A Critical Role of Intracellular PD-L1 in Promoting Ovarian Cancer Progression
Abstract
1. Introduction
2. Materials and Methods
2.1. Cell Lines and Cell Culture
2.2. Patients and Tumor Samples
2.3. Acetylation Site Point Mutation and Stable Cell Line Establishment
2.4. Cell-Penetrating Antibody Conjugation
2.5. Western Blotting
2.6. Real-Time PCR Analysis
2.7. Gene Expression Analysis of Ovarian Cancer TCGA
2.8. Cell Viability Assays
2.9. Colony Formation Assay
2.10. MG-132 Assay
2.11. Cell Cycle Analysis
2.12. Apoptosis
2.13. Immunofluorescent (IF) and Immunohistochemical (IHC) Staining
2.14. In Vivo Experiments in Xenograft Tumor Models
2.15. Statistical Analysis
3. Results
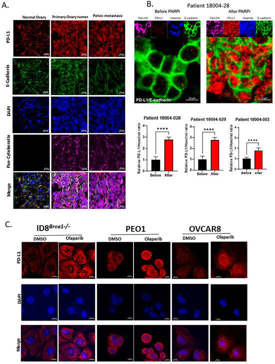
3.1. PD-L1 Is Largely Intracellular in Ovarian Cancer Cells, Especially Following PARPi Treatment
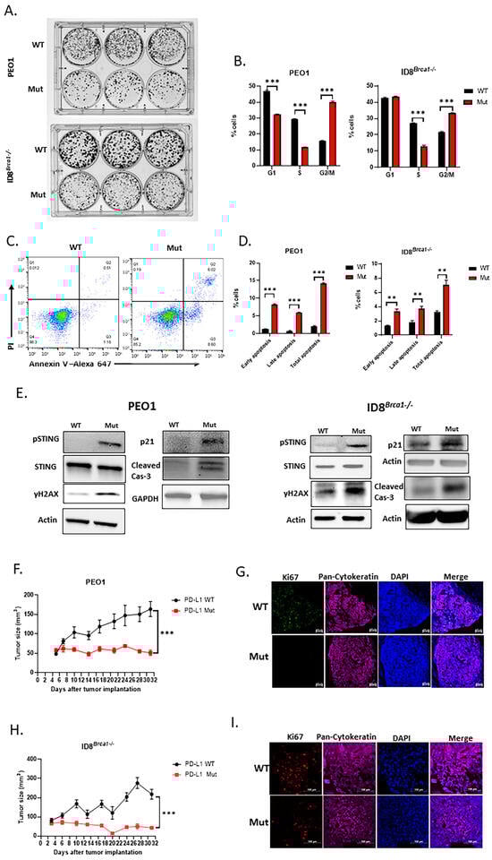
3.2. Acetylation Site Mutation Decreases the Expression of PD-L1 in Ovarian Cancer Cells
3.3. Decreasing PD-L1 Inhibits Ovarian Cancer-Cell Colony Formation and Induces Cell Cycle Arrest and Apoptosis
3.4. Decreasing Intracellular PD-L1 Expression via Acetylation Site Mutation Inhibits Ovarian Tumor Growth In Vivo
3.5. Downregulation of PD-L1 Enhances DNA Damage and STING Activation in Ovarian Cancer Cells
3.6. Targeting Intracellular PD-L1 with a Cell-Penetrating Antibody Decreases Ovarian Cancer-Cell Proliferation In Vitro
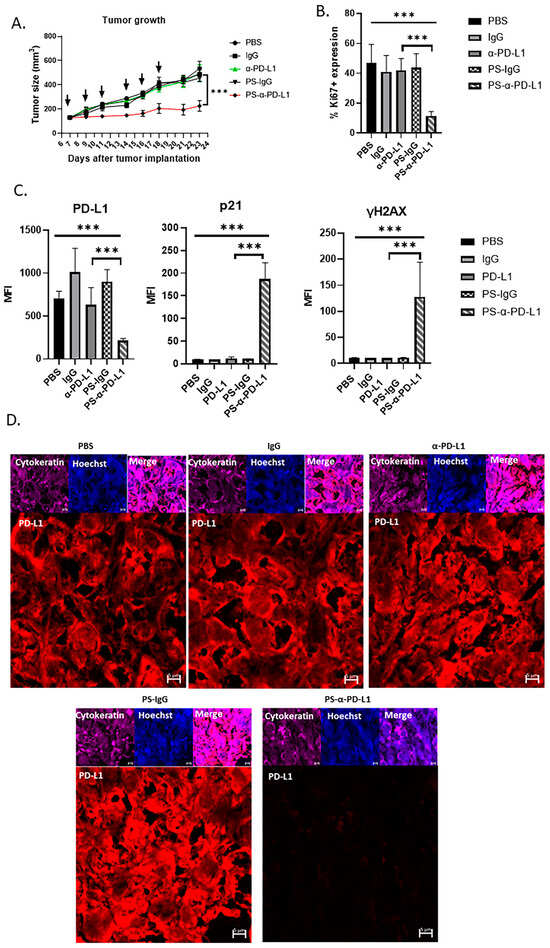
3.7. Cell-Penetrating PS-α-PD-L1 Antibody Inhibits Tumor Growth In Vivo
4. Discussion
Supplementary Materials
Author Contributions
Funding
Institutional Review Board Statement
Informed Consent Statement
Data Availability Statement
Acknowledgments
Conflicts of Interest
Abbreviations
| BRCA | Breast Cancer Gene |
| CRISPR | Clustered Regularly Interspaced Short Palindromic Repeats |
| DMSO | Dimethylsulfoxide |
| FDA | The Food and Drug Administration |
| IHC | Immunohistochemistry |
| i.p. | Intraperitoneal |
| Mut | Mutant |
| NSG | NOD SCID Gamma |
| ORR | Objective Response Rate |
| PARP | Poly(ADP-ribose) Polymerase |
| PARPi | PARP Inhibitors |
| PARylation | Poly-ADP-ribosylation |
| PD-L1 | Programmed death-ligand 1 |
| PFS | Progression-Free Survival |
| PS | Phosphorothioated DNA oligo |
| STAT3 | Signal Transducer and Activator of Transcription 3 |
| STING | Stimulator of Interferon Genes |
| TAMs | Tumor-Associated Macrophages |
| WT | Wild-Type |
| VEGF | Vascular Endothelial Growth Factor |
References
- Khanlarkhani, N.; Azizi, E.; Amidi, F.; Khodarahmian, M.; Salehi, E.; Pazhohan, A.; Farhood, B.; Mortezae, K.; Goradel, N.H.; Nashtaei, M.S. Metabolic risk factors of ovarian cancer: A review. JBRA Assist. Reprod. 2022, 26, 335–347. [Google Scholar] [CrossRef] [PubMed]
- Peng, Z.; Li, M.; Li, H.; Gao, Q. PD-1/PD-L1 immune checkpoint blockade in ovarian cancer: Dilemmas and opportunities. Drug Discov. Today 2023, 28, 103666. [Google Scholar] [CrossRef] [PubMed]
- Kuroki, L.; Guntupalli, S.R. Treatment of epithelial ovarian cancer. BMJ 2020, 371, m3773. [Google Scholar] [CrossRef]
- Hamanishi, J.; Mandai, M.; Ikeda, T.; Minami, M.; Kawaguchi, A.; Murayama, T.; Kanai, M.; Mori, Y.; Matsumoto, S.; Chikuma, S.; et al. Safety and Antitumor Activity of Anti-PD-1 Antibody, Nivolumab, in Patients with Platinum-Resistant Ovarian Cancer. J. Clin. Oncol. 2015, 33, 4015–4022. [Google Scholar] [CrossRef] [PubMed]
- Varga, A.; Piha-Paul, S.; Ott, P.A.; Mehnert, J.M.; Berton-Rigaud, D.; Morosky, A.; Yang, P.; Ruman, J.; Matei, D. Pembrolizumab in patients with programmed death ligand 1-positive advanced ovarian cancer: Analysis of KEYNOTE-028. Gynecol. Oncol. 2019, 152, 243–250. [Google Scholar] [CrossRef] [PubMed]
- Matulonis, U.A.; Shapira-Frommer, R.; Santin, A.D.; Lisyanskaya, A.S.; Pignata, S.; Vergote, I.; Raspagliesi, F.; Sonke, G.S.; Birrer, M.; Provencher, D.M.; et al. Antitumor activity and safety of pembrolizumab in patients with advanced recurrent ovarian cancer: Results from the phase II KEYNOTE-100 study. Ann. Oncol. 2019, 30, 1080–1087. [Google Scholar] [CrossRef] [PubMed]
- Disis, M.L.; Taylor, M.H.; Kelly, K.; Beck, J.T.; Gordon, M.; Moore, K.M.; Patel, M.R.; Chaves, J.; Park, H.; Mita, A.C.; et al. Efficacy and Safety of Avelumab for Patients With Recurrent or Refractory Ovarian Cancer: Phase 1b Results from the JAVELIN Solid Tumor Trial. JAMA Oncol. 2019, 5, 393–401. [Google Scholar] [CrossRef]
- Aguiar, P.N.; De Mello, R.A.; Hall, P.; Tadokoro, H.; de Lima, G. PD-L1 expression as a predictive biomarker in advanced non-small-cell lung cancer: Updated survival data. Immunotherapy 2017, 9, 499–506. [Google Scholar] [CrossRef] [PubMed]
- Lu, S.; Stein, J.E.; Rimm, D.L.; Wang, D.W.; Bell, J.M.; Johnson, D.B.; Sosman, J.A.; Schalper, K.A.; Anders, R.A.; Wang, H.; et al. Comparison of Biomarker Modalities for Predicting Response to PD-1/PD-L1 Checkpoint Blockade: A Systematic Review and Meta-analysis. JAMA Oncol. 2019, 5, 1195–1204. [Google Scholar] [CrossRef]
- Chardin, L.; Leary, A. Immunotherapy in Ovarian Cancer: Thinking Beyond PD-1/PD-L1. Front. Oncol. 2021, 11, 795547. [Google Scholar] [CrossRef]
- Zhu, J.; Yan, L.; Wang, Q. Efficacy of PD-1/PD-L1 inhibitors in ovarian cancer: A single-arm meta-analysis. J. Ovarian Res. 2021, 14, 112. [Google Scholar] [CrossRef] [PubMed]
- Chen, S.; Zhang, Z.; Zheng, X.; Tao, H.; Zhang, S.; Ma, J.; Liu, Z.; Wang, J.; Qian, Y.; Cui, P.; et al. Response Efficacy of PD-1 and PD-L1 Inhibitors in Clinical Trials: A Systematic Review and Meta-Analysis. Front. Oncol. 2021, 11, 562315. [Google Scholar] [CrossRef]
- Santoro, A.; Angelico, G.; Inzani, F.; Arciuolo, D.; d’Amati, A.; Addante, F.; Travaglino, A.; Scaglione, G.; D’Alessandris, N.; Valente, M.; et al. The emerging and challenging role of PD-L1 in patients with gynecological cancers: An updating review with clinico-pathological considerations. Gynecol. Oncol. 2024, 184, 57–66. [Google Scholar] [CrossRef] [PubMed]
- Xiong, W.J.; Gao, Y.; Wei, W.Y.; Zhang, J.F. Extracellular and nuclear PD-L1 in modulating cancer immunotherapy. Trends Cancer 2021, 7, 837–846. [Google Scholar] [CrossRef] [PubMed]
- Gao, Y.; Nihira, N.T.; Bu, X.; Chu, C.; Zhang, J.; Kolodziejczyk, A.; Fan, Y.; Chan, N.T.; Ma, L.; Liu, J.; et al. Acetylation-dependent regulation of PD-L1 nuclear translocation dictates the efficacy of anti-PD-1 immunotherapy. Nat. Cell Biol. 2020, 22, 1064–1075. [Google Scholar] [CrossRef]
- Kornepati, A.V.R.; Boyd, J.T.; Murray, C.E.; Saifetiarova, J.; Avaios, B.D.; Rogers, C.M.; Bai, H.Y.; Padron, A.S.; Liao, Y.J.; Ontiveros, C.; et al. Tumor Intrinsic PD-L1 Promotes DNA Repair in Distinct Cancers and Suppresses PARP Inhibitor-Induced Synthetic Lethality. Cancer Res. 2022, 82, 2156–2170. [Google Scholar] [CrossRef]
- Yu, J.; Qin, B.; Moyer, A.M.; Nowsheen, S.; Tu, X.Y.; Dong, H.D.; Boughey, J.C.; Goetz, M.P.; Weinshilboum, R.; Lou, Z.K.; et al. Regulation of sister chromatid cohesion by nuclear PD-L1. Cell Res. 2020, 30, 590–601. [Google Scholar] [CrossRef] [PubMed]
- Du, W.W.; Zhu, J.J.; Zeng, Y.Y.; Liu, T.; Zhang, Y.; Cai, T.T.; Fu, Y.L.; Zhang, W.J.; Zhang, R.C.; Liu, Z.Y.; et al. KPNB1-mediated nuclear translocation of PD-L1 promotes non-small cell lung cancer cell proliferation via the Gas6/MerTK signaling pathway. Cell Death Differ. 2021, 28, 1284–1300. [Google Scholar] [CrossRef]
- Tu, X.; Qin, B.; Zhang, Y.; Zhang, C.; Kahila, M.; Nowsheen, S.; Yin, P.; Yuan, J.; Pei, H.; Li, H.; et al. PD-L1 (B7-H1) Competes with the RNA Exosome to Regulate the DNA Damage Response and Can Be Targeted to Sensitize to Radiation or Chemotherapy. Mol. Cell 2019, 74, 1215–1226 e4. [Google Scholar] [CrossRef]
- Lee, J.J.; Kim, S.Y.; Kim, S.H.; Choi, S.; Lee, B.; Shin, J.S. STING mediates nuclear PD-L1 targeting-induced senescence in cancer cells. Cell Death Dis. 2022, 13, 791. [Google Scholar] [CrossRef] [PubMed]
- Elfoly, M.; Mirza, J.Y.; Alaiya, A.; Al-Hazzani, A.A.; Tulbah, A.; Al-Alwan, M. Ghebeh H. PD-L1 intrinsically promotes the proliferation of breast cancer cells through the SKP2-p27/p21 axis. Cancer Cell Int. 2024, 24, 161. [Google Scholar] [CrossRef] [PubMed]
- Xue, Z.; Zheng, S.; Linghu, D.L.; Liu, B.N.; Yang, Y.; Chen, M.K.; Huang, H.; Song, J.M.; Li, H.Y.; Wang, J.; et al. PD-L1 deficiency sensitizes tumor cells to DNA-PK inhibition and enhances cGAS-STING activation. Am. J. Cancer Res. 2022, 12, 2363. [Google Scholar] [PubMed]
- Basit, A.; Cho, M.G.; Kim, E.Y.; Kwon, D.; Kang, S.J.; Lee, J.H. The cGAS/STING/TBK1/IRF3 innate immunity pathway maintains chromosomal stability through regulation of p21 levels. Exp. Mol. Med. 2020, 52, 643–657. [Google Scholar] [CrossRef]
- Li, A.; Yi, M.; Qin, S.; Song, Y.; Chu, Q.; Wu, K. Activating cGAS-STING pathway for the optimal effect of cancer immunotherapy. J. Hematol. Oncol. 2019, 12, 35. [Google Scholar] [CrossRef] [PubMed]
- Martincuks, A.; Song, J.U.; Kohut, A.; Zhang, C.Y.; Li, Y.J.; Zhao, Q.Q. PARP Inhibition Activates STAT3 in Both Tumor and Immune Cells Underlying Therapy Resistance and Immunosuppression In Ovarian Cancer. Front. Oncol. 2021, 11, 724104. [Google Scholar] [CrossRef]
- Martincuks, A.; Song, J.U.; Kohut, A.; Zhang, C.Y.; Li, Y.J.; Zhao, Q.Q.; Mak, E.; Rodriguez-Rodriguez, L.; Yu, H.; Cristea, M. Targeting PARG induces tumor cell growth inhibition and antitumor immune response by reducing phosphorylated STAT3 in ovarian cancer. J. Immunother. Cancer 2024, 12, e007716. [Google Scholar] [CrossRef] [PubMed]
- Herrmann, A.; Nagao, T.; Zhang, C.Y.; Lahtz, C.; Li, Y.J.; Yue, C.Y.; Mülfarth, R.; Yu, H. An effective cell-penetrating antibody delivery platform. JCI Insight 2019, 4, e127474. [Google Scholar] [CrossRef]
- Inuzuka, H.; Gao, D.; Finley, L.W.; Yang, W.; Wan, L.; Fukushima, H.; Chin, Y.R.; Zhai, B.; Shaik, S.; Lau, A.W.; et al. Acetylation-dependent regulation of Skp2 function. Cell 2012, 150, 179–193. [Google Scholar] [CrossRef] [PubMed]
- Nihira, N.T.; Ogura, K.; Shimizu, K.; North, B.J.; Zhang, J.; Gao, D.; Inuzuka, H.; Wei, W. Acetylation-dependent regulation of MDM2 E3 ligase activity dictates its oncogenic function. Sci. Signal 2017, 10, eaai8026. [Google Scholar] [CrossRef]
- Horita, H.; Law, A.; Hong, S.; Middleton, K. Identifying Regulatory Posttranslational Modifications of PD-L1: A Focus on Monoubiquitinaton. Neoplasia 2017, 19, 346–353. [Google Scholar] [CrossRef]
- Zhang, J.; Bu, X.; Wang, H.; Zhu, Y.; Geng, Y.; Nihira, N.T.; Tan, Y.; Ci, Y.; Wu, F.; Dai, X.; et al. Cyclin D-CDK4 kinase destabilizes PD-L1 via cullin 3-SPOP to control cancer immune surveillance. Nature 2018, 553, 91–95. [Google Scholar] [CrossRef] [PubMed]
- Lim, S.O.; Li, C.W.; Xia, W.; Cha, J.H.; Chan, L.C.; Wu, Y.; Chang, S.S.; Lin, W.C.; Hsu, J.M.; Hsu, Y.H.; et al. Deubiquitination and Stabilization of PD-L1 by CSN5. Cancer Cell 2016, 30, 925–939. [Google Scholar] [CrossRef]
- Li, C.W.; Lim, S.O.; Xia, W.; Lee, H.H.; Chan, L.C.; Kuo, C.W.; Khoo, K.H.; Chang, S.S.; Cha, J.H.; Kimm, T.; et al. Glycosylation and stabilization of programmed death ligand-1 suppresses T-cell activity. Nat. Commun. 2016, 7, 12632. [Google Scholar] [CrossRef] [PubMed]
- Mezzadra, R.; Sun, C.; Jae, L.T.; Gomez-Eerland, R.; de Vries, E.; Wu, W.; Logtenberg, M.E.W.; Slagter, M.; Rozeman, E.A.; Hofland, I.; et al. Identification of CMTM6 and CMTM4 as PD-L1 protein regulators. Nature 2017, 549, 106–110. [Google Scholar] [CrossRef]
- Kong, T.; Ahn, R.; Yang, K.; Zhu, X.; Fu, Z.; Morin, G.; Bramley, R.; Cliffe, N.C.; Xue, Y.; Kuasne, H.; et al. CD44 Promotes PD-L1 Expression and Its Tumor-Intrinsic Function in Breast and Lung Cancers. Cancer Res. 2020, 80, 444–457. [Google Scholar] [CrossRef] [PubMed]
- Bunz, F.; Dutriaux, A.; Lengauer, C.; Waldman, T.; Zhou, S.; Brown, J.P.; Sedivy, J.M.; Kinzler, K.W.; Vogelstein, B. Requirement for p53 and p21 to sustain G arrest after DNA damage. Science 1998, 282, 1497–1501. [Google Scholar] [CrossRef] [PubMed]
- Hoeferlin, L.A.; Oleinik, N.V.; Krupenko, N.I.; Krupenko, S.A. Activation of p21-Dependent G1/G2 Arrest in the Absence of DNA Damage as an Antiapoptotic Response to Metabolic Stress. Genes Cancer 2011, 2, 889–899. [Google Scholar] [CrossRef]
- Koyano, T.; Namba, M.; Kobayashi, T.; Nakakuni, K.; Nakano, D.; Fukushima, M.; Nishiyama, A.; Matsuyama, M. The p21 dependent G2 arrest of the cell cycle in epithelial tubular cells links to the early stage of renal fibrosis. Sci. Rep. 2019, 9, 12059. [Google Scholar] [CrossRef] [PubMed]
- Aftabizadeh, M.; Li, Y.J.; Zhao, Q.Q.; Zhang, C.Y.; Ambaye, N.; Song, J.; Nagao, T.; Lahtz, C.; Fakih, M.; Ann, D.K.; et al. Potent antitumor effects of cell-penetrating peptides targeting STAT3 axis. JCI Insight 2021, 6, e136176. [Google Scholar] [CrossRef]
- Li, Y.J.; Chien, S.H.; Huang, R.; Herrmann, A.; Zhao, Q.; Li, P.C.; Zhang, C.; Martincuks, A.; Santiago, N.L.; Zong, K.; et al. A platform to deliver single and bi-specific Cas9/guide RNA to perturb genes in vitro and in vivo. Mol. Ther. 2024. [CrossRef]
- Ding, L.; Chen, X.; Xu, X.Q.; Qian, Y.L.; Liang, G.K.; Yao, F.Q.; Yao, Z.T.; Wu, H.H.; Zhang, J.Q.; He, Q.J.; et al. PARP1 Suppresses the Transcription of PD-L1 by Poly(ADP-Ribosyl)ating STAT3. Cancer Immunol. Res. 2019, 7, 136–149. [Google Scholar] [CrossRef] [PubMed]
- Zhao, Q.Q.; Kohut, A.; Li, Y.J.; Martincuks, A.; Austria, T.; Zhang, C.Y.; Santiago, N.L.; Borrero, R.M.; Phan, X.T.; Melstrom, L.; et al. Niraparib-induced STAT3 inhibition increases its antitumor effects. Front. Oncol. 2022, 12, 966492. [Google Scholar] [CrossRef] [PubMed]
- Zerdes, I.; Wallerius, M.; Sifakis, E.G.; Wallmann, T.; Betts, S.; Bartish, M.; Tsesmetzis, N.; Tobin, N.P.; Coucoravas, C.; Bergh, J.; et al. STAT3 Activity Promotes Programmed-Death Ligand 1 Expression and Suppresses Immune Responses in Breast Cancer. Cancers 2019, 11, 1479. [Google Scholar] [CrossRef] [PubMed]
- Luo, F.; Luo, M.; Rong, Q.X.; Zhang, H.; Chen, Z.; Wang, F.; Zhao, H.Y.; Fu, L.W. Niclosamide, an antihelmintic drug, enhances efficacy of PD-1/PD-L1 immune checkpoint blockade in non-small cell lung cancer. J. Immunother. Cancer 2019, 7, 245. [Google Scholar] [CrossRef]
- Clark, C.A.; Gupta, H.B.; Sareddy, G.; Pandeswara, S.; Lao, S.; Yuan, B.; Drerup, J.M.; Padron, A.; Conejo-Garcia, J.; Murthy, K.; et al. Tumor-Intrinsic PD-L1 Signals Regulate Cell Growth, Pathogenesis, and Autophagy in Ovarian Cancer and Melanoma. Cancer Res. 2016, 76, 6964–6974. [Google Scholar] [CrossRef]
- Tu, X.Y.; Mutter, R.; Lou, Z.; Dong, H.D. A new PD-L1 antibody H1A causes PD-L1 degradation and sensitizes cancer cells for cytotoxic therapy. J. Immunol. 2023, 210, 230.06. [Google Scholar] [CrossRef]
- Wang, X.R.; Lu, L.; Hong, X.C.; Wu, L.L.; Yang, C.; Wang, Y.; Li, W.W.; Yang, Y.Q.; Cao, D.Q.; Di, W.; et al. Cell-intrinsic PD-L1 ablation sustains effector CD8+T cell responses and promotes antitumor T cell therapy. Cell Rep. 2024, 43, 113712. [Google Scholar] [CrossRef] [PubMed]
- Wang, Y.Z.; Zhou, Y.; Yang, L.Y.; Lei, L.; He, B.; Cao, J.; Gao, H.L. Challenges Coexist with Opportunities: Spatial Heterogeneity Expression of PD-L1 in Cancer Therapy. Adv. Sci. 2024, 11, 2303175. [Google Scholar] [CrossRef]
- Kim, S.L.; Choi, H.S.; Lee, D.S. BRD4/nuclear PD-L1/RelB circuit is involved in the stemness of breast cancer cells. Cell Commun. Signal 2023, 21, 315. [Google Scholar] [CrossRef]
- Kiriyama, Y.; Nochi, H. Regulation of PD-L1 Expression by Nuclear Receptors. Int. J. Mol. Sci. 2023, 24, 9891. [Google Scholar] [CrossRef]





Disclaimer/Publisher’s Note: The statements, opinions and data contained in all publications are solely those of the individual author(s) and contributor(s) and not of MDPI and/or the editor(s). MDPI and/or the editor(s) disclaim responsibility for any injury to people or property resulting from any ideas, methods, instructions or products referred to in the content. |
© 2025 by the authors. Licensee MDPI, Basel, Switzerland. This article is an open access article distributed under the terms and conditions of the Creative Commons Attribution (CC BY) license (https://creativecommons.org/licenses/by/4.0/).
Share and Cite
Huang, R.; Nakamura, B.; Senguttuvan, R.; Li, Y.-J.; Martincuks, A.; Bakkar, R.; Song, M.; Ann, D.K.; Rodriguez-Rodriguez, L.; Yu, H. A Critical Role of Intracellular PD-L1 in Promoting Ovarian Cancer Progression. Cells 2025, 14, 314. https://doi.org/10.3390/cells14040314
Huang R, Nakamura B, Senguttuvan R, Li Y-J, Martincuks A, Bakkar R, Song M, Ann DK, Rodriguez-Rodriguez L, Yu H. A Critical Role of Intracellular PD-L1 in Promoting Ovarian Cancer Progression. Cells. 2025; 14(4):314. https://doi.org/10.3390/cells14040314
Chicago/Turabian StyleHuang, Rui, Brad Nakamura, Rosemary Senguttuvan, Yi-Jia Li, Antons Martincuks, Rania Bakkar, Mihae Song, David K. Ann, Lorna Rodriguez-Rodriguez, and Hua Yu. 2025. "A Critical Role of Intracellular PD-L1 in Promoting Ovarian Cancer Progression" Cells 14, no. 4: 314. https://doi.org/10.3390/cells14040314
APA StyleHuang, R., Nakamura, B., Senguttuvan, R., Li, Y.-J., Martincuks, A., Bakkar, R., Song, M., Ann, D. K., Rodriguez-Rodriguez, L., & Yu, H. (2025). A Critical Role of Intracellular PD-L1 in Promoting Ovarian Cancer Progression. Cells, 14(4), 314. https://doi.org/10.3390/cells14040314

