Preparation and Dispersion Performance of Hydrophobic Fumed Silica Aqueous Dispersion
Abstract
:1. Introduction
2. Materials and Methods
2.1. Materials
2.2. Preparation of HFS Slurry and Aqueous Dispersion
2.3. Preparation of Waterborne Composite Film
2.4. Characterization
3. Results and Discussion
3.1. Dispersibility of HFS in Slurry and Aqueous Dispersion
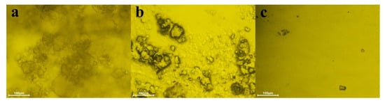
3.1.1. Particle Morphology of HFS
3.1.2. The HFS Dispersibility with Different Dispersants
3.1.3. The Impact of Dispersant Dosage on HFS Dispersibility
3.1.4. The Storage Stability of HFS Aqueous Dispersion with Different Dilution Ratios
3.1.5. The Impact of Ultrasonic Dispersion Time on the HFS Dispersibility
3.1.6. Particle Size Distribution of HFS under Optimized Conditions
3.2. Dispersibility of HFS in Coatings
3.2.1. Surface Morphology of Different Waterborne Coatings with HFS
3.2.2. Cross-Sectional SEM of Different Waterborne Coatings with HFS
3.2.3. EDS Mapping of Different Waterborne Coatings with HFS
4. Discussion
Author Contributions
Funding
Institutional Review Board Statement
Informed Consent Statement
Data Availability Statement
Conflicts of Interest
References
- Siot, A.; Longuet, C.; Léger, R.; Otazaghine, B.; Ienny, P.; Caro-Bretelle, A.S.; Azéma, N. Correlation between process and silica dispersion/distribution into composite: Impact on mechanical properties and Weibull statistical analysis. Polym. Test. 2018, 70, 92–101. [Google Scholar] [CrossRef]
- Li, J.; Niu, G.; Bai, W.; Ma, Y.; Xiong, Q.; Qin, C.; Zhang, J.; An, R.; Ren, W. Significant Improvement of Anticorrosion Properties of Zinc-Containing Coating Using Sodium Polystyrene Sulfonate Noncovalent Modified Graphene Dispersions. Coatings 2021, 10, 1150. [Google Scholar] [CrossRef]
- Moghal, J.; Reid, S.; Hagerty, L.; Gardener, M.; Wakefield, G. Development of single layer nanoparticle anti-reflection coating for polymer substrates. Thin Solid Film. 2013, 534, 541–545. [Google Scholar] [CrossRef]
- Xie, J.; Zhang, H.; Shao, Y.; Bao, D.; Zhang, H.; Zhu, J. Investigation of the Performance of Fumed Silica as Flow Additive in Polyester Powder Coatings. Coatings 2020, 10, 977. [Google Scholar] [CrossRef]
- Di, Z.; Ma, S.; Wang, H.; Guan, Z.; Lian, B.; Qiu, Y.; Jiang, Y. Modulation of Thermal Insulation and Mechanical Property of Silica Aerogel Thermal Insulation Coatings. Coatings 2022, 12, 1421. [Google Scholar] [CrossRef]
- Zeyghami, M.; Kharrat, R.; Ghazanfari, M.H. Investigation of the Applicability of Nano Silica Particles as a Thickening Additive for Polymer Solutions Applied in EOR Processes. Energy Source Part A 2014, 36, 1315–1324. [Google Scholar] [CrossRef]
- Aruna, M.N.; Rahman, M.R.; Joladarashi, S.; Kumar, H.; Bhat, P.D. Influence of different fumed silica as thixotropic additive on carbonyl particles magnetorheological fluids for sedimentation effects. J. Magn. Magn. Mater. 2021, 529, 167910. [Google Scholar] [CrossRef]
- Zabet, M.; Trinh, K.; Toghiani, H.; Lacy, T.; Pittman, C.; Kundu, S. Shear thickening behavior of graphene nanoplatelets and carbon nanotubes containing fumed silica suspensions. In Abstracts of Papers of the American Chemical Society; American Chemical Society: Washington, DC, USA; Volume 253.
- Jiang, F.; Zhou, M.; Drummer, D. Effects of Fumed Silica on Thixotropic Behavior and Processing Window by UV-Assisted Direct Ink Writing. Polymers 2022, 14, 3107. [Google Scholar] [CrossRef]
- Liu, J.; Bao, C.; Li, W. Modification and performance analysis of pigment red 122 by fumed silica. Mol. Cryst. Liq. Cryst. 2022, 742, 119–132. [Google Scholar] [CrossRef]
- Maharana, S.M.; Pradhan, A.K.; Pandit, M.K. Effect of moisture susceptibility and aging on interlaminar fracture behavior of fumed silica reinforced Jute-Kevlar hybrid nanocomposite. Polym. Compos. 2021, 43, 517–532. [Google Scholar] [CrossRef]
- Yang, X.; Jiang, Z.; Liu, H.; Zhang, H.; Xu, X.; Shang, S.; Song, Z. Performance improvement of rosin-based room temperature vulcanized silicone rubber using nanofiller fumed silica. Polym. Degrad. Stab. 2020, 183, 109422. [Google Scholar]
- Bok, G.; Lim, G.; Kwak, M.; Kim, Y. Super-Toughened Fumed-Silica-Reinforced Thiol-Epoxy Composites Containing Epoxide-Terminated Polydimethylsiloxanes. Int. J. Mol. Sci. 2021, 22, 8097. [Google Scholar] [CrossRef] [PubMed]
- Yasaroglu, I.; Aras, O.; Kaya, Y. Qualitative study on the effects of hydroxyl functionalized multiwall carbon nanotube and silica doped-epoxy composites. Polym. Compos. 2021, 43, 1462–1475. [Google Scholar] [CrossRef]
- Cheraghian, G.; Wistuba, M.P.; Kiani, S.; Barron, A.R.; Behnood, A. Rheological, physicochemical, and microstructural properties of asphalt binder modified by fumed silica nanoparticles. Sci. Rep. 2021, 11, 11455. [Google Scholar] [CrossRef]
- Chen, Z.; Huang, Y. Preparation and performance of fumed silica-stabilized epoxy resin pickering emulsion for basalt fiber-sizing agents. Adv. Compos. Hybrid Mater. 2021, 4, 1205–1214. [Google Scholar] [CrossRef]
- Rishi, K.; Pallerla, L.; Beaucage, G.; Tang, A. Dispersion of surface-modified, aggregated, fumed silica in polymer nanocomposites. J. Appl. Phys. 2020, 127, 174702. [Google Scholar] [CrossRef]
- Azizi, S.; Momen, G.; Ouellet-Plamondon, C.; David, E. Performance improvement of EPDM and EPDM/Silicone rubber composites using modified fumed silica, titanium dioxide and graphene additives. Polym. Test. 2020, 84, 106281. [Google Scholar] [CrossRef]
- Li, C.; Tenent, R.C.; Wolden, C.A. Optical and Mechanical Properties of Nanocomposite Films Based on Polymethyl Methacrylate (PMMA) and Fumed Silica Nanoparticles. Polym. Eng. Sci. 2019, 60, 553–557. [Google Scholar] [CrossRef]
- Do, V.T.; Chun, D.M. Fabrication of large-scale, flexible, and robust superhydrophobic composite films using hydrophobic fumed silica nanoparticles and polydimethylsiloxane. Polymer 2022, 244, 124630. [Google Scholar] [CrossRef]
- Cheraghian, G.; Wistuba, M.P. Effect of Fumed Silica Nanoparticles on Ultraviolet Aging Resistance of Bitumen. Nanomaterials 2021, 11, 454. [Google Scholar] [CrossRef]
- Sanchez, J.H.; Rubio-Hernandez, F.J.; Paez-Flor, N.M. Time-Dependent Viscous Flow Behavior of a Hydrophobic Fumed Silica Suspension. Processes 2021, 9, 807. [Google Scholar] [CrossRef]
- Tanaka, Y.; Kawaguchi, M. Stability and rheological properties of hydrophobic fumed silica suspensions in mineral oil. J. Dispers. Sci. Technol. 2018, 39, 1274–1279. [Google Scholar] [CrossRef]
- Kang, T.; Jang, I.; Oh, S.G. Surface modification of silica nanoparticles using phenyl trimethoxy silane and their dispersion stability in n-methyl-2-pyrrolidone. Colloids Surf. A 2016, 501, 24–31. [Google Scholar] [CrossRef]
- Lei, D.Y.; Guo, L.P.; Sun, W.; Liu, J.; Shu, X.; Guo, X.L. A new dispersing method on silica fume and its influence on the performance of cement-based materials. Constr. Build. Mater. 2016, 115, 716–726. [Google Scholar] [CrossRef]
- Schilde, C.; Mages-Sauter, C.; Kwade, A.; Schuchmann, H.P. Efficiency of different dispersing devices for dispersing nanosized silica and alumina. Powder Technol. 2011, 207, 353–361. [Google Scholar] [CrossRef]
- Schilde, C.; Kampen, I.; Kwade, A. Dispersion kinetics of nano-sized particles for different dispersing machines. Chem. Eng. Sci. 2010, 65, 3518–3527. [Google Scholar] [CrossRef]
- Pieper, M.; Aman, S.; Tomas, J. Redispersing and stabilizing agglomerates in an annular-gap high shear disperser. Powder Technol. 2013, 239, 381–388. [Google Scholar] [CrossRef]
- Liu, B.; Xu, Z.; Fan, F.; Huang, B. Experimental study on the solid suspension characteristics of coaxial mixers. Chem. Eng. Res. Des. 2018, 133, 335–346. [Google Scholar] [CrossRef]
- Tai, X.; Ma, J.; Du, Z.; Wang, W. The facile preparation for temperature sensitive silica/PNIPAAm composite microspheres. Appl. Surf. Sci. 2013, 268, 489–495. [Google Scholar] [CrossRef]
- Du, A.; Zhou, B.; Zhang, Z.; Shen, J. A special material or a new state of matter: A review and reconsideration of the aerogel. Materials 2013, 6, 941–968. [Google Scholar] [CrossRef]
- Linhares, T.; de Amorim, M.T.P.; Durães, L. Silica aerogel composites with embedded fibres: A review on their preparation, properties and applications. J. Mat. Chem. A 2019, 7, 22768–22802. [Google Scholar] [CrossRef]
- Mazrouei-Sebdani, Z.; Naeimirad, M.; Peterek, S.; Begum, H.; Galmarini, S.; Pursche, F.; Baskin, E.; Zhao, S.; Gries, T.; Malfait, W.J. Multiple assembly strategies for silica aerogel-fiber combinations—A review. Mater. Des. 2022, 223, 111228. [Google Scholar] [CrossRef]
- Venancio, J.C.C.; Nascimento, R.S.V.; Perez-Gramatges, A. Colloidal stability and dynamic adsorption behavior of nanofluids containing alkyl-modified silica nanoparticles and anionic surfactant. J. Mol. Liq. 2020, 308, 113079. [Google Scholar] [CrossRef]
- Liang, A.; Jiang, X.; Hong, X.; Jiang, Y.; Shao, Z.; Zhu, D. Recent Developments Concerning the Dispersion Methods and Mechanisms of Graphene. Coatings 2018, 8, 33. [Google Scholar] [CrossRef]
- Sargam, Y.; Wang, K. Influence of dispersants and dispersion on properties of nanosilica modified cement-based materials. Cem. Concr. Compos. 2021, 118, 103696. [Google Scholar] [CrossRef]
- Prichard, T.D.; Vogt, B.D. Comparison of flocculated and dispersed single-wall carbon nanotube-based coatings using nonionic surfactants. Polym. Eng. Sci. 2013, 53, 69–77. [Google Scholar] [CrossRef]
- Jiao, C.; Sun, L.; Shao, Q.; Song, J.; Hu, Q.; Naik, N.; Guo, Z. Advances in Waterborne Acrylic Resins: Synthesis Principle, Modification Strategies, and Their Applications. ACS Omega 2021, 6, 2443–2449. [Google Scholar] [CrossRef]
- Khalkhal, F.; Negi, A.S.; Harrison, J.; Stokes, C.D.; Morgan, D.L.; Osuji, C.O. Evaluating the dispersant stabilization of colloidal suspensions from the scaling behavior of gel rheology and adsorption measurements. Langmuir 2018, 34, 1092–1099. [Google Scholar] [CrossRef]
- Hu, S.; Li, J.; Liu, K.; Chen, Y. Comparative study on distribution characteristics of anionic dispersants in coal water slurry. Colloids Surf. A 2022, 648, 129176. [Google Scholar] [CrossRef]
- Jacob, J.; Grelier, S.; Chorein, B. Effect of Dispersing Agents on the Stability of Recycled Paints. Coatings 2022, 12, 1722. [Google Scholar] [CrossRef]












| Materials | Type | Surface Group | BET-Area/ (m2·g−1) | Stacking Density/ (g·L−1) | Particle Size (nm) |
|---|---|---|---|---|---|
| HFS | hydrophobic | Dimethylsiloxy | 170 ± 30 | 40 | 200~300 |
| Materials | Mass Fraction/% |
|---|---|
| Deionized water | 78.0; 76.0; 74.0; 72.0; 70.0 |
| Dispersant | 2.0; 4.0; 6.0; 8.0; 10.0 |
| HFS | 20.0 |
| Materials | Mass Fraction/% |
|---|---|
| Resin (waterborne polyacrylics latex or waterborne polyurethane resin) | 98.0 |
| HFS aqueous dispersion (2% HFS) | 2.0 |
Disclaimer/Publisher’s Note: The statements, opinions and data contained in all publications are solely those of the individual author(s) and contributor(s) and not of MDPI and/or the editor(s). MDPI and/or the editor(s) disclaim responsibility for any injury to people or property resulting from any ideas, methods, instructions or products referred to in the content. |
© 2023 by the authors. Licensee MDPI, Basel, Switzerland. This article is an open access article distributed under the terms and conditions of the Creative Commons Attribution (CC BY) license (https://creativecommons.org/licenses/by/4.0/).
Share and Cite
Xu, J.; Wang, J.; Wen, S.; Ding, S.; Song, J.; Jiang, S.; Wang, H. Preparation and Dispersion Performance of Hydrophobic Fumed Silica Aqueous Dispersion. Polymers 2023, 15, 3502. https://doi.org/10.3390/polym15173502
Xu J, Wang J, Wen S, Ding S, Song J, Jiang S, Wang H. Preparation and Dispersion Performance of Hydrophobic Fumed Silica Aqueous Dispersion. Polymers. 2023; 15(17):3502. https://doi.org/10.3390/polym15173502
Chicago/Turabian StyleXu, Jinglu, Jihu Wang, Shaoguo Wen, Shengnan Ding, Jia Song, Sihong Jiang, and Haopeng Wang. 2023. "Preparation and Dispersion Performance of Hydrophobic Fumed Silica Aqueous Dispersion" Polymers 15, no. 17: 3502. https://doi.org/10.3390/polym15173502
APA StyleXu, J., Wang, J., Wen, S., Ding, S., Song, J., Jiang, S., & Wang, H. (2023). Preparation and Dispersion Performance of Hydrophobic Fumed Silica Aqueous Dispersion. Polymers, 15(17), 3502. https://doi.org/10.3390/polym15173502

