Genetic Diversity Assessment of Cupressus gigantea W. C. Cheng & L. K. Fu Using Inter-Simple Sequence Repeat Technique
Abstract
1. Introduction
2. Materials and Methods
2.1. Materials
2.2. DNA Extraction
2.3. ISSR Analysis
2.4. Statistical Analysis
3. Results
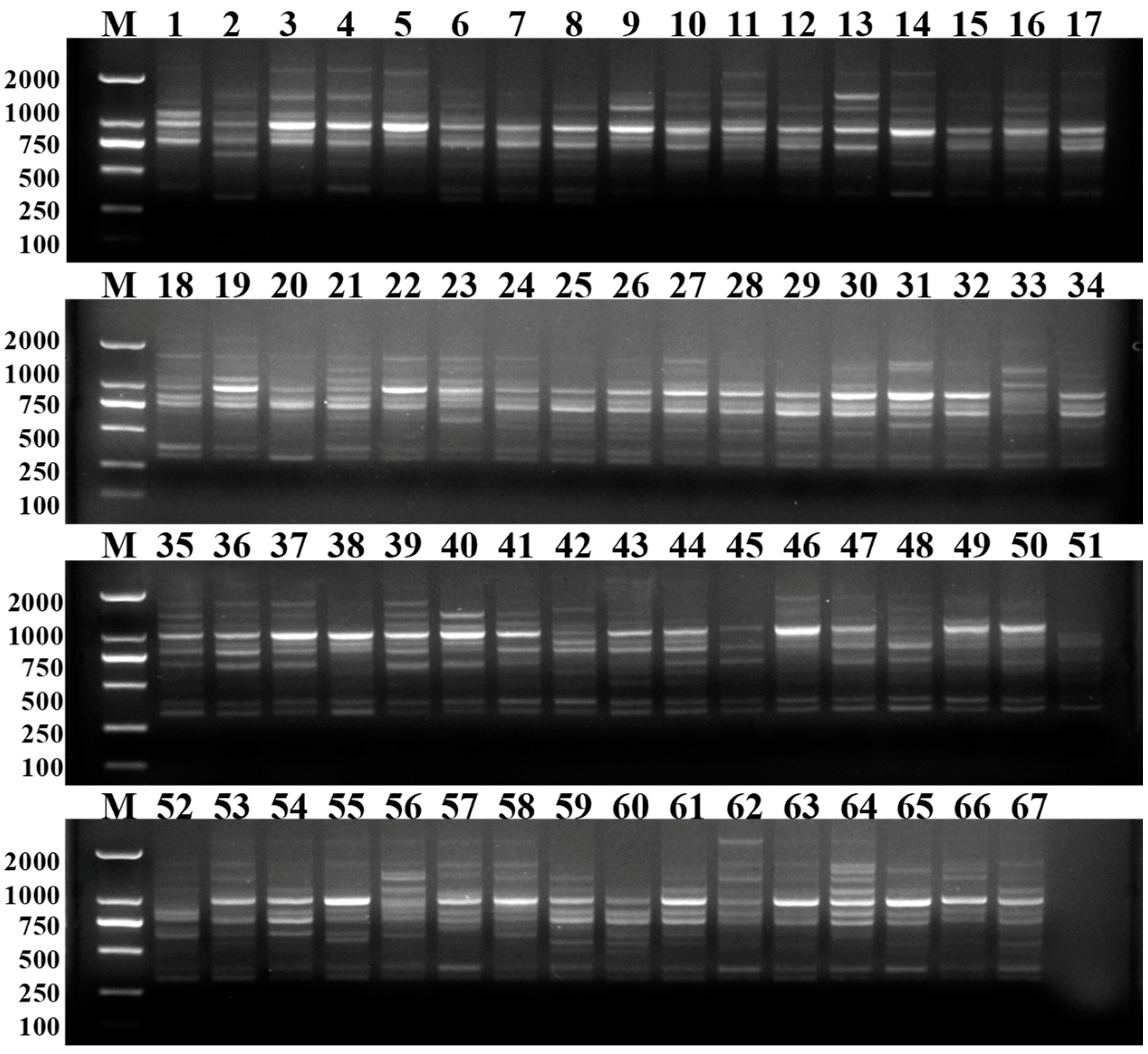
3.1. ISSR Analysis
3.2. Genetic Relationship among C. gigantea Genotypes
3.3. Cluster Analysis in C. gigantea
4. Discussion
5. Conclusions
Author Contributions
Funding
Data Availability Statement
Acknowledgments
Conflicts of Interest
References
- Chen, L. Complete genome sequence of Bacillus velezensis LM2303, a biocontrol strain isolated from the dung of wild yak inhabited Qinghai-Tibet plateau. J. Biotechnol. 2017, 251, 124–127. [Google Scholar] [CrossRef] [PubMed]
- Lei, P.; Liu, Z.; Li, J.; Jin, G.; Xu, L.; Ji, X.; Zhao, X.; Tao, L.; Meng, F. Integration of the Physiology, Transcriptome and Proteome Reveals the Molecular Mechanism of Drought Tolerance in Cupressus gigantea. Forests 2022, 13, 401. [Google Scholar] [CrossRef]
- Yin, Z.; Wang, Y.; Wang, Y.; Sang, L.; Luo, Q.; Meng, F. Improvement on the method of the extraction of total proteins on Cupressus gigantea leaves for two-dimensional gel electrophoresis. J. Cent. South Univ. For. Technol. 2019, 39, 143–146. [Google Scholar]
- Zhou, S.S.; Xing, Z.; Liu, H.; Hu, X.G.; Gao, Q.; Xu, J.; Jiao, S.Q.; Jia, K.H.; Jin, Y.Q.; Zhao, W.; et al. In-depth transcriptome characterization uncovers distinct gene family expansions for Cupressus gigantea important to this long-lived species’ adaptability to environmental cues. BMC Genom. 2019, 20, 213. [Google Scholar] [CrossRef] [PubMed]
- Cheng, G.D.; Wu, T.H. Responses of permafrost to climate change and their environmental significance, Qinghai-Tibet Plateau. J. Geophys. Res.-Earth Surf. 2007, 112. [Google Scholar] [CrossRef]
- Lan, X.; Liao, Z.; Wang, J. The diurnal course of photosynthesis of the endangered species Tibetan Cupressus gigantea in Tibet Plateau. Acta Ecol. Sin. 2005, 25, 3172–3175. [Google Scholar]
- Luo, J.; Wang, J.; Daqing, L.; Pan, G.; Zheng, W. Study on the Characteristics of Cupressus gigantea Communtiy in Tibet. For. Res. 2006, 19, 295–300. [Google Scholar]
- Zheng, W.; Xue, H.; Luo, D.; Wang, J.; Luo, J. Eco-geographic Distribution and Coenology Characteristics of Cupressus gigantea. Sci. Silvae Sin. 2007, 43, 8–15. [Google Scholar]
- Yang, B.; Kang, X.; Braeuning, A.; Liu, J.; Qin, C.; Liu, J. A 622-year regional temperature history of southeast Tibet derived from tree rings. Holocene 2010, 20, 181–190. [Google Scholar] [CrossRef]
- Ma, Y.; Wang, J.; Hu, Q.; Li, J.; Sun, Y.; Zhang, L.; Abbott, R.J.; Liu, J.; Mao, K. Ancient introgression drives adaptation to cooler and drier mountain habitats in a cypress species complex. Commun. Biol. 2019, 2, 213. [Google Scholar] [CrossRef]
- Yin, J.; Zhao, G. Research history and prospect of Cupressus gigantean in Tibetan Plateau. For. Environ. Sci. 2019, 2, 116–122. [Google Scholar]
- Tsering, T. Studies on Genetic Diversity and Variation in Essential Oil of Tibetan Giant Cypress, Cupressus gigantea, and Implications for Its Conservation Biology. Ph.D. Thesis, Fudan University, Shanghai, China, 2008. [Google Scholar]
- Lu, X.; Xu, H.; Li, Z.; Shang, H.; Adams, R.P.; Mao, K. Genetic Diversity and Conservation Implications of Four Cupressus Species in China as Revealed by Microsatellite Markers. Biochem. Genet. 2014, 52, 181–202. [Google Scholar] [CrossRef] [PubMed]
- Zhang, H.; Wei, Y.; Yue, J.; Wang, Z.; Zou, H.; Ji, X.; Zhang, S.; Liu, Z. Prediction of Potential Suitable Areas and Priority Protection for Cupressus gigantea on the Tibetan Plateau. Plants 2024, 13, 896. [Google Scholar] [CrossRef] [PubMed]
- Liu, C.S.; Li, T.; Zhang, R.W.; Wang, C.; Qu, X.; Luo, D.Q. Growth characteristics and biomass model of Cupressus gigantea sapling. Trees-Struct. Funct. 2024, 38, 27–35. [Google Scholar]
- Xin, F.; Wang, Y.; Li, S. DanzengluobuPubuciren. Effects of different temperatures on photosynthesis and rooting of Cupressus gigantea seedlings. J. Zhejiang Univ. Agric. Life Sci. 2019, 45, 102–108. [Google Scholar]
- Li, H.; Guo, Q.; Zheng, W. The complete chloroplast genome of Cupressus gigantea, an endemic conifer species to Qinghai-Tibetan Plateau. Mitochondrial DNA Part A 2016, 27, 3743–3744. [Google Scholar] [CrossRef] [PubMed]
- Wang, J.; Zheng, W.; Pan, G. Relation between Being Endangered and Seed Vigor about Cupressus gigantea in Tibet. Sci. Silvae Sin. 2005, 41, 37–41. [Google Scholar]
- Zhang, L.; Liang, Z.; Zhang, L.; Xing, Z.; Zhang, Y. Effects of tourist disturbance on giant cypress forest in Linzhi, Tibet. Ecol. Environ. Sci. 2009, 18, 1413–1421. [Google Scholar]
- Luo, D.; Guo, Q.; Wang, Z.; Zhao, K. Physiological Response of Three Cypress Species to Drought Stress in Semi-arid Region of Tibet. Acta Bot. Boreali-Occident. Sin. 2011, 31, 1611–1617. [Google Scholar]
- Li, S.; Qian, Z.; Fu, Y.; Zheng, W.; Li, H. Isolation and characterization of polymorphic microsatellites in the Tibetan cypress Cupressus gigantea using paired-end Illumina shotgun sequencing. Conserv. Genet. Resour. 2014, 6, 795–797. [Google Scholar] [CrossRef]
- Li, Y.; Yang, X.; Zhao, K.; Yao, Q.; Zhao, Y. Research on the growth characteristics and model of Cupressus gigantea in southeast Tibet. J. Plateau Agric. 2020, 4, 269–276. [Google Scholar]
- Guo, Q.; Chi, X.; Wang, S.; Ren, Y.; Zheng, W. Types and species diversity of Cupressus communities in Southeast Tibet, China. Ying Yong Sheng Tai Xue Bao = J. Appl. Ecol. 2019, 30, 735–742. [Google Scholar]
- Hamdan, Y.A.S. Genetic diversity analysis of Palestinian safflower (Carthamus tinctorius L.) using inter simple sequence repeat (ISSR) markers. Genet. Resour. Crop Evol. 2024. [Google Scholar] [CrossRef]
- Agarwal, M.; Shrivastava, N.; Padh, H. Advances in molecular marker techniques and their applications in plant sciences. Plant Cell Rep. 2008, 27, 617–631. [Google Scholar] [CrossRef] [PubMed]
- Xia, T.; Meng, L.; Mao, K.; Tian, B.; Miehe, G.; Liu, J. Genetic variation in the Qinghai-Tibetan Plateau endemic and endangered conifer Cupressus gigantea, detected using RAPD and ISSR markers. Silvae Genet. 2008, 57, 85–92. [Google Scholar] [CrossRef]
- Fu, Y.; Li, S.; Guo, Q.; Zheng, W.; Yang, R.; Li, H. Genetic diversity and population structure of two endemic Cupressus (Cupressaceae) species on the Qinghai-Tibetan plateau. J. Genet. 2019, 98, 14. [Google Scholar] [CrossRef]
- Pecina-Quintero, V.; Anaya-López, J.L.; Núñez-Colín, C.A.; Zamarripa-Colmenero, A.; Montes-García, N.; Solís-Bonilla, J.L.; Aguilar-Rangel, M.R. Assessing the genetic diversity of castor bean from Chiapas, México using SSR and AFLP markers. Ind. Crops Prod. 2013, 41, 134–143. [Google Scholar] [CrossRef]
- Liu, S.; Yin, X.G.; Lu, J.N.; Liu, C.; Bi, C.; Zhu, H.B.; Shi, Y.Z.; Zhang, D.; Wen, D.Y.; Zheng, J.; et al. The first genetic linkage map of Ricinus communis L. based on genome-SSR markers. Ind. Crops Prod. 2016, 89, 103–108. [Google Scholar] [CrossRef]
- Zangeneh, M.; Salehi, H. Genetic Diversity as Revealed by Intersimple Sequence Repeat Polymorphism in Narcissus Accessions to Identify the Tolerant Genotypes for Deficit Irrigation. J. Am. Soc. Hortic. Sci. 2019, 144, 92–106. [Google Scholar] [CrossRef]
- Mohamed, H.M.; El-Assal, S.E.-D.S.M.; Gamal El-Din, A.-K.Y.; El-Khishin, D.A. Analysis of genetic diversity and population structure in some Egyptian Berseem (Trifolium alexandrinum) accessions based on ISSR, SCoT and SRAP markers. Genet. Resour. Crop Evol. 2024, 8, 127–132. [Google Scholar] [CrossRef]
- Singh, S.K.; Chhajer, S.; Pathak, R.; Bhatt, R.K.; Kalia, R.K. Genetic diversity of Indian jujube cultivars using SCoT, ISSR, and rDNA markers. Tree Genet. Genom. 2017, 13, 12. [Google Scholar] [CrossRef]
- Al-Turki, T.A.; Basahi, M.A. Assessment of ISSR based molecular genetic diversity of Hassawi rice in Saudi Arabia. Saudi J. Biol. Sci. 2015, 22, 591–599. [Google Scholar] [CrossRef] [PubMed]
- Ballesta, P.; Mora, F.; Contreras-Soto, R.I.; Ruiz, E.; Perret, S. Analysis of the genetic diversity of Eucalyptus cladocalyx (sugar gum) using ISSR markers. Acta Sci.-Agron. 2015, 37, 133–140. [Google Scholar] [CrossRef]
- Bryan, G.J.; McNicoll, J.; Ramsay, G.; Meyer, R.C.; Jong, W.S. Polymorphic simple sequence repeat markers in chloroplast genomes of Solanaceous plants. TAG Theor. Appl. Genet. 1999, 99, 859–867. [Google Scholar] [CrossRef]
- Wolfe, A.; Xiang, Q.; Kephart, S. Assessing hybridization in natural populations of Penstemon (Scrophulariaceae) using hypervariable intersimple sequence repeat (ISSR) bands. Mol. Ecol. 1998, 7, 1107–1125. [Google Scholar] [CrossRef] [PubMed]
- Doyle, J.J. A rapid DNA isolation procedure for small quantities of fresh leaf tissue. Phytochem. Bull. 1987, 19, 11–15. [Google Scholar]
- Xie, G.; Zhang, J.; Zheng, Y.; Peng, X. DNA extraction and optimization of ISSR reaction system for rare and endangered plant Monimopetalum chinense. Guihaia 2007, 27, 817–820. [Google Scholar]
- Sneath, P.H.; Sokal, R.R. Numerical taxonomy. Nature 1962, 193, 855–860. [Google Scholar] [CrossRef]
- Sneath, P.H.A. Numerical Taxonom: The Principles and Practice of Numerical Classification. Classification. 1973.
- Earl, D.A.; Vonholdt, B.M. STRUCTURE HARVESTER: A website and program for visualizing STRUCTURE output and implementing the Evanno method. Conserv. Genet. Resour. 2012, 4, 359–361. [Google Scholar] [CrossRef]
- Excoffier, L.; Smouse, P.E.; Quattro, J.M. Analysis of molecular variance inferred from metric distances among DNA haplotypes: Application to human mitochondrial DNA restriction data. Genetics 1992, 131, 479–491. [Google Scholar] [CrossRef]
- Singh, K.M.; Kumar, B. Molecular Markers: It’s Application in Crop Improvement. J. Crop Sci. Biotechnol. 2009, 12, 168–178. [Google Scholar]
- Batista, D.; Roberto, M.; Bastos, R.F.; Bernard, K.L. Altitudinal distribution of two sibling species of the Drosophila tripunctata group in a preserved tropical forest and their male sterility thermal thresholds. J. Therm. Biol. 2018, 71, 69–73. [Google Scholar] [CrossRef] [PubMed]
- Petit, R.J.; Bialozyt, R.; Garnier-Géré, P.; Hampe, A. Ecology and genetics of tree invasions: From recent introductions to Quaternary migrations. For. Ecol. Manag. 2004, 197, 117–137. [Google Scholar] [CrossRef]
- Petit, R.; Duminil, J.; Fineschi, S.; Giuseppe, V.G. Comparative organization of chloroplast, mitochondrial and nuclear diversity in plant populations. Mol. Ecol. 2005, 14, 689–701. [Google Scholar] [CrossRef] [PubMed]
- Zhang, L.; Zhang, H.G.; Li, X.F. Analysis of genetic diversity in Larix gmelinii (Pinaceae) with RAPD and ISSR markers. Gen. Mol. Res. 2013, 12, 196–207. [Google Scholar] [CrossRef] [PubMed]
- Papageorgiou, A.C.; Kostoudi, C.; Sorotos, I.; Varsamis, G.; Korakis, G.; Drouzas, A.D. Diversity in needle morphology and genetic markers in a marginal Abies cephalonica (Pinaceae) population. Ann. For. Res. 2015, 58, 217–234. [Google Scholar] [CrossRef]
- Makkaoui, M.; Abbas, Y.; El Antry-Tazi, S.; Medraoui, L.; Alami, M.; Rabani, S. Filali-Maltouf, A. Genetic diversity of ten Moroccan populations of Tetraclinis articulata as revealed by Inter Simple Sequence Repeat (ISSR) markers. Bois For. Trop. 2020, 345, 13–23. [Google Scholar] [CrossRef]
- Basheer-Salimia, R.; Mujahed, A. Genetic diversity of grapevine (Vitis vinifera L.) as revealed by ISSR markers. J. Plant Biotechnol. 2019, 46, 1–8. [Google Scholar]
- Kim, H.; Lei, P.; Wang, A.; Liu, S.; Zhao, Y.; Huang, F.; Yu, Z.; Zhu, G.; He, Z.; Tan, D.; et al. Genetic Diversity of Castor Bean (Ricinus communis L.) Revealed by ISSR and RAPD Markers. Agronomy 2021, 11, 457. [Google Scholar] [CrossRef]
- Linos, A.; Nikoloudakis, N.; Katsiotis, A.; Hagidimitriou, M. Genetic structure of the Greek olive germplasm revealed by RAPD, ISSR and SSR markers. Sci. Hortic. 2014, 175, 33–43. [Google Scholar] [CrossRef]
- Asha, K.M.; Sane, A.; Kumar, R.; Biradar, M.S. Molecular characterization of chrysanthemum (Dendranthema grandiflora) genotypes using ISSR and SSR markers. Indian J. Agric. Sci. 2017, 87, 115–121. [Google Scholar]
- Abdollah, K.K.; Aboozar, S. Comprehensive genetic discrimination of Leonurus cardiaca populations by AFLP, ISSR, RAPD and IRAP molecular markers. Mol. Biol. Rep. 2014, 41, 4007–4016. [Google Scholar]
- Xing, C.; Tian, Y.; Guan, F.; Meng, F. Evaluation of genetic diversity in Amygdalus mira (Koehne) Ricker using SSR and ISSR markers. Plant Syst. Evol. 2015, 301, 1055–1064. [Google Scholar] [CrossRef]
- Luo, D.Q.; Qu, X.; Wang, H.Y. Analysis of the Characteristics of Vertical Microclimate in the Ecological Distribution area of Cupressus gigantea. J. Plateau Agric. 2017, 1, 22–26. [Google Scholar]
- Bian, X.; Yang, X.; Li, Y.; Bian, B.; Yin, J. Analysis of effect factors on the root architecture of Cupressus Gigantea (Southeast Tibet). J. Sichuan Univ. Nat. Sci. Ed. 2018, 55, 848–852. [Google Scholar]
- Chen, D. Research status and prospect of Cupressus gigantean in Tibet. Tibet. Sci. Technol. 1995, 2, 7–11. [Google Scholar]





| Primer Name | Primer Sequence (5′-3′) | TNB (n) | NPB (n) | PPB (%) | Range of the Band Size (bp) |
|---|---|---|---|---|---|
| UBC-808 | (AG)8-C | 6 | 5 | 83.33 | 550~2300 |
| UBC-824 | (TC)8-G | 8 | 8 | 100.00 | 700~3100 |
| UBC-827 | (AC)8-G | 8 | 8 | 100.00 | 750~2400 |
| UBC-836 | (AG)8-YA | 4 | 2 | 50.00 | 500~1500 |
| UBC-841 | (GA)8-YC | 6 | 5 | 83.33 | 200~1200 |
| UBC-842 | (GA)8-YG | 6 | 4 | 66.66 | 200~1800 |
| UBC-847 | (CA)8-RC | 8 | 8 | 100.00 | 800~2400 |
| UBC-856 | (AC)8-YA | 10 | 9 | 90.00 | 500~2400 |
| UBC-857 | (AC)8-YG | 13 | 11 | 84.62 | 300~2600 |
| UBC-873 | (GACA)4 | 9 | 7 | 77.77 | 300~2400 |
| Total | ─ | 78.00 | 67.00 | ─ | ─ |
| Mean | ─ | 7.80 | 6.70 | 85.90 | ─ |
| Population Name | N | Latitude (N°) | Longitude (E°) | Altitude (m) | Na | Ne | H | I | NPLs | PPLs (%) |
|---|---|---|---|---|---|---|---|---|---|---|
| Population 4 | 4 | 93°26′50.0″ | 29°06′34.5″ | 2989 | 1.385 ± 0.490 | 1.231 ± 0.343 | 0.137 ± 0.188 | 0.205 ± 0.273 | 30 | 38.46 |
| Population 8 | 4 | 93°07′33.8″ | 29°08′00.0″ | 3067 | 1.551 ± 0.501 | 1.381 ± 0.410 | 0.214 ± 0.213 | 0.315 ± 0.302 | 43 | 55.13 |
| Population 10 | 3 | 93°02′25.3″ | 29°03′00.0″ | 3081 | 1.372 ± 0.486 | 1.253 ± 0.369 | 0.145 ± 0.199 | 0.214 ± 0.287 | 29 | 37.18 |
| Population 11 | 17 | 93°14′46.6″ | 28°59′50.0″ | 3105 | 1.756 ± 0.432 | 1.489 ± 0.381 | 0.280 ± 0.196 | 0.413 ± 0.273 | 59 | 75.64 |
| Population 12 | 13 | 93°09′45.0″ | 29°00′50.0″ | 3048 | 1.615 ± 0.490 | 1.387 ± 0.391 | 0.222 ± 0.207 | 0.330 ± 0.293 | 48 | 61.54 |
| Population 13 | 15 | 93°05′06.8″ | 29°05′48.3″ | 3038 | 1.705 ± 0.459 | 1.443 ± 0.384 | 0.255 ± 0.199 | 0.379 ± 0.280 | 55 | 70.51 |
| Population 14 | 7 | 93°09′10.0″ | 29°05′50.0″ | 3012 | 1.513 ± 0.503 | 1.353 ± 0.399 | 0.199 ± 0.213 | 0.292 ± 0.303 | 40 | 50.28 |
| Population 15 | 4 | 93°10′00.0″ | 29°02′50.0″ | 3024 | 1.333 ± 0.475 | 1.250 ± 0.390 | 0.137 ± 0.205 | 0.199 ± 0.291 | 26 | 33.33 |
| Mean | 1.529 | 1.348 | 0.199 | 0.293 | 41.25 | 52.90 |
| Source | df | MS | Variance Component | Percentage of Variation (%) | Fixation Index |
|---|---|---|---|---|---|
| Among populations | 7 | 22.007 | 1.580 | 14.2 | 0.22480 |
| Within populations | 59 | 9.544 | 9.544 | 85.8 | p < 0.001 |
| Total | 66 | 31.551 | 11.124 | 100 |
Disclaimer/Publisher’s Note: The statements, opinions and data contained in all publications are solely those of the individual author(s) and contributor(s) and not of MDPI and/or the editor(s). MDPI and/or the editor(s) disclaim responsibility for any injury to people or property resulting from any ideas, methods, instructions or products referred to in the content. |
© 2024 by the authors. Licensee MDPI, Basel, Switzerland. This article is an open access article distributed under the terms and conditions of the Creative Commons Attribution (CC BY) license (https://creativecommons.org/licenses/by/4.0/).
Share and Cite
Ji, X.; Jiang, Y.; Li, J.; Lei, P.; Meng, F. Genetic Diversity Assessment of Cupressus gigantea W. C. Cheng & L. K. Fu Using Inter-Simple Sequence Repeat Technique. Agronomy 2024, 14, 970. https://doi.org/10.3390/agronomy14050970
Ji X, Jiang Y, Li J, Lei P, Meng F. Genetic Diversity Assessment of Cupressus gigantea W. C. Cheng & L. K. Fu Using Inter-Simple Sequence Repeat Technique. Agronomy. 2024; 14(5):970. https://doi.org/10.3390/agronomy14050970
Chicago/Turabian StyleJi, Ximei, Yaxuan Jiang, Jianxin Li, Pei Lei, and Fanjuan Meng. 2024. "Genetic Diversity Assessment of Cupressus gigantea W. C. Cheng & L. K. Fu Using Inter-Simple Sequence Repeat Technique" Agronomy 14, no. 5: 970. https://doi.org/10.3390/agronomy14050970
APA StyleJi, X., Jiang, Y., Li, J., Lei, P., & Meng, F. (2024). Genetic Diversity Assessment of Cupressus gigantea W. C. Cheng & L. K. Fu Using Inter-Simple Sequence Repeat Technique. Agronomy, 14(5), 970. https://doi.org/10.3390/agronomy14050970
