The Activity of Natural Polymorphic Variants of Human DNA Polymerase β Having an Amino Acid Substitution in the Transferase Domain
Abstract
1. Introduction
2. Materials and Methods
2.1. Site-Directed Mutagenesis and Protein Purification
2.2. Oligodeoxyribonucleotides
2.3. Circular Dichroism (CD) Spectroscopy
2.4. Fluorescence Thermal Shift Assay
2.5. Molecular Dynamics (MD) Simulations
2.6. DNA-Binding Analysis
2.7. The Polymerase Reaction Assay
2.8. Registration of DNA Conformational Changes
3. Results and Discussion
3.1. Effect of Substitutions on Protein Structure
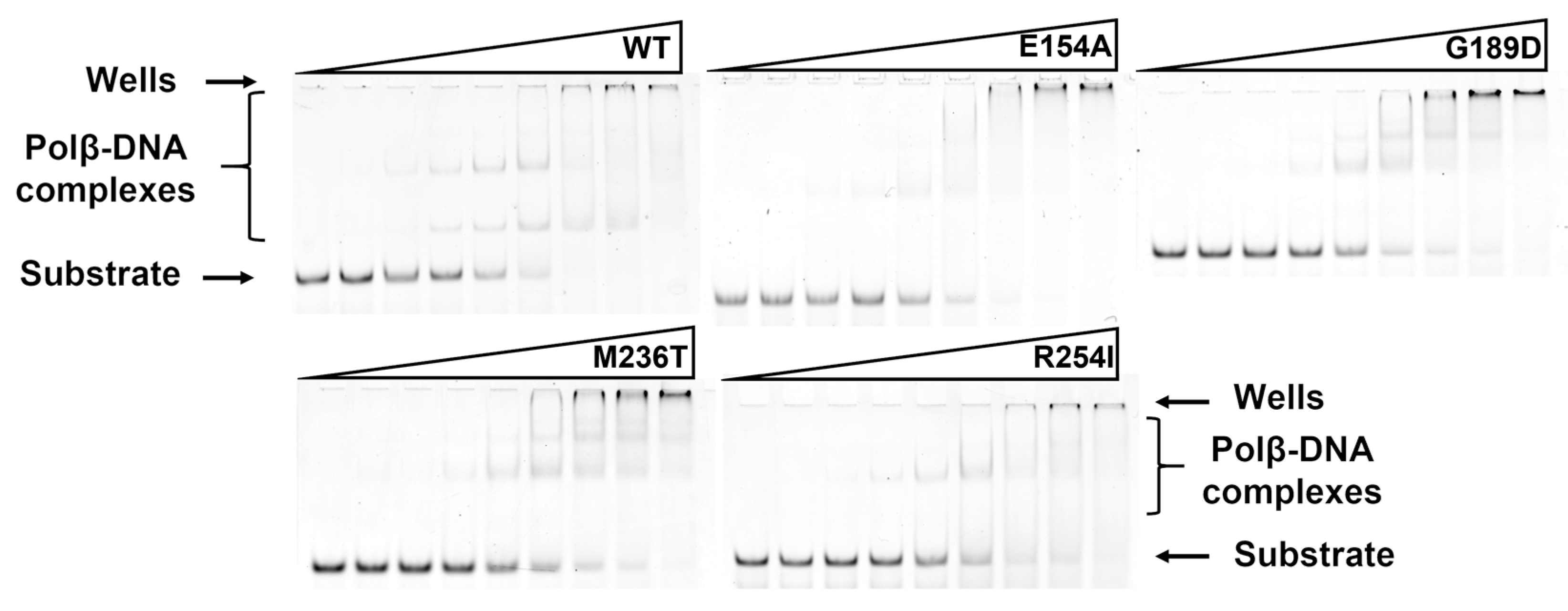
3.2. The DNA-Binding Ability of the Polβ SNP Variants
3.3. DNA Polymerase Activity of Polβ SNP Variants
3.4. dNTP Binding and Incorporation
4. Conclusions
Author Contributions
Funding
Institutional Review Board Statement
Informed Consent Statement
Data Availability Statement
Acknowledgments
Conflicts of Interest
References
- Srinivas, U.S.; Tan, B.W.Q.; Vellayappan, B.A.; Jeyasekharan, A.D. ROS and the DNA Damage Response in Cancer. Redox Biol. 2019, 25, 101084. [Google Scholar] [CrossRef]
- Wallace, S.S. Biological Consequences of Free Radical-Damaged DNA Bases. Free Radic. Biol. Med. 2002, 33, 1–14. [Google Scholar] [CrossRef]
- David, S.S.; O’Shea, V.L.; Kundu, S. Base-Excision Repair of Oxidative DNA Damage. Nature 2007, 447, 941–950. [Google Scholar] [CrossRef]
- Sachs, R.K.; Chen, P.L.; Hahnfeldt, P.J.; Hlatky, L.R. DNA Damage Caused by Ionizing Radiation. Math. Biosci. 1992, 112, 271–303. [Google Scholar] [CrossRef]
- Retèl, J.; Hoebee, B.; Braun, J.E.; Lutgerink, J.T.; van den Akker, E.; Wanamarta, A.H.; Joenje, H.; Lafleur, M. V Mutational Specificity of Oxidative DNA Damage. Mutat. Res. 1993, 299, 165–182. [Google Scholar] [CrossRef]
- Zuo, S.; Boorstein, R.J.; Teebor, G.W. Oxidative Damage to 5-Methylcytosine in DNA. Nucleic Acids Res. 1995, 23, 3239–3243. [Google Scholar] [CrossRef]
- Krokan, H.E.; Bjørås, M. Base Excision Repair. Cold Spring Harb. Perspect. Biol. 2013, 5, a012583. [Google Scholar] [CrossRef]
- Kubota, Y.; Nash, R.A.; Klungland, A.; Schär, P.; Barnes, D.E.; Lindahl, T. Reconstitution of DNA Base Excision-Repair with Purified Human Proteins: Interaction between DNA Polymerase β and the XRCC1 Protein. EMBO J. 1996, 15, 6662–6670. [Google Scholar] [CrossRef]
- Kamileri, I.; Karakasilioti, I.; Garinis, G.A. Nucleotide Excision Repair: New Tricks with Old Bricks. Trends Genet. 2012, 28, 566–573. [Google Scholar] [CrossRef]
- Robertson, A.B.; Klungland, A.; Rognes, T.; Leiros, I. Base Excision Repair: The Long and Short of It. Cell. Mol. Life Sci. 2009, 66, 981–993. [Google Scholar] [CrossRef]
- Sobol, R.W.; Horton, J.K.; Kühn, R.; Gu, H.; Singhal, R.K.; Prasad, R.; Rajewsky, K.; Wilson, S.H. Requirement of Mammalian DNA Polymerase-β in Base-Excision Repair. Nature 1996, 379, 183–186. [Google Scholar] [CrossRef]
- David, S.S.; Williams, S.D. Chemistry of Glycosylases and Endonucleases Involved in Base-Excision Repair. Chem. Rev. 1998, 98, 1221–1262. [Google Scholar] [CrossRef] [PubMed]
- Frosina, G.; Fortini, P.; Rossi, O.; Carrozzino, F.; Raspaglio, G.; Cox, L.S.; Lane, D.P.; Abbondandolo, A.; Dogliotti, E. Two Pathways for Base Excision Repair in Mammalian Cells. J. Biol. Chem. 1996, 271, 9573–9578. [Google Scholar] [CrossRef]
- McCullough, A.K.; Dodson, M.L.; Lloyd, R.S. Initiation of Base Excision Repair: Glycosylase Mechanisms and Structures. Annu. Rev. Biochem. 1999, 68, 255–285. [Google Scholar] [CrossRef]
- Krokan, H.E.; Standal, R.; Slupphaug, G. DNA Glycosylases in the Base Excision Repair of DNA. Biochem. J. 1997, 325, 1–16. [Google Scholar] [CrossRef]
- Prasad, R.; Lavrik, O.I.; Kim, S.-J.; Kedar, P.; Yang, X.-P.; Vande Berg, B.J.; Wilson, S.H. DNA Polymerase β-Mediated Long Patch Base Excision Repair. Available online: https://reader.elsevier.com/reader/sd/pii/S0021925820777550?token=AB86DB76EB9167C69BF33CC20A6473F65E81FDCB8BC20B7DF2D8C1DE8FD345E4A99A08EA7CDDAB5B6FD6F55CB7B5A220&originRegion=eu-west-1&originCreation=20210618070314 (accessed on 18 June 2021).
- Brookes, A.J. The Essence of SNPs. Gene 1999, 234, 177–186. [Google Scholar] [CrossRef] [PubMed]
- Jiao, X.; Huang, J.; Wu, S.; Lv, M.; Hu, Y.; Su, X.; Luo, C.; Broelsch, C.E. HOGG1 Ser326Cys Polymorphism and Susceptibility to Gallbladder Cancer in a Chinese Population. Int. J. Cancer 2007, 121, 501–505. [Google Scholar] [CrossRef]
- Guo, Z.; Zheng, L.; Dai, H.; Zhou, M.; Xu, H.; Shen, B. Human DNA Polymerase β Polymorphism, Arg137Gln, Impairs Its Polymerase Activity and Interaction with PCNA and the Cellular Base Excision Repair Capacity. Nucleic Acids Res. 2009, 37, 3431–3441. [Google Scholar] [CrossRef] [PubMed]
- Alekseeva, I.V.; Davletgildeeva, A.T.; Arkova, O.V.; Kuznetsov, N.A.; Fedorova, O.S. The Impact of Single-Nucleotide Polymorphisms of Human Apurinic/Apyrimidinic Endonuclease 1 on Specific DNA Binding and Catalysis. Biochimie 2019, 163, 73–83. [Google Scholar] [CrossRef]
- Yamtich, J.; Nemec, A.A.; Keh, A.; Sweasy, J.B. A Germline Polymorphism of DNA Polymerase Beta Induces Genomic Instability and Cellular Transformation. PLoS Genet. 2012, 8, e1003052. [Google Scholar] [CrossRef]
- Kosa, J.L.; Sweasy, J.B. The E249K Mutator Mutant of DNA Polymerase Beta Extends Mispaired Termini. J. Biol. Chem. 1999, 274, 35866–35872. [Google Scholar] [CrossRef] [PubMed]
- Kirby, T.W.; Derose, E.F.; Beard, W.A.; Shock, D.D.; Wilson, S.H.; London, R.E. Substrate Rescue of DNA Polymerase β Containing a Catastrophic L22P Mutation. Biochemistry 2014, 53, 2413–2422. [Google Scholar] [CrossRef] [PubMed]
- Pan, F.; Zhao, J.; Zhou, T.; Kuang, Z.; Dai, H.; Wu, H.; Sun, H.; Zhou, X.; Wu, X.; Hu, Z.; et al. Mutation of DNA Polymerase β R137Q Results in Retarded Embryo Development Due to Impaired DNA Base Excision Repair in Mice. Sci. Rep. 2016, 6, 28614. [Google Scholar] [CrossRef] [PubMed]
- Zhou, T.; Pan, F.; Cao, Y.; Han, Y.; Zhao, J.; Sun, H.; Zhou, X.; Wu, X.; He, L.; Hu, Z.; et al. R152C DNA Pol β Mutation Impairs Base Excision Repair and Induces Cellular Transformation. Oncotarget 2016, 7, 6902–6915. [Google Scholar] [CrossRef]
- Kladova, O.A.; Tyugashev, T.E.; Mikushina, E.S.; Soloviev, N.O.; Kuznetsov, N.A.; Novopashina, D.S.; Kuznetsova, A.A. Human Polβ Natural Polymorphic Variants G118V and R149I Affects Substate Binding and Catalysis. Int. J. Mol. Sci. 2023, 24, 5892. [Google Scholar] [CrossRef]
- Starcevic, D.; Dalal, S.; Sweasy, J.B. Is There a Link Between DNA Polymerase Beta and Cancer? Cell Cycle 2004, 3, 998–1001. [Google Scholar] [CrossRef]
- Kladova, O.A.; Fedorova, O.S.; Kuznetsov, N.A. The Role of Natural Polymorphic Variants of DNA Polymerase β in DNA Repair. Int. J. Mol. Sci. 2022, 23, 2390. [Google Scholar] [CrossRef]
- Beard, W.A.; Wilson, S.H. Structure and Mechanism of DNA Polymerase β. Biochemistry 2014, 53, 2768–2780. [Google Scholar] [CrossRef]
- Date, T.; Yamamoto, S.; Tanihara, K.; Nishimoto, Y.; Matsukage, A. Aspartic Acid Residues at Positions 190 and 192 of Rat DNA Polymerase Beta Are Involved in Primer Binding. Biochemistry 1991, 30, 5286–5292. [Google Scholar] [CrossRef]
- Menge, K.L.; Hostomsky, Z.; Nodes, B.R.; Hudson, G.O.; Rahmati, S.; Moomaw, E.W.; Almassy, R.J.; Hostomska, Z. Structure-Function Analysis of the Mammalian DNA Polymerase Beta Active Site: Role of Aspartic Acid 256, Arginine 254, and Arginine 258 in Nucleotidyl Transfer. Biochemistry 1995, 34, 15934–15942. [Google Scholar] [CrossRef]
- Abriata, L.A. A Simple Spreadsheet Program to Simulate and Analyze the Far-UV Circular Dichroism Spectra of Proteins. J. Chem. Educ. 2011, 88, 1268–1273. [Google Scholar] [CrossRef]
- Sawaya, M.R.; Prasad, R.; Wilson, S.H.; Kraut, J.; Pelletier, H. Crystal Structures of Human DNA Polymerase Beta Complexed with Gapped and Nicked DNA: Evidence for an Induced Fit Mechanism. Biochemistry 1997, 36, 11205–11215. [Google Scholar] [CrossRef]
- Batra, V.K.; Beard, W.A.; Shock, D.D.; Krahn, J.M.; Pedersen, L.C.; Wilson, S.H. Magnesium-Induced Assembly of a Complete DNA Polymerase Catalytic Complex. Structure 2006, 14, 757–766. [Google Scholar] [CrossRef] [PubMed]
- Freudenthal, B.D.; Beard, W.A.; Shock, D.D.; Wilson, S.H. Observing a DNA Polymerase Choose Right from Wrong. Cell 2013, 154, 157. [Google Scholar] [CrossRef] [PubMed]
- Yang, Z.; Lasker, K.; Schneidman-Duhovny, D.; Webb, B.; Huang, C.C.; Pettersen, E.F.; Goddard, T.D.; Meng, E.C.; Sali, A.; Ferrin, T.E. UCSF Chimera, MODELLER, and IMP: An Integrated Modeling System. J. Struct. Biol. 2012, 179, 269–278. [Google Scholar] [CrossRef]
- Šali, A.; Blundell, T.L. Comparative Protein Modelling by Satisfaction of Spatial Restraints. J. Mol. Biol. 1993, 234, 779–815. [Google Scholar] [CrossRef]
- Gridley, C.L.; Rangarajan, S.; Firbank, S.; Dalal, S.; Sweasy, J.B.; Jaeger, J. Structural Changes in the Hydrophobic Hinge Region Adversely Affect the Activity and Fidelity of the I260Q Mutator DNA Polymerase β. Biochemistry 2013, 52, 4422–4432. [Google Scholar] [CrossRef]
- Abraham, M.J.; Murtola, T.; Schulz, R.; Páll, S.; Smith, J.C.; Hess, B.; Lindah, E. GROMACS: High Performance Molecular Simulations through Multi-Level Parallelism from Laptops to Supercomputers. SoftwareX 2015, 1–2, 19–25. [Google Scholar] [CrossRef]
- Maier, J.A.; Martinez, C.; Kasavajhala, K.; Wickstrom, L.; Hauser, K.E.; Simmerling, C. Ff14SB: Improving the Accuracy of Protein Side Chain and Backbone Parameters from Ff99SB. J. Chem. Theory Comput. 2015, 11, 3696–3713. [Google Scholar] [CrossRef]
- Zgarbová, M.; Šponer, J.; Otyepka, M.; Cheatham, T.E.; Galindo-Murillo, R.; Jurečka, P. Refinement of the Sugar-Phosphate Backbone Torsion Beta for AMBER Force Fields Improves the Description of Z- and B-DNA. J. Chem. Theory Comput. 2015, 11, 5723–5736. [Google Scholar] [CrossRef]
- Bayly, C.I.; Merz, K.M.; Ferguson, D.M.; Cornell, W.D.; Fox, T.; Caldwell, J.W.; Kollman, P.A.; Cieplak, P.; Gould, I.R.; Spellmeyer, D.C. A Second Generation Force Field for the Simulation of Proteins, Nucleic Acids, and Organic Molecules. J. Am. Chem. Soc. 1995, 117, 5179–5197. [Google Scholar] [CrossRef]
- Zgarbová, M.; Otyepka, M.; Šponer, J.; Mládek, A.; Banáš, P.; Cheatham, T.E.; Jurečka, P. Refinement of the Cornell et al. Nucleic Acids Force Field Based on Reference Quantum Chemical Calculations of Glycosidic Torsion Profiles. J. Chem. Theory Comput. 2011, 7, 2886–2902. [Google Scholar] [CrossRef] [PubMed]
- Meagher, K.L.; Redman, L.T.; Carlson, H.A. Development of Polyphosphate Parameters for Use with the AMBER Force Field. J. Comput. Chem. 2003, 24, 1016–1025. [Google Scholar] [CrossRef] [PubMed]
- Vanquelef, E.; Simon, S.; Marquant, G.; Garcia, E.; Klimerak, G.; Delepine, J.C.; Cieplak, P.; Dupradeau, F.Y. RED Server: A Web Service for Deriving RESP and ESP Charges and Building Force Field Libraries for New Molecules and Molecular Fragments. Nucleic Acids Res. 2011, 39, W511–W517. [Google Scholar] [CrossRef]
- Jiang, Y.; Zhang, H.; Tan, T. Rational Design of Methodology-Independent Metal Parameters Using a Nonbonded Dummy Model. J. Chem. Theory Comput. 2016, 12, 3250–3260. [Google Scholar] [CrossRef]
- Essmann, U.; Perera, L.; Berkowitz, M.L.; Darden, T.; Lee, H.; Pedersen, L.G. A Smooth Particle Mesh Ewald Method. J. Chem. Phys. 1998, 103, 8577. [Google Scholar] [CrossRef]
- Wennberg, C.L.; Murtola, T.; Hess, B.; Lindahl, E. Lennard-Jones Lattice Summation in Bilayer Simulations Has Critical Effects on Surface Tension and Lipid Properties. J. Chem. Theory Comput. 2013, 9, 3527–3537. [Google Scholar] [CrossRef]
- Parrinello, M.; Rahman, A. Polymorphic Transitions in Single Crystals: A New Molecular Dynamics Method. J. Appl. Phys. 1998, 52, 7182. [Google Scholar] [CrossRef]
- Bussi, G.; Donadio, D.; Parrinello, M. Canonical Sampling through Velocity Rescaling. J. Chem. Phys. 2007, 126, 014101. [Google Scholar] [CrossRef]
- Jorgensen, W.L.; Chandrasekhar, J.; Madura, J.D.; Impey, R.W.; Klein, M.L. Comparison of Simple Potential Functions for Simulating Liquid Water. J. Chem. Phys. 1998, 79, 926. [Google Scholar] [CrossRef]
- Joung, I.S.; Cheatham, T.E. Determination of Alkali and Halide Monovalent Ion Parameters for Use in Explicitly Solvated Biomolecular Simulations. J. Phys. Chem. B 2008, 112, 9020–9041. [Google Scholar] [CrossRef]
- Micsonai, A.; Wien, F.; Kernya, L.; Lee, Y.H.; Goto, Y.; Réfrégiers, M.; Kardos, J. Accurate Secondary Structure Prediction and Fold Recognition for Circular Dichroism Spectroscopy. Proc. Natl. Acad. Sci. USA 2015, 112, E3095–E3103. [Google Scholar] [CrossRef]
- Micsonai, A.; Wien, F.; Bulyáki, É.; Kun, J.; Moussong, É.; Lee, Y.H.; Goto, Y.; Réfrégiers, M.; Kardos, J. BeStSel: A Web Server for Accurate Protein Secondary Structure Prediction and Fold Recognition from the Circular Dichroism Spectra. Nucleic Acids Res. 2018, 46, W315–W322. [Google Scholar] [CrossRef] [PubMed]
- Micsonai, A.; Bulyáki, É.; Kardos, J. BeStSel: From Secondary Structure Analysis to Protein Fold Prediction by Circular Dichroism Spectroscopy. Methods Mol. Biol. 2021, 2199, 175–189. [Google Scholar] [CrossRef]
- Micsonai, A.; Moussong, É.; Wien, F.; Boros, E.; Vadászi, H.; Murvai, N.; Lee, Y.H.; Molnár, T.; Réfrégiers, M.; Goto, Y.; et al. BeStSel: Webserver for Secondary Structure and Fold Prediction for Protein CD Spectroscopy. Nucleic Acids Res. 2022, 50, W90–W98. [Google Scholar] [CrossRef] [PubMed]
- Sawaya, M.R.; Pelletier, H.; Kumar, A.; Wilson, S.H.; Kraut, J. Crystal Structure of Rat DNA Polymerase β: Evidence for a Common Polymerase Mechanism. Science 1994, 264, 1930–1935. [Google Scholar] [CrossRef]
- Tang, K.H.; Niebuhr, M.; Aulabaugh, A.; Tsai, M.D. Solution Structures of 2:1 and 1:1 DNA Polymerase—DNA Complexes Probed by Ultracentrifugation and Small-Angle X-Ray Scattering. Nucleic Acids Res. 2008, 36, 849–860. [Google Scholar] [CrossRef] [PubMed]
- Kim, S.J.; Lewis, M.S.; Knutson, J.R.; Porter, D.K.; Kumar, A.; Wilson, S.H. Characterization of the Tryptophan Fluorescence and Hydrodynamic Properties of Rat DNA Polymerase β. J. Mol. Biol. 1994, 244, 224–235. [Google Scholar] [CrossRef]
- Dunlap, C.A.; Tsai, M.D. Use of 2-Aminopurine and Tryptophan Fluorescence as Probes in Kinetic Analyses of DNA Polymerase β. Biochemistry 2002, 41, 11226–11235. [Google Scholar] [CrossRef]
- Eckenroth, B.E.; Towle-Weicksel, J.B.; Nemec, A.A.; Murphy, D.L.; Sweasy, J.B.; Doublié, S. Remote Mutations Induce Functional Changes in Active Site Residues of Human DNA Polymerase β. Biochemistry 2017, 56, 2363–2371. [Google Scholar] [CrossRef]












| Polβ Variant | Primer Sequences |
|---|---|
| E154A | Forward 5′-GGACTTTGAAAAAAGAATTCCTCGTGAAGCGATGTTACAAATGC-3′ Reverse 5′-GCATTTGTAACATCGCTTCACGAGGAATTCTTTTTTCAAAGTCC-3′ |
| G189D | Forward 5′-GAGGTGCAGAGTCCAGTGATGACATGGATGTTCTCC-3′ Reverse 5′-GGAGAACATCCATGTCATCACTGGACTCTGCACCTC-3′ |
| M236T | Forward 5′-GGGTGAGACAAAGTTCACGGGTGTTTGCCAGC-3′ Reverse 5′-GCTGGCAAACACCCGTGAACTTTGTCTCACCC-3′ |
| R254I | Forward 5′-GAATATCCACACAGAATAATTGATATCAGGTTGATACCCAAAGATC-3′ Reverse 5′-GATCTTTGGGTATCAACCTGATATCAATTATTCTGTGTGGATATTC-3′ |
| Name | Sequence |
|---|---|
| Pol16 | 5′-TAGTCACCTCAATCCA-3′ |
| Pol19 | 5′-GCCTCGCAGCGGTCCAACC-3′ |
| Pol19_FAM | FAM 5′-GCCTCGCAGCGGTCCAACC-3′ |
| Pol36_N_aPu | 5′-TGGATTGAGGTGACTA(2-aPu)NGGTTGGACGGCTGCGAGGC-3′ |
| Pol36_N: | 5′-TGGATTGAGGTGACTANGGTTGGACGGCTGCGAGGC-3′ |
| WT | E154A | G189D | M236T | R254I | |
|---|---|---|---|---|---|
| α-helixes, % | 79 ± 16 * | 41 ± 8 | 68 ± 14 | 32 ± 6 | 59 ± 12 |
| Tm, °C | 44.9 ± 0.2 | 42.4 ± 0.1 | 45.2 ± 0.1 | 44.2 ± 0.8 | 44.1 ± 0.6 |
| Substrate | WT * | E154A | G189D | M236T | R254I |
|---|---|---|---|---|---|
| Gap_A | 0.38 ± 0.02 | 0.86 ± 0.04 | 0.97 ± 0.03 | 3.0 ± 0.1 | 2.0 ± 0.2 |
| Gap_T | 0.33 ± 0.03 | 1.1 ± 0.1 | 0.55 ± 0.05 | 2.6 ± 0.1 | 1.26 ± 0.04 |
| Gap_G | 0.59 ± 0.07 | 1.32 ± 0.04 | 1.26 ± 0.03 | 2.4 ± 0.1 | 1.8 ± 0.2 |
| Gap_C | 0.38 ± 0.03 | 1.2 ± 0.1 | 0.53 ± 0.04 | 3.5 ± 0.3 | 1.5 ± 0.2 |
| kobs, s−1 | WT * | E154A | G189D | M236T | R254I |
|---|---|---|---|---|---|
| Gap_A | 0.33 ± 0.03 | 0.021 ± 0.001 | 0.0029 ± 0.0001 | 0.032 ± 0.003 | 0.020 ± 0.001 |
| Gap_T | 0.32 ± 0.04 | 0.015 ± 0.001 | 0.0018 ± 0.0001 | 0.022 ± 0.001 | 0.016 ± 0.001 |
| Gap_G | 0.25 ± 0.02 | 0.018 ± 0.001 | 0.0028 ± 0.0002 | 0.022 ± 0.01 | 0.028 ± 0.002 |
| Gap_C | 0.34 ± 0.02 | 0.023 ± 0.001 | 0.0041 ± 0.0001 | 0.023 ± 0.001 | 0.016 ± 0.002 |
| WT * | E154A | G189D | M236T | R254I | |
|---|---|---|---|---|---|
| kpol, s−1 | 0.93 ± 0.05 | 1.2 ± 0.2 | 0.22 ± 0.03 | 0.89 ± 0.04 | 0.9 ± 0.2 |
| Kd,app(dATP), μM | 16 ± 3 | 130 ± 40 | 230± 70 | 43 ± 6 | 120 ± 60 |
Disclaimer/Publisher’s Note: The statements, opinions and data contained in all publications are solely those of the individual author(s) and contributor(s) and not of MDPI and/or the editor(s). MDPI and/or the editor(s) disclaim responsibility for any injury to people or property resulting from any ideas, methods, instructions or products referred to in the content. |
© 2023 by the authors. Licensee MDPI, Basel, Switzerland. This article is an open access article distributed under the terms and conditions of the Creative Commons Attribution (CC BY) license (https://creativecommons.org/licenses/by/4.0/).
Share and Cite
Kladova, O.A.; Tyugashev, T.E.; Mikushina, E.S.; Kuznetsov, N.A.; Novopashina, D.S.; Kuznetsova, A.A. The Activity of Natural Polymorphic Variants of Human DNA Polymerase β Having an Amino Acid Substitution in the Transferase Domain. Cells 2023, 12, 1300. https://doi.org/10.3390/cells12091300
Kladova OA, Tyugashev TE, Mikushina ES, Kuznetsov NA, Novopashina DS, Kuznetsova AA. The Activity of Natural Polymorphic Variants of Human DNA Polymerase β Having an Amino Acid Substitution in the Transferase Domain. Cells. 2023; 12(9):1300. https://doi.org/10.3390/cells12091300
Chicago/Turabian StyleKladova, Olga A., Timofey E. Tyugashev, Elena S. Mikushina, Nikita A. Kuznetsov, Daria S. Novopashina, and Aleksandra A. Kuznetsova. 2023. "The Activity of Natural Polymorphic Variants of Human DNA Polymerase β Having an Amino Acid Substitution in the Transferase Domain" Cells 12, no. 9: 1300. https://doi.org/10.3390/cells12091300
APA StyleKladova, O. A., Tyugashev, T. E., Mikushina, E. S., Kuznetsov, N. A., Novopashina, D. S., & Kuznetsova, A. A. (2023). The Activity of Natural Polymorphic Variants of Human DNA Polymerase β Having an Amino Acid Substitution in the Transferase Domain. Cells, 12(9), 1300. https://doi.org/10.3390/cells12091300

