Cell-Sonar, a Novel Method for Intracellular Tracking of Secretory Pathways
Abstract
1. Introduction
2. Materials and Methods
2.1. Cell Culture
2.2. Cell-Sonar for Intracellular Tracking with ICW
2.3. Glycosylation Digest and Western Blot
2.4. Endosome Isolation and Enrichment of Rab11 Marked Endosomes
2.5. Flow Cytometric Analysis of Rab11 Marked Endosomes
2.6. Statistics
3. Results
3.1. Concept of the Cell-Sonar Method
3.2. Intracellular Tracking within the ER
3.3. Intracellular Tracking between the ER and Golgi
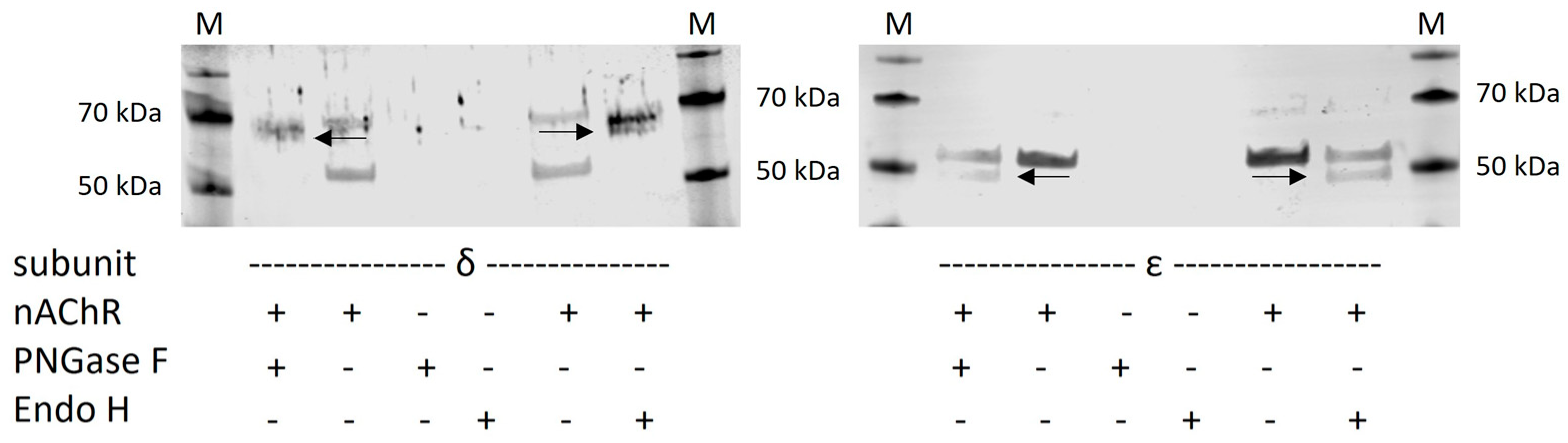
3.4. Western Blot Analysis for Confirming the Findings of Cell-Sonar That nAChR Enters Golgi
3.5. Intracellular Tracking after Golgi in the Endocytic Pathway
3.6. FACS Analysis for Confirming the Findings of Cell-Sonar That nAChR Is in RE
4. Discussion
5. Conclusions
Author Contributions
Funding
Institutional Review Board Statement
Informed Consent Statement
Data Availability Statement
Acknowledgments
Conflicts of Interest
Abbreviations
| a.u. | arbitrary units |
| BiP | binding immunoglobulin protein |
| CHO | Chinese hamster ovary |
| CN | calnexin |
| COP | coat protein |
| ER | endoplasmic reticulum |
| ERGIC | ER–Golgi-intermediate compartment |
| FACS | fluorescence-activated cell sorting |
| GAPDH | glyceraldehyde-3-phosphate dehydrogenase |
| Hrd1 | synoviolin |
| ICW | in-cell Western |
| MAPK | mitogen-activated protein kinase |
| nAChR | nicotinic acetylcholine receptor |
| RE | recycling endosomes |
| UGGT1 | UDP-glucose:glycoprotein glucosyltransferase-1 |
| UPR | unfolded protein response |
| vps | vacuolar protein sorting |
References
- Bayguinov, P.O.; Oakley, D.M.; Shih, C.; Geanon, D.J.; Joens, M.S.; Fitzpatrick, J.A.J. Modern Laser Scanning Confocal Microscopy. Curr. Protoc. Cytom. 2018, 85, e39. [Google Scholar] [CrossRef] [PubMed]
- Ghisaidoobe, A.B.T.; Chung, S.J. Intrinsic tryptophan fluorescence in the detection and analysis of proteins: A focus on Förster resonance energy transfer techniques. Int. J. Mol. Sci. 2014, 15, 22518–22538. [Google Scholar] [CrossRef] [PubMed]
- Axelrod, D. Chapter 7: Total internal reflection fluorescence microscopy. Methods Cell Biol. 2008, 89, 169–221. [Google Scholar] [CrossRef] [PubMed]
- Herzenberg, L.A.; Parks, D.; Sahaf, B.; Perez, O.; Roederer, M.; Herzenberg, L.A. The history and future of the fluorescence activated cell sorter and flow cy-tometry: A view from Stanford. Clin. Chem. 2002, 48, 1819–1827. [Google Scholar] [CrossRef]
- Horgan, R.P.; Kenny, L.C. ‘Omic’ technologies: Genomics, transcriptomics, proteomics and metabolomics. Obstet. Gynaecol. 2011, 13, 189–195. [Google Scholar] [CrossRef]
- Kim, B. Western Blot Techniques. Methods Mol. Biol. 2017, 1606, 133–139. [Google Scholar] [CrossRef]
- Brooks, S.A. Strategies for analysis of the glycosylation of proteins: Current status and future perspectives. Mol. Biotechnol. 2009, 43, 76–88. [Google Scholar] [CrossRef]
- Egorina, E.M.; Sovershaev, M.A.; Østerud, B. In-cell Western assay: A new approach to visualize tissue factor in human monocytes. J. Thromb. Haemost. 2006, 4, 614–620. [Google Scholar] [CrossRef]
- Marinko, J.T.; Huang, H.; Penn, W.D.; Capra, J.A.; Schlebach, J.P.; Sanders, C.R. Folding and Misfolding of Human Membrane Proteins in Health and Disease: From Single Molecules to Cellular Proteostasis. Chem. Rev. 2019, 119, 5537–5606. [Google Scholar] [CrossRef]
- Maeda, M.; Katada, T.; Saito, K. TANGO1 recruits Sec16 to coordinately organize ER exit sites for efficient secretion. J. Cell Biol. 2017, 216, 1731–1743. [Google Scholar] [CrossRef]
- Raote, I.; Malhotra, V. Protein transport by vesicles and tunnels. J. Cell Biol. 2019, 218, 737–739. [Google Scholar] [CrossRef] [PubMed]
- Zanetti, G.; Pahuja, K.B.; Studer, S.; Shim, S.; Schekman, R. COPII and the regulation of protein sorting in mammals. Nat. Cell Biol. 2011, 14, 20–28. [Google Scholar] [CrossRef]
- Zeuschner, D.; Geerts, W.J.; van Donselaar, E.; Humbel, B.M.; Slot, J.W.; Koster, A.J.; Klumperman, J. Immuno-electron tomography of ER exit sites reveals the existence of free COPII-coated transport carriers. Nat. Cell Biol. 2006, 8, 377–383. [Google Scholar] [CrossRef] [PubMed]
- Russell, C.; Stagg, S.M. New insights into the structural mechanisms of the COPII coat. Traffic 2010, 11, 303–310. [Google Scholar] [CrossRef]
- Wendeler, M.W.; Paccaud, J.; Hauri, H. Role of Sec24 isoforms in selective export of membrane proteins from the endoplasmic reticulum. EMBO Rep. 2007, 8, 258–264. [Google Scholar] [CrossRef]
- Xu, D.; Hay, J.C. Reconstitution of COPII vesicle fusion to generate a pre-Golgi intermediate compartment. J. Cell Biol. 2004, 167, 997–1003. [Google Scholar] [CrossRef]
- Phuyal, S.; Farhan, H. Want to leave the ER? We offer vesicles, tubules, and tunnels. J. Cell Biol. 2021, 220, e202104062. [Google Scholar] [CrossRef] [PubMed]
- Bonifacino, J.S.; Glick, B.S. The mechanisms of vesicle budding and fusion. Cell 2004, 116, 153–166. [Google Scholar] [CrossRef]
- Phuyal, S.; Djaerff, E.; Le Roux, A.L.; Baker, M.J.; Fankhauser, D.; Mahdizadeh, S.J.; Reiterer, V.; Parizadeh, A.; Felder, E.; Kahlhofer, J.C.; et al. Mechanical strain stimulates COPII-dependent secretory trafficking via Rac1. EMBO J. 2022, 41, e110596. [Google Scholar] [CrossRef]
- Payapilly, A.; Malliri, A. Compartmentalisation of RAC1 signalling. Curr. Opin. Cell Biol. 2018, 54, 50–56. [Google Scholar] [CrossRef]
- Harter, C.; Pavel, J.; Coccia, F.; Draken, E.; Wegehingel, S.; Tschochner, H.; Wieland, F. Nonclathrin coat protein gamma, a subunit of coatomer, binds to the cytoplasmic dilysine motif of membrane proteins of the early secretory pathway. Proc. Natl. Acad. Sci. USA 1996, 93, 1902–1906. [Google Scholar] [CrossRef] [PubMed]
- Harter, C.; Wieland, F.T. A single binding site for dilysine retrieval motifs and p23 within the γ subunit of coatomer. Proc. Natl. Acad. Sci. USA 1998, 95, 11649–11654. [Google Scholar] [CrossRef] [PubMed]
- Daro, E.; van der Sluijs, P.; Galli, T.; Mellman, I. Rab4 and cellubrevin define different early endosome populations on the pathway of transferrin receptor recycling. Proc. Natl. Acad. Sci. USA 1996, 93, 9559–9564. [Google Scholar] [CrossRef]
- Bonifacino, J.S.; Hurley, J.H. Retromer. Curr. Opin. Cell Biol. 2008, 20, 427–436. [Google Scholar] [CrossRef]
- Pfeffer, S.R. Multiple routes of protein transport from endosomes to the trans Golgi network. FEBS Lett. 2009, 583, 3811–3816. [Google Scholar] [CrossRef] [PubMed]
- Lu, A.; Tebar, F.; Alvarez-Moya, B.; López-Alcalá, C.; Calvo, M.; Enrich, C.; Agell, N.; Nakamura, T.; Matsuda, M.; Bachs, O. A clathrin-dependent pathway leads to KRas signaling on late endosomes en route to lysosomes. J. Cell Biol. 2009, 184, 863–879. [Google Scholar] [CrossRef]
- Luzio, J.P.; Gray, S.R.; Bright, N.A. Endosome–lysosome fusion. Biochem. Soc. Trans. 2010, 38, 1413–1416. [Google Scholar] [CrossRef]
- Zhang, X.-M.; Ellis, S.; Sriratana, A.; Mitchell, C.A.; Rowe, T. Sec15 is an effector for the Rab11 GTPase in mammalian cells. J. Biol. Chem. 2004, 279, 43027–43034. [Google Scholar] [CrossRef]
- Wu, S.; Mehta, S.Q.; Pichaud, F.; Bellen, H.J.; A Quiocho, F. Sec15 interacts with Rab11 via a novel domain and affects Rab11 localization in vivo. Nat. Struct. Mol. Biol. 2005, 12, 879–885. [Google Scholar] [CrossRef]
- Merlie, J.P.; Lindstrom, J. Assembly in vivo of mouse muscle acetylcholine receptor: Identification of an α subunit species that may be an assembly intermediate. Cell 1983, 34, 747–757. [Google Scholar] [CrossRef]
- Blount, P.; Merlie, J.P. Mutational analysis of muscle nicotinic acetylcholine receptor subunit assembly. J. Cell Biol. 1990, 111, 2613–2622. [Google Scholar] [CrossRef] [PubMed]
- Green, W.N.; Wanamaker, C.P. Formation of the nicotinic acetylcholine receptor binding sites. J. Neurosci. 1998, 18, 5555–5564. [Google Scholar] [CrossRef] [PubMed]
- Srinivasan, R.; Pantoja, R.; Moss, F.J.; Mackey, E.D.; Son, C.D.; Miwa, J.; Lester, H.A. Nicotine up-regulates α4β2 nicotinic receptors and ER exit sites via stoichiometry-dependent chaperoning. J. Gen. Physiol. 2011, 137, 59–79. [Google Scholar] [CrossRef] [PubMed]
- Brockmöller, S.; Seeger, T.; Worek, F.; Rothmiller, S. Recombinant cellular model system for human muscle-type nicotinic acetylcholine receptor α12β1δε. Cell Stress Chaperon. 2023, 28, 1013–1025. [Google Scholar] [CrossRef]
- Ferguson, R.E.; Carroll, H.P.; Harris, A.; Maher, E.R.; Selby, P.J.; Banks, R.E. Housekeeping proteins: A preliminary study illustrating some limitations as useful references in protein expression studies. Proteomics 2005, 5, 566–571. [Google Scholar] [CrossRef]
- Eisenberg, E.; Levanon, E.Y. Human housekeeping genes, revisited. Trends Genet. 2013, 29, 569–574. [Google Scholar] [CrossRef]
- Merulla, J.; Soldà, T.; Molinari, M. A novel UGGT1 and p97-dependent checkpoint for native ectodomains with ionizable intramembrane residue. Mol. Biol. Cell 2015, 26, 1532–1542. [Google Scholar] [CrossRef]
- Keller, S.H.; Taylor, P. Determinants responsible for assembly of the nicotinic acetylcholine receptor. J. Gen. Physiol. 1999, 113, 171–176. [Google Scholar] [CrossRef]
- Caramelo, J.J.; Parodi, A.J. Getting in and out from calnexin/calreticulin cycles. J. Biol. Chem. 2008, 283, 10221–10225. [Google Scholar] [CrossRef]
- Amano, T.; Yamasaki, S.; Yagishita, N.; Tsuchimochi, K.; Shin, H.; Kawahara, K.-I.; Aratani, S.; Fujita, H.; Zhang, L.; Ikeda, R.; et al. Synoviolin/Hrd1, an E3 ubiquitin ligase, as a novel pathogenic factor for arthropathy. Genes Dev. 2003, 17, 2436–2449. [Google Scholar] [CrossRef]
- Sato, B.K.; Schulz, D.; Do, P.H.; Hampton, R.Y. Misfolded membrane proteins are specifically recognized by the transmembrane domain of the Hrd1p ubiquitin ligase. Mol. Cell 2009, 34, 212–222. [Google Scholar] [CrossRef]
- Szabo, A.; Langer, T.; Schröder, H.; Flanagan, J.; Bukau, B.; Hartl, F.U. The ATP hydrolysis-dependent reaction cycle of the Escherichia coli Hsp70 system DnaK, DnaJ, and GrpE. Proc. Natl. Acad. Sci. USA 1994, 91, 10345–10349. [Google Scholar] [CrossRef] [PubMed]
- Lièvremont, J.-P.; Rizzuto, R.; Hendershot, L.; Meldolesi, J. BiP, a major chaperone protein of the endoplasmic reticulum lumen, plays a direct and important role in the storage of the rapidly exchanging pool of Ca2+. J. Biol. Chem. 1997, 272, 30873–30879. [Google Scholar] [CrossRef] [PubMed]
- Wang, J.; Lee, J.; Liem, D.; Ping, P. HSPA5 Gene encoding Hsp70 chaperone BiP in the endoplasmic reticulum. Gene 2017, 618, 14–23. [Google Scholar] [CrossRef]
- Melnyk, A.; Rieger, H.; Zimmermann, R. Co-chaperones of the mammalian endoplasmic reticulum. Subcell. Biochem. 2015, 78, 179–200. [Google Scholar] [CrossRef]
- Behnke, J.; Feige, M.J.; Hendershot, L.M. BiP and its nucleotide exchange factors Grp170 and Sil1: Mechanisms of action and biological functions. J. Mol. Biol. 2015, 427, 1589–1608. [Google Scholar] [CrossRef]
- Nicholls, C.; Li, H.; Liu, J. GAPDH: A common enzyme with uncommon functions. Clin. Exp. Pharmacol. Physiol. 2012, 39, 674–679. [Google Scholar] [CrossRef]
- Andersson, H.; Kappeler, F.; Hauri, H.-P. Protein targeting to endoplasmic reticulum by dilysine signals involves direct retention in addition to retrieval. J. Biol. Chem. 1999, 274, 15080–15084. [Google Scholar] [CrossRef] [PubMed]
- Kamiya, Y.; Kamiya, D.; Yamamoto, K.; Nyfeler, B.; Hauri, H.-P.; Kato, K. Molecular basis of sugar recognition by the human L-type lectins ERGIC-53, VIPL, and VIP36. J. Biol. Chem. 2008, 283, 1857–1861. [Google Scholar] [CrossRef]
- Bucci, C.; Parton, R.G.; Mather, I.H.; Stunnenberg, H.; Simons, K.; Hoflack, B.; Zerial, M. The small GTPase rab5 functions as a regulatory factor in the early endocytic pathway. Cell 1992, 70, 715–728. [Google Scholar] [CrossRef]
- Vergarajauregui, S.; Martina, J.A.; Puertollano, R. Identification of the penta-EF-hand protein ALG-2 as a Ca2+-dependent interactor of mucolipin-1. J. Biol. Chem. 2009, 284, 36357–36366. [Google Scholar] [CrossRef]
- Hsu, V.W.; Prekeris, R. Transport at the recycling endosome. Curr. Opin. Cell Biol. 2010, 22, 528–534. [Google Scholar] [CrossRef] [PubMed]
- Hu, Y.-B.; Dammer, E.B.; Ren, R.-J.; Wang, G. The endosomal-lysosomal system: From acidification and cargo sorting to neurodegeneration. Transl. Neurodegener. 2015, 4, 1–10. [Google Scholar] [CrossRef] [PubMed]
- Burd, C.; Cullen, P.J. Retromer: A master conductor of endosome sorting. Cold Spring Harb. Perspect. Biol. 2014, 6, a016774. [Google Scholar] [CrossRef] [PubMed]
- Sönnichsen, B.; De Renzis, S.; Nielsen, E.; Rietdorf, J.; Zerial, M. Distinct Membrane Domains on Endosomes in the Recycling Pathway Vis-ualized by Multicolor Imaging of Rab4, Rab5, and Rab11. J. Cell Biol. 2000, 149, 901–914. [Google Scholar] [CrossRef]
- Li, X.; DiFiglia, M. The recycling endosome and its role in neurological disorders. Prog. Neurobiol. 2012, 97, 127–141. [Google Scholar] [CrossRef]
- Bourguignon, L.Y.W.; Zhu, H.; Zhou, B.; Diedrich, F.; Singleton, P.A.; Hung, M.-C. Hyaluronan promotes CD44v3-Vav2 interaction with Grb2-p185(HER2) and induces Rac1 and Ras signaling during ovarian tumor cell migration and growth. J. Biol. Chem. 2001, 276, 48679–48692. [Google Scholar] [CrossRef]
- Farhan, H.; Weiss, M.; Tani, K.; Kaufman, R.J.; Hauri, H.-P. Adaptation of endoplasmic reticulum exit sites to acute and chronic increases in cargo load. EMBO J. 2008, 27, 2043–2054. [Google Scholar] [CrossRef]
- Fehrenbacher, N.; Bar-Sagi, D.; Philips, M. Ras/MAPK signaling from endomembranes. Mol. Oncol. 2009, 3, 297–307. [Google Scholar] [CrossRef]
- Jing, J.; Prekeris, R. Polarized endocytic transport: The roles of Rab11 and Rab11-FIPs in regulating cell polarity. Histol. Histopathol. 2009, 24, 1171. [Google Scholar]
- Farhan, H.; Wendeler, M.W.; Mitrovic, S.; Fava, E.; Silberberg, Y.; Sharan, R.; Zerial, M.; Hauri, H.-P. MAPK signaling to the early secretory pathway revealed by kinase/phosphatase functional screening. J. Cell Biol. 2010, 189, 997–1011. [Google Scholar] [CrossRef] [PubMed]
- van der Vaart, A.; Rademakers, S.; Jansen, G. DLK-1/p38 MAP Kinase Signaling Controls Cilium Length by Regulating RAB-5 Mediated Endocytosis in Caenorhabditis elegans. PLOS Genet. 2015, 11, e1005733. [Google Scholar] [CrossRef] [PubMed]
- Balch, W.E.; Morimoto, R.I.; Dillin, A.; Kelly, J.W. Adapting proteostasis for disease intervention. Science 2008, 319, 916–919. [Google Scholar] [CrossRef]
- Hotamisligil, G.S.; Davis, R.J. Cell Signaling and Stress Responses. Cold Spring Harb. Perspect. Biol. 2016, 8, a006072. [Google Scholar] [CrossRef]
- Hipp, M.S.; Kasturi, P.; Hartl, F.U. The proteostasis network and its decline in ageing. Nat. Rev. Mol. Cell Biol. 2019, 20, 421–435. [Google Scholar] [CrossRef] [PubMed]
- Meiners, S.; Ballweg, K. Proteostasis in pediatric pulmonary pathology. Mol. Cell. Pediatr. 2014, 1, 11. [Google Scholar] [CrossRef] [PubMed]
- Shamu, C.E.; Walter, P. Oligomerization and phosphorylation of the Ire1p kinase during intracellular signaling from the endoplasmic reticulum to the nucleus. EMBO J. 1996, 15, 3028–3039. [Google Scholar] [CrossRef]
- Bertolotti, A.; Zhang, Y.; Hendershot, L.M.; Harding, H.P.; Ron, D. Dynamic interaction of BiP and ER stress transducers in the unfolded-protein response. Nat. Cell Biol. 2000, 2, 326–332. [Google Scholar] [CrossRef]
- Peters, A.; Nawrot, T.S.; Baccarelli, A.A. Hallmarks of environmental insults. Cell 2021, 184, 1455–1468. [Google Scholar] [CrossRef]
- Morrison, D.K. MAP Kinase Pathways. Cold Spring Harb. Perspect. Biol. 2012, 4, a011254. [Google Scholar] [CrossRef]
- Lakkaraju, A.K.; van der Goot, F.G. Calnexin controls the STAT3-mediated transcriptional response to EGF. Mol. Cell 2013, 51, 386–396. [Google Scholar] [CrossRef] [PubMed]
- Kondratyev, M.; Avezov, E.; Shenkman, M.; Groisman, B.; Lederkremer, G.Z. PERK-dependent compartmentalization of ERAD and unfolded protein response machineries during ER stress. Exp. Cell Res. 2007, 313, 3395–3407. [Google Scholar] [CrossRef]
- Lederkremer, G.Z. Glycoprotein folding, quality control and ER-associated degradation. Curr. Opin. Struct. Biol. 2009, 19, 515–523. [Google Scholar] [CrossRef] [PubMed]
- Sarwat, M.; Naqvi, A.R. Heterologous expression of rice calnexin (OsCNX) confers drought tolerance in Nicotiana tabacum. Mol. Biol. Rep. 2013, 40, 5451–5464. [Google Scholar] [CrossRef]
- Gallo, K.A.; Johnson, G.L. Mixed-lineage kinase control of JNK and p38 MAPK pathways. Nat. Rev. Mol. Cell Biol. 2002, 3, 663–672. [Google Scholar] [CrossRef]
- Déléris, P.; Trost, M.; Topisirovic, I.; Tanguay, P.-L.; Borden, K.L.; Thibault, P.; Meloche, S. Activation loop phosphorylation of ERK3/ERK4 by group I p21-activated kinases (PAKs) defines a novel PAK-ERK3/4-MAPK-activated protein kinase 5 signaling pathway. J. Biol. Chem. 2011, 286, 6470–6478. [Google Scholar] [CrossRef] [PubMed]
- Kant, S.; Swat, W.; Zhang, S.; Zhang, Z.-Y.; Neel, B.G.; Flavell, R.A.; Davis, R.J. TNF-stimulated MAP kinase activation mediated by a Rho family GTPase signaling pathway. Genes Dev. 2011, 25, 2069–2078. [Google Scholar] [CrossRef]
- Karandikar, M.; Cobb, M. Scaffolding and protein interactions in MAP kinase modules. Cell Calcium 1999, 26, 219–226. [Google Scholar] [CrossRef]







| ER Area | Between ER and Golgi Area | Endocytic Pathway Area |
|---|---|---|
| Calnexin BiP Sil1 UGGT1 Hrd1 GAPDH | COPII Sec24 COPII Sec24B COPII Sec24C COPII Sec24D COPIα COPIβ ERGIC53 | Rab4 Rab11 Rab5 Rab7 vps26 vps35 calmodulin |
| Advantages | Limitations |
|---|---|
| Wide range of proteins adaptable | Only overview |
| Easy to apply, and cheap | No co-localization |
| Applicable to almost any cell line | At least applicable to marker proteins for one aspect |
| First insight into target proteins’ fate | Detailed knowledge of the pathways |
Disclaimer/Publisher’s Note: The statements, opinions and data contained in all publications are solely those of the individual author(s) and contributor(s) and not of MDPI and/or the editor(s). MDPI and/or the editor(s) disclaim responsibility for any injury to people or property resulting from any ideas, methods, instructions or products referred to in the content. |
© 2024 by the authors. Licensee MDPI, Basel, Switzerland. This article is an open access article distributed under the terms and conditions of the Creative Commons Attribution (CC BY) license (https://creativecommons.org/licenses/by/4.0/).
Share and Cite
Brockmöller, S.; Seeger, T.; Worek, F.; Rothmiller, S. Cell-Sonar, a Novel Method for Intracellular Tracking of Secretory Pathways. Cells 2024, 13, 1449. https://doi.org/10.3390/cells13171449
Brockmöller S, Seeger T, Worek F, Rothmiller S. Cell-Sonar, a Novel Method for Intracellular Tracking of Secretory Pathways. Cells. 2024; 13(17):1449. https://doi.org/10.3390/cells13171449
Chicago/Turabian StyleBrockmöller, Sabrina, Thomas Seeger, Franz Worek, and Simone Rothmiller. 2024. "Cell-Sonar, a Novel Method for Intracellular Tracking of Secretory Pathways" Cells 13, no. 17: 1449. https://doi.org/10.3390/cells13171449
APA StyleBrockmöller, S., Seeger, T., Worek, F., & Rothmiller, S. (2024). Cell-Sonar, a Novel Method for Intracellular Tracking of Secretory Pathways. Cells, 13(17), 1449. https://doi.org/10.3390/cells13171449

