Cortical Bone Loss and Fragility in a 2-Month Triple Transgenic Mouse Model of Alzheimer’s Disease
Highlights
- Characterization of the skeletal phenotype of 3xTg-AD mice with reduced cortical bone mass and decreased mechanical properties.
- Two-month-old male 3xTg-AD mice are characterized by an increased Number of Empty Osteocytic Lacunae and Osteoclasts, and a reduction of TRAP+ Osteocytes.
- 3xTg-AD mice exhibit early skeletal fragility before the appearance of typical brain lesions.
- This skeletal fragility could be attributed to an imbalanced process of osteocyte osteolysis.
Abstract
1. Introduction
2. Materials and Methods
2.1. Animal and Experimental Design
2.2. Micro-CT Analysis
2.3. 3-Point Bending Test of Bone Segments
2.4. Histological Analysis of Cortical and Trabecular Bone
2.5. Real Time-PCR
2.6. Statistical Analysis
3. Results
3.1. Femurs and Tibiae of 2-Month-Old 3xTg-AD Mice Showed Reduced Cortical Bone Mass, Impaired Cortical Geometry, and Resistance to Torsional Forces
3.2. The Reduction in Stiffness and Maximum Load to Fracture Characterizes 3xTg-AD Mice
3.3. 3xTg-AD Mice Showed a Higher Number of Empty OY Lacunae in Cortical Bone and a Lower Number of TRAP+ OYs, Indicating Reduced Osteolysis of OYs
3.4. The Bones of 3xTg-AD Mice Exhibited an Increase in Dkk1 Expression
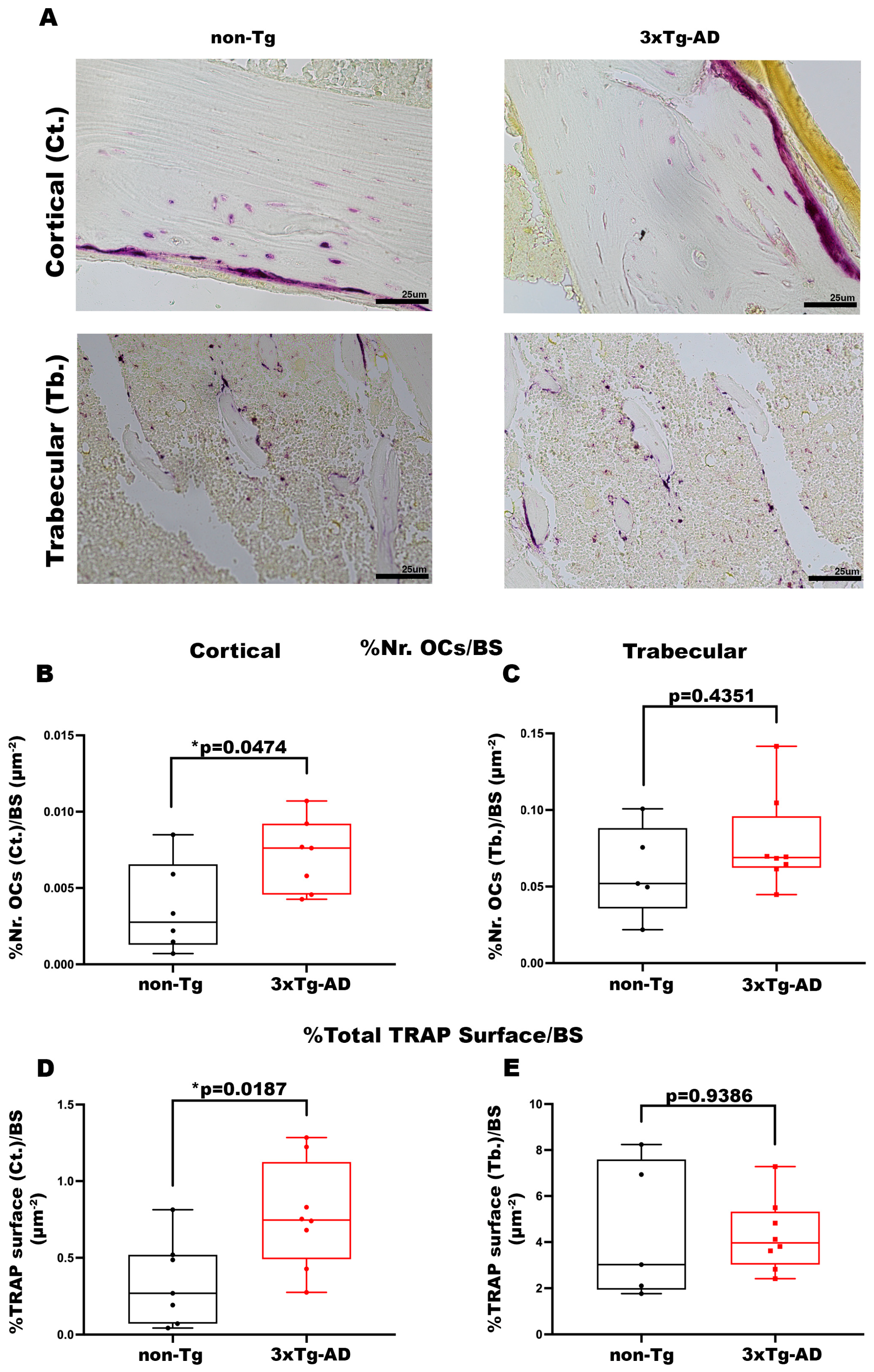
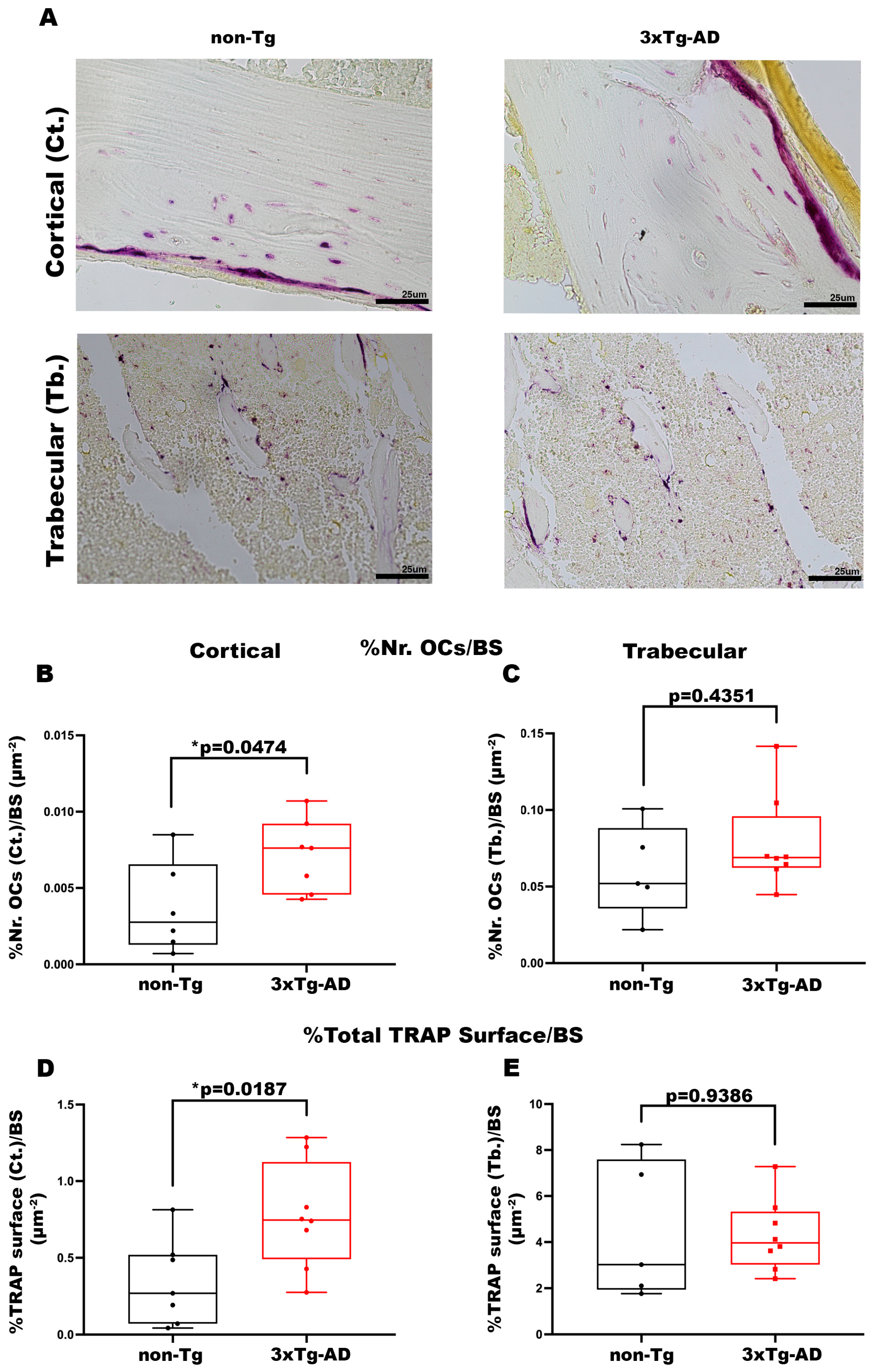
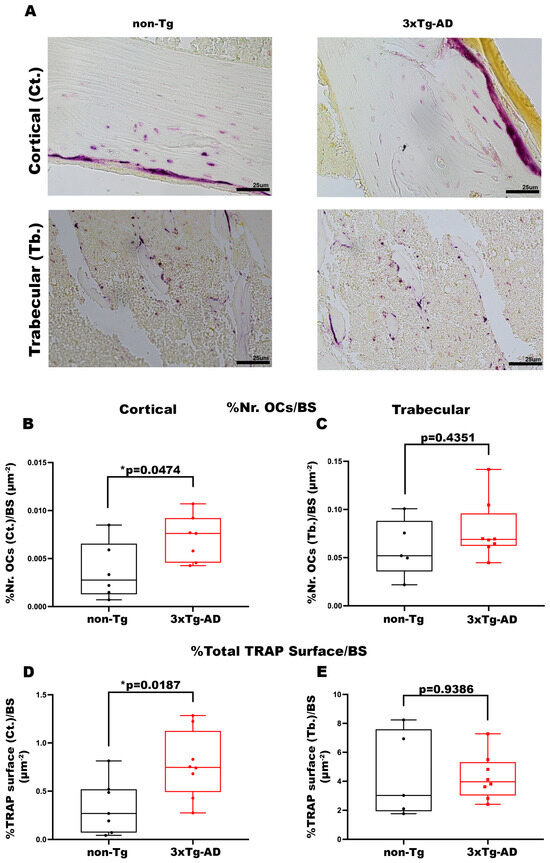
3.5. Cortical Bone of 3xTg-AD Mice Showed an Increased Number and Total Area of OCs
4. Discussion
5. Conclusions
Supplementary Materials
Author Contributions
Funding
Institutional Review Board Statement
Informed Consent Statement
Data Availability Statement
Acknowledgments
Conflicts of Interest
Abbreviations
| AD | Alzheimer’s disease |
| 3xTg-AD | Triple-transgenic mouse model of AD |
| PS1M146V | Presenilin-1 |
| βAPPSwe | β-amyloid precursor protein |
| NFTs | Neurofibrillary Tangles |
| PTH | Parathyroid hormone |
| scl | sclerostin |
| OY | Osteocyte |
| BACE1 | β-catenin-β-secretase1 |
| OC | Osteoclast |
| RANKL | Receptor Activator of Nuclear factor Kappa-B Ligand |
| TRAP | Tartrate-resistant acid phosphatase |
| Gapdh | glyceraldehyde-3-phosphate dehydrogenase |
| β2m | β-2-microglobulin |
| Dkk1 | Dickkopf-related protein 1 |
| HA | Hydroxyapatite |
| T.Ar | Total Area |
| B.Ar | Bone Area |
| P.Pm | Periosteal Perimeter |
| E.Pm | Endosteal Perimeter |
| p.MOI | Polar Moment of Inertia |
| BMD | Bone Mineral Density |
| BV/TV | Bone Volume Fraction |
| DA | Degree of Anisotropy |
| FD | Fractal Dimension |
| Tb.N | Trabecular Number |
| Tb.Th | Trabecular Thickness |
| Tb.Sp | Trabecular Separation |
| SD | Standard Deviation |
| Std.err. | Standard Error |
Appendix A

References
- Patterson, C. World Alzheimer Report 2018—The State of the Art of Dementia Research: New Frontiers. London Alzheimer’s Disease International (ADI), Ed.; 2018. Available online: https://www.alzint.org/resource/world-alzheimer-report-2018/ (accessed on 14 December 2024).
- Graff-Radford, J.; Yong, K.X.X.; Apostolova, L.G.; Bouwman, F.H.; Carrillo, M.; Dickerson, B.C.; Rabinovici, G.D.; Schott, J.M.; Jones, D.T.; Murray, M.E. New Insights into Atypical Alzheimer’s Disease in the Era of Biomarkers. Lancet Neurol. 2021, 20, 222–234. [Google Scholar] [CrossRef] [PubMed]
- Kuhn, E.; Moulinet, I.; Perrotin, A.; La Joie, R.; Landeau, B.; Tomadesso, C.; Bejanin, A.; Sherif, S.; De La Sayette, V.; Desgranges, B.; et al. Cross-Sectional and Longitudinal Characterization of SCD Patients Recruited from the Community Versus from a Memory Clinic: Subjective Cognitive Decline, Psychoaffective Factors, Cognitive Performances, and Atrophy Progression over Time. Alzheimers Res. Ther. 2019, 11, 61. [Google Scholar] [CrossRef]
- Grøntvedt, G.R.; Schröder, T.N.; Sando, S.B.; White, L.; Bråthen, G.; Doeller, C.F. Alzheimer’s Disease. Curr. Biol. 2018, 28, R645–R649. [Google Scholar] [CrossRef]
- Ramos Bernardes da Silva Filho, S.; Oliveira Barbosa, J.H.; Rondinoni, C.; dos Santos, A.C.; Garrido Salmon, C.E.; da Costa Lima, N.K.; Ferriolli, E.; Moriguti, J.C. Neuro-Degeneration Profile of Alzheimer’s Patients: A Brain Morphometry Study. NeuroImage Clin. 2017, 15, 15–24. [Google Scholar] [CrossRef]
- DeTure, M.A.; Dickson, D.W. The Neuropathological Diagnosis of Alzheimer’s Disease. Mol. Neurodegener. 2019, 14, 32. [Google Scholar] [CrossRef] [PubMed]
- Gaitonde, M.K.; Fayein, N.A.; Johnson, A.L. Decreased Metabolism In Vivo of Glucose into Amino Acids of the Brain of Thiamine-Deficient Rats After Treatment with Pyrithiamine. J. Neurochem. 1975, 24, 1215–1223. [Google Scholar] [CrossRef]
- LaFerla, F.M.; Oddo, S. Alzheimer’s Disease: Abeta, Tau and Synaptic Dysfunction. Trends Mol. Med. 2005, 11, 170–176. [Google Scholar] [CrossRef] [PubMed]
- Heneka, M.T.; Carson, M.J.; El Khoury, J.; Landreth, G.E.; Brosseron, F.; Feinstein, D.L.; Jacobs, A.H.; Wyss-Coray, T.; Vitorica, J.; Ransohoff, R.M.; et al. Neuroinflammation in Alzheimer’s Disease. Lancet Neurol. 2015, 14, 388–405. [Google Scholar] [CrossRef]
- Walsh, D.M.; Selkoe, D.J. Oligomers on the Brain: The Emerging Role of Soluble Protein Aggregates in Neurodegeneration. Protein Pept. Lett. 2004, 11, 213–228. [Google Scholar] [CrossRef]
- Querfurth, H.W.; LaFerla, F.M. Alzheimer’s Disease. N. Engl. J. Med. 2010, 362, 329–344. [Google Scholar] [CrossRef]
- Zhang, F.; Zhang, W. Research progress in Alzheimer’s Disease and Bone-Brain Axis. Ageing Res. Rev. 2024, 98, 102341. [Google Scholar] [CrossRef]
- Florencio-Silva, R.; Sasso, G.R.; Sasso-Cerri, E.; Simões, M.J.; Cerri, P.S. Biology of Bone Tissue: Structure, Function, and Factors That Influence Bone Cells. Biomed. Res. Int. 2015, 2015, 421746. [Google Scholar] [CrossRef]
- Shen, Y.; Huang, X.; Wu, J.; Lin, X.; Zhou, X.; Zhu, Z.; Pan, X.; Xu, J.; Qiao, J.; Zhang, T.; et al. The Global Burden of Osteoporosis, Low Bone Mass, and Its Related Fracture in 204 Countries and Territories, 1990-2019. Front. Endocrinol. 2022, 13, 882241. [Google Scholar] [CrossRef] [PubMed]
- Xiao, T.; Ghatan, S.; Mooldijk, S.S.; Trajanoska, K.; Oei, L.; Gomez, M.M.; Ikram, M.K.; Rivadeneira, F.; Ikram, M.A. Association of Bone Mineral Density and Dementia: The Rotterdam Study. Neurology 2023, 100, e2125–e2133. [Google Scholar] [CrossRef]
- Shi, T.; Shen, S.; Shi, Y.; Wang, Q.; Zhang, G.; Lin, J.; Chen, J.; Bai, F.; Zhang, L.; Wang, Y.; et al. Osteocyte-Derived Sclerostin Impairs Cognitive Function During Ageing and Alzheimer’s Disease Progression. Nat. Metab. 2024, 6, 531–549. [Google Scholar] [CrossRef] [PubMed]
- Frame, G.; Bretland, K.A.; Dengler-Crish, C.M. Mechanistic Complexities of Bone Loss in Alzheimer’s Disease: A review. Connect. Tissue Res. 2020, 61, 4–18. [Google Scholar] [CrossRef]
- Libro, R.; Bramanti, P.; Mazzon, E. The Role of the Wnt Canonical Signaling in Neurodegenerative Diseases. Life Sci. 2016, 158, 78–88. [Google Scholar] [CrossRef]
- Griciuc, A.; Patel, S.; Federico, A.N.; Choi, S.H.; Innes, B.J.; Oram, M.K.; Cereghetti, G.; McGinty, D.; Anselmo, A.; Sadreyev, R.I.; et al. TREM2 Acts Downstream of CD33 in Modulating Microglial Pathology in Alzheimer’s Disease. Neuron 2019, 103, 820–835.e827. [Google Scholar] [CrossRef]
- Poole, K.E.; van Bezooijen, R.L.; Loveridge, N.; Hamersma, H.; Papapoulos, S.E.; Löwik, C.W.; Reeve, J. Sclerostin Is a Delayed Secreted Product of Osteocytes that Inhibits Bone Formation. Faseb J. 2005, 19, 1842–1844. [Google Scholar] [CrossRef] [PubMed]
- Li, X.; Zhang, Y.; Kang, H.; Liu, W.; Liu, P.; Zhang, J.; Harris, S.E.; Wu, D. Sclerostin Binds to LRP5/6 and Antagonizes Canonical Wnt Signaling. J. Biol. Chem. 2005, 280, 19883–19887. [Google Scholar] [CrossRef]
- Mirza, F.S.; Padhi, I.D.; Raisz, L.G.; Lorenzo, J.A. Serum Sclerostin Levels Negatively Correlate with Parathyroid Hormone Levels and Free Estrogen Index in Postmenopausal Women. J. Clin. Endocrinol. Metab. 2010, 95, 1991–1997. [Google Scholar] [CrossRef] [PubMed]
- Ardawi, M.S.; Rouzi, A.A.; Al-Sibiani, S.A.; Al-Senani, N.S.; Qari, M.H.; Mousa, S.A. High Serum Sclerostin Predicts the Occurrence of Osteoporotic Fractures in Postmenopausal Women: The Center of Excellence for Osteoporosis Research Study. J. Bone Miner. Res. 2012, 27, 2592–2602. [Google Scholar] [CrossRef] [PubMed]
- Cao, X. RANKL-RANK Signaling Regulates Osteoblast Differentiation and Bone Formation. Bone Res. 2018, 6, 35. [Google Scholar] [CrossRef] [PubMed]
- Yoon, S.S.; Jo, S.A. Mechanisms of Amyloid-β Peptide Clearance: Potential Therapeutic Targets for Alzheimer’s Disease. Biomol. Ther. 2012, 20, 245–255. [Google Scholar] [CrossRef] [PubMed]
- Li, S.; Liu, B.; Zhang, L.; Rong, L. Amyloid Beta Peptide Is Elevated in Osteoporotic Bone Tissues and Enhances Osteoclast Function. Bone 2014, 61, 164–175. [Google Scholar] [CrossRef]
- JE, L.L.; Gil, C.; Amatya, N.; Lagalwar, S.; Possidente, B.; Vashishth, D. Degradation of Bone Quality in a Transgenic Mouse Model of Alzheimer’s Disease. J. Bone Miner. Res. 2022, 37, 2548–2565. [Google Scholar] [CrossRef]
- Jung, Y.; Ay, B.; Cyr, S.M.; Tognoni, C.M.; Klovdahl, K.; Matthias, J.; Cui, Q.; Brooks, D.J.; Bouxsein, M.L.; Carreras, I.; et al. Amyloid-β Neuropathology Induces Bone Loss in Male Mice by Suppressing Bone Formation and Enhancing Bone Resorption. Bone Rep. 2024, 21, 101771. [Google Scholar] [CrossRef]
- Oakley, H.; Cole, S.L.; Logan, S.; Maus, E.; Shao, P.; Craft, J.; Guillozet-Bongaarts, A.; Ohno, M.; Disterhoft, J.; Van Eldik, L.; et al. Intraneuronal Beta-Amyloid Aggregates, Neurodegeneration, and Neuron Loss in Transgenic Mice with Five Familial Alzheimer’s Disease Mutations: Potential Factors in Amyloid Plaque Formation. J. Neurosci. 2006, 26, 10129–10140. [Google Scholar] [CrossRef]
- Oddo, S.; Caccamo, A.; Shepherd, J.D.; Murphy, M.P.; Golde, T.E.; Kayed, R.; Metherate, R.; Mattson, M.P.; Akbari, Y.; LaFerla, F.M. Triple-Transgenic Model of Alzheimer’s Disease with Plaques and Tangles: Intracellular Abeta and Synaptic Dysfunction. Neuron 2003, 39, 409–421. [Google Scholar] [CrossRef]
- Oddo, S.; Caccamo, A.; Kitazawa, M.; Tseng, B.P.; LaFerla, F.M. Amyloid Deposition Precedes Tangle Formation in a Triple Transgenic Model of Alzheimer’s Disease. Neurobiol. Aging 2003, 24, 1063–1070. [Google Scholar] [CrossRef]
- Belfiore, R.; Rodin, A.; Ferreira, E.; Velazquez, R.; Branca, C.; Caccamo, A.; Oddo, S. Temporal and Regional Progression of Alzheimer’s Disease-like Pathology in 3xTg-AD Mice. Aging Cell 2019, 18, e12873. [Google Scholar] [CrossRef]
- Scuderi, C.; Bronzuoli, M.R.; Facchinetti, R.; Pace, L.; Ferraro, L.; Broad, K.D.; Serviddio, G.; Bellanti, F.; Palombelli, G.; Carpinelli, G.; et al. Ultramicronized Palmitoylethanolamide Rescues Learning and Memory Impairments in a Triple Transgenic Mouse Model of Alzheimer’s Disease by Exerting Anti-Inflammatory and Neuroprotective Effects. Transl. Psychiatry 2018, 8, 32. [Google Scholar] [CrossRef]
- Cassano, T.; Romano, A.; Macheda, T.; Colangeli, R.; Cimmino, C.S.; Petrella, A.; LaFerla, F.M.; Cuomo, V.; Gaetani, S. Olfactory Memory Is Impaired in a Triple Transgenic Model of Alzheimer Disease. Behav. Brain Res. 2011, 224, 408–412. [Google Scholar] [CrossRef]
- Sangineto, M.; Ciarnelli, M.; Cassano, T.; Radesco, A.; Moola, A.; Bukke, V.N.; Romano, A.; Villani, R.; Kanwal, H.; Capitanio, N.; et al. Metabolic Reprogramming in Inflammatory Microglia Indicates a Potential Way of Targeting Inflammation in Alzheimer’s Disease. Redox Biol. 2023, 66, 102846. [Google Scholar] [CrossRef]
- Storlino, G.; Dicarlo, M.; Zerlotin, R.; Pignataro, P.; Sanesi, L.; Suriano, C.; Oranger, A.; Mori, G.; Passeri, G.; Colucci, S.; et al. Irisin Protects Against Loss of Trabecular Bone Mass and Strength in Adult Ovariectomized Mice by Stimulating Osteoblast Activity. Int. J. Mol. Sci. 2023, 24, 9896. [Google Scholar] [CrossRef] [PubMed]
- Bouxsein, M.L.; Boyd, S.K.; Christiansen, B.A.; Guldberg, R.E.; Jepsen, K.J.; Müller, R. Guidelines for Assessment of Bone Microstructure in Rodents Using Micro-Computed Tomography. J. Bone Miner. Res. 2010, 25, 1468–1486. [Google Scholar] [CrossRef]
- Rauner, M.; Baschant, U.; Roetto, A.; Pellegrino, R.M.; Rother, S.; Salbach-Hirsch, J.; Weidner, H.; Hintze, V.; Campbell, G.; Petzold, A.; et al. Transferrin Receptor 2 Controls Bone Mass and Pathological Bone Formation via BMP and Wnt Signaling. Nat. Metab. 2019, 1, 111–124. [Google Scholar] [CrossRef] [PubMed]
- Jepsen, K.J.; Silva, M.J.; Vashishth, D.; Guo, X.E.; van der Meulen, M.C. Establishing Biomechanical Mechanisms in Mouse Models: Practical Guidelines for Systematically Evaluating Phenotypic Changes in the Diaphyses of Long Bones. J. Bone Miner. Res. 2015, 30, 951–966. [Google Scholar] [CrossRef]
- Qing, H.; Ardeshirpour, L.; Pajevic, P.D.; Dusevich, V.; Jähn, K.; Kato, S.; Wysolmerski, J.; Bonewald, L.F. Demonstration of Osteocytic Perilacunar/Canalicular Remodeling in Mice During Lactation. J. Bone Miner. Res. 2012, 27, 1018–1029. [Google Scholar] [CrossRef]
- Gao, Y.; Chen, N.; Fu, Z.; Zhang, Q. Progress of Wnt Signaling Pathway in Osteoporosis. Biomolecules 2023, 13, 483. [Google Scholar] [CrossRef]
- Lehmann, J.; Thiele, S.; Baschant, U.; Rachner, T.D.; Niehrs, C.; Hofbauer, L.C.; Rauner, M. Mice lacking Dkk1 in T Cells Exhibit High Bone Mass and Are Protected from Estrogen-Deficiency-Induced Bone Loss. iScience 2021, 24, 102224. [Google Scholar] [CrossRef]
- Guo, X.; Tang, P.; Liu, P.; Liu, Y.; Chong, L.; Li, R. Dkk1: A Promising Molecule to Connect Alzheimer’s Disease and Osteoporosis. Med. Hypotheses 2016, 88, 30–32. [Google Scholar] [CrossRef]
- Šimić, G.; Babić Leko, M.; Wray, S.; Harrington, C.; Delalle, I.; Jovanov-Milošević, N.; Bažadona, D.; Buée, L.; De Silva, R.; Di Giovanni, G.; et al. Tau Protein Hyperphosphorylation and Aggregation in Alzheimer’s Disease and Other Tauopathies, and Possible Neuroprotective Strategies. Biomolecules 2016, 6, 6. [Google Scholar] [CrossRef]
- Kanaan, N.M.; Cox, K.; Alvarez, V.E.; Stein, T.D.; Poncil, S.; McKee, A.C. Characterization of Early Pathological Tau Conformations and Phosphorylation in Chronic Traumatic Encephalopathy. J. Neuropathol. Exp. Neurol. 2015, 75, 19–34. [Google Scholar] [CrossRef]
- Glatt, V.; Canalis, E.; Stadmeyer, L.; Bouxsein, M.L. Age-Related Changes in Trabecular Architecture Differ in Female and Male C57BL/6J Mice. J. Bone Miner. Res. 2007, 22, 1197–1207. [Google Scholar] [CrossRef]
- Elefteriou, F.; Ahn, J.D.; Takeda, S.; Starbuck, M.; Yang, X.; Liu, X.; Kondo, H.; Richards, W.G.; Bannon, T.W.; Noda, M.; et al. Leptin Regulation of Bone Resorption by the Sympathetic Nervous System and CART. Nature 2005, 434, 514–520. [Google Scholar] [CrossRef]
- Takeda, S.; Elefteriou, F.; Levasseur, R.; Liu, X.; Zhao, L.; Parker, K.L.; Armstrong, D.; Ducy, P.; Karsenty, G. Leptin Regulates Bone Formation via the Sympathetic Nervous System. Cell 2002, 111, 305–317. [Google Scholar] [CrossRef] [PubMed]
- Tsourdi, E.; Jähn, K.; Rauner, M.; Busse, B.; Bonewald, L.F. Physiological and Pathological Osteocytic Osteolysis. J. Musculoskelet. Neuronal Interact. 2018, 18, 292–303. [Google Scholar] [PubMed]
- Robling, A.G.; Bonewald, L.F. The Osteocyte: New Insights. Annu. Rev. Physiol. 2020, 82, 485–506. [Google Scholar] [CrossRef]
- Li, J.; Sarosi, I.; Cattley, R.C.; Pretorius, J.; Asuncion, F.; Grisanti, M.; Morony, S.; Adamu, S.; Geng, Z.; Qiu, W.; et al. Dkk1-Mediated Inhibition of Wnt Signaling in Bone Results in Osteopenia. Bone 2006, 39, 754–766. [Google Scholar] [CrossRef] [PubMed]
- Butler, J.S.; Murray, D.W.; Hurson, C.J.; O’Brien, J.; Doran, P.P.; O’Byrne, J.M. The role of Dkk1 in Bone Mass Regulation: Correlating Serum Dkk1 Expression with Bone Mineral Density. J. Orthop. Res. 2011, 29, 414–418. [Google Scholar] [CrossRef]
- Ren, C.; Gu, X.; Li, H.; Lei, S.; Wang, Z.; Wang, J.; Yin, P.; Zhang, C.; Wang, F.; Liu, C. The Role of Dkk1 in Alzheimer’s Disease: A Potential Intervention Point of Brain Damage Prevention? Pharmacol. Res. 2019, 144, 331–335. [Google Scholar] [CrossRef]
- Marzo, A.; Galli, S.; Lopes, D.; McLeod, F.; Podpolny, M.; Segovia-Roldan, M.; Ciani, L.; Purro, S.; Cacucci, F.; Gibb, A.; et al. Reversal of Synapse Degeneration by Restoring Wnt Signaling in the Adult Hippocampus. Curr. Biol. 2016, 26, 2551–2561. [Google Scholar] [CrossRef] [PubMed]
- Heppt, J.; Wittmann, M.T.; Schäffner, I.; Billmann, C.; Zhang, J.; Vogt-Weisenhorn, D.; Prakash, N.; Wurst, W.; Taketo, M.M.; Lie, D.C. β-Catenin Signaling Modulates the Tempo of Dendritic Growth of Adult-Born Hippocampal Neurons. Embo J. 2020, 39, e104472. [Google Scholar] [CrossRef] [PubMed]
- Melton, L.J., 3rd; Beard, C.M.; Kokmen, E.; Atkinson, E.J.; O’Fallon, W.M. Fracture Risk in Patients with Alzheimer’s Disease. J. Am. Geriatr. Soc. 1994, 42, 614–619. [Google Scholar] [CrossRef]
- Loskutova, N.; Honea, R.A.; Vidoni, E.D.; Brooks, W.M.; Burns, J.M. Bone Density and Brain Atrophy in Early Alzheimer’s Disease. J. Alzheimers Dis. 2009, 18, 777–785. [Google Scholar] [CrossRef]
- Kostev, K.; Hadji, P.; Jacob, L. Impact of Osteoporosis on the Risk of Dementia in Almost 60,000 Patients Followed in General Practices in Germany. J. Alzheimers Dis. 2018, 65, 401–407. [Google Scholar] [CrossRef]
- Tan, Z.S.; Seshadri, S.; Beiser, A.; Zhang, Y.; Felson, D.; Hannan, M.T.; Au, R.; Wolf, P.A.; Kiel, D.P. Bone Mineral Density and the Risk of Alzheimer Disease. Arch. Neurol. 2005, 62, 107–111. [Google Scholar] [CrossRef]





| Primer | S | AS |
|---|---|---|
| Gapdh | -acaccagtagactccacgaca | -acggcaaattcaacggcacag |
| β2m | -catggctcgctcggtgacc | -aatgtgaggcgggtggaactg |
| Dkk1 | -aagttgaggttccgcagtcc | -gcaaacaggcaaaggtcagg |
Disclaimer/Publisher’s Note: The statements, opinions and data contained in all publications are solely those of the individual author(s) and contributor(s) and not of MDPI and/or the editor(s). MDPI and/or the editor(s) disclaim responsibility for any injury to people or property resulting from any ideas, methods, instructions or products referred to in the content. |
© 2025 by the authors. Licensee MDPI, Basel, Switzerland. This article is an open access article distributed under the terms and conditions of the Creative Commons Attribution (CC BY) license (https://creativecommons.org/licenses/by/4.0/).
Share and Cite
Storlino, G.; Posa, F.; Dell'Endice, T.S.; Piccolo, F.; Colaianni, G.; Cassano, T.; Grano, M.; Mori, G. Cortical Bone Loss and Fragility in a 2-Month Triple Transgenic Mouse Model of Alzheimer’s Disease. Cells 2025, 14, 1816. https://doi.org/10.3390/cells14221816
Storlino G, Posa F, Dell'Endice TS, Piccolo F, Colaianni G, Cassano T, Grano M, Mori G. Cortical Bone Loss and Fragility in a 2-Month Triple Transgenic Mouse Model of Alzheimer’s Disease. Cells. 2025; 14(22):1816. https://doi.org/10.3390/cells14221816
Chicago/Turabian StyleStorlino, Giuseppina, Francesca Posa, Teresa Stefania Dell'Endice, Federica Piccolo, Graziana Colaianni, Tommaso Cassano, Maria Grano, and Giorgio Mori. 2025. "Cortical Bone Loss and Fragility in a 2-Month Triple Transgenic Mouse Model of Alzheimer’s Disease" Cells 14, no. 22: 1816. https://doi.org/10.3390/cells14221816
APA StyleStorlino, G., Posa, F., Dell'Endice, T. S., Piccolo, F., Colaianni, G., Cassano, T., Grano, M., & Mori, G. (2025). Cortical Bone Loss and Fragility in a 2-Month Triple Transgenic Mouse Model of Alzheimer’s Disease. Cells, 14(22), 1816. https://doi.org/10.3390/cells14221816

