Enhanced Neonatal Brain Tissue Analysis via Minimum Spanning Tree Segmentation and the Brier Score Coupled Classifier
Abstract
1. Introduction
1.1. Motivation
1.2. Related Work
1.3. Research Gaps
1.4. Contributions
- (a)
- Enhanced Neonatal Brain Tissue Segmentation: Our work presents an innovative approach for segmenting neonatal brain tissues, overcoming the challenges posed by rapid growth processes and motion artefacts commonly encountered in neonatal brain MRI. We employ cutting-edge techniques, such as minimum spanning tree (MST) segmentation with the Manhattan distance, to increase the robustness and accuracy of segmentation.
- (b)
- Advanced Classification Methodology: We presented a novel classification scheme by coupling the Brier score with the shrunken centroid classifier. This hybrid approach enhances the accuracy of tissue classification, leading to more precise and reliable results. It also reduces the dependency on manual interventions and establishes a foundation for fully automatic segmentation and classification.
- (c)
- Efficient Tissue Identification: Our methodology addresses the identification of various neonatal brain tissues, including myelinated and unmyelinated white matter, while mitigating the challenges posed by partial volume effects. By enhancing tissue discrimination, we contribute to a more comprehensive understanding of neonatal brain structures.
- (d)
- Minimized Human Intervention: We emphasize the importance of reducing human intervention in the segmentation and classification process. Our system aims to be a fully automatic solution, minimizing the need for manual adjustments and interventions, thus streamlining the workflow and enhancing efficiency.
- (e)
- Increased Tissue Coverage: In contrast to previous works that segmented a limited number of neonatal brain tissues, our approach endeavors to classify the maximum number of brain tissues with significantly reduced human effort. This expansion in tissue coverage contributes to a more comprehensive analysis of neonatal brain structures.
2. Proposed Method
2.1. MST Segmentation and Brier Score Coupled Shrunken Centroid Classifier Scheme
2.1.1. Pre-Processing
- Wiener Filtering: We apply Wiener filtering to eliminate image noise and correct image blurring, ensuring the input data’s cleanliness.
- Motion Correction: To address motion artefacts inherent in neonatal imaging, we perform realignment to align image frames accurately.
- Intensity Inhomogeneity Correction: To eliminate intensity inhomogeneity, we utilize a combination of the N3 method (Non-parametric, Non-uniform intensity, Normalization) and information minimization. The N3 technique estimates the intensity inhomogeneity field, which is subsequently removed using information minimization techniques, treating it as extraneous information.
2.1.2. Feature Extraction
2.1.3. Minimum Spanning Tree (MST) Segmentation
2.1.4. Tissue Classification
3. Implementation and Analysis
3.1. Model and Problem Formulation
3.2. Pre-Processing (Stage-1)
3.2.1. Wiener Filtering
3.2.2. Realignment
3.2.3. Intensity Inhomogeneity Correction
3.3. Non-Parametric, Non-Uniform Intensity Normalization (N3)
3.3.1. Information Minimization
Modelling of Information Minimization Method
3.3.2. Correction of Brain Image
3.4. Feature Extraction (Stage-1)
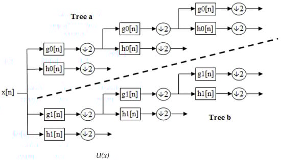
3.5. Dual Tree Complex Wavelet Transform
| Algorithm 1. for DTCWT |
| 1 Set i = 1 and yield the DTCWT of the input image. 2 Set zero to all wavelet coefficients with the level lesser than a threshold . 3 Proceeds DTCWT-1 and calculate the inaccuracy owing to loss of lesser coefficients. 4 Take DTCWT of the error neonatal brain image and adjust the non-zero wavelet coefficients from step 2 to lessen the error. 5 Increase i, lesson the slightly (to comprise a few more non zero coefficient) and recap steps 2 to 4. 6 When there are enough non zero coefficient to provide the essential rate-distortion trade off, Keep constant and repeat a few extra times until converged. |
3.6. Isomap Technique
3.7. Minimum Spanning Tree with Manhattan-Distance-Based Segmentation
3.8. Grid Formation
3.9. Edge Sorting
- Weight Calculation: Calculate the weight of each edge using the Manhattan distance.
- Sorting Edges: Sort the edges in ascending order based on their weights.
- Merging Criteria: Merge regions based on predefined criteria, starting with the lowest-weight edges.
- Dynamic Adjustment: Adjust merging criteria based on the image context or analysis requirements.
3.10. Pixel Merging
3.11. Classification
3.12. Brier-Score-Coupled Shrunken Centroid Classifier
4. Dataset Description
5. Results and Discussion
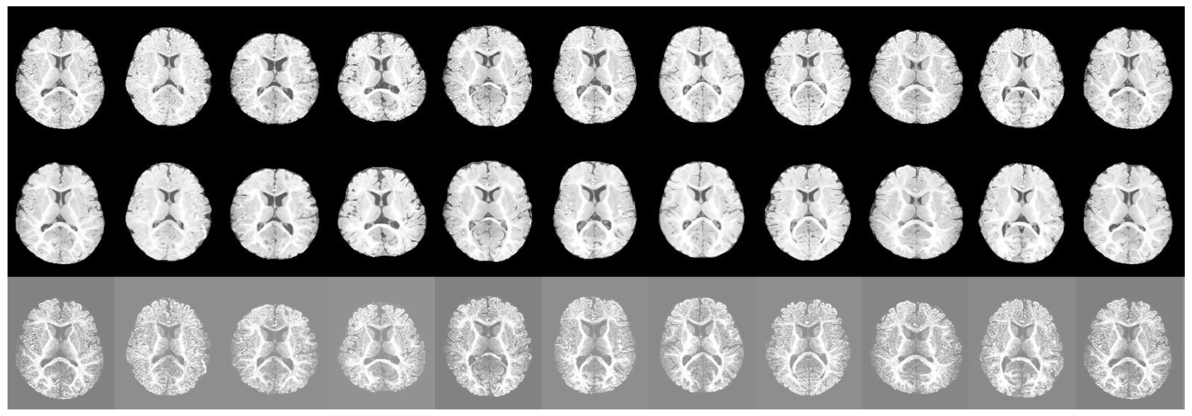
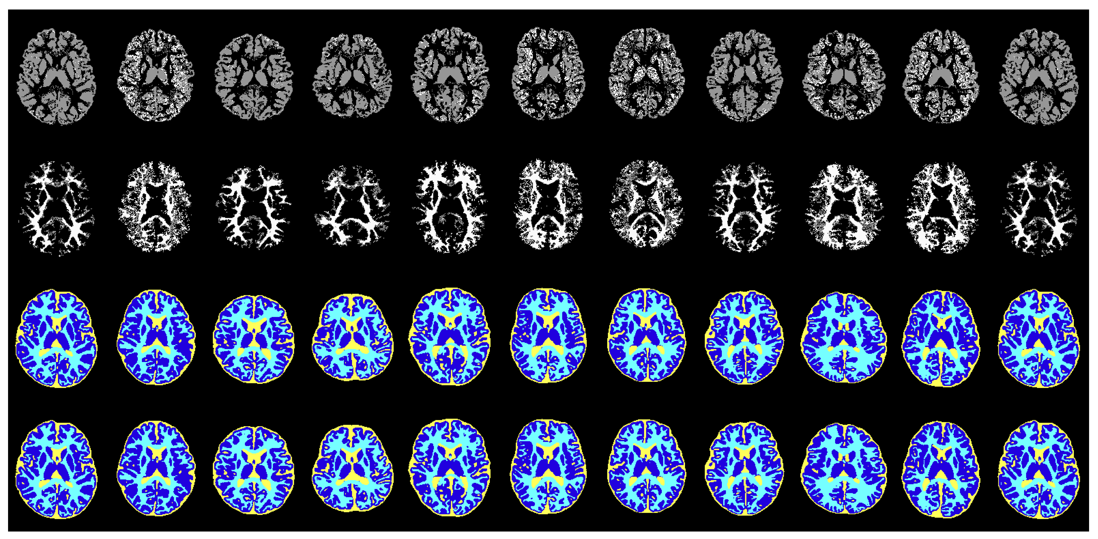
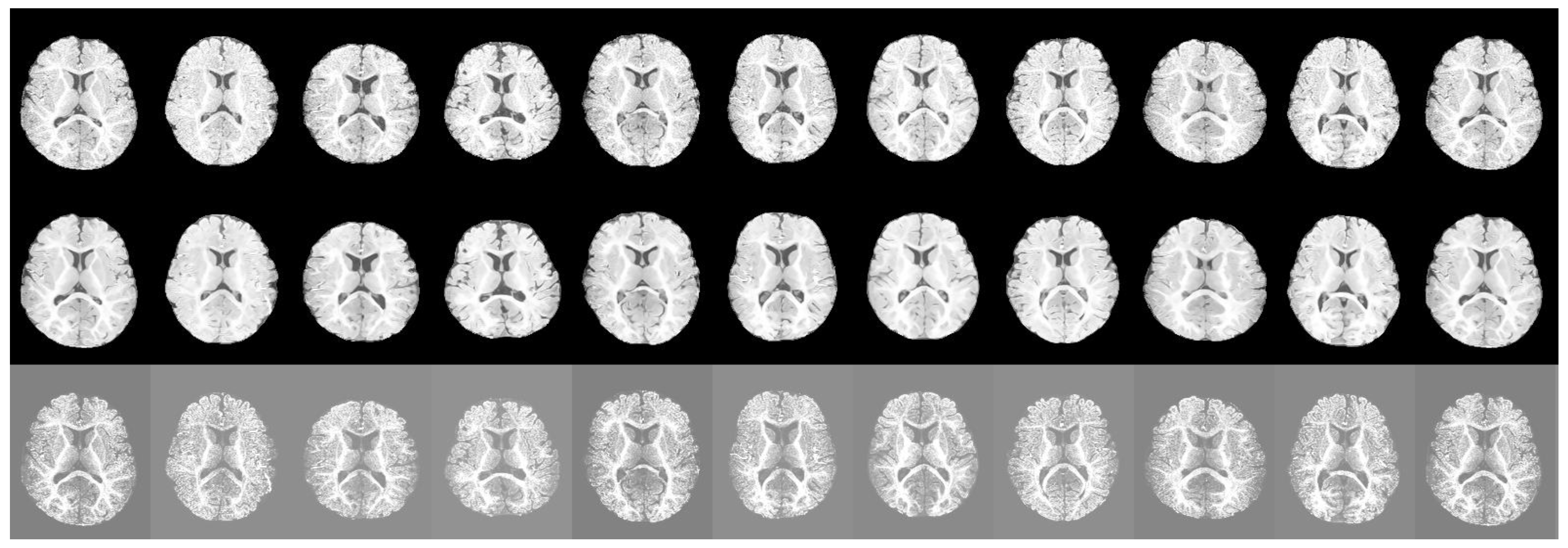
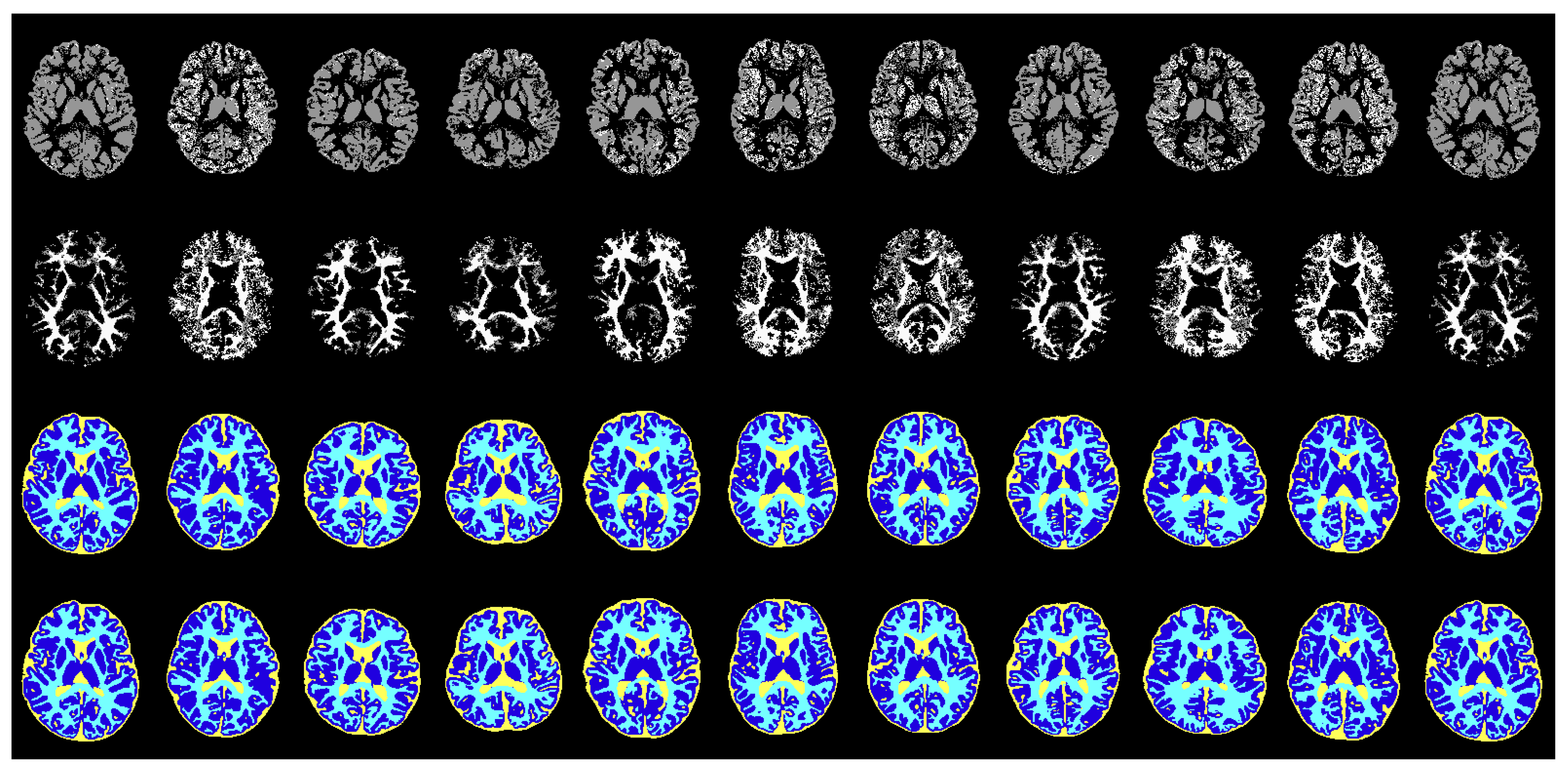
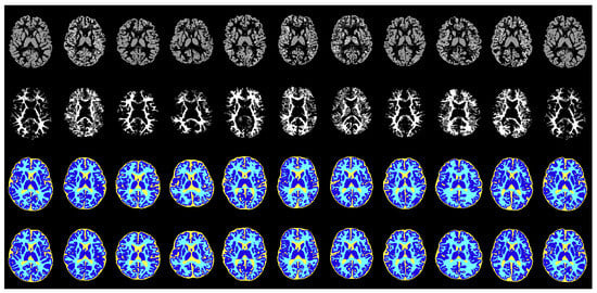
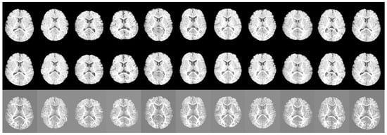
5.1. Segmentation Results
5.2. Performance Parameters [44,45]
5.2.1. Dice Similarity Metric (DSM)
5.2.2. Cohen’s Kappa Coefficient
5.2.3. Jaccard Index (JI)
5.2.4. Modified Hausdorff Distance (MHD)
5.2.5. Absolute Volume Difference (AVD)
5.2.6. Accuracy
5.2.7. Computation Time
5.3. Performance Metrics
| Tissues | Neonatal Image Index | ||||
|---|---|---|---|---|---|
| 1 | 2 | 3 | 4 | 5 | |
| Gray Matter | 0.9709 | 0.9733 | 0.9764 | 0.9357 | 0.8610 |
| Insula | 0.8842 | 0.8740 | 0.9408 | 0.9094 | 0.8737 |
| Cerebellum | 0.8512 | 0.8940 | 0.9087 | 0.8556 | 0.9274 |
| Brainstem | 0.8721 | 0.8924 | 0.9000 | 0.8460 | 0.9146 |
| Lingual Gyrus | 0.8647 | 0.9107 | 0.9000 | 0.8686 | 0.8329 |
| Myelinated WM | 0.8329 | 0.8809 | 0.8809 | 0.8809 | 0.8809 |
| Unmyelinated WM | 0.8724 | 0.9067 | 0.9067 | 0.9067 | 0.9067 |
| Medial Part | 0.9046 | 0.9230 | 0.8775 | 0.9000 | 0.9117 |
| Lateral Part | 0.8915 | 0.8708 | 0.9085 | 0.8689 | 0.8553 |
| Occipital Lobe | 0.8740 | 0.9102 | 0.8680 | 0.9000 | 0.8532 |
| CSF | 0.8880 | 0.9272 | 0.8446 | 0.9000 | 0.8565 |
| Temporal Gyrus | 0.8705 | 0.8373 | 0.9338 | 0.8686 | 0.8610 |

| Tissues | Neonatal Image Index | ||||
|---|---|---|---|---|---|
| 1 | 2 | 3 | 4 | 5 | |
| Gray Matter | 0.9224 | 0.9200 | 0.8691 | 0.9107 | 0.8474 |
| Insula | 0.8751 | 0.8751 | 0.9113 | 0.8822 | 0.8710 |
| Cerebellum | 0.8100 | 0.8000 | 0.8000 | 0.8882 | 0.8614 |
| Brainstem | 0.8170 | 0.8817 | 0.8464 | 0.8965 | 0.8362 |
| Lingual Gyrus | 0.8276 | 0.8276 | 0.8464 | 0.8662 | 0.9137 |
| Myelinated WM | 0.8005 | 0.8000 | 0.8000 | 0.9000 | 0.9000 |
| Unmyelinated WM | 0.8244 | 0.9244 | 0.9244 | 0.9244 | 0.9244 |
| Medial Part | 0.9388 | 0.9388 | 0.8557 | 0.8557 | 0.9740 |
| Lateral Part | 0.9210 | 0.9210 | 0.8538 | 0.8728 | 0.8687 |
| Occipital Lobe | 0.9070 | 0.9070 | 0.8558 | 0.8558 | 0.8473 |
| CSF | 0.8510 | 0.8835 | 0.8593 | 0.8593 | 0.8821 |
| Temporal Gyrus | 0.8705 | 0.8464 | 0.8653 | 0.8653 | 0.8770 |

| Tissues | Neonatal Image Index | ||||
|---|---|---|---|---|---|
| 1 | 2 | 3 | 4 | 5 | |
| Gray Matter | 0.9224 | 0.9200 | 0.9691 | 0.9107 | 0.8474 |
| Insula | 0.8751 | 0.9751 | 0.9113 | 0.8822 | 0.8710 |
| Cerebellum | 0.8100 | 0.9000 | 0.9000 | 0.8882 | 0.9614 |
| Brainstem | 0.8170 | 0.9817 | 0.9464 | 0.8965 | 0.9362 |
| Lingual Gyrus | 0.8276 | 0.9276 | 0.9464 | 0.8662 | 0.9137 |
| Myelinated WM | 0.8005 | 0.9000 | 0.9000 | 0.9000 | 0.9000 |
| Unmyelinated WM | 0.8244 | 0.9244 | 0.9244 | 0.9244 | 0.9244 |
| Medial Part | 0.9388 | 0.9388 | 0.8557 | 0.9557 | 0.9740 |
| Lateral Part | 0.9210 | 0.9210 | 0.8538 | 0.9728 | 0.9687 |
| Occipital Lobe | 0.9070 | 0.9070 | 0.8558 | 0.8558 | 0.9473 |
| CSF | 0.8510 | 0.9835 | 0.8593 | 0.9593 | 0.8821 |
| Temporal Gyrus | 0.8705 | 0.9464 | 0.8653 | 0.8653 | 0.8770 |

| Tissues | Neonatal Image Index | ||||
|---|---|---|---|---|---|
| 1 | 2 | 3 | 4 | 5 | |
| Gray Matter | 1.5826 | 1.5826 | 1.5826 | 1.9364 | 1.8745 |
| Insula | 1.8606 | 1.8326 | 1.0831 | 1.5192 | 1.4679 |
| Cerebellum | 1.6068 | 1.6068 | 1.2614 | 1.4679 | 1.4679 |
| Brainstem | 1.4642 | 1.4642 | 1.5192 | 1.4679 | 1.4679 |
| Lingual Gyrus | 1.6815 | 1.2209 | 1.5192 | 1.4165 | 1.3132 |
| Myelinated WM | 1.5192 | 1.5192 | 1.5192 | 1.5192 | 1.5192 |
| Unmyelinated WM | 1.8730 | 1.8730 | 1.8730 | 1.8730 | 1.8730 |
| Medial Part | 1.5357 | 2.0830 | 2.0000 | 1.5192 | 1.4679 |
| Lateral Part | 1.2354 | 2.0263 | 1.8326 | 1.5742 | 2.2627 |
| Occipital Lobe | 2.0555 | 2.0000 | 1.8430 | 1.5192 | 1.4679 |
| CSF | 2.0624 | 1.1172 | 1.8226 | 1.5192 | 1.4936 |
| Temporal Gyrus | 1.7764 | 1.5172 | 1.2627 | 1.5192 | 1.5192 |

| Tissues | Neonatal Image Index | ||||
|---|---|---|---|---|---|
| 1 | 2 | 3 | 4 | 5 | |
| Gray Matter | 0.0081 | 0.0081 | 0.0081 | 0.0168 | 0.0621 |
| Insula | 0.8532 | 0.8406 | 0.2380 | 0.2007 | 0.2447 |
| Cerebellum | 0.1802 | 0.1608 | 0.0741 | 0.2722 | 0.2962 |
| Brainstem | 0.0741 | 0.0741 | 0.0741 | 0.2393 | 0.2852 |
| Lingual Gyrus | 0.0886 | 0.08845 | 0.0741 | 0.4588 | 0.7600 |
| Myelinated WM | 0.0087 | 0.0087 | 0.0087 | 0.0087 | 0.0087 |
| Unmyelinated WM | 3.1712 | 3.1712 | 3.1712 | 3.1712 | 3.1712 |
| Medial Part | 5.6812 | 5.0409 | 2.9768 | 0.0741 | 0.5067 |
| Lateral Part | 0.5805 | 0.9217 | 0.2174 | 2.0609 | 1.8775 |
| Occipital Lobe | 1.4703 | 2.0968 | 1.2909 | 0.0741 | 0.2984 |
| CSF | 2.9758 | 2.2494 | 1.0170 | 0.0741 | 0.1754 |
| Temporal Gyrus | 1.3833 | 0.8430 | 0.8172 | 0.0741 | 0.1812 |

| Tissues | Neonatal Image Index | ||||
|---|---|---|---|---|---|
| 1 | 2 | 3 | 4 | 5 | |
| Gray Matter | 95.50 | 93.00 | 94.00 | 96.00 | 94.00 |
| Insula | 93.00 | 97.00 | 93.00 | 93.00 | 95.00 |
| Cerebellum | 95.00 | 92.50 | 99.10 | 95.00 | 95.00 |
| Brainstem | 97.00 | 96.00 | 94.00 | 93.00 | 97.00 |
| Lingual Gyrus | 95.00 | 97.00 | 99.10 | 99.10 | 99.10 |
| Myelinated WM | 98.00 | 93.00 | 94.00 | 93.00 | 94.00 |
| Unmyelinated WM | 99.10 | 96.00 | 97.00 | 99.00 | 97.00 |
| Medial Part | 96.00 | 97.00 | 98.00 | 95.00 | 96.00 |
| Lateral Part | 99.10 | 99.10 | 96.00 | 95.50 | 99.10 |
| Occipital Lobe | 92.50 | 93.00 | 99.00 | 95.00 | 97.00 |
| CSF | 99.10 | 94.00 | 93.00 | 93.00 | 94.00 |
| Temporal Gyrus | 95.00 | 92.50 | 94.00 | 96.00 | 94.00 |

| Neonatal Image Index | Computation Time (s) |
|---|---|
| Image 1 | 29.3373 |
| Image 2 | 29.0608 |
| Image 3 | 28.8764 |
| Image 4 | 31.6275 |
| Image 5 | 28.6690 |

5.4. Performance Comparison
6. Conclusions
Author Contributions
Funding
Data Availability Statement
Conflicts of Interest
References
- Weisenfeld, N.I.; Warfield, S.K. Automatic segmentation of newborn brain MRI. NeuroImage 2009, 47, 564–572. [Google Scholar] [CrossRef] [PubMed]
- Padilla, N.; Falcón, C.; Sanz-Cortés, M.; Figueras, F.; Bargallo, N.; Crispi, F.; Eixarch, E.; Arranz, A.; Botet, F.; Gratacós, E. Differential effects of intrauterine growth restriction on brain structure and development in preterm infants: A magnetic resonance imaging study. Brain Res. 2011, 1382, 98–108. [Google Scholar] [CrossRef] [PubMed]
- Ribbens, A.; Hermans, J.; Maes, F.; Vandermeulen, D.; Suetens, P. Unsupervised segmentation, clustering, and groupwise registration of heterogeneous populations of brain MR images. IEEE Trans. Med. Imaging 2013, 33, 201–224. [Google Scholar] [CrossRef] [PubMed]
- Chang, H.-H.; Valentino, D.J.; Duckwiler, G.R.; Toga, A.W. Segmentation of brain MR images using a charged fluid model. IEEE Trans. Biomed. Eng. 2007, 54, 1798–1813. [Google Scholar] [CrossRef] [PubMed]
- Corso, J.J.; Sharon, E.; Dube, S.; El-Saden, S.; Sinha, U.; Yuille, A. Efficient multilevel brain tumor segmentation with integrated Bayesian model classification. IEEE Trans. Med. Imaging 2008, 27, 629–640. [Google Scholar] [CrossRef]
- Kim, J.; Lenglet, C.; Duchin, Y.; Sapiro, G.; Harel, N. Semiautomatic segmentation of brain subcortical structures from High-Field MRI. IEEE J. Biomed. Health Informatics 2013, 18, 1678–1695. [Google Scholar] [CrossRef]
- Garcia-Lorenzo, D.; Prima, S.; Arnold, D.L.; Collins, D.L.; Barillot, C. Trimmed-Likelihood estimation for focal lesions and tissue segmentation in multisequence MRI for multiple sclerosis. IEEE Trans. Med. Imaging 2011, 30, 1455–1467. [Google Scholar] [CrossRef]
- Kuklisova-Murgasova, M.; Aljabar, P.; Srinivasan, L.; Counsell, S.J.; Doria, V.; Serag, A.; Gousias, I.S.; Boardman, J.P.; Rutherford, M.A.; Edwards, A.D.; et al. A dynamic 4D probabilistic atlas of the developing brain. NeuroImage 2011, 54, 2750–2763. [Google Scholar] [CrossRef]
- Han, X.; Fischl, B. Atlas Renormalization for improved brain MR image segmentation across scanner platforms. IEEE Trans. Med. Imaging 2007, 26, 479–486. [Google Scholar] [CrossRef]
- Aljabar, P.; Wolz, R.; Srinivasan, L.; Counsell, S.J.; Rutherford, M.A.; Edwards, A.D.; Hajnal, J.V.; Rueckert, D. A combined manifold learning analysis of shape and appearance to characterize neonatal brain development. IEEE Trans. Med. Imaging 2011, 30, 2072–2086. [Google Scholar] [CrossRef]
- Greenspan, H.; Ruf, A.; Goldberger, J. Constrained Gaussian mixture model framework for automatic segmentation of MR brain images. IEEE Trans. Med. Imaging 2006, 25, 1233–1245. [Google Scholar] [CrossRef] [PubMed]
- Altaye, M.; Holland, S.K.; Wilke, M.; Gaser, C. Infant brain probability templates for MRI segmentation and normalization. NeuroImage 2008, 43, 721–730. [Google Scholar] [CrossRef] [PubMed]
- Xue, H.; Srinivasan, L.; Jiang, S.; Rutherford, M.; Edwards, A.D.; Rueckert, D.; Hajnal, J.V. Automatic cortical segmentation in the developing brain. In Information Processing in Medical Imaging. IPMI 2007. Lecture Notes in Computer Science; Karssemeijer, N., Lelieveldt, B., Eds.; Springer: Berlin, Heidelberg, 2007; Volume 4584, pp. 257–269. [Google Scholar] [CrossRef]
- Cabezas, M.; Oliver, A.; Lladó, X.; Freixenet, J.; Cuadra, M.B. A review of atlas-based segmentation for magnetic resonance brain images. Comput. Methods Programs Biomed. 2011, 104, e158–e177. [Google Scholar] [CrossRef] [PubMed]
- Demirhan, A.; Törü, M.; Güler, İ. Segmentation of tumor and edema along with healthy tissues of brain using wavelets and neural networks. IEEE J. Biomed. Health Inform. 2015, 19, 1451–1458. [Google Scholar] [CrossRef] [PubMed]
- Kazemi, K.; Moghaddam, H.A.; Grebe, R.; Gondry-Jouet, C.; Wallois, F. A neonatal atlas template for spatial normalization of whole-brain magnetic resonance images of newborns: Preliminary results. NeuroImage 2007, 37, 463–473. [Google Scholar] [CrossRef]
- Jonasson, L.; Bresson, X.; Thiran, J.-P.; Wedeen, V.J.; Hagmann, P. Representing diffusion MRI in 5-D simplifies regularization and segmentation of white matter tracts. IEEE Trans. Med. Imaging 2007, 26, 1547–1554. [Google Scholar] [CrossRef][Green Version]
- Zagorodnov, V.; Ciptadi, A. Component analysis approach to estimation of tissue intensity distributions of 3D images. IEEE Trans. Med. Imaging 2010, 30, 838–848. [Google Scholar] [CrossRef]
- Almli, C.R.; Rivkin, M.J.; McKinstry, R.C.; Brain Development Cooperative Group. The NIH MRI study of normal brain development (Objective-2): Newborns, infants, toddlers, and preschoolers. NeuroImage 2007, 35, 308–325. [Google Scholar] [CrossRef]
- Yaqub, M.; Javaid, M.K.; Cooper, C.; Noble, J.A. Investigation of the role of feature selection and weighted voting in random forests for 3-D volumetric segmentation. IEEE Trans. Med. Imaging 2013, 33, 258–271. [Google Scholar] [CrossRef]
- Gousias, I.S.; Edwards, A.D.; Rutherford, M.A.; Counsell, S.J.; Hajnal, J.V.; Rueckert, D.; Hammers, A. Magnetic resonance imaging of the newborn brain: Manual segmentation of labelled atlases in term-born and preterm infants. NeuroImage 2012, 62, 1499–1509. [Google Scholar] [CrossRef]
- Shi, F.; Wang, L.; Dai, Y.; Gilmore, J.H.; Lin, W.; Shen, D. LABEL: Pediatric brain extraction using learning-based meta-algorithm. NeuroImage 2012, 62, 1975–1986. [Google Scholar] [CrossRef]
- Mahapatra, D. Skull Stripping of Neonatal Brain MRI: Using Prior Shape Information with Graph Cuts. J. Digit. Imaging 2012, 25, 802–814. [Google Scholar] [CrossRef]
- Cardoso, M.J.; Melbourne, A.; Kendall, G.S.; Modat, M.; Robertson, N.J.; Marlow, N.; Ourselin, S. AdaPT: An adaptive preterm segmentation algorithm for neonatal brain MRI. NeuroImage 2013, 65, 97–108. [Google Scholar] [CrossRef] [PubMed]
- Makropoulos, A.; Gousias, I.S.; Ledig, C.; Aljabar, P.; Serag, A.; Hajnal, J.V.; Edwards, A.D.; Counsell, S.J.; Rueckert, D. Automatic whole brain MRI segmentation of the developing neonatal brain. IEEE Trans. Med. Imaging 2014, 33, 1818–1831. [Google Scholar] [CrossRef] [PubMed]
- Richter, L.; Fetit, A.E. Accurate segmentation of neonatal brain MRI with deep learning. Front. Neurosci. 2022, 16, 1006532. [Google Scholar] [CrossRef] [PubMed]
- Boswinkel, V.; Krüse-Ruijter, M.F.; Oosterveld, J.N.; Nijholt, I.M.; Edens, M.A.; de Tollenaer, S.M.M.; Wu, M.-N.S.; Boomsma, M.F.; de Vries, L.S.; Meijler, G.v.W. Incidence of brain lesions in moderate-late preterm infants assessed by cranial ultrasound and MRI: The BIMP-study. Eur. J. Radiol. 2020, 136, 109500. [Google Scholar] [CrossRef] [PubMed]
- Verschuur, A.S.; Boswinkel, V.; Tax, C.M.; Osch, J.A.; Nijholt, I.M.; Slump, C.H.; Vries, L.S.; Wezel-Meijler, G.; Leemans, A.; Boomsma, M.F. Improved neonatal brain MRI segmentation by interpolation of motion corrupted slices. J. Neuroimaging 2022, 32, 480–492. [Google Scholar] [CrossRef]
- Bui, T.D.; Wang, L.; Lin, W.; Li, G.; Shen, D. 6-Month infant brain MRI segmentation guided by 24-Month data using Cycle-Consistent adversarial networks. In Proceedings of the 2020 IEEE 17th International Symposium on Biomedical Imaging (ISBI), Iowa City, IA, USA, 3–7 April 2020; pp. 359–362. [Google Scholar]
- Makropoulos, A.; Counsell, S.J.; Rueckert, D. A review on automatic fetal and neonatal brain MRI segmentation. NeuroImage 2018, 170, 231–248. [Google Scholar] [CrossRef]
- Chen, J.V.; Li, Y.; Tang, F.; Chaudhari, G.; Lew, C.; Lee, A.; Rauschecker, A.M.; Haskell-Mendoza, A.P.; Wu, Y.W.; Calabrese, E. Automated neonatal nnU-Net brain MRI extractor trained on a large multi-institutional dataset. Sci. Rep. 2024, 14, 4583. [Google Scholar] [CrossRef]
- Beare, R.J.; Chen, J.; Kelly, C.E.; Alexopoulos, D.; Smyser, C.D.; Rogers, C.E.; Loh, W.Y.; Matthews, L.G.; Cheong, J.L.Y.; Spittle, A.J.; et al. Neonatal Brain Tissue Classification with Morphological Adaptation and Unified Segmentation. Front. Neurosci. 2016, 10, 12. [Google Scholar] [CrossRef]
- Vaz, T.F.; Moreira, N.C.; Hellström-Westas, L.; Naseh, N.; Matela, N.; Ferreira, H.A. Brain extraction methods in neonatal brain MRI and their effects on intracranial volumes. Appl. Sci. 2024, 14, 1339. [Google Scholar] [CrossRef]
- Karimi, H.; Hamghalam, M. Segmentation of 3D MRI using 2D convolutional neural networks in infants’ brain. Multimedia Tools Appl. 2023, 83, 33511–33526. [Google Scholar] [CrossRef]
- Jadwa, S.K. Wiener Filter based Medical Image De-noising. Int. J. Sci. Eng. Appl. 2018, 7, 318–323. [Google Scholar] [CrossRef]
- Birn, R.M.; Dean, D.C.; Wooten, W.; Planalp, E.M.; Kecskemeti, S.; Alexander, A.L.; Goldsmith, H.H.; Davidson, R.J. Reduction of Motion Artifacts in Functional Connectivity Resulting from Infrequent Large Motion. Brain Connect. 2022, 12, 740–753. [Google Scholar] [CrossRef]
- Ivanovska, T.; Laqua, R.; Wang, L.; Schenk, A.; Yoon, J.H.; Hegenscheid, K.; Völzke, H.; Liebscher, V. An efficient level set method for simultaneous intensity inhomogeneity correction and segmentation of MR images. Comput. Med. Imaging Graph. 2016, 48, 9–20. [Google Scholar] [CrossRef]
- Boyes, R.G.; Gunter, J.L.; Frost, C.; Janke, A.L.; Yeatman, T.; Hill, D.L.; Bernstein, M.A.; Thompson, P.M.; Weiner, M.W.; Schuff, N.; et al. Intensity non-uniformity correction using N3 on 3-T scanners with multichannel phased array coils. NeuroImage 2007, 39, 1752–1762. [Google Scholar] [CrossRef]
- Naveed, K.; Shaukat, B.; Rehman, N.U. Dual tree complex wavelet transform-based signal denoising method exploiting neighbourhood dependencies and goodness-of-fit test. R. Soc. Open Sci. 2018, 5, 180436. [Google Scholar] [CrossRef]
- Gallos, I.K.; Gkiatis, K.; Matsopoulos, G.K.; Siettos, C. ISOMAP and machine learning algorithms for the construction of embedded functional connectivity networks of anatomically separated brain regions from resting state fMRI data of patients with Schizophrenia. AIMS Neurosci. 2021, 8, 295–321. [Google Scholar] [CrossRef]
- Dewi, M.P.; Armiati, A.; Alvini, S. Image Segmentation Using Minimum Spanning Tree. IOP Conf. Ser. Mater. Sci. Eng. 2018, 335, 012135. [Google Scholar] [CrossRef]
- Blagus, R.; Lusa, L. Improved shrunken centroid classifiers for high-dimensional class-imbalanced data. BMC Bioinform. 2013, 14, 64. [Google Scholar] [CrossRef]
- Wang, L.; Nie, D.; Li, G.; Puybareau, E.; Dolz, J.; Zhang, Q.; Wang, F.; Xia, J.; Wu, Z.; Chen, J.-W.; et al. Benchmark on Automatic Six-Month-Old Infant Brain Segmentation Algorithms: The ISEG-2017 Challenge. IEEE Trans. Med. Imaging 2019, 38, 2219–2230. [Google Scholar] [CrossRef] [PubMed]
- Jaware, T.H.; Khanchandani, K.B.; Kalal, D. An atlas-free newborn brain image segmentation and classification scheme based on SOM-DCNN with sparse auto encoder. Comput. Methods Biomech. Biomed. Eng. Imaging Vis. 2019, 8, 49–64. [Google Scholar] [CrossRef]
- Jaware, T.; Khanchandani, K.; Badgujar, R. A novel hybrid atlas-free hierarchical graph-based segmentation of newborn brain MRI using wavelet filter banks. Int. J. Neurosci. 2019, 130, 499–514. [Google Scholar] [CrossRef] [PubMed]






| Authors | Method | Subjects | Key Features | Results | Limitations |
|---|---|---|---|---|---|
| Ioannis S. Gousias et al. [21] | Manual segmentation using region-of-interest approach | 15 preterm, 5 term-born infants | Comprehensive brain coverage, regional brain volume estimation | Accurate regional brain volumes | Limited sample size |
| Feng Shi et al. [22] | Learning Algorithm for Brain Extraction and Labelling (LABEL) | 246 subjects | Meta-algorithm, level-set-based fusion approach | Improved brain extraction accuracy | Data dependency |
| Dwarikanath Mahapatra [23] | Graph-cut method with prior shape information | 20 neonatal subjects | Accurate identification of brain/non-brain tissues | Superior to traditional methods | Shape variability, computational complexity |
| Cardoso et al. [24] | Adaptive preterm multi-modal segmentation (AdaPT) | 92 infants | Enhanced segmentation of the cerebellum, ventricular sizes, and cortical gray matter | Significant improvements over other methods | Age variability, manual intervention |
| Antonios Makropoulos et al. [25] | Precise segmentation method with anatomical constraints | 198 premature infants | High precision, robust across gestational periods | Improved label overlap with manual segmentation | High computational demand |
| Richter and Fetit [26] | Deep learning-based pipeline | 783 3D neonatal MRI scans | Transfer learning to address limited data | Effective for most tissue classes | Challenges in segmenting cerebellum |
| Boswinkel et al. [27] | Assessment of brain lesions using ultrasound and MRI | Moderate–late preterm infants | Detection of mild lesions | Identified common lesions in moderate–late preterm infants | Excluded certain gestational ages, missing data |
| Verschuur et al. [28] | Study on motion artefacts | Moderate–late preterm infants | Tailored motion correction techniques | Highlighted need for better techniques | Potential ineffectiveness in severe cases |
| Bui et al. [29] | 3D-cycle GAN-Seg architecture | 40 subjects | Synthetic image generation, feature matching loss | Addressed brain shape deformation | Age gap challenges, adversarial training complexity |
| Makropoulos et al. [30] | Review of prenatal brain segmentation approaches | - | Analysis of target populations, methodologies | Discussed domain weaknesses and prospects | Data variability, limited robustness |
| Chen et al. [31] | Autonomous deep learning-based brain extraction | 433 subjects | Worked on high- and low-resolution MRIs | Effective brain extraction | Focused only on brain extraction |
| Beare et al. [32] | Brain Tissue Classification with Morphological Adaptation and Unified Segmentation | 5 samples for corrected gestational age | MANTiS classification and segmentation for brain damage and growth linked to birth prematurely | Contributed to understanding segmentation | Limited age range |
| Ding et al. [33] | Deep CNN for Newborn Brain Image Segmentation | 24 samples from Human Connectome Project public dataset | LiviaNET and HyperDense-Net, for segmenting neonatal brain tissue types | Hyper Dense-Net performed well in classifying brain tissues | Sample size of labeled data |
| Vaz et al. [34] | Different brain extraction methods in neonatal brain MRI affect intracranial volumes variably. | 5–22 subjects | Provided insights into the evaluation metrics used for BE assessments | Compared performance levels of various automated brain extraction methods | Small sample sizes and the potential impact of brain lesions on segmentation accuracy |
| Sl. No. | Method | Dice Similarity Coefficient | Cohen’s Kappa Coefficient | Jaccard Index |
|---|---|---|---|---|
| 1 | Mahapatra et al. [23] | 0.78 | 0.76 | 0.78 |
| 2 | Hamed et al. [34] | 0.803 | - | - |
| 3 | Cardoso et al. [24] | 0.8 | 0.8 | 0.46 |
| 4 | Makropoulos et al. [25] | 0.5 | 0.89 | 0.33 |
| 5 | Proposed approach | 0.8749 | 08728 | 0.9562 |
Disclaimer/Publisher’s Note: The statements, opinions and data contained in all publications are solely those of the individual author(s) and contributor(s) and not of MDPI and/or the editor(s). MDPI and/or the editor(s) disclaim responsibility for any injury to people or property resulting from any ideas, methods, instructions or products referred to in the content. |
© 2024 by the authors. Licensee MDPI, Basel, Switzerland. This article is an open access article distributed under the terms and conditions of the Creative Commons Attribution (CC BY) license (https://creativecommons.org/licenses/by/4.0/).
Share and Cite
Jaware, T.H.; Nayak, C.; Parida, P.; Ali, N.; Sharma, Y.; Hadi, W. Enhanced Neonatal Brain Tissue Analysis via Minimum Spanning Tree Segmentation and the Brier Score Coupled Classifier. Computers 2024, 13, 260. https://doi.org/10.3390/computers13100260
Jaware TH, Nayak C, Parida P, Ali N, Sharma Y, Hadi W. Enhanced Neonatal Brain Tissue Analysis via Minimum Spanning Tree Segmentation and the Brier Score Coupled Classifier. Computers. 2024; 13(10):260. https://doi.org/10.3390/computers13100260
Chicago/Turabian StyleJaware, Tushar Hrishikesh, Chittaranjan Nayak, Priyadarsan Parida, Nawaf Ali, Yogesh Sharma, and Wael Hadi. 2024. "Enhanced Neonatal Brain Tissue Analysis via Minimum Spanning Tree Segmentation and the Brier Score Coupled Classifier" Computers 13, no. 10: 260. https://doi.org/10.3390/computers13100260
APA StyleJaware, T. H., Nayak, C., Parida, P., Ali, N., Sharma, Y., & Hadi, W. (2024). Enhanced Neonatal Brain Tissue Analysis via Minimum Spanning Tree Segmentation and the Brier Score Coupled Classifier. Computers, 13(10), 260. https://doi.org/10.3390/computers13100260

