Flame Retardancy Evolution Behavior and Molecular Mechanism of Polyvinyl Chloride Under the Action of Damp Heat Aging
Abstract
1. Introduction
2. Experimental and Simulation Methods
2.1. PVC Wet Heat Aging Test
2.2. Test Method for Flame-Retardant Properties of PVC
2.3. Mechanism of Change in Flame-Retardant Properties of PVC Based on Molecular Dynamics Simulation
3. Effect of Wet Heat Aging on Combustion Characteristics of PVC
3.1. PVC Vertical Burning Phenomenon During Wet Heat Aging Process
3.2. Change of Oxygen Index of PVC Combustion During Wet Heat Aging Process
3.3. Changes in Afterflame and Afterglow Time of PVC During Wet Heat Aging Process
3.4. Fire Rating of PVC Samples
4. Molecular Mechanism of Improved Flame-Retardant Properties of PVC After Wet Heat Aging
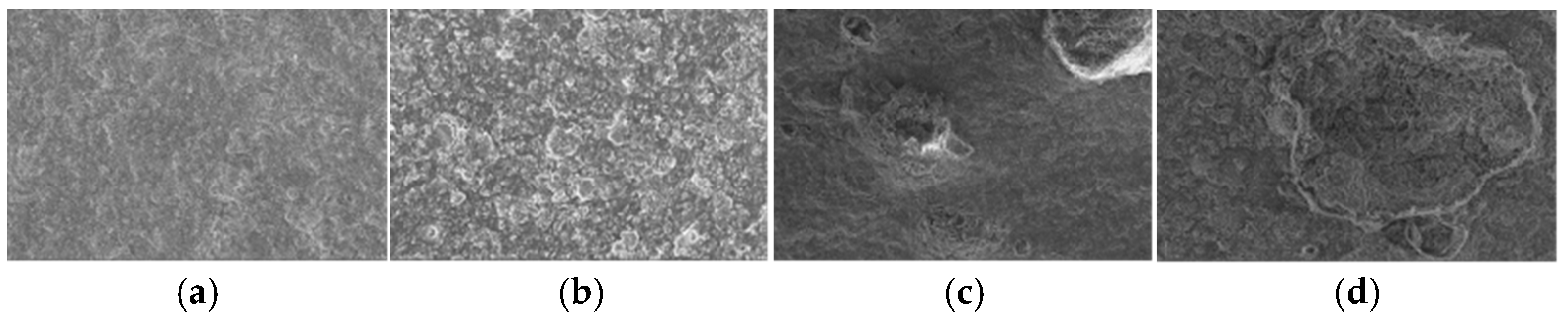
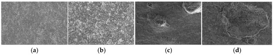
4.1. Microstructure Changes in PVC Before and After Wet Heat Aging
4.2. Diffusion Behavior of Combustibles in PVC Samples Before and After Aging
4.3. Thermal Stability of PVC Surface Before and After Aging
5. Conclusions
- (1)
- As the moist heat aging time of PVC samples increases, the flame brightness diminishes, the oxygen index rises, and the afterflame and afterglow times significantly shorten during the vertical combustion test. These observations suggest that the flame-retardant properties of PVC samples improve as the moist heat aging process progresses. Additionally, the horizontal burning test results classify the fire rating of the PVC samples as HB40.
- (2)
- The volatilization of combustible substances inside PVC samples during wet heat aging is a key factor in enhancing their flame-retardant properties. After wet heat aging, typical combustible substances exhibit stronger diffusion abilities and wider diffusion trajectories within the aged PVC samples. This is primarily due to the reduced interaction between the aged PVC samples and the combustibles compared to unaged PVC samples, allowing the combustibles to diffuse more easily and thereby reducing the risk of combustion.
- (3)
- During the wet heat aging process, the precipitation of CaCO3 on the surface of PVC plays a crucial role in enhancing its flame-retardant properties. This CaCO3 precipitation increases the surface density, cohesive energy density, and intermolecular forces, while simultaneously reducing the free volume fraction and self-diffusion coefficient. As a result, the thermal stability of the aged PVC surface becomes significantly stronger. At typical combustion temperatures ranging from 410 K to 710 K, the aged PVC surface exhibits better thermal stability compared to the unaged PVC surface, further improving its resistance to combustion.
6. Prospect
Author Contributions
Funding
Data Availability Statement
Conflicts of Interest
References
- Barber, K.; Alexander, G. Insulation of Electrical Cables Over the Past 50 Years. IEEE Electr. Insul. Mag. 2013, 29, 27–32. [Google Scholar] [CrossRef]
- Mansour, D.E.A.; Abdel-Gawad, N.M.K.; El Dein, A.Z.; Ahmed, H.M.; Darwish, M.M.F.; Lehtonen, M. Recent Advances in Polymer Nanocomposites Based on Polyethylene and Polyvinylchloride for Power Cables. Materials 2021, 14, 66. [Google Scholar] [CrossRef] [PubMed]
- Babrauskas, V. Mechanisms and modes for ignition of low-voltage, PVC-insulated electrotechnical products. Fire Mater. 2006, 30, 151–174. [Google Scholar] [CrossRef]
- Muniz, P.R.; Teixeira, J.L.; Santos, N.Q.; Magioni, P.L.Q.; Cani, S.P.N.; Fardin, J.F. Prospects of Life Estimation of Low Voltage Electrical Cables Insulated by PVC by Emissivity Measurement. IEEE Trans. Dielectr. Electr. Insul. 2017, 24, 3951–3958. [Google Scholar] [CrossRef]
- Huang, X.Y.; Nakamura, Y. A Review of Fundamental Combustion Phenomena in Wire Fires. Fire Technol. 2020, 56, 315–360. [Google Scholar] [CrossRef]
- Wang, Z.; Wei, R.C.; Wang, X.H.; He, J.J.; Wang, J. Pyrolysis and Combustion of Polyvinyl Chloride (PVC) Sheath for New and Aged Cables via Thermogravimetric Analysis-Fourier Transform Infrared (TG-FTIR) and Calorimeter. Materials 2018, 11, 997. [Google Scholar] [CrossRef]
- Zhao, Y.L.; Zhang, X.L.; Luo, S.F.; Zhang, X.L. Effect of oxygen concentration and external radiation on the thermal decomposition and combustion characteristics of electric wire. J. Therm. Anal. Calorim. 2022, 147, 7775–7784. [Google Scholar] [CrossRef]
- Xie, Q.Y.; Zhang, H.P.; Tong, L. Experimental study on the fire protection properties of PVC sheath for old and new cables. J. Hazard. Mater. 2010, 179, 373–381. [Google Scholar] [CrossRef]
- An, W.G.; Tang, Y.H.; Liang, K.; Wang, T.; Zhou, Y.; Wen, Z.J. Experimental Study on Flammability and Flame Spread Characteristics of Polyvinyl Chloride (PVC) Cable. Polymers 2020, 12, 2789. [Google Scholar] [CrossRef]
- Fernandez-Pello, A.; Hasegawa, H.; Staggs, K.; Lipska-Quinn, A.; Alvares, N. A study of the fire performance of electrical cables. In Fire Safety Science; Routledge: London, UK, 1991; pp. 237–247. [Google Scholar]
- Wang, Z.; Wang, J. A comprehensive study on the flame propagation of the horizontal laboratory wires and flame-retardant cables at different thermal circumstances. Process Saf. Environ. Prot. 2020, 139, 325–333. [Google Scholar] [CrossRef]
- Liu, H.; Wang, W.; Yan, L.; Xu, Z. Flammability degradation behavior and ageing mechanism of flame-retardant cable sheath under different ageing conditions. Polym. Degrad. Stab. 2024, 230, 111019. [Google Scholar] [CrossRef]
- Rybyan, A.A.; Bilichenko, J.V.; Kireev, V.V.; Kolenchenko, A.A.; Chistyakov, E.M. Curing of DER-331 Epoxy Resin with Arylaminocyclotriphosphazenes Based on o-, m-, and p-methylanilines. Polymers 2022, 14, 5334. [Google Scholar] [CrossRef] [PubMed]
- Terekhov, I.V.; Chistyakov, E.M.; Filatov, S.N.; Deev, I.S.; Kurshev, E.V.; Lonskii, S.L. Factors Influencing the Fire-Resistance of Epoxy Compositions Modified with Epoxy-Containing Phosphazenes. Inorg. Mater. Appl. Res. 2019, 10, 1429–1435. [Google Scholar] [CrossRef]
- Vahabi, H.; Sonnier, R.; Ferry, L. Effects of ageing on the fire behaviour of flame-retarded polymers: A review. Polym. Int. 2015, 64, 313–328. [Google Scholar] [CrossRef]
- Dai, X.Z.; Hao, J.; Montanari, G.C.; Jian, Z.; Liao, R.J.; Zheng, X.L. Influence of thermal ageing on high-field polarisation characteristics and conductivity behaviour of submarine polymeric cables insulation. High Volt. 2023, 8, 138–148. [Google Scholar] [CrossRef]
- Dai, X.Z.; Hao, J.; Liao, R.J.; Zheng, X.L.; Gao, Z.; Peng, W.L. Multi-dimensional Analysis and Correlation Mechanism of Thermal Degradation Characteristics of XLPE Insulation for Extra High Voltage Submarine Cable. IEEE Trans. Dielectr. Electr. Insul. 2021, 28, 1488–1496. [Google Scholar] [CrossRef]
- Zhang, T.; Shi, G.R.; Zhang, N.; Du, A.Q.; Wu, Q. Analysis and aging evaluation method of frequency domain dielectric spectroscopy for high-voltage XLPE submarine cables. Electr. Eng. 2024, 106, 3403–3413. [Google Scholar] [CrossRef]
- Liu, S.S.; Fifield, L.S.; Bowler, N. Aging mechanisms of filled cross-linked polyethylene (XLPE) cable insulation material exposed to simultaneous thermal and gamma radiation. Radiat. Phys. Chem. 2021, 185, 109486. [Google Scholar] [CrossRef]
- Hedir, A.; Moudoud, M.; Lamrous, O.; Rondot, S.; Jbara, O.; Dony, P. Ultraviolet radiation aging impact on physicochemical properties of crosslinked polyethylene cable insulation. J. Appl. Polym. Sci. 2020, 137, 48575. [Google Scholar] [CrossRef]
- Wang, B.B.; Zhao, K.M.; Zhang, Y.; Tao, Y.J.; Zhou, X.; Song, L.; Jie, G.X.; Hu, Y. Influence of aging conditions on the mechanical properties and flame retardancy of HIPS composites. J. Appl. Polym. Sci. 2018, 135, 46339. [Google Scholar] [CrossRef]
- Ye, W.Y.; Hao, J.; Gao, C.Y.; Zhang, J.W.; Zhang, J.Y.; Liao, R.J. Discharge Mechanism Difference Analysis Between Natural Ester and Mineral Oil Under Impulse Electric Field: A DFT Investigation. IEEE Trans. Dielectr. Electr. Insul. 2022, 29, 1803–1810. [Google Scholar] [CrossRef]
- Ye, W.Y.; Hao, J.; Zhang, J.Y.; Zhang, J.W.; Gao, C.Y.; Liao, R.J. Atomic scale microparameter analysis of modified natural ester molecules related to impulse discharge characteristics under electric field. Renew. Energy 2023, 219, 119394. [Google Scholar] [CrossRef]
- Olowookere, F.V.; Al Alshaikh, A.; Bara, J.E.; Turner, C.H. Effects of chain length on the structure and dynamics of polyvinyl chloride during atomistic molecular dynamics simulations. Mol. Simul. 2023, 49, 1401–1412. [Google Scholar] [CrossRef]
- Ye, W.; Hao, J.; Zhang, J.; Zhang, H.; Zhang, J.; Liao, R. Macroscopic behavior and microscopic mechanism analysis of lightning impulse breakdown properties of three-element mixed insulation oil under long oil gap. CSEE J. Power Energy Syst. 2024, 1–9. [Google Scholar]
- Li, D.Y.; Panchal, K.; Vasudevan, N.K.; Mafi, R.; Xi, L. Effects of molecular design parameters on plasticizer performance in poly(vinyl chloride): A comprehensive molecular simulation study. Chem. Eng. Sci. 2022, 249, 117334. [Google Scholar] [CrossRef]
- Ye, W.; Hao, J.; Zhu, M.; Li, J.; Liao, R. Low temperature breakdown behavior analysis of natural esters from the perspective of molecular structure. J. Mol. Liq. 2020, 318, 114032. [Google Scholar] [CrossRef]
- Ye, W.; Hao, J.; Zhang, J.; Li, H.; Zhang, J.; Liao, R. Lightning impulse breakdown behavior of natural ester and modified natural ester under long oil gap: An experiment and first-principles simulation analysis. Ind. Crops Prod. 2024, 210, 118087. [Google Scholar] [CrossRef]
- Ye, W.; Gao, C.; Hao, J.; Che, H.; Zhang, J.; Liao, R. Effects of Structural Changes on Mechanical Properties of XLPE with Different Cross-linking Modes During Thermal Oxidative Aging: A Theoretical Analysis. IEEE Trans. Dielectr. Electr. Insul. 2025, 1. [Google Scholar] [CrossRef]
- ISO 294-1:2017; Plastics—Injection Moulding of Test Specimens of Thermoplastic Materials Part 1: General Principles, and Moulding of Multipurpose and Bar Test Specimens. ISO: Geneva, Switzerland, 2017.
- IEC 60068-2-78:2012; Environmental Testing—Part 2-78: Tests—Test Cab: Damp Heat, Steady State. IEC: Geneva, Switzerland, 2012.
- IEC 60695-11-10:2013; Fire Hazard Testing—Part 11-10: Test Flames—50 W Horizontal and Vertical Flame Test Methods. IEC: Geneva, Switzerland, 2013.
- ISO 22309:2011; Microbeam Analysis—Quantitative Analysis Using Energy-Dispersive Spectrometry (EDS) for Elements with an Atomic Number of 11 (Na) or Above. ISO: Geneva, Switzerland, 2011.
- Xu, S.J.; Hu, Y.Y.; Tahir, M.H.; Hu, W.J.; Zhang, P.F.; Tang, Y.L. Copyrolysis characteristics of polyvinyl chloride, polyethylene and polypropylene based on ReaxFF molecular simulation. Comput. Theor. Chem. 2023, 1229, 114350. [Google Scholar] [CrossRef]












| Element | S0 | S6 |
|---|---|---|
| C | 56.04 | 40.47 |
| O | 39.13 | 50.18 |
| Cl | 2.96 | 1.75 |
| Ca | 1.87 | 7.6 |
| Unaged PVC Smaple | Aged PVC Smaple | |
|---|---|---|
| Interaction energy | −123.77 | −118.99 |
| Vdw interaction energy | −97.33 | −89.26 |
| Coulomb interaction energy | −26.44 | −29.73 |
Disclaimer/Publisher’s Note: The statements, opinions and data contained in all publications are solely those of the individual author(s) and contributor(s) and not of MDPI and/or the editor(s). MDPI and/or the editor(s) disclaim responsibility for any injury to people or property resulting from any ideas, methods, instructions or products referred to in the content. |
© 2025 by the authors. Licensee MDPI, Basel, Switzerland. This article is an open access article distributed under the terms and conditions of the Creative Commons Attribution (CC BY) license (https://creativecommons.org/licenses/by/4.0/).
Share and Cite
Xu, K.; Gao, C.; Liu, X.; Liu, X.; Jie, G.; Deng, J.; Qiao, X.; Zeng, W. Flame Retardancy Evolution Behavior and Molecular Mechanism of Polyvinyl Chloride Under the Action of Damp Heat Aging. Polymers 2025, 17, 794. https://doi.org/10.3390/polym17060794
Xu K, Gao C, Liu X, Liu X, Jie G, Deng J, Qiao X, Zeng W. Flame Retardancy Evolution Behavior and Molecular Mechanism of Polyvinyl Chloride Under the Action of Damp Heat Aging. Polymers. 2025; 17(6):794. https://doi.org/10.3390/polym17060794
Chicago/Turabian StyleXu, Ke, Chenyu Gao, Xin Liu, Xiuzhen Liu, Ganxin Jie, Jun Deng, Xinhan Qiao, and Wentian Zeng. 2025. "Flame Retardancy Evolution Behavior and Molecular Mechanism of Polyvinyl Chloride Under the Action of Damp Heat Aging" Polymers 17, no. 6: 794. https://doi.org/10.3390/polym17060794
APA StyleXu, K., Gao, C., Liu, X., Liu, X., Jie, G., Deng, J., Qiao, X., & Zeng, W. (2025). Flame Retardancy Evolution Behavior and Molecular Mechanism of Polyvinyl Chloride Under the Action of Damp Heat Aging. Polymers, 17(6), 794. https://doi.org/10.3390/polym17060794

