Postprandial Glycogen Content Is Increased in the Hepatocytes of Human and Rat Cirrhotic Liver
Abstract
1. Introduction
2. Materials and Methods
2.1. Patients, Animals, and Procedures
2.2. Tissue Preparation
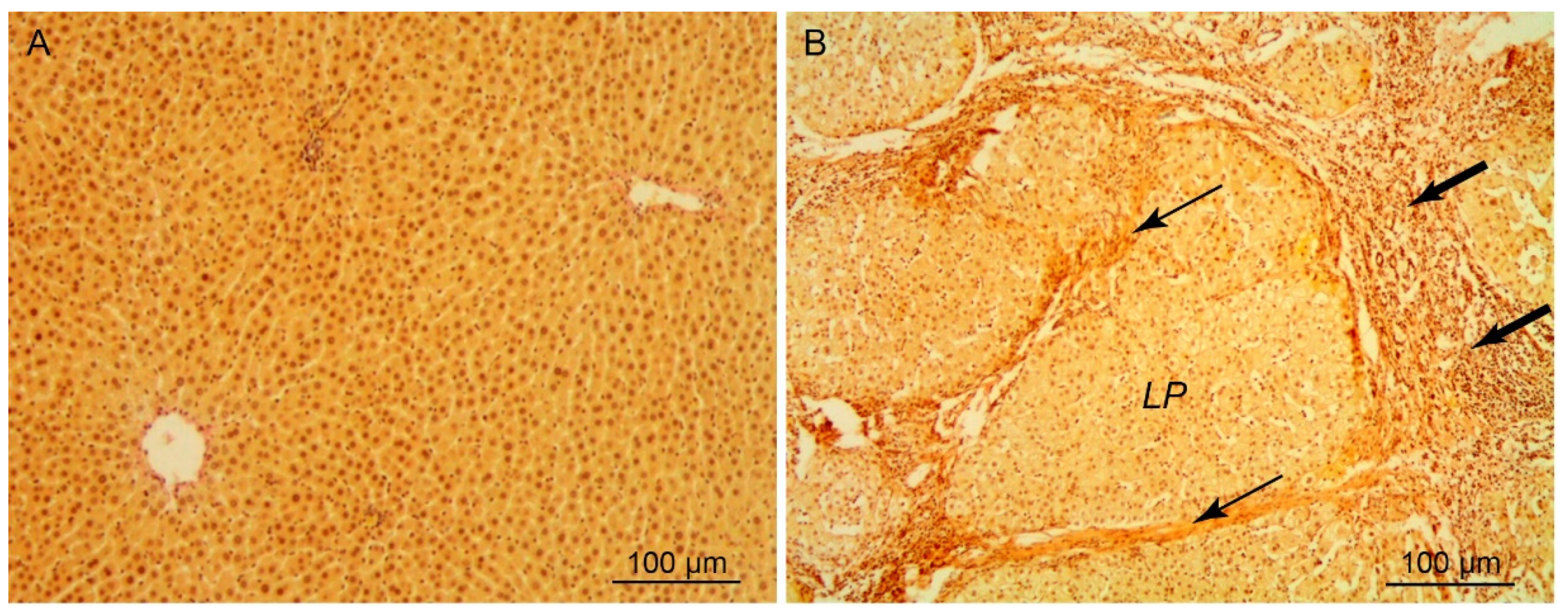
2.3. Histological Analysis
2.4. Smears of Isolated Hepatocytes on Object Slides
2.5. Determination of Dry Weight of Hepatocytes (DWH)
2.6. Determination of Total Glycogen Content (TG) and Its Labile (LF) and Stable (SF) Fractions in Hepatocytes
2.7. The Blood Serum Analysis
2.8. Glycogen Concentration in Rat Livers
2.9. GS and GP Activity in Rat and Human Livers
2.10. G-6-Pase Activity in Rat and Human Livers
2.11. Protein Content in Rat and Human Livers
2.12. Statistical Analysis
3. Results
4. Discussion
5. Conclusions
Author Contributions
Funding
Institutional Review Board Statement
Informed Consent Statement
Data Availability Statement
Conflicts of Interest
References
- Sepanlou, S.G.; Safiri, S.; Bisignano, C.; Ikuta, K.S.; Merat, S.; Saberifiroozi, M.; Poustchi, H.; Tsoi, D.; Colombara, D.V.; Abdoli, A.; et al. The Global, Regional, and National Burden of Cirrhosis by Cause in 195 Countries and Territories, 1990–2017: A Systematic Analysis for the Global Burden of Disease Study 2017. Lancet Gastroenterol. Hepatol. 2020, 5, 245–266. [Google Scholar] [CrossRef]
- Kalaitzakis, E.; Gunnarsdottir, S.A.; Josefsson, A.; Björnsson, E. Increased Risk for Malignant Neoplasms among Patients with Cirrhosis. Clin. Gastroenterol. Hepatol. 2011, 9, 168–174. [Google Scholar] [CrossRef]
- Pinter, M.; Trauner, M.; Peck-Radosavljevic, M.; Sieghart, W. Cancer and Liver Cirrhosis: Implications on Prognosis and Management. ESMO Open 2016, 1, e000042. [Google Scholar] [CrossRef]
- Ganne-Carrié, N.; Nahon, P. Hepatocellular Carcinoma in the Setting of Alcohol-Related Liver Disease. J. Hepatol. 2019, 70, 284–293. [Google Scholar] [CrossRef]
- Anthony, P.P.; Ishak, K.G.; Nayak, N.C.; Poulsen, H.E.; Scheuer, P.J.; Sobin, L.H. The Morphology of Cirrhosis. Recommendations on Definition, Nomenclature, and Classification by a Working Group Sponsored by the World Health Organization. J. Clin. Pathol. 1978, 31, 395–414. [Google Scholar] [CrossRef] [PubMed]
- Zhou, W.-C.; Zhang, Q.-B.; Qiao, L. Pathogenesis of Liver Cirrhosis. World J. Gastroenterol. 2014, 20, 7312–7324. [Google Scholar] [CrossRef] [PubMed]
- Torbenson, M.; Washington, K. Pathology of Liver Disease: Advances in the Last 50 Years. Hum. Pathol. 2020, 95, 78–98. [Google Scholar] [CrossRef]
- Owen, O.E.; Reichle, F.A.; Mozzoli, M.A.; Kreulen, T.; Patel, M.S.; Elfenbein, I.B.; Golsorkhi, M.; Chang, K.H.; Rao, N.S.; Sue, H.S.; et al. Hepatic, Gut, and Renal Substrate Flux Rates in Patients with Hepatic Cirrhosis. J. Clin. Investig. 1981, 68, 240–252. [Google Scholar] [CrossRef]
- Krahenbuhl, S.; Weber, F.L.J.; Brass, E.P. Decreased Hepatic Glycogen Content and Accelerated Response to Starvation in Rats with Carbon Tetrachloride-Induced Cirrhosis. Hepatology 1991, 14, 1189–1195. [Google Scholar] [PubMed]
- Krahenbuhl, L.; Talos, C.; Reichen, J.; Krähenbuhl, S. Progressive Decrease in Tissue Glycogen Content in Rats with Long-Term Cholestasis. Hepatology 1996, 24, 902–907. [Google Scholar] [CrossRef] [PubMed]
- Krähenbühl, L.; Lang, C.; Lüdes, S.; Seiler, C.; Schäfer, M.; Zimmermann, A.; Krähenbühl, S. Reduced Hepatic Glycogen Stores in Patients with Liver Cirrhosis. Liver Int. 2003, 23, 101–109. [Google Scholar] [CrossRef]
- Bush, K.; Kivlahan, D.R.; McDonell, M.B.; Fihn, S.D.; Bradley, K.A. The AUDITalcohol consumption questions (AUDIT-C): An effective brief screening test for problem drinking. Ambulatory Care Quality Improvement Project (ACQUIP). Alcohol Use Disorders Identification Test. Arch. Intern. Med. 1998, 158, 1789–1795. [Google Scholar] [CrossRef]
- Bezborodkina, N.N.; Chestnova, A.Y.; Vorobev, M.L.; Kudryavtsev, B.N. Glycogen Content in Hepatocytes Is Related with Their Size in Normal Rat Liver but Not in Cirrhotic One. Cytom. Part A 2016, 89, 357–364. [Google Scholar] [CrossRef] [PubMed]
- Kudryavtseva, M.V.; Besborodkina, N.N.; Kudryavtsev, B.N. Restoration of the Glycogen-Forming Function of Hepatocytes in Rats with Liver Cirrhosis Is Facilitated by a High-Carbohydrate Diet. Br. J. Nutr. 1999, 81, 473–480. [Google Scholar] [CrossRef]
- Beneke, G. Application of interference microscopy to biological material. In Introduction to Quantitative Cytochemistry; Academic Press: New York, NY, USA, 1966; pp. 63–92. [Google Scholar]
- Pellegrino, C.; Ricci, P.D.; Tongiani, R. A quantitative cytochemical and physiological study of the rat adrenal cortex in hypertrophy after unilateral adrenalectomy. Exp. Cell Res. 1963, 31, 167–182. [Google Scholar] [CrossRef]
- Vardanis, A. Particulate glycogen of mammalian liver: Specificity in binding phosphorylase and glycogen synthase. Biochem. Cell Biol. 1992, 70, 523–527. [Google Scholar] [CrossRef] [PubMed]
- Bezborodkina, N.N.; Chestnova, A.Y.; Okovity, S.V.; Kudryavtsev, B.N. Activity of glycogen synthase and glycogen phosphorylase in normal and cirrhotic rat liver during glycogen synthesis from glucose or fructose. Exp. Toxicol. Pathol. 2014, 66, 147–154. [Google Scholar] [CrossRef] [PubMed]
- Berteloot, A.; Vidal, H.; van de Werve, G. Rapid kinetics of liver microsomal glucose-6-phosphatase. J. Biol. Chem. 1991, 266, 5497–5507. [Google Scholar] [CrossRef]
- Bradford, M.M. A rapid and simple method for quantitation of microgram quantities of proteins utilizing the principle of protein-dye binding. Anal. Biochem. 1976, 72, 248–254. [Google Scholar] [CrossRef]
- Nevzorova, Y.A.; Boyer-Diaz, Z.; Cubero, F.J.; Gracia-Sancho, J. Animal Models for Liver Disease—A Practical Approach for Translational Research. J. Hepatol. 2020, 73, 423–440. [Google Scholar] [CrossRef] [PubMed]
- McLean, E.K.; McLean, A.E.; Sutton, P.M. Instant Cirrhosis. An Improved Method for Producing Cirrhosis of the Liver in Rats by Simultaneous Administration of Carbon Tetrachloride and Phenobarbitone. Br. J. Exp. Pathol. 1969, 50, 502–506. [Google Scholar] [PubMed]
- Proctor, E.; Chatamra, K. High Yield Micronodular Cirrhosis in the Rat. Gastroenterology 1982, 83, 1183–1190. [Google Scholar] [CrossRef]
- Japundzić, I.; Japundzić, M.; Knezević, B.; Mimić-Oka, J. The Influence of Phenobarbital on the Glycogen Concentration of Rat Liver. Experientia 1969, 25, 478–479. [Google Scholar] [CrossRef]
- Mayer, D.; Moore, M.A.; Bannasch, P. Influence of Phenobarbital on Glycogen Metabolism of Rat Liver Pretreated with N-Nitrosomorpholine. Carcinogenesis 1983, 4, 931–933. [Google Scholar] [CrossRef]
- Papich, M.G.; Davis, L.E. Drugs and the Liver. Vet. Clin. N. Am. Small Anim. Pract. 1985, 15, 77–95. [Google Scholar] [CrossRef]
- Zimmerman, H.J. Hepatotoxicity: The Adverse Effects of Drugs and Other Chemicals on the Liver; Appleton-Century-Crofts: New York, NY, USA, 1978; pp. 129–143. ISBN 978-0838537251. [Google Scholar]
- Onori, P.; Morini, S.; Franchitto, A.; Sferra, R.; Alvaro, D.; Gaudio, E. Hepatic Microvascular Features in Experimental Cirrhosis: A Structural and Morphometrical Study in CCl4-Treated Rats. J. Hepatol. 2000, 33, 555–563. [Google Scholar] [CrossRef]
- Sakuta, G.A.; Kudriavtsev, B.N. [The cellular mechanisms of the regeneration of the cirrhotic liver in rats. I. The correlation of the processes of cellular proliferation, polyploidization and hypertrophy after the cessation of chronic exposure to carbon tetrachloride]. Tsitologiia 1996, 38, 1158–1170. [Google Scholar]
- Schmidt-Nielsen, K. Scaling: Why Is Animal Size so Important? Cambridge University Press: Cambridge, UK, 1984; ISBN 0-521-31987-0. [Google Scholar]
- Kruszynska, Y.T.; Meyer-Alber, A.; Darakhshan, F.; Home, P.D.; McIntyre, N. Metabolic Handling of Orally Administered Glucose in Cirrhosis. J. Clin. Investig. 1993, 91, 1057–1066. [Google Scholar] [CrossRef]
- Schofield, Z.; Reed, M.A.; Newsome, P.N.; Adams, D.H.; Günther, U.L.; Lalor, P.F. Changes in Human Hepatic Metabolism in Steatosis and Cirrhosis. World J. Gastroenterol. 2017, 23, 2685–2695. [Google Scholar] [CrossRef]
- Verloh, N.; Einspieler, I.; Utpatel, K.; Menhart, K.; Brunner, S.; Hofheinz, F.; van den Hoff, J.; Wiggermann, P.; Evert, M.; Stroszczynski, C.; et al. In Vivo Confirmation of Altered Hepatic Glucose Metabolism in Patients with Liver Fibrosis/Cirrhosis by (18)F-FDG PET/CT. EJNMMI Res. 2018, 8, 98. [Google Scholar] [CrossRef]
- Giardina, M.G.; Matarazzo, M.; Sacca, L. Kinetic Analysis of Glycogen Synthase and PDC in Cirrhotic Rat Liver and Skeletal Muscle. Am. J. Physiol. Endocrinol. Metab. 1994, 267, E900–E906. [Google Scholar] [CrossRef]
- Kudryavtseva, M.; Bezborodkina, N.N.; Okovity, S.V.; Kudryavtsev, B.N. Metabolic Heterogeneity of Glycogen in Hepatocytes of Patients with Liver Cirrhosis: The Glycogen of the Liver Lobule Zones in Cirrhosis. Eur. J. Gastroenterol. Hepatol. 2001, 13, 693–697. [Google Scholar] [CrossRef][Green Version]
- Nilsson, L.H. Liver glycogen content in man in the postabsorptive state. Scand. J. Clin. Lab. Investig. 1973, 32, 317–323. [Google Scholar] [CrossRef]
- A Task Group of Committee 2 of the International Commission on Radiological Protection. Report of the Task Group on Reference Man; Pergamon Press: Oxford, UK, 1974; p. 480. [Google Scholar]
- Petersen, K.F.; Krssak, M.; Navarro, V.; Chandramouli, V.; Hundal, R.; Schumann, W.C.; Landau, B.R.; Shulman, G.I. Contributions of Net Hepatic Glycogenolysis and Gluconeogenesis to Glucose Production in Cirrhosis. Am. J. Physiol. 1999, 276, E529–E535. [Google Scholar] [CrossRef] [PubMed]
- Young, T.A.; Bailey, S.M.; Van Horn, C.G.; Cunningham, C.C. Chronic Ethanol Consumption Decreases Mitochondrial and Glycolytic Production of ATP in Liver. Alcohol Alcohol. 2006, 41, 254–260. [Google Scholar] [CrossRef] [PubMed]
- Wilson, G.K.; Tennant, D.A.; McKeating, J.A. Hypoxia Inducible Factors in Liver Disease and Hepatocellular Carcinoma: Current Understanding and Future Directions. J. Hepatol. 2014, 61, 1397–1406. [Google Scholar] [CrossRef]
- Ju, C.; Colgan, S.P.; Eltzschig, H.K. Hypoxia-Inducible Factors as Molecular Targets for Liver Diseases. J. Mol. Med. 2016, 94, 613–627. [Google Scholar] [CrossRef] [PubMed]
- Mansouri, A.; Gattolliat, C.-H.; Asselah, T. Mitochondrial Dysfunction and Signaling in Chronic Liver Diseases. Gastroenterology 2018, 155, 629–647. [Google Scholar] [CrossRef]
- Tell, G.; Vascotto, C.; Tiribelli, C. Alterations in the Redox State and Liver Damage: Hints from the EASL Basic School of Hepatology. J. Hepatol. 2013, 58, 365–374. [Google Scholar] [CrossRef]
- Prieto, I.; Monsalve, M. ROS Homeostasis, a Key Determinant in Liver Ischemic-Preconditioning. Redox Biol. 2017, 12, 1020–1025. [Google Scholar] [CrossRef]
- Burchell, A.; Allan, B.B.; Hume, R. Glucose-6-Phosphatase Proteins of the Endoplasmic Reticulum. Mol. Membr. Biol. 1994, 11, 217–227. [Google Scholar] [CrossRef]
- Benedetti, A.; Casini, A.F.; Ferrali, M.; Comporti, M. Studies on the Relationships between Carbon Tetrachloride-Induced Alterations of Liver Microsomal Lipids and Impairment of Glucose-6-Phosphatase Activity. Exp. Mol. Pathol. 1977, 27, 309–323. [Google Scholar] [CrossRef]
- Ohyashiki, T.; Kamata, K.; Takeuchi, M.; Matsui, K. Contribution of Peroxidation Products to Oxidative Inactivation of Rat Liver Microsomal Glucose-6-Phosphatase. J. Biochem. 1995, 118, 508–514. [Google Scholar] [CrossRef] [PubMed]
- Aiston, S.; Green, A.; Mukhtar, M.; Agius, L. Glucose 6-Phosphate Causes Translocation of Phosphorylase in Hepatocytes and Inactivates the Enzyme Synergistically with Glucose. Biochem. J. 2004, 377, 195–204. [Google Scholar] [CrossRef] [PubMed]
- Aiston, S.; Andersen, B.; Agius, L. Glucose 6-Phosphate Regulates Hepatic Glycogenolysis through Inactivation of Phosphorylase. Diabetes 2003, 52, 1333–1339. [Google Scholar] [CrossRef] [PubMed]






| Parameter | Control, n = 5 | Cirrhosis, n = 5 |
|---|---|---|
| Body weight, g | 324 ± 13 | 267 ± 19 1 |
| Liver weight, g | 9.72 ± 0.37 | 11.56 ± 0.55 1 |
| Relative liver weight, % | 3.00 ± 0.06 | 4.33 ± 0.09 3 |
| Serum glucose, mmol/l | 5.54 ± 0.18 | 5.47 ± 0.09 |
| Plasma ALT, mmol/l | 143.2 ± 5.2 | 278.7 ± 9.1 3 |
| Plasma AST, mmol/l | 160.8 ± 8.1 | 228.0 ± 14.6 2 |
| Plasma bilirubin, µmol/l | 0.34 ± 0.04 | 0.58 ± 0.04 2 |
| Plasma total protein, g/l | 6.46 ± 0.14 | 6.10 ± 0.03 1 |
| Parameter | Control, n = 10 | Cirrhosis, n = 13 |
|---|---|---|
| Age, y | 44.7 ± 5.0 | 50.3 ± 4.7 |
| Body weight, g | 71.2 ± 3.5 | 67.4 ± 4.2 |
| Serum glucose, mmol/l | 4.64 ± 0.28 | 4.76 ± 0.19 |
| Plasma ALT, mmol/l | 0.31 ± 0.02 | 1.46 ± 0.20 1 |
| Plasma AST, mmol/l | 0.34 ± 0.02 | 0.84 ± 0.07 1 |
| Plasma bilirubin, µmol/l | 14.50 ± 0.13 | 31.9 ± 6.2 1 |
| Plasma total protein, g/l | 85.7 ± 1.3 | 77.8 ± 1.1 1 |
| Alkaline phosphatase, mmol/l | 98.38 ± 7.25 | 169.78 ± 4.36 1 |
| Parameter | Control, n = 5 | Cirrhosis, n = 5 |
|---|---|---|
| Proportion of parenchyma, % | 88.0 ± 1.1 | 79.2 ± 1.3 2 |
| Proportion of connective tissue, % | 0.84 ± 0.07 | 7.31 ± 0.27 2 |
| Average dry weight of hepatocyte, pg | 943 ± 21 | 1184 ± 56 2 |
| Number of hepatocytes/g liver wet weight | (2.52 ± 0.15) · 108 | (1.81 ± 0.21) · 108 1 |
| Parameter | Control, n = 10 | Cirrhosis, n = 13 |
|---|---|---|
| Proportion of parenchyma, % | 90.6 ± 0.9 | 54.0 ± 2.5 2 |
| Proportion of connective tissue, % | 1.79 ± 0.08 | 36.5 ± 3.3 2 |
| Average dry weight of hepatocytes, pg | 546.0 ± 29.6 | 675.4 ± 41.3 1 |
| Number of hepatocytes/g liver wet weight | (4.81 ± 0.27) · 108 | (2.32 ± 0.29) · 108 2 |
Publisher’s Note: MDPI stays neutral with regard to jurisdictional claims in published maps and institutional affiliations. |
© 2021 by the authors. Licensee MDPI, Basel, Switzerland. This article is an open access article distributed under the terms and conditions of the Creative Commons Attribution (CC BY) license (https://creativecommons.org/licenses/by/4.0/).
Share and Cite
Bezborodkina, N.N.; Okovityi, S.V.; Kudryavtsev, B.N. Postprandial Glycogen Content Is Increased in the Hepatocytes of Human and Rat Cirrhotic Liver. Cells 2021, 10, 976. https://doi.org/10.3390/cells10050976
Bezborodkina NN, Okovityi SV, Kudryavtsev BN. Postprandial Glycogen Content Is Increased in the Hepatocytes of Human and Rat Cirrhotic Liver. Cells. 2021; 10(5):976. https://doi.org/10.3390/cells10050976
Chicago/Turabian StyleBezborodkina, Natalia N., Sergey V. Okovityi, and Boris N. Kudryavtsev. 2021. "Postprandial Glycogen Content Is Increased in the Hepatocytes of Human and Rat Cirrhotic Liver" Cells 10, no. 5: 976. https://doi.org/10.3390/cells10050976
APA StyleBezborodkina, N. N., Okovityi, S. V., & Kudryavtsev, B. N. (2021). Postprandial Glycogen Content Is Increased in the Hepatocytes of Human and Rat Cirrhotic Liver. Cells, 10(5), 976. https://doi.org/10.3390/cells10050976

