Abstract
Catalytic ozonation is a non-selective mineralization technology of organic matter in water by using active free radicals generated by ozone degradation. Catalytic ozonation technology can be divided into homogeneous catalytic reactions using metal ions as catalysts and heterogeneous catalytic reactions using solid catalysts. Homogeneous catalytic ozonation technology has many problems, such as low mineralization rate, secondary pollution caused by the introduction of metal ions and low utilization efficiency of oxidants, which limit its practical application. Compared with homogeneous catalytic ozonation technology, heterogeneous catalytic ozonation technology has the advantages of easy recovery, lower cost of water treatment, higher activity and improved mineralization rate of organic matter. This overview classifies and describes catalysts for heterogeneous catalytic ozonation technology, including the different types of metal oxides, metal-free catalysts, and substrates used to immobilize catalysts. In addition, the heterogeneous catalytic ozonation process involved in the multiphase complex reaction process is discussed. The effects of different parameters on the performance of heterogeneous catalytic ozonation are also discussed.
1. Introduction
Water pollution has become a global environmental problem. Organic molecules such as medical care products, pesticides and endocrine disruptors are frequently detected in water resources around the world and have been proven to be potentially harmful to human health and even the entire ecosystem [1]. The concentration levels of these highly stable organic pollutants in water are generally ng/L–μg/L. They have the characteristics of low concentration, hard degradation, strong toxicity and persistence. The removal of these pollutants is usually affected by different factors in complex environments, especially coexisting substances such as natural organic matter [2]. Most current water treatment processes are not effective in removing such pollutants, which is a challenge in the field of water treatment. Ozone oxidation is the most widely used advanced water pollution treatment technology [3]. Ozone is a strong oxidant with a redox potential of 2.07 eV, and its oxidation capacity is higher than that of potassium permanganate, chlorine dioxide, hydrogen peroxide and oxygen. At the same time, ozone in the reaction of the product is oxygen, so it does not cause secondary pollution [4]. Generally speaking, ozone reacts with organic matter in water mainly through direct and indirect reactions. The direct reaction is the direct reaction of ozone molecules with organic matter. The indirect reaction is that ozone first decomposes in water to produce strong oxidizing free radicals (mainly ·OH), and then the free radicals react with organic matter. In general, the direct reaction of ozone with organic matter has strong selectivity, and it is easier to attack organic matter with double bond. The reaction rate constant of ozone with some small organic acids (such as oxalic acid, acetic acid, etc.) is very low, so that the final product of ozone oxidized organic compounds is mostly small organic acids. On the contrary, ·OH produced by the decomposition of ozone in water has no selectivity in the reaction with organic matter, and the reaction rate constant is large. Because ·OH has strong oxidation and reacts quickly with organic matter, a series of advanced oxidation technologies aimed at promoting the decomposition of ozone and producing ·OH were produced on the basis of ozone oxidation, including UV/O3, UV/TiO2/O3, H2O2/O3, UV/H2O2/O3, electrocatalysis/O3, ultrasonic/O3 and ozone catalytic oxidation. Among them, ozone catalytic oxidation technology is the most concerned by researchers and has developed rapidly in the past two decades [5,6].
At present, the most successful and widespread application of ozonation technology is the treatment of drinking water. Ozone can be used as a disinfectant, its bactericidal ability is far more than chlorine series disinfectants. It is effective in killing common viruses and bacteria. Ozone has a strong ability to remove color, smell, taste, but also can avoid due to the addition of chlorine gas odor. In addition, ozone can remove algae and other aquatic microorganisms, oxidizing and breaking down trace amounts of macromolecular organic matter. Ozone at low concentration (0.5–1.5 mg/L) can play a better role in aiding coagulation, the reason may be that the affinity between ozone-oxidized organic matter and coagulant is enhanced. Ozone is mainly used in the treatment of phenol-containing wastewater, cyanide-containing wastewater and dye wastewater [7,8,9]. For cyanide-containing wastewater, ozone can make cyanide-containing salt decompose quickly. Ozone first oxidizes CN− to CNO− and then further oxidizes to carbon dioxide and nitrogen. Phenol-containing wastewater is a very common industrial wastewater. The reaction rate of ozone and phenol is very fast, which can quickly remove phenol substances in water. In addition, ozone has a certain decolorization ability for all dye wastewater. Khadhraoui et al. [10] studied the effect of ozonation on Congo red. The results showed that Congo red could be completely oxidized and decolorized by ozone, and the degradation trend was consistent with the first-order reaction kinetics model.
In the early research on catalytic ozonation, in order to explore the mechanism of some catalysts in the process of catalytic reaction, metal ions were added to the solution to catalyze ozone removal of organic matter in water [11,12,13]. The metal ions investigated are mainly transition metal ions, such as Mn2+, Fe2+, Cd2+, Fe3+, Cu2+, Zn2+, Co2+, Ce2+, Ag+ and Cr3+. These are homogeneous catalytic ozonation processes. In 1983, Forni et al. [14] first proposed the mechanism of Fe2+ catalyzed ozone oxidation. An electron is transferred from Fe2+ to O3, forming Fe3+ and O3−, and then ·OH. ·OH reoxygenates excess Fe2+ to form Fe3+ and OH−. Homogeneous catalyst has the advantages of high activity and fast reaction speed. However, due to the metal ions dissolved in water after the reaction, it is not only difficult to recover, and may cause environmental pollution.
Compared with homogeneous catalysts, heterogeneous catalyst exists in solid state, which is easy to separate, avoids catalyst loss, and reduces the cost of water treatment. Therefore, heterogeneous catalysts have been favored by researchers in recent decades [15,16,17]. The catalysts commonly used in the process of ozone heterogeneous catalytic oxidation mainly include metal oxides, metal oxides immobilized on the substrate, noble metals immobilized on the substrate and activated carbon. Some researchers also use activated sludge as catalyst to promote the decomposition of ozone.
Ozone catalytic oxidation can improve the degradation rate of pollutants. Compared with the single ozone treatment, the removal rate of phenol is significantly improved when Pt/Al2O3, Y-zeolite or b-MnO2 are used as catalysts [18,19,20]. Ozone catalytic oxidation can also significantly improve the mineralization rate of pollutants. According to the parallel comparison tests of ozone alone and ozone catalytic oxidation, the TOC removal rate increased from 14–29% to 22–44% when Ru/active carbon catalytic ozonation treated slightly polluted water [21]. When Cu/Al2O3 catalyzed ozonation of methachlor, TOC removal rate increased from 20% to 60% [22]. When Ru/Al2O3 catalyzed ozonation to remove dimethyl phthalate (DMP), TOC removal rate increased from 24% to 72% [23]. When activated carbon catalyzes ozone oxidation of DMP, its TOC removal rate increases from 22% to 48% [24]. Ozone catalytic oxidation can reduce the number of by-products produced in the degradation process of pollutants, while the corresponding inorganic ions such as Cl− and NO3− increase. When Br- is contained in raw water, by-products such as BrO3− are formed by ozonation alone. α-FeOOH, β-FeOOH, α-Fe2O3 or CeO catalyzed ozone oxidation can better control the formation of BrO3− [25]. At the same time, when ozonation alone degrades pollutants, many highly toxic intermediates may appear. The selectivity of ozonation prevents some intermediates from being further mineralized, thus making effluent containing these toxic substances potentially harmful to organisms. A comparative test on the treatment of diclofenac by single ozonation and activated carbon catalyzed ozonation showed that [26], when the reaction was carried out for 10 min, single ozonation produced a large number of intermediate products containing toxicity. At this time, activated carbon catalyzed ozone oxidation has reached 95% mineralization rate, and the toxicity of its products is almost zero. The above description shows that the heterogeneous catalytic ozonation technology will show different results and mechanisms due to different catalysts.
Figure 1 shows the trend of the annual average publication of heterogeneous catalytic ozonation. The earliest work dates back to the early 1990s. The subject gained traction after 2000. However, between 2000 and 2010, it did not show a very rapid growth trend. After 2010, the published papers on the topic began to increase rapidly. In the last three years, the annual publication is more than 70. It can be seen that although the topic has a long history, it has been very active in the field of water treatment. We counted 627 papers that were published in 141 different journals. The annual growth rate was 5.51%. More than a fifth of the papers involved international collaboration. The average number of citations reached 38.32. We also analyzed the countries in which these papers were published. Asia and Europe are the two continents that contribute the most to this topic.
Figure 1.
Annual publications of heterogeneous catalytic ozonation deduced from WOS database (Science Citation Index Expanded).
In this overview, we review the research and application of heterogeneous catalysts for ozone catalysis. In addition to the traditional introduction and work introduction, a part of the bibliometrics analysis results is combined to better understand the development history and future trends of this topic. As we lack the necessary engineering knowledge, this overview does not include the instrument design and parameter optimization for specific engineering applications of heterogeneous catalytical zonation. We expect that some audiences will be able to perform additional analysis of this subject from this perspective.
2. Basic Strategies for Catalyst Design
Despite the dissimilarity in catalytic mechanism (discussed in later section), the engineering of catalyst largely abides by the fundamental principles of interfacial catalytic reaction. Thus, the following strategies are often employed to design a sensible catalyst for ozoning:
- (1)
- The specific surface area of a catalyst is a critical factor in catalytic reactions, thus it is essential to enhance the specific surface area in the design process. Nanomaterials are employed to increase the specific surface area, while the substrate of immobilized catalysts usually selects substances with a greater specific surface area to improve the adsorption and reaction performance.
- (2)
- Enhancing the rate of electron transfer is essential in order to catalyze the reaction. This can be achieved by improving the electronic exchange between the catalyst and the substrate. Furthermore, some substrates possess the ability to capture free electrons on their surface, thereby enabling the catalysts immobilized on them to undergo effective reactions.
- (3)
- The arrangement of active components on the substrate and the alteration of surface active sites are critical to the catalytic effect of the catalyst. Noble metals possess great catalytic capacity, however, their expense is restrictive. Therefore, research into composite metal and immobilized metal catalysts was initiated by doping noble metal elements. Utilizing substrate not only lessens the expense of the catalyst, but can also upgrade the catalytic performance through the cooperation between substrate and catalyst.
3. Catalytic Properties of Metal Oxides Catalyst for Ozonation and Its Application in Water Treatment
The influence of catalytic properties of metal oxides in catalytic oxidation systems for ozone has been extensively investigated, including titanium dioxide, manganese oxide, iron oxide, cobalt oxide, copper oxide, zinc oxide, vanadium oxide, nickel oxide, tin dioxide and cerium oxide. Here are some of the most commonly studied catalysts.
3.1. Titanium Oxide
Titanium dioxide (TiO2) has been widely used as a photocatalyst, and many scholars use TiO2 to catalyze ozonation of organic pollutants in water. Some studies have compared the pollution removal effects of pure ozone oxidation and TiO2 catalyzed ozone oxidation and found that the latter has better oxidation effect. Allemane et al. [27] compared the oxidation effects of O3, O3/H2O2 and O3/TiO2 on fluvic acid, protein and fibrinose. The order of oxidation effect obtained by TOC removal rate is O3/TiO2 > O3/H2O2 > O3. Vok et al. [28] also compared the oxidation effects of these three oxidation systems on fulvic acid. O3, O3/H2O2 and O3/TiO2 can remove 15%, 18% and 24% fulvic acid, respectively. Among them, O3/TiO2 catalyzed ozone oxidation produced the least bio assimilable organic carbon (BDOC). Rosal et al. [29] studied the TiO2 catalyzed ozonation of clofibric acid in water. The results showed that clofibric acid could be completely removed within 10 min under optimal conditions. Under the same conditions, the removal rate of single ozone oxidation is only 20%. The mechanism analysis shows that the adsorption of catalyst and the reaction of adsorbed organic matter at the catalytic active site are the main reasons for the increase in catalytic ozonation rate.
Some of these TiO2 catalysts were used to treat contaminated water samples. Gracia et al. [30,31,32] studied the effect of TiO2/Al2O3 catalyst on ozone oxidation of a simulated water sample and natural water sample from Ebro River. The results show that TiO2/Al2O3 can significantly improve the removal rate of TOC and UV254 in simulated water samples. The catalyst also slightly improved the TOC and UV254 removal rates of natural water samples from the Ebo River. The study on the stability of the catalyst shows that the catalytic effect on ozone is similar to that of the catalyst used four times, indicating that the catalyst has good stability. They also carried out optimization research on the preparation conditions of immobilized TiO2 catalyst, and compared the characteristics of the catalyst prepared by TiO2 immobilized on attapulgite, Al2O3 and silica gel [31]. The results show that TiO2/Al2O3 catalyst can improve the removal efficiency of TOC by ozone most effectively. When TiO2/Al2O3 was used to catalyze ozone oxidation of Ebro river water, it was found that catalytic oxidation could reduce the production of trichloromethane more than ozone oxidation alone [32]. Dabuth et al. [33] studied the suitability of activated carbon and biochar coated with TiO2 as a catalyst for catalytic ozonation. The oxidation processes eliminated large molecules and created oxidation by-products with low molecular weight. The coating with TiO2 improved the removal of molecules with more oxidized and saturated compounds and generated fewer oxidation by-products.
The pH of TiO2 has a certain influence on its catalytic performance. Rosal et al. [30] studied the ozone-catalyzed degradation of naproxen and amidimidazine, two common drugs in water, by TiO2 with a pH of 3–7. The results showed that naproxen and amidimidazine were easily oxidized. After a 10–20 min reaction, 50% can be removed by single ozonation, while 75% can be removed by TiO2 catalytic ozonation. The catalyst can improve the salinity of the drug under both acidic and neutral conditions, but the effect is more obvious under acidic conditions, which may be related to the fact that the intermediate product is more likely to adsorb at the Lewis acidic point of TiO2. TiO2 catalyst promoted ozonolysis under acidic conditions, but inhibited ozonolysis under neutral conditions. This indicates that the degradation of organic matter is not only dependent on the catalyst promoting the decomposition of ozone to generate ·OH, but also closely related to the adsorption of organic matter on the catalyst surface.
3.2. Zinc Oxide
ZnO is also a common photocatalyst. The results show that it has good catalytic activity when used in ozone oxidation system. Huang et al. [34] studied the removal of 2,4, 6-trichlorophenol by ozonation catalyzed by nano-ZnO. The results show that the liquid phase ozonolysis in the presence of ZnO can be divided into a rapid decomposition stage and a subsequent slow decomposition stage. In the first stage, most of the ozone is decomposed by ZnO to form ·OH. Within 30 min, 99.8% of 2,4, 6-trichlorophenol can be removed by ZnO catalyzed ozone, while the removal rate of single ozone oxidation is only 75%. This catalytic degradation is mainly controlled by surface reactions. Dong et al. [35] studied ozonation of phenol in water catalyzed by ZnO. The results showed that the removal rate of phenol increased to about 90%. Moreover, ZnO has good catalytic stability, and its catalytic effect does not decrease significantly after repeated use six times. The catalytic activity of ZnO is closely related to its size: nano-scale > submicron > micron. Although nano ZnO works well, it is difficult to recover and reuse during use. Tanatti et al. [36] conducted a comparison between the catalytic ozone processes of ZnSO4 (homogeneous) and ZnO (heterogeneous) catalysts for bisphenol-A degradation. The results revealed that the ZnO catalyst process was more effective than the ZnSO4 catalyst, with 94.16% of bisphenol-A removal achieved in 12.5 min under the optimum conditions, while the ZnO catalyst yielded 98.52% bisphenol-A removals.
3.3. Manganese Oxide
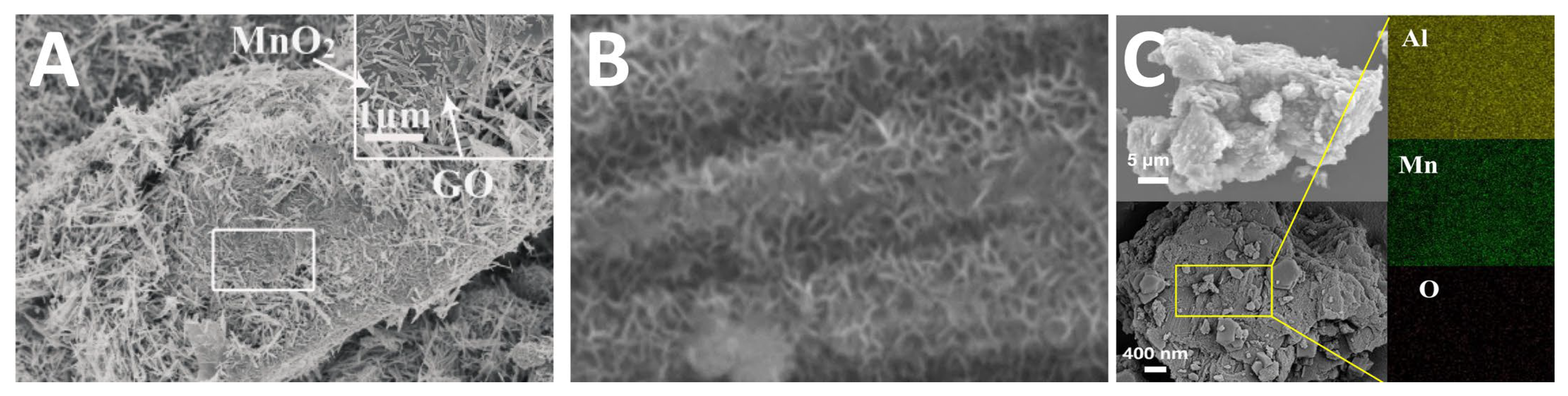
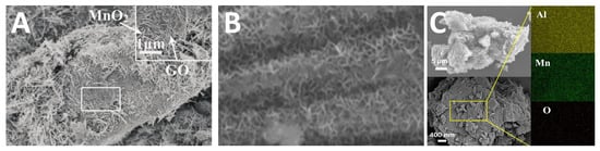
Mn2+ was first used in homogeneous catalytic ozonation reaction [37] and showed good catalytic performance in the reaction. At neutral pH, the presence of a small amount of Mn2+ significantly improved the removal efficiency of atrazine compared with ozone alone. This is because Mn2+ is oxidized by ozone in solution to form a new ecological MnO2. Then the ozone in the solution would decompose on the surface of the new ecology MnO2 to form ·OH, thus removing the atrazine by oxidation [38]. In order to further confirm that the reaction process follows the mechanism of free radical action, the commonly used free radical trapping agents carbonate and tert-butanol were used to investigate the influence of ozone-catalyzed oxidation [39]. The results show that the presence of carbonate or tert-butanol can reduce the rate of ozone catalyzed by Mn2+. With the increase in carbonate concentration in solution, the removal efficiency of atrazine by ozone-catalyzed oxidation was further reduced. The presence of tert-butanol reduces the efficiency of atrazine removal by ozone-catalyzed oxidation compared to carbonate, because it reacts with ·OH at a much faster rate than carbonate. Due to the difficulties in recycling and reuse of the MnO2, more efforts have been made to load MnOx on some substrates (Figure 2).
Figure 2.
Samples of MnOx immobilized catalysts for catalytic ozonation. (A) MnO2 immobilized graphene oxide; (B) MnO2 immobilized carbon microfibers and (C) MnO2 immobilizedγ-Al2O3. Reproduced with permission from Refs. [40,41,42].
Andreozi et al. [43] conducted a series of studies on the ozonation of organic acids catalyzed by MnO2 and focused on the influence of the change of solution pH value on the oxidation removal of organic acids. In the study of oxalic acid degradation by ozone catalyzed by MnO2, they found that the oxalic acid removal rate increased with the decrease in pH in the range of 3.2–7.0. Accordingly, they proposed that oxalic acid oxidation follows the degradation mechanism of complex formation of Mn and oxalic acid on the catalyst surface. They also proposed a kinetic model of MnO2 catalyzing ozonation of oxalic acid [44]. In this model, the influence of dissolved manganese is considered, and the control step of ozone catalytic oxidation is HC2O4− adsorption to the active site. When pH ≤ 4.8, the surface active point will be irreversibly destroyed by ozone. When pH > 4.8, no catalyst deactivation occurs. In subsequent studies on the ozonation of pyruvate catalyzed by solid MnO2, they found that the removal efficiency of pyruvate increased with the decrease in solution pH value when the pH value was between 2.0 and 4.0, which was contrary to the trend of ozone oxidation alone [45]. The reason may be that lowering the pH value causes the dissolution of MnO2. Increasing pH increases oxalates and phosphoric acid, which inhibit the catalytic ozonation reaction. Xiang et al. [46] recently demonstrated the successful utilization of hollow urchin-like MnO2 as a catalyst, enabling the ozonation of CH2Cl2 to occur at a low temperature and with high chlorine resistance. Li et al. [47] demonstrated the synthesis of α-MnO2 nanorods through selective acid etching of Mn-containing spinel. These nanorods, containing abundant Mn3+ defects and oxygen vacancies, were used as catalysts for the degradation of 4-chlorophenol; the process of catalytic ozonation achieved more than 90.9% degradation within 12 min.
Wang et al. [48] reported for the first time that the ozonation degradation of p-nitrophenol was catalyzed by microspheres assembled from calcium manganese oxides (CaMn3O6 and CaMn4O8) nanorods. Compared with manganese oxide, calcium manganese oxide has better catalytic activity and stability, which can promote the mineralization of p-nitrophenol. Superoxide radical plays an important role in the catalytic degradation process and the interconversion of different valence manganese is the main reason for the stable and continuous use of catalyst.
Manganese oxides not only catalyze ozone decomposition of small molecules in water, but also have good effect on the treatment of macromolecular organic matter in water and actual wastewater. Alsheyab and Mubo [49] studied the degradation of humic acid and fluvic acid by ozone catalyzed by MnO2. The results showed that 73% of COD and 67% of TOC could be oxidized by continuous ozone injection for half an hour when the initial COD and TOC were 205 mg/L and 28mg/L respectively. In contrast, 89% COD and 79% TOC removal rates were obtained by MnO2 catalysis of ozone. Oh et al. [50] studied the ability of granular activated carbon loaded with Mn catalyst to decompose ozone and the effect of catalytic ozone degradation of actual wastewater. The results show that the formation rate of ·OH can be further improved by Mn loading. It was also found that the sequence of the effect of several catalysts on the removal of COD and TOC from aquaculture wastewater by ozone enhancement was consistent with their ability to decompose ozone and produce ·OH.
3.4. Iron Oxide
Fe2O3 is also a transition metal oxide and plays a catalytic role in catalytic ozonation technology like other transition metal oxides. The catalytic capacity of iron oxides is superior to that of other metal oxides in the removal of some organics. For example, when removing dioxins, FexOy has better catalytic capacity than Mn3O4, which may be the result of more hydroxyl functional groups in FexOy [51]. Zhang et al. [52] studied the catalytic ozonation of nitrobenzene by α-FeOOH and analyzed the relationship between the surface hydroxyl properties of α-FeOOH and its catalytic activity. The results show that the MeO-H bond properties of α-FeOOH surface are related to its catalytic activity. Moreover, the surface hydroxyl group of α-FeOOH shows higher catalytic activity than other hydroxyl oxides, such as β-FeOOH, γ-FeOOH, and γ-AlOOH. Sui et al. [53] studied the oxalic acid oxidation process catalyzed by FeOOH. The results showed that the degradation efficiency of oxalic acid increased from 20% to 55% of that of ozonation alone. The mechanism study shows that FeOOH can effectively promote the production of ·OH under both neutral and acidic conditions, leading to the improvement of oxidation effect.
Wang et al. [54] reviewed the development of Fe-based ozone catalysts (Figure 3). In this review, the types and properties of iron based ozone catalysts, the types and degradability of organic pollutants, the preparation and characterization of iron based ozone catalysts, as well as the influencing factors and mechanisms of iron based ozone catalysts catalyzing ozone degradation of organic pollutants were expounded. It is pointed out that Fe0, FeOOH, Fe2O3, Fe3O4 and their derivatives are the main catalysts for ozonation. They can catalyze ozonation to degrade organic pollutants such as dyes, drugs, pesticides and insecticides, and other chemical intermediates. The exact details are not repeated in this review.
Figure 3.
A variety of Fe-based catalysts. Reproduced with permission from Ref. [54].
3.5. Other Metal Oxides
Pi et al. [55] investigated the effect of phosphate buffer solution on oxalic acid degradation by ozone catalyzed by CuO2/Al2O3. The results show that oxalic acid can be effectively removed from ozone catalyzed by CuO2/Al2O3 at pH 3.3 without buffer solution. However, in buffer solution with pH 7.5, the removal efficiency of oxalic acid by ozonation enhanced by CuO2/Al2O3 decreased significantly. The author thinks that the main reason is that phosphoric acid captures ·OH and reduces the indirect reaction between ozone and oxalic acid. On the other hand, phosphoric acid will be adsorbed on the surface of Al2O3, affecting the catalytic ozone reaction.
As a rare earth oxide, CeO2 has been widely used in many fields, such as luminescent materials, electronic ceramics, gas sensitive components, etc. In addition, CeO2 has unique properties of oxygen storage and release, as well as excellent thermal stability, so it has been widely used in the field of heterogeneous catalysis in recent years as a catalyst substrate and additive. Zhang et al. [56] synthesized a mesoporous CeO2 by nanocasting with SBA-15 as a hard template and examined its use in the catalytic ozonation of atrazine. Orge et al. [57] studied the ozonation process of oxalic acid, aniline and reactive dye Blue5 in water catalyzed by nano CeO2. The results show that the removal rates of oxalic acid, aniline and reactive dye can reach about 90% when 100 mg nano CeO2 is added into the above three solutions. In addition, the catalytic effect of nano-CeO2 prepared by precipitation method is better than that prepared by hydrothermal method. However, CeO2 itself also has some shortcomings, such as small specific surface area and poor mechanical strength, which lead to CeO2 not being suitable to be used as a catalyst substrate directly. Therefore, a composite substrate composed of two or more different materials can be prepared to overcome the shortcomings of CeO2. For example, loading CeO2 on Al2O3 can not only give play to the advantages of large specific surface area and high mechanical strength of Al2O3, but also retain the excellent performance of CeO2 itself [58].
Moussavi et al. [59] studied the catalytic ozonation of azo dye RR198 by MgO nanocrystals. The results show that, compared with ozone oxidation alone, the COD removal rate can be increased from 50% to 60% and the reaction time can be shortened from 30 min to 10 min after adding MgO nanocrystals. Mechanism analysis shows that MgO nanocrystals can effectively catalyze the decomposition of ozone and promote the generation of ·OH.
Zeng et al. [60] studied the catalytic performance of SnO2 on ozone-oxidized syrup fermentation wastewater. The results show that compared with ozonation alone, adding 10 g/L SnO2 can increase the chroma removal rate of syrup fermentation wastewater from 40% to 70% after 60 min reaction. It was also found that the presence of free radical trapping agent had little effect on the degradation efficiency, indicating that the catalyst mainly promoted the direct interaction between ozone and organic matter in the process of SnO2 catalytic ozonation.
3.6. Mixed Metal Oxides
The catalytic performance of mixed metal oxides is generally better than that of single metal oxides. When Ce-Mn oxide or Ce-Co was used as catalyst, the removal rates of p-aminobenzene sulfonic acid were 63% and 58%, respectively. The removal rates of aniline were 67% and 66%, respectively. Under the same conditions, the removal rates of p-aminobenzene sulfonic acid were 53%, 51% and 47%, respectively, when CoO, CeO or MnO were used as catalysts. The removal rates of aniline were 52%, 53% and 58%, respectively [61]. However, the ratio of different metal oxides has a great effect on the catalytic performance. Moreover, the catalytic activity of different catalysts for different target pollutants is very different. Shinaga et al. [62] prepared hydrotalcite clay catalysts using nitrate solutions containing Mg and Al and a nitrate in Fe, Co, Ni and Cu as precursors. Their ozone-catalyzed oxidative degradation of phenol and oxalic acid was investigated. All the four catalysts can effectively catalyze the degradation of phenol by ozone. For oxalic acid degradation, Cu/Mg/Al catalysts showed the highest catalytic activity, while Fe/Mg/Al and Co/Mg/AI catalysts showed no catalytic activity. Martins et al. [63] investigated the catalytic action of Mn-Ce-O as a catalyst for the oxidation of phenol containing wastewater by ozone. The results showed that the removal rate of TOC increased from 20% to 70% under the action of Mn-Ce-O, and the mechanism analysis showed that organic matter and ozone were adsorbed on the surface of the catalyst and reacted with each other. Fe-Cu-O mixed metal oxides can effectively catalyze ozone oxidation of acid red B (Figure 4A). The removal rates of chroma and COD within 60 min are 90% and 70%, respectively, much higher than the efficiency of ozone oxidation (66% and 48%) [64]. Xing et al. [65] suggested that Mn-Ce-O promoting ozonolysis to produce reactive oxygen species was the cause of antipyrine mineralization. By comparing the catalytic activity of Mn-CE-O oxides with different n(Mn)/n(Ce), it is found that the catalytic activity of Mn-CE-O depends on their electron transport capacity. Ma et al. [66] synthesized Mn-Co-Fe mixed metal oxides by oxidation-precipitation method for catalytic ozonation of p-nitrophenol (Figure 4B). The results show that the activity of catalyst depends on the surface properties. The negatively charged catalyst surface promotes the adsorption and decomposition of ozone, while the positively charged catalyst surface facilitates the adsorption of organic intermediates. A MgO/Co3O4/CeO2 composite was reported by Zhang et al. [67] for catalyzing the ozonation of ammonia in an aqueous solution. It was observed that the catalytic efficiency of catalysts was positively correlated with the number of oxygen vacancies present on the composite surface, which could be a crucial factor in the selective catalytic ozonation process. The optimal conditions for the MgO/Co3O4/CeO2 catalytic system revealed an ammonia removal rate of 0.03328 min−1, which is 2.1 times higher than that of the MgO/Co3O4 system. Additionally, selectivity was improved from 73.57% to 86.94%.
Figure 4.
(A) Mechanism of catalytic ozonation Acid Red B; (B) Mechanism of catalytic ozonation of p-nitrophenol over Mn–Co–Fe. Reproduced with permission from Refs. [64,66].
3.7. Natural Mineral Material
Compared with synthetic catalysts, natural mineral materials are very cheap. Therefore, some researchers directly use natural minerals or simply pretreat natural minerals as catalysts in ozonated catalytic oxidation system. Chuang et al. [68] showed that clay could catalyze ozone to improve the decomposition efficiency of tetrachloroethylene, and its activity increased with the increase in heat treatment temperature. The results of ESR test showed that superoxide radical was produced in the process of catalytic ozonation, but no free radical was found in ozonation alone. Hassan et al. [69] used Fernal2060, processed from natural clay, as a catalyst to catalyze ozonation of dyes for decolorization. It is found that the catalyst can decolorize a variety of dye wastewater and mineralize dye wastewater effectively when the pH of solution is low.
Lim et al. [70] conducted an in-depth study on the reaction process of ozonation of pCBA catalyzed by natural mineral sand by using a flow injection on-line analysis and detection system. The results show that the reaction has a rapid ozone depletion stage and a slow decomposition stage, and 60–68% pCBA removal occurs in the rapid ozone depletion stage. Dong et al. [71] used natural mineral hydromagnesite as a catalyst for ozone-catalyzed oxidation degradation of nitrobenzene and aniline. The results show that hydromagnesite has high catalytic activity.
Zeolite is also used as catalyst and shows good catalytic effect. Valdes et al. [72] compared the decomposition process of ozone with or without zeolite. It is found that the rate of ozone attenuation increases obviously after the addition of zeolite, and more free radicals are generated. They also found that when the zeolite was treated with acid, its catalytic efficiency improved significantly. The catalytic efficiency of zeolite is closely related to the acid site on its surface. Su et al. [73] revealed that a synthesized 4A zeolite containing a high level of oxygen vacancy density and acidity is highly effective for the ozonation process, with considerable removal rates of atrazine. The ozonation activities of 4A zeolites are positively correlated with the surface acidity, when compared to both commercial 4A zeolite and synthetic 4A zeolite with acid treatment. Studies at a mechanistic level have established that hydroxyl radicals are the principal reactive oxygen species, thus elucidating the degradation pathway of atrazine.
Perovskite is a typical nanometer mineral catalyst, which has attracted the attention of researchers in recent years. Perovskite is an inorganic compound. The chemical formula is ABX3, where A represents metal ions such as alkali metals, alkaline earth metals, beryllium, and magnesium. B represents cations with 6 coordination numbers (such as titanium, niobium, tantalum, and manganese). X usually refers to O2−, rarely a halogen anion or S2−. During the synthesis process, the physicochemical and catalytic properties of catalysts can be changed by adjusting the ratio of A/B ions. For example, Mn2O3/LaMnO3-δ has been shown to be effective in catalyzing ozonation [74]. Existing studies have found that when A ion is A lanthanide cation, it can promote the exposure of B cation without affecting its catalytic activity, and B ion may form a large number of defect sites, such as oxygen vacancy, under the excitation of A ion [75]. Oxygen vacancies have a strong affinity for ozone and can be ROS formed spontaneously by ozone, such as O2− and 1O2 (Figure 5). This led to ozonation and degradation of benzotriazole in the presence of LaMnO3-δ [74]. At the same time, when B cations are variable valence metals (such as Mn), Mn(III)/Mn(IV) can improve the electron transfer efficiency and promote the decomposition of ozone molecules by prolonging the O-O between ozone molecules [74]. According to Han et al. [76], a successful engineering strategy to increase the crystallinity of perovskite CaZrO3 as well as its catalytic ozonation activity is to deviate from the A-site cation stoichiometry. Through co-precipitation calcination, high-purity Ca1.1ZrO3 nanocrystals were synthesized and tested as catalysts for m-cresol degradation in an ozonation process. Surprisingly, Ca1.1ZrO3 is more efficient in TOC removal, ozone utilization, and m-cresol conversion than the stoichiometric CaZrO3 and other regular transition metal catalysts.
Figure 5.
Schematic diagram of LaMnO3-δ for ozonation. Reproduced with permission from Ref. [74].
4. Catalytic Properties of Metal-Free Catalyst for Ozonation and Its Application in Water Treatment
Metal-free carbon-based catalysts are one of the hot topics in current research, which are mainly applied in the fields of electrochemistry, fuel energy storage and catalysis. Metal-free carbon-based catalysts include materials such as activated carbon, carbon nanotubes, graphene oxide and carbon nitride. These carbon-based catalysts have also been studied in catalytic ozonation for the degradation of persistent organic pollutants.
Activated carbon can play a catalytic role in the process of ozone oxidation. The surface of activated carbon contains a large number of acidic or alkaline groups. The presence of these acidic or basic groups makes it not only adsorptive, but also catalytic. Beltran et al. [26] showed that activated carbon significantly improved the effect of ozonated mineralized diclofenac. For 120 min of reaction, the TOC removal rate was 40% by ozonation alone, and 95% by the presence of activated carbon. Ozone oxidation or granular activated carbon (GAC) adsorption has a certain effect on the decolorization of dyes in sewage, and the combination of the two is a good choice to treat dye wastewater. GAC has catalytic effect in the process of catalytic ozonation [77]. Faria et al. [78] studied ozonation of oxalic acids by activated carbon. The results showed that the oxalic acid degradation rate (90%) was significantly improved by using ozone and activated carbon together compared with that by using ozone alone (69%) or activated carbon alone (38%). Under alkaline or neutral conditions, ozonation catalyzed by activated carbon increased the degradation rate and salinity of carboxylic acid. Guzman-Perez et al. [79] studied the process of ozone oxidation of atrazine catalyzed by activated carbon. The results showed that the degradation rate of atrazine was increased by the accelerated decomposition of ozone on the surface of activated carbon. It was also found that the reaction of atrazine with ozone molecules, ·OH was mainly carried out in the liquid phase main region. Liu et al. [80] studied oxalic acid oxidation by ozonation using multi-walled carbon nanotubes (MWCNTs) as catalyst. It was found that the degradation rate of oxalic acid could be increased to about 90% by MWCNTs. The adsorption of oxalic acid on catalyst surface is an important reason for increasing the degradation rate of oxalic acid by catalytic ozonation. Cao et al. [81] studied the catalytic effect of nitrification-modified activated carbon on oxalic acid ozonation. Due to nitrification modification, the surface acidity of activated carbon is enhanced, which is conducive to the adsorption, decomposition and transformation of ozone on the catalyst surface. Compared with ozone alone, although the degradation rate of oxalic acid was increased by 38.5%, the catalytic activity was not as good as that of metal oxide ozone catalysts. Goncalves et al. [82] studied the effect of surface chemical properties of MWCNTs on the activity of catalytic ozonation of oxalic acid. The results showed that surface acidification of MWCNTs was not conducive to catalytic ozonation and transformation, and the catalytic stability of unmodified MWCNTs was poor.
In addition to activated carbon and carbon nanotubes, graphene and its derivatives are an emerging class of carbon-based catalysts. Wang et al. [83] investigated the catalytic activity of reduced graphene oxide (rGO) for ozone degradation of p-hydroxybenzoic acid, and found that rGO had better ozone activation performance than activated carbon and MWCNTs. This is because the electron-rich carbon group on rGO (exhibiting Lewis acidity) is the active site for the catalytic reaction. The mechanism study showed that superoxide radical and singlet oxygen were involved in the degradation reaction. However, rGO alone as an ozone catalyst has the disadvantage of poor stability. Yin et al. [84] adjusted the surface electronic structure and chemical structure of rGO by heteroatom doping method and explored the catalytic ozone-degradation activity of organic pollutant sulfamethoxazole by N/P doping rGO (denoted as NGO and PGO). The results showed that compared with rGO, the catalytic activity of NGO and PGO was enhanced. Doping atoms reduce the electron cloud density of C atoms near heteroatoms and promote the adsorption and conversion of ozone on C atoms with low electron cloud density (Figure 6).
Figure 6.
Degradation mechanism of catalytic ozonation for sulfamethoxazole using heteroatoms doped graphene. Reproduced with permission from Ref. [84].
Xiao et al. [85] took g-C3N4 as the photocatalytic ozonation catalyst and acted as the G-C3N4-valence photogenerated electron catcher combined with the strong oxidability of ozone. This not only promotes photogenic electron and hole separation, but also promotes ozonation. Thus, more reactive oxygen species were generated to participate in the degradation reaction, which proved that there was an obvious synergistic effect between photocatalysis and ozonation reaction using g-C3N4 as catalyst.
5. Catalytic Properties of Immobilized Noble Metal Catalyst for Ozonation and Its Application in Water Treatment
At present, the noble metals commonly used to catalyze ozonation mainly include gold, silver, palladium, ruthenium, etc., which are usually immobilized on porous substrates in the form of nanoparticles to catalyze ozonation and degradation of organic matter. Ruthenium catalysts show high activity in catalytic wet oxidation process. Zhou et al. [23] used o-dimethyl ester as the model pollutant and Ru/Al2O3 as the catalyst to conduct catalytic ozonation degradation experiments. The experimental results show that Ru/Al2O3 can significantly improve the ozone oxidation effect, and the removal rate of TOC can reach 72% within 120 min. Wang et al. [21] took DMP as the reaction substrate and investigated the effects of catalyst dosage, catalyst particle size, ozone dosage and gas flow rate on DMP mineralization under different reaction conditions. It was found that the presence of Ru/activated carbon can greatly accelerate the mineralization rate of DMP. Liu et al. [86] prepared a platinum catalyst (Pt/CNT) by loading platinum onto carbon nanotubes in aqueous solution to catalyze ozonation and degradation of oxalic acid. It was found that compared with the catalyst after hydrogen reduction, the calcined catalyst had Pt aggregation phenomenon and the presence of chemical absorbed oxygen. In the calcination process, carbon nanotubes will also be oxidized to form some acidic groups, which will lead to the decrease in catalytic activity of the catalyst.
Compared with Ru and Pt, studies on the catalytic ozone properties of other precious metals such as Pd Re, Rh, Ir, Ag and Au as catalyst active components are less and more scattered. Although various metal catalysts have certain catalytic effects on ozone, studies have shown that their catalytic capacity is not the same. Comparing the activity of metal catalysts immobilized on Al2O3, the order is Pt > Pd > Ag > Ru~Rh~Ir > Ni > Cd > Mn > Fe > Cu > Zn-Zr, while Co, Y, Mo, Ti and Au have almost no activity [87].
Pugazhenthiran et al. [88] pointed out that gold nanoparticles have strong affinity for ozone molecules and can generate local electric fields to improve the catalytic degradation performance of catalysts. Au-Bi2O3 catalyst was used to degrade acid orange-10 by ozonation, and Bi2O3 played a major role in the catalytic ozonation process. At the same time, gold nanoparticles have strong absorbability to ozone molecules, and the synergistic action of the two can generate more active free radicals, which has good catalytic degradation ability. Ag-NiFe2O4 catalytic ozonation degradation of papermaking wastewater reported by Zhao et al. [89]. Ozone molecules in an aqueous solution are first attracted to hydroxyl groups on the surface of the catalyst. Ni, as an active species, transfers electrons, resulting in the decomposition of ozone molecules to produce ·HO2− and ·O2−. In the following process, ·HO2− takes a chain reaction to form ·OH, while Ni(III) is converted to Ni(II). O2 supplemented the lattice oxygen defect on the catalyst surface to maintain the stability of catalytic activity. The presence of Ag can promote electron transfer in the reaction through the rapid circulation of Ag+-Ag0-Ag+ (Figure 7).
Figure 7.
Degradation mechanism of catalytic ozonation for papermaking wastewater by Ag-doped NiFe2O4. Reproduced with permission from Ref. [89].
Malik et al. [90] studied zero-valent iron (NZVI) nanoparticles as catalyst for ozone oxidation of pharmaceutical wastewater. The results showed that in the presence of NZVI, the biodegradation index increased from 0.18 to 0.63 by ozone/NZVI process, while the biodegradation index of ozone/Fe(II) was 0.57. Wen et al. [91] catalyzed the ozonation of di-n-butyl phthalate (DBP) with zero-valent zinc (ZVZ). ZVZ/ozone system continuously releases Zn(II), and in the process, electrons transfer to promote the system to produce superoxide free radical and then degrade DBP.
6. Catalytic Properties of MOF Catalyst for Ozonation and Its Application in Water Treatment
Metal-organic frameworks (MOFs) are a new porous materials assembled by metal ion/oxygen cluster nodes and organic ligands. Since the concept of MOFs was first proposed in 1995, both the preparation strategy and basic theory of MOFs have been greatly developed. So far, thousands of MOFs have been designed and successfully prepared [92]. In addition, MOFs materials have transitioned from their original design synthesis to applications. MOFs are characterized by high surface area, abundant pore structure and adjustable chemical composition, showing excellent mass transfer performance and abundant catalytic active sites. Therefore, such materials have also been used in water treatment, especially photocatalytic oxidation to degrade organic pollutants and Fenton oxidation to degrade organic pollutants. The MOFs metal coordination center not only coordinates with organic ligands, but also with various solvent molecules and halogen elements to form weak coordination bonds. This kind of coordination bond is easy to break during vacuum drying and heating, exposing the metal center atoms (CUSs) with unsaturated coordination. Such CUSs tend to have surface Lewis acid properties. In heterogeneous Fenton catalysis, the unsaturated coordination metal center on the surface of MOFs material can adsorb and catalyze H2O2, realizing an efficient Fenton catalytic oxidation process. The Lewis acid site of ozone catalyst is the active site of catalytic ozonation, and the amount of Lewis acid site is proportional to the catalytic activity. In contrast, the porous nature of MOFs gives them excellent mass transfer capabilities, theoretically exposing each Lewis acid site sufficiently to allow it to fully participate in the catalytic process. Therefore, MOFs may be a new type of heterogeneous ozone catalyst with good application prospect.
Inspired by the structural properties of Fe-MOFs, Yu et al. [93] explored four Fe-MOFs for the catalytic ozonation reaction. The mechanism of Fe-MOFs catalyzing ozonation is mainly due to the abundant pore structure, high specific surface area and large number of surface Lewis acid catalytic active sites of Fe-MOFs. The catalytic decomposition of ozone molecules into hydroxyl radicals (·OHads), superoxide ion radicals (·O2−) and singlet oxygen (1O2) species catalyzed by the Lewis acid site on the surface of Fe-MOFs promoted the degradation and mineralization of organic pollutants. The degradation rate and TOC removal rate of Rhodamine B by MIL-53(Fe) catalyzed ozonation system were 13 times and 4 times of that by ozonation system alone. When the unsaturated Fe ligand content, the degree of ligand defect is proportional to the Lewis acid site density, so the catalytic performance is improved. Based on the intrinsic relationship between the unsaturated Fe coordination center within Fe-MoFs and the surface Lewis acid site, they induced the formation of ligand deficiency defects and surface Lewis acid sites in MOFs by doping. This cerium doping enhancement of Fe-MOFs can improve the catalytic ozonation of typical organic pollutants in dyeing and finishing wastewater. In a certain range, changing cerium doping ratio can regulate and enhance the degree of ligand defect, and then increase the surface Lewis acid site density [94]. Hu et al. [36] studied the synergistic relationship between the porous morphology and active site exposure of Fe-MOFs on catalysis for catalytic ozonation, and revealed an overlooked trade-off between these two features in modulating the catalytic ozonation reactivity of MIL-53(Fe) through a timescale-dependent crystal evolution. The results showed that the surface area of MIL-53(Fe) decreased drastically, while the density of accessible active sites increased upon extending the crystallization time, thus providing a straightforward method for modulating the catalytic ozonation reactivity of MIL-53(Fe).
Pan et al. [95] tested the combination of the Co/Ni bimetallic with carbon sphere for formation of a composite catalyst. The concurrent presence of Co and Ni in different oxidation states could enhance the cyclic process of Co(II)/Co(III) and Ni(II)/Ni(III), resulting in an increase in catalytic activity.
MOF also can be serviced as a precursors for the fabrication of certain catalysts. Mohammadi et al. [96] conducted an investigation into the effectiveness of a heterogeneous catalytic ozonation process using a nickel NPs-based catalyst embedded in a highly porous carbon derived from nickel-MOF, with the aim of degrading linear alkyl benzene sulfonate in aqueous solutions.
7. Common Substrates for Ozonation Catalysts
The catalyst substrate can improve the catalytic activity of the catalyst through the following three aspects:
- (1)
- Improve the mass transfer capacity of catalyst. The enrichment ability of ozone and organic matter on the catalyst surface will be improved.
- (2)
- Control the particle size of active components, increase the exposure of active sites, and enhance the decomposition and transformation of ozone into active oxygen species.
- (3)
- Improve the redox reaction characteristics of catalyst and enhance the electron transfer of catalyst micro-interface.
Certain ceramic materials possess catalytic properties that are evident in their substrates. It has been observed that activated carbon also has the capability of catalyzing certain reactions. In comparison, catalysts immobilized on the surface possess greater catalytic properties than substrate in most instances.
7.1. Activated Carbon
Activated carbon has developed pore structure, huge surface area, good heat resistance, acid and alkali resistance, so it is an ideal catalyst substrate. Using activated carbon as the substrate is helpful to improve the mass transfer between catalyst and pollutant and effectively increase the mineralization rate of organic wastewater. Metal- immobilized activated carbon can improve the efficiency of heterogeneous catalytic ozonation for organic matter degradation. The synergistic process of ozone-metal oxide-activated carbon can accelerate the transformation of ozone into hydroxyl radical, thus improving the activity of catalyst. Wang et al. [21] studied that catalyst immobilized by Ru on activated carbon could significantly improve the effect of ozone oxidation. After 42 h continuous operation, TOC removal rate was stable at about 75%, and no obvious leaching of Ru was observed in the water samples. Ru/activated carbon catalytic ozonation is more effective than ozonation alone in removing precursors of dimethyl phthalate and disinfecting byproducts from natural water bodies. Orge et al. [97,98] immobilized cerium oxide and manganese oxide on activated carbon. The results showed that both metal oxides could increase the catalytic performance of activated carbon. It is found that cerium oxide has synergistic effect with activated carbon, while manganese oxide has no synergistic effect with active carbon.
7.2. Aluminium Oxide
Some metal oxides are commonly used as catalyst substrate due to their large specific surface area and porous structure, among which catalysts using Al2O3 as substrate have been the focus of research in recent years. Rosal et al. [99] loaded manganese oxides on Al2O3 to make MnOx/Al2O3 catalyst, which was used to catalyze ozonation and degradation of pesticides atrazine and liguron. The catalyst also increased the average efficiency of hydroxyl radical generation by ozone. Rosal et al. [100] also used Al2O3 and MnO2/Al2O3 as catalysts to catalyze ozone degradation of fenofibric acid. The results showed that the rate constant of direct ozone oxidation could not be improved in the presence of catalyst, but the rate of hydroxyl radical production was increased by 3 times and 7 times respectively compared with pure ozone oxidation. The catalyst promotes the generation of hydroxyl free radicals on the catalyst containing hydroxyl and the formation of ozone complex. Chen et al. [101] studied the process of ozone oxidation of DMP catalyzed by TiO2/Al2O3. The results show that TiO2/Al2O3 can increase the removal rate of TOC from 30% to more than 60%, indicating that TiO2/Al2O3/O3 system has strong mineralization for organic matter. In addition, the presence of TiO2/Al2O3 can improve the utilization rate of ozone in the reaction process, and the catalyst can be recovered by high-temperature incineration after multiple uses.
Al2O3 is usually used as a catalyst substrate, but some researchers have found that it also has a certain ability to catalyze ozone oxidation. The study of Ni and Chen [102] showed that the presence of Al2O3 increased the TOC removal rate of 2-monochlorophenol from 2% to 43%, and the ozone consumption was only half of that in the case of single ozonation. In addition, the removal effect of the catalyst did not change significantly after three consecutive uses. Similar results have been observed in other investigations. γ-Al2O3 not only doubled the removal rate of natural organic matter in ozonation [103], but also significantly reduced the production of by-products and BDOC compared with ozonation alone. In addition, γ-Al2O3 can also be used for a long time while its activity remains basically unchanged. The surface properties of alumina determine the activity of catalyst. The activity order of 2,4, 6-trichloroanisole catalyzed by three kinds of alumina (γ-AlOOH, α-Al2O3 and γ-Al2O3) was γ-AlOOH > α-Al2O3 > γ-Al2O3 [104].
7.3. Ceramic Substrate
Honeycomb ceramics contain some metal compounds which have certain catalytic activity to ozone. At the same time, due to high porosity, large surface area, low expansion rate and wear resistance, it is widely used as the substrate of multiphase ozonation catalyst. When honeycomb ceramics were used as catalyst, the degradation efficiency of nitrobenzene by ozonation was significantly higher than that without catalyst [105]. The adsorption of nitrobenzene on the honeycomb ceramic surface has no significant effect on the catalytic reaction. Both nitrobenzene ozonation and catalytic ozonation conform to the first-order reaction kinetic model. When the reaction temperature increased from 278 K to 328 K, the constant rate of catalytic oxidation, the removal rate of TOC and the production of hydroxyl radical increased obviously. After metal Mn is loaded on honeycomb ceramics, the immobilized MN-type catalyst can significantly improve the utilization rate of ozone compared with the catalytic ozonation treatment effect of ceramics, thus effectively promoting the treatment effect of ozone on nitrobenzene [106]. Li et al. [107] catalyzed the oxidation of industrial wastewater containing chloro-nitrobenzene with honeycomb ceramic catalyst immobilized by Mn/Co. Compared with pure ozone oxidation, the removal effect of TOC and COD and the utilization rate of ozone are significantly improved. Moreover, catalytic ozonation can improve the biodegradability of wastewater and reduce the toxicity of water. Utrill et al. [108] studied the catalytic ozonation of nitrobenzene in water by cordierite ceramics immobilized by copper. They believe that the optimal catalyst loading under experimental conditions is 3% copper/cordierite. The modification of immobilized copper increases the density of hydroxyl on cordierite surface and the pH of catalyst at zero potential, thus increasing the production of ·OH. Zhao et al. [109] studied the catalytic process of nitrobenzene oxidation in ozonation solution using manganese immobilized by honeycomb ceramics as catalyst. The results show that compared with ozonation alone, the degradation rate of nitrobenzene can be increased from 25% to 75% by using manganese as catalyst on honeycomb ceramics. The catalytic ozonation of nitrobenzene follows the free radical reaction mechanism. The loading of manganese on honeycomb ceramics can increase the specific surface area and the density of hydroxyl groups on the surface, so the generation of ·OH can be promoted.
Ceramic inorganic membrane has high thermal stability and stable structure, which is very suitable for catalytic applications. Common ceramic membrane materials such as alumina, titanium dioxide, manganese dioxide, zirconia and titanium dioxide, are some catalytic metal oxides. Their interface itself binds to ozone molecules and catalyzes the decomposition of ozone into hydroxyl radicals, accelerating the degradation of organic matter. Using ceramic membrane immobilized catalyst to catalyze ozone-oxygen reaction can improve the ozone oxidation efficiency and membrane flux simultaneously. Byun et al. [110] loaded metal oxide nanoparticles on the surface of ceramic ultrafiltration membrane to study the performance of catalytic membrane in the ozone-ceramic membrane separation system. The results show that the performance of the film loaded with manganese oxide is better than that of the film loaded with iron oxide and titanium oxide. When used to catalyze ozone oxidation, the membrane has the best anti-pollution ability and the highest TOC removal rate.
8. The Role of Catalysts in Ozone-Catalyzed Oxidation
Unlike homogeneous catalytic oxidation reactions, heterogeneous catalytic oxidation reactions usually occur at the solid-liquid interface near the surface of the catalyst. The surface properties of catalysts play an important role in the process of heterogeneous catalytic reactions. The interaction between active media or pollutants and catalyst surface is very important for the generation of active species and degradation of pollutants.
The catalytic oxidation of metal oxides is related to the Lewis acid site of the surface. When metal oxide catalyst is introduced into aqueous solution, a large number of H2O molecules are adsorbed to the surface of metal oxide. Water molecules are dissociated to produce OH− and H+, which form surface hydroxyl groups with surface metal atoms and oxygen-containing points respectively [111]. The hydroxyl group on the surface of the metal oxide appears as Bronsted acid point. Metal cations and unsaturated covalent oxygen atoms show Lewis acid and Lewis basic points, respectively [112]. Generally Bronsted acid point and Lewis acid point are considered as catalytic centers of metal oxides [113]. Ozone competes with water molecules to adsorb at the Lewis acid site on the catalyst surface. Ozone is converted to surface atomic oxygen at the Lewis acid site of a non-variable metal (e.g., Al3+) in the catalyst. Ozone is converted to surface-adsorbed ·OHads and O2− radicals at the Lewis acid site of varivalent metals (e.g., Fe3+) in the catalyst. At the B acid site and the silicon-based hydroxyl group, ozone is electrostatic adsorbed on the catalyst surface by hydrogen bonding as a direct oxidant. Zhao et al. [114] catalyzed ozonation of organic matter by honeycomb ceramics and found that honeycomb ceramics promoted ozonation to generate ·OH oxidation of organic matter in water. The hydroxyl group on the catalyst surface is the active site of the catalytic reaction, and the decomposition path of ozone on the catalyst surface is speculated, as shown in Figure 8A. In natural minerals, transition metal oxides on the surface play a catalytic role, and the reaction mechanism is complex. The main morphology of transition metal oxides on the surface of natural minerals varies with the pH of the reaction. Upon contact with ozone, the main form of its transition metal oxide is changed, and ·OH is formed in this process, thus increasing the reaction efficiency. Zhang et al. [52,115] synthesized goethite and studied the reaction mechanism of goethite as a catalyst to catalyze organic matter in ozonation water. It is found that ·OH is the dominant oxidation species in the reaction system, and the hypothesis that ·OH is produced by ozone decomposition on the surface of goethite is proposed, as shown in Figure 8B.
Figure 8.
Scheme of mechanism proposed in the process of catalytic ozonation. (A) zonation of organic matter by honeycomb ceramics; (B) hydroxyl radical generation when aqueous ozone interacts with surface hydroxyl group of FeOOH in water; (C) catalytic ozonation on ZSM-5 zeolites. Reproduced with permission from Refs. [109,115,116].
The mechanism of ozone oxidation catalyzed by activated carbon involves direct oxidation of ozone, surface adsorption of activated carbon and ·OH reaction in solution [117]. The surface property of activated carbon is an important factor promoting the decomposition of ozone on the surface of activated carbon to generate ·OH [118]. Faria et al. [78] found that the higher the surface alkalinity of activated carbon, the higher the efficiency of multiphase catalytic ozonation to degrade oxalic acid. Therefore, the Lewis alkaline site on the surface of activated carbon is the active site of the reaction. At pH 3, only a small amount of oxalic acid reaction was oxidized by ozone, and free radical inhibitors had no effect on the degree of reaction. This shows that under acidic conditions, ozone oxidizes with organic matter absorbed on the surface of activated carbon. When the solution is neutral or basic, the process of ozonation catalyzed by activated carbon includes activated carbon surface-organic solute reaction and ·OH reaction in aqueous solution. Gu et al. [119] also came to a similar conclusion. In acid conditions, the removal of organic matter depends mainly on the adsorption of the catalyst. Under neutral or alkaline conditions, ozonation catalyzed by activated carbon plays an important role in the removal of organic matter from solution. Compared with metallic ozone catalysts, carbon materials have the characteristics of environmental friendliness, low cost and high catalytic activity. The active sites for catalytic ozonation of carbon materials are surface functional groups, structural defects, heteroatomic doping sites and electron-rich sites. For example, the base groups of activated carbon—NH2 and the acidic oxygen groups on the surface of nitrifying activated carbon help to improve its catalytic ozonation activity [81]. Sun et al. [120] found in the study of in situ nitrogen-doped carbon that graphite nitrogen formed in the graphitized structure promoted the electron transfer of pollutants to ozone as an electron migration region. The graphitized defect sites of pyrrolidine and pyridine nitrogen as free radical generating regions promote ozonolysis to produce ·OH. Wang et al. [121] showed that quaternary nitrogen on the surface of nitrogen-doped carbon nanoparticles is the main active site for catalytic ozonation. The DFT calculation shows that the carbon atom adjacent to the nitrogen doping site has a higher charge density, which also shows obvious catalytic dissociation potential of ozone. Song et al. [122] found that free electrons and delocalized π electrons as active sites catalyzed ozonolysis to produce reactive oxygen species in the study of graphene oxide (rGO) doped with nitrogen, phosphorus, boron and sulfur. Electron redistribution can be regulated by heteratomic doping and defect sites of carbon-based catalysts. This can lead to uneven distribution of electrons, especially the formation of electron-rich regions that promote the electrophilic interaction between the catalyst surface and ozone, resulting in the generation of free radicals [15].
Some studies have found that some catalysts increase the ozonation capacity, but do not promote the formation of ozonation ·OH during the reaction. Such catalysts have become a new direction of research. Zhang et al. [123,124] investigated the role of PdO/CeO2 catalyst in ozonation system and found that the decomposition of organic matter does not depend on ·OH to produce ·O. CuO/CeO2 was used as catalyst to catalyze ozonation of different kinds of organic matter. The degradation rate depended on the properties of organic matter and pH value of solution. Fujita et al. [125,126] put high-silicon zeolite into ozone solution and found that ozone molecules in water can be adsorbed on the surface of zeolite. High silica zeolite can adsorb ozone and trichloroethylene molecules in water, improving the removal rate of pollutants. Ikhlaq et al. [116] used ZSM-5 with different Si/Al ratios to catalyze ozonation of different organic compounds in water. No ·OH was formed in the system. It is found that the adsorption capacity of organic matter is related to the zeolite Si-Al ratio and the properties of organic matter, and it is proposed that organic matter is on the catalyst surface, as shown in Figure 8C.
The difference between catalytic ozonation and conventional ozonation is that catalysts are added to the system. The presence of catalysts will generally promote the formation of ozone ·OH and other active substances. No matter what kind of catalytic ozone system, it is necessary to consider the direct or indirect reaction of ozone with organic matter. Therefore, it is necessary to have a clear analysis and understanding of the whole catalytic reaction in the process of establishing the kinetic model of catalytic ozonation. Heterogeneous catalytic ozonation techniques generally add solid catalysts to ozone systems. Due to the complex mass transfer and interaction between ozone, pollutants and solid catalysts in heterogeneous catalytic ozone system, the mechanism of heterogeneous catalytic ozonation is significantly more complex than homogeneous catalytic ozonation [127]. Guo et al. [128] considered the effect of adsorption of α-MnO2 and β-MnO2 catalysts on the removal of novel pollutants (ECs). The removal effect of ECs can be predicted by determining the rate constant of ECS with ozone and ·OH, the quasi-first order rate constant of Ecs adsorption by MnO2 catalyst, and the cumulative consumption of ozone and ·OH during catalytic ozonation. They compared the relative contributions of ozone oxidation, ·OH oxidation and adsorption to Ecs removal in heterogeneous catalytic ozone processes. The results show that this model can be used to predict the removal effect of ECS in the initial stage of adsorption for catalysts with high adsorption capacity. However, not all organic matter adsorbed by catalyst can be oxidized and degraded. It may also be unable to be further degraded due to desorption or the formation of unstable complexes. When evaluating the catalytic efficiency of the new M-MnO2 catalyst, Zhang et al. [129] also ignored the removal of pollutants by the adsorption of the catalyst. They simplified the model and introduced Rct to assess the number of active sites exposed to the catalyst. Guo et al. [130] also ignored the adsorption of pollutants on the catalyst surface to simplify the model. The difference is that a low concentration ·O2 probe was added in the process of catalytic oxidation to determine the consumption of ·O2. They investigated the role of reactive oxygen species ·O2 on pollutant emission reduction in heterogeneous catalytic ozonation and developed a kinetic model for more accurate assessment of heterogeneous catalytic oxidation.
However, the kinetics equation or the simplified mathematical model cannot fully explain the heterogeneous catalytic reaction and adsorption process on the catalyst surface. A kinetic model that can describe both adsorption and catalysis needs to be developed. Ferreiro et al. [131] suggested that activated carbon not only has strong adsorption properties, but also can catalyze and accelerate the production of ozone ·OH. On this basis, they proposed a mathematical model of adsorption-ozonation (Ad/Ox). Using this model, they investigated the contribution of ozonation, primary degradation and mineralization of activated carbon to the degradation of phenol solution in liquid and solid phases. The effects of adsorption and reaction on phenol removal efficiency were also evaluated, and the mathematical model parameters were prioritized. Ferreiro et al. [132] also applied this model to the removal of aniline from wastewater by heterogeneous catalytic ozonation in the follow-up study on the degradation of aniline from wastewater by TiO2-doped granular activated carbon (Figure 9). The model involves mass transfer parameters and rate constants of catalyst surface and liquid volume reactions. The final experimental results prove the accuracy of the model. Most of these kinetic models focus on the decomposition of pollutants, but do not consider the internal reaction mechanism of multiphase catalytic ozonation. Khataee et al. [133] summarized the pathway by which ·OH participates in heterogeneous catalytic ozonation on the surface of clinoptilolite nanorods (CNs) and described the mechanism of heterogeneous catalytic ozonation in detail. They simplified the reaction mechanism based on experimental conditions and established a kinetic model based on the intrinsic primitive reaction. They conducted modeling based on nonlinear regression analysis and empirical model of artificial neural network and found that this dynamic model has high efficiency.
Figure 9.
A three-phase modelling for TiO2/GAC catalytic ozonation of aniline-contaminated water. Reproduced with permission from Ref. [132].
The amount of catalyst is an important factor to determine the treatment effect. In general, the amount of catalyst is positively correlated with the treatment effect. However, when the dosage reaches a certain amount, the increase in catalyst has no obvious effect on the improvement of treatment effect. On the other hand, too many catalysts can increase operating costs. Therefore, there exists the problem of optimal catalyst dosage. At present, there is no theoretical formula that can be calculated accurately. For example, when MgO catalyzes ozone oxidation of reactive dyes, the optimal dosage is 5 g/L [59]. When SnO2 catalyzes ozonation of molasses alcohol wastewater, the optimal dosage is 2.5 g/L [60].
Solution pH is a very important factor. On the one hand, solution pH has an important effect on the reaction mode and reaction kinetics of ozone in aqueous solution. When pH is relatively low in aqueous solution, ozone molecules only selectively react with specific electron-philic groups, protophilic groups and dipole addition groups on the surface of compounds [134]. When the pH of aqueous solution is alkaline, ozone can be decomposed to produce ·OH with high oxidation performance [135]. On the other hand, pH has a great influence on the surface properties of metal oxides. Hydroxyl groups produced on the surface of metal oxides in solution react differently under different pH conditions. Sui et al. [53] catalyzed oxalic acid oxidation by ozone using FeOOH under the condition of solution pH of 4.0 to 7.0. FeOOH can effectively degrade oxalic acid in solution under both acidic and neutral conditions. Both neutral Me-OH and positive Me-OH2+ formed on the surface of metal oxides are active groups in catalytic reactions, which can effectively promote the decomposition of ozone molecules in solution and produce ·OH. Zhao et al. [136] found that initial solution pH had significant effects on tail gas concentration, residual ozone, ozone utilization rate, hydroxyl group density on catalyst surface and ·OH in solution. When the initial pH of solution increased from 2.89 to 8.83, the degradation degree of nitrobenzene increased obviously. During the reaction, the pH of the solution and the pHPZC on the catalyst surface were changed. This is the result of the formation of acidic byproducts and the reaction of H+ and OH− ions on the surface of honeycomb ceramics. The initial pH of the solution determines the pHPZC value of the catalyst surface. The density and properties of hydroxyl groups on the catalyst surface are affected by the final pH of solution and the final pH of catalyst surface. They determine the degradation degree of nitrobenzene in solution and the formation of byproducts.
Humic acid, fulvic acid and other natural organic matter exist in natural water. The presence of these substances on the one hand competes with the target pollutants, and on the other hand some humic acids are initiators of ozonolysis. Therefore, when catalytic ozonation is applied to natural water bodies, it is necessary to analyze the composition of water bodies and optimize the experimental conditions of catalytic ozonation. A large number of inorganic anions such as Cl−, HCO3−, CO32−, SO42− and PO43− exist in natural water. These anions have a high affinity for the basic site on the catalyst and can occupy the reaction site of the catalyst quickly, which will reduce the catalytic efficiency of the catalyst. Of these anions, PO43− is thought to have the strongest inhibitory effect. It can be adsorbed on the surface of the catalyst and replace the original hydroxyl group through ion exchange, thus preventing the interfacial reaction [52,115]. However, other researchers have found that this inhibition is weakened as ozone continues to pour in. The reason is that when the ozone content is high, phosphoric acid will be desorbed from the surface of the catalyst [53]. Therefore, in the advanced treatment of actual wastewater, various substances in the water need to be considered comprehensively, so as to be treated more efficiently.
The initial concentration of pollutants also has a certain effect on the catalytic ozonation system. The increase in pollutant concentration will reduce its degradation efficiency. This is because more pollutants not only require more oxidants, but also compete with ozone molecules for reaction sites on the catalyst surface, thus reducing the catalyst’s ability to catalyze ozone decomposition [66]. In addition, when the initial concentration of pollutants is high, more small acid will be produced and the pH of solution will be reduced, which will inhibit the self-decomposition of ozone [137,138]. Therefore, for water bodies with different pollution levels, the reaction time should be extended when catalytic ozonation is carried out for advanced treatment. In addition, it is necessary to regulate the pH of the solution moderately.
Temperature also plays a role. The change of reaction temperature can promote or hinder the ozone-catalyzed oxidation process. The rate of chemical reaction increases with the increase in temperature, but too high temperature also reduces the half-life and solubility of ozone in aqueous solution. When Y-zeolite is used as a catalyst, the degradation rate of phenol is about 85% at 278 K, while the degradation rate of phenol increases to about 95% at 293 K [19]. Chen [139] reported that low temperature is conducive to the dissolution of ozone. The system has higher COD and TOC removal rates at 40 °C, and the removal rates decrease when the temperature continues to rise. In the study of Mehrjouei et al. [140], it was found that the removal rate of hydrooxalic acid increased when the reaction temperature increased from 10 °C to 50 °C. However, the removal rate at 70 °C is lower than that at 50 °C. Similar results were also found in Xiong et al. [141]. When the temperature gradually increases to 40 °C, the COD removal rate increases from 72.3% increased to 90.5%. However, when the temperature continues to increase, the COD removal rate decreases. Temperature is proportional to the mass transfer rate, and the reaction speeds up. However, when the temperature is too high, the decomposition efficiency of ozone is too fast, which will lead to the reduction in available ozone and reduce the catalytic oxidation effect.
In addition, the uniformity of the material in the reactor will improve the efficiency of the reaction treatment. For example, when PtO2 catalyzes ozonation of DMP, the efficiency of high gravity rotating packed bed (RPB) is higher than that of conventional reactors [142]. The high gravity technology has been proved to enhance the contact and reaction between gas-liquid and liquid-solid significantly due to its good microscopic mixing performance. High gravity technology can greatly increase the contact area between ozone and liquid phase and accelerate the regeneration rate of liquid film surface. At the same time, it can reduce the mass transfer resistance of liquid film, promote the mass transfer and decomposition of ozone, so as to effectively improve the degradation efficiency of organic pollutants. The high gravity technique uses rapidly rotating fillers to shear the liquid into tiny droplets or membranes that are on the order of tens of microns in size. Due to the small size and diameter of the droplet, a large gas-liquid phase interface is generated. The centrifugal force provided by RPB is several hundred times that of the normal gravity in the packed tower, which enables the liquid to overcome the surface tension and move in the packing with high specific surface area at very high speed and very small scale. The continuous collision between the liquid and the filler and the curved channels of the filler greatly enhances the turbulence of the liquid, accelerate the separation of the boundary layer, and promote the rapid renewal of the liquid surface. The combination of these two points makes the mass transfer coefficient in the superheavy field increase by 1~3 orders of magnitude compared with that in the packed tower. In the heterogeneous catalytic ozonation system, the solid catalyst and reaction solution are in different phase states. The reaction takes place in the solid-liquid phase and also involves the transfer of ozone from gas to liquid phase. Ozone diffusion from the gas phase body through the gas liquid interface into the liquid phase body and then to the catalyst surface. It diffuses from the outer surface of the catalyst to the inner pore of the catalyst, and then the adsorption, reaction and desorption processes occur on the inner surface of the catalyst. For organic pollutants in water, there are also diffusion, adsorption, surface reaction and desorption processes from the main body of liquid phase to the surface of catalyst and pore. Chang et al. [18] innovatively proposed spherical Pt/γ-Al2O3 catalyst as RPB filler. At the same time, Chang et al. [142] also gave the relationship between hydraulic residence time, rotational speed and liquid flow rate in RPB. The hydraulic retention time in RPB decreases from 40 s to 8 s at a lower flow rate. In the experiment of catalytic degradation of DMP, the degradation rate of DMP is greatly affected by the RPB rotational speed. With the increase in rotating speed, the thickness of liquid film and the particle size of droplet decrease, which is conducive to ozone oxidation of DMP. However, when the rotational speed is higher than 1200 r/min, the beneficial effect of supergravity will be greatly reduced due to the shortened hydraulic retention time. Wei et al. [143] used Fe-CuMnOx/γ-Al2O3 catalyst as RPB filler to investigate the strengthening effect of RPB on the catalytic ozonation of phenol simulated wastewater by immobilized transition metal oxides. The effects of different process parameters on the decomposition and mass transfer of ozone in water and the degradation efficiency of phenol were investigated. The process parameters of Fe-Cu-MnOx/γ-Al2O3 catalytic ozonation of phenol in RPB were optimized.
9. Conclusions and Perspectives
Heterogeneous catalytic ozonation is a technology which combines adsorption in physicochemical method and advanced oxidation in chemical method. While the catalyst absorbed pollutants, ozone and catalyst formed advanced oxidation technology to degrade and mineralize the pollutants adsorbed on the catalyst. This enables the catalyst to be regenerated while absorbing pollutants and prolongs the regeneration period. The heterogeneous catalytic ozonation technology has the advantages of high treatment efficiency, fast speed, no secondary pollution and continuous operation.
- (1)
- Many catalysts developed are powder or even nano-form, which is difficult to directly applied in engineering. Therefore, the research and preparation of immobilized catalyst is an important research direction of heterogeneous catalytic ozonation. However, the surface property of immobilized catalyst is easy to change, and the reuse rate is low, resulting in the waste of catalyst and increase the cost. At the same time, according to the characteristics of pollutants, the reasonable choice of catalyst and substrate, further work needs to try the combination of multi-metal.
- (2)
- In the study of heterogeneous ozonation, attention should be paid to the development of new materials such as nanomaterials and membrane materials. The application of porous structures with different scales in the catalysis of heterogeneous ozonation should be constantly tried.
- (3)
- Because of the wide variety of catalysts, the experimental phenomena are often inconsistent, even contradictory, and cannot be compared. Therefore, it is still necessary to further study the relationship between the physical and chemical properties of catalysts and their decontamination efficiency in order to sum up their internal rules.
- (4)
- The Lewis acid point on the surface of metal oxide is considered to be the active point promoting ozonolysis to form free radicals, while the Lewis basic point on the surface of activated carbon is considered to be the active point promoting ozonolysis to form free radicals. In addition, different catalyst preparation methods and reaction conditions are selected, so different test results and reaction mechanism evaluation may be obtained even for the same solid catalyst. The types and properties of active sites of different catalysts need further study.
- (5)
- Most reports about catalysts in heterogeneous ozonation system are still in the laboratory stage. The wastewater tested was not complex industrial wastewater, but mostly organic wastewater made in a laboratory with a single ingredient. The selection of catalysts is still largely restricted by the nature of pollutants, so it is necessary to establish a heterogeneous catalytic ozonation system with broad spectrum for organic degradation. These investigations are the challenges to be faced in the practical application of catalytic ozonation.
- (6)
- The problem of dissolution of active components exists in many catalysts. This reduces the service life of the catalyst. At the same time, the poisoning of the active site and the contamination of the catalyst surface by the reaction intermediates are also important factors to determine the stability and durability of the catalyst. Future investigations can focus on optimizing catalyst preparation methods, adding catalyst auxiliaries and selecting suitable substrate to overcome these challenges.
- (7)
- At present, the work on catalytic ozonation mainly focuses on the rate of ·OH formation in oxidation system. The heterogeneous catalytic ozonation process with non-·OH as the dominant oxidizing species will certainly attract more attention in future research.
Author Contributions
Conceptualization, L.F. and C.Y.; software, X.L.; validation, X.L. and F.C.; formal analysis, X.L., F.C. and S.Z.; investigation, X.L., S.Z. and J.Z.; resources, L.F., C.Y. and J.Z.; data curation, X.L., J.Z. and F.C.; writing—original draft preparation, X.L., F.C., J.Z. and C.Y.; writing—review and editing, L.F. and S.Z.; visualization, L.F.; supervision, L.F. and C.Y.; project administration, L.F. All authors have read and agreed to the published version of the manuscript.
Funding
This research received no external funding.
Data Availability Statement
Data sharing not applicable. No new data were created or analyzed in this study. Data sharing is not applicable to this article.
Conflicts of Interest
The authors declare no conflict of interest.
References
- Zhang, S.; Wang, J.; Zhang, Y.; Ma, J.; Huang, L.; Yu, S.; Chen, L.; Song, G.; Qiu, M.; Wang, X. Applications of Water-Stable Metal-Organic Frameworks in the Removal of Water Pollutants: A Review. Environ. Pollut. 2021, 291, 118076. [Google Scholar] [CrossRef]
- He, M.; Xu, Z.; Hou, D.; Gao, B.; Cao, X.; Ok, Y.S.; Rinklebe, J.; Bolan, N.S.; Tsang, D.C. Waste-Derived Biochar for Water Pollution Control and Sustainable Development. Nat. Rev. Earth Environ. 2022, 3, 444–460. [Google Scholar] [CrossRef]
- Rekhate, C.V.; Srivastava, J. Recent Advances in Ozone-Based Advanced Oxidation Processes for Treatment of Wastewater-A Review. Chem. Eng. J. Adv. 2020, 3, 100031. [Google Scholar] [CrossRef]
- Cuerda-Correa, E.M.; Alexandre-Franco, M.F.; Fernández-González, C. Advanced Oxidation Processes for the Removal of Antibiotics from Water. An Overview. Water 2019, 12, 102. [Google Scholar] [CrossRef]
- Liu, Z.; Demeestere, K.; Van Hulle, S. Comparison and Performance Assessment of Ozone-Based AOPs in View of Trace Organic Contaminants Abatement in Water and Wastewater: A Review. J. Environ. Chem. Eng. 2021, 9, 105599. [Google Scholar] [CrossRef]
- Karimi-Maleh, H.; Darabi, R.; Karimi, F.; Karaman, C.; Shahidi, S.A.; Zare, N.; Baghayeri, M.; Fu, L.; Rostamnia, S.; Rouhi, J.; et al. State-of-Art Advances on Removal, Degradation and Electrochemical Monitoring of 4-Aminophenol Pollutants in Real Samples: A Review. Environ. Res. 2023; in press. [Google Scholar] [CrossRef]
- Lu, J.; Cheng, M.; Zhao, C.; Li, B.; Peng, H.; Zhang, Y.; Shao, Q.; Hassan, M. Application of Lignin in Preparation of Slow-Release Fertilizer: Current Status and Future Perspectives. Ind. Crops Prod. 2022, 176, 114267. [Google Scholar] [CrossRef]
- Mo, F.; Liu, Y.; Xu, Y.; He, Q.; Sun, P.; Dong, X. Photocatalytic Elimination of Moxifloxacin by Two-Dimensional Graphitic Carbon Nitride Nanosheets: Enhanced Activity, Degradation Mechanism and Potential Practical Application. Sep. Purif. Technol. 2022, 292, 121067. [Google Scholar] [CrossRef]
- Xie, K.; Wang, W.; Li, Y.; Xu, M.; Han, Z.; Zhang, Y.; Gao, W. Study on Structure-Performance Relationship of RGO Enhanced Polypropylene Composites with Improved Atomic Oxygen Resistance. Compos. Part B Eng. 2022, 239, 109970. [Google Scholar] [CrossRef]
- Khadhraoui, M.; Trabelsi, H.; Ksibi, M.; Bouguerra, S.; Elleuch, B. Discoloration and Detoxicification of a Congo Red Dye Solution by Means of Ozone Treatment for a Possible Water Reuse. J. Hazard. Mater. 2009, 161, 974–981. [Google Scholar] [CrossRef] [PubMed]
- Yıldırım, A.Ö.; Gül, Ş.; Eren, O.; Kuşvuran, E. A Comparative Study of Ozonation, Homogeneous Catalytic Ozonation, and Photocatalytic Ozonation for CI Reactive Red 194 Azo Dye Degradation. CLEAN–Soil Air Water 2011, 39, 795–805. [Google Scholar] [CrossRef]
- Farré, M.J.; Franch, M.I.; Malato, S.; Ayllón, J.A.; Peral, J.; Doménech, X. Degradation of Some Biorecalcitrant Pesticides by Homogeneous and Heterogeneous Photocatalytic Ozonation. Chemosphere 2005, 58, 1127–1133. [Google Scholar] [CrossRef] [PubMed]
- Guo, Y.; Wang, H.; Wang, B.; Deng, S.; Huang, J.; Yu, G.; Wang, Y. Prediction of Micropollutant Abatement during Homogeneous Catalytic Ozonation by a Chemical Kinetic Model. Water Res. 2018, 142, 383–395. [Google Scholar] [CrossRef] [PubMed]
- Forni, L.; Bahnemann, D.; Hart, E.J. Mechanism of the Hydroxide Ion-Initiated Decomposition of Ozone in Aqueous Solution. J. Phys. Chem. 1982, 86, 255–259. [Google Scholar] [CrossRef]
- Yu, G.; Wang, Y.; Cao, H.; Zhao, H.; Xie, Y. Reactive Oxygen Species and Catalytic Active Sites in Heterogeneous Catalytic Ozonation for Water Purification. Environ. Sci. Technol. 2020, 54, 5931–5946. [Google Scholar] [CrossRef] [PubMed]
- Wang, B.; Zhang, H.; Wang, F.; Xiong, X.; Tian, K.; Sun, Y.; Yu, T. Application of Heterogeneous Catalytic Ozonation for Refractory Organics in Wastewater. Catalysts 2019, 9, 241. [Google Scholar] [CrossRef]
- Zsilák, Z.; Szabó-Bárdos, E.; Fónagy, O.; Horváth, O.; Horváth, K.; Hajós, P. Degradation of Benzenesulfonate by Heterogeneous Photocatalysis Combined with Ozonation. Catal. Today 2014, 230, 55–60. [Google Scholar] [CrossRef]
- Chang, C.-C.; Chiu, C.-Y.; Chang, C.-Y.; Chang, C.-F.; Chen, Y.-H.; Ji, D.-R.; Tseng, J.-Y.; Yu, Y.-H. Pt-Catalyzed Ozonation of Aqueous Phenol Solution Using High-Gravity Rotating Packed Bed. J. Hazard. Mater. 2009, 168, 649–655. [Google Scholar] [CrossRef]
- Dong, Y.; Yang, H.; He, K.; Wu, X.; Zhang, A. Catalytic Activity and Stability of Y Zeolite for Phenol Degradation in the Presence of Ozone. Appl. Catal. B Environ. 2008, 82, 163–168. [Google Scholar] [CrossRef]
- Liang, H.; Sun, H.; Patel, A.; Shukla, P.; Zhu, Z.; Wang, S. Excellent Performance of Mesoporous Co3O4/MnO2 Nanoparticles in Heterogeneous Activation of Peroxymonosulfate for Phenol Degradation in Aqueous Solutions. Appl. Catal. B Environ. 2012, 127, 330–335. [Google Scholar] [CrossRef]
- Wang, J.; Zhou, Y.; Zhu, W.; He, X. Catalytic Ozonation of Dimethyl Phthalate and Chlorination Disinfection By-Product Precursors over Ru/AC. J. Hazard. Mater. 2009, 166, 502–507. [Google Scholar] [CrossRef]
- Qu, J.; Li, H.; Liu, H.; He, H. Ozonation of Alachlor Catalyzed by Cu/Al2O3 in Water. Catal. Today 2004, 90, 291–296. [Google Scholar] [CrossRef]
- Yunrui, Z.; Wanpeng, Z.; Fudong, L.; Jianbing, W.; Shaoxia, Y. Catalytic Activity of Ru/Al2O3 for Ozonation of Dimethyl Phthalate in Aqueous Solution. Chemosphere 2007, 66, 145–150. [Google Scholar] [CrossRef] [PubMed]
- Li, L.; Ye, W.; Zhang, Q.; Sun, F.; Lu, P.; Li, X. Catalytic Ozonation of Dimethyl Phthalate over Cerium Supported on Activated Carbon. J. Hazard. Mater. 2009, 170, 411–416. [Google Scholar] [CrossRef]
- Zhang, T.; Chen, W.; Ma, J.; Qiang, Z. Minimizing Bromate Formation with Cerium Dioxide during Ozonation of Bromide-Containing Water. Water Res. 2008, 42, 3651–3658. [Google Scholar] [CrossRef] [PubMed]
- Beltrán, F.J.; Pocostales, P.; Alvarez, P.; Oropesa, A. Diclofenac Removal from Water with Ozone and Activated Carbon. J. Hazard. Mater. 2009, 163, 768–776. [Google Scholar] [CrossRef]
- Allemane, H.; Delouane, B.; Paillard, H.; Legube, B. Comparative Efficiency of Three Systems (O3, O3/H2O2, and O3/TiO2) for the Oxidation of Natural Organic Matter in Water. Ozone Sci. Eng. 1993, 15, 419–432. [Google Scholar] [CrossRef]
- Volk, C.; Roche, P.; Joret, J.-C.; Paillard, H. Comparison of the Effect of Ozone, Ozone-Hydrogen Peroxide System and Catalytic Ozone on the Biodegradable Organic Matter of a Fulvic Acid Solution. Water Res. 1997, 31, 650–656. [Google Scholar] [CrossRef]
- Rosal, R.; Gonzalo, M.S.; Rodríguez, A.; García-Calvo, E. Ozonation of Clofibric Acid Catalyzed by Titanium Dioxide. J. Hazard. Mater. 2009, 169, 411–418. [Google Scholar] [CrossRef]
- Gracia, R.; Cortés, S.; Sarasa, J.; Ormad, P.; Ovelleiro, J. Catalytic Ozonation with Supported Titanium Dioxide. The Stability of Catalyst in Water. Ozone Sci. Eng. 2000, 22, 185–193. [Google Scholar] [CrossRef]
- Gracia, R.; Cortés, S.; Sarasa, J.; Ormad, P.; Ovelleiro, J. Heterogeneous Catalytic Ozonation with Supported Titanium Dioxide in Model and Natural Waters. Ozone Sci. Eng. 2000, 22, 461–471. [Google Scholar] [CrossRef]
- Gracia, R.; Cortes, S.; Sarasa, J.; Ormad, P.; Ovelleiro, J. TiO2-Catalysed Ozonation of Raw Ebro River Water. Water Res. 2000, 34, 1525–1532. [Google Scholar] [CrossRef]
- Dabuth, N.; Thuangchon, S.; Prasert, T.; Yuthawong, V.; Phungsai, P. Effects of Catalytic Ozonation Catalyzed by TiO2 Activated Carbon and Biochar on Dissolved Organic Matter Removal and Disinfection By-Product Formations Investigated by Orbitrap Mass Spectrometry. J. Environ. Chem. Eng. 2022, 10, 107215. [Google Scholar] [CrossRef]
- Huang, W.-J.; Fang, G.-C.; Wang, C.-C. A Nanometer-ZnO Catalyst to Enhance the Ozonation of 2, 4, 6-Trichlorophenol in Water. Colloids Surf. A Physicochem. Eng. Asp. 2005, 260, 45–51. [Google Scholar] [CrossRef]
- Dong, Y.M.; Wang, G.L.; Jiang, P.P.; Zhang, A.M.; Yue, L.; Zhang, X.M. Simple Preparation and Catalytic Properties of ZnO for Ozonation Degradation of Phenol in Water. Chin. Chem. Lett. 2011, 22, 209–212. [Google Scholar] [CrossRef]
- Hu, Q.; Zhang, M.; Xu, L.; Wang, S.; Yang, T.; Wu, M.; Lu, W.; Li, Y.; Yu, D. Unraveling Timescale-Dependent Fe-MOFs Crystal Evolution for Catalytic Ozonation Reactivity Modulation. J. Hazard. Mater. 2022, 431, 128575. [Google Scholar] [CrossRef]
- Nowell, L.; Hoigné, J. Interaction of Iron (II) and Other Transition Metals with Aqueous Ozone. In Proceedings of the 8th Ozone World Congress, Zurich, Switzerland, 15–18 September 1987; p. E80. [Google Scholar]
- Ma, J.; Graham, N.J.D. Preliminary Investigation of Manganese-Catalyzed Ozonation for the Destruction of Atrazine. Ozone Sci. Eng. 1997, 19, 227–240. [Google Scholar] [CrossRef]
- Ma, J.; Graham, N.J.D. Degradation of Atrazine by Manganese-Catalysed Ozonation—Influence of Radical Scavengers. Water Res. 2000, 34, 3822–3828. [Google Scholar] [CrossRef]
- Xu, J.; Li, Y.; Qian, M.; Pan, J.; Ding, J.; Guan, B. Amino-Functionalized Synthesis of MnO2-NH2-GO for Catalytic Ozonation of Cephalexin. Appl. Catal. B Environ. 2019, 256, 117797. [Google Scholar] [CrossRef]
- Ponnusamy, G.; Farzaneh, H.; Tong, Y.; Lawler, J.; Liu, Z.; Saththasivam, J. Enhanced Catalytic Ozonation of Ibuprofen Using a 3D Structured Catalyst with MnO2 Nanosheets on Carbon Microfibers. Sci. Rep. 2021, 11, 6342. [Google Scholar] [CrossRef]
- Gao, E.; Meng, R.; Jin, Q.; Yao, S.; Wu, Z.; Li, J.; Du, E. Highly Effective Mineralization of Acetic Acid Wastewater via Catalytic Ozonation over the Promising MnO2/γ-Al2O3 Catalyst. Chem. Phys. Impact 2023, 6, 100149. [Google Scholar] [CrossRef]
- Andreozzi, R.; Insola, A.; Caprio, V.; Marotta, R.; Tufano, V. The Use of Manganese Dioxide as a Heterogeneous Catalyst for Oxalic Acid Ozonation in Aqueous Solution. Appl. Catal. A Gen. 1996, 138, 75–81. [Google Scholar] [CrossRef]
- Andreozzi, R.; Caprio, V.; Insola, A.; Marotta, R.; Tufano, V. Kinetics of Oxalic Acid Ozonation Promoted by Heterogeneous MnO2 Catalysis. Ind. Eng. Chem. Res. 1997, 36, 4774–4778. [Google Scholar] [CrossRef]
- Andreozzi, R.; Caprio, V.; Insola, A.; Marotta, R.; Tufano, V. The Ozonation of Pyruvic Acid in Aqueous Solutions Catalyzed by Suspended and Dissolved Manganese. Water Res. 1998, 32, 1492–1496. [Google Scholar] [CrossRef]
- Xiang, L.; Lin, F.; Cai, B.; Li, G.; Zhang, L.; Wang, Z.; Yan, B.; Wang, Y.; Chen, G. Catalytic Ozonation of CH2Cl2 over Hollow Urchin-like MnO2 with Regulation of Active Oxygen by Catalyst Modification and Ozone Promotion. J. Hazard. Mater. 2022, 436, 129217. [Google Scholar] [CrossRef]
- Li, P.; Zhan, S.; Yao, L.; Xiong, Y.; Tian, S. Highly Porous α-MnO2 Nanorods with Enhanced Defect Accessibility for Efficient Catalytic Ozonation of Refractory Pollutants. J. Hazard. Mater. 2022, 437, 129235. [Google Scholar] [CrossRef]
- Wang, Y.; Xie, Y.; Sun, H.; Xiao, J.; Cao, H.; Wang, S. Hierarchical Shape-Controlled Mixed-Valence Calcium Manganites for Catalytic Ozonation of Aqueous Phenolic Compounds. Catal. Sci. Technol. 2016, 6, 2918–2929. [Google Scholar] [CrossRef]
- Alsheyab, M.A.; Muñoz, A.H. Comparative Study of Ozone and MnO2/O3 Effects on the Elimination of TOC and COD of Raw Water at the Valmayor Station. Desalination 2007, 207, 179–183. [Google Scholar] [CrossRef]
- Oh, B.; Song, S.; Lee, E.; Oh, H.; Kang, J. Catalyzed Ozonation Process with GAC and Metal Doped-GAC for Removing Organic Pollutants. Water Sci. Technol. 2004, 49, 45–49. [Google Scholar] [CrossRef]
- Wang, H.C.; Chang, S.H.; Hung, P.C.; Hwang, J.F.; Chang, M.B. Synergistic Effect of Transition Metal Oxides and Ozone on PCDD/F Destruction. J. Hazard. Mater. 2009, 164, 1452–1459. [Google Scholar] [CrossRef] [PubMed]
- Zhang, T.; Li, C.; Ma, J.; Tian, H.; Qiang, Z. Surface Hydroxyl Groups of Synthetic α-FeOOH in Promoting OH Generation from Aqueous Ozone: Property and Activity Relationship. Appl. Catal. B Environ. 2008, 82, 131–137. [Google Scholar] [CrossRef]
- Sui, M.; Sheng, L.; Lu, K.; Tian, F. FeOOH Catalytic Ozonation of Oxalic Acid and the Effect of Phosphate Binding on Its Catalytic Activity. Appl. Catal. B Environ. 2010, 96, 94–100. [Google Scholar] [CrossRef]
- Wang, J.; Bai, Z. Fe-Based Catalysts for Heterogeneous Catalytic Ozonation of Emerging Contaminants in Water and Wastewater. Chem. Eng. J. 2017, 312, 79–98. [Google Scholar] [CrossRef]
- Pi, Y.; Ernst, M.; Schrotter, J.-C. Effect of Phosphate Buffer upon CuO/Al2O3 and Cu (II) Catalyzed Ozonation of Oxalic Acid Solution. Ozone Sci. Eng. 2003, 25, 393–397. [Google Scholar] [CrossRef]
- Zhang, J.; Zhuang, T.; Liu, S.; Sun, S.; Wang, Y.; Liu, X.; Wang, J.; Liu, R. Catalytic Ozonation of Atrazine Enhanced by Mesoporous CeO2: Morphology, Performance and Intermediates. Water 2022, 14, 3431. [Google Scholar] [CrossRef]
- Orge, C.A.; Órfão, J.J.; Pereira, M.F.; de Farias, A.M.D.; Neto, R.C.R.; Fraga, M.A. Ozonation of Model Organic Compounds Catalysed by Nanostructured Cerium Oxides. Appl. Catal. B Environ. 2011, 103, 190–199. [Google Scholar] [CrossRef]
- Padilla, J.; Del Angel, G.; Navarrete, J. Improved Pd/γ-Al2O3–Ce Catalysts for Benzene Combustion. Catal. Today 2008, 133, 541–547. [Google Scholar] [CrossRef]
- Moussavi, G.; Mahmoudi, M. Degradation and Biodegradability Improvement of the Reactive Red 198 Azo Dye Using Catalytic Ozonation with MgO Nanocrystals. Chem. Eng. J. 2009, 152, 1–7. [Google Scholar] [CrossRef]
- Zeng, Y.-F.; Liu, Z.-L.; Qin, Z.-Z. Decolorization of Molasses Fermentation Wastewater by SnO2-Catalyzed Ozonation. J. Hazard. Mater. 2009, 162, 682–687. [Google Scholar] [CrossRef]
- Faria, P.; Monteiro, D.; Órfão, J.; Pereira, M. Cerium, Manganese and Cobalt Oxides as Catalysts for the Ozonation of Selected Organic Compounds. Chemosphere 2009, 74, 818–824. [Google Scholar] [CrossRef]
- Shiraga, M.; Kawabata, T.; Li, D.; Shishido, T.; Komaguchi, K.; Sano, T.; Takehira, K. Memory Effect-Enhanced Catalytic Ozonation of Aqueous Phenol and Oxalic Acid over Supported Cu Catalysts Derived from Hydrotalcite. Appl. Clay Sci. 2006, 33, 247–259. [Google Scholar] [CrossRef]
- Martins, R.C.; Quinta-Ferreira, R.M. Catalytic Ozonation of Phenolic Acids over a Mn–Ce–O Catalyst. Appl. Catal. B Environ. 2009, 90, 268–277. [Google Scholar] [CrossRef]
- Liu, X.; Zhou, Z.; Jing, G.; Fang, J. Catalytic Ozonation of Acid Red B in Aqueous Solution over a Fe–Cu–O Catalyst. Sep. Purif. Technol. 2013, 115, 129–135. [Google Scholar] [CrossRef]
- Xing, S.; Lu, X.; Ren, L.; Ma, Z. Characterization and Reactivity of Mn–Ce–O Composites for Catalytic Ozonation of Antipyrine. RSC Adv. 2015, 5, 60279–60285. [Google Scholar] [CrossRef]
- Ma, Z.; Zhu, L.; Lu, X.; Xing, S.; Wu, Y.; Gao, Y. Catalytic Ozonation of P-Nitrophenol over Mesoporous Mn–Co–Fe Oxide. Sep. Purif. Technol. 2014, 133, 357–364. [Google Scholar] [CrossRef]
- Zhang, Z.; Ai, H.; Fu, M.-L.; Hu, Y.; Liu, J.; Ji, Y.; Vasudevan, V.; Yuan, B. Oxygen Vacancies Enhancing Performance of Mg-Co-Ce Oxide Composite for the Selective Catalytic Ozonation of Ammonia in Water. J. Hazard. Mater. 2022, 436, 129000. [Google Scholar] [CrossRef]
- Chung, H.-H.; Jung, J.; Yoon, J.-H.; Lee, M.-J. Catalytic Ozonation of PCE by Clay from Tidal Flat Sediments. Catal. Lett. 2002, 78, 77–79. [Google Scholar] [CrossRef]
- Hassan, M.M.; Hawkyard, C.J. Ferral-Catalyzed Ozonation of Aqueous Dyes in a Bubble-Column Reactor. Catal. Commun. 2002, 3, 281–286. [Google Scholar] [CrossRef]
- Lim, H.-N.; Choi, H.; Hwang, T.-M.; Kang, J.-W. Characterization of Ozone Decomposition in a Soil Slurry: Kinetics and Mechanism. Water Res. 2002, 36, 219–229. [Google Scholar] [CrossRef] [PubMed]
- Dong, Y.; He, K.; Yin, L.; Zhang, A. Catalytic Degradation of Nitrobenzene and Aniline in Presence of Ozone by Magnesia from Natural Mineral. Catal. Lett. 2007, 119, 222–227. [Google Scholar] [CrossRef]
- Valdés, H.; Farfán, V.J.; Manoli, J.A.; Zaror, C.A. Catalytic Ozone Aqueous Decomposition Promoted by Natural Zeolite and Volcanic Sand. J. Hazard. Mater. 2009, 165, 915–922. [Google Scholar] [CrossRef]
- Su, L.; Chen, X.; Wang, H.; Wang, Y.; Lu, Z. Oxygen Vacancies Promoted Heterogeneous Catalytic Ozonation of Atrazine by Defective 4A Zeolite. J. Clean. Prod. 2022, 336, 130376. [Google Scholar] [CrossRef]
- Wang, Y.; Chen, L.; Cao, H.; Chi, Z.; Chen, C.; Duan, X.; Xie, Y.; Qi, F.; Song, W.; Liu, J. Role of Oxygen Vacancies and Mn Sites in Hierarchical Mn2O3/LaMnO3-δ Perovskite Composites for Aqueous Organic Pollutants Decontamination. Appl. Catal. B Environ. 2019, 245, 546–554. [Google Scholar] [CrossRef]
- Afzal, S.; Quan, X.; Zhang, J. High Surface Area Mesoporous Nanocast LaMO3 (M= Mn, Fe) Perovskites for Efficient Catalytic Ozonation and an Insight into Probable Catalytic Mechanism. Appl. Catal. B Environ. 2017, 206, 692–703. [Google Scholar] [CrossRef]
- Han, P.; Li, X.; Jin, C.; Tan, X.; Sun, W.; Wang, S.; Ding, F.; Li, X.; Jin, H.; Sun, C.; et al. Cation Deviated Stoichiometry Ca1.1ZrO3 Perovskite as an Efficient Ozonation Catalyst for m-Cresol Wastewater Degradation. Chem. Eng. J. 2022, 429, 132218. [Google Scholar] [CrossRef]
- Lin, S.H.; Lai, C.L. Kinetic Characteristics of Textile Wastewater Ozonation in Fluidized and Fixed Activated Carbon Beds. Water Res. 2000, 34, 763–772. [Google Scholar] [CrossRef]
- Faria, P.; Órfão, J.; Pereira, M. Activated Carbon Catalytic Ozonation of Oxamic and Oxalic Acids. Appl. Catal. B Environ. 2008, 79, 237–243. [Google Scholar] [CrossRef]
- Guzman-Perez, C.A.; Soltan, J.; Robertson, J. Kinetics of Catalytic Ozonation of Atrazine in the Presence of Activated Carbon. Sep. Purif. Technol. 2011, 79, 8–14. [Google Scholar] [CrossRef]
- Liu, Z.-Q.; Ma, J.; Cui, Y.-H.; Zhao, L.; Zhang, B.-P. Factors Affecting the Catalytic Activity of Multi-Walled Carbon Nanotube for Ozonation of Oxalic Acid. Sep. Purif. Technol. 2011, 78, 147–153. [Google Scholar] [CrossRef]
- Cao, H.; Xing, L.; Wu, G.; Xie, Y.; Shi, S.; Zhang, Y.; Minakata, D.; Crittenden, J.C. Promoting Effect of Nitration Modification on Activated Carbon in the Catalytic Ozonation of Oxalic Acid. Appl. Catal. B Environ. 2014, 146, 169–176. [Google Scholar] [CrossRef]
- Gonçalves, A.G.; Figueiredo, J.L.; Órfão, J.J.; Pereira, M.F. Influence of the Surface Chemistry of Multi-Walled Carbon Nanotubes on Their Activity as Ozonation Catalysts. Carbon 2010, 48, 4369–4381. [Google Scholar] [CrossRef]
- Wang, Y.; Xie, Y.; Sun, H.; Xiao, J.; Cao, H.; Wang, S. Efficient Catalytic Ozonation over Reduced Graphene Oxide for P-Hydroxylbenzoic Acid (PHBA) Destruction: Active Site and Mechanism. ACS Appl. Mater. Interfaces 2016, 8, 9710–9720. [Google Scholar] [CrossRef]
- Yin, R.; Guo, W.; Du, J.; Zhou, X.; Zheng, H.; Wu, Q.; Chang, J.; Ren, N. Heteroatoms Doped Graphene for Catalytic Ozonation of Sulfamethoxazole by Metal-Free Catalysis: Performances and Mechanisms. Chem. Eng. J. 2017, 317, 632–639. [Google Scholar] [CrossRef]
- Xiao, J.; Xie, Y.; Nawaz, F.; Jin, S.; Duan, F.; Li, M.; Cao, H. Super Synergy between Photocatalysis and Ozonation Using Bulk G-C3N4 as Catalyst: A Potential Sunlight/O3/g-C3N4 Method for Efficient Water Decontamination. Appl. Catal. B Environ. 2016, 181, 420–428. [Google Scholar] [CrossRef]
- Liu, Z.-Q.; Ma, J.; Cui, Y.-H. Carbon Nanotube Supported Platinum Catalysts for the Ozonation of Oxalic Acid in Aqueous Solutions. Carbon 2008, 46, 890–897. [Google Scholar] [CrossRef]
- Lin, J.; Kawai, A.; Nakajima, T. Effective Catalysts for Decomposition of Aqueous Ozone. Appl. Catal. B Environ. 2002, 39, 157–165. [Google Scholar] [CrossRef]
- Pugazhenthiran, N.; Sathishkumar, P.; Murugesan, S.; Anandan, S. Effective Degradation of Acid Orange 10 by Catalytic Ozonation in the Presence of Au-Bi2O3 Nanoparticles. Chem. Eng. J. 2011, 168, 1227–1233. [Google Scholar] [CrossRef]
- Zhao, J.; Cao, J.; Zhao, Y.; Zhang, T.; Zheng, D.; Li, C. Catalytic Ozonation Treatment of Papermaking Wastewater by Ag-Doped NiFe2O4: Performance and Mechanism. J. Environ. Sci. 2020, 97, 75–84. [Google Scholar] [CrossRef] [PubMed]
- Malik, S.N.; Khan, S.M.; Ghosh, P.C.; Vaidya, A.N.; Das, S.; Mudliar, S.N. Nano Catalytic Ozonation of Biomethanated Distillery Wastewater for Biodegradability Enhancement, Color and Toxicity Reduction with Biofuel Production. Chemosphere 2019, 230, 449–461. [Google Scholar] [CrossRef]
- Wen, G.; Wang, S.-J.; Ma, J.; Huang, T.-L.; Liu, Z.-Q.; Zhao, L.; Su, J.-F. Enhanced Ozonation Degradation of Di-n-Butyl Phthalate by Zero-Valent Zinc in Aqueous Solution: Performance and Mechanism. J. Hazard. Mater. 2014, 265, 69–78. [Google Scholar] [CrossRef]
- Hu, Q.; Xu, L.; Fu, K.; Zhu, F.; Yang, T.; Yang, T.; Luo, J.; Wu, M.; Yu, D. Ultrastable MOF-Based Foams for Versatile Applications. Nano Res. 2022, 15, 2961–2970. [Google Scholar] [CrossRef]
- Yu, D.; Wu, M.; Hu, Q.; Wang, L.; Lv, C.; Zhang, L. Iron-Based Metal-Organic Frameworks as Novel Platforms for Catalytic Ozonation of Organic Pollutant: Efficiency and Mechanism. J. Hazard. Mater. 2019, 367, 456–464. [Google Scholar] [CrossRef] [PubMed]
- Yu, D.; Wang, L.; Yang, T.; Yang, G.; Wang, D.; Ni, H.; Wu, M. Tuning Lewis Acidity of Iron-Based Metal-Organic Frameworks for Enhanced Catalytic Ozonation. Chem. Eng. J. 2021, 404, 127075. [Google Scholar] [CrossRef]
- Pang, Z.; Luo, P.; Wei, C.; Qin, Z.; Wei, T.; Hu, Y.; Wu, H.; Wei, C. In-Situ Growth of Co/Ni Bimetallic Organic Frameworks on Carbon Spheres with Catalytic Ozonation Performance for Removal of Bio-Treated Coking Wastewater. Chemosphere 2022, 291, 132874. [Google Scholar] [CrossRef]
- Mohammadi, V.; Tabatabaee, M.; Fadaei, A.; Mirhoseini, S.A. Study of Nickel Nanoparticles in Highly Porous Nickel Metal–Organic Framework for Efficient Heterogeneous Catalytic Ozonation of Linear Alkyl Benzene Sulfonate in Water. Ozone Sci. Eng. 2021, 43, 239–253. [Google Scholar] [CrossRef]
- Akhtar, J.; Amin, N.S.; Aris, A. Combined Adsorption and Catalytic Ozonation for Removal of Sulfamethoxazole Using Fe2O3/CeO2 Loaded Activated Carbon. Chem. Eng. J. 2011, 170, 136–144. [Google Scholar] [CrossRef]
- Orge, C.; Órfão, J.; Pereira, M. Catalytic Ozonation of Organic Pollutants in the Presence of Cerium Oxide–Carbon Composites. Appl. Catal. B Environ. 2011, 102, 539–546. [Google Scholar] [CrossRef]
- Rosal, R.; Gonzalo, M.S.; Rodríguez, A.; Perdigón-Melón, J.A.; García-Calvo, E. Catalytic Ozonation of Atrazine and Linuron on MnOx/Al2O3 and MnOx/SBA-15 in a Fixed Bed Reactor. Chem. Eng. J. 2010, 165, 806–812. [Google Scholar] [CrossRef]
- Rosal, R.; Gonzalo, M.S.; Rodríguez, A.; García-Calvo, E. Catalytic Ozonation of Fenofibric Acid over Alumina-Supported Manganese Oxide. J. Hazard. Mater. 2010, 183, 271–278. [Google Scholar] [CrossRef]
- Chen, Y.-H.; Hsieh, D.-C.; Shang, N.-C. Efficient Mineralization of Dimethyl Phthalate by Catalytic Ozonation Using TiO2/Al2O3 Catalyst. J. Hazard. Mater. 2011, 192, 1017–1025. [Google Scholar] [CrossRef]
- Ni, C.; Chen, J. Heterogeneous Catalytic Ozonation of 2-Chlorophenol Queous Solution with Alumina as a Catalyst. Water Sci. Technol. 2001, 43, 213–220. [Google Scholar] [CrossRef] [PubMed]
- Kasprzyk-Hordern, B.; Raczyk-Stanisławiak, U.; Świetlik, J.; Nawrocki, J. Catalytic Ozonation of Natural Organic Matter on Alumina. Appl. Catal. B Environ. 2006, 62, 345–358. [Google Scholar] [CrossRef]
- Qi, F.; Xu, B.; Chen, Z.; Ma, J.; Sun, D.; Zhang, L. Influence of Aluminum Oxides Surface Properties on Catalyzed Ozonation of 2, 4, 6-Trichloroanisole. Sep. Purif. Technol. 2009, 66, 405–410. [Google Scholar] [CrossRef]
- Zhao, L.; Ma, J.; Sun, Z.; Liu, H. Influencing Mechanism of Temperature on the Degradation of Nitrobenzene in Aqueous Solution by Ceramic Honeycomb Catalytic Ozonation. J. Hazard. Mater. 2009, 167, 1119–1125. [Google Scholar] [CrossRef]
- Zhao, L.; Sun, Z.; Ma, J.; Liu, H. Enhancement Mechanism of Heterogeneous Catalytic Ozonation by Cordierite-Supported Copper for the Degradation of Nitrobenzene in Aqueous Solution. Environ. Sci. Technol. 2009, 43, 2047–2053. [Google Scholar] [CrossRef] [PubMed]
- Li, B.; Xu, X.; Zhu, L.; Ding, W.; Mahmood, Q. Catalytic Ozonation of Industrial Wastewater Containing Chloro and Nitro Aromatics Using Modified Diatomaceous Porous Filling. Desalination 2010, 254, 90–98. [Google Scholar] [CrossRef]
- Rivera-Utrilla, J.; Sánchez-Polo, M.; Bautista-Toledo, M.I.; Méndez-Díaz, J.D. Enhanced Oxidation of Sodium Dodecylbenzenesulfonate Aqueous Solution Using Ozonation Catalyzed by Base Treated Zeolite. Chem. Eng. J. 2012, 180, 204–209. [Google Scholar] [CrossRef]
- Zhao, L.; Ma, J.; Sun, Z.; Zhai, X. Catalytic Ozonation for the Degradation of Nitrobenzene in Aqueous Solution by Ceramic Honeycomb-Supported Manganese. Appl. Catal. B Environ. 2008, 83, 256–264. [Google Scholar] [CrossRef]
- Byun, S.; Davies, S.; Alpatova, A.; Corneal, L.; Baumann, M.; Tarabara, V.; Masten, S. Mn Oxide Coated Catalytic Membranes for a Hybrid Ozonation–Membrane Filtration: Comparison of Ti, Fe and Mn Oxide Coated Membranes for Water Quality. Water Res. 2011, 45, 163–170. [Google Scholar] [CrossRef]
- Joseph, Y.; Ranke, W.; Weiss, W. Water on FeO (111) and Fe3O4 (111): Adsorption Behavior on Different Surface Terminations. J. Phys. Chem. B 2000, 104, 3224–3236. [Google Scholar] [CrossRef]
- Nawrocki, J.; Rigney, M.; McCormick, A.; Carr, P. Chemistry of Zirconia and Its Use in Chromatography. J. Chromatogr. A 1993, 657, 229–282. [Google Scholar] [CrossRef]
- Kasprzyk-Hordern, B.; Ziółek, M.; Nawrocki, J. Catalytic Ozonation and Methods of Enhancing Molecular Ozone Reactions in Water Treatment. Appl. Catal. B Environ. 2003, 46, 639–669. [Google Scholar] [CrossRef]
- Zhao, L.; Ma, J.; Sun, Z.; Liu, H. Mechanism of Heterogeneous Catalytic Ozonation of Nitrobenzene in Aqueous Solution with Modified Ceramic Honeycomb. Appl. Catal. B Environ. 2009, 89, 326–334. [Google Scholar] [CrossRef]
- Zhang, T.; Ma, J. Catalytic Ozonation of Trace Nitrobenzene in Water with Synthetic Goethite. J. Mol. Catal. A Chem. 2008, 279, 82–89. [Google Scholar] [CrossRef]
- Ikhlaq, A.; Brown, D.R.; Kasprzyk-Hordern, B. Catalytic Ozonation for the Removal of Organic Contaminants in Water on ZSM-5 Zeolites. Appl. Catal. B Environ. 2014, 154–155, 110–122. [Google Scholar] [CrossRef]
- Faria, P.; Órfão, J.; Pereira, M. Catalytic Ozonation of Sulfonated Aromatic Compounds in the Presence of Activated Carbon. Appl. Catal. B Environ. 2008, 83, 150–159. [Google Scholar] [CrossRef]
- Sánchez-Polo, M.; von Gunten, U.; Rivera-Utrilla, J. Efficiency of Activated Carbon to Transform Ozone into OH Radicals: Influence of Operational Parameters. Water Res. 2005, 39, 3189–3198. [Google Scholar] [CrossRef] [PubMed]
- Gu, L.; Zhang, X.; Lei, L. Degradation of Aqueous P-Nitrophenol by Ozonation Integrated with Activated Carbon. Ind. Eng. Chem. Res. 2008, 47, 6809–6815. [Google Scholar] [CrossRef]
- Sun, Z.; Zhao, L.; Liu, C.; Zhen, Y.; Ma, J. Catalytic Ozonation of Ketoprofen with in Situ N-Doped Carbon: A Novel Synergetic Mechanism of Hydroxyl Radical Oxidation and an Intra-Electron-Transfer Nonradical Reaction. Environ. Sci. Technol. 2019, 53, 10342–10351. [Google Scholar] [CrossRef] [PubMed]
- Wang, Y.; Chen, L.; Chen, C.; Xi, J.; Cao, H.; Duan, X.; Xie, Y.; Song, W.; Wang, S. Occurrence of Both Hydroxyl Radical and Surface Oxidation Pathways in N-Doped Layered Nanocarbons for Aqueous Catalytic Ozonation. Appl. Catal. B Environ. 2019, 254, 283–291. [Google Scholar] [CrossRef]
- Song, Z.; Wang, M.; Wang, Z.; Wang, Y.; Li, R.; Zhang, Y.; Liu, C.; Liu, Y.; Xu, B.; Qi, F. Insights into Heteroatom-Doped Graphene for Catalytic Ozonation: Active Centers, Reactive Oxygen Species Evolution, and Catalytic Mechanism. Environ. Sci. Technol. 2019, 53, 5337–5348. [Google Scholar] [CrossRef] [PubMed]
- Zhang, T.; Li, W.; Croué, J.-P. Catalytic Ozonation of Oxalate with a Cerium Supported Palladium Oxide: An Efficient Degradation Not Relying on Hydroxyl Radical Oxidation. Environ. Sci. Technol. 2011, 45, 9339–9346. [Google Scholar] [CrossRef]
- Zhang, T.; Croué, J.-P. Catalytic Ozonation Not Relying on Hydroxyl Radical Oxidation: A Selective and Competitive Reaction Process Related to Metal–Carboxylate Complexes. Appl. Catal. B Environ. 2014, 144, 831–839. [Google Scholar] [CrossRef]
- Fujita, H.; Izumi, J.; Sagehashi, M.; Fujii, T.; Sakoda, A. Adsorption and Decomposition of Water-Dissolved Ozone on High Silica Zeolites. Water Res. 2004, 38, 159–165. [Google Scholar] [CrossRef] [PubMed]
- Fujita, H.; Izumi, J.; Sagehashi, M.; Fujii, T.; Sakoda, A. Decomposition of Trichloroethene on Ozone-Adsorbed High Silica Zeolites. Water Res. 2004, 38, 166–172. [Google Scholar] [CrossRef] [PubMed]
- Luo, X.; Su, T.; Xie, X.; Qin, Z.; Ji, H. The Adsorption of Ozone on the Solid Catalyst Surface and the Catalytic Reaction Mechanism for Organic Components. ChemistrySelect 2020, 5, 15092–15116. [Google Scholar] [CrossRef]
- Guo, Y.; Zhu, S.; Wang, B.; Huang, J.; Deng, S.; Yu, G.; Wang, Y. Modelling of Emerging Contaminant Removal during Heterogeneous Catalytic Ozonation Using Chemical Kinetic Approaches. J. Hazard. Mater. 2019, 380, 120888. [Google Scholar] [CrossRef]
- Zhang, J.; Zhuang, T.; Liu, S.; Zhang, G.; Huo, K. Catalytic Ozonation of Phenol Enhanced by Mesoporous MnO2 Prepared through Nanocasting Method with SBA-15 as Template. J. Environ. Chem. Eng. 2020, 8, 103967. [Google Scholar] [CrossRef]
- Guo, Y.; Zhang, Y.; Yu, G.; Wang, Y. Revisiting the Role of Reactive Oxygen Species for Pollutant Abatement during Catalytic Ozonation: The Probe Approach versus the Scavenger Approach. Appl. Catal. B Environ. 2021, 280, 119418. [Google Scholar] [CrossRef]
- Ferreiro, C.; Villota, N.; de Luis, A.; Lombraña, J.I. Analysis of the Effect of the Operational Conditions in a Combined Adsorption–Ozonation Process with Granular Activated Carbon for the Treatment of Phenol Wastewater. React. Chem. Eng. 2020, 5, 760–778. [Google Scholar] [CrossRef]
- Ferreiro, C.; Villota, N.; Lombraña, J.I.; Rivero, M.J. Heterogeneous Catalytic Ozonation of Aniline-Contaminated Waters: A Three-Phase Modelling Approach Using TiO2/GAC. Water 2020, 12, 3448. [Google Scholar] [CrossRef]
- Khataee, A.; Fathinia, M.; Rad, T.S. Kinetic Modeling of Nalidixic Acid Degradation by Clinoptilolite Nanorod-Catalyzed Ozonation Process. RSC Adv. 2016, 6, 44371–44382. [Google Scholar] [CrossRef]
- Staehelin, J.; Hoigne, J. Decomposition of Ozone in Water: Rate of Initiation by Hydroxide Ions and Hydrogen Peroxide. Environ. Sci. Technol. 1982, 16, 676–681. [Google Scholar] [CrossRef]
- Pera-Titus, M.; García-Molina, V.; Baños, M.A.; Giménez, J.; Esplugas, S. Degradation of Chlorophenols by Means of Advanced Oxidation Processes: A General Review. Appl. Catal. B Environ. 2004, 47, 219–256. [Google Scholar] [CrossRef]
- Zhao, L.; Ma, J.; Sun, Z.; Zhai, X. Mechanism of Influence of Initial PH on the Degradation of Nitrobenzene in Aqueous Solution by Ceramic Honeycomb Catalytic Ozonation. Environ. Sci. Technol. 2008, 42, 4002–4007. [Google Scholar] [CrossRef]
- Bai, Z.; Yang, Q.; Wang, J. Catalytic Ozonation of Sulfamethazine Using Ce0.1Fe0.9OOH as Catalyst: Mineralization and Catalytic Mechanisms. Chem. Eng. J. 2016, 300, 169–176. [Google Scholar] [CrossRef]
- Dai, Q.; Chen, L.; Chen, W.; Chen, J. Degradation and Kinetics of Phenoxyacetic Acid in Aqueous Solution by Ozonation. Sep. Purif. Technol. 2015, 142, 287–292. [Google Scholar] [CrossRef]
- Chen, C.; Wei, L.; Guo, X.; Guo, S.; Yan, G. Investigation of Heavy Oil Refinery Wastewater Treatment by Integrated Ozone and Activated Carbon-Supported Manganese Oxides. Fuel Process. Technol. 2014, 124, 165–173. [Google Scholar] [CrossRef]
- Mehrjouei, M.; Müller, S.; Möller, D. A Review on Photocatalytic Ozonation Used for the Treatment of Water and Wastewater. Chem. Eng. J. 2015, 263, 209–219. [Google Scholar] [CrossRef]
- Xiong, Z.; Cao, J.; Yang, D.; Lai, B.; Yang, P. Coagulation-Flocculation as Pre-Treatment for Micro-Scale Fe/Cu/O3 Process (CF-MFe/Cu/O3) Treatment of the Coating Wastewater from Automobile Manufacturing. Chemosphere 2017, 166, 343–351. [Google Scholar] [CrossRef]
- Chang, C.-C.; Chiu, C.-Y.; Chang, C.-Y.; Chang, C.-F.; Chen, Y.-H.; Ji, D.-R.; Yu, Y.-H.; Chiang, P.-C. Combined Photolysis and Catalytic Ozonation of Dimethyl Phthalate in a High-Gravity Rotating Packed Bed. J. Hazard. Mater. 2009, 161, 287–293. [Google Scholar] [CrossRef] [PubMed]
- Wei, X.; Shao, S.; Ding, X.; Jiao, W.; Liu, Y. Degradation of Phenol with Heterogeneous Catalytic Ozonation Enhanced by High Gravity Technology. J. Clean. Prod. 2020, 248, 119179. [Google Scholar] [CrossRef]
Disclaimer/Publisher’s Note: The statements, opinions and data contained in all publications are solely those of the individual author(s) and contributor(s) and not of MDPI and/or the editor(s). MDPI and/or the editor(s) disclaim responsibility for any injury to people or property resulting from any ideas, methods, instructions or products referred to in the content. |
© 2023 by the authors. Licensee MDPI, Basel, Switzerland. This article is an open access article distributed under the terms and conditions of the Creative Commons Attribution (CC BY) license (https://creativecommons.org/licenses/by/4.0/).








