Radiomic Analysis for Ki-67 Classification in Small Bowel Neuroendocrine Tumors
Simple Summary
Abstract
1. Introduction
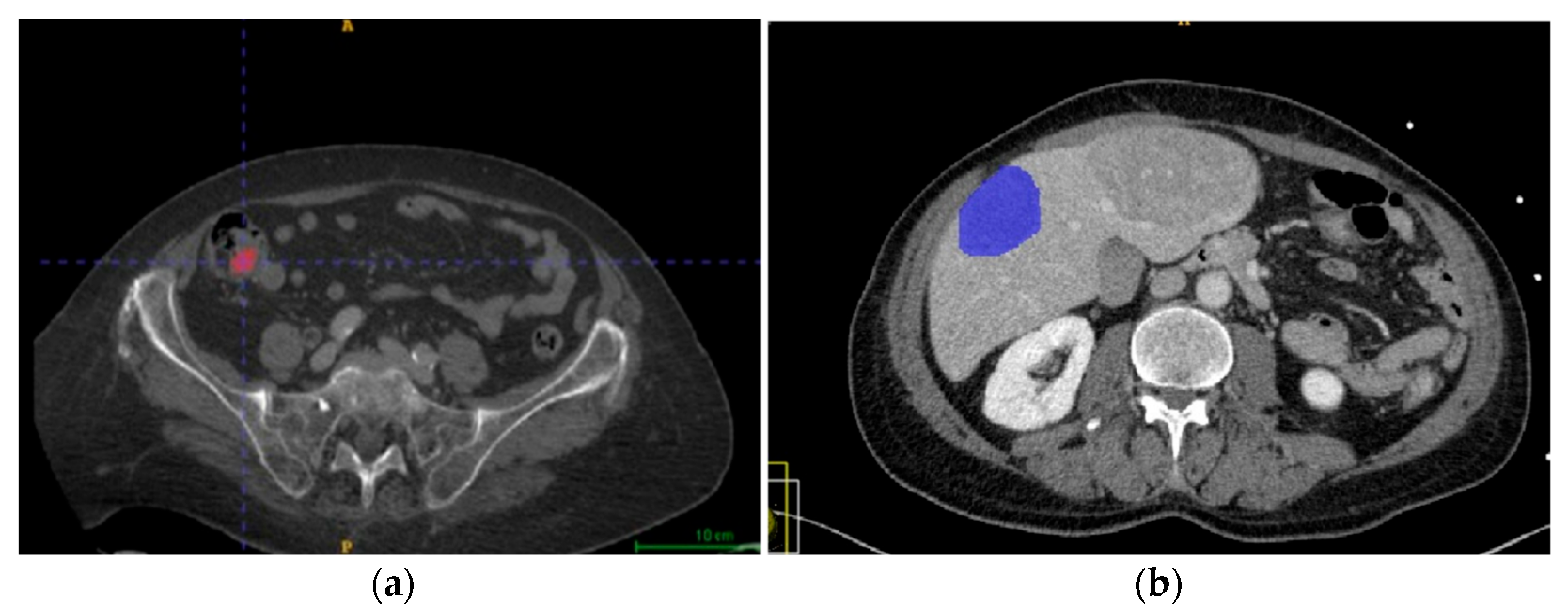
2. Materials and Methods
3. Results
4. Discussion
5. Conclusions
Author Contributions
Funding
Institutional Review Board Statement
Informed Consent Statement
Data Availability Statement
Conflicts of Interest
Abbreviations
| SB-NETs | Small Bowel Neuroendocrine Tumors |
| GEP-NETs | Gastro–entero–pancreatic NETs |
| ML | Machine Learning |
| SVM | Support Vector Machine |
| KNN | K-Nearest Neighbors |
References
- Tran, C.G.; Sherman, S.K.; Howe, J.R. Small Bowel Neuroendocrine Tumors. Curr. Probl. Surg. 2020, 57, 100823. [Google Scholar] [CrossRef]
- Ahmed, M. Gastrointestinal neuroendocrine tumors in 2020. World J. Gastrointest. Oncol. 2020, 12, 791–807. [Google Scholar] [CrossRef]
- Clift, A.K.; Kidd, M.; Bodei, L.; Toumpanakis, C.; Baum, R.P.; Oberg, K.; Modlin, I.M.; Frilling, A. Neuroendocrine Neoplasms of the Small Bowel and Pancreas. Neuroendocrinology 2019, 110, 444–476. [Google Scholar] [CrossRef]
- Folkestad, O.; Hauso, Ø.; Mjønes, P.; Fougner, R.; Wasmuth, H.H.; Fossmark, R. Survival Trends in Patients with Small Intestinal Neuroendocrine Tumours-A Cohort Study in Central Norway. Cancers 2023, 15, 3272. [Google Scholar] [CrossRef] [PubMed]
- Amin, M.B.; Greene, F.L.; Edge, S.B.; Compton, C.C.; Gershenwald, J.E.; Brookland, R.K.; Meyer, L.; Gress, D.M.; Byrd, D.R.; Winchester, D.P. The Eighth Edition AJCC Cancer Staging Manual: Continuing to build a bridge from a population-based to a more “personalized” approach to cancer staging. CA Cancer J. Clin. 2017, 67, 93–99. [Google Scholar] [CrossRef] [PubMed]
- Ozaslan, E.; Bayram, F.; Karaca, H.; Gursoy, S.; Ozturk, F.; Sozuer, E.; Abdurrezzak, U.; Yurci, A.; Sezgin, G.C.; Yildirim, A.; et al. Best prognostic factor of neuroendocrine tumors: Grade or Stage? A multidisciplinary single-center study. Turk. J. Gastroenterol. 2016, 27, 509–514. [Google Scholar] [CrossRef] [PubMed]
- Cunningham, J.L.; Grimelius, L.; Sundin, A.; Agarwal, S.; Janson, E.T. Malignant ileocaecal serotonin-producing carcinoid tumours: The presence of a solid growth pattern and/or Ki67 index above 1% identifies patients with a poorer prognosis. Acta Oncol. 2007, 46, 747–756. [Google Scholar] [CrossRef]
- Klöppel, G.; La Rosa, S. Correction to: Ki67 labeling index: Assessment and prognostic role in gastroenteropancreatic neuroendocrine neoplasms. Virchows Arch. 2017, 472, 515. [Google Scholar] [CrossRef]
- Corrias, G.; Micheletti, G.; Barberini, L.; Suri, J.S.; Saba, L. Texture analysis imaging “what a clinical radiologist needs to know”. Eur. J. Radiol. 2022, 146, 110055. [Google Scholar] [CrossRef]
- Fusco, R.; Granata, V.; Grazzini, G.; Pradella, S.; Borgheresi, A.; Bruno, A.; Palumbo, P.; Bruno, F.; Grassi, R.; Giovagnoni, A.; et al. Radiomics in medical imaging: Pitfalls and challenges in clinical management. Jpn. J. Radiol. 2022, 40, 919–929. [Google Scholar] [CrossRef]
- Fan, H.; Luo, Y.; Gu, F.; Tian, B.; Xiong, Y.; Wu, G.; Nie, X.; Yu, J.; Tong, J.; Liao, X. Artificial intelligence-based MRI radiomics and radiogenomics in glioma. Cancer Imaging 2024, 24, 36. [Google Scholar] [CrossRef]
- Kumar, V.; Gu, Y.; Basu, S.; Berglund, A.; Eschrich, S.A.; Schabath, M.B.; Forster, K.; Aerts, H.J.W.L.; Dekker, A.; Fenstermacher, D.; et al. Radiomics: The process and the challenges. Magn. Reson. Imaging 2012, 30, 1234–1248. [Google Scholar] [CrossRef]
- Mayerhoefer, M.E.; Materka, A.; Langs, G.; Häggström, I.; Szczypiński, P.; Gibbs, P.; Cook, G. Introduction to Radiomics. J. Nucl. Med. 2020, 61, 488–495. [Google Scholar] [CrossRef]
- Shur, J.D.; Doran, S.J.; Kumar, S.; ap Dafydd, D.; Downey, K.; O’connor, J.P.B.; Papanikolaou, N.; Messiou, C.; Koh, D.-M.; Orton, M.R. Radiomics in Oncology: A Practical Guide. RadioGraphics 2021, 41, 1717–1732. [Google Scholar] [CrossRef] [PubMed]
- Lamarca, A.; Bartsch, D.K.; Caplin, M.; Kos-Kudla, B.; Kjaer, A.; Partelli, S.; Rinke, A.; Janson, E.T.; Thirlwell, C.; van Velthuysen, M.F.; et al. European Neuroendocrine Tumor Society (ENETS) 2024 guidance paper for the management of well-differentiated small intestine neuroendocrine tumours. J. Neuroendocr. 2024, 36, e13423. [Google Scholar] [CrossRef]
- Blazevic, A.; AStarmans, M.P.; Brabander, T.; Dwarkasing, R.S.; Gils, R.A.H.v.; Hofland, J.; Franssen, G.J.H.; AFeelders, R.; Niessen, W.J.; Klein, S.; et al. Predicting symptomatic mesenteric mass in small intestinal neuroendocrine tumors using radiomics. Endocr.-Relat. Cancer 2021, 28, 529–539. [Google Scholar] [CrossRef]
- Benedetti, G.; Mori, M.; Panzeri, M.M.; Barbera, M.; Palumbo, D.; Sini, C.; Muffatti, F.; Andreasi, V.; Steidler, S.; Doglioni, C.; et al. CT-derived radiomic features to discriminate histologic characteristics of pancreatic neuroendocrine tumors. Radiol. Med. 2021, 126, 745–760. [Google Scholar] [CrossRef] [PubMed]
- Nagtegaal, I.D.; Odze, R.D.; Klimstra, D.; Paradis, V.; Rugge, M.; Schirmacher, P.; Washington, K.M.; Carneiro, F.; Cree, I.A.; the WHO Classification of Tumours Editorial Board. The 2019 WHO classification of tumours of the digestive system. Histopathology 2020, 76, 182–188. [Google Scholar] [CrossRef] [PubMed]
- Yushkevich, P.A.; Gao, Y.; Gerig, G. ITK-SNAP: An interactive tool for semi-automatic segmentation of multi-modality biomedical images. Annu. Int. Conf. IEEE Eng. Med. Biol. Soc. 2016, 2016, 3342–3345. [Google Scholar] [CrossRef] [PubMed]
- Van Timmeren, J.E.; Cester, D.; Tanadini-Lang, S.; Alkadhi, H.; Baessler, B. Radiomics in medical imaging-“how-to” guide and critical reflection. Insights Imaging 2020, 11, 91. [Google Scholar] [CrossRef]
- Staal, F.C.R.; Aalbersberg, E.A.; van der Velden, D.; Wilthagen, E.A.; Tesselaar, M.E.T.; Beets-Tan, R.G.H.; Maas, M. GEP-NET radiomics: A systematic review and radiomics quality score assessment. Eur. Radiol. 2022, 32, 7278–7294. [Google Scholar] [CrossRef] [PubMed]
- van Griethuysen, J.J.M.; Fedorov, A.; Parmar, C.; Hosny, A.; Aucoin, N.; Narayan, V.; Beets-Tan, R.G.H.; Fillion-Robin, J.-C.; Pieper, S.; Aerts, H.J.W.L. Computational Radiomics System to Decode the Radiographic Phenotype. Cancer Res. 2017, 77, e104–e107. [Google Scholar] [CrossRef] [PubMed]
- Kuhn, M.; Johnson, K. Data pre-processing. In Applied Predictive Modeling; Springer Science Business Media: New York, NY, USA, 2013; pp. 27–59. [Google Scholar]
- De Muzio, F.; Pellegrino, F.; Fusco, R.; Tafuto, S.; Scaglione, M.; Ottaiano, A.; Petrillo, A.; Izzo, F.; Granata, V. Prognostic Assessment of Gastropancreatic Neuroendocrine Neoplasm: Prospects and Limits of Radiomics. Diagnostics 2023, 13, 2877. [Google Scholar] [CrossRef]
- Azoulay, A.; Cros, J.; Vullierme, M.P.; de Mestier, L.; Couvelard, A.; Hentic, O.; Ruszniewski, P.; Sauvanet, A.; Vilgrain, V.; Ronot, M. Morphological imaging and CT histogram analysis to differentiate pancreatic neuroendocrine tumor grade 3 from neuroendocrine carcinoma. Diagn. Interv. Imaging 2020, 101, 821–830. [Google Scholar] [CrossRef]
- De Robertis, R.; Mascarin, B.; Bardhi, E.; Spoto, F.; Cardobi, N.; D’oNofrio, M. Radiomics in differential diagnosis of pancreatic tumors. Eur. J. Radiol. Open 2025, 14, 100651. [Google Scholar] [CrossRef]
- Liang, P.; Xu, C.; Tan, F.; Li, S.; Chen, M.; Hu, D.; Kamel, I.; Duan, Y.; Li, Z. Prediction of the World Health Organization Grade of rectal neuroendocrine tumors based on CT histogram analysis. Cancer Med. 2020, 10, 595–604. [Google Scholar] [CrossRef]
- Luo, Y.; Chen, X.; Chen, J.; Song, C.; Shen, J.; Xiao, H.; Chen, M.; Li, Z.-P.; Huang, B.; Feng, S.-T. Preoperative Prediction of Pancreatic Neuroendocrine Neoplasms Grading Based on Enhanced Computed Tomography Imaging: Validation of Deep Learning with a Convolutional Neural Network. Neuroendocrinology 2019, 110, 338–350. [Google Scholar] [CrossRef]
- Bian, Y.; Jiang, H.; Ma, C.; Wang, L.; Zheng, J.; Jin, G.; Lu, J. CT-Based radiomics score for distinguishing between grade 1 and grade 2 nonfunctioning pancreatic neuroendocrine tumors. AJR Am. J. Roentgenol. 2020, 215, 852–863. [Google Scholar] [CrossRef] [PubMed]




| Ki67 ≤ 1% | Ki67 > 1% | |
|---|---|---|
| Number of Patients | 19 | 15 |
| Mean age at diagnosis | 62.2 | 69.4 |
| Sex | M: 11, F: 8 | M: 8, F: 7 |
| Tumor Grade | G1: 19 | G1: 5, G2: 10, G3: 0 |
| Number of independent Lesions | 56 (11 primary tumors, 23 lymph nodes/mesenteric deposits, 22 metastases) | 72 (11 primary tumors, 22 lymph nodes/mesenteric deposits, 39 metastases) |
| # | Feature | Info. Gain | Gini | ANOVA | X |
|---|---|---|---|---|---|
| 1 | original_firstorder_RootMeanSquared | 147 | 89 | 18,332 | 16,593 |
| 2 | original_firstorder_Maximum | 108 | 71 | 4978 | 13,758 |
| 3 | original_glszm_GrayLevelNonUniformity | 99 | 65 | 4603 | 13,228 |
| 4 | original_glszm_ZoneEntropy | 94 | 60 | 10,878 | 6116 |
| 5 | original_firstorder_10Percentile | 75 | 49 | 6867 | 10,718 |
| 6 | original_glcm_Correlation | 75 | 48 | 9283 | 7640 |
| 7 | original_glszm_SmallAreaEmphasis | 73 | 47 | 5016 | 5418 |
| 8 | original_ngtdm_Strength | 73 | 48 | 64 | 6116 |
| 9 | original_glrlm_RunEntropy | 69 | 44 | 9050 | 6519 |
| 10 | original_ngtdm_Busyness | 68 | 46 | 9900 | 8466 |
| 11 | original_glszm_ZoneVariance | 68 | 46 | 3384 | 8466 |
| 12 | original_glszm_LargeAreaLowGrayLevelEmphasis | 68 | 46 | 8497 | 6116 |
| 13 | original_ngtdm_Coarseness | 66 | 44 | 69 | 9333 |
| 14 | original_glcm_InverseVariance | 64 | 42 | 5166 | 7640 |
| 15 | original_glrlm_LongRunHighGrayLevelEmphasis | 62 | 42 | 14 | 5418 |
| 16 | original_glcm_MCC | 56 | 36 | 7558 | 6116 |
| 17 | original_shape_Sphericity | 40 | 26 | 5124 | 4762 |
| 18 | original_glszm_SizeZoneNonUniformity | 33 | 22 | 743 | 3577 |
| 19 | original_gldm_SmallDependenceLowGrayLevelEmphasis | 26 | 18 | 2561 | 3084 |
| Model | ROC AUC | Accuracy | F1 Score | Precision | Recall |
|---|---|---|---|---|---|
| Logistic regression | 0.72 ± 0.02 | 0.734 ± 0.015 | 0.767 ± 0.015 | 0.757 ± 0.018 | 0.778 ± 0.017 |
| SVM * | 0.72 ± 0.02 | 0.734 ± 0.017 | 0.761 ± 0.017 | 0.771 ± 0.016 | 0.750 ± 0.020 |
| KNN # | 0.74 ± 0.03 | 0.719 ± 0.020 | 0.746 ± 0.025 | 0.757 ± 0.023 | 0.736 ± 0.021 |
| XGBoost | 0.71 ± 0.02 | 0.727 ± 0.018 | 0.774 ± 0.015 | 0.723 ± 0.020 | 0.833 ± 0.018 |
| Random Forest | 0.80 ± 0.01 | 0.781 ± 0.015 | 0.813 ± 0.012 | 0.782 ± 0.014 | 0.847 ± 0.013 |
Disclaimer/Publisher’s Note: The statements, opinions and data contained in all publications are solely those of the individual author(s) and contributor(s) and not of MDPI and/or the editor(s). MDPI and/or the editor(s) disclaim responsibility for any injury to people or property resulting from any ideas, methods, instructions or products referred to in the content. |
© 2026 by the authors. Licensee MDPI, Basel, Switzerland. This article is an open access article distributed under the terms and conditions of the Creative Commons Attribution (CC BY) license.
Share and Cite
Checchin, F.; Malerba, D.; Gambella, A.; Puleri, A.R.; Sambuceti, V.; Vanoli, A.; Grillo, F.; Preda, L.; Bortolotto, C. Radiomic Analysis for Ki-67 Classification in Small Bowel Neuroendocrine Tumors. Cancers 2026, 18, 463. https://doi.org/10.3390/cancers18030463
Checchin F, Malerba D, Gambella A, Puleri AR, Sambuceti V, Vanoli A, Grillo F, Preda L, Bortolotto C. Radiomic Analysis for Ki-67 Classification in Small Bowel Neuroendocrine Tumors. Cancers. 2026; 18(3):463. https://doi.org/10.3390/cancers18030463
Chicago/Turabian StyleChecchin, Filippo, Davide Malerba, Alessandro Gambella, Aurora Rita Puleri, Virginia Sambuceti, Alessandro Vanoli, Federica Grillo, Lorenzo Preda, and Chandra Bortolotto. 2026. "Radiomic Analysis for Ki-67 Classification in Small Bowel Neuroendocrine Tumors" Cancers 18, no. 3: 463. https://doi.org/10.3390/cancers18030463
APA StyleChecchin, F., Malerba, D., Gambella, A., Puleri, A. R., Sambuceti, V., Vanoli, A., Grillo, F., Preda, L., & Bortolotto, C. (2026). Radiomic Analysis for Ki-67 Classification in Small Bowel Neuroendocrine Tumors. Cancers, 18(3), 463. https://doi.org/10.3390/cancers18030463

