Radiological, Radiomics, and Metastatic Patterns Associated with Targetable Oncogenic Drivers on CT-Scan of Newly Diagnosed NSCLC Patients: A Comprehensive Radiogenomics Review
Simple Summary
Abstract
1. Introduction
2. Recommended Molecular Screening at Baseline in Patients with Newly Diagnosed Lung Adenocarcinoma
2.1. Indication for Molecular Screening in Latest Guidelines
2.2. Samples and Techniques for Molecular Screening
2.3. First-Line Validated Tyrosine Kinase Inhibitor Treatments for Driver Mutations Identified on Initial Molecular Screening
3. Radiological, Radiomics, and Metastatic Profiles per Main Oncogenic Drivers
3.1. EFGR-Altered NSCLCs
3.1.1. General Epidemiological, Histological, and Molecular Data
3.1.2. Radiological Characteristics of the Primary Lung Lesion in EGFR-Altered LUAD
3.1.3. Single-Site Radiomics Signature of the Primary Lung Lesion in EGFR-Altered LUAD
3.1.4. Metastatic Pattern in EGFR-Altered LUAD
3.2. ALK-Altered NSCLCs
3.2.1. General Epidemiological, Histological, and Molecular Data
3.2.2. Radiological Characteristics of the Primary Lung Lesion in ALK-Altered LUAD
3.2.3. Single-Site Radiomics Signature of the Primary Lung Lesion in ALK-Altered LUAD
3.2.4. Metastatic Pattern in ALK-Altered LUAD
3.3. KRAS-Altered NSCLC
3.3.1. General Epidemiological, Histological, and Molecular Data
3.3.2. Radiological Characteristics of the Primary Lung Lesion in KRAS-Altered LUAD
3.3.3. Single-Site Radiomics Signature of the Primary Lung Lesion in KRAS-Altered LUAD
3.3.4. Metastatic Pattern in KRAS-Altered LUAD
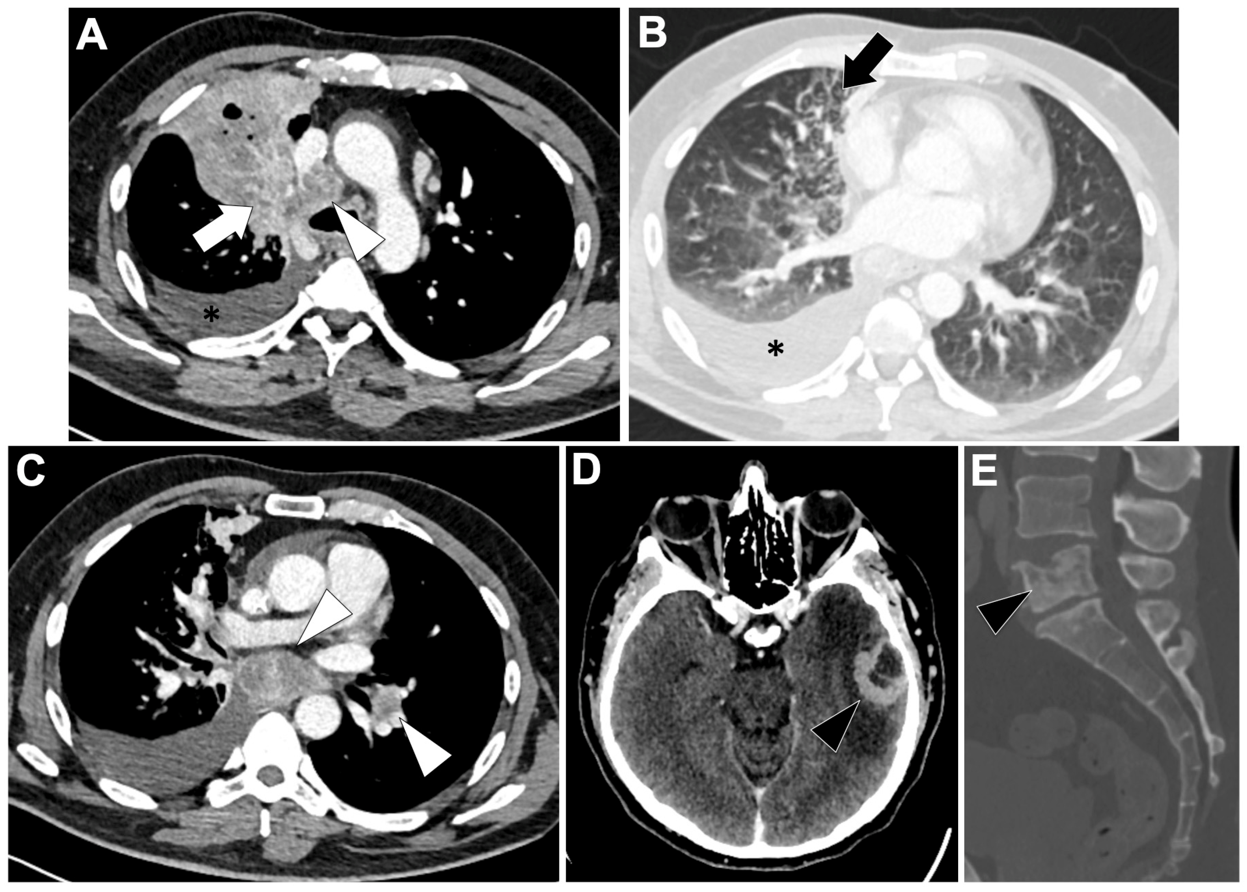
3.4. ROS1-Altered NSCLC (Figure 4)
3.4.1. General Epidemiological, Histological, and Molecular Data

3.4.2. Radiological Characteristics of the Primary Lung Lesion in ROS1-Altered LUAD
3.4.3. Metastatic Pattern in ROS1-Altered LUAD
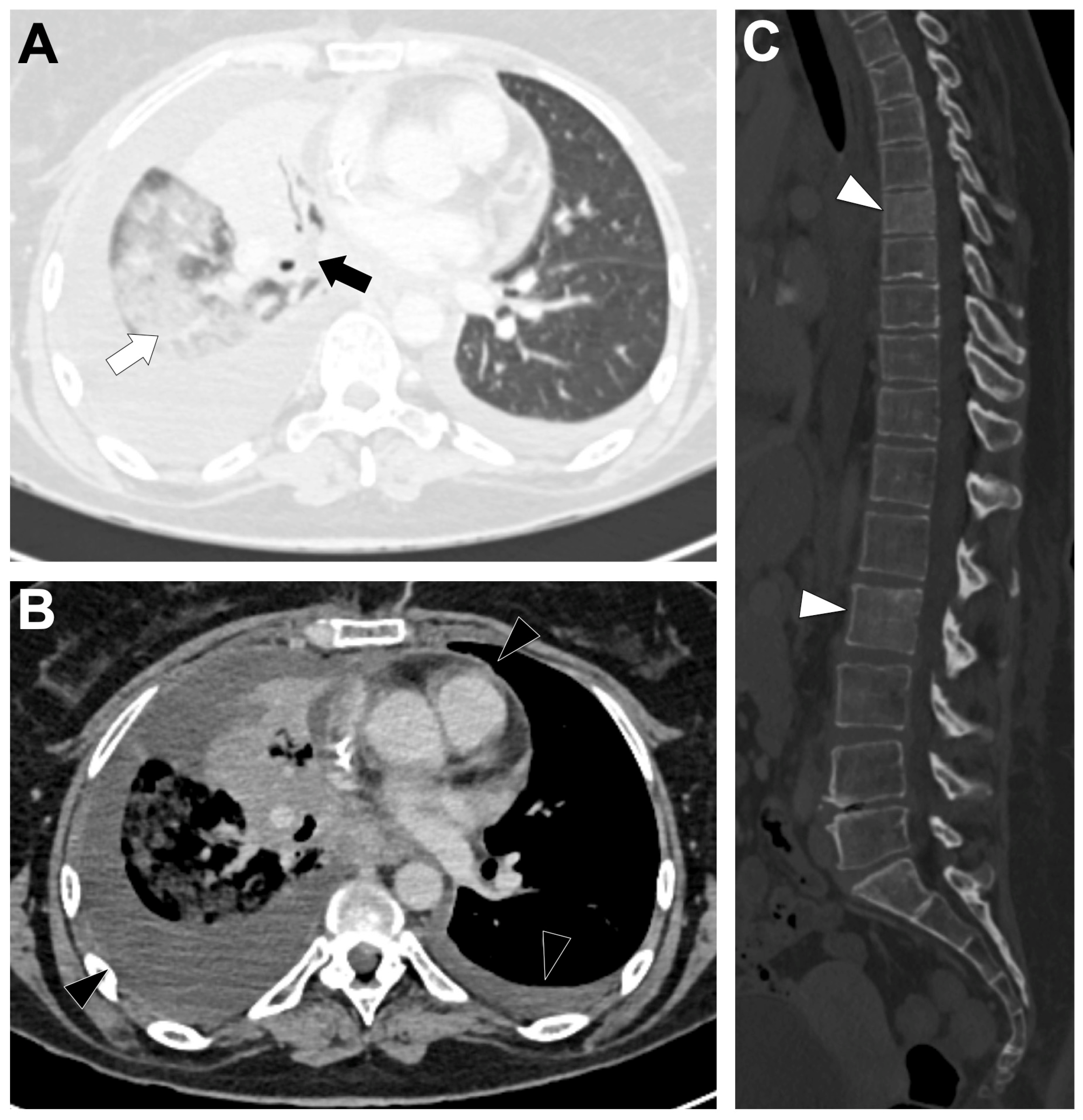
3.5. RET-Altered NSCLC (Figure 5)
3.5.1. General Epidemiological, Histological, and Molecular Data

3.5.2. Radiological Characteristics of the Primary Lung Lesion in RET-Altered LUAD
3.5.3. Metastatic Pattern in RET-Altered LUAD
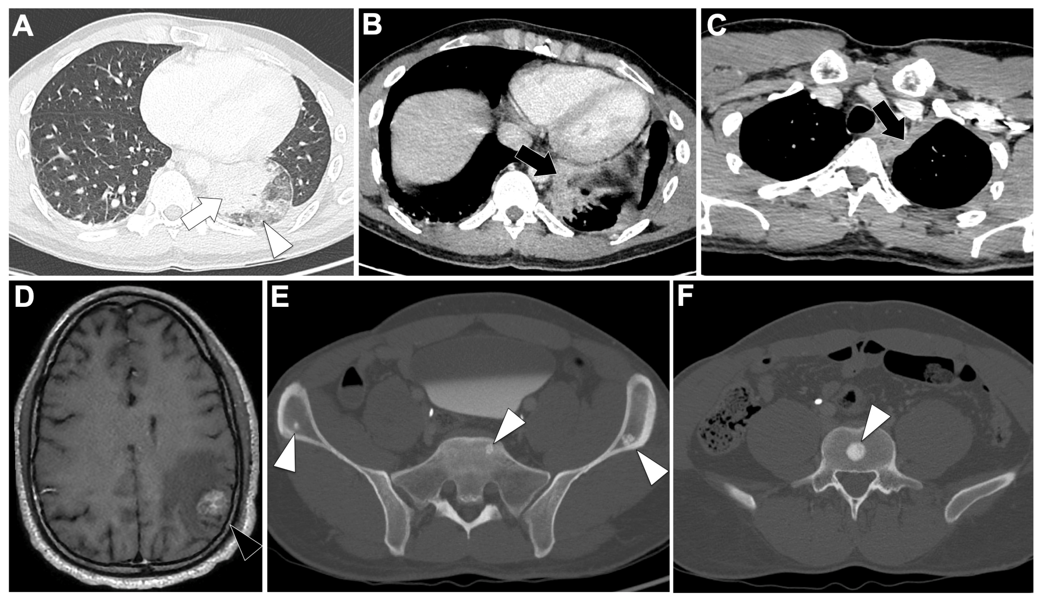
3.6. MET Exon 14-Altered NSCLC (Figure 6)
3.6.1. General Epidemiological, Histological, and Molecular Data

3.6.2. Radiological Characteristics of the Primary Lung Lesion in MET Exon 14-Altered LUAD
3.6.3. Metastatic Pattern in MET Exon 14-Altered LUAD
3.7. BRAF-Altered NSCLC (Figure 7)
3.7.1. General Epidemiological, Histological, and Molecular Data

3.7.2. Radiological Characteristics of the Primary Lung Lesion in BRAF-Altered LUAD
3.7.3. Metastatic Pattern in BRAF-Altered LUAD
3.8. HER2-Altered NSCLC (Figure 8)
3.8.1. General Epidemiological, Histological, and Molecular Data

3.8.2. Radiological Characteristics of the Primary Lung Lesion in HER2-Altered LUAD
3.8.3. Metastatic Pattern in HER2-Altered LUAD
3.9. NTRK-Altered NSCLC (Figure 9)
3.9.1. General Epidemiological, Histological, and Molecular Data

3.9.2. Radiological Characteristics of the Primary Lung Lesion in NTRK-Altered LUAD
3.9.3. Metastatic Pattern in NTRK-Altered LUAD
3.10. Comparative Analysis of Oncogenic Addictions in NSCLC
3.10.1. According to Patient-Related Factors (Table 1)
3.10.2. According to Local Radiological Characteristics of the Primary Tumor (Table 2)
3.10.3. According to Metastatic Dissemination Patterns (Table 2)
4. Conclusions
Supplementary Materials
Author Contributions
Funding
Institutional Review Board Statement
Informed Consent Statement
Data Availability Statement
Acknowledgments
Conflicts of Interest
Abbreviations
| 18F-FDG PET/CT | 18-fluorodeoxyglucose positron emission tomography/computed tomography |
| AI | artificial intelligence |
| ALK | anaplastic lymphoma kinase rearrangements |
| BRAF | B-Raf proto-oncogene mutations |
| CE | contrast-enhanced |
| 95%CI | 95% confidence interval |
| ctDNA | circulating tumor DNA |
| EGFR | epidermal growth factor receptor alterations |
| GGO | ground-glass opacity |
| HER2 | human epidermal growth factor receptor 2 alterations |
| HR | hazard ratio |
| IBSI | Imaging Biomarker Standardization Initiative |
| IHC | immunohistochemistry |
| KRAS | Kirsten rat sarcoma viral oncogene homolog mutations |
| LUAD | lung adenocarcinoma |
| MET | mesenchymal-epithelial transition factor alterations |
| NGS | next-generation sequencing |
| NTRK | neurotrophic tyrosine receptor kinase fusions |
| NSCLC | non-small cell lung cancer |
| ORR | objective response rate |
| PFS | progression-free survival |
| RET | rearranged during transfection fusions |
| RQS | radiomics quality score |
| ROS1 | ROS proto-oncogene 1 rearrangements |
| TMB | tumor mutational burden |
| TKI | tyrosine kinase inhibitor |
| OS | overall survival |
References
- Ganti, A.K.; Klein, A.B.; Cotarla, I.; Seal, B.; Chou, E. Update of Incidence, Prevalence, Survival, and Initial Treatment in Patients With Non-Small Cell Lung Cancer in the US. JAMA Oncol. 2021, 7, 1824–1832. [Google Scholar] [CrossRef]
- Kratzer, T.B.; Bandi, P.; Freedman, N.D.; Smith, R.A.; Travis, W.D.; Jemal, A.; Siegel, R.L. Lung Cancer Statistics, 2023. Cancer 2024, 130, 1330–1348. [Google Scholar] [CrossRef] [PubMed]
- Lindeman, N.I.; Cagle, P.T.; Aisner, D.L.; Arcila, M.E.; Beasley, M.B.; Bernicker, E.H.; Colasacco, C.; Dacic, S.; Hirsch, F.R.; Kerr, K.; et al. Updated Molecular Testing Guideline for the Selection of Lung Cancer Patients for Treatment With Targeted Tyrosine Kinase Inhibitors: Guideline From the College of American Pathologists, the International Association for the Study of Lung Cancer, and the Association for Molecular Pathology. J. Thorac. Oncol. 2018, 13, 323–358. [Google Scholar] [CrossRef] [PubMed]
- Tan, A.C.; Tan, D.S.W. Targeted Therapies for Lung Cancer Patients With Oncogenic Driver Molecular Alterations. J. Clin. Oncol. 2022, 40, 611–625. [Google Scholar] [CrossRef] [PubMed]
- Uozu, S.; Imaizumi, K.; Yamaguchi, T.; Goto, Y.; Kawada, K.; Minezawa, T.; Okamura, T.; Akao, K.; Hayashi, M.; Isogai, S.; et al. Feasibility of Tissue Re-Biopsy in Non-Small Cell Lung Cancers Resistant to Previous Epidermal Growth Factor Receptor Tyrosine Kinase Inhibitor Therapies. BMC Pulm. Med. 2017, 17, 175. [Google Scholar] [CrossRef]
- Li, W.; Li, Y.; Guo, L.; Liu, Y.; Yang, L.; Ying, J. Metastatic NSCLCs With Limited Tissues: How to Effectively Identify Driver Alterations to Guide Targeted Therapy in Chinese Patients. JTO Clin. Res. Rep. 2021, 2, 100167. [Google Scholar] [CrossRef]
- Liam, C.-K.; Mallawathantri, S.; Fong, K.M. Is Tissue Still the Issue in Detecting Molecular Alterations in Lung Cancer? Respirology 2020, 25, 933–943. [Google Scholar] [CrossRef]
- Patel, Y.P.; Husereau, D.; Leighl, N.B.; Melosky, B.; Nam, J. Health and Budget Impact of Liquid-Biopsy-Based Comprehensive Genomic Profile (CGP) Testing in Tissue-Limited Advanced Non-Small Cell Lung Cancer (aNSCLC) Patients. Curr. Oncol. 2021, 28, 5278–5294. [Google Scholar] [CrossRef]
- Hendriks, L.E.; Kerr, K.M.; Menis, J.; Mok, T.S.; Nestle, U.; Passaro, A.; Peters, S.; Planchard, D.; Smit, E.F.; Solomon, B.J.; et al. Oncogene-Addicted Metastatic Non-Small-Cell Lung Cancer: ESMO Clinical Practice Guideline for Diagnosis, Treatment and Follow-Up. Ann. Oncol. 2023, 34, 339–357. [Google Scholar] [CrossRef]
- Reuss, J.E.; Kuruvilla, S.; Ismaila, N.; Azar, I.H.; Feldman, J.; Furuya, N.; Wheatley-Price, P.; Roof, L.; Velazquez, A.I.; Wang, Y.; et al. Therapy for Stage IV Non-Small Cell Lung Cancer With Driver Alterations: ASCO Living Guideline, Version 2025.1. J. Clin. Oncol. 2025, 43, e31–e44. [Google Scholar] [CrossRef]
- Eisenhauer, E.A.; Therasse, P.; Bogaerts, J.; Schwartz, L.H.; Sargent, D.; Ford, R.; Dancey, J.; Arbuck, S.; Gwyther, S.; Mooney, M.; et al. New Response Evaluation Criteria in Solid Tumours: Revised RECIST Guideline (Version 1.1). Eur. J. Cancer 2009, 45, 228–247. [Google Scholar] [CrossRef] [PubMed]
- Seymour, L.; Bogaerts, J.; Perrone, A.; Ford, R.; Schwartz, L.H.; Mandrekar, S.; Lin, N.U.; Litière, S.; Dancey, J.; Chen, A.; et al. iRECIST: Guidelines for Response Criteria for Use in Trials Testing Immunotherapeutics. Lancet Oncol. 2017, 18, e143–e152, Erratum in Lancet Oncol. 2017, 18, e242. [Google Scholar] [CrossRef] [PubMed]
- Gillies, R.J.; Kinahan, P.E.; Hricak, H. Radiomics: Images Are More than Pictures, They Are Data. Radiology 2016, 278, 563–577. [Google Scholar] [CrossRef] [PubMed]
- Lambin, P.; Leijenaar, R.T.H.; Deist, T.M.; Peerlings, J.; de Jong, E.E.C.; van Timmeren, J.; Sanduleanu, S.; Larue, R.T.H.M.; Even, A.J.G.; Jochems, A.; et al. Radiomics: The Bridge between Medical Imaging and Personalized Medicine. Nat. Rev. Clin. Oncol. 2017, 14, 749–762. [Google Scholar] [CrossRef]
- Zwanenburg, A.; Vallières, M.; Abdalah, M.A.; Aerts, H.J.W.L.; Andrearczyk, V.; Apte, A.; Ashrafinia, S.; Bakas, S.; Beukinga, R.J.; Boellaard, R.; et al. The Image Biomarker Standardization Initiative: Standardized Quantitative Radiomics for High-Throughput Image-Based Phenotyping. Radiology 2020, 295, 328–338. [Google Scholar] [CrossRef]
- Tsuboi, M.; Herbst, R.S.; John, T.; Kato, T.; Majem, M.; Grohé, C.; Wang, J.; Goldman, J.W.; Lu, S.; Su, W.-C.; et al. Overall Survival with Osimertinib in Resected EGFR-Mutated NSCLC. N. Engl. J. Med. 2023, 389, 137–147. [Google Scholar] [CrossRef]
- Wu, Y.-L.; Dziadziuszko, R.; Ahn, J.S.; Barlesi, F.; Nishio, M.; Lee, D.H.; Lee, J.-S.; Zhong, W.; Horinouchi, H.; Mao, W.; et al. Alectinib in Resected ALK-Positive Non-Small-Cell Lung Cancer. N. Engl. J. Med. 2024, 390, 1265–1276. [Google Scholar] [CrossRef]
- García-Pardo, M.; Czarnecka-Kujawa, K.; Law, J.H.; Salvarrey, A.M.; Fernandes, R.; Fan, Z.J.; Waddell, T.K.; Yasufuku, K.; Liu, G.; Donahoe, L.L.; et al. Association of Circulating Tumor DNA Testing Before Tissue Diagnosis with Time to Treatment Among Patients With Suspected Advanced Lung Cancer: The ACCELERATE Nonrandomized Clinical Trial. JAMA Netw. Open 2023, 6, e2325332. [Google Scholar] [CrossRef]
- Planchard, D.; Jänne, P.A.; Cheng, Y.; Yang, J.C.-H.; Yanagitani, N.; Kim, S.-W.; Sugawara, S.; Yu, Y.; Fan, Y.; Geater, S.L.; et al. Osimertinib with or without Chemotherapy in EGFR-Mutated Advanced NSCLC. N. Engl. J. Med. 2023, 389, 1935–1948. [Google Scholar] [CrossRef]
- Jänne, P.A.; Planchard, D.; Kobayashi, K.; Yang, J.C.-H.; Liu, Y.; Valdiviezo, N.; Kim, T.M.; Jiang, L.; Kagamu, H.; Yanagitani, N.; et al. Survival with Osimertinib plus Chemotherapy in EGFR-Mutated Advanced NSCLC. N. Engl. J. Med. 2025, 394, 29–38. [Google Scholar] [CrossRef]
- Cho, B.C.; Lu, S.; Felip, E.; Spira, A.I.; Girard, N.; Lee, J.-S.; Lee, S.-H.; Ostapenko, Y.; Danchaivijitr, P.; Liu, B.; et al. Amivantamab plus Lazertinib in Previously Untreated EGFR-Mutated Advanced NSCLC. N. Engl. J. Med. 2024, 391, 1486–1498. [Google Scholar] [CrossRef] [PubMed]
- Zhou, C.; Tang, K.-J.; Cho, B.C.; Liu, B.; Paz-Ares, L.; Cheng, S.; Kitazono, S.; Thiagarajan, M.; Goldman, J.W.; Sabari, J.K.; et al. Amivantamab plus Chemotherapy in NSCLC with EGFR Exon 20 Insertions. N. Engl. J. Med. 2023, 389, 2039–2051. [Google Scholar] [CrossRef] [PubMed]
- Midha, A.; Dearden, S.; McCormack, R. EGFR Mutation Incidence in Non-Small-Cell Lung Cancer of Adenocarcinoma Histology: A Systematic Review and Global Map by Ethnicity (mutMapII). Am. J. Cancer Res. 2015, 5, 2892–2911. [Google Scholar] [PubMed]
- Leduc, C.; Merlio, J.P.; Besse, B.; Blons, H.; Debieuvre, D.; Bringuier, P.P.; Monnet, I.; Rouquette, I.; Fraboulet-Moreau, S.; Lemoine, A.; et al. Clinical and Molecular Characteristics of Non-Small-Cell Lung Cancer (NSCLC) Harboring EGFR Mutation: Results of the Nationwide French Cooperative Thoracic Intergroup (IFCT) Program. Ann. Oncol. 2017, 28, 2715–2724. [Google Scholar] [CrossRef]
- Lv, J.; Zhang, H.; Ma, J.; Ma, Y.; Gao, G.; Song, Z.; Yang, Y. Comparison of CT Radiogenomic and Clinical Characteristics between EGFR and KRAS Mutations in Lung Adenocarcinomas. Clin. Radiol. 2018, 73, 590.e1–590.e8. [Google Scholar] [CrossRef]
- Liu, Y.; Kim, J.; Qu, F.; Liu, S.; Wang, H.; Balagurunathan, Y.; Ye, Z.; Gillies, R.J. CT Features Associated with Epidermal Growth Factor Receptor Mutation Status in Patients with Lung Adenocarcinoma. Radiology 2016, 280, 271–280. [Google Scholar] [CrossRef]
- Chen, Z.; Liu, X.; Zhao, J.; Yang, H.; Teng, X. Correlation of EGFR Mutation and Histological Subtype According to the IASLC/ATS/ERS Classification of Lung Adenocarcinoma. Int. J. Clin. Exp. Pathol. 2014, 7, 8039–8045. [Google Scholar]
- Villa, C.; Cagle, P.T.; Johnson, M.; Patel, J.D.; Yeldandi, A.V.; Raj, R.; DeCamp, M.M.; Raparia, K. Correlation of EGFR Mutation Status with Predominant Histologic Subtype of Adenocarcinoma According to the New Lung Adenocarcinoma Classification of the International Association for the Study of Lung Cancer/American Thoracic Society/European Respiratory Society. Arch. Pathol. Lab. Med. 2014, 138, 1353–1357. [Google Scholar] [CrossRef]
- Arcila, M.E.; Nafa, K.; Chaft, J.E.; Rekhtman, N.; Lau, C.; Reva, B.A.; Zakowski, M.F.; Kris, M.G.; Ladanyi, M. EGFR Exon 20 Insertion Mutations in Lung Adenocarcinomas: Prevalence, Molecular Heterogeneity, and Clinicopathologic Characteristics. Mol. Cancer Ther. 2013, 12, 220–229. [Google Scholar] [CrossRef]
- Lynch, T.J.; Bell, D.W.; Sordella, R.; Gurubhagavatula, S.; Okimoto, R.A.; Brannigan, B.W.; Harris, P.L.; Haserlat, S.M.; Supko, J.G.; Haluska, F.G.; et al. Activating Mutations in the Epidermal Growth Factor Receptor Underlying Responsiveness of Non-Small-Cell Lung Cancer to Gefitinib. N. Engl. J. Med. 2004, 350, 2129–2139. [Google Scholar] [CrossRef]
- Soria, J.-C.; Ohe, Y.; Vansteenkiste, J.; Reungwetwattana, T.; Chewaskulyong, B.; Lee, K.H.; Dechaphunkul, A.; Imamura, F.; Nogami, N.; Kurata, T.; et al. Osimertinib in Untreated EGFR-Mutated Advanced Non-Small-Cell Lung Cancer. N. Engl. J. Med. 2018, 378, 113–125. [Google Scholar] [CrossRef] [PubMed]
- Ramalingam, S.S.; Vansteenkiste, J.; Planchard, D.; Cho, B.C.; Gray, J.E.; Ohe, Y.; Zhou, C.; Reungwetwattana, T.; Cheng, Y.; Chewaskulyong, B.; et al. Overall Survival with Osimertinib in Untreated, EGFR-Mutated Advanced NSCLC. N. Engl. J. Med. 2020, 382, 41–50. [Google Scholar] [CrossRef] [PubMed]
- Gallina, F.T.; Marinelli, D.; Tajè, R.; Visca, P.; Cecere, F.L.; Landi, L.; Buglioni, S.; Forcella, D.; Melis, E.; Najmeh, S.; et al. TP53 Co-Mutations Increase Risk of Recurrence in EGFR-Mutated Stage I Lung Adenocarcinoma. Eur. J. Cancer 2025, 227, 115622. [Google Scholar] [CrossRef] [PubMed]
- To, K.K.W.; Fong, W.; Cho, W.C.S. Immunotherapy in Treating EGFR-Mutant Lung Cancer: Current Challenges and New Strategies. Front. Oncol. 2021, 11, 635007. [Google Scholar] [CrossRef]
- Cheng, Z.; Shan, F.; Yang, Y.; Shi, Y.; Zhang, Z. CT Characteristics of Non-Small Cell Lung Cancer with Epidermal Growth Factor Receptor Mutation: A Systematic Review and Meta-Analysis. BMC Med. Imaging 2017, 17, 5. [Google Scholar] [CrossRef]
- Rizzo, S.; Petrella, F.; Buscarino, V.; De Maria, F.; Raimondi, S.; Barberis, M.; Fumagalli, C.; Spitaleri, G.; Rampinelli, C.; De Marinis, F.; et al. CT Radiogenomic Characterization of EGFR, K-RAS, and ALK Mutations in Non-Small Cell Lung Cancer. Eur. Radiol. 2016, 26, 32–42. [Google Scholar] [CrossRef]
- Lee, H.-J.; Kim, Y.T.; Kang, C.H.; Zhao, B.; Tan, Y.; Schwartz, L.H.; Persigehl, T.; Jeon, Y.K.; Chung, D.H. Epidermal Growth Factor Receptor Mutation in Lung Adenocarcinomas: Relationship with CT Characteristics and Histologic Subtypes. Radiology 2013, 268, 254–264. [Google Scholar] [CrossRef]
- Suda, K.; Mitsudomi, T.; Shintani, Y.; Okami, J.; Ito, H.; Ohtsuka, T.; Toyooka, S.; Mori, T.; Watanabe, S.-I.; Asamura, H.; et al. Clinical Impacts of EGFR Mutation Status: Analysis of 5780 Surgically Resected Lung Cancer Cases. Ann. Thorac. Surg. 2021, 111, 269–276. [Google Scholar] [CrossRef]
- Jia, T.-Y.; Xiong, J.-F.; Li, X.-Y.; Yu, W.; Xu, Z.-Y.; Cai, X.-W.; Ma, J.-C.; Ren, Y.-C.; Larsson, R.; Zhang, J.; et al. Identifying EGFR Mutations in Lung Adenocarcinoma by Noninvasive Imaging Using Radiomics Features and Random Forest Modeling. Eur. Radiol. 2019, 29, 4742–4750. [Google Scholar] [CrossRef]
- Wang, S.; Shi, J.; Ye, Z.; Dong, D.; Yu, D.; Zhou, M.; Liu, Y.; Gevaert, O.; Wang, K.; Zhu, Y.; et al. Predicting EGFR Mutation Status in Lung Adenocarcinoma on Computed Tomography Image Using Deep Learning. Eur. Respir. J. 2019, 53, 1800986. [Google Scholar] [CrossRef]
- Gong, J.; Fu, F.; Ma, X.; Wang, T.; Ma, X.; You, C.; Zhang, Y.; Peng, W.; Chen, H.; Gu, Y. Hybrid Deep Multi-Task Learning Radiomics Approach for Predicting EGFR Mutation Status of Non-Small Cell Lung Cancer in CT Images. Phys. Med. Biol. 2023, 68, 245021. [Google Scholar] [CrossRef] [PubMed]
- Ma, N.; Yang, W.; Wang, Q.; Cui, C.; Hu, Y.; Wu, Z. Predictive Value of 18F-FDG PET/CT Radiomics for EGFR Mutation Status in Non-Small Cell Lung Cancer: A Systematic Review and Meta-Analysis. Front. Oncol. 2024, 14, 1281572. [Google Scholar] [CrossRef] [PubMed]
- Kohan, A.; Hinzpeter, R.; Kulanthaivelu, R.; Mirshahvalad, S.A.; Avery, L.; Tsao, M.; Li, Q.; Ortega, C.; Metser, U.; Hope, A.; et al. Contrast Enhanced CT Radiogenomics in a Retrospective NSCLC Cohort: Models, Attempted Validation of a Published Model and the Relevance of the Clinical Context. Acad. Radiol. 2024, 31, 2953–2961. [Google Scholar] [CrossRef] [PubMed]
- Huang, L.; Xu, L.; Wang, X.; Zhang, G.; Gao, X.; Niu, L.; Wen, L. Prediction of EGFR Mutations in Lung Adenocarcinoma via CT Images: A Comparative Study of Intratumoral and Peritumoral Radiomics, Deep Learning, and Fusion Models. Acad. Radiol. 2025, 32, 4880–4892. [Google Scholar] [CrossRef]
- Hasegawa, M.; Sakai, F.; Ishikawa, R.; Kimura, F.; Ishida, H.; Kobayashi, K. CT Features of Epidermal Growth Factor Receptor–Mutated Adenocarcinoma of the Lung: Comparison with Nonmutated Adenocarcinoma. J. Thorac. Oncol. 2016, 11, 819–826. [Google Scholar] [CrossRef]
- Digumarthy, S.R.; Mendoza, D.P.; Padole, A.; Chen, T.; Peterson, P.G.; Piotrowska, Z.; Sequist, L.V. Diffuse Lung Metastases in EGFR-Mutant Non-Small Cell Lung Cancer. Cancers 2019, 11, 1360. [Google Scholar] [CrossRef]
- Togashi, Y.; Masago, K.; Kubo, T.; Sakamori, Y.; Kim, Y.H.; Hatachi, Y.; Fukuhara, A.; Mio, T.; Togashi, K.; Mishima, M. Association of Diffuse, Random Pulmonary Metastases, Including Miliary Metastases, with Epidermal Growth Factor Receptor Mutations in Lung Adenocarcinoma. Cancer 2011, 117, 819–825. [Google Scholar] [CrossRef]
- Hsu, F.; Nichol, A.; Toriumi, T.; De Caluwe, A. Miliary Metastases Are Associated with Epidermal Growth Factor Receptor Mutations in Non-Small Cell Lung Cancer: A Population-Based Study. Acta Oncol. 2017, 56, 1175–1180. [Google Scholar] [CrossRef]
- Iuchi, T.; Shingyoji, M.; Itakura, M.; Yokoi, S.; Moriya, Y.; Tamura, H.; Yoshida, Y.; Ashinuma, H.; Kawasaki, K.; Hasegawa, Y.; et al. Frequency of Brain Metastases in Non-Small-Cell Lung Cancer, and Their Association with Epidermal Growth Factor Receptor Mutations. Int. J. Clin. Oncol. 2015, 20, 674–679. [Google Scholar] [CrossRef]
- Han, G.; Bi, J.; Tan, W.; Wei, X.; Wang, X.; Ying, X.; Guo, X.; Zhou, X.; Hu, D.; Zhen, W. A Retrospective Analysis in Patients with EGFR-Mutant Lung Adenocarcinoma: Is EGFR Mutation Associated with a Higher Incidence of Brain Metastasis? Oncotarget 2016, 7, 56998–57010. [Google Scholar] [CrossRef]
- Kim, H.J.; Kang, S.H.; Chung, H.W.; Lee, J.S.; Kim, S.J.; Yoo, K.H.; Lee, K.Y. Clinical Features of Lung Adenocarcinomas with Epidermal Growth Factor Receptor Mutations and Miliary Disseminated Carcinomatosis. Thorac. Cancer 2015, 6, 629–635. [Google Scholar] [CrossRef]
- Sekine, A.; Kato, T.; Hagiwara, E.; Shinohara, T.; Komagata, T.; Iwasawa, T.; Satoh, H.; Tamura, K.; Kasamatsu, T.; Hayashihara, K.; et al. Metastatic Brain Tumors from Non-Small Cell Lung Cancer with EGFR Mutations: Distinguishing Influence of Exon 19 Deletion on Radiographic Features. Lung Cancer 2012, 77, 64–69. [Google Scholar] [CrossRef]
- Hsu, F.; De Caluwe, A.; Anderson, D.; Nichol, A.; Toriumi, T.; Ho, C. Patterns of Spread and Prognostic Implications of Lung Cancer Metastasis in an Era of Driver Mutations. Curr. Oncol. 2017, 24, 228–233. [Google Scholar] [CrossRef] [PubMed][Green Version]
- Chen, Z.-Y.; Zhong, W.-Z.; Zhang, X.-C.; Su, J.; Yang, X.-N.; Chen, Z.-H.; Yang, J.-J.; Zhou, Q.; Yan, H.-H.; An, S.-J.; et al. EGFR Mutation Heterogeneity and the Mixed Response to EGFR Tyrosine Kinase Inhibitors of Lung Adenocarcinomas. Oncologist 2012, 17, 978–985. [Google Scholar] [CrossRef] [PubMed]
- Lee, C.C.; Soon, Y.Y.; Tan, C.L.; Koh, W.Y.; Leong, C.N.; Tey, J.C.S.; Tham, I.W.K. Discordance of Epidermal Growth Factor Receptor Mutation between Primary Lung Tumor and Paired Distant Metastases in Non-Small Cell Lung Cancer: A Systematic Review and Meta-Analysis. PLoS ONE 2019, 14, e0218414. [Google Scholar] [CrossRef] [PubMed]
- Yamamoto, S.; Korn, R.L.; Oklu, R.; Migdal, C.; Gotway, M.B.; Weiss, G.J.; Iafrate, A.J.; Kim, D.-W.; Kuo, M.D. ALK Molecular Phenotype in Non-Small Cell Lung Cancer: CT Radiogenomic Characterization. Radiology 2014, 272, 568–576. [Google Scholar] [CrossRef]
- Mendoza, D.P.; Stowell, J.; Muzikansky, A.; Shepard, J.-A.O.; Shaw, A.T.; Digumarthy, S.R. Computed Tomography Imaging Characteristics of Non-Small-Cell Lung Cancer With Anaplastic Lymphoma Kinase Rearrangements: A Systematic Review and Meta-Analysis. Clin. Lung Cancer 2019, 20, 339–349. [Google Scholar] [CrossRef]
- Kim, T.-H.; Woo, S.; Yoon, S.H.; Halpenny, D.F.; Han, S.; Suh, C.H. CT Characteristics of Non-Small Cell Lung Cancer With Anaplastic Lymphoma Kinase Rearrangement: A Systematic Review and Meta-Analysis. AJR Am. J. Roentgenol. 2019, 213, 1059–1072. [Google Scholar] [CrossRef]
- Woo, J.H.; Kim, T.J.; Kim, T.S.; Han, J. CT Features and Disease Spread Patterns in ROS1-Rearranged Lung Adenocarcinomas: Comparison with Those of EGFR-Mutant or ALK-Rearranged Lung Adenocarcinomas. Sci. Rep. 2020, 10, 16251. [Google Scholar] [CrossRef]
- Dormieux, A.; Mezquita, L.; Cournede, P.H.; Remon, J.; Tazdait, M.; Lacroix, L.; Rouleau, E.; Adam, J.; Bluthgen, M.-V.; Facchinetti, F.; et al. Association of Metastatic Pattern and Molecular Status in Stage IV Non-Small Cell Lung Cancer Adenocarcinoma. Eur. Radiol. 2020, 30, 5021–5028. [Google Scholar] [CrossRef]
- Choi, C.-M.; Kim, M.Y.; Hwang, H.J.; Lee, J.B.; Kim, W.S. Advanced Adenocarcinoma of the Lung: Comparison of CT Characteristics of Patients with Anaplastic Lymphoma Kinase Gene Rearrangement and Those with Epidermal Growth Factor Receptor Mutation. Radiology 2015, 275, 272–279. [Google Scholar] [CrossRef] [PubMed]
- Yu, Y.; Ding, Z.; Zhu, L.; Teng, H.; Lu, S. Frequencies of ALK Rearrangements in Lung Adenocarcinoma Subtypes: A Study of 2299 Chinese Cases. Springerplus 2016, 5, 894. [Google Scholar] [CrossRef] [PubMed]
- Cognigni, V.; Pecci, F.; Lupi, A.; Pinterpe, G.; De Filippis, C.; Felicetti, C.; Cantini, L.; Berardi, R. The Landscape of ALK-Rearranged Non-Small Cell Lung Cancer: A Comprehensive Review of Clinicopathologic, Genomic Characteristics, and Therapeutic Perspectives. Cancers 2022, 14, 4765. [Google Scholar] [CrossRef] [PubMed]
- Solomon, B.; Varella-Garcia, M.; Camidge, D.R. ALK Gene Rearrangements: A New Therapeutic Target in a Molecularly Defined Subset of Non-Small Cell Lung Cancer. J. Thorac. Oncol. 2009, 4, 1450–1454. [Google Scholar] [CrossRef]
- Yanagimura, N.; Takeuchi, S.; Fukuda, K.; Arai, S.; Tanimoto, A.; Nishiyama, A.; Ogo, N.; Takahashi, H.; Asai, A.; Watanabe, S.; et al. STAT3 Inhibition Suppresses Adaptive Survival of ALK-Rearranged Lung Cancer Cells through Transcriptional Modulation of Apoptosis. npj Precis. Oncol. 2022, 6, 11. [Google Scholar] [CrossRef]
- Xia, P.; Zhang, L.; Li, P.; Liu, E.; Li, W.; Zhang, J.; Li, H.; Su, X.; Jiang, G. Molecular Characteristics and Clinical Outcomes of Complex ALK Rearrangements Identified by Next-Generation Sequencing in Non-Small Cell Lung Cancers. J. Transl. Med. 2021, 19, 308. [Google Scholar] [CrossRef]
- Christopoulos, P.; Budczies, J.; Kirchner, M.; Dietz, S.; Sültmann, H.; Thomas, M.; Stenzinger, A. Defining Molecular Risk in ALK+ NSCLC. Oncotarget 2019, 10, 3093–3103. [Google Scholar] [CrossRef]
- Halpenny, D.F.; Riely, G.J.; Hayes, S.; Yu, H.; Zheng, J.; Moskowitz, C.S.; Ginsberg, M.S. Are There Imaging Characteristics Associated with Lung Adenocarcinomas Harboring ALK Rearrangements? Lung Cancer 2014, 86, 190–194. [Google Scholar] [CrossRef]
- Han, Y.; Feng, W.; Li, H.; Wang, H.; Ye, Z. Radiomic Features and Tumor Immune Microenvironment Associated with Anaplastic Lymphoma Kinase-Rearranged Lung Adenocarcinoma and Their Prognostic Value. Front. Genet. 2025, 16, 1581937. [Google Scholar] [CrossRef]
- Judd, J.; Karim, N.A.; Khan, H.; Naqash, A.R.; Baca, Y.; Xiu, J.; VanderWalde, A.M.; Mamdani, H.; Raez, L.E.; Nagasaka, M.; et al. Characterization of KRAS Mutation Subtypes in Non-Small Cell Lung Cancer. Mol. Cancer Ther. 2021, 20, 2577–2584. [Google Scholar] [CrossRef]
- Burns, T.F.; Borghaei, H.; Ramalingam, S.S.; Mok, T.S.; Peters, S. Targeting KRAS-Mutant Non-Small-Cell Lung Cancer: One Mutation at a Time, With a Focus on KRAS G12C Mutations. J. Clin. Oncol. 2020, 38, 4208–4218. [Google Scholar] [CrossRef] [PubMed]
- Riely, G.J.; Kris, M.G.; Rosenbaum, D.; Marks, J.; Li, A.; Chitale, D.A.; Nafa, K.; Riedel, E.R.; Hsu, M.; Pao, W.; et al. Frequency and Distinctive Spectrum of KRAS Mutations in Never Smokers with Lung Adenocarcinoma. Clin. Cancer Res. 2008, 14, 5731–5734. [Google Scholar] [CrossRef] [PubMed]
- Climent, C.; Soriano, S.; Lopez, N.; Giner, J.; Blazquez, M.C.; Carrera, R.; Sierra, M.; Cobo, P.; Fragio, M.; Busquets, M.; et al. Molecular Characterisation of KRAS Mutations in Non-Small Cell Lung Cancer across All Stages. Ecancermedicalscience 2025, 19, 1914. [Google Scholar] [CrossRef] [PubMed]
- Nadal, E.; Chen, G.; Prensner, J.R.; Shiratsuchi, H.; Sam, C.; Zhao, L.; Kalemkerian, G.P.; Brenner, D.; Lin, J.; Reddy, R.M.; et al. KRAS-G12C Mutation Is Associated with Poor Outcome in Surgically Resected Lung Adenocarcinoma. J. Thorac. Oncol. 2014, 9, 1513–1522. [Google Scholar] [CrossRef]
- Dy, G.K.; Govindan, R.; Velcheti, V.; Falchook, G.S.; Italiano, A.; Wolf, J.; Sacher, A.G.; Takahashi, T.; Ramalingam, S.S.; Dooms, C.; et al. Long-Term Outcomes and Molecular Correlates of Sotorasib Efficacy in Patients With Pretreated KRAS G12C-Mutated Non-Small-Cell Lung Cancer: 2-Year Analysis of CodeBreaK 100. J. Clin. Oncol. 2023, 41, 3311–3317. [Google Scholar] [CrossRef]
- Jänne, P.A.; Riely, G.J.; Gadgeel, S.M.; Heist, R.S.; Ou, S.-H.I.; Pacheco, J.M.; Johnson, M.L.; Sabari, J.K.; Leventakos, K.; Yau, E.; et al. Adagrasib in Non-Small-Cell Lung Cancer Harboring a KRASG12C Mutation. N. Engl. J. Med. 2022, 387, 120–131. [Google Scholar] [CrossRef]
- Park, J.; Kobayashi, Y.; Urayama, K.Y.; Yamaura, H.; Yatabe, Y.; Hida, T. Imaging Characteristics of Driver Mutations in EGFR, KRAS, and ALK among Treatment-Naïve Patients with Advanced Lung Adenocarcinoma. PLoS ONE 2016, 11, e0161081. [Google Scholar] [CrossRef]
- Wang, H.; Schabath, M.B.; Liu, Y.; Stringfield, O.; Balagurunathan, Y.; Heine, J.J.; Eschrich, S.A.; Ye, Z.; Gillies, R.J. Association Between Computed Tomographic Features and Kirsten Rat Sarcoma Viral Oncogene Mutations in Patients With Stage I Lung Adenocarcinoma and Their Prognostic Value. Clin. Lung Cancer 2016, 17, 271–278. [Google Scholar] [CrossRef]
- Wu, M.Y.; Zhang, E.W.; Strickland, M.R.; Mendoza, D.P.; Lipkin, L.; Lennerz, J.K.; Gainor, J.F.; Heist, R.S.; Digumarthy, S.R. Clinical and Imaging Features of Non-Small Cell Lung Cancer with G12C KRAS Mutation. Cancers 2021, 13, 3572. [Google Scholar] [CrossRef]
- Wang, J.; Lv, X.; Huang, W.; Quan, Z.; Li, G.; Wu, S.; Wang, Y.; Xie, Z.; Yan, Y.; Li, X.; et al. Establishment and Optimization of Radiomics Algorithms for Prediction of KRAS Gene Mutation by Integration of NSCLC Gene Mutation Mutual Exclusion Information. Front. Pharmacol. 2022, 13, 862581. [Google Scholar] [CrossRef]
- Dong, Y.; Hou, L.; Yang, W.; Han, J.; Wang, J.; Qiang, Y.; Zhao, J.; Hou, J.; Song, K.; Ma, Y.; et al. Multi-Channel Multi-Task Deep Learning for Predicting EGFR and KRAS Mutations of Non-Small Cell Lung Cancer on CT Images. Quant. Imaging Med. Surg. 2021, 11, 2354–2375. [Google Scholar] [CrossRef]
- Shiri, I.; Maleki, H.; Hajianfar, G.; Abdollahi, H.; Ashrafinia, S.; Hatt, M.; Zaidi, H.; Oveisi, M.; Rahmim, A. Next-Generation Radiogenomics Sequencing for Prediction of EGFR and KRAS Mutation Status in NSCLC Patients Using Multimodal Imaging and Machine Learning Algorithms. Mol. Imaging Biol. 2020, 22, 1132–1148. [Google Scholar] [CrossRef] [PubMed]
- Velazquez, E.R.; Parmar, C.; Liu, Y.; Coroller, T.P.; Cruz, G.; Stringfield, O.; Ye, Z.; Makrigiorgos, M.; Fennessy, F.; Mak, R.H.; et al. Somatic Mutations Drive Distinct Imaging Phenotypes in Lung Cancer. Cancer Res. 2017, 77, 3922–3930. [Google Scholar] [CrossRef] [PubMed]
- Lohinai, Z.; Klikovits, T.; Moldvay, J.; Ostoros, G.; Raso, E.; Timar, J.; Fabian, K.; Kovalszky, I.; Kenessey, I.; Aigner, C.; et al. KRAS-Mutation Incidence and Prognostic Value Are Metastatic Site-Specific in Lung Adenocarcinoma: Poor Prognosis in Patients with KRAS Mutation and Bone Metastasis. Sci. Rep. 2017, 7, 39721. [Google Scholar] [CrossRef] [PubMed]
- Pinheiro, G.; Pereira, T.; Dias, C.; Freitas, C.; Hespanhol, V.; Costa, J.L.; Cunha, A.; Oliveira, H.P. Identifying Relationships between Imaging Phenotypes and Lung Cancer-Related Mutation Status: EGFR and KRAS. Sci. Rep. 2020, 10, 3625. [Google Scholar] [CrossRef]
- Faehling, M.; Fallscheer, S.; Schmiederer, J.; Sträter, J.; Christopoulos, P.; Lengerke, C.; Seifarth, H. Pattern of Brain Metastases and Survival in Lung Adenocarcinoma with KRAS or EFGR Mutation. Lung Cancer 2025, 209, 108803. [Google Scholar] [CrossRef]
- Cui, M.; Han, Y.; Li, P.; Zhang, J.; Ou, Q.; Tong, X.; Zhao, R.; Dong, N.; Wu, X.; Li, W.; et al. Molecular and Clinicopathological Characteristics of ROS1-Rearranged Non-Small-Cell Lung Cancers Identified by next-Generation Sequencing. Mol. Oncol. 2020, 14, 2787–2795. [Google Scholar] [CrossRef]
- Gainor, J.F.; Tseng, D.; Yoda, S.; Dagogo-Jack, I.; Friboulet, L.; Lin, J.J.; Hubbeling, H.G.; Dardaei, L.; Farago, A.F.; Schultz, K.R.; et al. Patterns of Metastatic Spread and Mechanisms of Resistance to Crizotinib in ROS1-Positive Non-Small-Cell Lung Cancer. JCO Precis. Oncol. 2017, 2017, PO.17.00063. [Google Scholar] [CrossRef]
- Janzic, U.; Rabinovich, N.M.; Shalata, W.; Kian, W.; Szymczak, K.; Dziadziuszko, R.; Jakopovic, M.; Mountzios, G.; Pluzanski, A.; Araujo, A.; et al. Non-Small-Cell Lung Cancer Patients Harboring ROS1 Rearrangement: Real World Testing Practices, Characteristics and Treatment Patterns (ROS1REAL Study). Curr. Oncol. 2024, 31, 4369–4381. [Google Scholar] [CrossRef]
- Digumarthy, S.R.; Mendoza, D.P.; Lin, J.J.; Chen, T.; Rooney, M.M.; Chin, E.; Sequist, L.V.; Lennerz, J.K.; Gainor, J.F.; Shaw, A.T. Computed Tomography Imaging Features and Distribution of Metastases in ROS1-Rearranged Non-Small-Cell Lung Cancer. Clin. Lung Cancer 2020, 21, 153–159.e3. [Google Scholar] [CrossRef]
- Shaw, A.T.; Ou, S.-H.I.; Bang, Y.-J.; Camidge, D.R.; Solomon, B.J.; Salgia, R.; Riely, G.J.; Varella-Garcia, M.; Shapiro, G.I.; Costa, D.B.; et al. Crizotinib in ROS1-Rearranged Non-Small-Cell Lung Cancer. N. Engl. J. Med. 2014, 371, 1963–1971. [Google Scholar] [CrossRef]
- Plodkowski, A.J.; Drilon, A.; Halpenny, D.F.; O’Driscoll, D.; Blair, D.; Litvak, A.M.; Zheng, J.; Moskowitz, C.S.; Ginsberg, M.S. From Genotype to Phenotype: Are There Imaging Characteristics Associated with Lung Adenocarcinomas Harboring RET and ROS1 Rearrangements? Lung Cancer 2015, 90, 321–325. [Google Scholar] [CrossRef] [PubMed]
- Ferrara, R.; Auger, N.; Auclin, E.; Besse, B. Clinical and Translational Implications of RET Rearrangements in Non–Small Cell Lung Cancer. J. Thorac. Oncol. 2018, 13, 27–45. [Google Scholar] [CrossRef] [PubMed]
- Wang, R.; Hu, H.; Pan, Y.; Li, Y.; Ye, T.; Li, C.; Luo, X.; Wang, L.; Li, H.; Zhang, Y.; et al. RET Fusions Define a Unique Molecular and Clinicopathologic Subtype of Non-Small-Cell Lung Cancer. J. Clin. Oncol. 2012, 30, 4352–4359. [Google Scholar] [CrossRef] [PubMed]
- Hoe, H.J.; Solomon, B.J. Treatment of Non-Small Cell Lung Cancer with RET Rearrangements. Cancer 2025, 131, e35779. [Google Scholar] [CrossRef]
- Tsuta, K.; Kohno, T.; Yoshida, A.; Shimada, Y.; Asamura, H.; Furuta, K.; Kushima, R. RET-Rearranged Non-Small-Cell Lung Carcinoma: A Clinicopathological and Molecular Analysis. Br. J. Cancer 2014, 110, 1571–1578. [Google Scholar] [CrossRef]
- Ashok Kumar, P.; Connolly, M.; Basnet, A.; Pavlick, D.; Huang, R.; Graziano, S.; Ross, J. RET Fusion Driven (RETfus+) Non-Small Cell Lung Cancer: A Comprehensive Genomic Profiling Study with Histologic Correlation. Front. Oncol. 2025, 15, 1477910. [Google Scholar] [CrossRef]
- Spitaleri, G.; Trillo Aliaga, P.; Attili, I.; Del Signore, E.; Corvaja, C.; Pellizzari, G.; Katrini, J.; Passaro, A.; de Marinis, F. Non-Small-Cell Lung Cancers (NSCLCs) Harboring RET Gene Fusion, from Their Discovery to the Advent of New Selective Potent RET Inhibitors: “Shadows and Fogs”. Cancers 2024, 16, 2877. [Google Scholar] [CrossRef]
- Aldea, M.; Marinello, A.; Duruisseaux, M.; Zrafi, W.; Conci, N.; Massa, G.; Metro, G.; Monnet, I.; Gomez Iranzo, P.; Tabbo, F.; et al. RET-MAP: An International Multicenter Study on Clinicobiologic Features and Treatment Response in Patients With Lung Cancer Harboring a RET Fusion. J. Thorac. Oncol. 2023, 18, 576–586. [Google Scholar] [CrossRef]
- Digumarthy, S.R.; Mendoza, D.P.; Lin, J.J.; Rooney, M.; Do, A.; Chin, E.; Yeap, B.Y.; Shaw, A.T.; Gainor, J.F. Imaging Features and Patterns of Metastasis in Non-Small Cell Lung Cancer with RET Rearrangements. Cancers 2020, 12, 693. [Google Scholar] [CrossRef]
- Drilon, A.; Lin, J.J.; Filleron, T.; Ni, A.; Milia, J.; Bergagnini, I.; Hatzoglou, V.; Velcheti, V.; Offin, M.; Li, B.; et al. Frequency of Brain Metastases and Multikinase Inhibitor Outcomes in Patients With RET-Rearranged Lung Cancers. J. Thorac. Oncol. 2018, 13, 1595–1601. [Google Scholar] [CrossRef]
- Mukhopadhyay, S.; Pennell, N.A.; Ali, S.M.; Ross, J.S.; Ma, P.C.; Velcheti, V. RET-Rearranged Lung Adenocarcinomas with Lymphangitic Spread, Psammoma Bodies, and Clinical Responses to Cabozantinib. J. Thorac. Oncol. 2014, 9, 1714–1719. [Google Scholar] [CrossRef] [PubMed]
- Digumarthy, S.R.; Mendoza, D.P.; Zhang, E.W.; Lennerz, J.K.; Heist, R.S. Clinicopathologic and Imaging Features of Non-Small-Cell Lung Cancer with MET Exon 14 Skipping Mutations. Cancers 2019, 11, 2033. [Google Scholar] [CrossRef] [PubMed]
- Watari, N.; Yamaguchi, K.; Terada, H.; Hamai, K.; Masuda, K.; Nishimura, Y.; Sakamoto, S.; Masuda, T.; Horimasu, Y.; Miyamoto, S.; et al. Characteristic Computed Tomography Features in Mesenchymal-Epithelial Transition Exon14 Skipping-Positive Non-Small Cell Lung Cancer. BMC Pulm. Med. 2022, 22, 260. [Google Scholar] [CrossRef] [PubMed]
- Schrock, A.B.; Frampton, G.M.; Suh, J.; Chalmers, Z.R.; Rosenzweig, M.; Erlich, R.L.; Halmos, B.; Goldman, J.; Forde, P.; Leuenberger, K.; et al. Characterization of 298 Patients with Lung Cancer Harboring MET Exon 14 Skipping Alterations. J. Thorac. Oncol. 2016, 11, 1493–1502. [Google Scholar] [CrossRef]
- Paik, P.K.; Felip, E.; Veillon, R.; Sakai, H.; Cortot, A.B.; Garassino, M.C.; Mazieres, J.; Viteri, S.; Senellart, H.; Van Meerbeeck, J.; et al. Tepotinib in Non-Small-Cell Lung Cancer with MET Exon 14 Skipping Mutations. N. Engl. J. Med. 2020, 383, 931–943. [Google Scholar] [CrossRef]
- Wolf, J.; Seto, T.; Han, J.-Y.; Reguart, N.; Garon, E.B.; Groen, H.J.M.; Tan, D.S.W.; Hida, T.; de Jonge, M.; Orlov, S.V.; et al. Capmatinib in MET Exon 14-Mutated or MET-Amplified Non-Small-Cell Lung Cancer. N. Engl. J. Med. 2020, 383, 944–957. [Google Scholar] [CrossRef]
- Nguyen-Ngoc, T.; Bouchaab, H.; Adjei, A.A.; Peters, S. BRAF Alterations as Therapeutic Targets in Non-Small-Cell Lung Cancer. J. Thorac. Oncol. 2015, 10, 1396–1403. [Google Scholar] [CrossRef]
- Tissot, C.; Couraud, S.; Tanguy, R.; Bringuier, P.-P.; Girard, N.; Souquet, P.-J. Clinical Characteristics and Outcome of Patients with Lung Cancer Harboring BRAF Mutations. Lung Cancer 2016, 91, 23–28. [Google Scholar] [CrossRef]
- Dagogo-Jack, I.; Martinez, P.; Yeap, B.Y.; Ambrogio, C.; Ferris, L.A.; Lydon, C.; Nguyen, T.; Jessop, N.A.; Iafrate, A.J.; Johnson, B.E.; et al. Impact of BRAF Mutation Class on Disease Characteristics and Clinical Outcomes in BRAF-Mutant Lung Cancer. Clin. Cancer Res. 2019, 25, 158–165. [Google Scholar] [CrossRef]
- Halpenny, D.F.; Plodkowski, A.; Riely, G.; Zheng, J.; Litvak, A.; Moscowitz, C.; Ginsberg, M.S. Radiogenomic Evaluation of Lung Cancer—Are There Imaging Characteristics Associated with Lung Adenocarcinomas Harboring BRAF Mutations? Clin. Imaging 2017, 42, 147–151. [Google Scholar] [CrossRef] [PubMed]
- Couraud, S.; Barlesi, F.; Fontaine-Deraluelle, C.; Debieuvre, D.; Merlio, J.-P.; Moreau, L.; Beau-Faller, M.; Veillon, R.; Mosser, J.; Al Freijat, F.; et al. Clinical Outcomes of Non-Small-Cell Lung Cancer Patients with BRAF Mutations: Results from the French Cooperative Thoracic Intergroup Biomarkers France Study. Eur. J. Cancer 2019, 116, 86–97. [Google Scholar] [CrossRef] [PubMed]
- Planchard, D.; Smit, E.F.; Groen, H.J.M.; Mazieres, J.; Besse, B.; Helland, Å.; Giannone, V.; D’Amelio, A.M.; Zhang, P.; Mookerjee, B.; et al. Dabrafenib plus Trametinib in Patients with Previously Untreated BRAFV600E-Mutant Metastatic Non-Small-Cell Lung Cancer: An Open-Label, Phase 2 Trial. Lancet Oncol. 2017, 18, 1307–1316. [Google Scholar] [CrossRef] [PubMed]
- Litvak, A.M.; Paik, P.K.; Woo, K.M.; Sima, C.S.; Hellmann, M.D.; Arcila, M.E.; Ladanyi, M.; Rudin, C.M.; Kris, M.G.; Riely, G.J. Clinical Characteristics and Course of 63 Patients with BRAF Mutant Lung Cancers. J. Thorac. Oncol. 2014, 9, 1669–1674. [Google Scholar] [CrossRef]
- Mendoza, D.P.; Dagogo-Jack, I.; Chen, T.; Padole, A.; Shepard, J.-A.O.; Shaw, A.T.; Digumarthy, S.R. Imaging Characteristics of BRAF-Mutant Non-Small Cell Lung Cancer by Functional Class. Lung Cancer 2019, 129, 80–84. [Google Scholar] [CrossRef]
- Perera, S.A.; Li, D.; Shimamura, T.; Raso, M.G.; Ji, H.; Chen, L.; Borgman, C.L.; Zaghlul, S.; Brandstetter, K.A.; Kubo, S.; et al. HER2YVMA Drives Rapid Development of Adenosquamous Lung Tumors in Mice That Are Sensitive to BIBW2992 and Rapamycin Combination Therapy. Proc. Natl. Acad. Sci. USA 2009, 106, 474–479. [Google Scholar] [CrossRef]
- Mazières, J.; Peters, S.; Lepage, B.; Cortot, A.B.; Barlesi, F.; Beau-Faller, M.; Besse, B.; Blons, H.; Mansuet-Lupo, A.; Urban, T.; et al. Lung Cancer That Harbors an HER2 Mutation: Epidemiologic Characteristics and Therapeutic Perspectives. J. Clin. Oncol. 2013, 31, 1997–2003. [Google Scholar] [CrossRef]
- Chen, W.; Gao, P.; Lu, F.; Wang, E.; Liu, H.; Li, M. CT Texture Features of Lung Adenocarcinoma with HER2 Mutation. BMC Cancer 2025, 25, 287. [Google Scholar] [CrossRef]
- Sawan, P.; Plodkowski, A.J.; Li, A.E.; Li, B.T.; Drilon, A.; Capanu, M.; Ginsberg, M.S. CT Features of HER2-Mutant Lung Adenocarcinomas. Clin. Imaging 2018, 51, 279–283. [Google Scholar] [CrossRef]
- Liu, F.; Wei, Y.; Zhang, H.; Jiang, J.; Zhang, P.; Chu, Q. NTRK Fusion in Non-Small Cell Lung Cancer: Diagnosis, Therapy, and TRK Inhibitor Resistance. Front. Oncol. 2022, 12, 864666. [Google Scholar] [CrossRef]
- Farago, A.F.; Taylor, M.S.; Doebele, R.C.; Zhu, V.W.; Kummar, S.; Spira, A.I.; Boyle, T.A.; Haura, E.B.; Arcila, M.E.; Benayed, R.; et al. Clinicopathologic Features of Non–Small-Cell Lung Cancer Harboring an NTRK Gene Fusion. JCO Precis. Oncol. 2018, 2, 1–12. [Google Scholar] [CrossRef]
- Haratake, N.; Seto, T. NTRK Fusion-Positive Non-Small-Cell Lung Cancer: The Diagnosis and Targeted Therapy. Clin. Lung Cancer 2021, 22, 1–5. [Google Scholar] [CrossRef]
- Overbeck, T.R.; Reiffert, A.; Schmitz, K.; Rittmeyer, A.; Körber, W.; Hugo, S.; Schnalke, J.; Lukat, L.; Hugo, T.; Hinterthaner, M.; et al. NTRK Gene Fusions in Non-Small-Cell Lung Cancer: Real-World Screening Data of 1068 Unselected Patients. Cancers 2023, 15, 2966. [Google Scholar] [CrossRef]
- Lafon, M.; Cousin, S.; Alamé, M.; Nougaret, S.; Italiano, A.; Crombé, A. Metastatic Lung Adenocarcinomas: Development and Evaluation of Radiomic-Based Methods to Measure Baseline Intra-Patient Inter-Tumor Lesion Heterogeneity. J. Imaging Inf. Inform. Med. 2025, 38, 148–164. [Google Scholar] [CrossRef]
- Masson-Grehaigne, C.; Lafon, M.; Palussière, J.; Leroy, L.; Bonhomme, B.; Jambon, E.; Italiano, A.; Cousin, S.; Crombé, A. Enhancing Immunotherapy Response Prediction in Metastatic Lung Adenocarcinoma: Leveraging Shallow and Deep Learning with CT-Based Radiomics across Single and Multiple Tumor Sites. Cancers 2024, 16, 2491. [Google Scholar] [CrossRef]
- Masson-Grehaigne, C.; Lafon, M.; Palussière, J.; Leroy, L.; Bonhomme, B.; Jambon, E.; Italiano, A.; Cousin, S.; Crombé, A. Single- and Multi-Site Radiomics May Improve Overall Survival Prediction for Patients with Metastatic Lung Adenocarcinoma. Diagn. Interv. Imaging 2024, 105, 439–452. [Google Scholar] [CrossRef]



| Characteristics | EGFR | ALK | KRAS | ROS1 | RET | MET | BRAF | HER2 | NTRK |
|---|---|---|---|---|---|---|---|---|---|
| Alteration frequency | From 8–12% in Western population to 40–50% in Asian population | 4–5% | 27.5% | 1–3% | 1–2% | 3% | 2–4% | 1–4% | <1% |
| Most frequent alteration | Exon 19 deletion or L858 alteration | ALK fusion (EML4-ALK) | G12C mutation | ROS1 fusion (CD74-ROS1) | RET fusion (KIF5B-RET) | MET Exon 14 skipping | (Class I) V600E substitution | Mutation: Exon 20 in frame substitution | NTRK1/2/3 gene fusion |
| Age | 60–70 years (similar to WT) | Younger patients | 60–70 years (similar to WT) | Younger patients (45–55 years) | Younger patients (<60 years) | Older patients (>70 years) | 60–70 years (similar to WT) | Slightly younger (about 60 years) | Younger patients (48 years) |
| Sex | Women predominance | - | - | Women predominance | - | Women predominance | - | Women predominance | - |
| Tobacco addiction | Never/light smokers | Never/light smokers | Smokers | Never/light smokers | Never/light smokers | - | Smokers | Never smokers | Never smokers |
| Ethnic background | Asian origin | - | - | Asian origin | - | - | - | - | - |
| Characteristics | EGFR | ALK | KRAS | ROS1 | RET | MET | BRAF | HER2 | NTRK |
|---|---|---|---|---|---|---|---|---|---|
| Local characteristics | |||||||||
| Typical | Rather small lesions, GGO, air bronchogram, spiculated margins and pleural retraction | Solid, central, lobulated tumors with pleural/pericardial effusion | Solid tumors with round morphology and spiculated margins | Peripheral solid tumors with spiculated margins | Peripheral solid tumors with spiculated margins | Large, lobulated, peripheral tumors—frequently necrotic | Peripheral solid tumors with spiculated margins | Peripheral, solid, nodules with spiculated margins and frequent pleural tags and retraction reflecting infiltrating/invasive pattern | Non discriminative feature |
| Atypical | - | - | GGO | Air bronchogram, pleural retraction | Cavitation, air bronchogram | GGO, cavitation, air bronchogram | - | - | - |
| Metastatic patterns | |||||||||
| Typical | Multiple bilateral pulmonary metastases/miliary, brain and bone metastases | Pleural metastases, lymphangitic carcinomatosis, bulky lymphadenopathy | Lung, brain, bone and adrenal metastases | Lymphangitic carcinomatosis, distant intra/extrathoracic nodal metastases, and sclerotic bone metastases | Brain, bone (possibly sclerotic), pleural, nodal and liver metastases | Bone metastases (lytic), brain and adrenal (necrotic) metastases | Heterogeneous patterns depending on alteration classes | Lymph node, brain, bone and lung metastases (multiple nodules, miliary) | Lymph nodes, bone, pleural, pulmonary and brain metastases |
| Atypical | Nodal involvement, pleural lesions, adrenal metastases | Miliary | Pericardial, pleural and liver metastases, lymphangitic carcinomatosis | Brain, pleural, pericardial and lung metastases | - | - | - | - | - |
| By anatomical location | |||||||||
| Brain | + | + | + | - | + | + | Class II–III: + | + | + |
| Lung metastases | + | - | + | - | Class I: + | + | + | ||
| Pleura | - | + | - | - | + | Class I: + | + | ||
| Pericardium | + | - | - | Class I: + | |||||
| Lymph nodes | - | + | + | + | + | + | |||
| Lymphangitic carcinomatosis | + | - | + | - | |||||
| Peritoneal carcinomatosis | - | ||||||||
| Liver | - | + | + | Class II–III: + | |||||
| Adrenal | - | + | + | Class II–III: + | |||||
| Bone | + | + | + | + | + | + | + |
Disclaimer/Publisher’s Note: The statements, opinions and data contained in all publications are solely those of the individual author(s) and contributor(s) and not of MDPI and/or the editor(s). MDPI and/or the editor(s) disclaim responsibility for any injury to people or property resulting from any ideas, methods, instructions or products referred to in the content. |
© 2026 by the authors. Licensee MDPI, Basel, Switzerland. This article is an open access article distributed under the terms and conditions of the Creative Commons Attribution (CC BY) license.
Share and Cite
Phan, L.; Cousin, S.; Sitruk, L.A.; Masson--Grehaigne, C.; Lafon, M.; Kasraoui, I.; Italiano, A.; Bonhomme, B.; Palussière, J.; Domblides, C.; et al. Radiological, Radiomics, and Metastatic Patterns Associated with Targetable Oncogenic Drivers on CT-Scan of Newly Diagnosed NSCLC Patients: A Comprehensive Radiogenomics Review. Cancers 2026, 18, 472. https://doi.org/10.3390/cancers18030472
Phan L, Cousin S, Sitruk LA, Masson--Grehaigne C, Lafon M, Kasraoui I, Italiano A, Bonhomme B, Palussière J, Domblides C, et al. Radiological, Radiomics, and Metastatic Patterns Associated with Targetable Oncogenic Drivers on CT-Scan of Newly Diagnosed NSCLC Patients: A Comprehensive Radiogenomics Review. Cancers. 2026; 18(3):472. https://doi.org/10.3390/cancers18030472
Chicago/Turabian StylePhan, Letuan, Sophie Cousin, Lou Andrea Sitruk, Cécile Masson--Grehaigne, Mathilde Lafon, Inès Kasraoui, Antoine Italiano, Benjamin Bonhomme, Jean Palussière, Charlotte Domblides, and et al. 2026. "Radiological, Radiomics, and Metastatic Patterns Associated with Targetable Oncogenic Drivers on CT-Scan of Newly Diagnosed NSCLC Patients: A Comprehensive Radiogenomics Review" Cancers 18, no. 3: 472. https://doi.org/10.3390/cancers18030472
APA StylePhan, L., Cousin, S., Sitruk, L. A., Masson--Grehaigne, C., Lafon, M., Kasraoui, I., Italiano, A., Bonhomme, B., Palussière, J., Domblides, C., Lassau, N., & Crombé, A. (2026). Radiological, Radiomics, and Metastatic Patterns Associated with Targetable Oncogenic Drivers on CT-Scan of Newly Diagnosed NSCLC Patients: A Comprehensive Radiogenomics Review. Cancers, 18(3), 472. https://doi.org/10.3390/cancers18030472

