icelandic horse | mare | MAT +, PCR + |
| (3200 Grippotyphosa) | |||||
| F | ERU | 4 | Hanoverian | mare | MAT +, PCR + |
| (>3200 Grippotyphosa) | |||||
| G | ERU | 10 | Trotter | gelding | MAT +, PCR + |
| (3200 Grippotyphosa) |
| Number | Diagnosis | Age | Breed | Gender | Leptospira titer | Pathological Findings |
|---|---|---|---|---|---|---|
| 6 | ERU-free, retrobulbar mass | 25 | Partbred Arabian | mare | MAT −, PCR − | healthy eye |
| 7 | ERU-free, chronic keratitis | 20 | Hanoverian | gelding | PCR −, MAT − | retinal detachment with atrophy |
| 8 | ERU-free, glaucoma | 26 | Westphalian | gelding | PCR −, MAT − | retinal folds with focal atrophy, focal erosion of corneal epithel, hyalinisation of ligamentum pectinatum |
| H | ERU | 11 | Hanoverian | gelding | MAT −, PCR + | lymphoplasmacellular panophthalmia |
| I | ERU | 20 | Pinto | gelding | MAT +, PCR − (1600 Grippotyphosa) | lymphoplasmacellular panophthalmia |
| J | ERU | 13 | Oldenburger | gelding | MAT +, PCR − (800 Grippotyphosa) | phthisis bulbi, chronic-degenerative and reactive changes |
| U1 | acute uveitis | 13 | Paint Horse | gelding | MAT −, no PCR | hypopyon and retinal detachment |



References
- Schwink, K.L. Equine Uveitis. Vet. Clin. North Am. Equine Pract. 1992, 8, 557–574. [Google Scholar] [CrossRef]
- Lowe, R.C. Equine uveitis: A UK perspective. Equine Vet. J. 2010, 42, 46–49. [Google Scholar] [CrossRef]
- Gilger, B.C.; Deeg, C. Equine Ophthalmology, 2nd ed.; Gilger, B.C., Ed.; Elsevier: Saint Louis, MO, USA, 2011; ISBN 9781437708462. [Google Scholar]
- Szemes, P.; Gerhards, H. Untersuchungen zur Prävalenz der equinen rezidivierenden Uveitis im Großraum Köln-Bonn. Prakt Tierarzt 2000, 81, 408–420. [Google Scholar]
- Gerhards, H.; Wollanke, B. Diagnosis and therapy of uveitis in horses. Pferdeheilkd. Equine Med. 2001, 17, 319–329. [Google Scholar] [CrossRef]
- Von Borstel, M.; Oppen, V.; Frühauf, G.; Boevé, D.; Ohnesorge, B. Langzeitergebnisse der Pars-plana-Vitrektomie bei equiner rezidivierender Uveitis. Pferdeheilkunde 2005, 21, 13–18. [Google Scholar] [CrossRef]
- Gilger, B.C. Equine recurrent uveitis: The viewpoint from the USA. Equine Vet. J. Suppl. 2010, 37, 57–61. [Google Scholar] [CrossRef]
- Deeg, C.a.; Kaspers, B.; Gerhards, H.; Thurau, S.R.; Wollanke, B.; Wildner, G. Immune responses to retinal autoantigens and peptides in equine recurrent uveitis. Investig. Ophthalmol. Vis. Sci. 2001, 42, 393–398. [Google Scholar]
- Zipplies, J.K.; Hauck, S.M.; Eberhardt, C.; Hirmer, S.; Amann, B.; Stangassinger, M.; Ueffing, M.; Deeg, C.A. Miscellaneous vitreous-derived IgM antibodies target numerous retinal proteins in equine recurrent uveitis. Vet. Ophthalmol. 2012, 15, 57–64. [Google Scholar] [CrossRef]
- Regan, D.P.; Aarnio, M.C.; Davis, W.S.; Carmichael, K.P.; Vandenplas, M.L.; Lauderdale, J.D.; Moore, P.a. Characterization of cytokines associated with Th17 cells in the eyes of horses with recurrent uveitis. Vet. Ophthalmol. 2012, 15, 145–152. [Google Scholar] [CrossRef]
- Kulbrock, M.; Lehner, S.; Metzger, J.; Ohnesorge, B.; Distl, O. A Genome-Wide Association Study Identifies Risk Loci to Equine Recurrent Uveitis in German Warmblood Horses. PLoS ONE 2013, 8, e71619. [Google Scholar] [CrossRef]
- Kulbrock, M.; von Borstel, M.; Rohn, K.; Distl, O.; Ohnesorge, B. Occurrence and severity of equine recurrent uveitis in warmblood horses - A comparative study. Pferdeheilkd. Equine Med. 2016, 29, 27–36. [Google Scholar] [CrossRef]
- Dorrego-Keiter, E.; Tóth, J.; Dikker, L.; Sielhorst, J.; Schusser, G.F. Ritz Kultureller Nachweis von Leptospiren in Glaskörperflüssigkeit und Antikörpernachweis gegen Leptospiren in Glaskörperflüssigkeit und Serum von 225 Pferden mit equiner rezidivierender Uveitis (ERU). Berl. Munch. Tierarztl. Wochenschr. 2016, 129, 209–215. [Google Scholar]
- Von Borstel, M.; Oey, L.; Strutzberg-Minder, K.; Boeve, M.H.; Ohnesorge, B. Direct and indirect detection of leptospires in vitreal samples of horses with ERU. Pferdeheilkd. Equine Med. 2010, 26, 219–225. [Google Scholar] [CrossRef]
- Vincent, A.T.; Schiettekatte, O.; Goarant, C.; Neela, V.K.; Bernet, E.; Thibeaux, R.; Ismail, N.; Mohd Khalid, M.K.N.; Amran, F.; Masuzawa, T.; et al. Revisiting the taxonomy and evolution of pathogenicity of the genus Leptospira through the prism of genomics. PLoS Negl. Trop. Dis. 2019, 13, e0007270. [Google Scholar] [CrossRef] [PubMed]
- Kulbrock, M.; Distl, O.; Ohnesorge, B. A Review of Candidate Genes for Development of Equine Recurrent Uveitis. J. Equine Vet. Sci. 2013, 33, 885–892. [Google Scholar] [CrossRef]
- Pieterse, E.; van der Vlag, J. Breaking Immunological Tolerance in Systemic Lupus Erythematosus. Front. Immunol. 2014, 5, 1–8. [Google Scholar] [CrossRef]
- Hakkim, A.; Furnrohr, B.G.; Amann, K.; Laube, B.; Abed, U.A.; Brinkmann, V.; Herrmann, M.; Voll, R.E.; Zychlinsky, A. Impairment of neutrophil extracellular trap degradation is associated with lupus nephritis. Proc. Natl. Acad. Sci. USA 2010, 107, 9813–9818. [Google Scholar] [CrossRef]
- De Buhr, N.; von Köckritz-Blickwede, M. How Neutrophil Extracellular Traps Become Visible. J. Immunol. Res. 2016, 2016, 4604713. [Google Scholar] [CrossRef]
- Steinberg, B.E.; Grinstein, S. Unconventional Roles of the NADPH Oxidase: Signaling, Ion Homeostasis, and Cell Death. Sci. STKE 2007, 2007, pe11. [Google Scholar] [CrossRef]
- Brinkmann, V.; Reichard, U.; Goosmann, C.; Fauler, B.; Uhlemann, Y.; Weiss, D.S.; Weinrauch, Y.; Zychlinsky, A. Neutrophil extracellular traps kill bacteria. Science 2004, 303, 1532–1535. [Google Scholar] [CrossRef]
- Fuchs, T.A.; Abed, U.; Goosmann, C.; Hurwitz, R.; Schulze, I.; Wahn, V.; Weinrauch, Y.; Brinkmann, V.; Zychlinsky, A. Novel cell death program leads to neutrophil extracellular traps. J. Cell Biol. 2007, 176, 231–241. [Google Scholar] [CrossRef] [PubMed]
- Pilsczek, F.H.; Salina, D.; Poon, K.K.H.; Fahey, C.; Yipp, B.G.; Sibley, C.D.; Robbins, S.M.; Green, F.H.Y.; Surette, M.G.; Sugai, M.; et al. A Novel Mechanism of Rapid Nuclear Neutrophil Extracellular Trap Formation in Response to Staphylococcus aureus. J. Immunol. 2010, 185, 7413–7425. [Google Scholar] [CrossRef]
- Yousefi, S.; Mihalache, C.; Kozlowski, E.; Schmid, I.; Simon, H.U. Viable neutrophils release mitochondrial DNA to form neutrophil extracellular traps. Cell Death Differ. 2009, 16, 1438–1444. [Google Scholar] [CrossRef]
- Yipp, B.G.; Petri, B.; Salina, D.; Jenne, C.N.; Scott, B.N.V.; Zbytnuik, L.D.; Pittman, K.; Asaduzzaman, M.; Wu, K.; Meijndert, H.C.; et al. Infection-induced NETosis is a dynamic process involving neutrophil multitasking in vivo. Nat. Med. 2012, 18, 1386–1393. [Google Scholar] [CrossRef]
- Sonawane, S.; Khanolkar, V.; Namavari, A.; Chaudhary, S.; Gandhi, S.; Tibrewal, S.; Jassim, S.H.; Shaheen, B.; Hallak, J.; Horner, J.H.; et al. Ocular surface extracellular DNA and nuclease activity imbalance: A new paradigm for inflammation in dry eye disease. Investig. Ophthalmol. Vis. Sci. 2012, 53, 8253–8263. [Google Scholar] [CrossRef] [PubMed]
- Khandpur, R.; Carmona-Rivera, C.; Vivekanandan-Giri, A.; Gizinski, A.; Yalavarthi, S.; Knight, J.S.; Friday, S.; Li, S.; Patel, R.M.; Subramanian, V.; et al. NETs are a source of citrullinated autoantigens and stimulate inflammatory responses in rheumatoid arthritis. Sci. Transl. Med. 2013, 5, 1–24. [Google Scholar] [CrossRef]
- Giaglis, S.; Hahn, S.; Hasler, P. “The NET Outcome”: Are Neutrophil Extracellular Traps of Any Relevance to the Pathophysiology of Autoimmune Disorders in Childhood? Front. Pediatr. 2016, 4, 1–8. [Google Scholar] [CrossRef]
- Thanabalasuriar, A.; Scott, B.N.V.; Peiseler, M.; Willson, M.E.; Zeng, Z.; Warrener, P.; Keller, A.E.; Surewaard, B.G.J.; Dozier, E.A.; Korhonen, J.T.; et al. Neutrophil Extracellular Traps Confine Pseudomonas aeruginosa Ocular Biofilms and Restrict Brain Invasion. Cell Host Microbe 2019, 25, 526–536. [Google Scholar] [CrossRef]
- An, S.; Raju, I.; Surenkhuu, B.; Kwon, J.E.; Gulati, S.; Karaman, M.; Pradeep, A.; Sinha, S.; Mun, C.; Jain, S. Neutrophil extracellular traps (NETs) contribute to pathological changes of ocular graft-vs.-host disease (oGVHD) dry eye: Implications for novel biomarkers and therapeutic strategies. Ocul. Surf. 2019, 17, 589–614. [Google Scholar] [CrossRef]
- Barliya, T.; Dardik, R.; Nisgav, Y.; Dachbash, M.; Gaton, D.; Kenet, G.; Ehrlich, R.; Weinberger, D.; Livnat, T. Possible involvement of NETosis in inflammatory processes in the eye: Evidence from a small cohort of patients. Mol. Vis. 2017, 23, 922–932. [Google Scholar]
- Wang, L.; Zhou, X.; Yin, Y.; Mai, Y.; Wang, D.; Zhang, X. Hyperglycemia Induces Neutrophil Extracellular Traps Formation Through an NADPH Oxidase-Dependent Pathway in Diabetic Retinopathy. Front. Immunol. 2019, 9, 1–14. [Google Scholar] [CrossRef] [PubMed]
- Kolls, J.K.; McCray, P.B.; Chan, Y.R. Cytokine-mediated regulation of antimicrobial proteins. Nat. Rev. Immunol. 2008, 8, 829–835. [Google Scholar] [CrossRef] [PubMed]
- Chi, W.; Yang, P.; Li, B.; Wu, C.; Jin, H.; Zhu, X.; Chen, L.; Zhou, H.; Huang, X.; Kijlstra, A. IL-23 promotes CD4+ T cells to produce IL-17 in Vogt-Koyanagi-Harada disease. J. Allergy Clin. Immunol. 2007, 119, 1218–1224. [Google Scholar] [CrossRef] [PubMed]
- Chen, X.; Takai, T.; Xie, Y.; Niyonsaba, F.; Okumura, K.; Ogawa, H. Human antimicrobial peptide LL-37 modulates proinflammatory responses induced by cytokine milieus and double-stranded RNA in human keratinocytes. Biochem. Biophys. Res. Commun. 2013, 433, 532–537. [Google Scholar] [CrossRef]
- Skerlavaj, B.; Scocchi, M.; Gennaro, R.; Risso, A.; Zanetti, M. Structural and Functional Analysis of Horse Cathelicidin Peptides. Antimicrob. Agents Chemother. 2001, 45, 715–722. [Google Scholar] [CrossRef][Green Version]
- Baake, E.I.A.; von Borstel, M.; Rohn, K.; Boevé, M.O.B. Long-term ophthalmologic examinations of eyes with equine recurrent uveitis after pars plana vitrectomy. Pferdeheilkd. Equine Med. 2019, 35, 220–233. [Google Scholar] [CrossRef]
- Coorens, M.; Scheenstra, M.R.; Veldhuizen, E.J.A.; Haagsman, H.P. Interspecies cathelicidin comparison reveals divergence in antimicrobial activity, TLR modulation, chemokine induction and regulation of phagocytosis. Sci. Rep. 2017, 7, 40874. [Google Scholar] [CrossRef]
- De Buhr, N.; Bonilla, M.C.; Pfeiffer, J.; Akhdar, S.; Schwennen, C.; Kahl, B.C.; Waldmann, K.; Valentin-Weigand, P.; Hennig-Pauka, I.; von Köckritz-Blickwede, M. Degraded neutrophil extracellular traps promote the growth of Actinobacillus pleuropneumoniae. Cell Death Dis. 2019, 10, 657. [Google Scholar] [CrossRef]
- Stirling, J.W.; Graff, P.S. Antigen unmasking for immunoelectron microscopy: Labeling is improved by treating with sodium ethoxide or sodium metaperiodate, then heating on retrieval medium. J. Histochem. Cytochem. 1995, 43, 115–123. [Google Scholar] [CrossRef]
- Roth, J. Post-embedding cytochemistry with gold-labelled reagents: A review. J. Microsc. 1986, 143, 125–137. [Google Scholar] [CrossRef]
- Aucamp, J.; Bronkhorst, A.J.; Badenhorst, C.P.S.; Pretorius, P.J. The diverse origins of circulating cell-free DNA in the human body: A critical re-evaluation of the literature. Biol. Rev. 2018, 93, 1649–1683. [Google Scholar] [CrossRef] [PubMed]
- Butt, A.N.; Swaminathan, R. Overview of Circulating Nucleic Acids in Plasma/Serum. Ann. N. Y. Acad. Sci. 2008, 1137, 236–242. [Google Scholar] [CrossRef] [PubMed]
- Wang, C.; Wang, Y.; Shi, X.; Tang, X.; Cheng, W.; Wang, X.; An, Y.; Li, S.; Xu, H.; Li, Y.; et al. The TRAPs From Microglial Vesicles Protect Against Listeria Infection in the CNS. Front. Cell. Neurosci. 2019, 13, 1–17. [Google Scholar] [CrossRef] [PubMed]
- Neumann, A.; Berends, E.T.M.; Nerlich, A.; Molhoek, E.M.; Gallo, R.L.; Meerloo, T.; Nizet, V.; Naim, H.Y.; von Köckritz-Blickwede, M. The antimicrobial peptide LL-37 facilitates the formation of neutrophil extracellular traps. Biochem. J. 2014, 464, 3–11. [Google Scholar] [CrossRef]
- Labelle, P. The Eye. In Pathologic Basis of Veterinary Disease; Zachary, J.F., Ed.; Elsevier: Saint Louis, MO, USA, 2017; pp. 1265–1318. ISBN 978-0323357753. [Google Scholar]
- Gilger, B.C.; Malok, E.; Cutter, K.V.; Stewart, T.; Horohov, D.W.; Allen, J.B. Characterization of T-lymphocytes in the anterior uvea of eyes with chronic equine recurrent uveitis. Vet. Immunol. Immunopathol. 1999, 71, 17–28. [Google Scholar] [CrossRef]
- Brandes, K.; Wollanke, B.; Niedermaier, G.; Brem, S.; Gerhards, H. ERU vitreal examination with ultrastructural detection of leptospira. J. Vet. Med. 2007, 275, 270–275. [Google Scholar] [CrossRef]
- Lee, K.H.; Cavanaugh, L.; Leung, H.; Yan, F.; Ahmadi, Z.; Chong, B.H.; Passam, F. Quantification of NETs-associated markers by flow cytometry and serum assays in patients with thrombosis and sepsis. Int. J. Lab. Hematol. 2018, 40, 392–399. [Google Scholar] [CrossRef]
- Grilz, E.; Mauracher, L.M.; Posch, F.; Königsbrügge, O.; Zöchbauer-Müller, S.; Marosi, C.; Lang, I.; Pabinger, I.; Ay, C. Citrullinated histone H3, a biomarker for neutrophil extracellular trap formation, predicts the risk of mortality in patients with cancer. Br. J. Haematol. 2019, 186, 311–320. [Google Scholar]
- Vallés, J.; Lago, A.; Santos, M.T.; Latorre, A.M.; Tembl, J.I.; Salom, J.B.; Nieves, C.; Moscardó, A. Neutrophil extracellular traps are increased in patients with acute ischemic stroke: Prognostic significance. Thromb. Haemost. 2017, 117, 1919–1929. [Google Scholar] [CrossRef]
- Sørensen, O.E.; Borregaard, N. Neutrophil extracellular traps—The dark side of neutrophils. J. Clin. Investig. 2016, 126, 1612–1620. [Google Scholar] [CrossRef]
- Gray, R.; McCullagh, B.; McCray, P. NETs and CF Lung Disease: Current Status and Future Prospects. Antibiotics 2015, 4, 62–75. [Google Scholar] [CrossRef] [PubMed]
- Neumann, A.; Völlger, L.; Berends, E.T.M.; Molhoek, E.M.; Stapels, D.A.C.; Midon, M.; Friães, A.; Pingoud, A.; Rooijakkers, S.H.M.; Gallo, R.L.; et al. Novel Role of the Antimicrobial Peptide LL-37 in the Protection of Neutrophil Extracellular Traps against Degradation by Bacterial Nucleases. J. Innate Immun. 2014, 6, 860–868. [Google Scholar] [CrossRef] [PubMed]
- Doring, Y.; Manthey, H.D.; Drechsler, M.; Lievens, D.; Megens, R.T.; Soehnlein, O.; Busch, M.; Manca, M.; Koenen, R.R.; Pelisek, J.; et al. Auto-Antigenic Protein-DNA Complexes Stimulate Plasmacytoid Dendritic Cells to Promote Atherosclerosis. Circulation 2012, 125, 1673–1683. [Google Scholar] [CrossRef] [PubMed]
- Reinholz, M.; Ruzicka, T.; Schauber, J. Cathelicidin LL-37: An Antimicrobial Peptide with a Role in Inflammatory Skin Disease. Ann. Dermatol. 2012, 24, 126–135. [Google Scholar] [CrossRef] [PubMed]
- Bruhn, O.; Grötzinger, J.; Cascorbi, I.; Jung, S. Antimicrobial peptides and proteins of the horse—Insights into a well-armed organism. Vet. Res. 2011, 42, 1–22. [Google Scholar] [CrossRef] [PubMed]
- Scocchi, M.; Bontempo, D.; Boscolo, S.; Tomasinsig, L.; Giulotto, E.; Zanetti, M. Novel cathelicidins in horse leukocytes. FEBS Lett. 1999, 457, 459–464. [Google Scholar] [CrossRef]
- Lande, R.; Gregorio, J.; Facchinetti, V.; Chatterjee, B.; Wang, Y.H.; Homey, B.; Cao, W.; Wang, Y.H.; Su, B.; Nestle, F.O.; et al. Plasmacytoid dendritic cells sense self-DNA coupled with antimicrobial peptide. Nature 2007, 449, 564–569. [Google Scholar] [CrossRef]
- McLaughlin, B.G.; McLaughlin, P.S. Equine vitreous humor chemical concentrations: Correlation with serum concentrations, and postmortem changes with time and temperature. Can. J. Vet. Res. 1988, 52, 476–480. [Google Scholar]
- Johansson, J.; Gudmonsson, G.H.; Rottenberg, M.E.; Berndt, K.; Agerberth, B. Conformation-dependent Antibacterial Activity of the Naturally Occurring Human Peptide LL-37. J. Biol. Chem. 1998, 273, 3718–3724. [Google Scholar] [CrossRef]
- Kościuczuk, E.M.; Lisowski, P.; Jarczak, J.; Strzałkowska, N.; Jóźwik, A.; Horbańczuk, J.; Krzyzewski, J.; Zwierzchowski, L.; Bagnicka, E. Cathelicidins: Family of antimicrobial peptides. A review. Mol. Biol. Rep. 2012, 39, 10957–10970. [Google Scholar] [CrossRef]
- Ong, P.Y.; Ohtake, T.; Brandt, C.; Strickland, I.; Boguniewicz, M.; Ganz, T.; Gallo, R.L.; Leung, D.Y.M. Endogenous Antimicrobial Peptides and Skin Infections in Atopic Dermatitis. N. Engl. J. Med. 2002, 347, 1151–1160. [Google Scholar] [CrossRef]
- Scharrig, E.; Carestia, A.; Ferrer, M.F.; Cédola, M.; Pretre, G.; Drut, R.; Picardeau, M.; Schattner, M.; Gómez, R.M. Neutrophil Extracellular Traps are Involved in the Innate Immune Response to Infection with Leptospira. PLoS Negl. Trop. Dis. 2015, 9, e0003927. [Google Scholar] [CrossRef] [PubMed]
- Wilson-Welder, J.H.; Frank, A.T.; Hornsby, R.L.; Olsen, S.C.; Alt, D.P. Interaction of bovine peripheral blood polymorphonuclear cells and Leptospira species; innate responses in the natural bovine reservoir host. Front. Microbiol. 2016, 7, 1–14. [Google Scholar] [CrossRef] [PubMed]
- Tömördy, E.; Hässig, M.; Spiess, B.M. The outcome of pars plana vitrectomy in horses with equine recurrent uveitis with regard to the presence or absence of intravitreal antibodies against various serovars of Leptospira interrogans. Pferdeheilkunde 2010, 26, 251–254. [Google Scholar] [CrossRef][Green Version]
- Mun, C.; Gulati, S.; Tibrewal, S.; Chen, Y.-F.; An, S.; Surenkhuu, B.; Raju, I.; Buwick, M.; Ahn, A.; Kwon, J.-E.; et al. A Phase I/II Placebo-Controlled Randomized Pilot Clinical Trial of Recombinant Deoxyribonuclease (DNase) Eye Drops Use in Patients with Dry Eye Disease. Transl. Vis. Sci. Technol. 2019, 8, 10. [Google Scholar] [CrossRef]
- Tibrewal, S.; Sarkar, J.; Jassim, S.H.; Gandhi, S.; Sonawane, S.; Chaudhary, S.; Byun, Y.S.; Ivanir, Y.; Hallak, J.; Horner, J.H.; et al. Tear fluid extracellular dna: Diagnostic and therapeutic implications in dry eye disease. Investig. Ophthalmol. Vis. Sci. 2013, 54, 8051–8061. [Google Scholar] [CrossRef]
- Mannermaa, E.; Reinisalo, M.; Ranta, V.-P.; Vellonen, K.-S.; Kokki, H.; Saarikko, A.; Kaarniranta, K.; Urtti, A. Filter-cultured ARPE-19 cells as outer blood–retinal barrier model. Eur. J. Pharm. Sci. 2010, 40, 289–296. [Google Scholar] [CrossRef]
- Saffarzadeh, M.; Juenemann, C.; Queisser, M.A.; Lochnit, G.; Barreto, G.; Galuska, S.P.; Lohmeyer, J.; Preissner, K.T. Neutrophil Extracellular Traps Directly Induce Epithelial and Endothelial Cell Death: A Predominant Role of Histones. PLoS ONE 2012, 7, e32366. [Google Scholar] [CrossRef]
- Estúa-Acosta, G.A.; Zamora-Ortiz, R.; Buentello-Volante, B.; García-Mejía, M.; Garfias, Y. Neutrophil Extracellular Traps: Current Perspectives in the Eye. Cells 2019, 8, 979. [Google Scholar] [CrossRef]






© 2019 by the authors. Licensee MDPI, Basel, Switzerland. This article is an open access article distributed under the terms and conditions of the Creative Commons Attribution (CC BY) license (http://creativecommons.org/licenses/by/4.0/).
Share and Cite
Fingerhut, L.; Ohnesorge, B.; von Borstel, M.; Schumski, A.; Strutzberg-Minder, K.; Mörgelin, M.; Deeg, C.A.; Haagsman, H.P.; Beineke, A.; von Köckritz-Blickwede, M.; et al. Neutrophil Extracellular Traps in the Pathogenesis of Equine Recurrent Uveitis (ERU). Cells 2019, 8, 1528. https://doi.org/10.3390/cells8121528
Fingerhut L, Ohnesorge B, von Borstel M, Schumski A, Strutzberg-Minder K, Mörgelin M, Deeg CA, Haagsman HP, Beineke A, von Köckritz-Blickwede M, et al. Neutrophil Extracellular Traps in the Pathogenesis of Equine Recurrent Uveitis (ERU). Cells. 2019; 8(12):1528. https://doi.org/10.3390/cells8121528
Chicago/Turabian StyleFingerhut, Leonie, Bernhard Ohnesorge, Myriam von Borstel, Ariane Schumski, Katrin Strutzberg-Minder, Matthias Mörgelin, Cornelia A. Deeg, Henk P. Haagsman, Andreas Beineke, Maren von Köckritz-Blickwede, and et al. 2019. "Neutrophil Extracellular Traps in the Pathogenesis of Equine Recurrent Uveitis (ERU)" Cells 8, no. 12: 1528. https://doi.org/10.3390/cells8121528
APA StyleFingerhut, L., Ohnesorge, B., von Borstel, M., Schumski, A., Strutzberg-Minder, K., Mörgelin, M., Deeg, C. A., Haagsman, H. P., Beineke, A., von Köckritz-Blickwede, M., & de Buhr, N. (2019). Neutrophil Extracellular Traps in the Pathogenesis of Equine Recurrent Uveitis (ERU). Cells, 8(12), 1528. https://doi.org/10.3390/cells8121528

