Characterization and Structural Determination of Cold-Adapted Monodehydroascorbate Reductase, MDHAR, from the Antarctic Hairgrass Deschampsia Antarctica
Abstract
1. Introduction
2. Materials and Methods
2.1. Cloning and Protein Expression of DaMDHAR in Escherichia Coli
2.2. Enzymatic Activity
2.3. Crystallization and Structure Refinement
2.4. Protein Data Bank Accession Number
2.5. Establishment of DaMDHAR-Expressing Yeast
2.6. Stress Tolerance Assay
2.7. Western Blot Analysis
2.8. Statistical Analysis
3. Results
3.1. Enzymatic Properties of DaMDHAR
3.2. Crystal Structure of DaMDHAR
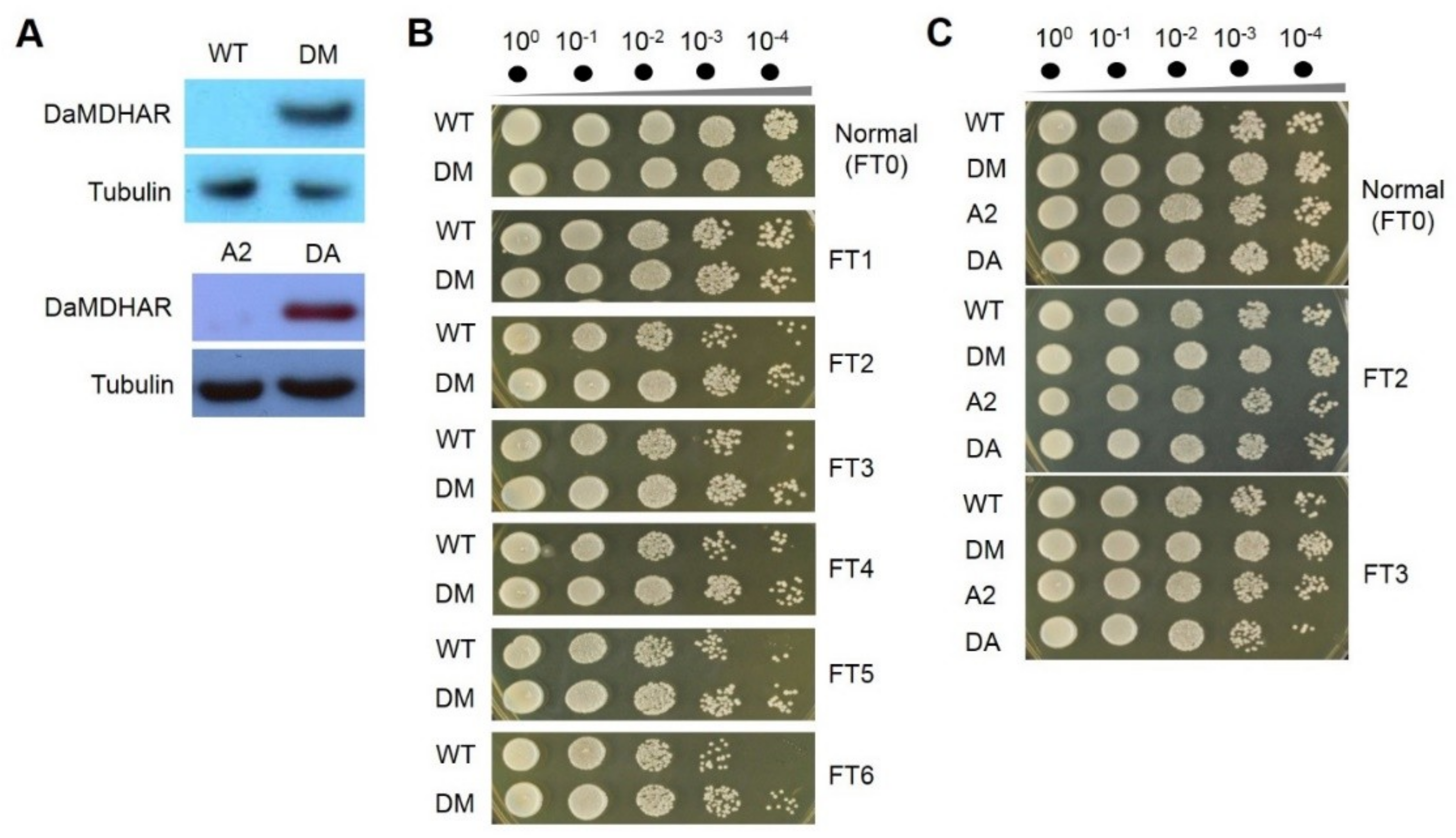
3.3. Stress Response in DaMDHAR-Expressing Yeast
4. Discussion
Supplementary Materials
Author Contributions
Funding
Acknowledgments
Conflicts of Interest
References
- Kim, I.S.; Kim, H.Y.; Kim, Y.S.; Choi, H.G.; Kang, S.H.; Yoon, H.S. Expression of dehydrin gene from Arctic Cerastium arcticum increases abiotic stress tolerance and enhances the fermentation capacity of a genetically engineered Saccharomyces cerevisiae laboratory strain. Appl. Microbiol. Biotechnol. 2013, 97, 8997–9009. [Google Scholar] [CrossRef] [PubMed]
- Bokhorst, S.; Bjerke, J.W.; Davey, M.P.; Taulavuori, K.; Taulavuori, E.; Laine, K.; Callaghan, T.V.; Phoenix, G.K. Impacts of extreme winter warming events on plant physiology in a sub-Arctic heath community. Physiol. Plant. 2010, 140, 128–140. [Google Scholar] [CrossRef] [PubMed]
- Loik, M.E.; Still, C.J.; Huxman, T.E.; Harte, J. In situ photosynthetic freezing tolerance for plants exposed to a global warming manipulation in the Rocky Mountains, Colorado, USA. New Phytol. 2004, 162, 331–341. [Google Scholar] [CrossRef]
- Theocharis, A.; Clement, C.; Barka, E.A. Physiological and molecular changes in plants grown at low temperatures. Planta 2012, 235, 1091–1105. [Google Scholar] [CrossRef] [PubMed]
- Isobe, K.; Takahashi, A.; Tamura, K. Cold tolerance and metabolic rate increased by cold acclimation in Drosophila albomicans from natural populations. Genes Genet. Syst. 2013, 88, 289–300. [Google Scholar] [CrossRef]
- Archambault, A.; Stromvik, M.V. PR-10, defensin and cold dehydrin genes are among those over expressed in Oxytropis (Fabaceae) species adapted to the arctic. Funct. Integr. Genom. 2011, 11, 497–505. [Google Scholar] [CrossRef]
- Chew, O.; Lelean, S.; John, U.P.; Spangenberg, G.C. Cold acclimation induces rapid and dynamic changes in freeze tolerance mechanisms in the cryophile Deschampsia antarctica E. Desv. Plant Cell Environ. 2012, 35, 829–837. [Google Scholar] [CrossRef]
- Mittler, R. Oxidative stress, antioxidants and stress tolerance. Trends Plant Sci. 2002, 7, 405–410. [Google Scholar] [CrossRef]
- Yin, H.; Chen, Q.M.; Yi, M.F. Effects of short-term heat stress on oxidative damage and responses of antioxidant system in Lilium longiflorum. Plant Growth Regul. 2008, 54, 45–54. [Google Scholar] [CrossRef]
- Awasthi, R.; Bhandari, K.; Nayyar, H. Temperature stress and redox homeostasis in agricultural crops. Front. Environ. Sci. 2015, 3, 11. [Google Scholar] [CrossRef]
- Suzuki, N.; Mittler, R. Reactive oxygen species and temperature stresses: A delicate balance between signaling and destruction. Physiol. Plant. 2006, 126, 45–51. [Google Scholar] [CrossRef]
- Sofo, A.; Scopa, A.; Nuzzaci, M.; Vitti, A. Ascorbate Peroxidase and Catalase Activities and Their Genetic Regulation in Plants Subjected to Drought and Salinity Stresses. Int. J. Mol. Sci. 2015, 16, 13561–13578. [Google Scholar] [CrossRef] [PubMed]
- Smirnoff, N. The function and metabolism of ascorbic acid in plants. Ann. Bot. 1996, 78, 661–669. [Google Scholar] [CrossRef]
- Asada, K. The water-water cycle in chloroplasts: Scavenging of active oxygens and dissipation of excess photons. Annu. Rev. Plant Biol. 1999, 50, 601–639. [Google Scholar] [CrossRef]
- Hossain, M.A.; Nakano, Y.; Asada, K. Monodehydroascorbate Reductase in Spinach-Chloroplasts and Its Participation in Regeneration of Ascorbate for Scavenging Hydrogen-Peroxide. Plant Cell Physiol. 1984, 25, 385–395. [Google Scholar]
- Noctor, G.; Foyer, C.H. Ascorbate and glutathione: Keeping active oxygen under control. Annu. Rev. Plant Biol. 1998, 49, 249–279. [Google Scholar] [CrossRef]
- Eltayeb, A.E.; Kawano, N.; Badawi, G.H.; Kaminaka, H.; Sanekata, T.; Morishima, I.; Shibahara, T.; Inanaga, S.; Tanaka, K. Enhanced tolerance to ozone and drought stresses in transgenic tobacco overexpressing dehydroascorbate reductase in cytosol. Physiol. Plant. 2006, 127, 57–65. [Google Scholar] [CrossRef]
- Eltayeb, A.E.; Kawano, N.; Badawi, G.H.; Kaminaka, H.; Sanekata, T.; Shibahara, T.; Inanaga, S.; Tanaka, K. Overexpression of monodehydroascorbate reductase in transgenic tobacco confers enhanced tolerance to ozone, salt and polyethylene glycol stresses. Planta 2007, 225, 1255–1264. [Google Scholar] [CrossRef]
- Stevens, R.; Page, D.; Gouble, B.; Garchery, C.; Zamir, D.; Causse, M. Tomato fruit ascorbic acid content is linked with monodehydroascorbate reductase activity and tolerance to chilling stress. Plant Cell Environ. 2008, 31, 1086–1096. [Google Scholar] [CrossRef]
- Gill, S.S.; Tuteja, N. Reactive oxygen species and antioxidant machinery in abiotic stress tolerance in crop plants. Plant Physiol. Biochem. 2010, 48, 909–930. [Google Scholar] [CrossRef]
- Park, A.K.; Kim, I.S.; Do, H.; Jeon, B.W.; Lee, C.W.; Roh, S.J.; Shin, S.C.; Park, H.; Kim, Y.S.; Kim, Y.H.; et al. Structure and catalytic mechanism of monodehydroascorbate reductase, MDHAR, from Oryza sativa L. japonica. Sci. Rep. 2016, 6, 33903. [Google Scholar] [CrossRef] [PubMed]
- Parnikoza, I.Y.; Maidanuk, D.N.; Kozeretska, I.A. Are Deschampsia antarctica Desv. and Colobanthus quitensis (Kunth) Bartl. migratory relicts? Tsitol. Genet. 2007, 41, 36–40. [Google Scholar] [CrossRef] [PubMed]
- Santiago, I.F.; Alves, T.M.; Rabello, A.; Sales, P.A., Jr.; Romanha, A.J.; Zani, C.L.; Rosa, C.A.; Rosa, L.H. Leishmanicidal and antitumoral activities of endophytic fungi associated with the Antarctic angiosperms Deschampsia antarctica Desv. and Colobanthus quitensis (Kunth) Bartl. Extremophiles 2012, 16, 95–103. [Google Scholar] [CrossRef] [PubMed]
- Otwinowski, Z.; Minor, W. Processing of X-ray diffraction data collected in oscillation mode. Method Enzymol. 1997, 276, 307–326. [Google Scholar] [CrossRef]
- Vagin, A.; Teplyakov, A. Molecular replacement with MOLREP. Acta Cryst. D 2010, 66, 22–25. [Google Scholar] [CrossRef] [PubMed]
- Murshudov, G.N.; Skubak, P.; Lebedev, A.A.; Pannu, N.S.; Steiner, R.A.; Nicholls, R.A.; Winn, M.D.; Long, F.; Vagin, A.A. REFMAC5 for the refinement of macromolecular crystal structures. Acta Cryst. D 2011, 67, 355–367. [Google Scholar] [CrossRef]
- Emsley, P.; Lohkamp, B.; Scott, W.G.; Cowtan, K. Features and development of Coot. Acta Cryst. D 2010, 66, 486–501. [Google Scholar] [CrossRef]
- Chen, V.B.; Arendall, W.B.; Headd, J.J.; Keedy, D.A.; Immormino, R.M.; Kapral, G.J.; Murray, L.W.; Richardson, J.S.; Richardson, D.C. MolProbity: All-atom structure validation for macromolecular crystallography. Acta Cryst. D 2010, 66, 12–21. [Google Scholar] [CrossRef]
- DeLano, W.L. The PyMOL Molecular Graphics System; Schrodinger: New York, NY, USA, 2010; Version 1.3r1; Available online: http://pymol.sourceforge.net/overview/index.htm (accessed on 18 September 2019).
- Jeong, J.Y.; Yim, H.S.; Ryu, J.Y.; Lee, H.S.; Lee, J.H.; Seen, D.S.; Kang, S.G. One-step sequence- and ligation-independent cloning as a rapid and versatile cloning method for functional genomics studies. Appl. Environ. Microbiol. 2012, 78, 5440–5443. [Google Scholar] [CrossRef]
- Gietz, R.D.; Schiestl, R.H. High-efficiency yeast transformation using the LiAc/SS carrier DNA/PEG method. Nat. Protoc. 2007, 2, 31–34. [Google Scholar] [CrossRef]
- Senda, M.; Kishigami, S.; Kimura, S.; Fukuda, M.; Ishida, T.; Senda, T. Molecular mechanism of the redox-dependent interaction between NADH-dependent ferredoxin reductase and rieske-type [2Fe-2S] ferredoxin. J. Mol. Biol. 2007, 373, 382–400. [Google Scholar] [CrossRef] [PubMed]
- Li, F.; Wu, Q.Y.; Sun, Y.L.; Wang, L.Y.; Yang, X.H.; Meng, Q.W. Overexpression of chloroplastic monodehydroascorbate reductase enhanced tolerance to temperature and methyl viologen-mediated oxidative stresses. Physiol. Plant. 2010, 139, 421–434. [Google Scholar] [CrossRef] [PubMed]
- Sultana, S.; Khew, C.-Y.; Morshed, M.M.; Namasivayam, P.; Napis, S.; Ho, C.-L. Overexpression of monodehydroascorbate reductase from a mangrove plant (AeMDHAR) confers salt tolerance on rice. J. Plant Physiol. 2012, 169, 311–318. [Google Scholar] [CrossRef] [PubMed]
- Liu, J.; Sun, X.; Xu, F.; Zhang, Y.; Zhang, Q.; Miao, R.; Zhang, J.; Liang, J.; Xu, W. Suppression of OsMDHAR4 enhances heat tolerance by mediating H2O2-induced stomatal closure in rice plants. Rice 2018, 11, 38. [Google Scholar] [CrossRef] [PubMed]
- Yeh, H.-L.; Lin, T.-H.; Chen, C.-C.; Cheng, T.-X.; Chang, H.-Y.; Lee, T.-M.; Hsin-Yang, C. Monodehydroascorbate reductase plays a role in the tolerance of Chlamydomonas reinhardtii to photooxidative stress. Plant Cell Physiol. 2019, 60, 2167–2179. [Google Scholar] [CrossRef]




| Data Set | DaMDHAR |
|---|---|
| X-ray source | PAL-5C beam line |
| Space group | P21 21 21 |
| cell axes (Å) | 74.15, 88.85, 129.35 |
| cell angles (deg) | 90, 90, 90 |
| Wavelength (Å) | 0.9796 |
| Resolution (Å) | 28.12–2.20 (2.36–2.32) |
| Total reflections | 69131 |
| Unique reflections | 19691 (911) |
| Average I/σ (I) | 42.7 (22.4) |
| Rmergea | 0.067 (0.165) |
| Redundancy | 3.5 (3.5) |
| Completeness (%) | 97.0 (90.2) |
| Refinement | |
| Resolution range (Å) | 33.81–2.32 (2.38–2.32) |
| No. of reflections of working set | 18706 (1341) |
| No. of reflections of test set | 964 (47) |
| No. of amino acid residues | 554 |
| No. of water molecules | 208 |
| Rcrystb | 0.176 (0.165) |
| Rfreec | 0.235 (0.239) |
| R.m.s. bond length (Å) | 0.0096 |
| R.m.s. bond length (°) | 1.596 |
| Average B value (Å2) (protein) | 27.9 |
| Average B value (Å2) (solvent) | 31.0 |
© 2019 by the authors. Licensee MDPI, Basel, Switzerland. This article is an open access article distributed under the terms and conditions of the Creative Commons Attribution (CC BY) license (http://creativecommons.org/licenses/by/4.0/).
Share and Cite
Park, A.K.; Kim, I.-S.; Do, H.; Kim, H.; Choi, W.; Jo, S.-W.; Shin, S.C.; Lee, J.H.; Yoon, H.-S.; Kim, H.-W. Characterization and Structural Determination of Cold-Adapted Monodehydroascorbate Reductase, MDHAR, from the Antarctic Hairgrass Deschampsia Antarctica. Crystals 2019, 9, 537. https://doi.org/10.3390/cryst9100537
Park AK, Kim I-S, Do H, Kim H, Choi W, Jo S-W, Shin SC, Lee JH, Yoon H-S, Kim H-W. Characterization and Structural Determination of Cold-Adapted Monodehydroascorbate Reductase, MDHAR, from the Antarctic Hairgrass Deschampsia Antarctica. Crystals. 2019; 9(10):537. https://doi.org/10.3390/cryst9100537
Chicago/Turabian StylePark, Ae Kyung, Il-Sup Kim, Hackwon Do, Hyun Kim, Woong Choi, Seung-Woo Jo, Seung Chul Shin, Jun Hyuck Lee, Ho-Sung Yoon, and Han-Woo Kim. 2019. "Characterization and Structural Determination of Cold-Adapted Monodehydroascorbate Reductase, MDHAR, from the Antarctic Hairgrass Deschampsia Antarctica" Crystals 9, no. 10: 537. https://doi.org/10.3390/cryst9100537
APA StylePark, A. K., Kim, I.-S., Do, H., Kim, H., Choi, W., Jo, S.-W., Shin, S. C., Lee, J. H., Yoon, H.-S., & Kim, H.-W. (2019). Characterization and Structural Determination of Cold-Adapted Monodehydroascorbate Reductase, MDHAR, from the Antarctic Hairgrass Deschampsia Antarctica. Crystals, 9(10), 537. https://doi.org/10.3390/cryst9100537

