Two User-Friendly Molecular Markers Developed for the Identification of Hybrid Lethality Genes in Brassica oleracea
Abstract
1. Introduction
2. Materials and Methods
2.1. Plant Materials
2.2. Primer Design
2.3. Genotyping
2.4. Phenotyping
3. Results
3.1. Identification of Linkage Markers from the Fine-Mapping Primers
3.2. Development of the InDel Marker MBoHL1 Associated with BoHL1
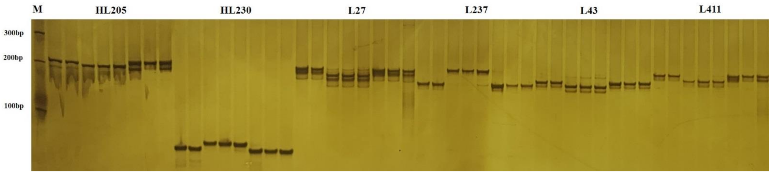
3.3. Development of the KASP Marker KBoHL2 Associated with BoHL2
3.4. Both MBoHL1 and KBoHL2 Showed 100% Accuracy in Identifying HL Genes in Cabbage
4. Discussion
4.1. Molecular Marker Technology
4.2. Prospect of Preventing Hybrid Lethality
5. Conclusions
Supplementary Materials
Author Contributions
Funding
Institutional Review Board Statement
Informed Consent Statement
Data Availability Statement
Acknowledgments
Conflicts of Interest
References
- Fang, Z.; Sun, P.; Liu, Y.; Yang, L.; Wang, X.; Hou, A.; Bian, C. A male sterile line with dominant gene (Ms) in cabbage (Brassica oleracea var. capitata) and its utilization for hybrid seed production. Euphytica 1997, 97, 265–268. [Google Scholar] [CrossRef]
- Lv, H.; Fang, Z.; Yang, L.; Zhang, Y.; Wang, Y. An update on the arsenal: Mining resistance genes for disease management of brassica crops in the genomic era. Hortic. Res. 2020, 7, 34. [Google Scholar] [CrossRef] [PubMed]
- Parkash, C.; Verma, T.; Kumar, P. Genetic analysis of cabbage (Brassica oleracea var capitata) using self-incompatible lines. Indian J. Agric. Sci. 2003, 73, 412–413. [Google Scholar]
- Singh, K.; Jindal, V.; Singh, V.; Pankaj, R. Performance of Bt cotton hybrids under different geometrical arrangements. J. Cotton Res. Dev. 2007, 21, 41–44. [Google Scholar]
- Umakanth, A.; Madhusudhana, R.; Latha, K.; Kaul, S. Heterosis studies for yield and its components in rabi sorghum [Sorghum bicolor (L.) Moench.]. Indian J. Genet. Plant Br. 2003, 63, 2. [Google Scholar]
- Von Meyer, W. Maize Plant Having Increased Seed Yield Through Recessive Genetic Determinants That Confer Expanded Corn Ear Tips. U.S. Patent US20080152144, 13 May 2008. [Google Scholar]
- Makanda, I.; Tongoona, P.; Derera, J. Combining ability and heterosis of sorghum germplasm for stem sugar traits under off-season conditions in tropical lowland environments. Field Crop. Res. 2009, 114, 272–279. [Google Scholar] [CrossRef]
- Troyer, A.F. Adaptedness and heterosis in corn and mule hybrids. Crop. Sci. 2006, 46, 528–543. [Google Scholar] [CrossRef]
- Virmani, S.; Aquino, R.; Khush, G. Heterosis breeding in rice (Oryza sativa L.). Theor. Appl. Genet. 1982, 63, 373–380. [Google Scholar] [CrossRef]
- Hui, L.; Jiye, Y.; Mei, W.; Zhanpin, H.; Lihong, L.; Hanmin, J.; Jia, Y.; Xue, H.; Min, L.; Sun, D. Transcriptome and DNA methylome reveal insights into yield heterosis in the curds of broccoli (Brassica oleracea L var. italic). BMC. Plant Biol. 2018, 18, 168. [Google Scholar]
- Hollingshead, L. Lethal factor in Crepis effective only in an interspecific hybrid. Genetics 1929, 15, 114–140. [Google Scholar] [CrossRef]
- Wiebe, G. Complementary factors in barley giving a lethal progeny. J. Hered. 1934, 25, 273–274. [Google Scholar] [CrossRef]
- Shii, C.; Mok, T.; Temple, S.; Mok, D. Expression of developmental abnormalities in hybrids of Phaseolus vulgaris L. Interaction between temperature and allelic dosage. J. Hered. 1980, 71, 219–222. [Google Scholar] [CrossRef]
- Chen, C.; Chen, H.; Lin, Y.; Shen, J.; Shan, J.; Qi, P.; Shi, M.; Zhu, M.; Huang, X.; Feng, Q.; et al. A two-locus interaction causes interspecific hybrid weakness in rice. Nat. Commun. 2011, 5, 3357. [Google Scholar] [CrossRef] [PubMed]
- Bomblies, K.; Lempe, P.; Epple, N.; Warthmann, C.; Lanz, J.; Dangl, L.; Weigel, D. Autoimmune response as a mechanism for a Dobzhansky-Muller-type incompatibility syndrome in plants. PLoS Biol. 2007, 5, 1962–1972. [Google Scholar] [CrossRef]
- Jeuken, M.; Zhang, N.; McHale, L.; Pelgrom, K.; Lindhout, B.; Michelmore, R.; Vissera, R.; Niksa, R. Rin4 causes hybrid necrosis and race-specific resistance in an interspecific lettuce hybrid. Plant Cell 2009, 21, 3368–3378. [Google Scholar] [CrossRef] [PubMed]
- Chae, E.; Bomblie, K.; Kim, S.; Karelin, D.; Zaidem, M.; Ossowski, S.; Martín-Pizarro, C.; Laitinen, R.; Rowan, B.; Tenenboim, H.; et al. Species-wide genetic incompatibility analysis identifies immune genes as hot spots of deleterious epistasis. Cell 2014, 159, 1341–1351. [Google Scholar] [CrossRef]
- Zuellig, M.; Sweigart, A.; Malik, H. Gene duplicates cause hybrid lethality between sympatric species of Mimulus. PLoS Genet. 2018, 12, 14. [Google Scholar] [CrossRef]
- Hu, Y.; Xue, Y.; Liu, J.; Fang, Z.; Yang, L.; Zhang, Y.; Liu, Y.; Li, Z.; Zhuang, M. Hybrid lethality caused by two complementary dominant genes in cabbage (Brassica oleracea L.). Mol. Breed. 2016, 36, 73. [Google Scholar] [CrossRef]
- Orr, H.; Coyne, J. The genetics of adaptation: A reassessment. Am. Nat. 1992, 140, 725–742. [Google Scholar] [CrossRef]
- Forsdyke, D.R. Regions of relative GC% uniformity are recombinational isolators. J. Biol. Syst. 2004, 12, 261–271. [Google Scholar] [CrossRef]
- Williams, J.; Hanafey, M.; Rafalski, J.; Tingey, S. Genetic analysis using random amplified polymorphic DNA (RAPD) markers. Method Enzymol. 1993, 218, 704–740. [Google Scholar]
- Aveskamp, M.; Woudenberg, J.; Gruyter, J.; Turco, E.; Groenewald, J.; Crous, P. Development of taxon-specific sequence characterized amplified region (SCAR) markers based on actin sequences and DNA amplification fingerprinting (DNF): A case study in the Phoma exigua species complex. Mol. Plant Pathol. 2010, 10, 403–414. [Google Scholar] [CrossRef] [PubMed]
- Charters, Y.; Robertson, A.; Wilkinson, M.; Ramsay, G. PCR analysis of oilseed rape cultivars (Brassica napus L. ssp. oleifera) using 5’-anchored simple sequence repeat (SSR) primers. Theor. Appl. Genet. 1996, 92, 442–447. [Google Scholar] [CrossRef] [PubMed]
- Lv, H.; Yang, L.; Kang, J.; Wang, Q.; Wang, X.; Fang, Z.; Liu, Y.; Zhuang, M.; Zhang, Y.; Lin, Y.; et al. Development of InDel markers linked to Fusarium wilt resistance in cabbage. Mol. Breed. 2013, 32, 961–967. [Google Scholar] [CrossRef]
- Liu, X.; Han, F.; Kong, C.; Fang, Z.; Yang, L.; Zhang, Y.; Zhuang, M.; Liu, Y.; Li, Z. Rapid introgression of the Fusarium Wilt Resistance gene into an elite cabbage line through the combined application of a microspore culture, genome background analysis, and disease resistance-specific marker assisted foreground selection. Front. Plant Sci. 2017, 8, 354. [Google Scholar] [CrossRef] [PubMed]
- Xiao, Z.; Han, F.; Hu, Y.; Xue, Y.; Fang, Z.; Yang, L.; Zhang, Y.; Li, Z.; Wang, Y.; Zhuang, M. Overcoming cabbage crossing incompatibility by the development and application of self-compatibility-QTL-specific markers and genome-wide background analysis. Front. Plant Sci. 2019, 10, 189. [Google Scholar] [CrossRef]
- Yu, H.; Fang, Z.; Liu, Y.; Yang, L.; Zhuang, M.; Lv, H.; Li, Z.; Han, F.; Liu, X.; Zhang, Y. Development of a novel allele-specific Rfo marker and creation of Ogura CMS fertility-restored interspecific hybrids in Brassica oleracea. Theor. Appl. Genet. 2016, 129, 1625–1637. [Google Scholar] [CrossRef]
- Yu, H.; Li, Z.; Yang, L.; Liu, L.; Zhuang, M.; Zhang, L.; Lv, H.; Li, Z.; Han, F.; Liu, X. Morphological and molecular characterization of the second backcross progenies of Ogu-CMS Chinese kale and rapeseed. Euphytica 2017, 213, 55. [Google Scholar] [CrossRef]
- Han, F.; Zhang, X.; Yuan, K.; Fang, Z.; Yang, L.; Zhuang, M.; Zhang, Y.; Wang, Y.; Liu, Y.; Li, Z.; et al. A user-friendly KASP molecular marker developed for the DGMS-based breeding system in Brassica oleracea species. Mol. Breed. 2019, 39, 90. [Google Scholar] [CrossRef]
- Wang, X.W.; Fang, Z.Y.; Sun, P.T.; Liu, Y.M.; Yang, L.M.; Zhuang, M. A SCAR marker applicable in marker assisted selection of a dominant male sterility gene in cabbage. Acta Hortic. Sin. 2000, 27, 143–144. [Google Scholar]
- Xiao, Z.; Hu, Y.; Zhang, X.; Xue, Y.; Fang, Z.; Yang, L.; Zhang, Y.; Liu, Y.; Li, Z.; Liu, X.; et al. Fine mapping and transcriptome analysis reveal candidate genes associated with hybrid lethality in cabbage (Brassica oleracea). Genes 2017, 8, 2–17. [Google Scholar]
- Han, F.; Zhang, X.; Liu, X.; Su, H.; Kong, C.; Fang, Z.; Yang, L.; Zhuang, M.; Zhang, Y.; Liu, Y.; et al. Comparative analysis of genome wide DNA methylation profiles for the genic male sterile cabbage line 01-20S and its maintainer line. Genes 2017, 8, 159. [Google Scholar] [CrossRef] [PubMed]
- Naeela, Q.; Pakeerathan, K.; Kebede, G.; Vallence, N.; Vanessa, W.; Prashanth, B.; Debbie, W.; Matthew, H.; Harbans, B.; Urmil, B. Development of co-dominant KASP markers co-segregating with Ug99 effective stem rust resistance gene Sr26 in wheat. Mol. Breed. 2018, 38, 97. [Google Scholar]
- Yang, G.; Chen, S.; Chen, L.; Gao, W.; Huang, Y.; Huang, C.; Huang, C.; Zhou, D.; Wang, J.; Liu, Y.; et al. Development and utilization of functional KASP markers to improve rice eating and cooking quality through mas breeding. Euphytica 2019, 215, 66. [Google Scholar] [CrossRef]
- Yang, G.; Chen, S.; Chen, L.; Sun, K.; Guo, T. Development of a core SNP arrays based on the KASP method for molecular breeding of rice. Rice 2019, 12, 1–18. [Google Scholar] [CrossRef]
- Ruben, A.; García, A.; Parker, J.; Reymond, M. Incremental steps toward incompatibility revealed by arabidopsis epistatic interactions modulating salicylic acid pathway activation. Proc. Natl. Acad. Sci. USA 2009, 106, 334–339. [Google Scholar]
- Tezuka, T.; Marubashi, W. Genomic factors lead to programmed cell death during hybrid lethality in interspecific hybrids between Nicotiana tabacum and N. debneyi. Sabrao. J. Breed. Genet 2006, 38, 69–81. [Google Scholar]
- Tetsuya, Y.; Wataru, M.; Teruko, N.; Masaru, N. Possible involvement of auxin-induced ethylene in an apoptotic cell death during temperature-sensitive lethality expressed by hybrid between Nicotiana glutinosa and N. repanda. Plant Cell Physiol. 2001, 9, 923–930. [Google Scholar]
- Shintaku, Y.; Yamamoto, K.; Nakajima, T. Interspecific hybridization between Nicotiana repanda Willd and N. tabacum L. through the pollen irradiation technique and the egg cell irradiation technique. Theor. Appl. Genet. 1988, 76, 293–298. [Google Scholar] [CrossRef]
- Tanaka, S. Chromosomal rearrangements in interspecific hybrids between Nicotiana gossei Domin and N. tabacum L., obtained by crossing with pollen exposed to helium ion beams orgamma-rays. Nucl. Instruments. Meth. B 2003, 206, 548–552. [Google Scholar]
- Sharma, D. Use of radiations for breaking hybrid necrosis in wheat. Euphytica 1969, 18, 66–70. [Google Scholar]





| Phenotyping | Primers | Physical Location | BoHL1 Lines | BoHL2 Lines | Control Lines | |||||
|---|---|---|---|---|---|---|---|---|---|---|
| 09-211 | 11-204 | 09-222 | 10-260 | 11-176 | 87-534 | 96-100 | 01-20 | |||
| BoHL1 | LTSSR44 | C1: 23318181 | aa | aa | u | bb | bb | u | bb | bb |
| HL001 | C1: 39731894 | aa | h | bb | bb | bb | bb | bb | bb | |
| HL012 | C1: 39968608 | aa | h | aa | bb | aa | bb | bb | bb | |
| HL028 | C1: 40360684 | aa | aa | aa | bb | bb | bb | bb | bb | |
| D105 | C1: 40363439 | aa | h | bb | bb | bb | bb | bb | bb | |
| HL032 | C1: 40373674 | aa | h | bb | bb | bb | bb | bb | bb | |
| HL051 | C1: 41063342 | aa | bb | aa | bb | bb | aa | aa | bb | |
| X12 | C1: 12987 | aa | bb | aa | aa | aa | aa | aa | bb | |
| X29 | C1: 10008626 | aa | bb | bb | bb | bb | bb | bb | bb | |
| X32 | C1: 10010120 | aa | bb | bb | bb | bb | bb | bb | bb | |
| X37 | C1: 10012611 | aa | bb | aa | bb | aa | aa | bb | bb | |
| X300 | C1: 41434284 | aa | h | aa | cc | d | aa | bb | cc | |
| X247 | C1: 42584137 | aa | bb | aa | bb | bb | aa | bb | bb | |
| X501 | C1: 42670038 | aa | bb | aa | aa | bb | aa | bb | bb | |
| X582 | C1: 42772807 | aa | bb | aa | bb | aa | aa | aa | bb | |
| X584 | C1: 42774048 | aa | bb | aa | aa | aa | aa | aa | aa | |
| X585 | C1: 42774887 | aa | h | aa | bb | aa | aa | aa | bb | |
| X590 | C1: 42779091 | aa | h | aa | bb | aa | aa | aa | bb | |
| X594 | C1: 42793815 | aa | h | aa | bb | aa | aa | aa | bb | |
| X538 | C1: 42864334 | aa | cc | bb | bb | aa | cc | aa | aa | |
| X621 | C1: 42873488 | aa | bb | aa | bb | bb | bb | bb | bb | |
| X623 | C1: 42874011 | aa | h | aa | bb | bb | bb | bb | bb | |
| X624 | C1: 42875365 | aa | h | aa | bb | u | aa | u | u | |
| X626 | C1: 42875871 | aa | h | aa | bb | u | cc | u | u | |
| X541 | C1: 42905646 | aa | aa | bb | bb | aa | bb | aa | bb | |
| X516 | C1: 42920689 | aa | bb | bb | bb | bb | bb | bb | bb | |
| X422 | C1: 42975389 | aa | bb | bb | bb | bb | bb | bb | bb | |
| X458 | C1: 43006885 | aa | bb | bb | bb | bb | bb | bb | bb | |
| X461 | C1: 43034544 | aa | aa | aa | bb | bb | aa | bb | bb | |
| BoHL2 | HL202 | C4: 44545337 | aa | aa | bb | bb | bb | bb | aa | aa |
| HL204 | C4: 44603328 | aa | aa | bb | bb | bb | bb | aa | aa | |
| HL205 | C4:44622468 | aa | aa | bb | bb | bb | aa | aa | aa | |
| HL207 | C4:45681773 | aa | aa | bb | bb | aa | aa | aa | aa | |
| HL208 | C4:45758544 | aa | bb | bb | bb | bb | aa | aa | aa | |
| HL209 | C4:45763718 | aa | bb | bb | bb | bb | aa | aa | aa | |
| HL213 | C4:45955493 | aa | aa | bb | bb | aa | bb | aa | aa | |
| HL223 | C4:46159416 | aa | bb | aa | aa | aa | bb | aa | aa | |
| HL227 | C4:46266526 | aa | h | aa | aa | aa | aa | bb | aa | |
| HL230 | C4:46320472 | aa | aa | bb | bb | bb | aa | aa | aa | |
| HL234 | C4:46336754 | aa | h | bb | bb | bb | aa | aa | aa | |
| HL235 | C4:46408921 | aa | bb | bb | bb | bb | aa | aa | bb | |
| HL239 | C4:47534851 | aa | bb | bb | aa | bb | bb | bb | bb | |
| HL249 | C4:47534851 | aa | h | h | h | aa | aa | aa | aa | |
| HL251 | C4:47619454 | aa | h | bb | bb | aa | bb | aa | aa | |
| L382 | C4:46024699 | aa | bb | bb | bb | aa | bb | bb | aa | |
| L148 | C4:46058658 | aa | bb | bb | bb | bb | aa | bb | aa | |
| L27 | C4:46162407 | aa | aa | bb | bb | bb | aa | aa | aa | |
| L237 | C4:46289641 | aa | aa | bb | bb | bb | aa | aa | aa | |
| L43 | C4:46304511 | aa | aa | bb | bb | bb | aa | aa | aa | |
| L411 | C4:46162346 | aa | aa | bb | bb | bb | aa | aa | aa | |
| L366 | C4:46771685 | aa | cc | bb | bb | aa | cc | aa | aa | |
| L274 | C4:47177899 | aa | cc | bb | bb | aa | aa | aa | cc | |
| L281 | C4:47450452 | aa | cc | bb | bb | aa | aa | aa | cc | |
| L308 | C4:52040075 | aa | h | aa | h | aa | aa | aa | aa | |
Publisher’s Note: MDPI stays neutral with regard to jurisdictional claims in published maps and institutional affiliations. |
© 2021 by the authors. Licensee MDPI, Basel, Switzerland. This article is an open access article distributed under the terms and conditions of the Creative Commons Attribution (CC BY) license (https://creativecommons.org/licenses/by/4.0/).
Share and Cite
Xiao, Z.; Kong, C.; Han, F.; Yang, L.; Zhuang, M.; Zhang, Y.; Wang, Y.; Ji, J.; Li, Z.; Fang, Z.; et al. Two User-Friendly Molecular Markers Developed for the Identification of Hybrid Lethality Genes in Brassica oleracea. Agronomy 2021, 11, 982. https://doi.org/10.3390/agronomy11050982
Xiao Z, Kong C, Han F, Yang L, Zhuang M, Zhang Y, Wang Y, Ji J, Li Z, Fang Z, et al. Two User-Friendly Molecular Markers Developed for the Identification of Hybrid Lethality Genes in Brassica oleracea. Agronomy. 2021; 11(5):982. https://doi.org/10.3390/agronomy11050982
Chicago/Turabian StyleXiao, Zhiliang, Congcong Kong, Fengqing Han, Limei Yang, Mu Zhuang, Yangyong Zhang, Yong Wang, Jialei Ji, Zhansheng Li, Zhiyuan Fang, and et al. 2021. "Two User-Friendly Molecular Markers Developed for the Identification of Hybrid Lethality Genes in Brassica oleracea" Agronomy 11, no. 5: 982. https://doi.org/10.3390/agronomy11050982
APA StyleXiao, Z., Kong, C., Han, F., Yang, L., Zhuang, M., Zhang, Y., Wang, Y., Ji, J., Li, Z., Fang, Z., & Lv, H. (2021). Two User-Friendly Molecular Markers Developed for the Identification of Hybrid Lethality Genes in Brassica oleracea. Agronomy, 11(5), 982. https://doi.org/10.3390/agronomy11050982

