Acute Myeloid Leukemia with Isolated Trisomy 19 Associated with Diffuse Myelofibrosis and Osteosclerosis
Abstract
:1. Introduction
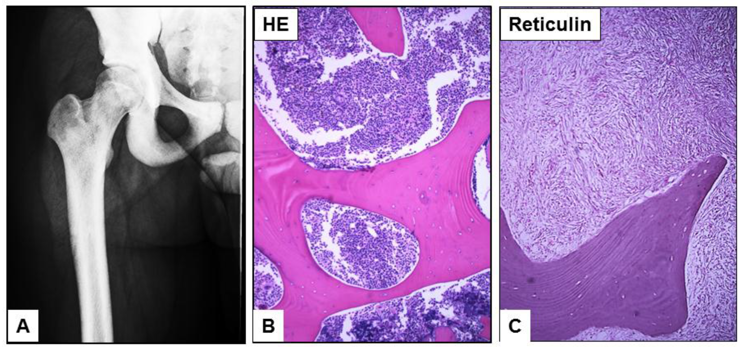
2. Case Presentation


3. Results and Discussion
| Disease Name | Diagnostic Clinical Pathological Features |
|---|---|
| Primary Myelofibrosis | Intrasinusoidal clustered atypical/dysplastic megakaryocytic hyperplasia with myelofibrosis and osteoscelerosis |
| Acute Megakaryoblastic Leukemia (AML-M7) | Sheets of Blasts, acute onset, CD41+/CD61+ |
| Acute myeloid leukemia, non-AML-M7 with fibrosis | Increased of myeloblasts >20%, usually CD34+/CD117+/CD33+ |
| Acute Pan-myelosis with Myelofibrosis | Bone pain, acute onset without splenomegaly |
| Polycythemia Vera, Fibrotic Phase | Increased Hemoglobin, JAK2 mutation |
| Essential Thrombocythemia, Fibrotic Phase | History of thrombocytosis with mutations JAK2 (50%), MPL or CALR (5%) |
| Chromic myeloid leukemia, Fibrotic Phase | History of CML with BCR-ABL1+ |
| MDS with Fibrosis | History of cytopenia and dysplastic features in marrow |
| Systemic mastocytosis | Atypical mast infiltrate with C-kit D816V mutation |
| Hairy cell leukemia | Diffuse Clonal B cells with B-raf mutation |
| Hodgkin Lymphoma with marrow fibrosis | Granulomatous changes with Hodgkin cells infiltrate (CD30+) |
| Follicular lymphoma | Paratrabecular nodular, clonal B-cell with t(14;18)/bcl2-IgH |
| Other B-cell lymphomas | Diffuse or interstitial, clonal B-cell infiltrate |
| Osteosclerotic plasma cells myeloma | Plasma cells with immunoglobulin light chain restriction |
3.1. Acute Megakaryoblastic Leukemia
3.2. Primary Myelofibrosis (PMF)
- (a)
- Major: (1) Atypical densely clustered megakaryocytic hyperplasia with either fibrosis (MF-2 or 3) (fibrotic phase) or hypercellular marrow with granulocytic hyperplasia (cellular phase); (2) Does not meet criteria for PV, CML, MDS or other myeloid neoplasms; (3) Presence of JAK2 V617F or other clonal marker (e.g., MPL W515K/L or CALR), or if no clonal marker, exclusion of secondary causes of fibrosis.
- (b)
- Minor: Splenomegaly, Leukoerythroblastosis, Anemia, and increase serum LDH.
3.3. Acute Panmyelosis with Myelofibrosis (APMF)
4. Conclusions
Acknowledgments
Conflicts of Interest
References
- Kuter, D.J.; Bain, B.; Mufti, G.; Bagg, A.; Hasserjian, R.P. Bone marrow fibrosis: Pathophysiology and clinical significance of increased bone marrow stromal fibres. Br. J. Haematol. 2007, 139, 351–362. [Google Scholar] [CrossRef] [PubMed]
- Vardiman, J.W.; Thiele, J.; Arber, D.A.; Brunning, R.D.; Borowitz, M.J.; Porwit, A.; Harris, N.L.; Le Beau, M.M.; Hellstrom-Lindberg, E.; Tefferi, A.; et al. The 2008 revision of the World Health Organization (WHO) classification of myeloid neoplasms and acute leukemia: Rationale and important changes. Blood 2009, 114, 937–951. [Google Scholar] [CrossRef] [PubMed]
- Thiele, J.; Kvasnicka, H.M.; Facchetti, F.; Franco, V.; van der Walt, J.; Orazi, A. European consensus on grading bone marrow fibrosis and assessment of cellularity. Haematologica 2005, 90, 1128–1132. [Google Scholar] [PubMed]
- Sultan, C.; Sigaux, F.; Imbert, M.; Reyes, F. Acute myelodysplasia with myelofibrosis: A report of eight cases. Br. J. Haematol. 1981, 49, 11–16. [Google Scholar] [CrossRef] [PubMed]
- Shehata, M.; Schwarzmeier, J.D.; Hilgarth, M.; Hubmann, R.; Duechler, M.; Gisslinger, H. TGF-beta1 induces bone marrow reticulin fibrosis in hairy cell leukemia. J. Clin. Investig. 2004, 113, 676–685. [Google Scholar] [CrossRef] [PubMed]
- Bae, E.; Park, C.J.; Cho, Y.U.; Seo, E.J.; Chi, H.S.; Jang, S.; Lee, K.H.; Lee, J.H.; Lee, J.H.; Suh, J.J.; et al. Differential diagnosis of myelofibrosis based on WHO 2008 criteria: Acute panmyelosis with myelofibrosis, acute megakaryoblastic leukemia with myelofibrosis, primary myelofibrosis and myelodysplastic syndrome with myelofibrosis. Int. J. Lab. Hematol. 2013, 35, 629–636. [Google Scholar] [CrossRef] [PubMed]
- Sato, T.; Matsunaga, T.; Kida, M.; Morii, K.; Machida, T.; Kawano, Y.; Nakamura, K.; Kuribayashi, K.; Takada, K.; Iyama, S.; et al. Interleukin-11 as an osteoprotegerin-inducing factor in culture medium of blastic cells from a patient with acute megakaryocytic leukemia complicated with osteosclerosis. Am. J. Hematol. 2004, 77, 62–66. [Google Scholar] [CrossRef] [PubMed]
- Jung, S.I.; Cho, H.S.; Lee, C.H.; Kim, K.D.; Ha, J.O.; Kim, M.K.; Lee, K.H.; Hyun, M.S. Two cases of trisomy 19 as a sole chromosomal abnormality in myeloid disorders. Korean J. Lab. Med. 2008, 28, 174–178. [Google Scholar] [CrossRef] [PubMed][Green Version]
- Alvarez, S.; MacGrogan, D.; Calasanz, M.J.; Nimer, S.D.; Jhanwar, S.C. Frequent gain of chromosome 19 in megakaryoblastic leukemias detected by comparative genomic hybridization. Genes Chromosom. Cancer 2001, 32, 285–293. [Google Scholar] [CrossRef] [PubMed]
- Nimer, S.D.; MacGrogan, D.; Jhanwar, S.; Alvarez, S. Chromosome 19 abnormalities are commonly seen in AML, M7. Blood 2002, 100, 3838. [Google Scholar] [CrossRef] [PubMed]
- Vincent Rajkumar, S. Multiple myeloma: 2014 Update on diagnosis, risk-stratification, and management. Am. J. Hematol. 2014, 89, 999–1009. [Google Scholar] [PubMed]
- Janin, A.; Nelken, B.; Dufour, S.; Sault, M.C.; Taboureau, O.; Zandecki, M.; Gosselin, B. Acute monoblastic leukemia with osteosclerosis and extensive myelofibrosis. Am. J. Pediatr. Hematol. Oncol. 1988, 10, 319–322. [Google Scholar] [CrossRef] [PubMed]
- Ward, D.E.; Fondaw, M.B.; Shroff, S.K.; Reddy, V.S.; Khaled, Y.A. Diffuse osteosclerosis-associated acute myeloid leukemia. J. Clin. Oncol. 2012, 30, e3–e4. [Google Scholar] [CrossRef] [PubMed]
- Fu, B.; Jaso, J.M.; Sargent, R.L.; Goswami, M.; Verstovsek, S.; Medeiros, L.J.; Wang, S.A. Bone marrow fibrosis in patients with primary myelodysplastic syndromes has prognostic value using current therapies and new risk stratification systems. Mod. Pathol. 2014, 27, 681–689. [Google Scholar] [CrossRef] [PubMed]
- Arber, D.A.; Brunning, R.D.; Le Beau, B.; Falini, B.; Vardiman, J.W.; Porwit, A.; Thiele, J.; Bloomfield, C.D. Acute myeloid leukaemia, not otherwise specified. In WHO Classification of Tumours of Hematopoietic and Lymphoid Tissue; Swerdlow, S.H., Campo, E., Harris, N.L., Jaffe, E.S., Pileri, S.A., Stein, H., Thiele, J., Vardiman, J.W., Eds.; IARC Press: Lyon, France, 2008; pp. 136–144. [Google Scholar]
- Tefferi, A. Primary myelofibrosis: 2014 update on diagnosis, risk-stratification, and management. Am. J. Hematol. 2014, 89, 915–925. [Google Scholar] [CrossRef] [PubMed]
- Le Bousse-Kerdiles, M.C. Primary myelofibrosis and the “bad seeds in bad soil” concept. Fibrogenesis Tissue Repair 2012, 5, S20. [Google Scholar] [PubMed]
- Varricchio, L.; Mancini, A.; Migliaccio, A.R. Pathological interactions between hematopoietic stem cells and their niche revealed by mouse models of primary myelofibrosis. Expert Rev. Hematol. 2009, 2, 315–334. [Google Scholar] [CrossRef] [PubMed]
- Tefferi, A.; Lasho, T.L.; Jimma, T.; Finke, C.M.; Gangat, N.; Vaidya, R.; Begna, K.H.; Al-Kali, A.; Ketterling, R.P.; Hanson, C.A.; et al. One thousand patients with primary myelofibrosis: The mayo clinic experience. Mayo Clin. Proc. 2012, 87, 25–33. [Google Scholar] [CrossRef] [PubMed]
- Orazi, A.; O’Malley, D.P.; Jiang, J.; Vance, G.H.; Thomas, J.; Czader, M.; Fang, W.; An, C.; Banks, P.M. Acute panmyelosis with myelofibrosis: An entity distinct from acute megakaryoblastic leukemia. Mod. Pathol. 2005, 18, 603–614. [Google Scholar] [CrossRef] [PubMed]
- Chatterjee, T.; Gupta, S.; Sharma, A.; Sharma, S.; Gupta, D. Acute panmyelosis with myelofibrosis—A rare subtype of acute myeloid leukemia. Mediterr. J. Hematol. Infect. Dis. 2013, 5, e2013042. [Google Scholar] [CrossRef] [PubMed]
- Gangat, N.; Patnaik, M.M.; Zhang, B. Comparison of acute panmyelosis with myelofibrosis and acute megakaryoblastic leukemia: A Mayo clinic study. Blood 2014, 124, 959. [Google Scholar]
- Tefferi, A. Pathogenesis of myelofibrosis with myeloid metaplasia. J. Clin. Oncol. 2005, 23, 8520–8530. [Google Scholar] [CrossRef] [PubMed]
- Douglas, V.K.; Tallman, M.S.; Cripe, L.D.; Peterson, L.C. Thrombopoietin administered during induction chemotherapy to patients with acute myeloid leukemia induces transient morphologic changes that may resemble chronic myeloproliferative disorders. Am. J. Clin. Pathol. 2002, 117, 844–850. [Google Scholar] [CrossRef] [PubMed]
- Aljinovic, N.; Bogusz, A.M.; Kantarci, S.; Buck, T.P.; Dewar, R. An unusual case of Philadelphia chromosome-positive chronic myelogenous leukemia with trisomy 19 presenting with megakaryoblastosis and myelofibrosis. Arch. Pathol. Lab. Med. 2013, 137, 1147–1151. [Google Scholar] [CrossRef] [PubMed]
© 2015 by the authors; licensee MDPI, Basel, Switzerland. This article is an open access article distributed under the terms and conditions of the Creative Commons by Attribution (CC-BY) license (http://creativecommons.org/licenses/by/4.0/).
Share and Cite
Stelling, A.; Jonas, B.A.; Rashidi, H.H.; Abedi, M.; Chen, M. Acute Myeloid Leukemia with Isolated Trisomy 19 Associated with Diffuse Myelofibrosis and Osteosclerosis. Cancers 2015, 7, 2459-2465. https://doi.org/10.3390/cancers7040903
Stelling A, Jonas BA, Rashidi HH, Abedi M, Chen M. Acute Myeloid Leukemia with Isolated Trisomy 19 Associated with Diffuse Myelofibrosis and Osteosclerosis. Cancers. 2015; 7(4):2459-2465. https://doi.org/10.3390/cancers7040903
Chicago/Turabian StyleStelling, Adam, Brian A. Jonas, Hooman H. Rashidi, Mehrdad Abedi, and Mingyi Chen. 2015. "Acute Myeloid Leukemia with Isolated Trisomy 19 Associated with Diffuse Myelofibrosis and Osteosclerosis" Cancers 7, no. 4: 2459-2465. https://doi.org/10.3390/cancers7040903
APA StyleStelling, A., Jonas, B. A., Rashidi, H. H., Abedi, M., & Chen, M. (2015). Acute Myeloid Leukemia with Isolated Trisomy 19 Associated with Diffuse Myelofibrosis and Osteosclerosis. Cancers, 7(4), 2459-2465. https://doi.org/10.3390/cancers7040903

