Promegestone Prevents Lipopolysaccharide-Induced Cervical Remodeling in Pregnant Mice
Abstract
1. Introduction
2. Materials and Methods
2.1. Animal Model
2.2. Experimental Design
2.3. R5020 Administration
2.4. Tissue Collection
2.5. Real-Time Polymerase Chain Reaction (PCR) Analysis
2.6. Immunohistochemistry
2.7. Image Analysis and Quantification
2.8. Statistical Analyses
3. Results
3.1. Term Labor Is Associated with Increased Expression of P4-Metabolizing Enzymes and Decreased Levels of P4 in Mouse Cervix
3.2. LPS-Mediated Inflammation Induces Cervical Expression of P4 Metabolizing Enzymes, P4 Decline, and Cervical Ripening Pre-Term
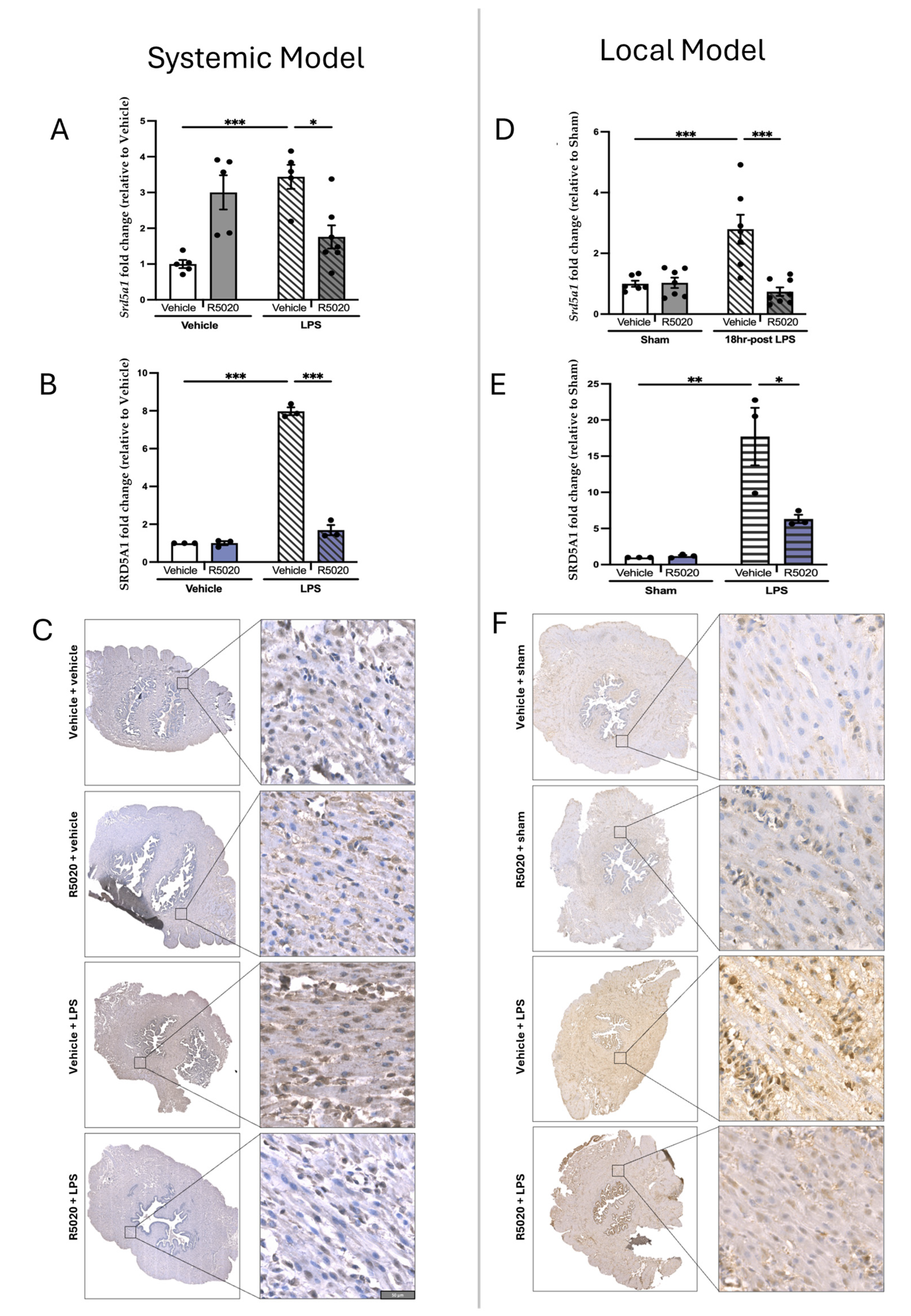
3.3. R5020 Blocks LPS-Induced Inflammation, Cervical Ripening and Preterm Labor
4. Discussion
5. Study Limitations
6. Conclusions
Supplementary Materials
Author Contributions
Funding
Institutional Review Board Statement
Informed Consent Statement
Data Availability Statement
Acknowledgments
Conflicts of Interest
References
- Liggins, G.C. Initiation of parturition. Br. Med. Bull. 1979, 35, 145–150. [Google Scholar] [CrossRef] [PubMed]
- Lamberti, G. Cervical ripening in late pregnancy and at term. Z Geburtshilfe Perinatol. 1979, 183, 175–188. [Google Scholar]
- Zork, N.M.; Myers, K.M.; Yoshida, K.; Cremers, S.; Jiang, H.; Ananth, C.V.; Wapner, R.J.; Kitajewski, J.; Vink, J. A systematic evaluation of collagen cross-links in the human cervix. Am. J. Obstet. Gynecol. 2015, 212, 321.e1–321.e8. [Google Scholar] [CrossRef] [PubMed]
- Chatterjee, A.; Saghian, R.; Dorogin, A.; Cahill, L.S.; Sled, J.G.; Lye, S.; Shynlova, O. Combination of histochemical analyses and micro-MRI reveals regional changes of the murine cervix in preparation for labor. Sci. Rep. 2021, 11, 4903. [Google Scholar] [CrossRef]
- Nott, J.P.; Pervolaraki, E.; Benson, A.P.; Bonney, E.A.; Pickering, J.D.; Wilkinson, N.; Simpson, N. Diffusion tensor imaging determines three-dimensional architecture of human cervix: A cross-sectional study. BJOG 2018, 125, 812–818. [Google Scholar] [CrossRef] [PubMed]
- Myers, K.M.; Feltovich, H.; Mazza, E.; Vink, J.; Bajka, M.; Wapner, R.J.; Hall, T.J.; House, M. The mechanical role of the cervix in pregnancy. J. Biomech. 2015, 48, 1511–1523. [Google Scholar] [CrossRef] [PubMed]
- Fiocchi, F.; Nocetti, L.; Siopis, E.; Curra, S.; Costi, T.; Ligabue, G.; Torricelli, P. In vivo 3 T MR diffusion tensor imaging for detection of the fibre architecture of the human uterus: A feasibility and quantitative study. Br. J. Radiol. 2012, 85, e1009–e1017. [Google Scholar] [CrossRef]
- Nadeem, L.; Shynlova, O.; Matysiak-Zablocki, E.; Mesiano, S.; Dong, X.; Lye, S. Molecular evidence of functional progesterone withdrawal in human myometrium. Nat. Commun. 2016, 7, 11565. [Google Scholar] [CrossRef]
- Nallasamy, S.; Yoshida, K.; Akins, M.; Myers, K.; Iozzo, R.; Mahendroo, M. Steroid Hormones Are Key Modulators of Tissue Mechanical Function via Regulation of Collagen and Elastic Fibers. Endocrinology 2017, 158, 950–962. [Google Scholar] [CrossRef]
- Heuerman, A.C.; Hollinger, T.T.; Menon, R.; Mesiano, S.; Yellon, S.M. Cervix Stromal Cells and the Progesterone Receptor A Isoform Mediate Effects of Progesterone for Prepartum Remodeling. Reprod. Sci. 2019, 26, 690–696. [Google Scholar] [CrossRef]
- Murtha, A.P.; Feng, L.; Yonish, B.; Leppert, P.C.; Schomberg, D.W. Progesterone protects fetal chorion and maternal decidua cells from calcium-induced death. Am J Obstet Gynecol 2007, 196, 257 e251–e255. [Google Scholar] [CrossRef] [PubMed]
- Virgo, B.B.; Bellward, G.D. Serum progesterone levels in the pregnant and postpartum laboratory mouse. Endocrinology 1974, 95, 1486–1490. [Google Scholar] [CrossRef] [PubMed]
- Astle, S.; Slater, D.M.; Thornton, S. The involvement of progesterone in the onset of human labour. Eur. J. Obstet. Gynecol. Reprod. Biol. 2003, 108, 177–181. [Google Scholar] [CrossRef]
- Shynlova, O.; Nadeem, L.; Dorogin, A.; Mesiano, S.; Lye, S.J. The selective progesterone receptor modulator-promegestone-delays term parturition and prevents systemic inflammation-mediated preterm birth in mice. Am. J. Obstet. Gynecol. 2022, 226, e1–e249. [Google Scholar] [CrossRef]
- Williams, K.C.; Renthal, N.E.; Condon, J.C.; Gerard, R.D.; Mendelson, C.R. MicroRNA-200a serves a key role in the decline of progesterone receptor function leading to term and preterm labor. Proc. Natl. Acad. Sci. USA 2012, 109, 7529–7534. [Google Scholar] [CrossRef]
- Mahendroo, M. Cervical remodeling in term and preterm birth: Insights from an animal model. Reproduction 2012, 143, 429–438. [Google Scholar] [CrossRef] [PubMed]
- Mahendroo, M.S.; Porter, A.; Russell, D.W.; Word, R.A. The parturition defect in steroid 5alpha-reductase type 1 knockout mice is due to impaired cervical ripening. Mol. Endocrinol. 1999, 13, 981–992. [Google Scholar] [CrossRef] [PubMed]
- Durlot, F.; Dubois, C.; Brunerie, J.; Frydman, R. Efficacy of progesterone antagonist RU486 (mifepristone) for pre-operative cervical dilatation during first trimester abortion. Hum. Reprod. 1988, 3, 583–584. [Google Scholar] [CrossRef]
- Yellon, S.M. Immunobiology of Cervix Ripening. Front. Immunol. 2019, 10, 3156. [Google Scholar] [CrossRef] [PubMed]
- Boyle, A.K.; Rinaldi, S.F.; Norman, J.E.; Stock, S.J. Preterm birth: Inflammation, fetal injury and treatment strategies. J. Reprod. Immunol. 2017, 119, 62–66. [Google Scholar] [CrossRef]
- Nallasamy, S.; Mahendroo, M. Distinct Roles of Cervical Epithelia and Stroma in Pregnancy and Parturition. Semin. Reprod. Med. 2017, 35, 190–200. [Google Scholar] [CrossRef]
- Ruscheinsky, M.; De la Motte, C.; Mahendroo, M. Hyaluronan and its binding proteins during cervical ripening and parturition: Dynamic changes in size, distribution and temporal sequence. Matrix Biol. 2008, 27, 487–497. [Google Scholar] [CrossRef]
- Stygar, D.; Wang, H.; Vladic, Y.S.; Ekman, G.; Eriksson, H.; Sahlin, L. Increased level of matrix metalloproteinases 2 and 9 in the ripening process of the human cervix. Biol. Reprod. 2002, 67, 889–894. [Google Scholar] [CrossRef]
- Gonzalez, J.M.; Dong, Z.; Romero, R.; Girardi, G. Cervical remodeling/ripening at term and preterm delivery: The same mechanism initiated by different mediators and different effector cells. PLoS ONE 2011, 6, e26877. [Google Scholar] [CrossRef] [PubMed]
- Buhimschi, I.A.; Dussably, L.; Buhimschi, C.S.; Ahmed, A.; Weiner, C.P. Physical and biomechanical characteristics of rat cervical ripening are not consistent with increased collagenase activity. Am. J. Obstet. Gynecol. 2004, 191, 1695–1704. [Google Scholar] [CrossRef]
- Shah, P.S.; McDonald, S.D.; Barrett, J.; Synnes, A.; Robson, K.; Foster, J.; Pasquier, J.C.; Joseph, K.S.; Piedboeuf, B.; Lacaze-Masmonteil, T.; et al. The Canadian Preterm Birth Network: A study protocol for improving outcomes for preterm infants and their families. CMAJ Open 2018, 6, E44–E49. [Google Scholar] [CrossRef] [PubMed]
- VanderWeele, T.J.; Lantos, J.D.; Lauderdale, D.S. Rising preterm birth rates, 1989-2004: Changing demographics or changing obstetric practice? Soc. Sci. Med. 2012, 74, 196–201. [Google Scholar] [CrossRef] [PubMed][Green Version]
- Frey, H.A.; Klebanoff, M.A. The epidemiology, etiology, and costs of preterm birth. Semin. Fetal Neonatal Med. 2016, 21, 68–73. [Google Scholar] [CrossRef] [PubMed]
- Kramer, M.S.; Demissie, K.; Yang, H.; Platt, R.W.; Sauve, R.; Liston, R. The contribution of mild and moderate preterm birth to infant mortality. Fetal and Infant Health Study Group of the Canadian Perinatal Surveillance System. JAMA 2000, 284, 843–849. [Google Scholar] [CrossRef]
- Martin, J.A.; Hamilton, B.E.; Osterman, M.J.K.; Driscoll, A.K. Births: Final Data for 2019. Natl. Health Stat. Rep. 2021, 70, 1–51. [Google Scholar] [CrossRef]
- Elovitz, M.A.; Wang, Z.; Chien, E.K.; Rychlik, D.F.; Phillippe, M. A new model for inflammation-induced preterm birth: The role of platelet-activating factor and Toll-like receptor-4. Am. J. Pathol. 2003, 163, 2103–2111. [Google Scholar] [CrossRef] [PubMed]
- Elovitz, M.; Wang, Z. Medroxyprogesterone acetate, but not progesterone, protects against inflammation-induced parturition and intrauterine fetal demise. Am. J. Obstet. Gynecol. 2004, 190, 693–701. [Google Scholar] [CrossRef]
- Andersson, S.; Minjarez, D.; Yost, N.P.; Word, R.A. Estrogen and progesterone metabolism in the cervix during pregnancy and parturition. J. Clin. Endocrinol. Metab. 2008, 93, 2366–2374. [Google Scholar] [CrossRef] [PubMed]
- Nadeem, L.; Balendran, R.; Dorogin, A.; Mesiano, S.; Shynlova, O.; Lye, S.J. Pro-inflammatory signals induce 20alpha-HSD expression in myometrial cells: A key mechanism for local progesterone withdrawal. J. Cell. Mol. Med. 2021, 25, 6773–6785. [Google Scholar] [CrossRef] [PubMed]
- Mahendroo, M.S.; Cala, K.M.; Landrum, C.P.; Russell, D.W. Fetal Death in Mice Lacking 5α-Reductase Type 1 Caused by Estrogen Excess. Mol. Endocrinol. 1997, 11, 917–927. [Google Scholar] [CrossRef]
- Ishida, M.; Choi, J.H.; Hirabayashi, K.; Matsuwaki, T.; Suzuki, M.; Yamanouchi, K.; Horai, R.; Sudo, K.; Iwakura, Y.; Nishihara, M. Reproductive phenotypes in mice with targeted disruption of the 20alpha-hydroxysteroid dehydrogenase gene. J. Reprod. Dev. 2007, 53, 499–508. [Google Scholar] [CrossRef]
- Young, A.; Thomson, A.J.; Ledingham, M.; Jordan, F.; Greer, I.A.; Norman, J.E. Immunolocalization of proinflammatory cytokines in myometrium, cervix, and fetal membranes during human parturition at term. Biol. Reprod. 2002, 66, 445–449. [Google Scholar] [CrossRef]
- Shynlova, O.; Nedd-Roderique, T.; Li, Y.; Dorogin, A.; Lye, S.J. Myometrial immune cells contribute to term parturition, preterm labour and post-partum involution in mice. J. Cell. Mol. Med. 2013, 17, 90–102. [Google Scholar] [CrossRef] [PubMed]
- Gomez-Lopez, N.; StLouis, D.; Lehr, M.A.; Sanchez-Rodriguez, E.N.; Arenas-Hernandez, M. Immune cells in term and preterm labor. Cell. Mol. Immunol. 2014, 11, 571–581. [Google Scholar] [CrossRef] [PubMed]
- Mackler, A.M.; Iezza, G.; Akin, M.R.; McMillan, P.; Yellon, S.M. Macrophage trafficking in the uterus and cervix precedes parturition in the mouse. Biol. Reprod. 1999, 61, 879–883. [Google Scholar] [CrossRef] [PubMed]
- Timmons, B.C.; Fairhurst, A.M.; Mahendroo, M.S. Temporal changes in myeloid cells in the cervix during pregnancy and parturition. J. Immunol. 2009, 182, 2700–2707. [Google Scholar] [CrossRef]
- Yellon, S.M.; Ebner, C.A.; Sugimoto, Y. Parturition and recruitment of macrophages in cervix of mice lacking the prostaglandin F receptor. Biol. Reprod. 2008, 78, 438–444. [Google Scholar] [CrossRef] [PubMed]
- Straach, K.J.; Shelton, J.M.; Richardson, J.A.; Hascall, V.C.; Mahendroo, M.S. Regulation of hyaluronan expression during cervical ripening. Glycobiology 2005, 15, 55–65. [Google Scholar] [CrossRef] [PubMed]
- Walker, J.K.L.; Theriot, B.S.; Ghio, M.; Trempus, C.S.; Wong, J.E.; McQuade, V.L.; Liang, J.; Jiang, D.; Noble, P.W.; Garantziotis, S.; et al. Targeted HAS2 Expression Lessens Airway Responsiveness in Chronic Murine Allergic Airway Disease. Am. J. Respir. Cell. Mol. Biol. 2017, 57, 702–710. [Google Scholar] [CrossRef]
- Joazeiro, P.P.; Consonni, S.R.; Rosa, R.G.; Szymanski Toledo, O.M. 65—Pubic Symphysis Evaluation. In The Guide to Investigation of Mouse Pregnancy; Croy, B.A., Yamada, A.T., DeMayo, F.J., Adamson, S.L., Eds.; Academic Press: Boston, MA, USA, 2014; pp. 733–749. [Google Scholar]
- Fidel, P.I., Jr.; Romero, R.; Maymon, E.; Hertelendy, F. Bacteria-induced or bacterial product-induced preterm parturition in mice and rabbits is preceded by a significant fall in serum progesterone concentrations. J. Matern. Fetal. Med. 1998, 7, 222–226. [Google Scholar] [CrossRef]
- Hirsch, E.; Muhle, R. Intrauterine bacterial inoculation induces labor in the mouse by mechanisms other than progesterone withdrawal. Biol. Reprod. 2002, 67, 1337–1341. [Google Scholar] [CrossRef]
- Siwen, Y. The Role of Probiotic Lactobacillus in Immune Regulation and Modulation of the Vaginal Microbiota During Pregnancy; University of Toronto: Toronto, ON, Canada, 2016. [Google Scholar]
- Shah, N.M.; Lai, P.F.; Imami, N.; Johnson, M.R. Progesterone-Related Immune Modulation of Pregnancy and Labor. Front. Endocrinol. 2019, 10, 198. [Google Scholar] [CrossRef] [PubMed]
- Hardy, D.B.; Janowski, B.A.; Corey, D.R.; Mendelson, C.R. Progesterone receptor plays a major antiinflammatory role in human myometrial cells by antagonism of nuclear factor-kappaB activation of cyclooxygenase 2 expression. Mol. Endocrinol. 2006, 20, 2724–2733. [Google Scholar] [CrossRef]
- Aisemberg, J.; Vercelli, C.A.; Bariani, M.V.; Billi, S.C.; Wolfson, M.L.; Franchi, A.M. Progesterone is essential for protecting against LPS-induced pregnancy loss. LIF as a potential mediator of the anti-inflammatory effect of progesterone. PLoS ONE 2013, 8, e56161. [Google Scholar] [CrossRef]
- Kuhl, H. Pharmacology of estrogens and progestogens: Influence of different routes of administration. Climacteric 2005, 8 (Suppl. S1), 3–63. [Google Scholar] [CrossRef] [PubMed]
- Raynaud, J.P.; Ojasoo, T. Promegestone, a new progestin. J. Gynecol. Obstet. Biol. Reprod. 1983, 12, 697–710. [Google Scholar]
- Gourdy, P.; Bachelot, A.; Catteau-Jonard, S.; Chabbert-Buffet, N.; Christin-Maitre, S.; Conard, J.; Fredenrich, A.; Gompel, A.; Lamiche-Lorenzini, F.; Moreau, C.; et al. Hormonal contraception in women at risk of vascular and metabolic disorders: Guidelines of the French Society of Endocrinology. Ann. Endocrinol. 2012, 73, 469–487. [Google Scholar] [CrossRef] [PubMed]
- Shynlova, O.; Nadeem, L.; Lye, S. Progesterone control of myometrial contractility. J. Steroid. Biochem. Mol. Biol. 2023, 234, 106397. [Google Scholar] [CrossRef]
- Tripathy, S.; Nallasamy, S.; Mahendroo, M. Progesterone and its receptor signaling in cervical remodeling: Mechanisms of physiological actions and therapeutic implications. J. Steroid. Biochem. Mol. Biol. 2022, 223, 106137. [Google Scholar] [CrossRef] [PubMed]
- Nardulli, A.M.; Katzenellenbogen, B.S. Progesterone receptor regulation in T47D human breast cancer cells: Analysis by density labeling of progesterone receptor synthesis and degradation and their modulation by progestin. Endocrinology 1988, 122, 1532–1540. [Google Scholar] [CrossRef]
- Winneker, R.C.; Bitran, D.; Zhang, Z. The preclinical biology of a new potent and selective progestin: Trimegestone. Steroids 2003, 68, 915–920. [Google Scholar] [CrossRef]
- Adis. Trimegestone. RU 27987. Drugs R D 1999, 1, 228–229. [Google Scholar] [CrossRef] [PubMed]
- Lacroix, I.; Biton, J.; Azerad, R. Microbial models of drug metabolism: Microbial transformations of Trimegestone (RU27987), a 3-keto-delta(4,9(10))-19-norsteroid drug. Bioorg. Med. Chem. 1999, 7, 2329–2341. [Google Scholar] [CrossRef]
- Sitruk-Ware, R.; Bossemeyer, R.; Bouchard, P. Preclinical and clinical properties of trimegestone: A potent and selective progestin. Gynecol. Endocrinol. 2007, 23, 310–319. [Google Scholar] [CrossRef] [PubMed]
- Garfield, R.; Shi, S.; Shi, L. Trimegestone (TMG) for Treatment of Preterm Birth. U.S. Patent 927,199,1B2, 1 March 2016. Available online: https://patents.google.com/patent/US9271991B2/en (accessed on 2 December 2019).
- Kirby, M.A.; Heuerman, A.C.; Custer, M.; Dobyns, A.E.; Strilaeff, R.; Stutz, K.N.; Cooperrider, J.; Elsissy, J.G.; Yellon, S.M. Progesterone Receptor-Mediated Actions Regulate Remodeling of the Cervix in Preparation for Preterm Parturition. Reprod. Sci. 2016, 23, 1473–1483. [Google Scholar] [CrossRef]
- Kuon, R.J.; Garfield, R.E. Actions of progestins for the inhibition of cervical ripening and uterine contractions to prevent preterm birth. Curr. Allergy Asthma Rep. 2012, 4, 110–119. [Google Scholar]
- Gomez-Lopez, N.; Romero, R.; Plazyo, O.; Panaitescu, B.; Furcron, A.E.; Miller, D.; Roumayah, T.; Flom, E.; Hassan, S.S. Intra-Amniotic Administration of HMGB1 Induces Spontaneous Preterm Labor and Birth. Am. J. Reprod. Immunol. 2016, 75, 3–7. [Google Scholar] [CrossRef]
- Patel, S. Danger-Associated Molecular Patterns (DAMPs): The Derivatives and Triggers of Inflammation. Curr. Allergy Asthma Rep. 2018, 18, 63. [Google Scholar] [CrossRef] [PubMed]
- Nallasamy, S.; Palacios, H.H.; Setlem, R.; Colon Caraballo, M.; Li, K.; Cao, E.; Shankaran, M.; Hellerstein, M.; Mahendroo, M. Transcriptome and proteome dynamics of cervical remodeling in the mouse during pregnancy. Biol. Reprod. 2021, 105, 1257–1271. [Google Scholar] [CrossRef] [PubMed]








Disclaimer/Publisher’s Note: The statements, opinions and data contained in all publications are solely those of the individual author(s) and contributor(s) and not of MDPI and/or the editor(s). MDPI and/or the editor(s) disclaim responsibility for any injury to people or property resulting from any ideas, methods, instructions or products referred to in the content. |
© 2025 by the authors. Licensee MDPI, Basel, Switzerland. This article is an open access article distributed under the terms and conditions of the Creative Commons Attribution (CC BY) license (https://creativecommons.org/licenses/by/4.0/).
Share and Cite
Nadeem, A.; Nadeem, L.; Lye, S.J.; Shynlova, O. Promegestone Prevents Lipopolysaccharide-Induced Cervical Remodeling in Pregnant Mice. Cells 2025, 14, 242. https://doi.org/10.3390/cells14040242
Nadeem A, Nadeem L, Lye SJ, Shynlova O. Promegestone Prevents Lipopolysaccharide-Induced Cervical Remodeling in Pregnant Mice. Cells. 2025; 14(4):242. https://doi.org/10.3390/cells14040242
Chicago/Turabian StyleNadeem, Amna, Lubna Nadeem, Stephen James Lye, and Oksana Shynlova. 2025. "Promegestone Prevents Lipopolysaccharide-Induced Cervical Remodeling in Pregnant Mice" Cells 14, no. 4: 242. https://doi.org/10.3390/cells14040242
APA StyleNadeem, A., Nadeem, L., Lye, S. J., & Shynlova, O. (2025). Promegestone Prevents Lipopolysaccharide-Induced Cervical Remodeling in Pregnant Mice. Cells, 14(4), 242. https://doi.org/10.3390/cells14040242

