Influence of Extracellular Matrix Components on the Differentiation of Periodontal Ligament Stem Cells in Collagen I Hydrogel
Abstract
:1. Introduction
2. Materials and Methods
2.1. Preparation of PDL Fragments/Strips and Tooth Crumbs/Particles
2.2. Isolation of PDLSCs
2.3. Decellularization of PDL Strips and Tooth Particles
2.4. Preparation of Collagen I Hydrogel and Bioengineered Constructs
2.5. Histological Analysis
2.6. Immunohistochemical Study
2.7. Quantitative and Semi-Quantitative Scoring of the Immunohistochemistry Study
2.7.1. Evaluation of the Expression of Various Markers in PDLSCs
2.7.2. Semi-Quantitative Scoring of the Immunohistochemistry Study
2.8. Statistical Analysis
3. Results
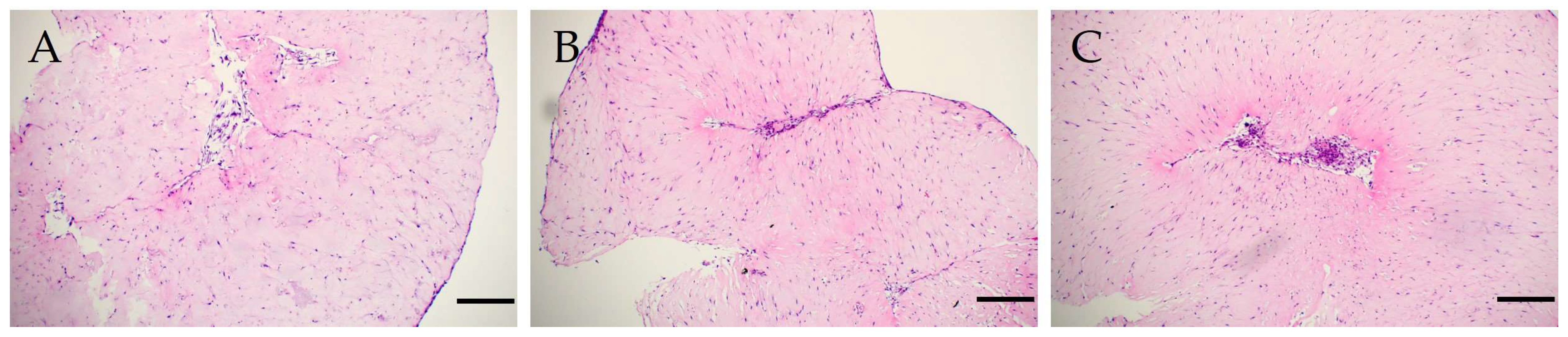
3.1. Morphological Characteristics
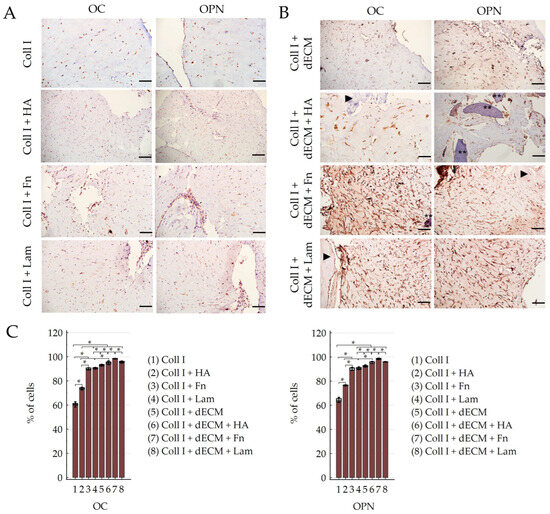
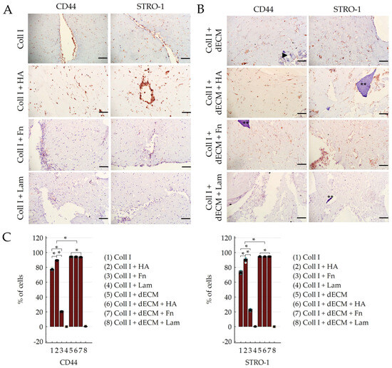
3.2. Immunohistochemical (Phenotypic) Characterization
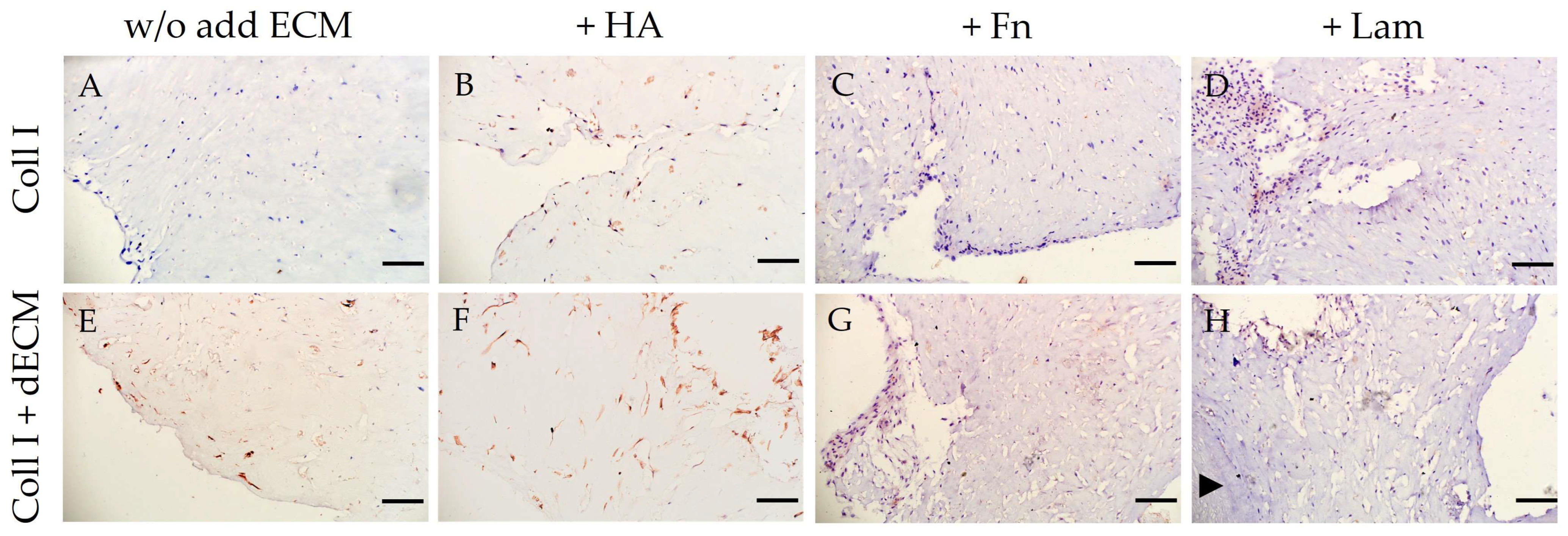
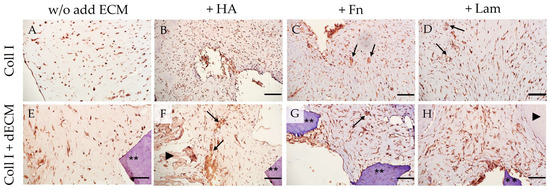
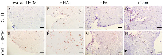
3.2.1. Differentiation Potential of PDLSCs Cultured without dECM in Collagen I Hydrogel (Control)
3.2.2. Differentiation Potential of PDLSCs Cultured with dECM in Collagen I Hydrogel
4. Discussion
5. Conclusions
Supplementary Materials
Author Contributions
Funding
Institutional Review Board Statement
Informed Consent Statement
Data Availability Statement
Acknowledgments
Conflicts of Interest
References
- Galli, M.; Yao, Y.; Giannobile, W.V.; Wang, H.-L. Current and Future Trends in Periodontal Tissue Engineering and Bone Regeneration. Plast. Aesthetic Res. 2021, 2021, 3. [Google Scholar] [CrossRef] [PubMed]
- Zeng, W.Y.; Ning, Y.; Huang, X. Advanced Technologies in Periodontal Tissue Regeneration Based on Stem Cells: Current Status and Future Perspectives. J. Dent. Sci. 2021, 16, 501–507. [Google Scholar] [CrossRef] [PubMed]
- Heitz-Mayfield, L.J.A.; Lang, N.P. Surgical and Nonsurgical Periodontal Therapy. Learned and Unlearned Concepts. Periodontol. 2000 2013, 62, 218–231. [Google Scholar] [CrossRef] [PubMed]
- Salehuddin, N.Q.; Sabri, B.A.M.; Ariffin, F. Patients’ View on Non-Surgical and Surgical Periodontal Therapy in Relation to Oral Health: A Narrative Review. Dent. Rev. 2022, 2, 100058. [Google Scholar] [CrossRef]
- Wu, R.X.; Xu, X.Y.; Wang, J.; He, X.T.; Sun, H.H.; Chen, F.M. Biomaterials for Endogenous Regenerative Medicine: Coaxing Stem Cell Homing and Beyond. Appl. Mater. Today 2018, 11, 144–165. [Google Scholar] [CrossRef]
- Wang, F.; Cai, X.; Shen, Y.; Meng, L. Cell–Scaffold Interactions in Tissue Engineering for Oral and Craniofacial Reconstruction. Bioact. Mater. 2023, 23, 16–44. [Google Scholar] [CrossRef]
- Xing, Q.; Yates, K.; Tahtinen, M.; Shearier, E.; Qian, Z.; Zhao, F. Decellularization of Fibroblast Cell Sheets for Natural Extracellular Matrix Scaffold Preparation. Tissue Eng. Part C Methods 2015, 21, 77–87. [Google Scholar] [CrossRef]
- Lumelsky, N. Creating a Pro-Regenerative Tissue Microenvironment: Local Control Is the Key. Front. Bioeng. Biotechnol. 2021, 9, 712685. [Google Scholar] [CrossRef]
- Wang, X.; Chen, J.; Tian, W. Strategies of Cell and Cell-Free Therapies for Periodontal Regeneration: The State of the Art. Stem Cell Res. Ther. 2022, 13, 536. [Google Scholar] [CrossRef]
- Hussey, G.S.; Dziki, J.L.; Badylak, S.F. Extracellular Matrix-Based Materials for Regenerative Medicine. Nat. Rev. Mater. 2018, 3, 159–173. [Google Scholar] [CrossRef]
- Muncie, J.M.; Weaver, V.M. The Physical and Biochemical Properties of the Extracellular Matrix Regulate Cell Fate. Curr. Top. Dev. Biol. 2018, 130, 1–37. [Google Scholar] [CrossRef] [PubMed]
- Lee, M.; Vasioukhin, V. Cell Polarity and Cancer—Cell and Tissue Polarity as a Non-Canonical Tumor Suppressor. J. Cell Sci. 2008, 121, 1141–1150. [Google Scholar] [CrossRef] [PubMed]
- Xu, X.Y.; Li, X.; Wang, J.; He, X.T.; Sun, H.H.; Chen, F.M. Concise Review: Periodontal Tissue Regeneration Using Stem Cells: Strategies and Translational Considerations. Stem Cells Transl. Med. 2019, 8, 392–403. [Google Scholar] [CrossRef] [PubMed]
- Sevari, S.P.; Ansari, S.; Moshaverinia, A. A Narrative Overview of Utilizing Biomaterials to Recapitulate the Salient Regenerative Features of Dental-Derived Mesenchymal Stem Cells. Int. J. Oral. Sci. 2021, 13, 22. [Google Scholar] [CrossRef] [PubMed]
- Gilbert, T.W.; Sellaro, T.L.; Badylak, S.F. Decellularization of Tissues and Organs. Biomaterials 2006, 27, 3675–3683. [Google Scholar] [CrossRef]
- Yao, Q.; Zheng, Y.W.; Lan, Q.H.; Kou, L.; Xu, H.L.; Zhao, Y.Z. Recent Development and Biomedical Applications of Decellularized Extracellular Matrix Biomaterials. Mater. Sci. Eng. C 2019, 104, 109942. [Google Scholar] [CrossRef]
- Schmidt-Schultz, T.H.; Schultz, M. Intact Growth Factors Are Conserved in the Extracellular Matrix of Ancient Human Bone and Teeth: A Storehouse for the Study of Human Evolution in Health and Disease. Biol. Chem. 2005, 386, 767–776. [Google Scholar] [CrossRef]
- Papadimitropoulos, A.; Scotti, C.; Bourgine, P.; Scherberich, A.; Martin, I. Engineered Decellularized Matrices to Instruct Bone Regeneration Processes. Bone 2015, 70, 66–72. [Google Scholar] [CrossRef]
- Wang, S.; Niu, Y.; Jia, P.; Liao, Z.; Guo, W.; Chaves, R.C.; Tran-Ba, K.-H.; He, L.; Bai, H.; Sia, S.; et al. Alkaline Activation of Endogenous Latent TGFβ1 by an Injectable Hydrogel Directs Cell Homing for In Situ Complex Tissue Regeneration. Bioact. Mater. 2022, 15, 316–329. [Google Scholar] [CrossRef]
- Turnbull, G.; Clarke, J.; Picard, F.; Riches, P.; Jia, L.; Han, F.; Li, B.; Shu, W. 3D Bioactive Composite Scaffolds for Bone Tissue Engineering. Bioact. Mater. 2017, 3, 278–314. [Google Scholar] [CrossRef]
- Jeon, J.; Lee, M.S.; Yang, H.S. Differentiated Osteoblasts Derived Decellularized Extracellular Matrix to Promote Osteogenic Differentiation. Biomater. Res. 2018, 22, 4. [Google Scholar] [CrossRef] [PubMed]
- García-Gareta, E.; Abduldaiem, Y.; Sawadkar, P.; Kyriakidis, C.; Lali, F.; Greco, K.V. Decellularised Scaffolds: Just a Framework? Current Knowledge and Future Directions. J. Tissue Eng. 2020, 11, 2041731420942903. [Google Scholar] [CrossRef] [PubMed]
- Gilpin, A.; Yang, Y. Decellularization Strategies for Regenerative Medicine: From Processing Techniques to Applications. Biomed. Res. Int. 2017, 2017, 9831534. [Google Scholar] [CrossRef] [PubMed]
- Pampaloni, F.; Reynaud, E.G.; Stelzer, E.H.K. The Third Dimension Bridges the Gap Between Cell Culture and Live Tissue. Nat. Rev. Mol. Cell Biol. 2007, 8, 839–845. [Google Scholar] [CrossRef] [PubMed]
- Nicolas, J.; Magli, S.; Rabbachin, L.; Sampaolesi, S.; Nicotra, F.; Russo, L. 3D Extracellular Matrix Mimics: Fundamental Concepts and Role of Materials Chemistry to Influence Stem Cell Fate. Biomacromolecules 2020, 21, 1968–1994. [Google Scholar] [CrossRef]
- Antoni, D.; Burckel, H.; Josset, E.; Noel, G. Three-Dimensional Cell Culture: A Breakthrough In Vivo. Int. J. Mol. Sci. 2015, 16, 5517–5527. [Google Scholar] [CrossRef]
- Deluzio, T.G.; Seifu, D.G.; Mequanint, K. 3D Scaffolds in Tissue Engineering and Regenerative Medicine: Beyond Structural Templates? Pharm. Bioprocess. 2013, 1, 267–281. [Google Scholar] [CrossRef]
- Huh, D.; Hamilton, G.A.; Ingber, D.E. From 3D Cell Culture to Organs-On-Chips. Trends Cell Biol. 2011, 21, 745–754. [Google Scholar] [CrossRef]
- Ivanov, A.A.; Danilova, T.I.; Kuznetsova, A.V.; Popova, O.P.; Yanushevich, O.O. Decellularized Matrix Induced Spontaneous Odontogenic and Osteogenic Differentiation in Periodontal Cells. Biomolecules 2023, 13, 122. [Google Scholar] [CrossRef]
- Theocharis, A.D.; Skandalis, S.S.; Gialeli, C.; Karamanos, N.K. Extracellular Matrix Structure. Adv. Drug Deliv. Rev. 2016, 97, 4–27. [Google Scholar] [CrossRef]
- Al-Khateeb, R.; Olszewska-Czyz, I. Biological Molecules in Dental Applications: Hyaluronic Acid as a Companion Biomaterial for Diverse Dental Applications. Heliyon 2020, 6, e03722. [Google Scholar] [CrossRef]
- Lee, H.; Bae, A.; Kim, J.; Kingsley, K. Differential Effects of Extracellular Matrix Glycoproteins Fibronectin and Laminin-5 on Dental Pulp Stem Cell Phenotypes and Responsiveness. J. Funct. Biomater. 2023, 14, 91. [Google Scholar] [CrossRef]
- Shirbhate, U.; Bajaj, P.; Pandher, J.; Durge, K. Fibronectin and Its Applications in Dentistry and Periodontics: A Cell Behaviour Conditioner. Cureus 2022, 14, e30702. [Google Scholar] [CrossRef]
- Vinod, E.; Parameswaran, R.; Manickam Amirtham, S.; Livingston, A.; Ramasamy, B.; Kachroo, U. Comparison of the Efficiency of Laminin Versus Fibronectin as a Differential Adhesion Assay for Isolation of Human Articular Cartilage Derived Chondroprogenitors. Connect. Tissue Res. 2021, 62, 427–435. [Google Scholar] [CrossRef] [PubMed]
- Ivanov, A.A.; Latyshev, A.V.; Butorina, N.N.; Domoratskaya, E.I.; Danilova, T.I.; Popova, O.P. Osteogenic Potential of Decellularized Tooth Matrix. Bull. Exp. Biol. Med. 2020, 169, 512–515. [Google Scholar] [CrossRef] [PubMed]
- Chen, G.; Lv, Y. Decellularized Bone Matrix Scaffold for Bone Regeneration. Methods Mol. Biol. 2018, 1577, 239–254. [Google Scholar] [CrossRef]
- Heath, D.E. A Review of Decellularized Extracellular Matrix Biomaterials for Regenerative Engineering Applications. Regen. Eng. Transl. Med. 2019, 5, 155–166. [Google Scholar] [CrossRef]
- Laudani, S.; La Cognata, V.; Iemmolo, R.; Bonaventura, G.; Villaggio, G.; Saccone, S.; Barcellona, M.L.; Cavallaro, S.; Sinatra, F. Effect of a Bone Marrow-Derived Extracellular Matrix on Cell Adhesion and Neural Induction of Dental Pulp Stem Cells. Front. Cell Dev. Biol. 2020, 8, 100. [Google Scholar] [CrossRef] [PubMed]
- Viale-Bouroncle, S.; Gosau, M.; Morsczeck, C. Collagen I Induces the Expression of Alkaline Phosphatase and Osteopontin Via Independent Activations of FAK and ERK Signalling Pathways. Arch. Oral. Biol. 2014, 59, 1249–1255. [Google Scholar] [CrossRef]
- Nie, X.; Sun, X.; Wang, C.; Yang, J. Effect of Magnesium Ions/Type I Collagen Promote the Biological Behavior of Osteoblasts and Its Mechanism. Regen. Biomater. 2019, 7, 53–61. [Google Scholar] [CrossRef]
- Sarraf, C.E.; Otto, W.R.; Eastwood, M. In Vitro Mesenchymal Stem Cell Differentiation After Mechanical Stimulation. Cell Prolif. 2011, 44, 99–108. [Google Scholar] [CrossRef] [PubMed]
- Sun, Y.; Wan, B.; Wang, R.; Zhang, B.; Luo, P.; Wang, D.; Nie, J.-J.; Chen, D.; Wu, X. Mechanical Stimulation on Mesenchymal Stem Cells and Surrounding Microenvironments in Bone Regeneration: Regulations and Applications. Front. Cell Dev. Biol. 2022, 10, 808303. [Google Scholar] [CrossRef] [PubMed]
- Miyashita, S.; Ahmed, N.E.M.B.; Murakami, M.; Iohara, K.; Yamamoto, T.; Horibe, H.; Kurita, K.; Takano-Yamamoto, T.; Nakashima, M. Mechanical Forces Induce Odontoblastic Differentiation of Mesenchymal Stem Cells on Three-Dimensional Biomimetic Scaffolds. J. Tissue Eng. Regen. Med. 2017, 11, 434–446. [Google Scholar] [CrossRef]
- Aguilar-Ayala, F.J.; Aguilar-Pérez, F.J.; Nic-Can, G.I.; Rojas-Herrera, R.; Chuc-Gamboa, G.; Aguilar-Pérez, D.; Rodas-Junco, B.A. A Molecular View on Biomaterials and Dental Stem Cells Interactions: Literature Review. Appl. Sci. 2022, 12, 5815. [Google Scholar] [CrossRef]
- Koh, B.; Sulaiman, N.; Ismadi, S.N.S.W.; Ramli, R.; Yunus, S.S.M.; Idrus, R.B.H.; Ariffin, S.H.Z.; Wahab, R.M.A.; Yazid, M.D. Mesenchymal Stem Cells: A Comprehensive Methods for Odontoblastic Induction. Biol. Proced. Online 2021, 23, 18. [Google Scholar] [CrossRef]
- Saravanakumar, K.; Park, S.; Santosh, S.S.; Ganeshalingam, A.; Thiripuranathar, G.; Sathiyaseelan, A.; Vijayasarathy, S.; Swaminathan, A.; Priya, V.V.; Wang, M.-H. Application of Hyaluronic Acid in Tissue Engineering, Regenerative Medicine, And Nanomedicine: A Review. Int. J. Biol. Macromol. 2022, 222, 2744–2760. [Google Scholar] [CrossRef] [PubMed]
- Solis, M.A.; Chen, Y.-H.; Wong, T.Y.; Bittencourt, V.Z.; Lin, Y.-C.; Huang, L.L.H. Hyaluronan Regulates Cell Behavior: A Potential Niche Matrix for Stem Cells. Biochem. Res. Int. 2012, 2012, 346972. [Google Scholar] [CrossRef]
- Huang, H.; Feng, J.; Wismeijer, D.; Wu, G.; Hunziker, E. Hyaluronic Acid Promotes the Osteogenesis of BMP-2 in an Absorbable Collagen Sponge. Polymers 2017, 9, 339. [Google Scholar] [CrossRef]
- Zhang, L.-T.; Liu, R.-M.; Luo, Y.; Zhao, Y.-J.; Chen, D.-X.; Yu, C.-Y.; Xiao, J.-H. Hyaluronic Acid Promotes Osteogenic Differentiation of Human Amniotic Mesenchymal Stem Cells Via the TGF-β/Smad Signalling Pathway. Life Sci. 2019, 232, 116669. [Google Scholar] [CrossRef]
- Liu, P.; Cai, J.; Dong, D.; Chen, Y.; Liu, X.; Wang, Y.; Zhou, Y. Effects of SOX2 on Proliferation, Migration and Adhesion of Human Dental Pulp Stem Cells. PLoS ONE 2015, 10, e0141346. [Google Scholar] [CrossRef]
- Yuasa, K.; Fukumoto, S.; Kamasaki, Y.; Yamada, A.; Fukumoto, E.; Kanaoka, K.; Saito, K.; Harada, H.; Arikawa-Hirasawa, E.; Miyagoe-Suzuki, Y.; et al. Laminin A2 Is Essential for Odontoblast Differentiation Regulating Dentin Sialoprotein Expression. J. Biol. Chem. 2004, 279, 10286–10292. [Google Scholar] [CrossRef]
- Tang, J.; Saito, T. Laminin-1 Acts as an Adhesive for Odontoblast-Like Cells and Promotes Their Differentiation Toward a Hard Tissue-Forming Phenotype. J. Oral. Sci. 2018, 60, 253–261. [Google Scholar] [CrossRef]
- Fu, J.; Chen, J.; Li, W.; Yang, X.; Yang, J.; Quan, H.; Huang, H.; Chen, G. Laminin-Modified Dental Pulp Extracellular Matrix for Dental Pulp Regeneration. Front. Bioeng. Biotechnol. 2021, 8, 595096. [Google Scholar] [CrossRef] [PubMed]
- Yap, L.; Tay, H.G.; Nguyen, M.T.X.; Tjin, M.S.; Tryggvason, K. Laminins in Cellular Differentiation. Trends Cell Biol. 2019, 29, 987–1000. [Google Scholar] [CrossRef] [PubMed]
- Wang, D.; Wang, Y.; Liu, H.; Tong, C.; Ying, Q.; Sachinidis, A.; Li, L.; Peng, L. Laminin Promotes Differentiation of Rat Embryonic Stem Cells into Cardiomyocytes by Activating the Integrin/FAK/PI3K P85 Pathway. J. Cell Mol. Med. 2019, 23, 3629–3640. [Google Scholar] [CrossRef] [PubMed]








| Condition | CD44 | STRO-1 | OC | OPN | DSPP | ALP | Pan-CK | Vim | 
|---|---|---|---|---|---|---|---|---|
| Coll I | + | + | + | + | - | ++ | - | +++ | 
| Coll I + HA | +/++ | +/++ | ++ | ++ | - | ++ | +- | +++ | 
| Coll I + Fn | +- | +- | ++ | ++ | - | +++ | - | +++ | 
| Coll I + Lam | - | - | ++ | ++ | - | +++ | - | +++ | 
| Coll I + dECM | ++ | ++ | ++/+++ | ++/+++ | + | ++ | +- | +++ | 
| Coll I + dECM + HA | ++ | ++ | ++/+++ | ++/+++ | ++ | +++ | + | +++ | 
| Coll I + dECM + Fn | ++ | ++ | +++ | +++ | +++ | +++ | - | +++ | 
| Coll I + dECM + Lam | - | - | +++ | +++ | ++ | +++ | - | +++ | 
| Disclaimer/Publisher’s Note: The statements, opinions and data contained in all publications are solely those of the individual author(s) and contributor(s) and not of MDPI and/or the editor(s). MDPI and/or the editor(s) disclaim responsibility for any injury to people or property resulting from any ideas, methods, instructions or products referred to in the content. | 
© 2023 by the authors. Licensee MDPI, Basel, Switzerland. This article is an open access article distributed under the terms and conditions of the Creative Commons Attribution (CC BY) license (https://creativecommons.org/licenses/by/4.0/).
Share and Cite
Ivanov, A.A.; Kuznetsova, A.V.; Popova, O.P.; Danilova, T.I.; Latyshev, A.V.; Yanushevich, O.O. Influence of Extracellular Matrix Components on the Differentiation of Periodontal Ligament Stem Cells in Collagen I Hydrogel. Cells 2023, 12, 2335. https://doi.org/10.3390/cells12192335
Ivanov AA, Kuznetsova AV, Popova OP, Danilova TI, Latyshev AV, Yanushevich OO. Influence of Extracellular Matrix Components on the Differentiation of Periodontal Ligament Stem Cells in Collagen I Hydrogel. Cells. 2023; 12(19):2335. https://doi.org/10.3390/cells12192335
Chicago/Turabian StyleIvanov, Alexey A., Alla V. Kuznetsova, Olga P. Popova, Tamara I. Danilova, Andrey V. Latyshev, and Oleg O. Yanushevich. 2023. "Influence of Extracellular Matrix Components on the Differentiation of Periodontal Ligament Stem Cells in Collagen I Hydrogel" Cells 12, no. 19: 2335. https://doi.org/10.3390/cells12192335
APA StyleIvanov, A. A., Kuznetsova, A. V., Popova, O. P., Danilova, T. I., Latyshev, A. V., & Yanushevich, O. O. (2023). Influence of Extracellular Matrix Components on the Differentiation of Periodontal Ligament Stem Cells in Collagen I Hydrogel. Cells, 12(19), 2335. https://doi.org/10.3390/cells12192335
 
        



 
       