Effects of Hyperbaric Oxygen Intervention on the Degenerated Intervertebral Disc: From Molecular Mechanisms to Animal Models
Abstract
1. Introduction
2. Materials and Methods
2.1. Patients
2.2. Nucleus Pulposus Cell Isolation and Culture
2.3. Exposure to Intermittent HBO
2.4. MicroRNA Profiling
2.5. Real-Time PCR
2.6. MiRNA Target Prediction and Dual-Luciferase Reporter Assays
2.7. Transfection of NPCs with Anti-miRNAs and Analysis following HBO Intervention
2.8. Protein Extraction and Western Blot Analysis of Wnt3a, Phosphor-LRP6, LRP6, and Cyclin D1
2.9. TOP/FOP Flash Luciferase Assay
2.10. Preparation of Cytosolic and Nuclear Fractions for β-Catenin Detection
2.11. RNA Extraction and Real-Time PCR Detection of Wnt3a, MMP-3, and MMP-9
2.12. MMPs ELISA Assay
2.13. Effect of HBO on Rabbit IVD Degeneration Model
2.13.1. Rabbit IVD Degeneration Model
2.13.2. Effect of HBO on Degenerated Rabbit IVD
2.13.3. Antigenic KS Detection in Blood Serum
2.13.4. Morphological Observation and Immunohistochemically Examination for Wnt3a and β-Catenin
2.14. Statistical Analysis
3. Results
3.1. Heat Maps of MiR Expression in Degenerated NPCs following Treatments
3.2. HBO Upregulated MiR-107 Expression in Degenerated NPCs
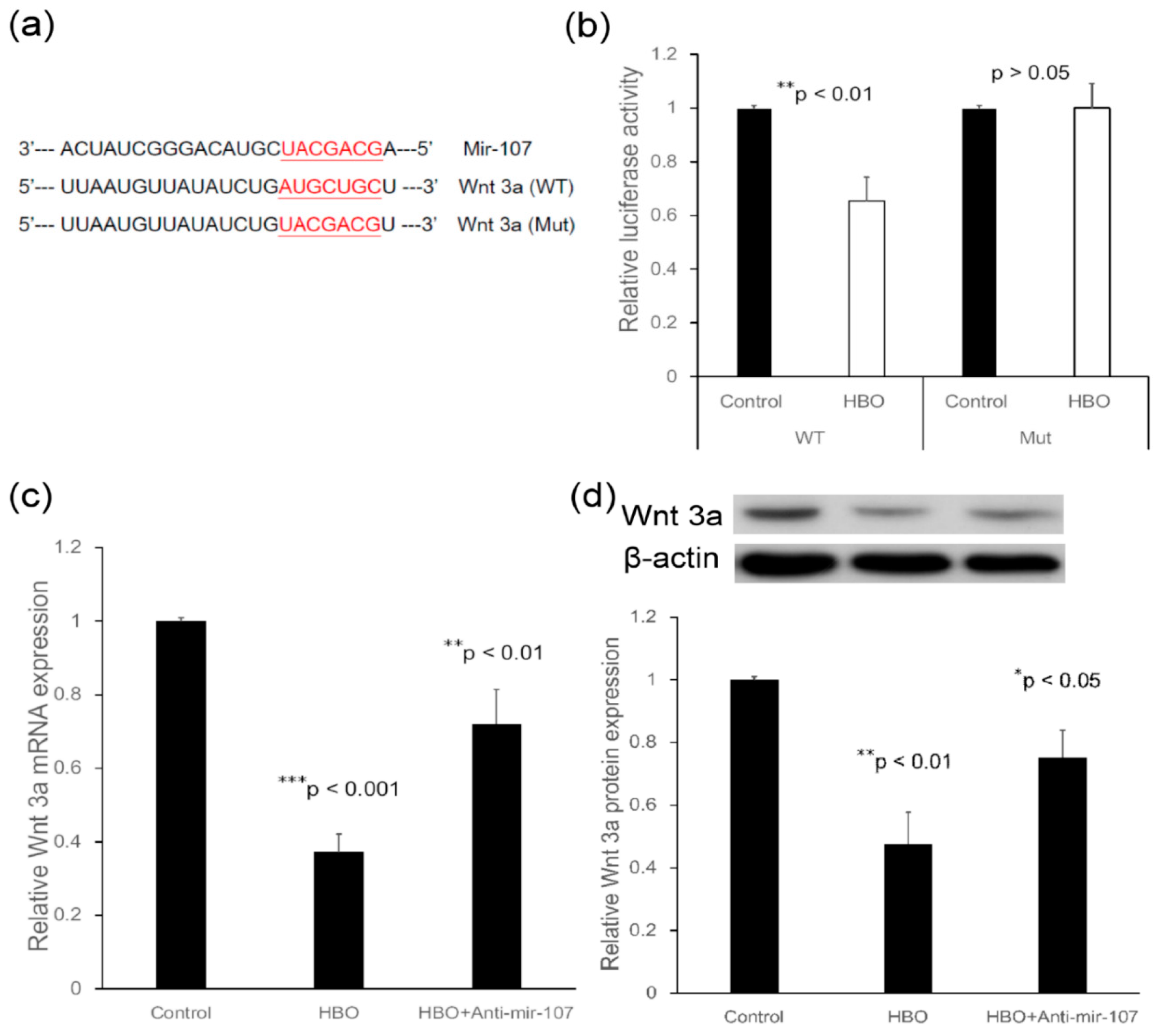
3.2.1. Seed Sequence of miR-107 in the 3′ UTR of the Wnt3a mRNA
3.2.2. Wnt3a Is a Direct Target of miR-107
3.3. Effects of HBO on Wnt3a, LRP6 Phosphorylation, β-Catenin Translocation, and Cyclin D1 Expression
3.4. Effects of HBO on the Activity of the Wnt/β-Catenin Signaling
3.5. Effects of HBO on the mRNA Expression of MMPs
3.6. Effects of HBO on MMPs Secretion
3.7. Effects of HBO on Degenerated Rabbit IVD
3.8. Effects of HBO on Wnt3a and β-Catenin Expression in Degenerated IVD Tissue
4. Discussion
5. Conclusions
Author Contributions
Funding
Institutional Review Board Statement
Informed Consent Statement
Data Availability Statement
Conflicts of Interest
References
- Fatoye, F.; Gebrye, T.; Odeyemi, I. Real-world incidence and prevalence of low back pain using routinely collected data. Rheumatol. Int. 2019, 39, 619–626. [Google Scholar] [CrossRef]
- Giles, R.H.; van Es, J.H.; Clevers, H. Caught up in a Wnt storm: Wnt signaling in cancer. Biochim. Biophys. Acta 2003, 1653, 1–24. [Google Scholar] [CrossRef] [PubMed]
- Wang, M.; Tang, D.; Shu, B.; Wang, B.; Jin, H.; Hao, S.; Dresser, K.A.; Shen, J.; Im, H.J.; Sampson, E.R.; et al. Conditional activation of β-catenin signaling in mice leads to severe defects in intervertebral disc tissue. Arthritis Rheum. 2012, 68, 2611–2623. [Google Scholar] [CrossRef] [PubMed]
- Vo, N.V.; Hartman, R.A.; Patil, P.R.; Risbud, M.V.; Kletsas, D.; Iatridis, J.C.; Hoyland, J.A.; Le Maitre, C.L.; Sowa, G.A.; Kang, J.D. Molecular mechanisms of biological aging in intervertebral discs. J. Orthop. Res. 2016, 34, 1289–1306. [Google Scholar] [CrossRef] [PubMed]
- Choi, Y.-S. Pathophysiology of degenerative disc disease. Asian Spine J. 2009, 3, 39–44. [Google Scholar] [CrossRef]
- Chan, D.; Song, Y.; Sham, P.; Cheung, K.M. Genetics of disc degeneration. Eur. Spine J. 2006, 15 (Suppl. 3), S317–S325. [Google Scholar] [CrossRef]
- Gawri, R.; Rosenzweig, D.H.; Krock, E.; Ouellet, J.A.; Stone, L.S.; Quinn, T.M.; Haglund, L. High mechanical strain of primary intervertebral disc cells promotes secretion of inflammatory factors associated with disc degeneration and pain. Arthritis Res. Ther. 2014, 16, R21. [Google Scholar] [CrossRef]
- Urban, J.P.; Roberts, S. Degeneration of the intervertebral disc. Arthritis Res. Ther. 2003, 5, 120–130. [Google Scholar] [CrossRef][Green Version]
- Kang, J.D.; Stefanovic-Racic, M.; McIntyre, L.A.; Georgescu, H.I.; Evans, C.H. Toward a biochemical under-standing of human intervertebral disc degeneration and herniation contributions of nitric oxide, inter-leukins, prostaglandin E2, and matrix Metalloproteinases. Spine 1997, 22, 1065–1073. [Google Scholar] [CrossRef]
- Podichetty, V.K. The aging spine: The role of inflammatory mediators in intervertebral disc degenera-tion. Cell. Mol. Biol. 2007, 53, 4–18. [Google Scholar]
- Kanemoto, M.; Hukuda, S.; Komiya, Y.; Katsuura, A.; Nishioka, J. Immunohistochemical study of matrix metalloproteinase-3 and tissue inhibitor of metalloproteinase-1 in human intervertebral discs. Spine 1996, 21, 1–8. [Google Scholar] [CrossRef] [PubMed]
- Anderson, D.G.; Izzo, M.W.; Hall, D.J.; Vaccaro, A.R.; Hilibrand, A.; Arnold, W.; Tuan, R.S.; Albert, T.J. Comparative Gene Expression Profiling of Normal and Degenerative Discs. Spine 2002, 27, 1291–1296. [Google Scholar] [CrossRef] [PubMed]
- Hiyama, A.; Sakai, D.; Tanaka, M.; Arai, F.; Nakajima, D.; Abe, K.; Mochida, J. The relationship between the Wnt/beta-catenin and TGF-beta/BMP signals in the intervertebral disc cell. J. Cell Physiol. 2011, 226, 1139–1148. [Google Scholar] [CrossRef]
- Hiyama, A.; Sakai, D.; Arai, F.; Nakajima, D.; Yokoyama, K.; Mochida, J. Effects of a glycogen synthase ki-nase-3beta inhibitor (LiCl) on c-myc protein in intervertebral disc cells. J. Cell Biochem. 2011, 112, 2974–2986. [Google Scholar] [CrossRef]
- Hiyama, A.; Sakai, D.; Risbud, M.V.; Tanaka, M.; Arai, F.; Abe, K.; Mochida, J. Enhancement of intervertebral disc cell senescence by WNT/beta-catenin signalinginduced matrix metalloproteinase expression. Arthritis Rheum. 2010, 62, 3036–3047. [Google Scholar] [CrossRef]
- Zhao, Y.T.; Qin, Y.; Yang, J.S.; Huang, D.G.; Hu, H.M.; Wang, X.D.; Wu, S.F.; Hao, D.J. Wharton’s Jelly-derived mesenchymal stem cells suppress apoptosis of nucleus pulposus cells in intervertebral disc degeneration via Wnt pathway. Eur. Rev. Med. Pharmacol. Sci. 2020, 24, 9807–9814. [Google Scholar]
- Croce, C.M.; Calin, G.A. MiRNAs, cancer, and stem cell division. Cell 2005, 122, 6–7. [Google Scholar] [CrossRef]
- Dong, W.; Lv, Y.; Wang, F.; Liu, T.; Sun, S.; Liao, B.; Shu, Z.; Qian, J. MiR-640 aggravates intervertebral disc degeneration via NF-κB and WNT signaling pathway. Cell Prolif. 2019, 52, e12664. [Google Scholar] [CrossRef] [PubMed]
- Yun, Z.; Wang, Y.; Feng, W.; Zang, J.; Zhang, D.; Gao, Y. Overexpression of microRNA-185 alleviates inter-vertebral disc degeneration through inactivation of the Wnt/β-catenin signaling pathway and down-regulation of Galectin-3. Mol. Pain 2020, 16, 1744806920902559. [Google Scholar] [CrossRef]
- Yu, M.; Guo, D.; Cao, Z.; Xiao, L.; Wang, G. Inhibitory effect of MicroRNA-107 on osteosarcoma malig-nancy through regulation of Wnt/β-catenin signaling in vitro. Cancer Investig. 2018, 36, 175–184. [Google Scholar] [CrossRef]
- Zhang, Z.; Wu, S.; Muhammad, S.; Ren, Q.; Sun, C. MiR-103/107 promote ER stress-mediated apoptosis via targeting the Wnt3a/β- catenin/ATF6 pathway in preadipocytes. J. Lipid Res. 2018, 59, 843–853. [Google Scholar] [CrossRef] [PubMed]
- Shen, L.; Xiao, Y.; Wu, O.; Liu, L.; Zhang, C.; Pan, X. TLR4/NF-κB axis signaling pathway-dependent up-regulation of miR-625-5p contributes to human intervertebral disc degeneration by targeting COL1A1. Am. J. Transl. Res. 2019, 11, 1374–1388. [Google Scholar] [PubMed]
- Malandrino, A.; Lacroix, D.; Hellmich, C.; Ito, K.; Ferguson, S.J.; Noailly, J. The role of endplate porome-chanical properties on the nutrient availability in the intervertebral disc. Osteoarthr. Cartil. 2014, 22, 1053–1060. [Google Scholar] [CrossRef] [PubMed]
- Colombier, P.; Clouet, J.; Hamel, O.; Lescaudron, L.; Guicheux, J. The lumbar intervertebral disc: From embryonic development to degeneration. Jt. Bone Spine 2014, 81, 125–129. [Google Scholar] [CrossRef]
- Urban, J.P.; Smith, S.; Fairbank, J.C. Nutrition of the intervertebral disc. Spine 2004, 29, 2700–2709. [Google Scholar] [CrossRef]
- Urban, J.P. The role of the physicochemical environment in determining disc cell behavior. Biochem. Soc. Trans. 2002, 30 Pt 6, 858–864. [Google Scholar] [CrossRef]
- Richardson, S.M.; Knowles, R.; Tyler, J.; Mobasheri, A.; Hoyland, J.A. Expression of glucose transporters GLUT-1, GLUT-3, GLUT-9 and HIF-1alpha in normal and degenerate human intervertebral disc. HistoChem. Cell Biol. 2008, 129, 503–511. [Google Scholar] [CrossRef] [PubMed]
- Kim, J.-W.; Jeon, N.; Shin, D.-E.; Lee, S.-Y.; Kim, M.; Han, D.H.; Shin, J.Y.; Lee, S. Regeneration in spinal disease: Therapeutic role of hypoxia-inducible factor-1 alpha in regeneration of degenerative intervertebral disc. Int. J. Mol. Sci. 2021, 22, 5281. [Google Scholar] [CrossRef]
- Roughley, P.J. Biology of intervertebral disc aging and degeneration: Involvement of the extracellular matrix. Spine 2004, 29, 2691–2699. [Google Scholar] [CrossRef]
- Galbusera, F.; Mietsch, A.; Schmidt, H.; Wilke, H.J.; Neidlinger-Wilke, C. Effect of intervertebral disc de-generation on disc cell viability: A numerical investigation. Comput. Methods Biomech. Biomed. Engin. 2013, 16, 328–337. [Google Scholar] [CrossRef] [PubMed]
- Dowdell, J.; Erwin, M.; Choma, T.; Vaccaro, A.; Iatridis, J.; Cho, S.K. Intervertebral disk de-generation and repair. Neurosurgery 2017, 80, S46–S54. [Google Scholar] [CrossRef] [PubMed]
- Yuan, L.-J.; Ueng, S.W.N.; Lin, S.-S.; Yeh, W.-L.; Yang, C.-Y.; Lin, P.Y. Attenuation of apoptosis and enhancement of proteoglycan synthesis in rabbit cartilage defects by hyperbaric oxygen treatment are related to the suppression of nitric oxide production. J. Orthop. Res. 2004, 22, 1126–1134. [Google Scholar] [CrossRef]
- Niu, C.C.; Lin, S.S.; Yuan, L.J.; Lu, M.L.; Ueng, S.W.N.; Yang, C.Y.; Tsai, T.T.; Lai, P.L. Upregulation of miR-107 expression following hyperbaric oxygen treatment suppresses HMGB1/RAGE signaling in degenerated human nucleus pulposus cells. Arthritis Res. Ther. 2019, 21, 42. [Google Scholar] [CrossRef]
- Hosogane, N.; Watanabe, K.; Tsuji, T.; Miyamoto, T.; Ishii, K.; Niki, Y.; Nakamura, M.; Toyama, Y.; Chiba, K.; Matsumoto, M. Serum cartilage metabolites as biomarkers of degenerative lumbar scoliosis. J. Orthop. Res. 2012, 30, 1249–1253. [Google Scholar] [CrossRef]
- Kuiper, J.I.; Verbeek, J.H.A.M.; Frings-Dresen, M.H.W.; Ikkink, A.J.K. Keratan sulfate as a potential biomarker of loading of the intervertebral disc. Spine 1998, 23, 657–663. [Google Scholar] [CrossRef] [PubMed]
- Takahashi, Y.; Forrest, A.R.; Maeno, E.; Hashimoto, T.; Daub, C.O.; Yasuda, J. MiR-107 and MiR-185 can in-duce cell cycle arrest in human non-small cell lung cancer cell lines. PLoS ONE 2009, 4, e6677. [Google Scholar] [CrossRef] [PubMed]
- Kulshreshtha, R.; Ferracin, M.; Wojcik, S.E.; Garzon, R.; Alder, H.; Agosto-Perez, F.J.; Davuluri, R.; Liu, C.-G.; Croce, C.M.; Negrini, M.; et al. A MicroRNA Signature of Hypoxia. Mol. Cell. Biol. 2007, 27, 1859–1867. [Google Scholar] [CrossRef] [PubMed]
- Gee, H.E.; Ivan, C.; Calin, G.A.; Ivan, M. HypoxamiRs and Cancer: From Biology to Targeted Therapy. Antioxidants Redox Signal. 2014, 21, 1220–1238. [Google Scholar] [CrossRef]
- Yamakuchi, M.; Lotterman, C.D.; Bao, C.; Hruban, R.H.; Karim, B.; Mendell, J.T.; Huso, D.; Lowenstein, C.J. P53-induced microRNA-107 inhibits HIF-1 and tumor angiogenesis. Proc. Natl. Acad. Sci. USA 2010, 107, 6334–6339. [Google Scholar] [CrossRef]
- Yan, L.; Lee, S.; Lazzaro, D.R.; Aranda, J.; Grant, M.B.; Chaqour, B. Single and compound knock-out of mi-croRNA (miRNA)-155 and its angiogenic gene target CCN1 in mice alter vascular and neovascular growth in the retina via resident microglia. J. Biol. Chem. 2015, 290, 23264–23281. [Google Scholar] [CrossRef]
- Hiyama, A.; Arai, F.; Sakai, D.; Yokoyama, K.; Mochida, J. The effects of oxygen tension and antiaging factor Klotho on Wnt signaling in nucleus pulposus cells. Arthritis Res Ther. 2012, 14, R105. [Google Scholar] [CrossRef]
- Sun, Z.; Jian, Y.; Fu, H.; Li, B. MiR-532 downregulation of the Wnt/beta-catenin signaling via targeting Bcl-9 and induced human intervertebral disc nucleus pulposus cells apoptosis. J. Pharmacol. Sci. 2018, 138, 263–270. [Google Scholar] [CrossRef]
- Gordon, M.D.; Nusse, R. Wnt signaling: Multiple pathways, multiple receptors, and multiple transcrip-tion factors. J. Biol. Chem. 2006, 281, 22429–22433. [Google Scholar] [CrossRef] [PubMed]
- Smolders, L.A.; Meij, B.P.; Onis, D.; Riemers, F.M.; Bergknut, N.; Wubbolts, R.; Grinwis, G.C.M.; Houweling, M.; Groot Koerkamp, M.J.A.; van Leenen, D. Gene expression profiling of early intervertebral disc degeneration reveals a down-regulation of canonical Wnt signaling and caveolin-1 expression: Implications for development of regenerative strategies. Arthritis Res. Ther. 2013, 15, R23. [Google Scholar] [CrossRef]
- Mohr, A.M.; Mott, J.L. Overview of microRNA biology. Semin. Liver Dis. 2015, 35, 003–011. [Google Scholar] [CrossRef]
- Lindenmann, J.; Kamolz, L.; Graier, W.; Smolle, J.; Smolle-Juettner, F.-M. Hyperbaric Oxygen Therapy and Tissue Regeneration: A Literature Survey. Biomedicines 2022, 10, 3145. [Google Scholar] [CrossRef] [PubMed]
- Baker, N.E. Molecular cloning of sequences from wingless, a segment polarity gene in Drosophila: The spatial distribution of a transcript in embryos. EMBO J. 1987, 6, 1765–1773. [Google Scholar] [CrossRef] [PubMed]
- Nusse, R.; Varmus, H. Three decades of Wnts: A personal perspective on how a scientific field devel-oped. EMBO J. 2012, 31, 2670–2684. [Google Scholar] [CrossRef]
- Niehrs, C. The complex world of WNT receptor signalling. Nat. Rev. Mol. Cell Biol. 2012, 13, 767–779. [Google Scholar] [CrossRef]
- MacDonald, B.T.; Tamai, K.; He, X. Wnt/β-Catenin Signaling: Components, Mechanisms, and Diseases. Dev. Cell 2009, 17, 9–26. [Google Scholar] [CrossRef]
- Clevers, H.; Nusse, R. Wnt/β-Catenin Signaling and Disease. Cell 2012, 149, 1192–1205. [Google Scholar] [CrossRef]
- Winkler, T.; Mahoney, E.J.; Sinner, D.; Wylie, C.C.; Dahia, C.L. Wnt signaling activates Shh signaling in early postnatal intervertebral discs, and re-activates Shh signaling in old discs in the mouse. PLoS ONE 2014, 9, e98444. [Google Scholar] [CrossRef]
- Tamai, K.; Zeng, X.; Liu, C.; Zhang, X.; Harada, Y.; Chang, Z.; He, X. A mechanism for Wnt coreceptor activation. Mol. Cell 2004, 13, 149–156. [Google Scholar] [CrossRef]
- Bilic, J.; Huang, Y.L.; Davidson, G.; Zimmermann, T.; Cruciat, C.M.; Bienz, M.; Niehrs, C. Faculty Opinions recommendation of Wnt induces LRP6 signalosomes and promotes dishevelled-dependent LRP6 phosphorylation. Science 2007, 316, 1619–1622. [Google Scholar] [CrossRef] [PubMed]
- Gazit, A.; Yaniv, A.; Bafico, A.; Pramila, T.; Igarashi, M.; Kitajewski, J.; Aaronson, S.A. Human frizzled 1 interacts with transforming Wnts to transduce a TCF dependent transcriptional response. Oncogene 1999, 18, 5959–5966. [Google Scholar] [CrossRef]
- Lu, D.; Zhao, Y.; Tawatao, R.; Cottam, H.B.; Sen, M.; Leoni, L.M.; Kipps, T.J.; Corr, M.; Carson, D.A. Activation of the Wnt signaling pathway in chronic lymphocytic leukemia. Proc. Natl. Acad. Sci. USA 2004, 101, 3118–3123. [Google Scholar] [CrossRef] [PubMed]
- Niu, C.C.; Lin, S.S.; Yuan, L.J.; Chen, L.H.; Wang, I.C.; Tsai, T.T.; Lai, P.L.; Chen, W.J. Hyperbaric oxygen treatment suppresses MAPK signaling and mitochondrial apoptotic pathway in degenerated human intervertebral disc cells. J. Orthop. Res. 2013, 31, 204–209. [Google Scholar] [CrossRef] [PubMed]
- Song, Y.; Yang, Q.X.; Zhang, F.; Meng, F.; Li, H.; Dong, Y.; Han, A. Suppression of nasopharyn-geal carcinoma cell by targeting beta-catenin signaling pathway. Cancer Epidemiol. 2012, 36, e116–e121. [Google Scholar] [CrossRef]
- De Bels, D.; Tillmans, F.; Corazza, F.; Bizzarri, M.; Germonpre, P.; Radermacher, P.; Orman, K.G.; Balestra, C. Hyperoxia Alters Ultrastructure and Induces Apoptosis in Leukemia Cell Lines. Biomolecules 2020, 10, 282. [Google Scholar] [CrossRef]
- de Wolde, S.D.; Hulskes, R.H.; de Jonge, S.W.; Hollmann, M.W.; van Hulst, R.A.; Weenink, R.P.; Kox, M. The Effect of Hyperbaric Oxygen Therapy on Markers of Oxidative Stress and the Immune Response in Healthy Volunteers. Front. Physiol. 2022, 13, 826163. [Google Scholar] [CrossRef]
- Fratantonio, D.; Virgili, F.; Zucchi, A.; Lambrechts, K.; Latronico, T.; Lafère, P.; Germonpré, P.; Balestra, C. Increasing Oxygen Partial Pressures Induce a Distinct Transcriptional Response in Human PBMC: A Pilot Study on the “Normobaric Oxygen Paradox”. Int. J. Mol. Sci. 2021, 22, 458. [Google Scholar] [CrossRef]
- Cimino, F.; Balestra, C.; Germonpré, P.; De Bels, D.; Tillmans, F.; Saija, A.; Speciale, A.; Virgili, F. Pulsed high oxygen induces a hypoxic-like response in human umbilical endothelial cells and in humans. J. Appl. Physiol. 2012, 113, 1684–1689. [Google Scholar] [CrossRef]
- Silva, M.J.; Holguin, N. Aging aggravates intervertebral disc degeneration by regulating transcription factors toward chondrogenesis. FASEB J. 2020, 34, 1970–1982. [Google Scholar] [CrossRef]
- Kroeber, M.W.; Unglaub, F.; Wang, H.; Schmid, C.; Thomsen, M.; Nerlich, A.; Richter, W. New in vivo animal model to create intervertebral disc degeneration and to investigate the effects of therapeutic strategies to stimulate disc regeneration. Spine 2002, 27, 2684–2690. [Google Scholar] [CrossRef]
- Stokes, I.A.; Iatridis, J.C. Mechanical conditions that accelerate intervertebral disc degeneration: Over-load versus immobilization. Spine 2004, 29, 2724–2732. [Google Scholar] [CrossRef] [PubMed]
- Neidlinger-Wilke, C.; Galbusera, F.; Pratsinis, H.; Mavrogonatou, E.; Mietsch, A.; Kletsas, D.; Wilke, H.J. Mechanical loading of the intervertebral disc: From the macroscopic to the cellular level. Eur. Spine J. 2014, 23 (Suppl. S3), 333–343. [Google Scholar] [CrossRef] [PubMed]
- Mathieu, D.; Marroni, A.; Kot, J. Tenth European Consensus Conference on Hyperbaric Medicine: Recommendations for accepted and non-accepted clinical indications and practic of hyperbaric oxygen treatment. Diving Hyperb. Med. 2017, 47, 24–32. [Google Scholar] [CrossRef] [PubMed]
- Lindenmann, J.; Smolle, C.; Kamolz, L.P.; Smolle-Juettner, F.M.; Graier, W.F. Survey of molecular mecha-nisms of hyperbaric oxygen in tissue repair. Int. J. Mol. Sci. 2021, 22, 11754. [Google Scholar] [CrossRef] [PubMed]
- Lin, C.-H.; Lin, S.-M.; Lan, T.-Y.; Pao, J.-L. Pneumocephalus with conscious disturbance after full endoscopic lumbar Diskectomy. World Neurosurg. 2019, 131, 112–115. [Google Scholar] [CrossRef]









| MMP-3 | Control | HBO | p-Value |
|---|---|---|---|
| 1st treatment | 283.4 ± 28.2 | 260.5 ± 26.4 | p > 0.05 |
| 2nd treatment | 299.3 ± 38.8 | 227.3 ± 16.6 | * p < 0.05 |
| 3rd treatment | 316.3 ± 38.7 | 173.9 ± 19.1 | *** p < 0.001 |
| MMP-9 | Control | HBO | p-value |
| 1st treatment | 115.5 ± 7.1 | 103.6 ± 10.6 | p > 0.05 |
| 2nd treatment | 113.9 ± 12.0 | 79.0 ± 8.3 | ** p < 0.01 |
| 3rd treatment | 121.7 ± 14.7 | 61.3 ± 8.9 | *** p < 0.001 |
| KS | Control | HBO | p-Value |
|---|---|---|---|
| pre-OP | 121.0 ± 17.0 | 115.7 ± 14.7 | p > 0.05 |
| post-OP 1 Ws | 171.7 ± 13.2 | 146.3 ± 13.6 | p > 0.05 |
| post-OP 2 Ws | 162.1 ± 8.1 | 115.6 ± 18.8 | * p < 0.05 |
| post-OP 4 Ws | 148.1 ± 9.4 | 105.1 ± 16.9 | * p < 0.05 |
Disclaimer/Publisher’s Note: The statements, opinions and data contained in all publications are solely those of the individual author(s) and contributor(s) and not of MDPI and/or the editor(s). MDPI and/or the editor(s) disclaim responsibility for any injury to people or property resulting from any ideas, methods, instructions or products referred to in the content. |
© 2023 by the authors. Licensee MDPI, Basel, Switzerland. This article is an open access article distributed under the terms and conditions of the Creative Commons Attribution (CC BY) license (https://creativecommons.org/licenses/by/4.0/).
Share and Cite
Lin, S.-S.; Ueng, S.W.N.; Chong, K.-Y.; Chan, Y.-S.; Tsai, T.-T.; Yuan, L.-J.; Liu, S.-J.; Yang, C.-Y.; Hsiao, H.-Y.; Hsueh, Y.-J.; et al. Effects of Hyperbaric Oxygen Intervention on the Degenerated Intervertebral Disc: From Molecular Mechanisms to Animal Models. Cells 2023, 12, 2111. https://doi.org/10.3390/cells12162111
Lin S-S, Ueng SWN, Chong K-Y, Chan Y-S, Tsai T-T, Yuan L-J, Liu S-J, Yang C-Y, Hsiao H-Y, Hsueh Y-J, et al. Effects of Hyperbaric Oxygen Intervention on the Degenerated Intervertebral Disc: From Molecular Mechanisms to Animal Models. Cells. 2023; 12(16):2111. https://doi.org/10.3390/cells12162111
Chicago/Turabian StyleLin, Song-Shu, Steve W. N. Ueng, Kowit-Yu Chong, Yi-Sheng Chan, Tsung-Ting Tsai, Li-Jen Yuan, Shih-Jung Liu, Chuen-Yung Yang, Hui-Yi Hsiao, Yi-Jen Hsueh, and et al. 2023. "Effects of Hyperbaric Oxygen Intervention on the Degenerated Intervertebral Disc: From Molecular Mechanisms to Animal Models" Cells 12, no. 16: 2111. https://doi.org/10.3390/cells12162111
APA StyleLin, S.-S., Ueng, S. W. N., Chong, K.-Y., Chan, Y.-S., Tsai, T.-T., Yuan, L.-J., Liu, S.-J., Yang, C.-Y., Hsiao, H.-Y., Hsueh, Y.-J., Chen, C.-A., & Niu, C.-C. (2023). Effects of Hyperbaric Oxygen Intervention on the Degenerated Intervertebral Disc: From Molecular Mechanisms to Animal Models. Cells, 12(16), 2111. https://doi.org/10.3390/cells12162111

