Immobilization and Purification of Heavy-Metal Resistant Lipases of Hypocrea pseudokoningii Produced in Solid-State Fermentation
Abstract
1. Introduction
2. Results
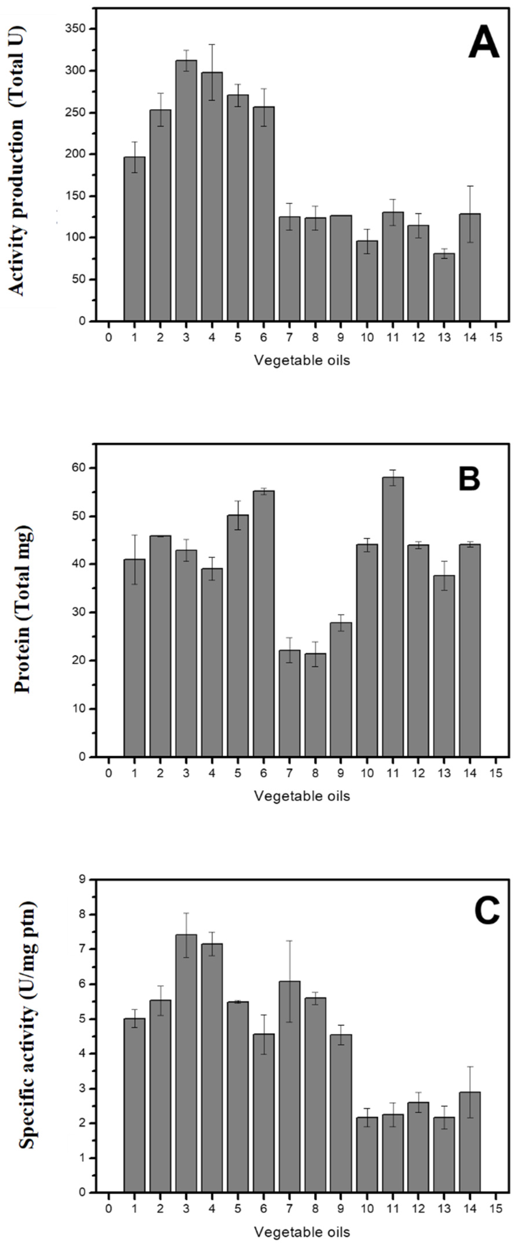
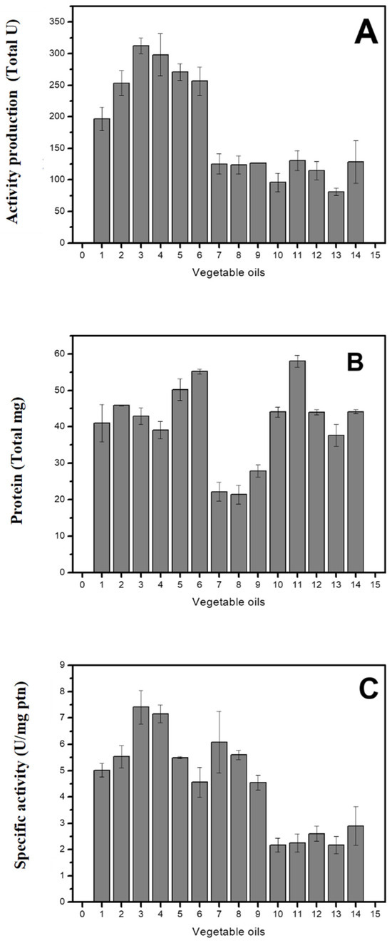
2.1. Improvement in Lipase Production Under SSF: Effect of the Supplementation of Diverse Carbon Sources, Oils, and Monosaccharides
2.2. Lipase Immobilization on Hydrophobic and on Ionic Supports
2.3. Desorption of Immobilized Lipase on Hydrophobic and Ionic Supports
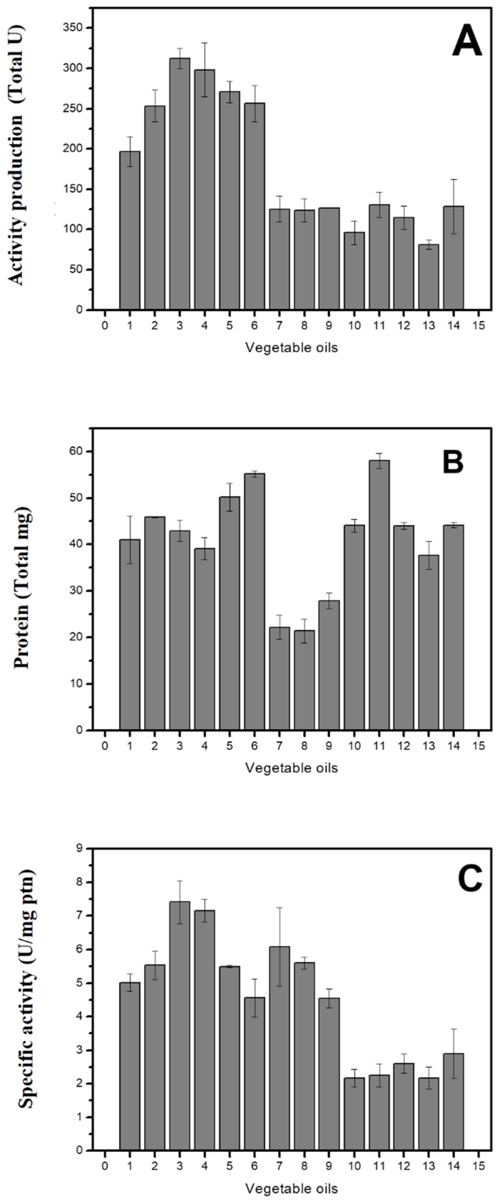
2.4. Purification of Lipase
2.5. Lipase Characterization: Effect of Temperature and pH on Activity and Stability
2.6. Effects of Ions on Immobilized Lipase Activity
2.7. Hydrolysis of Oils
3. Discussion
4. Material and Methods
4.1. Microorganism, Culture Conditions, and Lipase Production
4.2. Measurement of Lipase Activity and Protein
4.3. Hydrophobic Immobilization and Ionic Immobilization of H. pseudokoningii Lipase
4.4. Desorption of Lipase from Hydrophobic and Ionic Supports
4.5. Electrophoresis Analysis
4.6. Effect of pH and Temperature on Immobilized Derivatives
4.7. Thermal and pH Stability Studies
4.8. Stabilities of the Lipase in Detergents and Salts
4.9. Hydrolysis of Oils
4.10. Thin-Layer Chromatography of the Hydrolysis Product of Oils Catalyzed by Lipase
4.11. Reproducibility of Experiments
5. Conclusions
Author Contributions
Funding
Data Availability Statement
Acknowledgments
Conflicts of Interest
Abbreviations
| SSF | Solid-State Fermentation |
| U | Unit |
| TLC | Thin-Layer Chromatography |
| SmF | Submerged fermentation |
| pNPP | p-nitrophenyl palmitate |
References
- Ribeiro, E.S.; Machado, B.R.; de Farias, B.S.; Han, L.H.; dos Santos, L.O.; Duarte, S.H.; Cadaval Junior, T.R.S.; de Almeida Pinto, L.A.; Diaz, P.S. Bi-layer nanocapsules based on chitosan and xanthan gum for lipase immobilization. J. Mol. Liq. 2025, 434, 128031. [Google Scholar] [CrossRef]
- Facchini, F.D.A.; Vici, A.C.; Pereira, M.G.; Jorge, J.A.; Polizeli, M.L.T.M. Enhanced lipase production of Fusarium verticillioides by using response surface methodology and wastewater pretreatment application. J. Biochem. Technol. 2016, 6, 996–1002. [Google Scholar]
- Facchini, F.; Pereira, M.; Vici, A. Lipases: Imperative Fat-degrading Enzymes. In Fungal Enzymes; Rai, M., Ed.; CRC Press: Boca Raton, FL, USA, 2013; ISBN 978-1-4665-9454-8. [Google Scholar]
- Vici, A.C.; da Cruz, A.F.; Facchini, F.D.A.; de Carvalho, C.C.; Pereira, M.G.; Fonseca-Maldonado, R.; Ward, R.J.; Pessela, B.C.; Fernandez-Lorente, G.; Torres, F.A.G.; et al. Beauveria bassiana Lipase A expressed in Komagataella (Pichia) pastoris with potential for biodiesel catalysis. Front. Microbiol. 2015, 6, 1083. [Google Scholar] [CrossRef] [PubMed]
- Chandra, K.; Dong, C.-D.; Chauhan, A.S.; Chen, C.-W.; Patel, A.K.; Singhania, R.R. Advancements in lipase immobilization: Enhancing enzyme efficiency with nanomaterials for industrial applications. Int. J. Biol. Macromol. 2025, 311, 143754. [Google Scholar] [CrossRef] [PubMed]
- Tanyol, M.; Uslu, G.; Yönten, V. Optimization of lipase production on agro-industrial residue medium by Pseudomonas fluorescens (NRLL B-2641) using response surface methodology. Biotechnol. Biotechnol. Equip. 2015, 29, 64–71. [Google Scholar] [CrossRef] [PubMed]
- Xu, L.; Li, J.; Zhang, H.; Zhang, M.; Qi, C.; Wang, C. Biological modification and industrial applications of microbial lipases: A general review. Int. J. Biol. Macromol. 2025, 302, 140486. [Google Scholar] [CrossRef]
- Singh, A.K.; Mukhopadhyay, M. Overview of fungal lipase: A review. Appl. Biochem. Biotechnol. 2012, 166, 486–520. [Google Scholar] [CrossRef]
- Liu, C.; Jiang, Z.; Decatur, J.; Xie, W.; Gross, R.A. Chain Growth and Branch Structure Formation during Lipase-Catalyzed Synthesis of Aliphatic Polycarbonate Polyols. Macromolecules 2011, 44, 1471–1479. [Google Scholar] [CrossRef]
- Scheibel, D.M.; Gitsov, I.P.I.; Gitsov, I. Enzymes in “green” synthetic chemistry: Laccase and lipase. Molecules 2024, 29, 989. [Google Scholar] [CrossRef]
- Zhao, X.; Qi, F.; Yuan, C.; Du, W.; Liu, D. Lipase-catalyzed process for biodiesel production: Enzyme immobilization, process simulation and optimization. Renew. Sustain. Energy Rev. 2015, 44, 182–197. [Google Scholar] [CrossRef]
- Greco-Duarte, J.; de Almeida, F.P.; de Godoy, M.G.; Lins, U.; Freire, D.M.G.; Gutarra, M.L.E. Simultaneous lipase production and immobilization: Morphology and physiology study of Penicillium simplicissimum in submerged and solid-state fermentation with polypropylene as an inert support. Enzym. Microb. Technol. 2023, 164, 110173. [Google Scholar] [CrossRef] [PubMed]
- Nagy, V.; Tőke, E.R.; Keong, L.C.; Szatzker, G.; Ibrahim, D.; Omar, I.C.; Szakács, G.; Poppe, L. Kinetic resolutions with novel, highly enantioselective fungal lipases produced by solid state fermentation. J. Mol. Catal. B Enzym. 2006, 39, 141–148. [Google Scholar] [CrossRef]
- Gutarra, M.L.E.; Godoy, M.G.; Maugeri, F.; Rodrigues, M.I.; Freire, D.M.G.; Castilho, L.R. Production of an acidic and thermostable lipase of the mesophilic fungus Penicillium simplicissimum by solid-state fermentation. Bioresour. Technol. 2009, 100, 5249–5254. [Google Scholar] [CrossRef]
- Rigo, E.; Ninow, J.L.; Di Luccio, M.; Oliveira, J.V.; Polloni, A.E.; Remonatto, D.; Arbter, F.; Vardanega, R.; de Oliveira, D.; Treichel, H. Lipase production by solid fermentation of soybean meal with different supplements. LWT—Food Sci. Technol. 2010, 43, 1132–1137. [Google Scholar] [CrossRef]
- Mitchell, D.A.; Sugai-Guérios, M.H.; Krieger, N. Solid-State Fermentation. In Reference Module in Chemistry, Molecular Sciences and Chemical Engineering; Elsevier: Amsterdam, The Netherlands, 2019; ISBN 9780124095472. [Google Scholar]
- Pereira, M.G.; Vici, A.C.; Facchini, F.D.A.; Tristão, A.P.; Cursino-Santos, J.R.; Sanches, P.R.; Jorge, J.A.; Polizeli, M.L.T.d.M. Screening of filamentous fungi for lipase production: A new producer with a high biotechnological potential. Biocatal. Biotransform. 2014, 32, 74–83. [Google Scholar] [CrossRef]
- Martins, V.G.; Kalil, S.J.; Costa, J.A.V. Co-produção de lipase e biossurfactante em estado sólido para utilização em biorremediação de óleos vegetais e hidrocarbonetos. Quím. Nova 2008, 31, 1942–1947. [Google Scholar] [CrossRef][Green Version]
- Pereira Lima, R.; Souza da Luz, P.T.; Braga, M.; dos Santos Batista, P.R.; Ferreira da Costa, C.E.; Zamian, J.R.; Santos do Nascimento, L.A.; da Rocha Filho, G.N. Murumuru (Astrocaryum murumuru Mart.) butter and oils of buriti (Mauritia flexuosa Mart.) and pracaxi (Pentaclethra macroloba (Willd.) Kuntze) can be used for biodiesel production: Physico-chemical properties and thermal and kinetic studies. Ind. Crops Prod. 2017, 97, 536–544. [Google Scholar] [CrossRef]
- Barbalho, G.N.; Matos, B.N.; da Silva Brito, G.F.; da Cunha Miranda, T.; Alencar-Silva, T.; Sodré, F.F.; Gelfuso, G.M.; Cunha-Filho, M.; Carvalho, J.L.; da Silva, J.K.d.R.; et al. Skin Regenerative Potential of Cupuaçu Seed Extract (Theobroma grandiflorum), a Native Fruit from the Amazon: Development of a Topical Formulation Based on Chitosan-Coated Nanocapsules. Pharmaceutics 2022, 14, 207. [Google Scholar] [CrossRef]
- Lin, T.-K.; Zhong, L.; Santiago, J.L. Anti-Inflammatory and Skin Barrier Repair Effects of Topical Application of Some Plant Oils. Int. J. Mol. Sci. 2017, 19, 70. [Google Scholar] [CrossRef]
- Verma, K.; Kaushik, P.; Chugh, R.; Kaur, G.; Kathuria, D. Cosmeceutical applications of natural oils and fats. In Specialized Plant Metabolites as Cosmeceuticals; Elsevier: Amsterdam, The Netherlands, 2024; pp. 239–256. ISBN 9780443191480. [Google Scholar]
- Pereira, M.G.; Facchini, F.D.A.; Filó, L.E.C.; Polizeli, A.M.; Vici, A.C.; Jorge, J.A.; Fernandez-Lorente, G.; Pessela, B.C.; Guisan, J.M.; Polizeli, M.L.T.d.M. Immobilized lipase from Hypocrea pseudokoningii on hydrophobic and ionic supports: Determination of thermal and organic solvent stabilities for applications in the oleochemical industry. Process Biochem. 2015, 50, 561–570. [Google Scholar] [CrossRef]
- Pereira, M.G.; Facchini, F.D.A.; Polizeli, A.M.; Vici, A.C.; Jorge, J.A.; Pessela, B.C.; Férnandez-Lorente, G.; Guisán, J.M.; Polizeli, M.L.T.M. Stabilization of the lipase of Hypocrea pseudokoningii by multipoint covalent immobilization after chemical modification and application of the biocatalyst in oil hydrolysis. J. Mol. Catal. B Enzym. 2015, 121, 82–89. [Google Scholar] [CrossRef]
- Manoel, E.A.; Dos Santos, J.C.S.; Freire, D.M.G.; Rueda, N.; Fernandez-Lafuente, R. Immobilization of lipases on hydrophobic supports involves the open form of the enzyme. Enzym. Microb. Technol. 2015, 71, 53–57. [Google Scholar] [CrossRef]
- Ortiz, C.; Ferreira, M.L.; Barbosa, O.; dos Santos, J.C.S.; Rodrigues, R.C.; Berenguer-Murcia, Á.; Briand, L.E.; Fernandez-Lafuente, R. Novozym 435: The “perfect” lipase immobilized biocatalyst? Catal. Sci. Technol. 2019, 9, 2380–2420. [Google Scholar] [CrossRef]
- Abro, A.A.; Qureshi, A.S.; Naqvi, M.; Khushk, I.; Jatt, A.N.; Ali, C.H.; Makhdoom, F.; Shafaq, U. Lipase Production from alkalophilic-thermophilic-Ionic liquid tolerant Bacillus cereus using agricultural residues for its applications in biodiesel and detergents. Ind. Crops Prod. 2024, 220, 119208. [Google Scholar] [CrossRef]
- Veerabhadrappa, M.B.; Shivakumar, S.B.; Devappa, S. Solid-state fermentation of Jatropha seed cake for optimization of lipase, protease and detoxification of anti-nutrients in Jatropha seed cake using Aspergillus versicolor CJS-98. J. Biosci. Bioeng. 2014, 117, 208–214. [Google Scholar] [CrossRef] [PubMed]
- Martin del Campo, M.; Camacho, R.M.; Mateos-Díaz, J.C.; Müller-Santos, M.; Córdova, J.; Rodríguez, J.A. Solid-state fermentation as a potential technique for esterase/lipase production by halophilic archaea. Extremophiles 2015, 19, 1121–1132. [Google Scholar] [CrossRef]
- Damaso, M.C.T.; Passianoto, M.A.; de Freitas, S.C.; Freire, D.M.G.; Lago, R.C.A.; Couri, S. Utilization of agroindustrial residues for lipase production by solid-state fermentation. Braz. J. Microbiol. 2008, 39, 676–681. [Google Scholar] [CrossRef]
- Lyons-Wall, P. Food analysis, food composition tables, and databases. In Essentials of Human Nutrition; Oxford University Press: Oxford, UK, 2023; ISBN 9780191992902. [Google Scholar]
- Takó, M.; Kotogán, A.; Krisch, J.; Vágvölgyi, C.; Mondal, K.C.; Papp, T. Enhanced production of industrial enzymes in Mucoromycotina fungi during solid-state fermentation of agricultural wastes/by-products. Acta Biol. Hung. 2015, 66, 348–360. [Google Scholar] [CrossRef]
- Salihu, A.; Alam, M.d.Z.; AbdulKarim, M.I.; Salleh, H.M. Lipase production: An insight in the utilization of renewable agricultural residues. Resour. Conserv. Recycl. 2012, 58, 36–44. [Google Scholar] [CrossRef]
- Rodriguez, J.A.; Mateos, J.C.; Nungaray, J.; González, V.; Bhagnagar, T.; Roussos, S.; Cordova, J.; Baratti, J. Improving lipase production by nutrient source modification using Rhizopus homothallicus cultured in solid state fermentation. Process Biochem. 2006, 41, 2264–2269. [Google Scholar] [CrossRef]
- Costa, A.R.; Salgado, J.M.; Belo, I. Olive and sunflower cakes as suitable substrates for lipase production by Yarrowia spp.: From flasks to bioreactor. Biocatal. Agric. Biotechnol. 2023, 51, 102783. [Google Scholar] [CrossRef]
- Fickers, P.; Marty, A.; Nicaud, J.M. The lipases from Yarrowia lipolytica: Genetics, production, regulation, biochemical characterization and biotechnological applications. Biotechnol. Adv. 2011, 29, 632–644. [Google Scholar] [CrossRef] [PubMed]
- Fickers, P.; Nicaud, J.M.; Destain, J.; Thonart, P. Involvement of hexokinase Hxk1 in glucose catabolite repression of LIP2 encoding extracellular lipase in the yeast Yarrowia lipolytica. Curr. Microbiol. 2005, 50, 133–137. [Google Scholar] [CrossRef] [PubMed]
- Mahanta, N.; Gupta, A.; Khare, S.K. Production of protease and lipase by solvent tolerant Pseudomonas aeruginosa PseA in solid-state fermentation using Jatropha curcas seed cake as substrate. Bioresour. Technol. 2008, 99, 1729–1735. [Google Scholar] [CrossRef]
- Mahadik, N.D.; Puntambekar, U.S.; Bastawde, K.B.; Khire, J.M.; Gokhale, D.V. Production of acidic lipase by Aspergillus niger in solid state fermentation. Process Biochem. 2002, 38, 715–721. [Google Scholar] [CrossRef]
- Mazhar, H.; Ullah, I.; Ali, U.; Abbas, N.; Hussain, Z.; Ali, S.S.; Zhu, H. Optimization of low-cost solid-state fermentation media for the production of thermostable lipases using agro-industrial residues as substrate in culture of Bacillus amyloliquefaciens. Biocatal. Agric. Biotechnol. 2023, 47, 102559. [Google Scholar] [CrossRef]
- Cao, L. Carrier-Bound Immobilized Enzymes: Principles, Application and Design; Wiley: Hoboken, NJ, USA, 2005; ISBN 9783527312320. [Google Scholar]
- Rodrigues, R.C.; Ortiz, C.; Berenguer-Murcia, Á.; Torres, R.; Fernández-Lafuente, R. Modifying enzyme activity and selectivity by immobilization. Chem. Soc. Rev. 2013, 42, 6290–6307. [Google Scholar] [CrossRef]
- Mateo, C.; Palomo, J.M.; Fernandez-Lorente, G.; Guisan, J.M.; Fernandez-Lafuente, R. Improvement of enzyme activity, stability and selectivity via immobilization techniques. Enzym. Microb. Technol. 2007, 40, 1451–1463. [Google Scholar] [CrossRef]
- Pernas, M.A.; López, C.; Pastrana, L.; Rúa, M.L. Purification and characterization of Lip2 and Lip3 isoenzymes from a Candida rugosa pilot-plant scale fed-batch fermentation. J. Biotechnol. 2001, 84, 163–174. [Google Scholar] [CrossRef]
- Basheer, S.M.; Chellappan, S.; Beena, P.S.; Sukumaran, R.K.; Elyas, K.K.; Chandrasekaran, M. Lipase from marine Aspergillus awamori BTMFW032: Production, partial purification and application in oil effluent treatment. N. Biotechnol. 2011, 28, 627–638. [Google Scholar] [CrossRef]
- Romdhane, I.B.-B.; Fendri, A.; Gargouri, Y.; Gargouri, A.; Belghith, H. A novel thermoactive and alkaline lipase from Talaromyces thermophilus fungus for use in laundry detergents. Biochem. Eng. J. 2010, 53, 112–120. [Google Scholar] [CrossRef]
- Hasan, F.; Shah, A.A.; Hameed, A. Methods for detection and characterization of lipases: A comprehensive review. Biotechnol. Adv. 2009, 27, 782–798. [Google Scholar] [CrossRef]
- Lima, V.M.G.; Krieger, N.; Mitchell, D.A.; Fontana, J.D. Activity and stability of a crude lipase from Penicillium aurantiogriseum in aqueous media and organic solvents. Biochem. Eng. J. 2004, 18, 65–71. [Google Scholar] [CrossRef]
- Tanaka, A.; Sugimoto, H.; Muta, Y.; Mizuno, T.; Senoo, K.; Obata, H.; Inouye, K. Differential scanning calorimetry of the effects of Ca2+ on the thermal unfolding of Pseudomonas cepacia lipase. Biosci. Biotechnol. Biochem. 2003, 67, 207–210. [Google Scholar] [CrossRef] [PubMed]
- Sabri, S.; Rahman, R.N.Z.R.A.; Leow, T.C.; Basri, M.; Salleh, A.B. Secretory expression and characterization of a highly Ca2+-activated thermostable L2 lipase. Protein Expr. Purif. 2009, 68, 161–166. [Google Scholar] [CrossRef] [PubMed]
- Pasin, T.M.; Benassi, V.M.; Heinen, P.R.; Damasio, A.R.d.L.; Cereia, M.; Jorge, J.A.; Polizeli, M.L.T.M. Purification and functional properties of a novel glucoamylase activated by manganese and lead produced by Aspergillus japonicus. Int. J. Biol. Macromol. 2017, 102, 779–788. [Google Scholar] [CrossRef]
- Pasin, T.M.; Betini, J.H.A.; de Lucas, R.C.; Polizeli, M.L.T.M. Biochemical characterization of an acid-thermostable glucoamylase from Aspergillus japonicus with potential application in the paper bio-deinking. Biotechnol. Prog. 2024, 40, e3384. [Google Scholar] [CrossRef]
- Sharma, N.; Ahlawat, Y.K.; Stalin, N.; Mehmood, S.; Morya, S.; Malik, A.; Malathi, H.; Nellore, J.; Bhanot, D. Microbial enzymes in industrial biotechnology: Sources, production, and significant applications of lipases. J. Ind. Microbiol. Biotechnol. 2024, 52, kuaf010. [Google Scholar] [CrossRef]
- Benassi, V.M.; Pasin, T.M.; Facchini, F.D.A.; Jorge, J.A.; Polizeli, M.L.T.M. A novel glucoamylase activated by manganese and calcium produced in submerged fermentation by Aspergillus phoenicis. J. Basic Microbiol. 2014, 54, 333–339. [Google Scholar] [CrossRef]
- Foster, A.; Barnes, N.; Speight, R.; Keane, M.A. Identification, functional expression and kinetic analysis of two primary amine oxidases from Rhodococcus opacus. J. Mol. Catal. B Enzym. 2012, 74, 73–82. [Google Scholar] [CrossRef]
- Sharma, R.; Chisti, Y.; Banerjee, U.C. Production, purification, characterization, and applications of lipases. Biotechnol. Adv. 2001, 19, 627–662. [Google Scholar] [CrossRef]
- Gohara, D.W.; Di Cera, E. Molecular mechanisms of enzyme activation by monovalent cations. J. Biol. Chem. 2016, 291, 20840–20848. [Google Scholar] [CrossRef]
- Holliday, G.L.; Mitchell, J.B.O.; Thornton, J.M. Understanding the functional roles of amino acid residues in enzyme catalysis. J. Mol. Biol. 2009, 390, 560–577. [Google Scholar] [CrossRef]
- Siriwardana, K.; Wang, A.; Gadogbe, M.; Collier, W.E.; Fitzkee, N.C.; Zhang, D. Studying the Effects of Cysteine Residues on Protein Interactions with Silver Nanoparticles. J. Phys. Chem. C Nanomater. Interfaces 2015, 119, 2910–2916. [Google Scholar] [CrossRef]
- Vogel, H.J. Distribution of lysine pathways among fungi: Evolutionary implications. Am. Nat. 1964, 98, 435–446. [Google Scholar] [CrossRef]
- Pasin, T.M.; Dos Anjos Moreira, E.; de Lucas, R.C.; Benassi, V.M.; Ziotti, L.S.; Cereia, M.; Polizeli, M.L.T.M. Novel amylase-producing fungus hydrolyzing wheat and brewing residues, Aspergillus carbonarius, discovered in tropical forest remnant. Folia Microbiol. 2020, 65, 173–184. [Google Scholar] [CrossRef] [PubMed]
- Street, G. Handbook of enzyme biotechnology. Biochem. Educ. 1977, 5, 64. [Google Scholar] [CrossRef]
- Khanna, P.; Sundari, S.S.; Kumar, N.J. Production, isolation and partial purification of xylanases from an Aspergillus sp. World J. Microbiol. Biotechnol. 1995, 11, 242–243. [Google Scholar] [CrossRef] [PubMed]
- Rizzatti, A.C.; Jorge, J.A.; Terenzi, H.F.; Rechia, C.G.; Polizeli, M.L.T.M. Purification and properties of a thermostable extracellular beta-D-xylosidase produced by a thermotolerant Aspergillus phoenicis. J. Ind. Microbiol. Biotechnol. 2001, 26, 156–160. [Google Scholar] [CrossRef]
- Pencreac’h, G.; Baratti, J.C. Hydrolysis of p-nitrophenyl palmitate in n-heptane by the Pseudomonas cepacia lipase: A simple test for the determination of lipase activity in organic media. Enzym. Microb. Technol. 1996, 18, 417–422. [Google Scholar] [CrossRef]
- Vo, C.-V.T.; Luu, N.V.H.; Nguyen, T.T.H.; Nguyen, T.T.; Ho, B.Q.; Nguyen, T.H.; Tran, T.-D.; Nguyen, Q.-T. Screening for pancreatic lipase inhibitors: Evaluating assay conditions using p -nitrophenyl palmitate as substrate. All Life 2022, 15, 13–22. [Google Scholar] [CrossRef]
- McIlvaine, T.C. A buffer solution for colorimetric comparison. J. Biol. Chem. 1921, 49, 183–186. [Google Scholar] [CrossRef]
- Pooja; Sinha, S.K.; Datta, S. Identification of a thermostable GH6 family cellulase from Chaetomium thermophilum exhibiting high cellobiose and ionic liquid tolerance. Enzym. Microb. Technol. 2025, 192, 110755. [Google Scholar] [CrossRef]
- Bradford, M.M. A rapid and sensitive method for the quantitation of microgram quantities of protein utilizing the principle of protein-dye binding. Anal. Biochem. 1976, 72, 248–254. [Google Scholar] [CrossRef]
- Laemmli, U.K. Cleavage of structural proteins during the assembly of the head of bacteriophage T4. Nature 1970, 227, 680–685. [Google Scholar] [CrossRef]







| Agro-Industrial Residues | Total U | U/g |
|---|---|---|
| Dehydrated orange flour | 133.4 ± 5 | 26.7 ± 2 |
| Fine sawdust | 11.6 ± 2 | 2.3 ± 1 |
| Chopped buriti nuts | 223.3 ± 3 | 44.7 ± 2 |
| Rye flour | 97.4 ± 2 | 19.5 ± 1 |
| Oatmeal flour | 6.0 ± 1 | 1.2 ± 1 |
| Soybeans | 344.9 ± 2 | 69.0 ± 1 |
| Sawdust | 1.8 ± 1 | 0.4 ± 1 |
| Rolled oats | 313.5 ± 2 | 62.7 ± 2 |
| Jatropha cake | 17.6 ± 1 | 3.5 ± 1 |
| Sorghum grain | 117.3 ± 2 | 23.5 ± 1 |
| Wheat fiber | 572.0 ± 3 | 114.4 ± 2 |
| Wheat grain | 46.5 ± 2 | 9.3 ± 1 |
| Rice straw | 374.4 ± 3 | 74.9 ± 1 |
| Wheat bran | 530.8 ± 2 | 106.2 ± 2 |
| Derivative | Immobilization (%) | Activity Recovery (%) |
|---|---|---|
| Butyl-Sepharose | 65 | 140 |
| Phenyl-Sepharose | 63 | 103 |
| Octyl-Sepharose | 63 | 140 |
| Hexyl-Toyopearl | 68 | 92 |
| Purolite | 70 | 68 |
| Sepabeads C18 | 70 | 90 |
| Duolite | 65 | 21 |
| DEAE-Sepharose | 50 | 42 |
| DEAE-Toyopearl | 61 | 59 |
| Derivatives | Triton X-100 (%) | NaCl (M) | ||||||||
|---|---|---|---|---|---|---|---|---|---|---|
| 0.25 | 0.5 | 1 | 2.5 | 5 | 0.25 | 0.50 | 0.75 | 1 | 2.5 | |
| Butyl-Sepharose | 49 | 55 | 44 | 64 | 100 | |||||
| Phenyl-Sepharose | 46 | 51 | 60 | 62 | 76 | |||||
| Octyl-Sepharose | 53 | 55 | 60 | 61 | 62 | |||||
| Hexyl-Toyopearl | 7 | 14 | 49 | 78 | 100 | |||||
| Purolite | 30 | 59 | 69 | 100 | 100 | |||||
| Sepabeads C18 | 0 | 7 | 15 | 43 | 100 | |||||
| Duolite | 13 | 15 | 16 | 18 | 20 | |||||
| DEAE-Sepharose | 9 | 10 | 18 | 25 | 26 | |||||
| DEAE-Toyopearl | 0 | 0 | 25 | 30 | 31 | |||||
| Compost (1 mM) | Activity (%) | |
|---|---|---|
| Control | 100.0 | ±1.8 |
| CuSO4 | 79.1 | ±5.6 |
| CuCl | 84.5 | ±2.0 |
| NH4Cl | 86.1 | ±0.5 |
| Ag2SO4 | 86.8 | ±0.3 |
| HgCl2 | 88.6 | ±4.5 |
| NaBr | 92.6 | ±3.0 |
| EDTA | 93.7 | ±1.7 |
| BaCl2 | 94.0 | ±3.9 |
| ZnCl2 | 94.3 | ±5.7 |
| NaF | 95.5 | ±1.4 |
| MnCl2 | 96.7 | ±4.0 |
| FeCl3 | 97.8 | ±0.3 |
| Zn(NO3)2 | 98.9 | ±3.7 |
| Pb(C2H3O8) | 107.7 | ±3.2 |
| MgSO4.7H2O | 108.2 | ±0.3 |
| AgNO3 | 109.1 | ±2.4 |
| NaCl | 110.0 | ±1.5 |
| AlCl | 116.2 | ±1.6 |
| AgC2H3O2 | 119.8 | ±2.1 |
| KCl | 119.9 | ±1.4 |
| CoCl2 | 120.2 | ±2.7 |
| CaCl2 | 125.0 | ±3.0 |
| Oils | Activity U/g |
|---|---|
| Seed Bacuri | 29 ± 2 |
| Cupuaçu | 45 ± 1 |
| Seed Murumuru | 50 ± 2 |
| Nuts Andiroba | 10 ± 1 |
| Nuts of Brazil | 18 ± 2 |
| Nuts Babaçu | 15 ± 1 |
| Nuts Ucuuba | 10 ± 1 |
| Sunflower | 36 ± 1 |
| Sessame | 38 ± 2 |
| Coconut | 38 ± 1 |
| Palm | 32 ± 1 |
| Soybean | 39 ± 2 |
| Olive | 37 ± 1 |
Disclaimer/Publisher’s Note: The statements, opinions and data contained in all publications are solely those of the individual author(s) and contributor(s) and not of MDPI and/or the editor(s). MDPI and/or the editor(s) disclaim responsibility for any injury to people or property resulting from any ideas, methods, instructions or products referred to in the content. |
© 2025 by the authors. Licensee MDPI, Basel, Switzerland. This article is an open access article distributed under the terms and conditions of the Creative Commons Attribution (CC BY) license (https://creativecommons.org/licenses/by/4.0/).
Share and Cite
Pereira, M.G.; Machado Pasin, T.; Moraes Polizeli, M.d.L.T. Immobilization and Purification of Heavy-Metal Resistant Lipases of Hypocrea pseudokoningii Produced in Solid-State Fermentation. Catalysts 2025, 15, 1021. https://doi.org/10.3390/catal15111021
Pereira MG, Machado Pasin T, Moraes Polizeli MdLT. Immobilization and Purification of Heavy-Metal Resistant Lipases of Hypocrea pseudokoningii Produced in Solid-State Fermentation. Catalysts. 2025; 15(11):1021. https://doi.org/10.3390/catal15111021
Chicago/Turabian StylePereira, Marita Gimenez, Thiago Machado Pasin, and Maria de Lourdes Teixeira Moraes Polizeli. 2025. "Immobilization and Purification of Heavy-Metal Resistant Lipases of Hypocrea pseudokoningii Produced in Solid-State Fermentation" Catalysts 15, no. 11: 1021. https://doi.org/10.3390/catal15111021
APA StylePereira, M. G., Machado Pasin, T., & Moraes Polizeli, M. d. L. T. (2025). Immobilization and Purification of Heavy-Metal Resistant Lipases of Hypocrea pseudokoningii Produced in Solid-State Fermentation. Catalysts, 15(11), 1021. https://doi.org/10.3390/catal15111021

