Next Article in Journal
TiO2 Nanotubes on Transparent Substrates: Control of Film Microstructure and Photoelectrochemical Water Splitting Performance
Next Article in Special Issue
Waste into Fuel—Catalyst and Process Development for MSW Valorisation
Previous Article in Journal
Pd-Catalyzed Mizoroki-Heck Reactions Using Fluorine-Containing Agents as the Cross-Coupling Partners
 
 
Font Type:
Arial Georgia Verdana
Font Size:
Aa Aa Aa
Line Spacing:
Column Width:
Background:
Article

Over-Expression of the Thermobifida fusca β-Glucosidase in a Yarrowia lipolytica Transformant to Degrade Soybean Isoflavones

1
Department of Applied Chemistry, Providence University, Taichung 43301, Taiwan
2
Department of Cosmetic Science, Providence University, Taichung 43301, Taiwan
3
Department of Biochemical Science and Technology, National Taiwan University, Taipei 10617, Taiwan
4
Xtremes Pure Company, Taipei 10652, Taiwan
*
Author to whom correspondence should be addressed.
Catalysts 2018, 8(1), 24; https://doi.org/10.3390/catal8010024
Submission received: 4 January 2018 / Revised: 12 January 2018 / Accepted: 12 January 2018 / Published: 14 January 2018
(This article belongs to the Special Issue Novel Enzyme and Whole-Cell Biocatalysis)

Abstract

:
A gene (bgl) encoding a β-glucosidase in thermophilic actinomycete Thermobifida fusca NTU 22 was cloned into a Yarrowia lipolytica expression system. Heterologous expression resulted in extracellular β-glucosidase production with activity as high as 630 U/mL in a Hinton flask culture filtrate. This recombinant β-glucosidase was purified 9.2-fold from crude culture filtrate by DEAE-Sepharose FF column chromatography as measured by its increase in specific activity. The overall yield of the purified enzyme was 47.5%. The molecular weight of the purified β-glucosidase estimated by SDS-PAGE was 45 kDa, which agreed with the predicted molecular weight based on the nucleotide sequence. About 15% enzyme activity loss was observed after the enzyme was heat-treated at 50 °C for 180 min. It was also found that the activity of the enzyme was inhibited by Hg2+, Cu2+, Ba2+, Ag+, p-chloromercuribenzene, and iodoacetate. The β-glucosidase from T. fusca had the most activity for daidzein-7-glucoside and genistein-7-glucoside among the tested flavonoid glycosides, but there was moderate or little activity for luteolin-7-glucoside, cyanidine-3-glucoside, and quercetin-3-glucoside. These properties are important for the soybean isoflavone applications of this β-glucosidase.

1. Introduction

β-d-glucoside glucohydrolase (EC 3.2.1.21), generally called β-glucosidase, catalyzes the hydrolysis of β-glucosidic linkages of glucose or oligosaccharides conjugates [1]. This enzyme is commonly produced by a wide range of organisms, including bacteria, fungi, and plants. β-Glucosidases play pivotal roles in various biotechnological processes such as the reduction of cellobiose accumulation by the action of exo-glucanases to minimize the end-product inhibition [2] and the modification of cyanogenesis, glycolipids, and secondary metabolites [1]. They are involved in the bioconversion of lignocellulose to glucose, producing hydrogen with other exo- or endo-hydrolases and using glucose as an ingredient for fermentation [3,4]. They can also hydrolyze the β-glucosidic bonds of phenolic compounds conjugated to sugar residues via the hydroxyl groups [5,6,7].
Soybean ingredients are rich sources of flavonoids and phenolic compounds with biological activity [8]. Flavonoids, such as isoflavones, are mainly present in soybean foods, as glycosides. Soybean isoflavone aglycones are estrogen-like compounds and are absorbed faster than their glucoside derivatives in humans [9]. In addition, the aglycone forms of soybean isoflavones have higher biological activities [10].
Actinomycetes, comprising multiple groups of Gram-positive, aerobic, and largely mycelial bacteria, have considerable ecological roles in the biodegradation of lignocellulose. Within this group of bacteria, the thermophilic actinomycetes are of particular note because they secrete a variety of thermostable hydrolytic enzymes involved in the degradation of nature lignocellulose [11]. The β-glucosidase activity of thermophilic actinomycetes (i.e., Thermobifida fusca, Thermomonospora chromogena, and Thermomonospora curvata) is mainly intracellular [12].
For economic reason, enzyme genes from thermophilic actinomycetes have been frequently cloned and expressed in the mesophilic systems to reduce the energy cost of cultivation [13]. Yarrowia lipolytica is mesophilic, generally viewed as a safe (GRAS) yeast used as a host for heterologous protein over-production [14]. Many molecular biological tools are available for use in heterologous expression in this yeast [15].
The thermophilic actinomycete Thermobifida fusca NTU 22 was isolated from compost samples collected in South Taiwan [11]. The raw-starch-digesting amylase and acetylxylan esterase genes of T. fusca were successfully heterologously expressed in a Y. lipolytica expression system [16,17]. The β-glucosidase gene (bgl) from T. fusca NTU 22 was also cloned and expressed in Escherichia coli. This study aimed to constitutively overexpress the bgl gene in a Y. lipolytica expression system. The enzyme was further purified and its properties were studied. Various flavonoid glycosides were also investigated as substrates.

2. Results

2.1. Amplification and Construction of the bgl Gene in a Y. lipolytica Expression System

The bgl gene was cloned into a pYLSC1 vector using SfiI and XbaI restriction sites as described in Section 4, theoretically placing the bgl coding sequence in frame. The transformant (pYLSC1-bgl) that displayed the highest and most stable β-glucosidase activity was selected for further experiments. Alignment of the bgl coding sequence with entries in the NCBI database resulted in a 99.65% identity with the gene sequence of T. fusca YX (NCBI accession number Q47RE2). A mismatch in the amino acid sequences of Q47RE2 and bgl occurred only at the 137th amino acid, where bgl has an arginine instead of a histidine. Molecular modeling of β-glucosidase deduced from the bgl gene is shown in Figure 1. Two glutamic acids, including Glu 182 and Glu 388, were present in the predicted active center of the β-glucosidase, and the 137th amino acid was not the active site. Therefore, we assume that the variation at 137th amino acid has no specific means.

2.2. Constitutive Expression of the bgl Gene in a Y. lipolytica Transformant

Figure 2 shows that the transformant (pYLSC1-bgl) logarithmically grew at 28 °C from 24 to 36 h and then moved toward a stationary phase. The OD600 value was 62 after 36 h of incubation. Extracellular β-glucosidase rapidly accumulated along with the increase in OD600 value. The maximum activity (630 U/mL) in the culture filtrate was observed after 60 h of incubation. Little β-glucosidase activity was detected in the control strain, Y. lipolytica (pYLSC1), under the same conditions (data not shown).

2.3. Purification and Characterization of β-Glucosidase from the Y. lipolytica Transformant (pYLSC1-bgl)

The purification of β-glucosidase was performed as described in the Materials and Methods section. The culture filtrate was concentrated by Pellicon ultrafiltration and then applied to the DEAE-Sepharose™ FF column chromatography. The DEAE-Sepharose™ FF column chromatography elution profile is shown in Figure 3. The purified β-glucosidase exhibited 41.8% of its total initial activity and a 9.2-fold increase in specific activity over that of the crude culture filtrate solution. The outcomes of the total purification are summarized in Table 1.
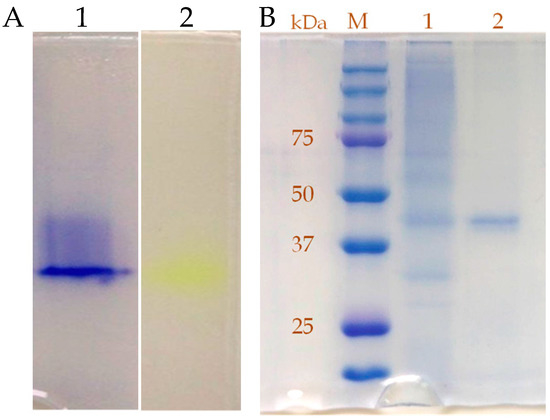
As shown in Figure 4A, the purified β-glucosidase demonstrated a single significant protein band on native PAGE (10%). The significant single protein band was shown to be a β-glucosidase by staining with p-nitrophenyl-β-glucopyranoside. The molecular weight of the subunit of the purified protein was estimated to be 45 kDa from its mobility on SDS-PAGE relative to those of standard proteins (Figure 4B).
The optimal pH and temperature values of the β-glucosidase activity from the Y. lipolytica transformant (pYLSC1-bgl) were 6.0 and 60 °C, respectively. Approximately 90% of the original β-glucosidase activity remained after the enzyme had received a 50 °C heat treatment for 180 min. The enzyme activity was very unstable at 70 °C. The β-glucosidase purified from the Y. lipolytica transformant was stable over a pH range from 6.0 to 10.0 at 4 °C for 24 h.
Testing the enzyme with metal salts and chemical reagents indicated that the β-glucosidase activity was completely inhibited by 1 mM Hg2+ (Table 2). Cu2+, Ba2+, and Ag+ ions also inhibited about approximately 80% of the β-glucosidase activity. The enzyme activity was extremely inhibited by p-chloromercuribenzene (PCMB) and iodoacetate.
According to the results in Table 3, the β-glucosidase hydrolyzed substrates containing β-1,4 glycosidic linkage. Especially, the enzyme had much higher activity for p-nitrophenyl-β-d-glucopyranoside and cellobiose in comparison with others. The β-glucosidase was also able to hydrolyze β-d-galactosidic bond but did not show activity against the β-d-xylopyranosidic bond.

2.4. Substrate-Specific Characterization of the β-Glucosidase from the Y. lipolytica Transformant (pYLSC1-bgl)

The chemical structures of the flavonoids used in this study are shown in Figure 5. The relative activities of the hydrolysis of various flavonoid glucoside substrates by the β-glucosidase from the Y. lipolytica transformant (pYLSC1-bgl) are presented in Table 4. The enzyme efficiently hydrolyzed the β-glycosidic linkages of 7-glucoside of genistein, and 7-glucoside of daidzein to genistein and daidzein. The conversion rates were 80.5% and 50.0%, respectively. The enzyme also hydrolyzed a 3-glucoside of cyanidine, but the aglycone product was not found. Both a 7-glucoside of luteolin and 3-glucoside of quercetin were not hydrolyzed by the purified enzyme.

3. Discussion

Y. lipolytica has a high secretory capacity and was recently used as a heterologous expression host for thermostable enzymes. The β-glucosidase gene (bgl) from T. fusca NTU22 has also been heterologously expressed in an E. coli BL21 (DE3)–pET32a host–vector expression system. The E. coli transformant was cultured in 50 mL of M9 medium in 500 mL Hinton flasks and shaken (125 rpm) at 37 °C for 16 h. The maximum β-glucosidase activity was still 2.62 U/mL. In this study, the β-glucosidase gene (bgl) from T. fusca NTU22 was successfully constitutively expressed in Y. lipolytica. The maximum enzyme activity (630 U/mL) in the culture filtrate of a Y. lipolytica transformant (pYLSC1-bgl) was approximately 240 times higher than that in the cell-free extracts of E. coli transformants.
The pH- and temperature-dependent properties of the β-glucosidase (BglC) of T. fusca YX purified from the E. coli transformants were similar to those of the β-glucosidase (BGL) of T. fusca NTU22 purified from the Y. lipolytica transformant [12]. The optimum temperature of the β-glucosidases from Lactobacillus acidophilus, Lactobacillus casein, and Aspergillus oryzae were 37 °C, 35 °C, and 50 °C, respectively [18,19,20]. The recombinant β-glucosidase (BglC) from thermophilic actinomycetes had excellent thermo-property.
Metal ions inhibited the highly glucose-tolerant β-glucosidase from A. oryzae. Significant inactivation effects were observed with Hg2+, Cu2+, Ag+, Zn2+, and Fe3+ [20]. The β-glucosidase (GmlCHG) from the roots of soybean (Glycine max) seedlings was only inhibited by Hg2+ [21]. However, the Mn2+ increased the β-glucosidase activity (67.4%) of the L. acidophilus [18]. The activity of the β-glucosidase (BglC) from T. fusca YX was not modulated by Ca2+, Mg2+, or EDTA [12]. However, the effects of other chemical reagents or metal ions were not investigated. We tested their effects and found that Hg2+, Cu2+, Ba2+, and Ag+ ions significantly inhibited enzyme activity. These two enzymes exhibited very similar metal ion inhibition effects.
β-Glucosidases are an extensive group of enzymes that hydrolyze a vast variety of glycosides, including aryl and alkyl-β-d-glycosides [22]. They are produced intracellularly by friendly microorganisms and demonstrate broad substrate specificity [23], and their physiological functions vary greatly depending on their source and substrate specificity [22]. Three aglycons (daidzein, genistein, and glycitein) and glucoside, malonyl, and acetyl derivatives of isoflavones exist in soybeans and soybean foods [24]. Daidzin (7-glucosides of daidzein) and genistin (7-glucosides of genistein) are their main isoflavones. The β-glucosidase from Aspergillus niveus had better substrate specificity for genistin. However, the β-glucosidase synthesized by Aspergillus awamori and Aspergillus niger may hydrolyze β-glycosidic linkages of polyphenol glycosides other than genistin [7]. Bifidobacterium animalis, L. acidophilus, and L. casei have a greater ability to biotransform genistin into genistein than daidzin into daidzein [25].
The deglycosylation of flavonoids by human cytosolic β-glucosidase is an important first step in their uptake and metabolism. The aglycones forms of flavonoids are likely to be more important biologically than the glycoside forms [26]. However, deglycosylation rates depend on the structure of the flavonoids and the position of the sugar substitutions [27]. This study showed that the β-glucosidase from the Y. lipolytica transformant (pYLSC1-bgl) had a high substrate selectivity towards the 7-glucosides of genistein and the 7-glucosides of daidzein. These properties are important for the soybean isoflavone applications of this β-glucosidase.

4. Materials and Methods

4.1. Microorganisms and Vectors

Thermobifida fusca NTU22 was the source of chromosomal DNA in this study [11]. Yarrowia lipolytica P01g and pYLSC1 were purchased from Yeastern Biotech Co., Ltd. (Taipei, Taiwan). E. coli TOP10 F’ was obtained from Invitrogen Co., Ltd. (San Diego, CA, USA).

4.2. Construction of the β-Glucosidase Expression Plasmid

The β-glucosidase gene was amplified from the chromosomal DNA of T. fusca NTU22 by PCR using the primers 5′-T TTG GCC GTT CTG GCC ATG GTG ACC TCG CAA TCG ACG AC-3′ (SfiI site is underlined) and 5′-TTT CTA GAG TCA TTC CTG TCC GAA GAT TCC ACC GTT GCG CA-3′ (XbaI site is underlined) according to the gene sequence of T. fusca YX (NCBI accession number Q47RE2). The PCR-amplified fragment was digested with SfiI and XbaI, and then ligated with SfiI-XbaI-treated pYLSC1 to generate the expression plasmid pYLSC1-bgl (Figure 6) for the production of protein in Y. lipolytica P01g.

4.3. Transformation and Screening of Y. lipolytica Transformant

The pYLSC1-bgl plasmid was linearized with NotI and then transformed into Y. lipolytica P01g [17]. The transformants were selected at 28 °C on YND agar plates (6.7 g/L yeast nitrogen base without amino acids, 20 g/L glucose, 15 g/L agar, pH 4.0) for 2–4 days. The transformants were cultured in YPD medium (Y1375, Sigma-Aldrich, St. Louis, MO, USA) in Hinton flasks and shaken (200 rpm) at 28 °C. Transformants with good β-glucosidase activity were selected for further analysis; integration of the construct into the Y. lipolytica P01g genome was verified by genomic PCR.

4.4. β-Glucosidase Activity Assay

β-Glucosidase activity was measured with p-nitrophenyl-β-glucopyranoside [28]. One unit of β-glucosidase activity is defined as the amount of the enzyme releasing 1 mmol of p-nitrophenol per min at 25 °C.

4.5. Expression of β-Glucosidase in Hinton Flask

The high-β-glucosidase-activity transformant was incubated in 50 mL of YPD medium in 500-mL Hinton flasks. Cultivation was performed on a reciprocal shaker at 200 rpm and 28 °C for 24 h. After several days of culturing, the culture broth was centrifuged at 10,000× g and 4 °C for 30 min, and the culture filtrate was collected as a crude enzyme solution.

4.6. Enzyme Purification

The purification procedures were processed in phosphate buffer (20 mM, pH 6.0) at 4 °C unless otherwise stated. The culture filtrate was concentrated by Pellicon ultrafiltration (Pellicon XL, Biomax 10 K, Merck KGaA, Billerica, MA, USA). The concentrated solution was applied to a DEAE-Sepharose™ FF column (1.13 × 8 cm) preequilibrated with phosphate buffer (pH 7.0). After the column was washed with phosphate buffer (100 mM, pH 7.0), the enzyme was eluted with a linear gradient from 0.0 to 1.0 M NaCl (flow rate: 60 mL/h) in buffer. The enzyme activity was found within the range of 0.3–0.4 M NaCl. All manipulations followed the manufacturer’s instructions.

4.7. Hydrolysis of Flavonoid

Each flavonoid was mixed with β-glucosidase to result in a final flavonoid concentration of 100 μM. Samples were incubated at 50 °C for up to 120 min, and control samples of heat-inactivated (100 °C, 30 min) enzyme solution were run in parallel. The sample was extracted with 80% methanol and then analyzed by HPLC.

4.8. Detection of Flavonoid with HPLC

Flavonoids were analyzed by Agilent 1100 series HPLC (Agilent Technologies, Santa Clara, CA, USA) using a prepacked 4.6 mm × 150 mm (5-μm) Zorbax XDB-C18 column (Agilent Technologies Industries Co., Ltd., Santa Clara, CA, USA) and an ultraviolet (UV) detector set at 262 nm. Mobile phase solvents A (0.1% acetic acid, pH 3.4) and B (80% acetonitrile) were run at a flow rate of 1.6 mL/min using a gradient from 15% to 70% B (25 min).

4.9. Statistical Analysis

All measurements were performed at least three times. The data are expressed as the mean ± SD. The mean values were compared to the appropriate control using Dunnett’s test. p-values less than 0.05 indicated statistically significant differences.

5. Conclusions

The β-glucosidase gene (bgl) of T. fusca NTU 22 was successfully expressed in a Y. lipolytica expression system. The maximum enzyme activity of the culture filtrate of a Y. lipolytica transformant (pYLSC1-bgl) was approximately 240 times higher than that of the cell-free extract of the E. coli transformants. The enzyme was purified 9.2-fold from crude culture filtrate by DEAE-Sepharose FF column chromatography. The β-glucosidase from T. fusca exhibited the most activity against daidzein-7-glucoside and genistein-7-glucoside of the flavonoid glycosides that we tested.

Acknowledgments

The financial support for this study from the National Science Council of the Republic of China (NSC 101-2313-B-126-003-MY3) is gratefully acknowledged.

Author Contributions

Chao-Hsun Yang, Wen-Hsiung Liu, and Yu-Chun Huang designed the study. Wei-Lin Chen and Chao-Hsun Yang wrote the paper. Wei-Lin Chen, Yo-Ming Yang, Gui-wen Guo, and Cheng-Yu Chen performed the enzymatic and gene experiments. Chao-Hsun Yang, Yu-Chun Huang, Keh-Feng Huang, and Wei-Lin Chen supervised the study. All authors made substantial contributions to the discussion of data and approved the final manuscript.

Conflicts of Interest

The authors declare no conflict of interest.

References

  1. Hsieh, M.C.; Graham, T.L. Partial purification and characterization of a soybean β-glucosidase with high specific activity towards isoflavone conjugates. Phytochemistry 2001, 58, 995–1005. [Google Scholar] [CrossRef]
  2. Pei, X.; Yi, Z.; Tang, C.; Wu, Z. Three amino acid changes contribute markedly to the thermostability of β-glucosidase BglC from Thermobifida fusca. Bioresour. Technol. 2011, 102, 3337–3342. [Google Scholar] [CrossRef] [PubMed]
  3. Kumar, A.; Gautam, A.; Dutt, D. Co-Cultivation of Penicillium sp. AKB-24 and Aspergillus nidulans AKB-25 as a Cost-Effective Method to Produce Cellulases for the Hydrolysis of Pearl Millet Stover. Fermentation 2016, 2, 12. [Google Scholar] [CrossRef]
  4. Brethauer, S.; Wyman, C.E. Review: Continuous hydrolysis and fermentation for cellulosic ethanol production. Bioresour. Technol. 2010, 101, 4862–4874. [Google Scholar] [CrossRef] [PubMed]
  5. Wang, L.; Wu, Y.; Liu, Y.; Wu, Z. Complex Enzyme-Assisted Extraction Releases Antioxidative Phenolic Compositions from Guava Leaves. Molecules 2017, 22, 1648. [Google Scholar] [CrossRef] [PubMed]
  6. Mai, Z.; Su, H.; Zhang, S. Characterization of a Metagenome-Derived β-Glucosidase and Its Application in Conversion of Polydatin to Resveratrol. Catalysts 2016, 6, 35. [Google Scholar] [CrossRef]
  7. Georgetti, S.R.; Vicentini, F.T.M.C.; Yokoyama, C.Y.; Borin, M.F.; Spadaro, A.C.C.; Fonseca, M.J.V. Enhanced in vitro and in vivo antioxidant activity and mobilization of free phenolic compounds of soybean flour fermented with different β-glucosidase-producing fungi. J. Appl. Microbiol. 2009, 106, 459–466. [Google Scholar] [CrossRef] [PubMed]
  8. McCue, P.; Horii, A.; Shetty, K. Mobilization of phenolic antioxidants from defatted soybean powders by Lentinus edodes during solid-state bioprocessing is associated with enhanced production of laccase. Innov. Food Sci. Emerg. Technol. 2004, 5, 385–392. [Google Scholar] [CrossRef]
  9. Chien, H.L.; Huang, H.Y.; Chou, C.C. Transformation of isoflavone phytoestrogens during the fermentation of soymilk with lactic acid bacteria and bifidobacteria. Food Microbiol. 2006, 23, 772–778. [Google Scholar] [CrossRef] [PubMed]
  10. Lin, C.H.; Wei, Y.T.; Chou, C.C. Enhanced antioxidative activity of soybean koji prepared with various filamentous fungi. Food Microbiol. 2006, 23, 628–633. [Google Scholar] [CrossRef] [PubMed]
  11. Liu, W.H.; Yang, C.H. The isolation and identification of a lignocellulolytic and thermophilic actinomycete. Food Sci. Agric. Chem. 2002, 4, 89–94. [Google Scholar]
  12. Spiridonov, N.A.; Wilson, D.B. Cloning and biochemical characterization of BglC, a β-glucosidase from the cellulolytic actinomycete Thermobifida fusca. Curr. Microbiol. 2001, 42, 295–301. [Google Scholar] [CrossRef] [PubMed]
  13. Zamost, B.L.; Nielsen, H.K.; Starnes, R.L. Thermostable enzymes for industrial application. J. Ind. Microbiol. 1991, 8, 71–82. [Google Scholar] [CrossRef]
  14. Madzak, C.; Treton, B.; Blanchin-Roland, S. Strong hybrid promoters and integrative expression/secretion vectors for quasi-constitutive expression of heterologous proteins in the yeast Yarrowia lipolytica. J. Mol. Microbiol. Biotechnol. 2000, 2, 207–216. [Google Scholar] [PubMed]
  15. Madzak, C.; Gaillardin, C.; Beckerich, J.M. Heterologous protein expression and secretion in the non-conventional yeast Yarrowia lipolytica. J. Biotechnol. 2004, 109, 63–81. [Google Scholar] [CrossRef] [PubMed]
  16. Yang, C.H.; Huang, Y.C.; Chen, C.Y.; Wen, C.Y. Heterologous expression of Thermobifida fusca thermostable alpha-amylase in Yarrowia lipolytica and its application in boiling stable resistant sago starch preparation. J. Ind. Microbiol. Biotechnol. 2010, 37, 953–960. [Google Scholar] [CrossRef] [PubMed]
  17. Huang, Y.C.; Chen, Y.F.; Chen, C.Y.; Chen, W.L.; Ciou, Y.P.; Liu, W.H.; Yang, C.H. Production of ferulic acid from lignocellulolytic agricultural biomass by Thermobifida fusca thermostable esterase produced in Yarrowia lipolytica transformant. Bioresour. Technol. 2011, 102, 8117–8122. [Google Scholar] [CrossRef] [PubMed]
  18. Coulon, S.; Chemardin, P.; Gueguen, Y.; Arnaud, A.; Galzy, P. Purification and characterization of an intracellular β-glucosidase from Lactobacillus casein ATCC 393. Appl. Biochem. Biotechnol. 1998, 74, 105–114. [Google Scholar] [CrossRef]
  19. Li, K.B.; Chan, K.Y. Production and properties of β-Glucosidase from Lactobacillus acidophilus. Appl. Environ. Microbiol. 1983, 46, 1380–1387. [Google Scholar] [PubMed]
  20. Riou, C.; Salmon, J.; Vallier, M.; Gunata, Z.; Barre, P. Purification, characterization, and substrate specificity of a novel highly glucose-tolerant β-glucosidase from Aspergillus oryzae. Appl. Environ. Microbiol. 1998, 64, 3607–3614. [Google Scholar] [PubMed]
  21. Suzuki, H.; Takahashi, S.; Watanabe, R.; Fukushima, Y.; Fujita, N.; Noguchi, A.; Yokoyama, R.; Nishitani, K.; Nishino, T.; Nakayama, T. An isoflavone conjugate-hydrolyzing β-glucosidase from the roots of soybean (Glycine max) seedlings: Purification, gene cloning, phylogenetics, and cellular localization. J. Biol. Chem. 2006, 281, 30251–30259. [Google Scholar] [CrossRef] [PubMed]
  22. Berrin, J.G.; Czjzek, M.; Kroon, P.A.; Mclauchlan, W.R.; Puigserver, A.; Williamson, G.; Juge, N. Substrate (aglycone) specificity of human cytosolic β-glucosidase. Biochem. J. 2003, 373, 41–48. [Google Scholar] [CrossRef] [PubMed]
  23. Wolosowska, S.; Synowiecki, J. Thermostable β-glucosidase with a broad substrate specifity suitable for processing of lactose-containing products. Food Chem. 2004, 85, 181–187. [Google Scholar] [CrossRef]
  24. Wang, H.; Murphy, P.A. Isoflavone content in commercial soybean foods. J. Agric. Food Chem. 2009, 42, 1666–1673. [Google Scholar] [CrossRef]
  25. Otieno, D.O.; Ashton, J.F.; Shah, N.P. Evaluation of enzymic for biotransformation of isoflavone phytoestrogen in soymilk by Bifidobacterium animalis, Lactobacillus acidophilus and Lactobacillus casei. Food Res. Int. 2006, 39, 394–407. [Google Scholar] [CrossRef]
  26. Williamson, G.; Plumb, G.W.; Uda, Y.; Price, K.R.; Rhodes, M.J.C. Dietary quercetin glycosides: Antioxidant activity and induction of the anticarcinogenic phase II marker enzyme quinone reductase in Hepalclc7 cells. Carcinogenesis 1996, 17, 2385–2387. [Google Scholar] [CrossRef] [PubMed]
  27. Day, A.J.; DuPont, M.S.; Ridley, S.; Rhodes, M.; Rhodes, M.J.C.; Morgan, M.R.A.; Williamson, G. Deglycosylation of favonoid and isofavonoid glycosides by human small intestine and liver β-glucosidase activity. FEBS Lett. 1998, 436, 71–75. [Google Scholar] [CrossRef]
  28. Schmidt, S.; Rainieri, S.; Witte, S.; Matern, U.; Martens, S. Identification of a Saccharomyces cerevisiae glucosidase that hydrolyzes flavonoid glucosides. Appl. Environ. Microbiol. 2011, 77, 1751–1757. [Google Scholar] [CrossRef] [PubMed]
Figure 1. Molecular modeling of β-glucosidase deduced from bgl gene. Center for biological sequence analysis. http://www.cbs.dtu.dk/. CPHmodels 2.0: X3M a Computer Program to Extract 3D Models.
Figure 1. Molecular modeling of β-glucosidase deduced from bgl gene. Center for biological sequence analysis. http://www.cbs.dtu.dk/. CPHmodels 2.0: X3M a Computer Program to Extract 3D Models.
Catalysts 08 00024 g001
Figure 2. Time course of β-glucosidase activity in a Y. lipolytica transformant (pYLSC1-bgl). (-●-) extracellular β-glucosidase activity; (-○-), OD 600 nm. The culture conditions were: temperature 28 °C; shaking speed 200 rpm.
Figure 2. Time course of β-glucosidase activity in a Y. lipolytica transformant (pYLSC1-bgl). (-●-) extracellular β-glucosidase activity; (-○-), OD 600 nm. The culture conditions were: temperature 28 °C; shaking speed 200 rpm.
Catalysts 08 00024 g002
Figure 3. DEAE-Sepharose FF chromatography. (-●-), protein; (-○-), β-glucosidase activity; (-) NaCl gradient. Column: 1.13 × 8-cm; flow rate: 60 mL/h.
Figure 3. DEAE-Sepharose FF chromatography. (-●-), protein; (-○-), β-glucosidase activity; (-) NaCl gradient. Column: 1.13 × 8-cm; flow rate: 60 mL/h.
Catalysts 08 00024 g003
Figure 4. Polyacrylamde gel electrophoresis of the β-glucosidase purified from T. fusca NTU22. (A) Native polyacrylamide gel electrophoresis (PAGE) of the purified enzyme. Lane 1: Protein stained by Coomassie Brilliant Blue R-250. Lane 2: Activity stained by p-nitrophenyl-β-glucopyranoside. (B) SDS-PAGE. Lane M: Protein molecular mass standard; Lane 1: Crude culture filtrate; Lane 2: Purified β-glucosidase. Electrophoresis conditions: 150 V, 1 h.
Figure 4. Polyacrylamde gel electrophoresis of the β-glucosidase purified from T. fusca NTU22. (A) Native polyacrylamide gel electrophoresis (PAGE) of the purified enzyme. Lane 1: Protein stained by Coomassie Brilliant Blue R-250. Lane 2: Activity stained by p-nitrophenyl-β-glucopyranoside. (B) SDS-PAGE. Lane M: Protein molecular mass standard; Lane 1: Crude culture filtrate; Lane 2: Purified β-glucosidase. Electrophoresis conditions: 150 V, 1 h.
Catalysts 08 00024 g004
Figure 5. Chemical structures of the flavonoids. 1, Genistin; 2, Daidzin; 3, Cyanidin 3-O-glucoside chloride; 4, Luteolin 7-glucoside; 5, Quercetin 3-β-glucoside.
Figure 5. Chemical structures of the flavonoids. 1, Genistin; 2, Daidzin; 3, Cyanidin 3-O-glucoside chloride; 4, Luteolin 7-glucoside; 5, Quercetin 3-β-glucoside.
Catalysts 08 00024 g005
Figure 6. Plasmid map of pYLC1-bgl.
Figure 6. Plasmid map of pYLC1-bgl.
Catalysts 08 00024 g006
Table 1. Purification steps of β-glucosidase from a Y. lipolytica transformant (pYLSC1-bgl).
Table 1. Purification steps of β-glucosidase from a Y. lipolytica transformant (pYLSC1-bgl).
Total Protein (mg)Total Activity (U)Specific Activity (U/mg)Purification (fold)Yield (%)
Culture Filtration 40,17627300.0681.0100
Pellicon ultrafiltration16,79724020.1432.188
DEAE-sepharose FF 184011410.62 9.241.8
Table 2. Effect of metal salts and chemical reagents on the activity of recombinant β-glucosidase from a Y. lipolytica transformant (pYLSC1-bgl).
Table 2. Effect of metal salts and chemical reagents on the activity of recombinant β-glucosidase from a Y. lipolytica transformant (pYLSC1-bgl).
Metal Salt/Chemical Reagent aRelative Activity (%) b
Control100
CoCl2105
MnCl2105
FeCl3100
CaCl293
ZnCl290
MgCl287
AgNO322
BaCl217
CuCl214
HgCl20
2-Mercaptoethanol96
EDTA93
DTT c85
PMSF c84
Iodoacetate7
PCMB c0
a The metal salt/chemical reagent concentrations were 1 mM. b The reaction mixtures were composed of β-glucosidase and various metal salt/chemical reagents in 750 μL of 100 mM phosphate buffer (pH 7.0) and were incubated at 50 °C for 10 min. The residual activities were determined. c DTT: dithiothreitol; PCMB: p-chloromercuribenzene; PMSF: phenylmethylsulphonyl fluorophosphate.
Table 3. The decomposition rates of flavonoids (as substrates).
Table 3. The decomposition rates of flavonoids (as substrates).
SubstrateSpecific Activity a
Cellobiose b22.03
Lactose2.70
Maltose0.41
Sucrose0.21
α-Cellulose0.20
Carboxymethyl cellulose0.23
p-Nitrophenyl-β-d-glucopyranoside c28.12
p-Nitrophenyl-β-d-galactopyranoside19.29
p-Nitrophenyl-β-d-xylopyranoside0.28
p-Nitrophenyl-phosphate1.86
a Micromoles per milliliter of enzyme solution per minute, released in 1.0 mL of 100 mM sodium phosphate (pH 7.0) at 50 °C. b Measured by release of glucose. c Measured by release of p-nitrophenol.
Table 4. The conversion rates of flavonoids (as substrates).
Table 4. The conversion rates of flavonoids (as substrates).
SubstrateConversion Rate (μmol/min/unit)
Genistein-7-glucoside 50.0
Daidzein-7-glucoside80.5
Cyanidin-3-glucoside24.4
Luteolin-7-glucoside0
Quercetin-3-glucoside0

Share and Cite

MDPI and ACS Style

Chen, W.-L.; Yang, Y.-M.; Guo, G.-W.; Chen, C.-Y.; Huang, Y.-C.; Liu, W.-H.; Huang, K.-F.; Yang, C.-H. Over-Expression of the Thermobifida fusca β-Glucosidase in a Yarrowia lipolytica Transformant to Degrade Soybean Isoflavones. Catalysts 2018, 8, 24. https://doi.org/10.3390/catal8010024

AMA Style

Chen W-L, Yang Y-M, Guo G-W, Chen C-Y, Huang Y-C, Liu W-H, Huang K-F, Yang C-H. Over-Expression of the Thermobifida fusca β-Glucosidase in a Yarrowia lipolytica Transformant to Degrade Soybean Isoflavones. Catalysts. 2018; 8(1):24. https://doi.org/10.3390/catal8010024

Chicago/Turabian Style

Chen, Wei-Lin, Yo-Ming Yang, Gui-Wen Guo, Cheng-Yu Chen, Yu-Chun Huang, Wen-Hsiung Liu, Keh-Feng Huang, and Chao-Hsun Yang. 2018. "Over-Expression of the Thermobifida fusca β-Glucosidase in a Yarrowia lipolytica Transformant to Degrade Soybean Isoflavones" Catalysts 8, no. 1: 24. https://doi.org/10.3390/catal8010024

APA Style

Chen, W.-L., Yang, Y.-M., Guo, G.-W., Chen, C.-Y., Huang, Y.-C., Liu, W.-H., Huang, K.-F., & Yang, C.-H. (2018). Over-Expression of the Thermobifida fusca β-Glucosidase in a Yarrowia lipolytica Transformant to Degrade Soybean Isoflavones. Catalysts, 8(1), 24. https://doi.org/10.3390/catal8010024

Note that from the first issue of 2016, this journal uses article numbers instead of page numbers. See further details here.

Article Metrics

Back to TopTop