Constitutive Cell Proliferation Regulating Inhibitor of Protein Phosphatase 2A (CIP2A) Mediates Drug Resistance to Erlotinib in an EGFR Activating Mutated NSCLC Cell Line
Abstract
1. Introduction
2. Materials and Methods
2.1. Chemicals
2.2. Cell Culture
2.3. Western Immunoblotting
2.4. Cell Proliferation Analysis
2.5. Cell Cycle Analysis
2.6. Genetic Mutation Analysis
2.7. Data Analysis
2.8. GPDI-Model Structure
2.9. Model Estimation and Evaluation Tools
2.10. Live Cell Imaging
2.11. Colony Formation Assay
2.12. Statistical Analysis
3. Results
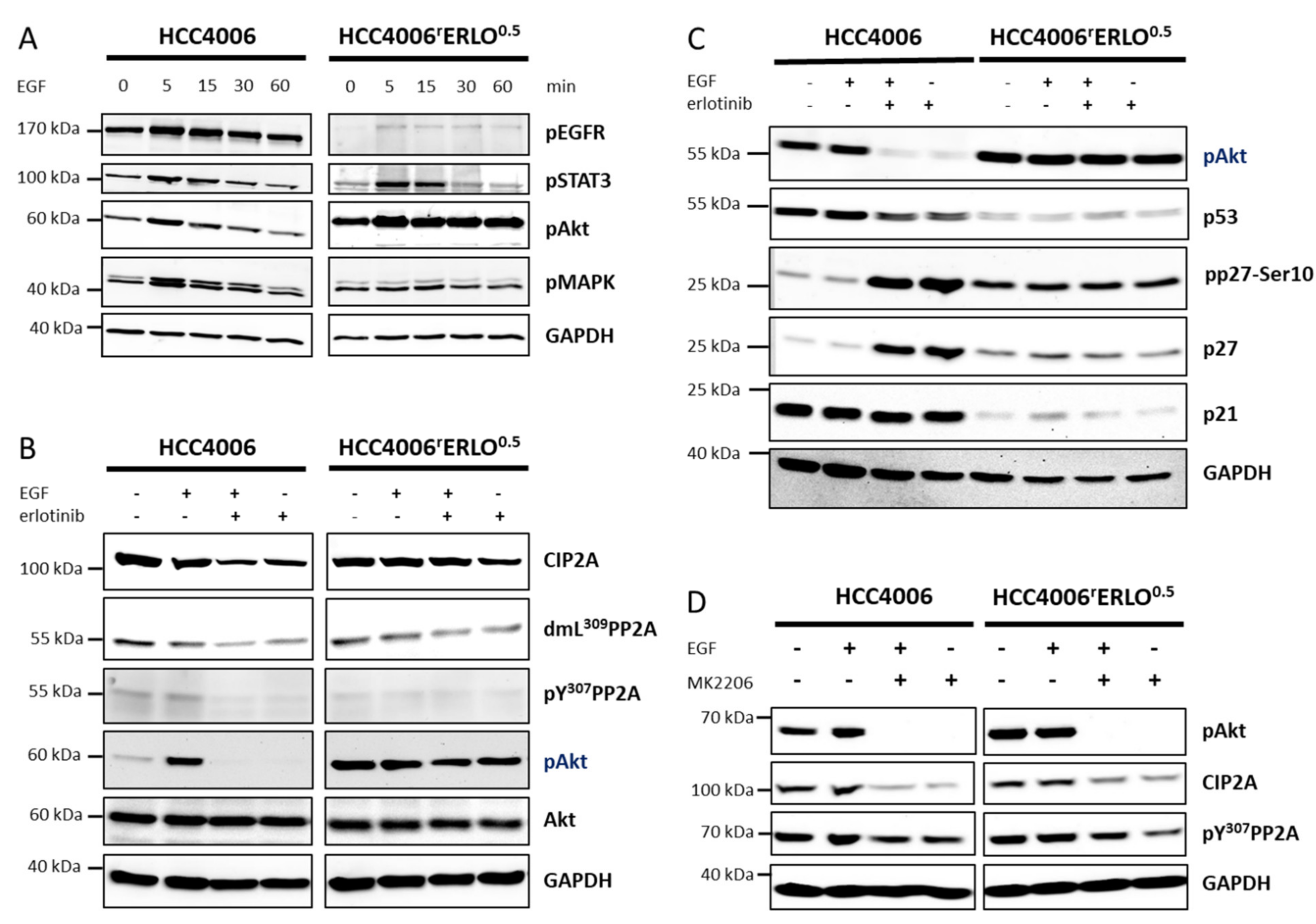
3.1. The CIP2A/PP2A/Akt Signaling Module Is Constitutively Active in HCC4006rErlo0.5 Cells
3.2. Bortezomib Reduces Cellular CIP2A Levels, Inhibits Akt Phosphorylation, and Induces p21 Expression and Cell Cycle Arrest in G2/M Phase
3.3. Combination Analyses Reveal Antagonistic Effects of Erlotinib and Bortezomib in HCC4006 Cells and Sensitization to Bortezomib in HCC4006rErlo0.5 Cells
4. Discussion
5. Conclusions
Supplementary Materials
Author Contributions
Funding
Institutional Review Board Statement
Informed Consent Statement
Data Availability Statement
Acknowledgments
Conflicts of Interest
References
- Alexander, M.; Kim, S.Y.; Cheng, H. Update 2020: Management of Non-Small Cell Lung Cancer. Lung 2020, 198, 897–907. [Google Scholar] [CrossRef]
- Tomasello, C.; Baldessari, C.; Napolitano, M.; Orsi, G.; Grizzi, G.; Bertolini, F.; Barbieri, F.; Cascinu, S. Resistance to EGFR inhibitors in non-small cell lung cancer: Clinical management and future perspectives. Crit. Rev. Oncol. 2018, 123, 149–161. [Google Scholar] [CrossRef] [PubMed]
- Wu, S.-G.; Shih, J.-Y. Management of acquired resistance to EGFR TKI–targeted therapy in advanced non-small cell lung cancer. Mol. Cancer 2018, 17, 1–14. [Google Scholar] [CrossRef] [PubMed]
- Yamaoka, T.; Ohba, M.; Ohmori, T. Molecular-Targeted Therapies for Epidermal Growth Factor Receptor and Its Resistance Mechanisms. Int. J. Mol. Sci. 2017, 18, 2420. [Google Scholar] [CrossRef] [PubMed]
- Citri, A.; Yarden, Y. EGF–ERBB signalling: Towards the systems level. Nat. Rev. Mol. Cell Biol. 2006, 7, 505–516. [Google Scholar] [CrossRef] [PubMed]
- Foerster, S.; Kacprowski, T.; Dhople, V.M.; Hammer, E.; Herzog, S.; Saafan, H.; Bien-Möller, S.; Albrecht, M.; Völker, U.; Ritter, C.A. Characterization of the EGFR interactome reveals associated protein complex networks and intracellular receptor dy-namics. Proteomics 2013, 13, 3131–3144. [Google Scholar] [CrossRef]
- Saafan, H.; Foerster, S.; Parra-Guillen, Z.P.; Hammer, E.; Michaelis, M.; Cinatl, J.; Völker, U.; Fröhlich, H.; Kloft, C.; Ritter, C.A. Utilising the EGFR interactome to identify mechanisms of drug resistance in non-small cell lung cancer—Proof of concept to-wards a systems pharmacology approach. Eur. J. Pharm. Sci. 2016, 94, 20–32. [Google Scholar] [CrossRef]
- Michaelis, M.; Rothweiler, F.; Barth, S.; Cinatl, J.; van Rikxoort, M.; Löschmann, N.; Voges, Y.; Breitling, R.; von Deimling, A.; Rödel, F.; et al. Adaptation of cancer cells from different entities to the MDM2 inhibitor nutlin-3 results in the emergence of p53-mutated multi-drug-resistant cancer cells. Cell Death Dis. 2011, 2, e243. [Google Scholar] [CrossRef]
- Michaelis, M.; Wass, M.N.; Cinatl, J. Drug-adapted cancer cell lines as preclinical models of acquired resistance. Cancer Drug Resist. 2019. [Google Scholar] [CrossRef]
- Chou, T.-C. Theoretical Basis, Experimental Design, and Computerized Simulation of Synergism and Antagonism in Drug Combination Studies. Pharmacol. Rev. 2006, 58, 621–681. [Google Scholar] [CrossRef]
- Loewe, S. Die Quantitativen Probleme der Pharmakologie. Ergeb. Physiol. 1928, 27, 47–187. [Google Scholar] [CrossRef]
- Wicha, S.G.; Chen, C.; Clewe, O.; Simonsson, U.S.H. A general pharmacodynamic interaction model identifies perpetrators and victims in drug interactions. Nat. Commun. 2017, 8, 1–11. [Google Scholar] [CrossRef]
- Sheiner, L.B.; Beal, S.L. Pharmacokinetic parameter estimates from several least squares procedures: Superiority of extended least squares. J. Pharmacokinet. Biopharm. 1985, 13, 185–201. [Google Scholar] [CrossRef] [PubMed]
- Chen, K.-F.; Liu, C.-Y.; Lin, Y.-C.; Yu, H.-C.; Liu, T.-H.; Hou, D.-R.; Chen, P.-J.; Cheng, A.-L. CIP2A mediates effects of bortezomib on phospho-Akt and apoptosis in hepatocellular carcinoma cells. Oncogene 2010, 29, 6257–6266. [Google Scholar] [CrossRef] [PubMed]
- Yu, H.-C.; Hou, D.-R.; Liu, C.-Y.; Lin, C.-S.; Shiau, C.-W.; Cheng, A.-L.; Chen, K.-F. Cancerous inhibitor of protein phos-phatase 2A mediates bortezomib-induced autophagy in hepatocellular carcinoma independent of proteasome. PLoS ONE 2013, 8, e55705. [Google Scholar]
- Ma, L.; Wen, Z.-S.; Liu, Z.; Hu, Z.; Ma, J.; Chen, X.-Q.; Liu, Y.-Q.; Pu, J.-X.; Xiao, W.-L.; Sun, H.-D.; et al. Overexpression and Small Molecule-Triggered Downregulation of CIP2A in Lung Cancer. PLoS ONE 2011, 6, e20159. [Google Scholar] [CrossRef]
- Lei, N.; Peng, B.; Zhang, J.-Y. CIP2A regulates cell proliferation via the AKT signaling pathway in human lung cancer. Oncol. Rep. 2014, 32, 1683–1694. [Google Scholar] [CrossRef]
- Wang, C.-Y.; Chao, T.-T.; Chang, F.-Y.; Chen, Y.-L.; Tsai, Y.-T.; Lin, H.-I.; Huang, Y.-C.T.; Shiau, C.-W.; Yu, C.-J.; Chen, K.-F. CIP2A mediates erlotinib-induced apoptosis in non-small cell lung cancer cells without EGFR mutation. Lung Cancer 2014, 85, 152–160. [Google Scholar] [CrossRef] [PubMed]
- Dong, Q.-Z.; Wang, Y.; Dong, X.-J.; Li, Z.-X.; Tang, Z.-P.; Cui, Q.-Z.; Wang, E.-H. CIP2A is Overexpressed in Non-Small Cell Lung Cancer and Correlates with Poor Prognosis. Ann. Surg. Oncol. 2010, 18, 857–865. [Google Scholar] [CrossRef]
- Xu, P.; Xu, X.-L.; Huang, Q.; Zhang, Z.-H.; Zhang, Y.-B. CIP2A with survivin protein expressions in human non-small-cell lung cancer correlates with prognosis. Med. Oncol. 2011, 29, 1643–1647. [Google Scholar] [CrossRef]
- Cha, G.; Xu, J.; Xu, X.; Li, B.; Lu, S.; Nanding, A.; Hu, S.; Liu, S. High expression of CIP2A protein is associated with tumor aggressiveness in stage I–III NSCLC and correlates with poor prognosis. OncoTargets Ther. 2017, 10, 5907–5914. [Google Scholar] [CrossRef]
- Wei, L.; Qu, W.; Sun, J.; Wang, X.; Lv, L.; Xie, L.; Song, X. Knockdown of cancerous inhibitor of protein phosphatase 2A may sensitize NSCLC cells to cisplatin. Cancer Gene Ther. 2014, 21, 194–199. [Google Scholar] [CrossRef]
- Chao, T.-T.; Wang, C.-Y.; Lai, C.-C.; Chen, Y.-L.; Tsai, Y.-T.; Chen, P.-T.; Lin, H.-I.; Huang, Y.-C.T.; Shiau, C.-W.; Yu, C.-J.; et al. TD-19, an Erlotinib Derivative, Induces Epidermal Growth Factor Receptor Wild-Type Nonsmall-Cell Lung Cancer Apoptosis through CIP2A-Mediated Pathway. J. Pharmacol. Exp. Ther. 2014, 351, 352–358. [Google Scholar] [CrossRef]
- Chao, T.-T.; Wang, C.-Y.; Chen, Y.-L.; Lai, C.-C.; Chang, F.-Y.; Tsai, Y.-T.; Chao, C.-H.H.; Shiau, C.-W.; Huang, Y.-C.T.; Yu, C.-J.; et al. Afatinib induces apoptosis in NSCLC without EGFR mutation through Elk-1-mediated suppression of CIP2A. Oncotarget 2014, 6, 2164–2179. [Google Scholar] [CrossRef]
- Shen, F.; Chen, Y.; Chen, L.; Qin, J.; Li, Z.; Xu, J. Amentoflavone Promotes Apoptosis in Non-Small-Cell Lung Cancer by Modulating Cancerous Inhibitor of PP2A. Anat. Rec. (Hoboken) 2019, 302, 2201–2210. [Google Scholar] [CrossRef]
- Feng, F.; Cheng, P.; Wang, C.; Wang, Y.; Wang, W. Polyphyllin I and VII potentiate the chemosensitivity of A549/DDP cells to cisplatin by enhancing apoptosis, reversing EMT and suppressing the CIP2A/AKT/mTOR signaling axis. Oncol. Lett. 2019, 18, 5428–5436. [Google Scholar] [CrossRef] [PubMed]
- Feng, F.-F.; Cheng, P.; Sun, C.; Wang, H.; Wang, W. Inhibitory effects of polyphyllins I and VII on human cisplatin-resistant NSCLC via p53 upregulation and CIP2A/AKT/mTOR signaling axis inhibition. Chin. J. Nat. Med. 2019, 17, 768–777. [Google Scholar] [CrossRef]
- Xiao, X.; He, Z.; Cao, W.; Cai, F.; Zhang, L.; Huang, Q.; Fan, C.; Duan, C.; Wang, X.; Wang, J.; et al. Oridonin inhibits ge-fitinib-resistant lung cancer cells by suppressing EGFR/ERK/MMP-12 and CIP2A/Akt signaling pathways. Int. J. Oncol. 2016, 48, 2608–2618. [Google Scholar] [CrossRef] [PubMed]
- Liu, P.; Xiang, Y.; Liu, X.; Zhang, T.; Yang, R.; Chen, S.; Xu, L.; Yu, Q.; Zhao, H.; Zhang, L.; et al. Cucurbitacin B Induces the Lysosomal Degradation of EGFR and Suppresses the CIP2A/PP2A/Akt Signaling Axis in Gefitinib-Resistant Non-Small Cell Lung Cancer. Molecules 2019, 24, 647. [Google Scholar] [CrossRef]
- Fischer, N.W.; Prodeus, A.; Gariépy, J. Survival in males with glioma and gastric adenocarcinoma correlates with mutant p53 residual transcriptional activity. JCI Insight 2018, 3, 121364. [Google Scholar] [CrossRef] [PubMed]
- Rho, J.K.; Choi, Y.J.; Ryoo, B.-Y.; Na, I.I.; Yang, S.H.; Kim, C.H.; Lee, J.C. p53 Enhances Gefitinib-Induced Growth Inhibition and Apoptosis by Regulation of Fas in Non–Small Cell Lung Cancer. Cancer Res. 2007, 67, 1163–1169. [Google Scholar] [CrossRef]
- Huang, S.; Benavente, S.; Armstrong, E.A.; Li, C.; Wheeler, D.L.; Harari, P.M. p53 Modulates Acquired Resistance to EGFR Inhibitors and Radiation. Cancer Res. 2011, 71, 7071–7079. [Google Scholar] [CrossRef] [PubMed]
- Sharma, S.V.; Bell, D.W.; Settleman, J.; Haber, D.A. Epidermal growth factor receptor mutations in lung cancer. Nat. Rev. Cancer 2007, 7, 169–181. [Google Scholar] [CrossRef] [PubMed]
- Westermarck, J. Targeted therapies don’t work for a reason; the neglected tumor suppressor phosphatasePP2A strikes back. FEBS J. 2018, 285, 4139–4145. [Google Scholar] [CrossRef]
- Zhao, Q.; Zhao, M.; Parris, A.B.; Xing, Y.; Yang, X. Genistein targets the cancerous inhibitor of PP2A to induce growth inhibition and apoptosis in breast cancer cells. Int. J. Oncol. 2016, 49, 1203–1210. [Google Scholar] [CrossRef] [PubMed]
- Yu, X.-J.; Zhao, Q.; Wang, X.-B.; Zhang, J.-X.; Wang, X.-B. Gambogenic acid induces proteasomal degradation of CIP2A and sensitizes hepatocellular carcinoma to anticancer agents. Oncol. Rep. 2016, 36, 3611–3618. [Google Scholar] [CrossRef] [PubMed]
- Lin, Y.-C.; Chen, K.-C.; Chen, C.-C.; Cheng, A.-L.; Chen, K.-F. CIP2A-mediated Akt activation plays a role in bortezomib-induced apoptosis in head and neck squamous cell carcinoma cells. Oral Oncol. 2012, 48, 585–593. [Google Scholar] [CrossRef]
- Tseng, L.-M.; Liu, C.-Y.; Chang, K.-C.; Chu, P.-Y.; Shiau, C.-W.; Chen, K.-F. CIP2A is a target of bortezomib in human triple negative breast cancer cells. Breast Cancer Res. 2012, 14, 68. [Google Scholar] [CrossRef]
- Yang, W.; Soares, J.; Greninger, P.; Edelman, E.J.; Lightfoot, H.; Forbes, A.S.; Bindal, N.; Beare, D.; Smith, J.A.; Thompson, I.R.; et al. Genomics of Drug Sensitivity in Cancer (GDSC): A resource for therapeutic biomarker discovery in cancer cells. Nucleic Acids Res. 2012, 41, 955–961. [Google Scholar] [CrossRef]
- Michaelis, M.; Wass, M.N.; Reddin, I.; Voges, Y.; Rothweiler, F.; Hehlgans, S.; Cinatl, J.; Mernberger, M.; Nist, A.; Stiewe, T.; et al. YM155-Adapted Cancer Cell Lines Reveal Drug-Induced Heterogeneity and Enable the Identification of Biomarker Candidates for the Acquired Resistance Setting. Cancers 2020, 12, 1080. [Google Scholar] [CrossRef]
- Passaro, A.; Malapelle, U.; Del Re, M.; Attili, I.; Russo, A.; Guerini-Rocco, E.; Fumagalli, C.; Pisapia, P.; Pepe, F.; De Luca, C.; et al. Understanding EGFR heterogeneity in lung cancer. ESMO Open 2020, 5, e000919. [Google Scholar] [CrossRef] [PubMed]






| Parameters | HCC4006 | HCC4006rErlo0.5 | |
|---|---|---|---|
| AIC | −565 | −408 | |
| Erlotinib | EC50 [nM] (95% CI) | 35.2 (29.5–40.9) | 3770 (−980–8514) |
| Emax (95% CI) | 0.586 (0.573–0.600) | 0.426 (0.306–0.546) | |
| H (95% CI) | 3.15 (1.90–4.41) | 0.272 (0.157–0.387) | |
| Bortezomib | EC50 [nM] (95% CI) | 73.0 (60.4–111) | 52.4 (46.1–58.8) |
| Emax (95% CI) | 0.585 (0.568–0.622) | 0.911 (0.867–0.954) | |
| H (95% CI) | 20.7 (−35.2–115) | 1.47 (1.19–1.75) | |
| Erlotinib effect on bortezomib Emax | GDPIINT (95% CI) | −0.492 (−0.595–−0.389) | 0 |
| EC50,INT [nM] (95% CI) | 69.6 (38.6–101) | NA | |
| Bortezomib effect on erlotinib Emax | GDPI_INT (95% CI) | −0.546 (−0.713–−0.380) | 0 |
| EC50,INT [nM] (95% CI) | 117 (64.5–170) | NA |
Publisher’s Note: MDPI stays neutral with regard to jurisdictional claims in published maps and institutional affiliations. |
© 2021 by the authors. Licensee MDPI, Basel, Switzerland. This article is an open access article distributed under the terms and conditions of the Creative Commons Attribution (CC BY) license (http://creativecommons.org/licenses/by/4.0/).
Share and Cite
Saafan, H.; Alahdab, A.; Michelet, R.; Gohlke, L.; Ziemann, J.; Holdenrieder, S.; McLaughlin, K.-M.; Wass, M.N.; Cinatl, J., Jr.; Michaelis, M.; et al. Constitutive Cell Proliferation Regulating Inhibitor of Protein Phosphatase 2A (CIP2A) Mediates Drug Resistance to Erlotinib in an EGFR Activating Mutated NSCLC Cell Line. Cells 2021, 10, 716. https://doi.org/10.3390/cells10040716
Saafan H, Alahdab A, Michelet R, Gohlke L, Ziemann J, Holdenrieder S, McLaughlin K-M, Wass MN, Cinatl J Jr., Michaelis M, et al. Constitutive Cell Proliferation Regulating Inhibitor of Protein Phosphatase 2A (CIP2A) Mediates Drug Resistance to Erlotinib in an EGFR Activating Mutated NSCLC Cell Line. Cells. 2021; 10(4):716. https://doi.org/10.3390/cells10040716
Chicago/Turabian StyleSaafan, Hisham, Ahmad Alahdab, Robin Michelet, Linus Gohlke, Janine Ziemann, Stefan Holdenrieder, Katie-May McLaughlin, Mark N. Wass, Jindrich Cinatl, Jr., Martin Michaelis, and et al. 2021. "Constitutive Cell Proliferation Regulating Inhibitor of Protein Phosphatase 2A (CIP2A) Mediates Drug Resistance to Erlotinib in an EGFR Activating Mutated NSCLC Cell Line" Cells 10, no. 4: 716. https://doi.org/10.3390/cells10040716
APA StyleSaafan, H., Alahdab, A., Michelet, R., Gohlke, L., Ziemann, J., Holdenrieder, S., McLaughlin, K.-M., Wass, M. N., Cinatl, J., Jr., Michaelis, M., Kloft, C., & Ritter, C. A. (2021). Constitutive Cell Proliferation Regulating Inhibitor of Protein Phosphatase 2A (CIP2A) Mediates Drug Resistance to Erlotinib in an EGFR Activating Mutated NSCLC Cell Line. Cells, 10(4), 716. https://doi.org/10.3390/cells10040716

