Chitosanase Production from the Liquid Fermentation of Squid Pens Waste by Paenibacillus elgii
Abstract
:1. Introduction
2. Materials and Methods
2.1. Materials
2.2. Chitosanase Assay
2.3. Production Condition Screening
2.4. Production Optimization
2.5. Chitosanase Purification
2.6. Mass Spectrometry and Protein Identification
2.7. Characterization of Paenibacillus elgii TKU051 Chitosanase
2.8. Thin-Layer Chromatography (TLC) Analysis of Hydrolysis Products
3. Results and Discussion
3.1. Screening of Carbon/Nitrogen Source and Culture Factors for the Chitosanase Productivity of Paenibacillus elgii TKU051
3.2. Production Optimization of Paenibacillus elgii TKU051 Chitosanase
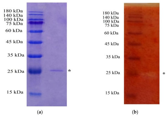
3.3. Enzyme Purification and Identification
3.4. Biochemical Characteristic of Paenibacillus elgii TKU051 Chitosanase
3.5. Hydrolysis Products
4. Conclusions
Author Contributions
Funding
Institutional Review Board Statement
Data Availability Statement
Conflicts of Interest
References
- Fernández, T.; Olave, G.; Valencia, C.H.; Arce, S.; Quinn, J.M.; Thouas, G.A.; Chen, Q.Z. Effects of calcium phosphate/chitosan composite on bone healing in rats: Calcium phosphate induces osteon formation. Tissue Eng. Part A 2014, 20, 1948–1960. [Google Scholar] [CrossRef]
- Shen, B.; Sun, S.; Zhu, L.; Yu, J.; Jiang, L. Intelligent Bio-FeS-loaded chitosan films with H2O2 rapid response for advanced waterproof and antibacterial food packaging. Food Packag. Shelf Life 2023, 37, 101083. [Google Scholar] [CrossRef]
- Stefanowska, K.; Woźniak, M.; Dobrucka, R.; Ratajczak, I. Chitosan with natural additives as a potential food packaging. Materials 2023, 16, 1579. [Google Scholar] [CrossRef]
- Kulka, K.; Sionkowska, A. Chitosan based materials in cosmetic applications: A review. Molecules 2023, 28, 1817. [Google Scholar] [CrossRef] [PubMed]
- Xia, Y.; Wang, D.; Liu, D.; Su, J.; Jin, Y.; Wang, D.; Han, B.; Jiang, Z.; Liu, B. Applications of chitosan and its derivatives in skin and soft tissue diseases. Front. Bioeng. Biotechnol. 2022, 10, 894667. [Google Scholar] [CrossRef] [PubMed]
- Bandara, S.; Du, H.; Carson, L.; Bradford, D.; Kommalapati, R. Agricultural and biomedical applications of chitosan-based nanomaterials. Nanomaterials 2020, 10, 1903. [Google Scholar] [CrossRef]
- Elgadir, M.A.; Mariod, A.A. Gelatin and chitosan as meat by-products and their recent applications. Foods 2023, 12, 60. [Google Scholar] [CrossRef]
- Doan, C.T.; Tran, T.N.; Nguyen, V.B.; Tran, T.D.; Nguyen, A.D.; Wang, S.-L. Bioprocessing of squid pens waste into chitosanase by Paenibacillus sp. TKU047 and its application in low-molecular weight chitosan oligosaccharides production. Polymers 2020, 12, 1163. [Google Scholar] [CrossRef]
- Doan, C.T.; Tran, T.N.; Nguyen, V.B.; Nguyen, A.D.; Wang, S.L. Production of a thermostable chitosanase from shrimp heads via Paenibacillus mucilaginosus TKU032 conversion and its application in the preparation of bioactive chitosan oligosaccharides. Mar. Drugs 2019, 17, 217. [Google Scholar] [CrossRef]
- Sun, T.; Qin, Y.; Xu, H.; Xie, J.; Hu, D.; Xue, B.; Hua, X. Antibacterial activities and preservative effect of chitosan oligosaccharide Maillard reaction products on Penaeus vannamei. Int. J. Biol. Macromol. 2017, 105, 764–768. [Google Scholar] [CrossRef]
- Anil, S. Potential medical applications of chitooligosaccharides. Polymers 2022, 14, 3558. [Google Scholar] [CrossRef] [PubMed]
- Chen, H.; Lin, B.; Zhang, R.; Gong, Z.; Wen, M.; Su, W.; Zhou, J.; Zhao, L.; Wang, J. Controllable preparation of chitosan oligosaccharides via a recombinant chitosanase from marine Streptomyces lydicus S1 and its potential application on preservation of pre-packaged tofu. Front. Microbiol. 2022, 13, 1007201. [Google Scholar] [CrossRef] [PubMed]
- Chen, T.; Cheng, G.; Jiao, S.; Ren, L.; Zhao, C.; Wei, J.; Han, J.; Pei, M.; Du, Y.; Li, J.-J. Expression and biochemical characterization of a novel marine chitosanase from Streptomyces niveus suitable for preparation of chitobiose. Mar. Drugs 2021, 19, 300. [Google Scholar] [CrossRef]
- Zheng, Q.; Meng, X.; Cheng, M.; Li, Y.; Liu, Y.; Chen, X. Cloning and characterization of a new chitosanase from a deep-sea bacterium Serratia sp. QD07. Front. Microbiol. 2021, 12, 360. [Google Scholar] [CrossRef]
- Zhang, L.-L.; Jiang, X.-H.; Xiao, X.-F.; Zhang, W.-X.; Shi, Y.-Q.; Wang, Z.-P.; Zhou, H.-X. Expression and characterization of a novel cold-adapted chitosanase from Marine Renibacterium sp. suitable for chitooligosaccharides preparation. Mar. Drugs 2021, 19, 596. [Google Scholar] [CrossRef] [PubMed]
- Pang, Y.; Yang, J.; Chen, X.; Jia, Y.; Li, T.; Jin, J.; Liu, H.; Jiang, L.; Hao, Y.; Zhang, H.; et al. An Antifungal Chitosanase from Bacillus subtilis SH21. Molecules 2021, 26, 1863. [Google Scholar] [CrossRef]
- Zhang, H.; Sang, Q.; Zhang, W. Statistical optimization of chitosanase production by Aspergillus sp. QD-2 in submerged fermentation. Ann. Microbiol. 2011, 62, 193–201. [Google Scholar] [CrossRef]
- Sun, L.; Adams, B.; Gurnon, J.; Ye, Y.; Van Etten, J.L. Characterization of two chitinase genes and one chitosanase gene encoded by chlorella virus PBCV-1. Virology 1999, 263, 376–387. [Google Scholar] [CrossRef]
- Zhang, C.; Kim, S.K. Application of marine microbial enzymes in the food and pharmaceutical industries. Adv. Food. Nutr. Res. 2012, 65, 423–435. [Google Scholar]
- Ouakfaoui, S.E.; Asselin, A. Diversity of chitosanase activity in cucumber. Plant Sci. 1992, 85, 33–41. [Google Scholar] [CrossRef]
- Thadathil, N.; Velappan, S.P. Recent developments in chitosanase research and its biotechnological applications: A review. Food Chem. 2014, 150, 392–399. [Google Scholar] [CrossRef]
- Viens, P.; Lacombe-Harvey, M.-È.; Brzezinski, R. Chitosanases from family 46 of glycoside hydrolases: From proteins to phenotypes. Mar. Drugs 2015, 13, 6566–6587. [Google Scholar] [CrossRef] [PubMed]
- Doan, C.T.; Tran, T.N.; Nguyen, M.T.; Nguyen, H.K.; Tran, T.K.T.; Nguyen, T.H.; Tran, T.P.H.; Nguyen, V.B.; Nguyen, A.D.; Wang, S.-L. Potential of the liquid fermentation of fishery waste by Paenibacillus elgii for metalloprotease production. Polymers 2022, 14, 2741. [Google Scholar] [CrossRef] [PubMed]
- Mamo, J.; Kangwa, M.; Fernandez-Lahore, H.M.; Assefa, F. Optimization of media composition and growth conditions for production of milk-clotting protease (MCP) from Aspergillus oryzae DRDFS13 under solid-state fermentation. Braz. J. Microbiol. 2020, 51, 571–584. [Google Scholar] [CrossRef]
- Santos, V.P.; Marques, N.S.S.; Maia, P.C.S.V.; Lima, M.A.B.d.; Franco, L.d.O.; Campos-Takaki, G.M.d. Seafood waste as attractive source of chitin and chitosan production and their applications. Int. J. Mol. Sci. 2020, 21, 4290. [Google Scholar] [CrossRef] [PubMed]
- Lee, D.-H.; Doan, C.T.; Tran, T.N.; Nguyen, V.B.; Nguyen, A.D.; Wang, C.-L.; Wang, S.-L. Proteases production and chitin preparation from the liquid fermentation of chitinous fishery by-Products by Paenibacillus elgii. Mar. Drugs 2021, 19, 477. [Google Scholar] [CrossRef]
- Doan, C.T.; Tran, T.N.; Wang, S.-L. Production of thermophilic chitinase by Paenibacillus sp. TKU052 by bioprocessing of chitinous fishery wastes and its application in N-acetyl-D-glucosamine production. Polymers 2021, 13, 3048. [Google Scholar] [CrossRef]
- Doan, C.T.; Tran, T.N.; Nguyen, V.B.; Nguyen, A.D.; Wang, S. Utilization of seafood processing by-products for production of proteases by Paenibacillus sp. TKU052 and their application in biopeptides preparation. Mar. Drugs 2020, 18, 574. [Google Scholar] [CrossRef]
- Liu, X.; Li, Q.; Li, Y.; Guan, G.; Chen, S. Paenibacillus strains with nitrogen fixation and multiple beneficial properties for promoting plant growth. PeerJ 2019, 7, e7445. [Google Scholar] [CrossRef]
- Jiang, Z.; Ma, S.; Guan, L.; Yan, Q.; Yang, S. Biochemical characterization of a novel bifunctional chitosanase from Paenibacillus barengoltzii for chitooligosaccharide production. World J. Microbiol. Biotechnol. 2021, 37, 83. [Google Scholar] [CrossRef]
- Kim, Y.H.; Park, S.K.; Hur, J.Y.; Kim, Y.C. Purification and characterization of a major extracellular chitinase from a biocontrol bacterium, Paenibacillus elgii HOA73. Plant Pathol. J. 2017, 33, 318–328. [Google Scholar] [CrossRef] [PubMed]
- Liu, C.; Shen, N.; Wu, J.; Jiang, M.; Shi, S.; Wang, J.; Wei, Y.; Yang, L. Cloning, expression and characterization of a chitinase from Paenibacillus chitinolyticus strain UMBR 0002. PeerJ 2020, 8, e8964. [Google Scholar] [CrossRef] [PubMed]
- Doan, C.T.; Tran, T.N.; Nguyen, V.B.; Nguyen, A.D.; Wang, S.L. Conversion of squid pens to chitosanases and proteases via Paenibacillus sp. TKU042. Mar. Drugs 2018, 16, 83. [Google Scholar] [CrossRef]
- Su, H.; Zhao, H.; Jia, Z.; Guo, C.; Sun, J.; Mao, X. Biochemical characterization of a GH46 chitosanase provides insights into the novel digestion specificity. J. Agric. Food Chem. 2023, 71, 2038–2048. [Google Scholar] [CrossRef] [PubMed]
- Kim, D.; Bae, C.; Jeon, J.; Chun, S.; Oh, H.W.; Hong, S.G.; Baek, K.; Moon, E.Y.; Bae, K.S. Paenibacillus elgii sp. nov. with broad antimicrobial activity. Int. J. Syst. Evol. Microbiol. 2004, 54, 2031–2035. [Google Scholar] [CrossRef]
- Doan, C.T.; Tran, T.N.; Nguyen, V.B.; Nguyen, A.D.; Wang, S.L. Reclamation of marine chitinous materials for chitosanase production via microbial conversion by Paenibacillus macerans. Mar. Drugs 2018, 16, 429. [Google Scholar] [CrossRef]
- Subramanian, K.; Sadaiappan, B.; Aruni, W.; Kumarappan, A.; Thirunavukarasu, R.; Srinivasan, G.P.; Bharathi, S.; Nainangu, P.; Renuga, P.S.; Elamaran, A.; et al. Bioconversion of chitin and concomitant production of chitinase and N-acetylglucosamine by novel Achromobacter xylosoxidans isolated from shrimp waste disposal area. Sci. Rep. 2020, 10, 11898. [Google Scholar] [CrossRef]
- Xie, X.-H.; Fu, X.; Yan, X.-Y.; Peng, W.-F.; Kang, L.-X. A Broad-specificity chitinase from Penicillium oxalicum k10 exhibits antifungal activity and biodegradation properties of chitin. Mar. Drugs 2021, 19, 356. [Google Scholar] [CrossRef] [PubMed]
- Akeed, Y.; Atrash, F.; Naffaa, W. Partial purification and characterization of chitinase produced by Bacillus licheniformis B307. Heliyon 2020, 6, e03858. [Google Scholar] [CrossRef] [PubMed]
- Bouacem, K.; Laribi-Habchi, H.; Mechri, S.; Hacenea, H.; Jaouadi, B.; Bouanane-Darenfed, A. Biochemical characterization of a novel thermostable chitinase from Hydrogenophilus hirschii strain KB-DZ44. Int. J. Biol. Macromol. 2018, 106, 338–350. [Google Scholar] [CrossRef]
- Moon, C.; Seo, D.J.; Song, Y.S.; Hong, S.H.; Choi, S.H.; Jung, W.J. Antifungal activity and patterns of N-acetyl-chitooligosaccharide degradation via chitinase produced from Serratia marcescens PRNK-1. Microb. Pathog. 2017, 113, 218–224. [Google Scholar] [CrossRef]
- Youn, D.K.; No, H.K.; Prinyawiwatkul, W. Preparation and characteristics of squid pen β-chitin prepared under optimal deproteinisation and demineralisation condition. Int. J. Food Sci. Technol. 2013, 48, 571–577. [Google Scholar] [CrossRef]
- Cabrera-Barjas, G.; González, C.; Nesic, A.; Marrugo, K.P.; Gómez, O.; Delattre, C.; Valdes, O.; Yin, H.; Bravo, G.; Cea, J. Utilization of marine waste to obtain β-chitin nanofibers and films from giant humboldt squid Dosidicus gigas. Mar. Drugs 2021, 19, 184. [Google Scholar] [CrossRef]
- Nguyen, T.H.; Wang, S.-L.; Nguyen, T.H.; Doan, M.D.; Tran, T.H.T.; Ngo, V.A.; Ho, N.D.; Tran, T.N.; Doan, C.T.; Do, V.C.; et al. Utilization of fishery-processing by-product squid pens for scale-up production of phenazines via microbial conversion and its novel potential antinematode effect. Fishes 2022, 7, 113. [Google Scholar] [CrossRef]
- Nguyen, V.B.; Chen, S.P.; Nguyen, T.H.; Nguyen, M.T.; Tran, T.T.T.; Doan, C.T.; Nguyen, A.D.; Kuo, Y.H.; Wang, S.L. Novel efficient bioprocessing of marine chitins into active anticancer prodigiosin. Mar. Drugs 2019, 18, 15. [Google Scholar] [CrossRef] [PubMed]
- Wang, S.L. Microbial reclamation of squid pen. Biocatal. Agric. Biotechnol. 2012, 1, 177–180. [Google Scholar] [CrossRef]
- Wang, C.H.; Doan, C.T.; Nguyen, V.B.; Nguyen, A.D.; Wang, S.L. Reclamation of fishery processing waste: A mini-review. Molecules 2019, 24, 2234. [Google Scholar] [CrossRef] [PubMed]
- Yu, Z.; Shen, X.; Wu, Y.; Yang, S.; Ju, D.; Chen, S. Enhancement of ascomycin production via a combination of atmospheric and room temperature plasma mutagenesis in Streptomyces hygroscopicus and medium optimization. AMB Express 2019, 9, 25. [Google Scholar] [CrossRef]
- Sun, H.; Mao, X.; Guo, N.; Zhao, L.; Cao, R.; Liu, Q. Discovery and characterization of a novel chitosanase from Paenibacillus dendritiformis by phylogeny-based enzymatic product specificity prediction. J. Agric. Food Chem. 2018, 66, 4645–4651. [Google Scholar] [CrossRef]
- Zitouni, M.; Fortin, M.; Scheerle, R.K.; Letzel, T.; Matteau, D.; Rodrigue, S.; Brzezinski, R. Biochemical and molecular characterization of a thermostable chitosanase produced by the strain Paenibacillus sp. 1794 newly isolated from compost. Appl. Microbiol. Biotechnol. 2013, 97, 5801–5813. [Google Scholar] [CrossRef]
- Kimoto, H.; Kusaoke, H.; Yamamoto, I.; Fujii, Y.; Onodera, T.; Taketo, A. Biochemical and genetic properties of Paenibacillus glycosyl hydrolase having chitosanase activity and discoidin domain. J. Biol. Chem. 2002, 277, 14695–14702. [Google Scholar] [CrossRef]
- Ma, C.; Li, X.; Yang, K.; Li, S. Characterization of a new chitosanase from a marine Bacillus sp. and the anti-oxidant activity of its hydrolysate. Mar. Drugs 2020, 18, 126. [Google Scholar] [CrossRef] [PubMed]
- Lee, Y.S.; Yoo, J.S.; Chung, S.Y.; Lee, Y.C.; Cho, Y.S.; Choi, Y.L. Cloning, purification, and characterization of chitosanase from Bacillus sp. DAU101. Appl. Microbiol. Biotechnol. 2006, 73, 113–121. [Google Scholar] [CrossRef]
- Yoon, H.G.; Kim, H.Y.; Lim, Y.H.; Kim, H.K.; Shin, D.H.; Hong, B.S.; Cho, H.Y. Thermostable chitosanase from Bacillus sp. strain CK4: Cloning and expression of the gene and characterization of the enzyme. Appl. Environ. Microbiol. 2000, 66, 3727–3734. [Google Scholar] [CrossRef] [PubMed]
- Akiyama, K.; Fujita, T.; Kuroshima, K.; Sakane, T.; Yokota, A.; Takata, R. Purification and gene cloning of a chitosanase from Bacillus ehimensis EAG1. J. Biosci. Bioeng. 1999, 87, 383–385. [Google Scholar] [CrossRef] [PubMed]
- Saito, J.; Kita, A.; Higuchi, Y.; Nagata, Y.; Ando, A.; Miki, K. Crystal structure of chitosanase from Bacillus circulans MH-K1 at 1.6-A resolution and its substrate recognition mechanism. J. Biol. Chem. 1999, 274, 30818–30825. [Google Scholar] [CrossRef]
- Ando, A.; Saito, A.; Arai, S.; Usuda, S.; Furuno, M.; Kaneko, N.; Shida, O.; Nagata, Y. Molecular characterization of a novel family-46 chitosanase from Pseudomonas sp. A-01. Biosci. Biotechnol. Biochem. 2008, 72, 2074–2081. [Google Scholar] [CrossRef]
- Yoon, H.G.; Lee, K.H.; Kim, H.Y.; Kim, H.K.; Shin, D.H.; Hong, B.S.; Cho, H.Y. Gene cloning and biochemical analysis of thermostable chitosanase (TCH-2) from Bacillus coagulans CK108. Biosci. Biotechnol. Biochem. 2002, 66, 986–995. [Google Scholar] [CrossRef]
- Wang, J.; Wang, P.; Zhu, M.; Chen, W.; Yu, S.; Zhong, B. Overexpression and biochemical properties of a GH46 chitosanase from marine Streptomyces hygroscopicus R1 suitable for chitosan oligosaccharides preparation. Front. Microbiol. 2022, 12, 816845. [Google Scholar] [CrossRef]
- Yang, Y.; Zheng, Z.; Xiao, Y.; Zhang, J.; Zhou, Y.; Li, X.; Li, S.; Yu, H. Cloning and characterization of a cold-adapted chitosanase from marine bacterium Bacillus sp. BY01. Molecules 2019, 24, 3915. [Google Scholar] [CrossRef]
- Choi, Y.J.; Kim, E.J.; Piao, Z.; Yun, Y.C.; Shin, Y.C. Purification and characterization of chitosanase from Bacillus sp. strain KCTC 0377BP and its application for the production of chitosan oligosaccharides. Appl. Environ. Microbiol. 2004, 70, 4522–4531. [Google Scholar] [CrossRef]
- Liang, T.W.; Lo, B.C.; Wang, S.L. Chitinolytic bacteria-assisted conversion of squid pen and its effect on dyes and pigments adsorption. Mar. Drugs 2015, 13, 4576–4593. [Google Scholar] [CrossRef] [PubMed]
- Zhou, Y.; Chen, X.; Li, X.; Han, Y.; Wang, Y.; Yao, R.; Li, S. Purification and characterization of a new cold-adapted and thermo-tolerant chitosanase from marine bacterium Pseudoalteromonas sp. SY39. Molecules 2019, 24, 183. [Google Scholar] [CrossRef]
- Liang, T.-W.; Chen, W.-T.; Lin, Z.-H.; Kuo, Y.-H.; Nguyen, A.D.; Pan, P.-S.; Wang, S.-L. An amphiprotic novel chitosanase from Bacillus mycoides and its application in the production of chitooligomers with their antioxidant and anti-inflammatory evaluation. Int. J. Mol. Sci. 2016, 17, 1302. [Google Scholar] [CrossRef] [PubMed]
- Santos-Moriano, P.; Kidibule, P.E.; Alleyne, E.; Ballesteros, A.O.; Heras, A.; Fernandez-Lobato, M.; Plou, F.J. Efficient conversion of chitosan into chitooligosaccharides by a chitosanolytic activity from Bacillus thuringiensis. Process Biochem. 2018, 73, 102–108. [Google Scholar] [CrossRef]
- Luo, S.; Qin, Z.; Chen, Q.M.; Fan, L.Q.; Jiang, L.H.; Zhao, L.M. High level production of a Bacillus amlyoliquefaciens chitosanase in Pichia Pastoris suitable for chitooligosaccharides preparation. Int. J. Biol. Macromol. 2020, 149, 1034–1041. [Google Scholar] [CrossRef] [PubMed]








| Run | Coded Levels | Uncoded Levels | Chitosanase Activity (U/mL) | ||||||
|---|---|---|---|---|---|---|---|---|---|
| X1 | X2 | X3 | X4 | X1 | X2 | X3 | X4 | ||
| 1 | −1 | 0 | 1 | 0 | 4 | 8.6 | 40 | 6 | 1.140 |
| 2 | 0 | 0 | −1 | −1 | 5 | 8.6 | 34 | 5 | 0.712 |
| 3 | 0 | 0 | 0 | 0 | 5 | 8.6 | 37 | 6 | 1.966 |
| 4 | 0 | 0 | 0 | 0 | 5 | 8.6 | 37 | 6 | 1.740 |
| 5 | 0 | 1 | −1 | 0 | 5 | 9.6 | 34 | 6 | 0.826 |
| 6 | 0 | 1 | 0 | −1 | 5 | 9.6 | 37 | 5 | 1.162 |
| 7 | 0 | 1 | 0 | 1 | 5 | 9.6 | 37 | 7 | 0.426 |
| 8 | −1 | 0 | 0 | −1 | 4 | 8.6 | 37 | 5 | 1.300 |
| 9 | 0 | 0 | −1 | 1 | 5 | 8.6 | 34 | 7 | 0.230 |
| 10 | 1 | 0 | 0 | 1 | 6 | 8.6 | 37 | 7 | 0.656 |
| 11 | 1 | 0 | 0 | −1 | 6 | 8.6 | 37 | 5 | 1.106 |
| 12 | 0 | −1 | −1 | 0 | 5 | 7.6 | 34 | 6 | 0.910 |
| 13 | 0 | −1 | 0 | 1 | 5 | 7.6 | 37 | 7 | 0.376 |
| 14 | 0 | 0 | 1 | −1 | 5 | 8.6 | 40 | 5 | 1.426 |
| 15 | −1 | 0 | 0 | 1 | 4 | 8.6 | 37 | 7 | 0.053 |
| 16 | 1 | 1 | 0 | 0 | 6 | 9.6 | 37 | 6 | 1.576 |
| 17 | −1 | 1 | 0 | 0 | 4 | 9.6 | 37 | 6 | 0.680 |
| 18 | 1 | −1 | 0 | 0 | 6 | 7.6 | 37 | 6 | 1.063 |
| 19 | −1 | 0 | −1 | 0 | 4 | 8.6 | 34 | 6 | 0.736 |
| 20 | −1 | −1 | 0 | 0 | 4 | 7.6 | 37 | 6 | 1.413 |
| 21 | 0 | −1 | 1 | 0 | 5 | 7.6 | 40 | 6 | 0.613 |
| 22 | 0 | 1 | 1 | 0 | 5 | 9.6 | 40 | 6 | 1.486 |
| 23 | 0 | 0 | 1 | 1 | 5 | 8.6 | 40 | 7 | 0.283 |
| 24 | 1 | 0 | 1 | 0 | 6 | 8.6 | 40 | 6 | 1.480 |
| 25 | 0 | 0 | 0 | 0 | 5 | 8.6 | 37 | 6 | 1.880 |
| 26 | 1 | 0 | −1 | 0 | 6 | 8.6 | 34 | 6 | 0.683 |
| 27 | 0 | −1 | 0 | −1 | 5 | 7.6 | 37 | 5 | 0.944 |
| Term | Coefficient Estimate | Standard Error Coefficient | t Value | Pr (>|t|) | |
|---|---|---|---|---|---|
| Constant | −102.340 | 19.185 | −5.335 | 0.0002 | *** |
| X1 | −1.664 | 1.421 | −1.171 | 0.2644 | |
| X2 | 2.406 | 1.614 | 1.491 | 0.1618 | |
| X3 | 3.674 | 0.627 | 5.858 | 0.0001 | *** |
| X4 | 9.819 | 1.466 | 6.696 | <0.0001 | *** |
| X1X2 | 0.312 | 0.077 | 4.027 | 0.0017 | ** |
| X1X3 | 0.033 | 0.026 | 1.270 | 0.2281 | |
| X1X4 | 0.199 | 0.077 | 2.576 | 0.0243 | * |
| X2X3 | 0.080 | 0.026 | 3.093 | 0.0093 | ** |
| X2X4 | −0.042 | 0.077 | −0.543 | 0.5971 | |
| X3X4 | −0.055 | 0.026 | −2.137 | 0.0539 | |
| X12 | −0.332 | 0.067 | −4.955 | 0.0003 | *** |
| X22 | −0.383 | 0.067 | −5.722 | 0.0001 | *** |
| X32 | −0.056 | 0.007 | −7.495 | <0.0001 | *** |
| X42 | −0.733 | 0.067 | −10.949 | <0.0001 | *** |
| Source | Degrees of Freedom | Sum of Squares | Mean Square | F Value | Pr (>F) |
|---|---|---|---|---|---|
| Fo | 4 | 2.423 | 0.606 | 25.314 | <0.0001 |
| TWI | 6 | 0.931 | 0.155 | 6.483 | 0.003 |
| PQ | 4 | 3.303 | 0.826 | 34.504 | <0.0001 |
| Residuals | 12 | 0.287 | 0.024 | ||
| Lack of fit | 10 | 0.261 | 0.026 | 2.007 | 0.378 |
| Pure error | 2 | 0.026 | 0.013 |
| Factor | Before Optimization | After Optimization | |
|---|---|---|---|
| By OFAT | By RSM | ||
| Amount of SPP (%) | 1 | 5 | 5.278 |
| Initial pH | 7.6 | 8.6 | 8.93 |
| Incubation temperature (°C) | 37 | 37 | 38 |
| Incubation time (day) | 3 | 6 | 5.73 |
| Chitosanase activity (U/mL) | 0.777 ± 0.076 | 1.899 ± 0.031 | 2.023 ± 0.072 |
| Step | Total Protein (mg) | Total Activity (U) | Specific Activity (U/mg) | Recovery (%) | Purification (fold) |
|---|---|---|---|---|---|
| Cultural supernatant | 3541.060 | 772.933 | 0.218 | 100 | 1.000 |
| (NH4)2SO4 precipitation | 642.982 | 314.496 | 0.489 | 41 | 2.241 |
| High S column | 17.938 | 96.945 | 5.404 | 13 | 24.759 |
| CM column | 1.782 | 44.588 | 25.019 | 6 | 114.619 |
| Sephacryl S-200 column | 0.990 | 30.490 | 30.795 | 4 | 141.081 |
| Matched Peptides Sequence | Identified Protein and Coverage Rate | Strain |
|---|---|---|
| 74LINKPEQDDLNWIKYYGYCEDIEDERGYTIGLFGATTGGSR114 132GASNPSADGALKRLGINGKMKGSILEIKDSEK163 172LQNDAAWR179 193YSVEQAR199 252RTLVVDTNKYNKPPNGK268 273QWDTLVDMGK282 287NVDSEIAQVTDWEMK301 | Chitosanase CHIS_BACCI (GH46) 43% | Bacillus circulans |
| Enzyme Source | Chitosan | DP of Major Product | Detection Method | References |
|---|---|---|---|---|
| P. elgii TKU051 | 98% DDA | 2–3 | TLC | This study |
| S. hygroscopicus R1 | 95% DDA | 2–6 | TLC | [59] |
| Renibacterium sp. Y82 | 95% DDA | 2–3 | TLC and ESI-MS | [15] |
| Paenibacillus sp. TKU047 | 98% DDA | 2–4 | TLC | [8] |
| P. dendritiformis | - | 2 | TLC and ESI-MS | [49] |
| Bacillus sp. Q1098 | ≥95% DDA | 2–3 | TLC and ESI-MS | [52] |
| P. barengoltzii | 85% DDA | 2–3 | TLC | [30] |
| Bacillus cereus TKU034 | 90% DDA | 3–9 | MALDI-TOF-MS | [62] |
| Pseudoalteromonas sp. SY39 | - | 2–3 | TLC and HPLC | [63] |
| Bacillus sp. DAU101 | - | 2–6 | TLC | [53] |
| Bacillus mycoides TKU038 | 85% DDA | 1–8 | HPLC and MALDI-TOF-MS | [64] |
| Bacillus thuringiensis | ≥90% DDA | 2–5 | ESI-Q-TOF and HPAEC-PAD | [65] |
| Streptomyces niveus | 94% DDA | 2–4 | TLC and HPLC | [13] |
| Serratia sp. QD07 | ≥95% DDA | 2–3 | TLC | [14] |
| Bacillus amyloliquefaciens | 2–3 | TLC | [66] |
Disclaimer/Publisher’s Note: The statements, opinions and data contained in all publications are solely those of the individual author(s) and contributor(s) and not of MDPI and/or the editor(s). MDPI and/or the editor(s) disclaim responsibility for any injury to people or property resulting from any ideas, methods, instructions or products referred to in the content. |
© 2023 by the authors. Licensee MDPI, Basel, Switzerland. This article is an open access article distributed under the terms and conditions of the Creative Commons Attribution (CC BY) license (https://creativecommons.org/licenses/by/4.0/).
Share and Cite
Doan, C.T.; Tran, T.N.; Tran, T.P.H.; Nguyen, T.T.; Nguyen, H.K.; Tran, T.K.T.; Vu, B.T.; Trinh, T.H.T.; Nguyen, A.D.; Wang, S.-L. Chitosanase Production from the Liquid Fermentation of Squid Pens Waste by Paenibacillus elgii. Polymers 2023, 15, 3724. https://doi.org/10.3390/polym15183724
Doan CT, Tran TN, Tran TPH, Nguyen TT, Nguyen HK, Tran TKT, Vu BT, Trinh THT, Nguyen AD, Wang S-L. Chitosanase Production from the Liquid Fermentation of Squid Pens Waste by Paenibacillus elgii. Polymers. 2023; 15(18):3724. https://doi.org/10.3390/polym15183724
Chicago/Turabian StyleDoan, Chien Thang, Thi Ngoc Tran, Thi Phuong Hanh Tran, Thi Thanh Nguyen, Huu Kien Nguyen, Thi Kim Thi Tran, Bich Thuy Vu, Thi Huyen Trang Trinh, Anh Dzung Nguyen, and San-Lang Wang. 2023. "Chitosanase Production from the Liquid Fermentation of Squid Pens Waste by Paenibacillus elgii" Polymers 15, no. 18: 3724. https://doi.org/10.3390/polym15183724
APA StyleDoan, C. T., Tran, T. N., Tran, T. P. H., Nguyen, T. T., Nguyen, H. K., Tran, T. K. T., Vu, B. T., Trinh, T. H. T., Nguyen, A. D., & Wang, S.-L. (2023). Chitosanase Production from the Liquid Fermentation of Squid Pens Waste by Paenibacillus elgii. Polymers, 15(18), 3724. https://doi.org/10.3390/polym15183724

