Clinical Heterogeneity in MT-ATP6 Pathogenic Variants: Same Genotype—Different Onset
Abstract
1. Introduction
2. Materials and Methods
2.1. Patient Description
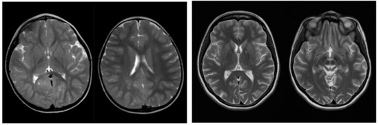
2.1.1. Clinical Presentation and Physical Examination
2.1.2. Technical Investigations
2.1.3. Laboratory Investigations
2.2. Biopsies
2.3. Next-Generation Sequencing of the Mitochondrial Genome
2.4. Evaluation of Mitochondrial Function
2.4.1. Spectrometry
2.4.2. Respirometry
2.4.3. Blue Native PAGE with in Gel Activity Staining
2.4.4. Two-Dimensional Gel Electrophoresis and Western Blotting
2.5. Microscopy
3. Results
3.1. Next-Generation Sequencing of the Mitochondrial Genome
3.2. Spectrophotometry
3.3. Respirometry
3.4. Blue Native PAGE with in Gel Activity Staining
3.5. Two-Dimensional Gel Electrophoresis and Western Blotting
3.6. Microscopic Evaluation
4. Discussion
5. Conclusions
Supplementary Materials
Author Contributions
Funding
Institutional Review Board Statement
Informed Consent Statement
Data Availability Statement
Acknowledgments
Conflicts of Interest
References
- Jonckheere, A.I.; Smeitink, J.A.; Rodenburg, R.J. Mitochondrial ATP synthase: Architecture, function and pathology. J. Inherit. Metab. Dis. 2012, 35, 211–225. [Google Scholar] [CrossRef] [PubMed]
- Anderson, S.; Bankier, A.T.; Barrell, B.G.; de Bruijn, M.H.; Coulson, A.R.; Drouin, J.; Eperon, I.C.; Nierlich, D.P.; Roe, B.A.; Sanger, F.; et al. Sequence and organization of the human mitochondrial genome. Nature 1981, 290, 457–465. [Google Scholar] [CrossRef] [PubMed]
- Wittig, I.; Meyer, B.; Heide, H.; Steger, M.; Bleier, L.; Wumaier, Z.; Karas, M.; Schägger, H. Assembly and oligomerization of human ATP synthase lacking mitochondrial subunits a and A6L. Biochim. Biophys. Acta 2010, 1797, 1004–1011. [Google Scholar] [CrossRef] [PubMed]
- Wittig, I.; Schägger, H. Structural organization of mitochondrial ATP synthase. Biochim. Biophys. Acta 2008, 1777, 592–598. [Google Scholar] [CrossRef] [PubMed]
- Ganetzky, R.D.; Stendel, C.; McCormick, E.M.; Zolkipli-Cunningham, Z.; Goldstein, A.C.; Klopstock, T.; Falk, M.J. MT-ATP6 mitochondrial disease variants: Phenotypic and biochemical features analysis in 218 published cases and cohort of 14 new cases. Hum. Mutat. 2019, 40, 499–515. [Google Scholar] [CrossRef] [PubMed]
- Holt, I.J.; Harding, A.E.; Petty, R.K.; Morgan-Hughes, J.A. A new mitochondrial disease associated with mitochondrial DNA heteroplasmy. Am. J. Hum. Genet. 1990, 46, 428–433. [Google Scholar] [PubMed]
- Van der Westhuizen, F.H.; Smet, J.; Levanets, O.; Meissner-Roloff, M.; Louw, R.; Van Coster, R.; Smuts, I. Aberrant synthesis of ATP synthase resulting from a novel deletion in mitochondrial DNA in an African patient with progressive external ophthalmoplegia. J. Inherit. Metab. Dis. 2010, 33 (Suppl. 3), S55–S62. [Google Scholar] [CrossRef] [PubMed]
- Stendel, C.; Neuhofer, C.; Floride, E.; Yuqing, S.; Ganetzky, R.D.; Park, J.; Freisinger, P.; Kornblum, C.; Kleinle, S.; Schöls, L.; et al. Delineating MT-ATP6-associated disease: From isolated neuropathy to early onset neurodegeneration. Neurol. Genet. 2020, 6, e393. [Google Scholar] [CrossRef]
- Dautant, A.; Meier, T.; Hahn, A.; Tribouillard-Tanvier, D.; di Rago, J.P.; Kucharczyk, R. ATP Synthase Diseases of Mitochondrial Genetic Origin. Front. Physiol. 2018, 9, 329. [Google Scholar] [CrossRef]
- Nolte, D.; Kang, J.S.; Hofmann, A.; Schwaab, E.; Krämer, H.H.; Müller, U. Mutations in MT-ATP6 are a frequent cause of adult-onset spinocerebellar ataxia. J. Neurol. 2021, 268, 4866–4873. [Google Scholar] [CrossRef]
- Wong, L.J. Diagnostic challenges of mitochondrial DNA disorders. Mitochondrion 2007, 7, 45–52. [Google Scholar] [CrossRef] [PubMed]
- Sikorska, M.; Sandhu, J.K.; Simon, D.K.; Pathiraja, V.; Sodja, C.; Li, Y.; Ribecco-Lutkiewicz, M.; Lanthier, P.; Borowy-Borowski, H.; Upton, A.; et al. Identification of ataxia-associated mtDNA mutations (m.4052T>C and m.9035T>C) and evaluation of their pathogenicity in transmitochondrial cybrids. Muscle Nerve 2009, 40, 381–394. [Google Scholar] [CrossRef] [PubMed]
- Pfeffer, G.; Blakely, E.L.; Alston, C.L.; Hassani, A.; Boggild, M.; Horvath, R.; Samuels, D.C.; Taylor, R.W.; Chinnery, P.F. Adult-onset spinocerebellar ataxia syndromes due to MTATP6 mutations. J. Neurol. Neurosurg. Psychiatry 2012, 83, 883–886. [Google Scholar] [CrossRef] [PubMed]
- Ng, Y.S.; Martikainen, M.H.; Gorman, G.S.; Blain, A.; Bugiardini, E.; Bunting, A.; Schaefer, A.M.; Alston, C.L.; Blakely, E.L.; Sharma, S.; et al. Pathogenic variants in MT-ATP6: A United Kingdom-based mitochondrial disease cohort study. Ann. Neurol. 2019, 86, 310–315. [Google Scholar] [CrossRef]
- Rucheton, B.; Jardel, C.; Filaut, S.; Del Mar Amador, M.; Maisonobe, T.; Serre, I.; Romero, N.B.; Leonard-Louis, S.; Haraux, F.; Lombès, A. Homoplasmic deleterious MT-ATP6/8 mutations in adult patients. Mitochondrion 2020, 55, 64–77. [Google Scholar] [CrossRef]
- Garret, P.; Bris, C.; Procaccio, V.; Amati-Bonneau, P.; Vabres, P.; Houcinat, N.; Tisserant, E.; Feillet, F.; Bruel, A.-L.; Quéré, V.; et al. Deciphering exome sequencing data: Bringing mitochondrial DNA variants to light. Hum. Mutat. 2019, 40, 2430–2443. [Google Scholar] [CrossRef]
- Haraux, F.; Lombès, A. Kinetic analysis of ATP hydrolysis by complex V in four murine tissues: Towards an assay suitable for clinical diagnosis. PLoS ONE 2019, 14, e0221886. [Google Scholar] [CrossRef]
- De, A.; Campbell, C. A novel interaction between DNA ligase III and DNA polymerase ɣ plays an essential role in mitochondrial DNA stability. Biochem. J. 2007, 402, 175–186. [Google Scholar] [CrossRef]
- Hatefi, Y.; Stiggall, D.L. Preparation and properties of succinate: Ubiquinone oxidoreductase (complex II). Methods Enzymol. 1978, 53, 21–27. [Google Scholar]
- DiMauro, S.; Servidei, S.; Zeviani, M.; DiRocco, M.; DeVivo, D.C.; Uziel, G.; Berry, K.; Hoganson, G.; Johnsen, S.D. Cytochrome c oxidase deficiency in Leigh syndrome. Ann. Neurol. 1987, 22, 498–506. [Google Scholar] [CrossRef]
- Birch-Machin, M.A.; Shepherd, I.M.; Watmough, N.J.; Sherratt, H.S.; Bartlett, K.; Darley-Usmar, V.M.; Milligan, D.W.; Welch, R.J.; Aynsley-Green, A.; Turnbull, D.M. Fatal lactic acidosis in infancy with a defect of complex III of the respiratory chain. Pediatr. Res. 1989, 25, 553–559. [Google Scholar] [CrossRef] [PubMed]
- Rustin, P.; Chretien, D.; Bourgeron, T.; Gérard, B.; Rötig, A.; Saudubray, J.M.; Munnich, A. Biochemical and molecular investigations in respiratory chain deficiencies. Clin. Chim. Acta. 1994, 228, 35–51. [Google Scholar] [CrossRef]
- Janssen, A.J.; Trijbels, F.J.; Sengers, R.C.; Smeitink, J.A.; Van den Heuvel, L.P.; Wintjes, L.T.; Stoltenborg-Hogenkamp, B.J.; Rodenburg, R.J. Spectrophotometric assay for complex I of the respiratory chain in tissue samples and cultured fibroblasts. Clin. Chem. 2007, 53, 729–734. [Google Scholar] [CrossRef] [PubMed]
- Sottocasa, G.L.; Kuylenstierna, B.; Ernster, L.; Bergstrand, A. An electron-transport system associated with the outer membrane of liver mitochondria. A biochemical and morphological study. J. Cell Biol. 1967, 32, 415–438. [Google Scholar] [CrossRef]
- Srere, P.A. Citrate synthase. In Methods in Enzymology; Colwick, S.F., Kaplan, N.O., Eds.; Academic Press: Cambridge, MA, USA, 1969; Volume 13, pp. 3–11. [Google Scholar]
- Fischer, J.C.; Ruitenbeek, W.; Gabreëls, F.J.; Janssen, A.J.; Renier, W.O.; Sengers, R.C.; Stadhouders, A.M.; ter Laak, H.J.; Trijbels, J.M.; Veerkamp, J.H. A mitochondrial encephalomyopathy: The first case with an established defect at the level of coenzyme Q. Eur. J. Pediatr. 1986, 144, 441–444. [Google Scholar] [CrossRef] [PubMed]
- Mayr, J.A.; Paul, J.; Pecina, P.; Kurnik, P.; Förster, H.; Fötschl, U.; Sperl, W.; Houstek, J. Reduced respiratory control with ADP and changed pattern of respiratory chain enzymes as a result of selective deficiency of the mitochondrial ATP synthase. Pediatr. Res. 2004, 55, 988–994. [Google Scholar] [CrossRef] [PubMed]
- Villanueva-Paz, M.; Povea-Cabello, S.; Villalón-García, I.; Álvarez-Córdoba, M.; Suárez-Rivero, J.M.; Talaverón-Rey, M.; Jackson, S.; Falcón-Moya, R.; Rodríguez-Moreno, A.; Sánchez-Alcázar, J.A. Parkin-mediated mitophagy and autophagy flux disruption in cellular models of MERRF syndrome. Biochim. Biophys. Acta Mol. Basis Dis. 2020, 1866, 165726. [Google Scholar] [CrossRef]
- Panneman, D.M.; Wortmann, S.B.; Haaxma, C.A.; Van Hasselt, P.M.; Wolf, N.I.; Hendriks, Y.; Küsters, B.; Van Emst-De Vries, S.; Van de Westerlo, E.; Koopman, W.J.; et al. Variants in NGLY1 lead to intellectual disability, myoclonus epilepsy, sensorimotor axonal polyneuropathy and mitochondrial dysfunction. Clin. Genet. 2020, 97, 556–566. [Google Scholar] [CrossRef]
- Vantroys, E.; Larson, A.; Friederich, M.; Knight, K.; Swanson, M.A.; Powell, C.A.; Smet, J.; Vergult, S.; De Paepe, B.; Seneca, S.; et al. New insights into the phenotype of FARS2 deficiency. Mol. Genet. Metab. 2017, 122, 172–181. [Google Scholar] [CrossRef] [PubMed]
- Van Coster, R.; Smet, J.; George, E.; De Meirleir, L.; Seneca, S.; Van Hove, J.; Sebire, G.; Verhelst, H.; De Bleecker, J.; Van Vlem, B.; et al. Blue native polyacrylamide gel electrophoresis: A powerful tool in diagnosis of oxidative phosphorylation defects. Pediatr. Res. 2001, 50, 658–665. [Google Scholar] [CrossRef]
- Smet, J.; De Paepe, B.; Seneca, S.; Lissens, W.; Kotarsky, H.; De Meirleir, L.; Fellman, V.; Van Coster, R. Complex III staining in blue native polyacrylamide gels. J. Inherit. Metab. Dis. 2011, 34, 741–747. [Google Scholar] [CrossRef] [PubMed]
- Devreese, B.; Vanrobaeys, F.; Smet, J.; Van Beeumen, J.; Van Coster, R. Mass spectrometric identification of mitochondrial oxidative phosphorylation subunits separated by two-dimensional blue-native polyacrylamide gel electrophoresis. Electrophoresis 2002, 23, 2525–2533. [Google Scholar] [CrossRef]
- Schägger, H.; von Jagow, G. Blue native electrophoresis for isolation of membrane protein complexes in enzymatically active form. Anal. Biochem. 1991, 199, 223–231. [Google Scholar] [CrossRef]
- De Paepe, B.; Smet, J.; Vanlander, A.; Seneca, S.; Lissens, W.; De Meirleir, L.; Vandewoestyne, M.; Deforce, D.; Rodenburg, R.J.; Van Coster, R. Fluorescence imaging of mitochondria in cultured skin fibroblasts: A useful method for the detection of oxidative phosphorylation defects. Pediatr. Res. 2012, 72, 232–240. [Google Scholar] [CrossRef] [PubMed]
- Mezghani, N.; Mnif, M.; Mkaouar-Rebai, E.; Kallel, N.; Salem, I.H.; Charfi, N.; Abid, M.; Fakhfakh, F. The mitochondrial ND1 m.3337G>A mutation associated to multiple mitochondrial DNA deletions in a patient with Wolfram syndrome and cardiomyopathy. Biochem. Biophys. Res. Commun. 2011, 411, 247–252. [Google Scholar] [CrossRef] [PubMed]
- Grady, J.P.; Pickett, S.J.; Ng, Y.S.; Alston, C.L.; Blakely, E.L.; Hardy, S.A.; Feeney, C.L.; Bright, A.A.; Schaefer, A.M.; Gorman, G.S.; et al. mtDNA heteroplasmy level and copy number indicate disease burden in m.3243A>G mitochondrial disease. EMBO Mol. Med. 2018, 10, e8262. [Google Scholar] [CrossRef] [PubMed]
- Lombès, A.; Auré, K.; Bellanné-Chantelot, C.; Gilleron, M.; Jardel, C. Unsolved issues related to human mitochondrial diseases. Biochimie 2014, 100, 171–176. [Google Scholar] [CrossRef]
- Wallace, D.C.; Fan, W.; Procaccio, V. Mitochondrial energetics and therapeutics. Annu. Rev. Pathol. 2010, 5, 297–348. [Google Scholar] [CrossRef]
- Swalwell, H.; Blakely, E.L.; Sutton, R.; Tonska, K.; Elstner, M.; He, L.; Taivassalo, T.; Burns, D.K.; Turnbull, D.M.; Haller, R.G.; et al. A homoplasmic mtDNA variant can influence the phenotype of the pathogenic m.7472Cins MTTS1 mutation: Are two mutations better than one? Eur. J. Hum. Genet. 2008, 16, 1265–1274. [Google Scholar] [CrossRef] [PubMed]
- D’Aurelio, M.; Vives-Bauza, C.; Davidson, M.M.; Manfredi, G. Mitochondrial DNA background modifies the bioenergetics of NARP/MILS ATP6 mutant cells. Hum. Mol. Genet. 2010, 19, 374–386. [Google Scholar] [CrossRef]
- Kirby, D.M.; Thorburn, D.R.; Turnbull, D.M.; Taylor, R.W. Biochemical assays of respiratory chain complex activity. Methods Cell Biol. 2007, 80, 93–119. [Google Scholar] [PubMed]
- Jesina, P.; Tesarová, M.; Fornůsková, D.; Vojtísková, A.; Pecina, P.; Kaplanová, V.; Hansíková, H.; Zeman, J.; Houstek, J. Diminished synthesis of subunit a (ATP6) and altered function of ATP synthase and cytochrome c oxidase due to the mtDNA 2 bp microdeletion of TA at positions 9205 and 9206. Biochem. J. 2004, 383, 561–571. [Google Scholar] [CrossRef] [PubMed][Green Version]







| Tissue | Patient | Complex I/CS | Complex II/CS | Complex II+III/CS | Complex III/CS | Complex IV/CS | Complex V/CS | Citrate Synthase a |
|---|---|---|---|---|---|---|---|---|
| Cultured skin fibroblasts homogenate | P1 | ND | 0.72 (2.13) | 0.80 (2.03) | 0.81 (−0.87) | 0.97 (0.25) | ND | 46 |
| P2 | ND | 0.63 (0.43) | 0.61 (−0.70) | 0.90 (0.44) | 0.94 (−0.31) | ND | 39 | |
| C (n = 30) | ND | 0.61 ± 0.05 | 0.66 ± 0.07 | 0.87 ± 0.07 | 0.96 ± 0.05 | ND | 82 ± 15 | |
| Cultured skin fibroblasts isolated mitochondria | P1 | ND | ND | ND | ND | ND | 0.88 (4.1) | 105 |
| P2 | ND | ND | ND | ND | ND | 0.81 (2.0) | 114 | |
| C (n = 4) | ND | ND | ND | ND | ND | 0.73± 0.04 | 242 ± 62 | |
| Skeletal muscle homogenate | P2 | 0.63 (0.13) | 0.67 (−0.32) | 0.70 (0.39) | 0.87 (−0.26) | 0.91 (−1.48) | ND | 144 |
| C (n = 30) | 0.62 ± 0.07 | 0.68 ± 0.04 | 0.68 ± 0.04 | 0.89 ± 0.07 | 1.00 ± 0.06 | ND | 174 ± 70 | |
| Skeletal muscle isolated mitochondria | P2 | 0.70 (−0.27) | 0.88 (1.17) | 0.87 (1.62) | 0.96 (1.92) | 1.04 (1.66) | 0.87 (−0.98) | 760 |
| C (n = 30)/ b (n = 20) | 0.72 ± 0.06 | 0.82 ± 0.05 | 0.79 ± 0.05 | 0.81 ± 0.08 | 0.97 ± 0.04 | 0.95 ± 0.08 b | 830 ± 335 |
| Parameter | P1 | P2 | Reference Values | ||||
|---|---|---|---|---|---|---|---|
| Mean | SD | Median | P5 | P95 | |||
| Normalization Parameters | |||||||
| Protein (µg/well) | 10.1 | 7.8 | 9.0 | 2.9 | 8.4 | 5.9 | 15.1 |
| CSU (nmol/min) | 373 | 420 | 757 | 228 | 684 | 530 | 1145 |
| Respiration (OCR) | |||||||
| Basal respiration | 47 ± 1 | 61 ± 8 | 77 | 17 | 75 | 58 | 114 |
| Basal/Protein | 4.8 ± 0.9 | 8.0 ± 0.9 | 9.0 | 2.2 | 9.3 | 5.5 | 13 |
| Basal/CSU | 13 ± 2 | 15 ± 4 | 11 | 2.2 | 10.0 | 8.5 | 14 |
| Maximal respiration | 58 ± 3 | 118 ± 4 | 249 | 37 | 241 | 202 | 309 |
| Maximal/Protein | 5.8 ± 1.0 | 15 ± 3 | 29 | 7.7 | 29 | 19 | 42 |
| Maximal/CSU | 16 ± 2 | 29 ± 4 | 34 | 7.5 | 34 | 23 | 45 |
| SRC | 11 ± 4 | 56 ± 10 | 172 | 27 | 171 | 140 | 226 |
| SRC/Protein | 1.1 ± 0.3 | 8 ± 2 | 20 | 5.9 | 21 | 12 | 33 |
| SRC/CSU | 2.9 ± 0.9 | 14 ± 2 | 24 | 5.9 | 25 | 14 | 35 |
| ATP production | 33 ± 1 | 43 ± 6 | 58 | 13 | 54 | 45 | 70 |
| ATP/Protein | 3.3 ± 0.6 | 5.5 ± 0.6 | 6.7 | 1.5 | 6.5 | 4.7 | 9.0 |
| ATP/CSU | 8.8 ± 1.1 | 10.5 ± 2.6 | 7.9 | 1.6 | 7.7 | 5.3 | 10.7 |
| Energy Phenotype (ECAR & OCR/ECAR) | |||||||
| Baseline ECAR/protein | 9.3 ± 2.2 | 7.5 ± 0.7 | 5.1 | 1.4 | 4.8 | 3.4 | 7.0 |
| ECAR potential | 1.3 ± 0.1 | 1.6 ± 0.1 | 2.5 | 0.3 | 2.5 | 1.9 | 2.9 |
| Baseline OCR/ECAR | 0.8 ± 0.1 | 1.4 ± 0,1 | 2.6 | 0.5 | 2.8 | 1.6 | 3.0 |
| Stressed OCR/ECAR | 0.7 ± 0.1 | 1.5 ± 0.1 | 2.7 | 0.4 | 2.7 | 2.0 | 3.2 |
Publisher’s Note: MDPI stays neutral with regard to jurisdictional claims in published maps and institutional affiliations. |
© 2022 by the authors. Licensee MDPI, Basel, Switzerland. This article is an open access article distributed under the terms and conditions of the Creative Commons Attribution (CC BY) license (https://creativecommons.org/licenses/by/4.0/).
Share and Cite
Capiau, S.; Smet, J.; De Paepe, B.; Yildiz, Y.; Arslan, M.; Stevens, O.; Verschoore, M.; Stepman, H.; Seneca, S.; Vanlander, A. Clinical Heterogeneity in MT-ATP6 Pathogenic Variants: Same Genotype—Different Onset. Cells 2022, 11, 489. https://doi.org/10.3390/cells11030489
Capiau S, Smet J, De Paepe B, Yildiz Y, Arslan M, Stevens O, Verschoore M, Stepman H, Seneca S, Vanlander A. Clinical Heterogeneity in MT-ATP6 Pathogenic Variants: Same Genotype—Different Onset. Cells. 2022; 11(3):489. https://doi.org/10.3390/cells11030489
Chicago/Turabian StyleCapiau, Sara, Joél Smet, Boel De Paepe, Yilmaz Yildiz, Mutluay Arslan, Olivier Stevens, Maxime Verschoore, Hedwig Stepman, Sara Seneca, and Arnaud Vanlander. 2022. "Clinical Heterogeneity in MT-ATP6 Pathogenic Variants: Same Genotype—Different Onset" Cells 11, no. 3: 489. https://doi.org/10.3390/cells11030489
APA StyleCapiau, S., Smet, J., De Paepe, B., Yildiz, Y., Arslan, M., Stevens, O., Verschoore, M., Stepman, H., Seneca, S., & Vanlander, A. (2022). Clinical Heterogeneity in MT-ATP6 Pathogenic Variants: Same Genotype—Different Onset. Cells, 11(3), 489. https://doi.org/10.3390/cells11030489

