Borate Minerals and RNA Stability
Abstract
:1. Introduction
| Mineral | Formula | MW |
|---|---|---|
| Axinite-(Mn) | Ca2Mn2+Al2(BO3)Si4O12(OH) | 569.21 |
| Canavesite | Mg2(CO3)(HBO3)•5(H2O) | 258.51 |
| Chambersite | Mn2+3B7O13Cl | 483.93 |
| Colemanite | Ca2B6O11•5(H2O) | 411.09 |
| Dravite | NaMg3Al6(BO3)3Si6O18(OH)4 | 958.75 |
| Dumortierite | Al6.9(BO3)(SiO4)3O2.5(OH)0.5 | 569.73 |
| Elbaite | NaLi2.5Al6.5(BO3)3Si6O18(OH)4 | 916.68 |
| Hambergite | Be2(BO3)(OH) | 93.84 |
| Hydroboracite | CaMgB6O8(OH)6•3(H2O) | 413.33 |
| Jeremejevite | Al6B5O15F2.5(OH)0.5 | 511.93 |
| Johachidolite | CaAl(B3O7) | 211.49 |
| Kernite | Na2B4O6(OH)2·3(H2O) | 290.28 |
| Kornerupine | (Mg,Fe2+)4(Al,Fe3+)6(SiO4,BO4)5(O,OH)2 | 734.04 |
| Kurnakovite | MgB3O3(OH)5•5(H2O) | 279,85 |
| Ludwigite | Mg2Fe3+BO5 | 195.26 |
| Painite | CaZrB[Al9O18] | 586.42 |
| Rhodizite | (K,Cs)Al4Be4(B,Be)12O28 | 778.83 |
| Schorl | NaFe2+3Al6(BO3)3Si6O18(OH)4 | 1,053.38 |
| Ulexite | NaCaB5O6(OH)6•5(H2O) | 405.23 |
| Vonsenite | Fe2+2Fe3+BO5 | 258.35 |
2. Results and Discussion
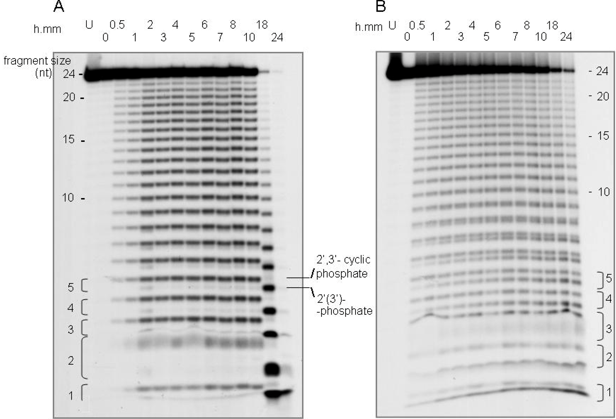
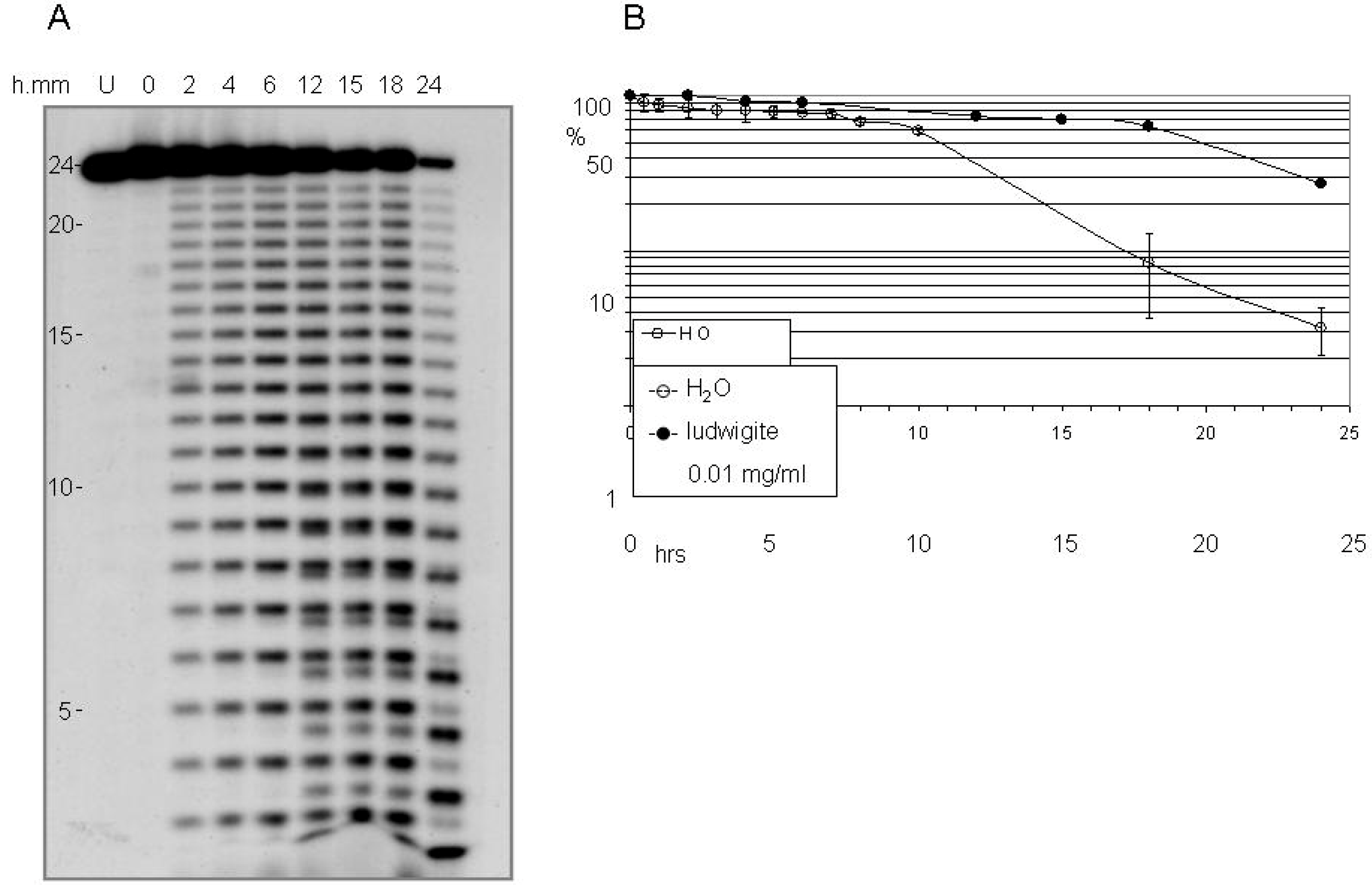
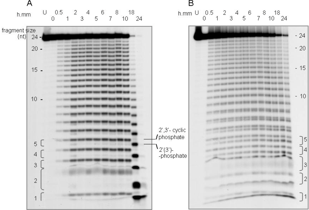
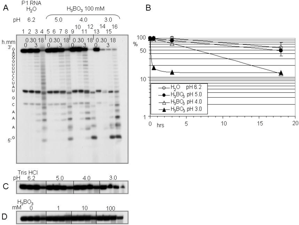
2.1. The RNA stability assay
| Mineral | Boron released1 | pH2 | |||||
|---|---|---|---|---|---|---|---|
| H2O | H2NCOH | ||||||
| 4 hrs | 18 hrs | 4 hrs | 18 hrs | 24 °C | 80 °C | ||
| Ca2Mn2+Al2(BO3)Si4O12(OH) | 1.37 | 2.90 | 0 | 0 | 5.82 | 5.45 | |
| 3.68 | 10.38 | 6.07 | 7.03 | 8.00 | 8.31 | ||
| 0.26 | 1.26 | 0.07 | 0.19 | 6.62 | 6.27 | ||
| 12.52 | 43.87 | 9.07 | 17.75 | 7.38 | 7.56 | ||
| 0.77 | 1.80 | 0 | 0 | 6.12 | 5.72 | ||
| 0.19 | 0.46 | 0 | 0 | 7.15 | 7.20 | ||
| 0.81 | 1.59 | 0 | 0 | 6.18 | 6.26 | ||
| 0.07 | 0.21 | 0 | 0 | 6.68 | 6.02 | ||
| 0.03 | 0.74 | 0 | 0 | 8.26 | 8.61 | ||
| 0.15 | 0.38 | 0 | 0 | 6.38 | 5.82 | ||
| 1.01 | 1.76 | 0 | 0 | 6.21 | 6.14 | ||
| 2.85 | 3.73 | 100.00 | 100.00 | 8.47 | 8.36 | ||
| 0.36 | 0.69 | 0 | 0 | 5.72 | 5.39 | ||
| 2.16 | 5.84 | 0 | 0 | 7.53 | 7.68 | ||
| 0.07 | 0.30 | 0 | 0 | 7.02 | 6.85 | ||
| 1.34 | 2.88 | 0 | 0 | 5.81 | 5.31 | ||
| 0.03 | 0.03 | 0 | 0 | 6.78 | 6.50 | ||
| 0.092 | 0.63 | 0 | 0 | 5.79 | 5.38 | ||
| 25.07 | 70.59 | 3.69 | 8.61 | 7.38 | 7.72 | ||
| 0.73 | 0.81 | -- | 0 | 6.26 | 5.87 | ||
| 5.313 | 4.883 | ||||||
| 5.333 | 4.743 | ||||||

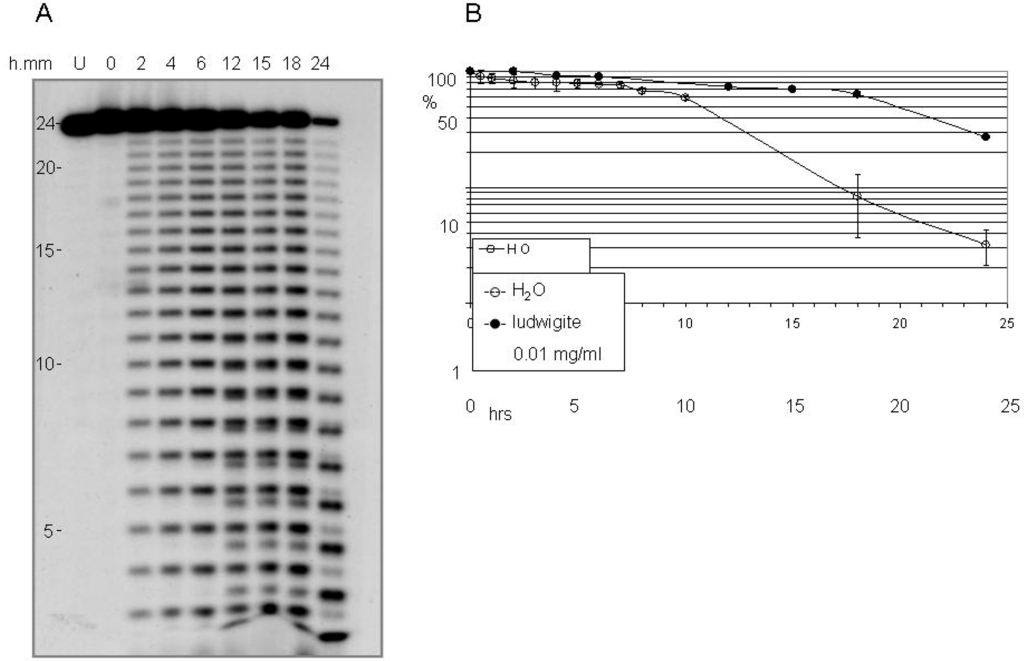
2.2. RNA stability in boron minerals



2.3. The effect of minerals on RNA stability

| H2O | Formamide | H2O | Formamide | H2O | Formamide |
|---|---|---|---|---|---|
| No effect | Protection | Degradation | |||
| Axinite-(Mn) | Jeremejevite * | Rhodizite 1.8 × 103 | Kurnakovite 6 | Canavesite 6.5 × 10 | |
| Colemanite | Ludwigite * | Elbaite 1.5 × 103 | Hydroboracite 8 | Kurnakovite 1.05 × 102 | |
| Dravite | Hambergite * | Ulexite 10 | Hambergite 1.15 × 102 | ||
| Dumortierite | Dumortierite 3 × 10 | Ulexite 1.9 × 102 | |||
| Jeremejevite | Chambersite 3.6 × 10 | Kernite 2 × 102 | |||
| Johachidolite | Axinite-(Mn) 6.5 × 10 | Hydroboracite 2.8 × 102 | |||
| Kornerupine | Kornerupine 7.5 × 10 | Chambersite 3.6 × 102 | |||
| Painite | Schorl 7.8 × 10 | Ludwigite 4 × 102 | |||
| Schorl | Kernite 8 × 10 | ||||
| Vorsenite | Elbaite 1.05 × 102 | ||||
| Vonsenite 1.1 × 102 | |||||
| Painite 1.2 × 102 | |||||
| Canavesite 1.4 × 102 | |||||
| Johachidolite 2.2 × 102 | |||||
| Rhodizite 2.4 × 102 | |||||
| Colemanite 2.5 × 102 | |||||

2.4. The retention of RNA by minerals
3. Experimental Section
3.1. Minerals
3.2. The RNA oligomers used
3.3. RNA preparation and 5’ labelling
3.4. The RNA stability assay
3.5. Measurement of released boron
3.6. Measurement of RNA retained by minerals
| Mineral | 4 hrs | 18 hrs |
|---|---|---|
| Axinite-(Mn) | 84 | 56 |
| Dravite | 72 | 44 |
| Dumortierite | 69 | 41 |
| Elbaite | 93 | 79 |
| Hambergite | 89 | 72 |
| Hydroboracite | 90 | 76 |
| Kornerupine | 76 | 44 |
| Jeremejevite | 49 | 18 |
| Ludwigite | 82 | 52 |
| Painite | 69 | 36 |
| Rhodizite | 30 | 4 |
| Schorl | 80 | 47 |
| Vonsenite | 56 | 39 |
4. Discussion
4.1. The survival of polymers in unprotected abiotic environment
4.2. Why boron
4.3. Is boron prebiotic?
4.4. Protection of RNA by boron minerals: A rare phenomenon
5. Conclusions
Acknowledgements
References
- Joyce, G.F.; Young, R.; Chang, S.; Clark, B.; Deamer, D.; DeVincenzi, D.; Ferris, J.; Irvine, W.; Kasting, J.; Kerridge, J.; Klein, H.; Knoll, A.; Walker, J. Origins of Life: The Central Concepts; Deamer, D.W., Fleischaker, G.R., Eds.; Jones & Bartlett Publishers: Boston, MA, USA, 1994. [Google Scholar]
- Gilbert, W. Origin of life: The RNA world. Nature 1986. [Google Scholar] [CrossRef]
- Orgel, L.E. The origin of life—A review of facts and speculations. Trends Biochem. Sci. 1998, 23, 491–495. [Google Scholar] [CrossRef] [PubMed]
- Orgel, L.E. Prebiotic chemistry and the origin of the RNA world. Crit. Rev. Biochem. Mol. Biol. 2004, 39, 99–123. [Google Scholar] [CrossRef] [PubMed]
- Kruger, K.; Grabowski, P.J.; Zaug, A.J.; Sands, J.; Gottschling, D.E.; Cech, T.R. Self-splicing RNA: Autoexcision and autocyclization of the ribosomal RNA intervening sequence of Tetrahymena. Cell 1982, 31, 147–157. [Google Scholar] [CrossRef] [PubMed]
- Guerrier-Takada, C.; Gardiner, K.; Marsh, T.; Pace, N.; Altman, S. The RNA moiety of ribonuclease P is the catalytic subunit of the enzyme. Cell 1983, 35, 849–857. [Google Scholar] [CrossRef] [PubMed]
- Schmidt, J.G.; Christensen, L.; Nielsen, P.E.; Orgel, L.E. Information transfer from DNA to peptide nucleic acids by template-directed syntheses. Nucl. Acid. Res. 1997, 25, 4792–4796. [Google Scholar] [CrossRef]
- Nielsen, P.E.; Egholm, M.; Berg, R.H.; Buchardt, O. Sequence-selective recognition of DNA by strand displacement with a thymine-substituted polyamide. Science 1991, 254, 1497–1500. [Google Scholar] [CrossRef] [PubMed]
- Benner, S.A.; Hutter, D. Phosphates, DNA, and the search for nonterrean life: a second generation model for genetic molecules. Bioorg. Chem. 2002, 30, 62–80. [Google Scholar]
- Bean, H.D.; Anet, F.A.L.; Gould, I.R.; Hud, N.V. Glyoxylate as a backbone linkage for a prebiotic ancestor of RNA. Orig. Life Evol. Biosph. 2006, 36, 39–63. [Google Scholar] [CrossRef] [PubMed]
- Prieur, B.E. Étude de l'activité prébiotique potentielle de l'acide borique. C. R. Acad. Sci. Ser. IIC Chem. 2001, 4, 667–670. [Google Scholar]
- Ricardo, A.; Carrigan, M.A.; Olcott, A.N.; Benner, S.A. Borate minerals stabilize ribose. Science 2004. [Google Scholar] [CrossRef]
- Li, Q.; Ricardo, A.; Benner, S.A.; Winefordner, J.D.; Powell, D.H. Desorption/ionization on porous silicon mass spectrometry studies on pentose-borate complexes. Anal. Chem. 2005, 77, 4503–4508. [Google Scholar] [CrossRef] [PubMed]
- Sponer, J.E.; Sumpter, B.G.; Leszczynski, J.; Sponer, J.; Fuentes-Cabrera, M. Theoretical study on the factors controlling the stability of the borate complexes of ribose, arabinose, lyxose, and xylose. Chemistry 2008, 14, 9990–9998. [Google Scholar] [CrossRef] [PubMed]
- Ciciriello, F.; Costanzo, G.; Pino, S.; Crestini, C.; Saladino, R.; Di Mauro, E. Molecular complexity favors the evolution of ribopolymers. Biochemistry 2008, 47, 2732–2742. [Google Scholar]
- Saladino, R.; Neri, V.; Crestini, C.; Costanzo, G.; Graciotti, M.; Di Mauro, E. Synthesis and degradation of nucleic acid components by formamide and iron sulfur minerals. J. Am. Chem. Soc. 2008, 130, 15512–15518. [Google Scholar] [CrossRef] [PubMed]
- Saladino, R.; Crestini, C.; Ciciriello, F.; Pino, S.; Costanzo, G.; Di Mauro, E. From formamide to RNA: The roles of formamide and water in the evolution of chemical information. Res. Microb. 2009, 160, 441–448. [Google Scholar] [CrossRef]
- Smith, K.C.; Allen, F.W. The liberation of polynucleotides by the alkaline hydrolysis of ribonucleic acid from yeast. J. Am. Chem. Soc. 1953, 75, 2131–2133. [Google Scholar]
- Lane, B.G.; Butler, G.C. The exceptional resistance of certain oligoribonucleotides to alkaline degradation. Biochim. Biophys. Acta 1959, 33, 281–283. [Google Scholar] [CrossRef] [PubMed]
- Kaukinen, U.; Lyytikäinen, S.; Mikkola, S.; Lönnberg, H. The reactivity of phosphodiester bonds within linear single-stranded oligoribonucleotides strongly dependent on the base sequence. Nucl. Acid. Res. 2002, 30, 468–467. [Google Scholar] [CrossRef]
- Kierzek, R. Nonenzymatic hydrolysis of oligoribonucleotides. Nucl. Acid. Res. 1992, 20, 5079–5084. [Google Scholar] [CrossRef]
- Li, Y.; Breaker, R.R. Kinetics of RNA degradation by specific base catalysis of transesterification involving the 2′-hydroxyl group. J. Am. Chem. Soc. 1999, 121, 5364–5372. [Google Scholar] [CrossRef]
- Bibillo, A.; Figlerowicz, M.; Kierzek, R. The non-enzymatic hydrolysis of oligoribonucleotides. VI. The role of biogenic polyamines. Nucl. Acid. Res. 1999, 27, 3931–3937. [Google Scholar] [CrossRef]
- Friedman, R.A.; Honig, B. A free energy analysis of nucleic acid base stacking in aqueous solution. Biophys. J. 1995, 69, 1528–1535. [Google Scholar] [CrossRef] [PubMed]
- Norberg, J.; Nilsson, L. Stacking free energy profiles for all 16 natural ribodinucleoside monophosphates in aqueous solution. J. Am. Chem. Soc. 1995, 117, 10832–10840. [Google Scholar] [CrossRef]
- Norberg, J.; Nilsson, L. A conformational free energy landscape of ApApA from molecular dynamics simulations. J. Phys. Chem. 1996, 100, 2550–2554. [Google Scholar]
- Norberg, J.; Nilsson, L. Solvent influence on base stacking. Biophys. J. 1998, 74, 394–402. [Google Scholar] [CrossRef] [PubMed]
- Luo, R.H.; Gilson, S.R.; Potter, M.J.; Gilson, M.K. The physical basis of nucleic acid base stacking. Biophys. J. 2001, 80, 140–148. [Google Scholar] [CrossRef] [PubMed]
- Saladino, R.; Crestini, C.; Ciciriello, F.; Di Mauro, E.; Costanzo, G. Origin of informational polymers: Differential stability of phosphoester bonds in ribo monomers and oligomers. J. Biol. Chem. 2006, 281, 5790–5796. [Google Scholar] [PubMed]
- Perreault, D.M.; Anslyn, E.V. Unifying the current data on the mechanism of cleavage-transesterification of RNA. Angew. Chem. Int. Ed. Engl. 1997, 36, 432–450. [Google Scholar] [CrossRef]
- Soukup, G.; Breaker, R. Relationship between internucleotide linkage geometry and the stability of RNA. RNA 1999, 5, 1308–1325. [Google Scholar] [CrossRef] [PubMed]
- Soukup, G.A.; Breaker, RR. Nucleic acid molecular switches. Trends Biotechnol. 1999, 17, 469–476. [Google Scholar] [CrossRef] [PubMed]
- Morrow, J.R.; Aures, K.; Epstein, D.J. Metal ion promoted attack of an alcohol on a phosphate diester: Modelling the role of metal ions in RNA self-splicing reactions. Chem. Comm. 1995, 23, 2431–2432. [Google Scholar] [CrossRef]
- Standard Methods for the Examination of Water and Wastewater, 19th Edition; Greenberg, A.E. (Ed.) American Public Health Association: Washington, DC, USA, 1995.
- Miller, S.L. A production of amino acids under possible primitive earth conditions. Science 1953, 117, 528–529. [Google Scholar] [CrossRef] [PubMed]
- Oró, J.; Kimball, A. Synthesis of adenine from ammonium cyanide. Biochem. Biophys. Res. Commun. 1960, 2, 407–412. [Google Scholar] [CrossRef]
- Delaye, L.; Lazcano, A. Prebiological evolution and the physics of the origin of life. Phys. Life Rev. 2005, 2, 47–64. [Google Scholar] [CrossRef] [PubMed]
- van Holde, K.E. The origin of life: A thermodynamic critique in “The origins of life and evolution”. In The origins of life and evolution; Halvorson, H.O., van Holde, K.E., Eds.; Alan R. Liss, Inc.: New York, NY, USA, 1980; pp. 31–46. [Google Scholar]
- Costanzo, G.; Pino, S.; Ciciriello, F.; Di Mauro, E. Generation of long RNA chains in water. J. Biol. Chem. 2009, 284, 33206–33216. [Google Scholar] [CrossRef] [PubMed]
- Rajamani, S.; Vlassov, A.; Benner, S.; Coombs, A.; Olasagasti, F.; Deamer, D. Lipid-assisted synthesis of RNA-like polymers from mononucleotides. Origin Life Evol. Biosph. 2008, 38, 57–74. [Google Scholar] [CrossRef]
- La Neve, P.; Altieri, F.; Fiori, M.E.; Scaloni, A.; Bozzoni, I.; Caffarelli, E. Purification, cloning, and characterization of XendoU, a novel endoribonuclease involved in processing of intron-encoded small nucleolar RNAs in Xenopus laevis. J. Biol. Chem. 2003, 278, 13026–13032. [Google Scholar] [CrossRef] [PubMed]
- Ciciriello, F.; Costanzo, G.; Pino, S.; Di Mauro, E. Spontaneous generation revisited at the molecular level. In Evolutionary Biology: Concept, Modeling and Application; Pontarotti, P., Ed.; Springer Verlag: Berlin Germany, 2009; pp. 3–22. [Google Scholar]
- Mitsuhashi, S.; Lampen, J.O. Conversion of D-xylose to D-xylulose in extracts of lactobacillus pentosus. J. Biol. Chem. 1953, 204, 1011–1018. [Google Scholar]
- Hochster, R.H.; Watson, R.W. Enzymatic isomerization of. D-xylose to D-xylulose. Arch. Biochem. Biophys. 1954, 48, 120–129. [Google Scholar] [CrossRef] [PubMed]
- Mendicino, J. FEffect of borate on alkali-catalyzed isomerization of sugars. J. Am. Chem. Soc. 1960, 82, 4975–4979. [Google Scholar] [CrossRef]
- Beier, M.; Reck, F.; Wagner, T.; Krishnamurthy, R.; Eschenmoser, A. Chemical etiology of nucleic acid structure: Comparing pentopyranosyl-(2'→4') oligonucleotides with RNA. Science 1999, 283, 699–703. [Google Scholar] [CrossRef] [PubMed]
- Pitsch, S.; Wendeborn, S.; Jaun, B.; Eschenmoser, A. Why pentose- and not hexose-nucleic acids? Part VII. Pyranosyl-RNA (‘p’-RNA). Helv. Chim. Acta 1993, 76, 2161–2183. [Google Scholar]
- Garrett, D.E. Borates: Handbook of Deposits, Processing, Properties, and Use; Academic Press: New York, NY, USA, 1998. [Google Scholar]
- Wells, A.F. Structural Inorganic Chemistry; Clarendon Press: Oxford, UK, 1945; p. 491. [Google Scholar]
- Kawakami, T. Tourmaline breakdown in the migmatite zone of the Ryoke metamorphic belt, SW Japan. J. Metamorph. Geol. 2001, 19, 61–75. [Google Scholar] [CrossRef]
- Costanzo, G.; Saladino, R.; Crestini, C.; Ciciriello, F.; Di Mauro, E. Nucleoside phosphorylation by phosphate minerals. J. Biol. Chem. 2007, 282, 16729–16735. [Google Scholar] [CrossRef]
© 2010 by the authors; licensee MDPI, Basel, Switzerland. This article is an Open Access article distributed under the terms and conditions of the Creative Commons Attribution license (http://creativecommons.org/licenses/by/3.0/).
Share and Cite
Cossetti, C.; Crestini, C.; Saladino, R.; Mauro, E.D. Borate Minerals and RNA Stability. Polymers 2010, 2, 211-228. https://doi.org/10.3390/polym2030211
Cossetti C, Crestini C, Saladino R, Mauro ED. Borate Minerals and RNA Stability. Polymers. 2010; 2(3):211-228. https://doi.org/10.3390/polym2030211
Chicago/Turabian StyleCossetti, Cristina, Claudia Crestini, Raffaele Saladino, and Ernesto Di Mauro. 2010. "Borate Minerals and RNA Stability" Polymers 2, no. 3: 211-228. https://doi.org/10.3390/polym2030211
APA StyleCossetti, C., Crestini, C., Saladino, R., & Mauro, E. D. (2010). Borate Minerals and RNA Stability. Polymers, 2(3), 211-228. https://doi.org/10.3390/polym2030211
