Antibacterial Activity of Biocellulose with Oregano Essential Oil against Cronobacter Strains
Abstract
1. Introduction
2. Materials and Methods
2.1. Microbial Strains and Culture Conditions
2.2. Purification and Preparation of Biocellulose Discs
2.3. Impregnation of Bacterial Cellulose and Filter Paper with Oregano Essential Oil
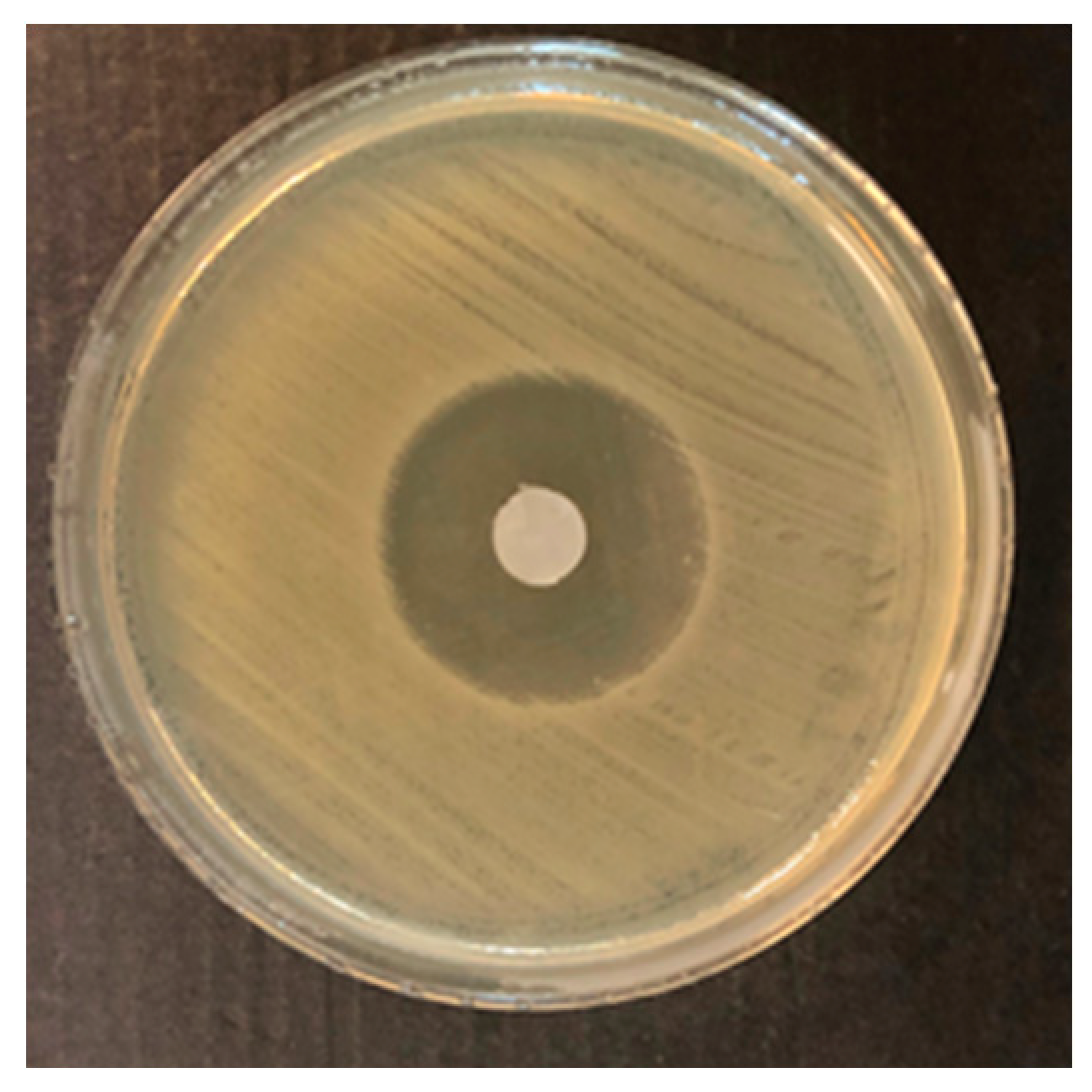
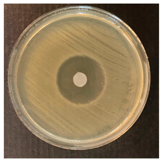
2.4. Antimicrobial Activity of Bacterial Cellulose with Oregano Essential Oil
2.5. Statistical Analysis
3. Results and Discussion
3.1. Oregano Essential Oil Holding Capacity
3.2. Antimicrobial Activity of Bacterial Cellulose with Oregano Essential Oil
4. Conclusions
Author Contributions
Funding
Acknowledgments
Conflicts of Interest
References
- Kamarudin, N.S.B.; Rahman, N.A.; Kalil, S.M.; Kamarudin, S.K. Comparative study of biocellulose from Acetobacter Xylinum 0416 and commercial hard gelatine capsule. Int. J. Appl. Eng. Res. 2018, 13, 743–748. [Google Scholar]
- Kasim, N.; Rahman, N.A. Design and production control of biocellulose from Acetobacter xylinum. Indian J. Sci. Technol. 2016, 9, 1–10. [Google Scholar] [CrossRef]
- Nguyen, V.T.; Flanagan, B.; Gidley, M.J.; Dykes, G.A. Characterization of cellulose production by a Gluconacetobacter xylinus strain from Kombucha. Curr. Microbiol. 2008, 57, 449–453. [Google Scholar] [CrossRef]
- Zhuravleva, N.M.; Sazhin, B.I.; Smirnova, E.G.; Khripunov, A.K.; Tkachenko, T.V. Method to Produce Electric Insulation Paper. Patent 2415221, 27 March 2011. [Google Scholar]
- Phisalaphong, M.; Chiaoprakobkij, N. Applications and Products—Nata de Coco Bacterial Nanocellulose: A Sophisticated Multifunctional Material; CRC Press: Boca Raton, FL, USA, 2013; pp. 143–155. [Google Scholar]
- Esguerra, M.; Fink, H.; Laschke, M.W.; Jeppsson, A.; Delbro, D.; Gatenholm, P.; Menger, M.D.; Risberg, B. Intravital fluorescent microscopic evaluation of bacterial cellulose as scaffold for vascular grafts. J. Biomed. Mater. Res. Part A 2009, 9999, 140–149. [Google Scholar] [CrossRef]
- Patchan, M.W.; Chae, J.J.; Lee, J.D.; Calderon-Colon, X.; Maranchi, J.P.; McCally, R.L.; Schein, O.D.; Elisseeff, J.H.; Trexler, M.M. Evaluation of the biocompatibility of regenerated cellulose hydrogels with high strength and transparency for ocular applications. J. Biomater. Appl. 2015, 30, 1049–1059. [Google Scholar] [CrossRef]
- Czaja, W.; Krystynowicz, A.; Bielecki, S.; Brown, R.J. Microbial cellulose—The natural power to heal wounds. Biomaterials 2006, 27, 145–151. [Google Scholar] [CrossRef]
- Nogi, M.; Iwamoto, S.; Nakagaito, A.N.; Yano, H. Optically transparent nanofiber paper. Adv. Mater. 2009, 21, 1595–1598. [Google Scholar] [CrossRef]
- Czaja, W.K.; Young, D.J.; Kawecki, M.; Brown, R.M. The future prospects of microbial cellulose in biomedical applications. Biomacromolecules 2007, 8, 1–12. [Google Scholar] [CrossRef]
- Ferreira, A.R.V.; Alves, V.D.; Coelhoso, I.M. Polysaccharide-based membranes in food packaging applications. Membranes 2016, 6, 22. [Google Scholar] [CrossRef]
- De Azeredo, H.M.C.; Rosa, M.; Mattoso, L. Nanocellulose in bio-based food packaging applications. Ind. Crops Prod. 2017, 97, 664–671. [Google Scholar] [CrossRef]
- Alireza, D.; Ramin, K.; Hedayat, H.; Saeedeh, S.; Kiandokht, G. Physical, antioxidant and antimicrobial characteristics of carboxymethyl cellulose edible film cooperated with clove essential oil. Zahedan. J. Res. Med. Sci. 2014, 16, 34–42. [Google Scholar]
- Kapetanakou, A.; Karyotis, D.; Skandamis, P.N. Control of listeria monocytogenes by applying ethanol-based antimicrobial edible films on ham slices and microwave-reheated frankfurters. Food Microbiol. 2016, 54, 80–90. [Google Scholar] [CrossRef]
- Atarés, L.; Chiralt, A. Essential oils as additives in biodegradable films and coatings for active food packaging. Trends Food Sci. Technol. 2016, 48, 51–62. [Google Scholar] [CrossRef]
- Vanti, G.; Ntallis, S.G.; Panagiotidis, C.A.; Dourdouni, V.; Patsoura, C.; Bergonzi, M.C.; Lazari, D.; Bilia, A.R. Glycerosome of Melissa officinalis L. essential oil for effective anti-HSV Type 1. Molecules 2020, 25, 3111. [Google Scholar] [CrossRef]
- Raita, M.S.; Iconaru, S.L.; Groza, A.; Cimpeanu, C.; Predoi, G.; Ghegoiu, L.; Badea, M.L.; Chifiriuc, M.C.; Marutescu, L.; Trusca, R.; et al. Multifunctional Hydroxyapatite coated with Arthemisia absinthium composites. Molecules 2020, 25, 413. [Google Scholar] [CrossRef]
- Barberis, A.; Deiana, M.; Spissu, Y.; Azara, E.; Fadda, A.; Serra, P.A.; D’Hallewin, G.; Pisano, M.; Serreli, G.; Orrù, G.; et al. Antioxidant, antimicrobial, and other biological properties of Pompia juice. Molecules 2020, 25, 3186. [Google Scholar] [CrossRef]
- Cattelan, M.G.; De Castilhos, M.B.M.; Sales, P.J.P.; Hoffmann, F.L. Antibacterial activity of oregano essential oil against foodborne pathogens. Nutr. Food Sci. 2013, 43, 169–174. [Google Scholar] [CrossRef]
- Fournomiti, M.; Kimbaris, A.; Mantzourani, I.; Plessas, S.; Theodoridou, I.; Papaemmanouil, V.; Kapsiotis, I.; Panopoulou, M.; Stavropoulou, E.; Bezirtzoglou, E.E.; et al. Antimicrobial activity of essential oils of cultivated oregano (Origanum vulgare), sage (Salvia officinalis), and thyme (Thymus vulgaris) against clinical isolates of Escherichia coli, Klebsiella oxytoca, and Klebsiella pneumoniae. Microb. Ecol. Health Dis. 2015, 26, 883. [Google Scholar] [CrossRef]
- Preuss, H.G.; Echard, B.; Enig, M.; Brook, I.; Elliott, T.B. Minimum inhibitory concentrations of herbal essential oils and monolaurin for gram-positive and gram-negative bacteria. Mol. Cell. Biochem. 2005, 272, 29–34. [Google Scholar] [CrossRef]
- Castilho, P.C.; Savluchinske-Feio, S.; Weinhold, T.S.; Gouveia-Figueira, S.C. Evaluation of the antimicrobial and antioxidant activities of essential oils, extracts and their main components from oregano from Madeira Island, Portugal. Food Control. 2012, 23, 552–558. [Google Scholar] [CrossRef]
- Huang, Y.; Pang, Y.; Wang, H.; Tang, Z.; Zhou, Y.; Zhang, W.; Li, X.; Tan, D.; Li, J.; Lin, Y.; et al. Occurrence and Characterization of Cronobacter spp. in Dehydrated Rice Powder from Chinese Supermarket. PLoS ONE 2015, 10, e0131053. [Google Scholar] [CrossRef] [PubMed]
- Alsonosi, A.; Hariri, S.; Kajsík, M.; Orieskova, M.; Hanulik, V.; Röderová, M.; Petrželová, J.; Kollárová, H.; Drahovská, H.; Forsythe, S.J.; et al. The speciation and genotyping of Cronobacter isolates from hospitalised patients. Eur. J. Clin. Microbiol. Infect. Dis. 2015, 34, 1979–1988. [Google Scholar] [CrossRef] [PubMed]
- Mullane, N.R.; Iversen, C.; Healy, B.; Walsh, C.; Whyte, P.; Wall, P.G.; Quinn, T.; Fanning, S. Enterobacter sakazakii an emerging bacterial pathogen with implications for infant health. Minerva Pediatr. 2007, 59, 137–148. [Google Scholar] [PubMed]
- Healy, B.; Cooney, S.; O’Brien, S.; Iversen, C.; Whyte, P.; Nally, J.; Callanan, J.J.; Fanning, S. Cronobacter (Enterobacter sakazakii): An opportunistic foodborne pathogen. Foodborne Pathog. Dis. 2010, 7, 339–350. [Google Scholar] [CrossRef]
- Forsythe, S. Updates on the CronobacterGenus. Annu. Rev. Food Sci. Technol. 2018, 9, 23–44. [Google Scholar] [CrossRef]
- Iversen, C.; Mullane, N.; McCardell, B.; Tall, B.D.; Lehner, A.; Fanning, S.; Stephan, R.; Joosten, H. Cronobacter gen. nov., a new genus to accommodate the biogroups of Enterobacter sakazakii, and proposal of Cronobacter sakazakii gen. nov., comb. nov., Cronobacter malonaticus sp. nov., Cronobacter turicensis sp. nov., Cronobacter muytjensii sp. nov., Cronobacter dublinensis sp. nov., Cronobacter genomospecies 1, and of three subspecies, Cronobacter dublinensis subsp. dublinensis subsp. nov., Cronobacter dublinensis subsp. lausannensis subsp. nov. and Cronobacter dublinensis subsp. lactaridi subsp. nov. Int. J. Syst. Evol. Microbiol. 2008, 58, 1442–1447. [Google Scholar] [CrossRef]
- Stoop, B.; Lehner, A.; Iversen, C.; Fanning, S.; Stephan, R. Development and evaluation of rpoB based PCR systems to differentiate the six proposed species within the genus Cronobacter. Int. J. Food Microbiol. 2009, 136, 165–168. [Google Scholar] [CrossRef]
- Joseph, S.M.; Forsythe, S. Predominance of Cronobacter sakazakii sequence Type 4 in Neonatal infections. Emerg. Infect. Dis. 2011, 17, 1713–1715. [Google Scholar] [CrossRef]
- Grim, C.; Gopinath, G.R.; Mammel, M.K.; Sathyamoorthy, V.; Trach, L.H.; Chase, H.R.; Tall, B.D.; Fanning, S.; Stephan, R. Genome sequence of an enterobacter helveticus strain, 1159/04 (LMG 23733), isolated from fruit powder. Genome Announc. 2013, 1, e01038-13. [Google Scholar] [CrossRef]
- Lee, S.-Y.; Jin, H.-H. Inhibitory activity of natural antimicrobial compounds alone or in combination with nisin against Enterobacter sakazakii. Lett. Appl. Microbiol. 2008, 47, 315–321. [Google Scholar] [CrossRef]
- Nagmetova, G.Z.; Kurmanbayev, A.A. Isolation and identification of bacterial cellulose producers to obtain a biotechnological product promising for medicine and biotechnology. Eurasian J. Appl. Biotechnol. 2019, 2, 116–122. [Google Scholar]
- Hestrin, S.; Schramm, M. Synthesis of cellulose by Acetobacter xylinum. 2. Preparation of freeze-dried cells capable of polymerizing glucose to cellulose. Biochem. J. 1954, 58, 345–352. [Google Scholar] [CrossRef] [PubMed]
- Berthold-Pluta, A.; Garbowska, M.; Stefańska, I.; Pluta, A. Microbiological quality of selected ready-to-eat leaf vegetables, sprouts and non-pasteurized fresh fruit-vegetable juices including the presence of Cronobacter spp. Food Microbiol. 2017, 65, 221–230. [Google Scholar] [CrossRef] [PubMed]
- Berthold-Pluta, A.; Stasiak-Różańska, L.; Pluta, A.; Garbowska, M. Antibacterial activities of plant-derived compounds and essential oils against Cronobacter strains. Eur. Food Res. Technol. 2019, 245, 1137–1147. [Google Scholar] [CrossRef]
- Stasiak-Różańska, L.; Płoska, J. Study on the use of microbial cellulose as a biocarrier for 1,3-Dihydroxy-2-Propanone and its potential application in industry. Polymers 2018, 10, 438. [Google Scholar] [CrossRef]
- Al-Shamary, E.; Khalaf, A. Influence of fermentation condition and alkali treatment on the porosity and thickness of bacterial cellulose membranes. Online J. Sci. Technol. 2013, 3, 194–203. [Google Scholar]
- Junka, A.; Żywicka, A.; Chodaczek, G.; Dziadas, M.; Czajkowska, J.; Duda-Madej, A.; Bartoszewicz, M.; Mikołajewicz, K.; Krasowski, G.; Szymczyk, P.; et al. Potential of biocellulose carrier impregnated with essential oils to fight against biofilms formed on Hydroxyapatite. Sci. Rep. 2019, 9, 1–13. [Google Scholar] [CrossRef]
- Türkoglu, N.L. Development of biodegradable antibacterial cellulose based hydrogel membranes for wound healing. Int. J. Biol. Macromol. 2014, 67, 22–27. [Google Scholar] [CrossRef]
- Treesuppharat, W.; Rojanapanthu, P.; Siangsanoh, C.; Manuspiya, H.; Ummartyotin, S. Synthesis and characterization of bacterial cellulose and gelatin-based hydrogel composites for drug-delivery systems. Biotechnol. Rep. 2017, 15, 84–91. [Google Scholar] [CrossRef]
- Ul-Islam, M.; Khan, T.; Park, J.K. Water holding and release properties of bacterial cellulose obtained by in situ and ex situ modification. Carbohydr. Polym. 2012, 88, 596–603. [Google Scholar] [CrossRef]
- Rebelo, A.R.; Archer, A.J.; Chen, X.; Liu, C.; Yang, G.; Lin, Y. Dehydratation of bacterial cellulose and the water content effects on viscoelastic and electrochemical properties. Sci. Thechnol. Adx. Mater. 2018, 19, 203–211. [Google Scholar] [CrossRef]
- Schrecker, S.T.; Gostomski, P.A. Determining the water holding capacity of microbial cellulose. Biotechnol. Lett. 2005, 27, 1435–1438. [Google Scholar] [CrossRef] [PubMed]
- Mith, H.; Duré, R.; Delcenserie, V.; Zhiri, A.; Daube, G.; Clinquart, A. Antimicrobial activities of commercial essential oils and their components against food-borne pathogens and food spoilage bacteria. Food Sci. Nutr. 2014, 2, 403–416. [Google Scholar] [CrossRef] [PubMed]
- Busatta, C.; Mossi, A.J.; Rodrigues, M.R.A.; Oliveira, J.V.; Cansian, R.L. Evaluation of origanum vulgare essential oil as antimicrobial agent in sausage. Braz. J. Microbiol. 2007, 38, 610–616. [Google Scholar] [CrossRef]
- Nazia, M.A.C.; Sabahat, S.; Perween, T. Antibacterial effects of oregano (Origanum vulgare) against gram negative bacilli. Pak. J. Bot. 2007, 39, 609–613. [Google Scholar]
- Lee, Y.-J.; An, S.-J.; Bae, E.-B.; Gwon, H.-J.; Park, J.-S.; Jeong, S.I.; Jeon, Y.-C.; Lee, S.-H.; Lee, J.Y.; Huh, J.-B. the effect of thickness of resorbable bacterial cellulose membrane on guided bone regeneration. Materials 2017, 10, 320. [Google Scholar] [CrossRef]
- Badea, M.L.; Iconaru, S.L.; Groza, A.; Chifiriuc, M.C.; Beuran, M.; Predoi, M. Peppermint essential oil-doped Hydroxyapatite nanoparticles with antimicrobial properties. Molecules 2019, 24, 2169. [Google Scholar] [CrossRef]
- Mohamed, F. Synthesis of Bacterial Cellulose by Acetobacter xylinum sp. Using Watermelon Rind Waste for Biocomposite Application. Bachelors Thesis, University Malaysia Pahang, Pahang, Malasia, May 2010. [Google Scholar]
- Han, M. Biotechnology of Bacterial Cellulose Using the Strain-Producer Gluconacetobacter Hansenii GH-1/2008. Ph.D. Thesis, Lomonosov Moscow State University, Moscow, Russia, June 2013. [Google Scholar]



| Cronobacter Strains | BC with OEO Produced by G. hansenii ATCC 23769 | BC with OEO Produced by Komagataeibacter sp. GH1 | Filter Paper |
|---|---|---|---|
| C. condimenti s37 | 14.7 a ± 0.8 | 32.75 b ± 2.8 | 36.0 b ± 0.7 |
| C. muytjensii s50 | 14.5 a ± 0.5 | 17.23 b ± 0.8 | 35.8 c ± 0.9 |
| C. sakazakii lv27 | 14.1 a ± 0.4 | 16.39 a ± 0.7 | 33.5 b ± 1.5 |
| C. turicensis lv53 | 13.6 a ± 0.8 | 18.19 b ± 0.3 | 30.5 c ± 0.5 |
| C. malonaticus lv31 | 14.3 a ± 0.5 | 28.33 b ± 2.6 | 27.1 b ± 0.7 |
© 2020 by the authors. Licensee MDPI, Basel, Switzerland. This article is an open access article distributed under the terms and conditions of the Creative Commons Attribution (CC BY) license (http://creativecommons.org/licenses/by/4.0/).
Share and Cite
Nagmetova, G.; Berthold-Pluta, A.; Garbowska, M.; Kurmanbayev, A.; Stasiak-Różańska, L. Antibacterial Activity of Biocellulose with Oregano Essential Oil against Cronobacter Strains. Polymers 2020, 12, 1647. https://doi.org/10.3390/polym12081647
Nagmetova G, Berthold-Pluta A, Garbowska M, Kurmanbayev A, Stasiak-Różańska L. Antibacterial Activity of Biocellulose with Oregano Essential Oil against Cronobacter Strains. Polymers. 2020; 12(8):1647. https://doi.org/10.3390/polym12081647
Chicago/Turabian StyleNagmetova, Gulden, Anna Berthold-Pluta, Monika Garbowska, Askar Kurmanbayev, and Lidia Stasiak-Różańska. 2020. "Antibacterial Activity of Biocellulose with Oregano Essential Oil against Cronobacter Strains" Polymers 12, no. 8: 1647. https://doi.org/10.3390/polym12081647
APA StyleNagmetova, G., Berthold-Pluta, A., Garbowska, M., Kurmanbayev, A., & Stasiak-Różańska, L. (2020). Antibacterial Activity of Biocellulose with Oregano Essential Oil against Cronobacter Strains. Polymers, 12(8), 1647. https://doi.org/10.3390/polym12081647

